Allograft Screws as Fixation of the Scarf Osteotomy
Abstract
1. Introduction
2. Patients and Methods
2.1. Surgical Procedure and Postoperative Mobilization
2.2. Follow-Up Visits and Outcome Scores
2.3. Measurement and Outcome Scores
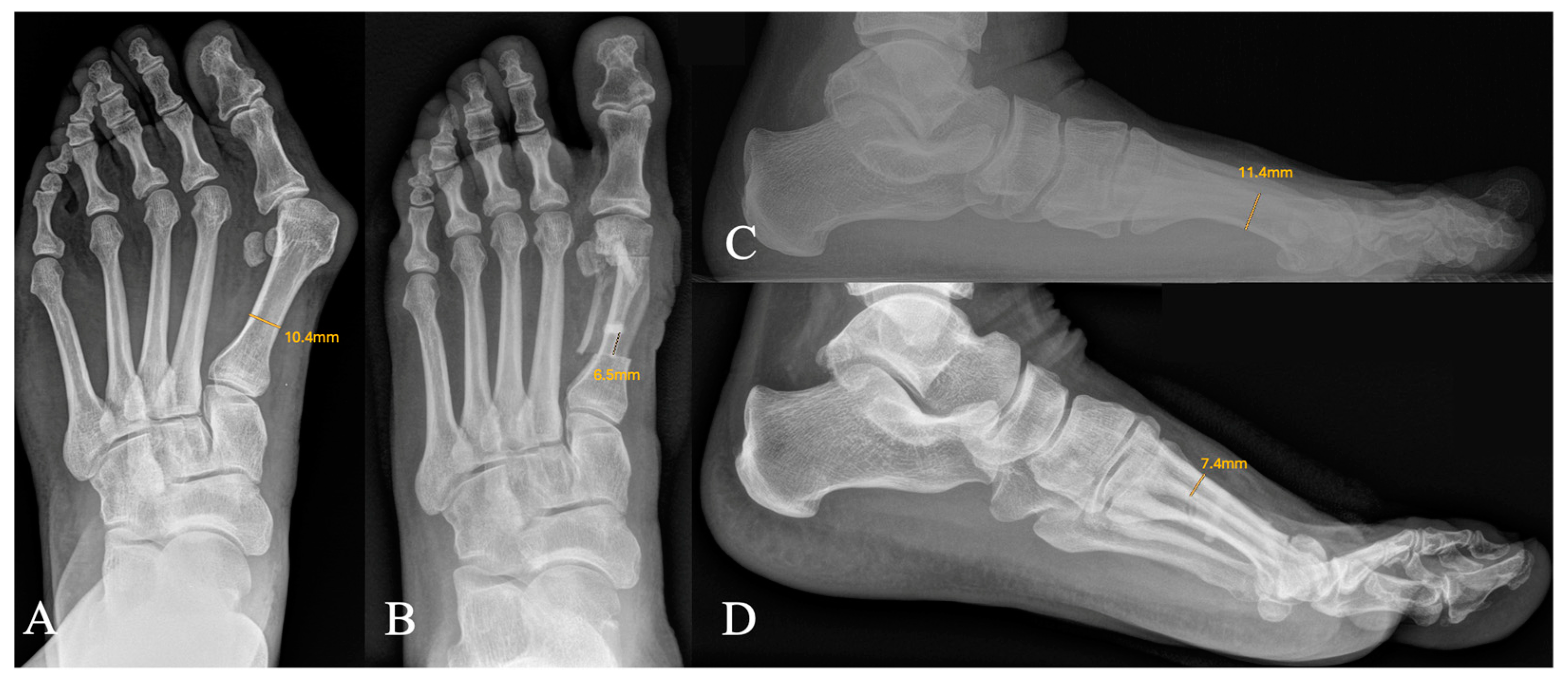
Radiological Measurements
2.4. Statistical Analysis
3. Results
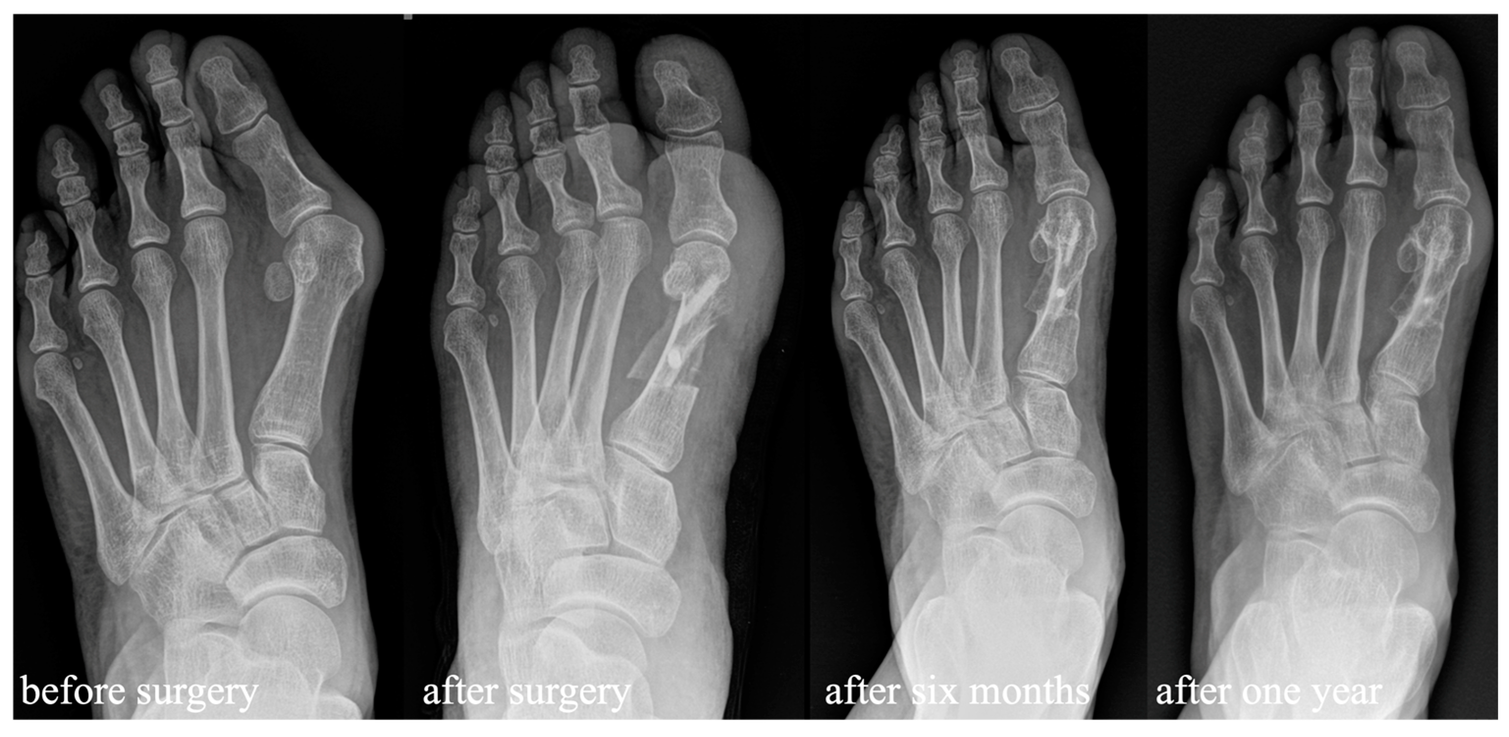
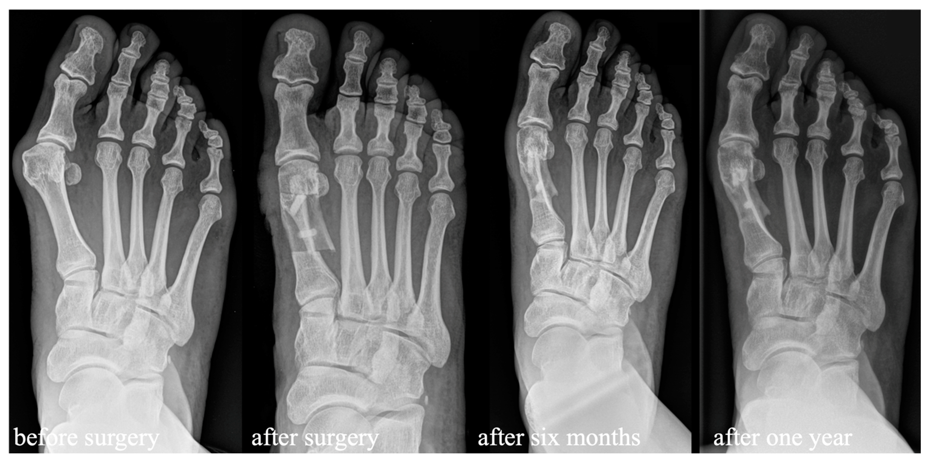
3.1. Clinical and Radiological Outcomes after Scarf Osteotomy Using Allograft Bone Screws
3.2. Comparison of the Usage of Allograft Bone Screws to HCS for Scarf Fixation
4. Discussion
4.1. Clinical and Radiological Outcomes after Scarf Osteotomy
4.2. Evaluation of Benefits and Disadvantages in Comparison to HCS in Scarf Surgery
4.3. Limitations
5. Conclusions
Author Contributions
Funding
Institutional Review Board Statement
Informed Consent Statement
Data Availability Statement
Conflicts of Interest
References
- Choo, J.T.; Lai, S.H.S.; Tang, C.Q.Y.; Thevendran, G. Magnesium-based bioabsorbable screw fixation for hallux valgus surgery—A suitable alternative to metallic implants. Foot Ankle Surg. 2019, 25, 727–732. [Google Scholar] [CrossRef] [PubMed]
- Partio, N.; Ponkilainen, V.T.; Rinkinen, V.; Honkanen, P.; Haapasalo, H.; Laine, H.J.; Mäenpää, H.M. Interpositional Arthroplasty of the First Metatarsophalangeal Joint with Bioresorbable Pldla Implant in the Treatment of Hallux Rigidus and Arthritic Hallux Valgus: A 9-Year Case Series Follow-Up. Scand. J. Surg. 2021, 110, 93–98. [Google Scholar] [CrossRef] [PubMed]
- Pisecky, L.; Luger, M.; Klasan, A.; Gotterbarm, T.; Klotz, M.C.; Hochgatterer, R. Bioabsorbable implants in forefoot surgery: A review of materials, possibilities and disadvantages. EFORT Open Rev. 2021, 6, 1132–1139. [Google Scholar] [CrossRef] [PubMed]
- Jentzsch, T.; Renner, N.; Niehaus, R.; Farei-Campagna, J.; Deggeller, M.; Scheurer, F.; Palmer, K.; Wirth, S.H. The influence of the number of screws and additional surgical procedures on outcome in hallux valgus treatment. J. Orthop. Surg. Res. 2018, 13, 99. [Google Scholar] [CrossRef] [PubMed]
- Chakraborty Banerjee, P.; Al-Saadi, S.; Choudhary, L.; Harandi, S.E.; Singh, R. Magnesium Implants: Prospects and Challenges. Materials 2019, 12, 136. [Google Scholar] [CrossRef] [PubMed]
- Delsmann, M.M.; Stürznickel, J.; Kertai, M.; Stücker, R.; Rolvien, T.; Rupprecht, M. Radiolucent zones of biodegradable magnesium-based screws in children and adolescents-a radiographic analysis. Arch. Orthop. Trauma Surg. 2022, 143, 2297–2305. [Google Scholar] [CrossRef] [PubMed]
- Tuompo, P.; Paritio, E.K.; Pätiälä, H.; Jukkala-Partio, K.; Hirvensalo, E.; Rokkanen, P. Causes of the clinical tissue response to polyglycolide and polylactide implants with an emphasis on the knee. Arch. Orthop. Trauma Surg. 2001, 121, 261–264. [Google Scholar] [CrossRef] [PubMed]
- Brcic, I.; Pastl, K.; Plank, H.; Igrec, J.; Schanda, J.E.; Pastl, E.; Werner, M. Incorporation of an Allogenic Cortical Bone Graft Following Arthrodesis of the First Metatarsophalangeal Joint in a Patient with Hallux Rigidus. Life 2021, 11, 473. [Google Scholar] [CrossRef] [PubMed]
- Sailer, S.; Lechner, S.; Floßmann, A.; Wanzel, M.; Habeler, K.; Krasny, C.; Borchert, G.H. Treatment of scaphoid fractures and pseudarthroses with the human allogeneic cortical bone screw. A multicentric retrospective study. J. Orthop. Traumatol. 2023, 24, 6. [Google Scholar] [CrossRef] [PubMed]
- Amann, P.; Pastl, K.; Neunteufel, E.; Bock, P. Clinical and Radiologic Results of a Human Bone Graft Screw in Tarsometatarsal II/+III Arthrodesis. Foot Ankle Int. 2022, 43, 913–922. [Google Scholar] [CrossRef] [PubMed]
- Krasny, C.; Radda, C.; Polke, R.; Schallmayer, D.; Borchert, G.H.; Albrecht, C. A human, allogeneic cortical bone screw for distal interphalangeal joint (DIP) arthrodesis: A retrospective cohort study with at least 10 months follow-up. Arch. Orthop. Trauma Surg. 2023, 143, 4557–4564. [Google Scholar] [CrossRef] [PubMed]
- Hanslik-Schnabel, B.; Flöry, D.; Borchert, G.H.; Schanda, J.E. Clinical and Radiologic Outcome of First Metatarsophalangeal Joint Arthrodesis Using a Human Allogeneic Cortical Bone Screw. Foot Ankle Orthop. 2022, 7, 24730114221112944. [Google Scholar] [CrossRef] [PubMed]
- Kitaoka, H.B.; Alexander, I.J.; Adelaar, R.S.; Nunley, J.A.; Myerson, M.S.; Sanders, M. Clinical rating systems for the ankle-hindfoot, midfoot, hallux, and lesser toes. Foot Ankle Int. 1994, 15, 349–353. [Google Scholar] [CrossRef] [PubMed]
- Crevoisier, X.; Mouhsine, E.; Ortolano, V.; Udin, B.; Dutoit, M. The scarf osteotomy for the treatment of hallux valgus deformity: A review of 84 cases. Foot Ankle Int. 2001, 22, 970–976. [Google Scholar] [CrossRef] [PubMed]
- Adam, S.P.; Choung, S.C.; Gu, Y.; O’Malley, M.J. Outcomes after scarf osteotomy for treatment of adult hallux valgus deformity. Clin. Orthop. Relat. Res. 2011, 469, 854–859. [Google Scholar] [CrossRef] [PubMed]
- Windhagen, H.; Radtke, K.; Weizbauer, A.; Diekmann, J.; Noll, Y.; Kreimeyer, U.; Schavan, R.; Stukenborg-Colsman, C.; Waizy, H. Biodegradable magnesium-based screw clinically equivalent to titanium screw in hallux valgus surgery: Short term results of the first prospective, randomized, controlled clinical pilot study. Biomed. Eng. Online 2013, 12, 62. [Google Scholar] [CrossRef] [PubMed]
- Clee, S.; Flanagan, G.; Pavier, J.; Reilly, I. Correction of hallux abducto valgus by scarf osteotomy. A ten-year retrospective multicentre review of patient reported outcomes shows high satisfaction rates with podiatric surgery. J. Foot Ankle Res. 2022, 15, 44. [Google Scholar] [CrossRef] [PubMed]
- Huber, T.; Hofstätter, S.G.; Fiala, R.; Hartenbach, F.; Breuer, R.; Rath, B. The Application of an Allogenic Bone Screw for Stabilization of a Modified Chevron Osteotomy: A Prospective Analysis. J. Clin. Med. 2022, 11, 1384. [Google Scholar] [CrossRef] [PubMed]
- Haslhofer, D.J.; Gotterbarm, T.; Klasan, A. High Complication Rate and High Percentage of Regressing Radiolucency in Magnesium Screw Fixation in 18 Consecutive Patients. J. Pers. Med. 2023, 13, 357. [Google Scholar] [CrossRef] [PubMed]
- Fu, X.; Wang, G.X.; Wang, C.G.; Li, Z.J. Comparison between bioabsorbable magnesium and titanium compression screws for hallux valgus treated with distal metatarsal osteotomies: A meta-analysis. Jt. Dis. Relat. Surg. 2023, 34, 289–297. [Google Scholar] [CrossRef] [PubMed]








| Parameter | Allograft Bone Screw (n = 30) | Headless Compression Screw (n = 82) | p |
|---|---|---|---|
| Age at surgery | 53 (52, 30–70) years | 57 (59, 22–79) years | 0.075 |
| Follow-up time | 10.7 (12, 1.5–13) months | 6.9 (1.5 months, 1 day–6.3 years) months | <0.001 |
| Immobilization | |||
| Biocomfort shoe alone | 19 (63%) | 79 (96%) | <0.001 |
| Plaster cast | 5 (17%) | 3 (4%) | 0.018 |
| Walker orthosis | 6 (20%) | 0 (0%) | <0.001 |
| Complications after surgery | |||
| Fracture | 4 (13%) | 4 (5%) | 0.21 |
| Wound healing disorder | 4 (13%) | 6 (7%) | 0.45 |
| First ray revision surgery | 2 (7%) | 6 (7%) | 0.91 |
| Recurrent hallux valgus | 1 (3%) | 2 (2%) | 0.8 |
| Hallux varus | 1 (3%) | 1 (1%) | 0.45 |
| Material removal | 0 (0%) | 3 (4%) | 0.29 |
| Parameter (n = 30) | Pre-Surgery | Two Weeks | Six Weeks | Six Months | One Year | p |
|---|---|---|---|---|---|---|
| AOFAS score | 51.5 (11; 24–69) | 59 (10; 35–75) | 70 (8; 50–87) | 89 (13; 39–100) | 93.5 (6; 78–100) | 0.001 |
| Visual analogue scale (pain) | 5 (2; 1.5–9.5) | 3 (2; 0–8) | 1 (1; 0–5) | 1.5 (2; 0–7.5) | 0.5 (1; 0–3) | 0.001 |
| Satisfaction with surgery | / | / | / | 1 (1.5; 0–8) | 0.5 (1; 0–4) | 0.5 |
| Range of motion | 1.5 (0.5; 1–2) | 2.5 (1; 1–3) | 2 (1; 1–3) | 1.5 (1; 1–3) | 1 (0.5; 1–2) | 0.5 |
| Dorsal extension | 38 (7; 30–45) | 18 (9; 10–30) | 24 (13; 5–50) | 33 (10; 10–55) | 39 (12; 20–60) | 0.4 |
| Plantar flexion | 40 (11; 20–65) | 19 (8; 10–30) | 23 (11; 5–40) | 32 (14; 5–55) | 36 (11; 10–50) | 0.1 |
| Parameter | Fracture (n = 4) | No Fracture (n = 26) | p |
|---|---|---|---|
| Age at surgery | |||
| Minimal diaphyseal width | 13.3 (±0.96) mm | 13.3 (±0.93) mm | 0.98 |
| Minimal diaphyseal depth | 13.3 (±1.2) mm | 13.7 (±0.98) mm | 0.78 |
| Distance proximal osteotomy to bone screw | 4.3 (±1.5) mm | 5.8 (±1.6) mm | 0.044 |
| Depth of dorsal-bone bridge | 5.0 (±0.82) mm | 7.4 (±0.90) mm | <0.001 |
Disclaimer/Publisher’s Note: The statements, opinions and data contained in all publications are solely those of the individual author(s) and contributor(s) and not of MDPI and/or the editor(s). MDPI and/or the editor(s) disclaim responsibility for any injury to people or property resulting from any ideas, methods, instructions or products referred to in the content. |
© 2024 by the authors. Licensee MDPI, Basel, Switzerland. This article is an open access article distributed under the terms and conditions of the Creative Commons Attribution (CC BY) license (https://creativecommons.org/licenses/by/4.0/).
Share and Cite
Döring, K.; Apprich, S.; Hanna, M.; Windhager, R.; Puchner, S. Allograft Screws as Fixation of the Scarf Osteotomy. J. Clin. Med. 2024, 13, 5628. https://doi.org/10.3390/jcm13185628
Döring K, Apprich S, Hanna M, Windhager R, Puchner S. Allograft Screws as Fixation of the Scarf Osteotomy. Journal of Clinical Medicine. 2024; 13(18):5628. https://doi.org/10.3390/jcm13185628
Chicago/Turabian StyleDöring, Kevin, Sebastian Apprich, Markus Hanna, Reinhard Windhager, and Stephan Puchner. 2024. "Allograft Screws as Fixation of the Scarf Osteotomy" Journal of Clinical Medicine 13, no. 18: 5628. https://doi.org/10.3390/jcm13185628
APA StyleDöring, K., Apprich, S., Hanna, M., Windhager, R., & Puchner, S. (2024). Allograft Screws as Fixation of the Scarf Osteotomy. Journal of Clinical Medicine, 13(18), 5628. https://doi.org/10.3390/jcm13185628

