Endoscopic Management of Post-Sleeve Gastrectomy Complications
Abstract
1. Introduction
2. Methods
3. Discussion
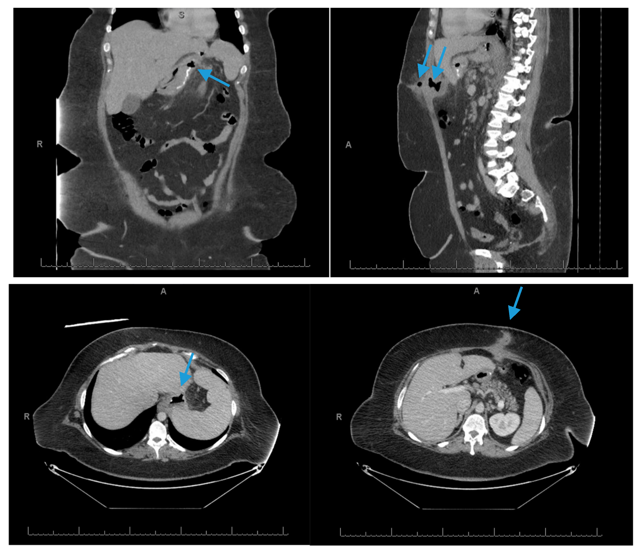
3.1. Gastric Sleeve Leak
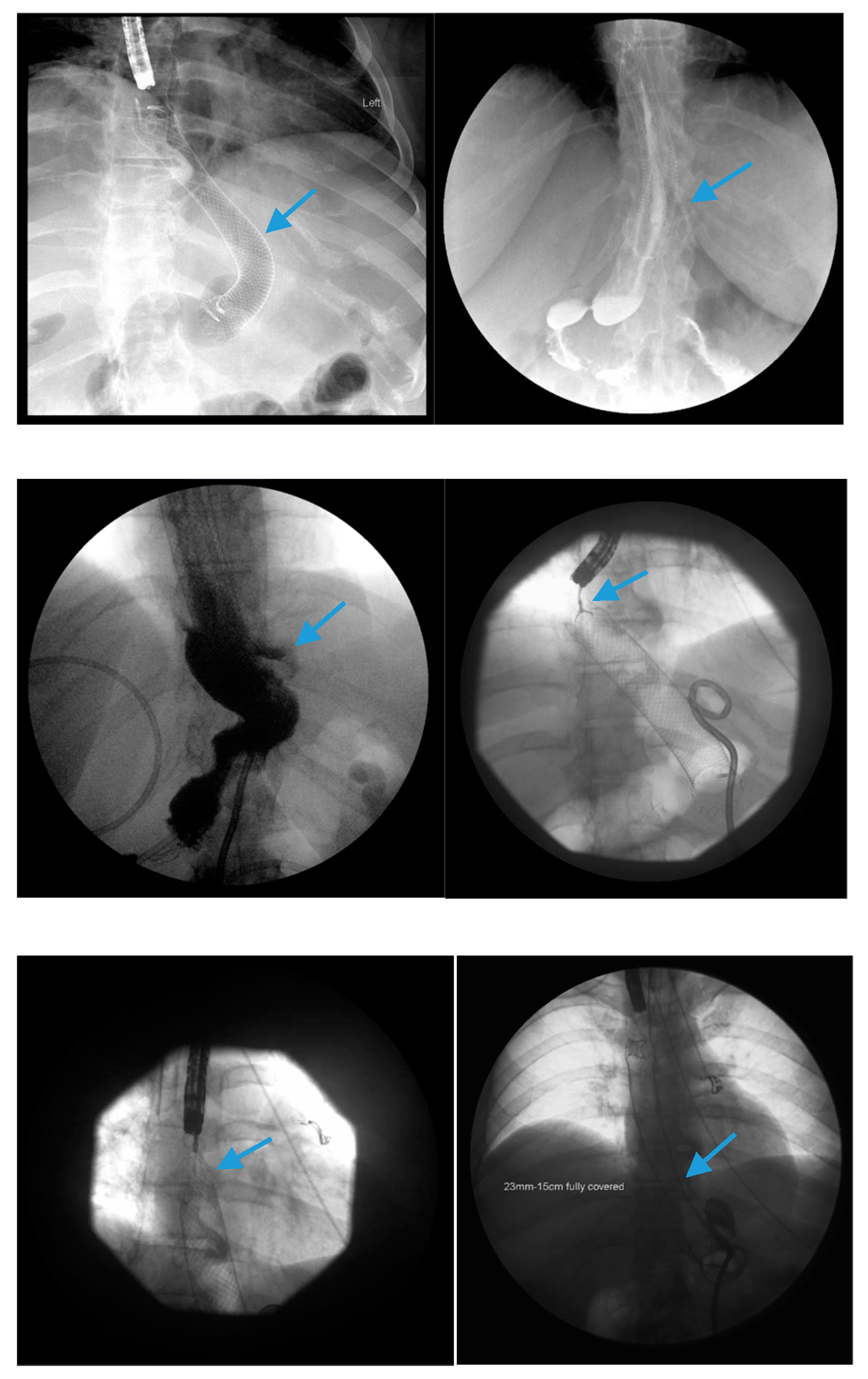
3.2. Endoscopic Stenting
3.3. Endoscopic Internal Drainage with Transgastric Double-Pigtail Stents
3.4. Over-the-Scope Clips
3.5. Endoscopic Suturing
3.6. Endoscopic Tissue Sealant Application
3.7. Endoscopic Vacuum Therapy
3.8. Endoscopic Septotomy
3.9. Sleeve Leak Prevention
3.10. Gastric Sleeve Stenosis
3.11. Endoscopic Balloon Dilation
3.12. Role of Endoluminal Functional Lumen Imaging Probe in the Diagnosis of Sleeve Stenosis
3.13. Gastric per-Oral Endoscopic Myotomy and Endoscopic Intrapyloric Botulinum Toxin Injections for Gastric Sleeve Stenosis or Delayed Gastric Emptying
3.14. Gastrointestinal Bleeding
3.15. Gastroesophageal Reflux Disease
4. Conclusions
Author Contributions
Funding
Institutional Review Board Statement
Informed Consent Statement
Data Availability Statement
Acknowledgments
Conflicts of Interest
References
- Koliaki, C.; Dalamaga, M.; Liatis, S. Update on the Obesity Epidemic: After the Sudden Rise, Is the Upward Trajectory Beginning to Flatten? Curr. Obes. Rep. 2023, 12, 514–527. [Google Scholar] [CrossRef] [PubMed]
- Kloock, S.; Ziegler, C.G.; Dischinger, U. Obesity and its comorbidities, current treatment options and future perspectives: Challenging bariatric surgery? Pharmacol. Ther. 2023, 251, 108549. [Google Scholar] [CrossRef] [PubMed]
- Alalwan, A.A.; Friedman, J.; Park, H.; Segal, R.; Brumback, B.A.; Hartzema, A.G. US national trends in bariatric surgery: A decade of study. Surgery 2021, 170, 13–17. [Google Scholar] [CrossRef] [PubMed]
- Buchwald, H.; Avidor, Y.; Braunwald, E.; Jensen, M.D.; Pories, W.; Fahrbach, K.; Schoelles, K. Bariatric surgery: A systematic review and meta-analysis. JAMA 2004, 292, 1724–1737. [Google Scholar] [CrossRef] [PubMed]
- Clapp, B.; Ponce, J.; DeMaria, E.; Ghanem, O.; Hutter, M.; Kothari, S.; LaMasters, T.; Kurian, M.; English, W. American Society for Metabolic and Bariatric Surgery 2020 estimate of metabolic and bariatric procedures performed in the United States. Surg Obes. Relat. Dis. 2022, 18, 1134–1140. [Google Scholar] [CrossRef] [PubMed]
- Iannelli, A.; Treacy, P.; Sebastianelli, L.; Schiavo, L.; Martini, F. Perioperative complications of sleeve gastrectomy: Review of the literature. J. Minim. Access Surg. 2019, 15, 1–7. [Google Scholar] [PubMed]
- Spota, A.; Cereatti, F.; Granieri, S.; Antonelli, G.; Dumont, J.-L.; Dagher, I.; Chiche, R.; Catheline, J.-M.; Pourcher, G.; Rebibo, L.; et al. Endoscopic Management of Bariatric Surgery Complications According to a Standardized Algorithm. Obes. Surg. 2021, 31, 4327–4337. [Google Scholar] [CrossRef] [PubMed]
- Souto-Rodríguez, R.; Alvarez-Sánchez, M.V. Endoluminal solutions to bariatric surgery complications: A review with a focus on technical aspects and results. World J. Gastrointest. Endosc. 2017, 9, 105–126. [Google Scholar] [CrossRef] [PubMed]
- Boules, M.; Chang, J.; Haskins, I.N.; Sharma, G.; Froylich, D.; El-Hayek, K.; Rodriguez, J.; Kroh, M. Endoscopic management of post-bariatric surgery complications. World J. Gastrointest. Endosc. 2016, 8, 591–599. [Google Scholar] [CrossRef]
- Chung, Y.; Park, D.G.; Kim, Y.J. Endoscopic Management of Staple Line Leak after Bariatric Surgery: Surgeon’s Perspective. Clin. Endosc. 2021, 54, 805–809. [Google Scholar] [CrossRef]
- de Moura, D.T.H.; Dantas, A.C.B.; Ribeiro, I.B.; McCarty, T.R.; Takeda, F.R.; Santo, M.A.; Nahas, S.C.; de Moura, E.G.H. Status of bariatric endoscopy-what does the surgeon need to know? A review. World J. Gastrointest. Surg. 2022, 14, 185–199. [Google Scholar] [CrossRef] [PubMed]
- Sarkhosh, K.; Birch, D.W.; Sharma, A.; Karmali, S. Complications associated with laparoscopic sleeve gastrectomy for morbid obesity: A surgeon’s guide. Can. J. Surg. 2013, 56, 347–352. [Google Scholar] [CrossRef] [PubMed]
- Ayathamattam, J.; Ahmed, S.; Newton, R. Endoscopic management of bariatric complications. Surgery 2022, 40, 614–618. [Google Scholar] [CrossRef]
- Kim, J.; Azagury, D.; Eisenberg, D.; DeMaria, E.; Campos, G.M. ASMBS position statement on prevention, detection, and treatment of gastrointestinal leak after gastric bypass and sleeve gastrectomy, including the roles of imaging, surgical exploration, and nonoperative management. Surg. Obes. Relat. Dis. 2015, 11, 739–748. [Google Scholar] [CrossRef] [PubMed]
- Casella, G.; Soricelli, E.; Rizzello, M.; Trentino, P.; Fiocca, F.; Fantini, A.; Salvatori, F.M.; Basso, N. Nonsurgical treatment of staple line leaks after laparoscopic sleeve gastrectomy. Obes. Surg. 2009, 19, 821–826. [Google Scholar] [CrossRef] [PubMed]
- Hutter, M.M.; Schirmer, B.D.; Jones, D.B.; Ko, C.Y.; Cohen, M.E.; Merkow, R.P.; Nguyen, N.T. First report from the American College of Surgeons Bariatric Surgery Center Network: Laparoscopic sleeve gastrectomy has morbidity and effectiveness positioned between the band and the bypass. Ann. Surg. 2011, 254, 410–420, discussion 20–22. [Google Scholar] [CrossRef] [PubMed]
- Csendes, A.; Díaz, J.C.; Burdiles, P.; Braghetto, I.; Maluenda, F.; Nava, O.; Korn, O. Classification and treatment of anastomotic leakage after extended total gastrectomy in gastric carcinoma. Hepatogastroenterology 1990, 37 (Suppl. S2), 174–177. [Google Scholar] [PubMed]
- Burgos, A.M.; Braghetto, I.; Csendes, A.; Maluenda, F.; Korn, O.; Yarmuch, J.; Gutierrez, L. Gastric leak after laparoscopic-sleeve gastrectomy for obesity. Obes. Surg. 2009, 19, 1672–1677. [Google Scholar] [CrossRef] [PubMed]
- Rosenthal, R.J. International Sleeve Gastrectomy Expert Panel Consensus Statement: Best practice guidelines based on experience of >12,000 cases. Surg. Obes. Relat. Dis. 2012, 8, 8–19. [Google Scholar] [CrossRef]
- Welsch, T.; von Frankenberg, M.; Schmidt, J.; Büchler, M.W. Diagnosis and definition of anastomotic leakage from the surgeon’s perspective. Der Chirurg 2011, 82, 48–55. [Google Scholar] [CrossRef]
- Johari, Y.M.; Catchlove, W.; Tse, M.; Shaw, K.B.; Paul, E.B.; Chen, R.M.; Loh, D.M.; Packiyanathan, A.M.; Burton, P.P.; Nottle, P.M.; et al. A 4-tier Protocolized Radiological Classification System for Leaks Following Sleeve Gastrectomy. Ann. Surg. 2022, 275, e401–e409. [Google Scholar] [CrossRef] [PubMed]
- Verras, G.-I.; Mulita, F.; Lampropoulos, C.; Kehagias, D.; Curwen, O.; Antzoulas, A.; Panagiotopoulos, I.; Leivaditis, V.; Kehagias, I. Risk Factors and Management Approaches for Staple Line Leaks Following Sleeve Gastrectomy: A Single-Center Retrospective Study of 402 Patients. J. Pers. Med. 2023, 13, 1422. [Google Scholar] [CrossRef] [PubMed]
- de Aretxabala, X.; Leon, J.; Wiedmaier, G.; Turu, I.; Ovalle, C.; Maluenda, F.; Gonzalez, C.; Humphrey, J.; Hurtado, M.; Benavides, C. Gastric leak after sleeve gastrectomy: Analysis of its management. Obes. Surg. 2011, 21, 1232–1237. [Google Scholar] [CrossRef] [PubMed]
- Abou Rached, A.; Basile, M.; El Masri, H. Gastric leaks post sleeve gastrectomy: Review of its prevention and management. World J. Gastroenterol. 2014, 20, 13904–13910. [Google Scholar] [CrossRef] [PubMed]
- Parmer, M.; Wang, Y.H.W.; Hersh, E.H.; Zhang, L.; Chin, E.; Nguyen, S.Q. Management of Staple Line Leaks after Laparoscopic Sleeve Gastrectomy. JSLS 2022, 26, e2022.00029. [Google Scholar] [CrossRef] [PubMed]
- Larsen, M.; Kozarek, R. Therapeutic endoscopy for the treatment of post-bariatric surgery complications. World J. Gastroenterol. 2022, 28, 199–215. [Google Scholar] [CrossRef]
- Gjeorgjievski, M.; Imam, Z.; Cappell, M.S.; Jamil, L.H.; Kahaleh, M. A Comprehensive Review of Endoscopic Management of Sleeve Gastrectomy Leaks. J. Clin. Gastroenterol. 2021, 55, 551–576. [Google Scholar] [CrossRef] [PubMed]
- Cereatti, F.; Grassia, R.; Drago, A.; Conti, C.B.; Donatelli, G. Endoscopic management of gastrointestinal leaks and fistulae: What option do we have? World J. Gastroenterol. 2020, 26, 4198–4217. [Google Scholar] [CrossRef] [PubMed]
- Mathus-Vliegen, E.M. The cooperation between endoscopists and surgeons in treating complications of bariatric surgery. Best. Pract. Res. Clin. Gastroenterol. 2014, 28, 703–725. [Google Scholar] [CrossRef]
- Galloro, G.; Ruggiero, S.; Russo, T.; Telesca, D.A.; Musella, M.; Milone, M.; Manta, R. Staple-line leak after sleve gastrectomy in obese patients: A hot topic in bariatric surgery. World J. Gastrointest. Endosc. 2015, 7, 843–846. [Google Scholar] [CrossRef]
- Rogalski, P.; Swidnicka-Siergiejko, A.; Wasielica-Berger, J.; Zienkiewicz, D.; Wieckowska, B.; Wroblewski, E.; Baniukiewicz, A.; Rogalska-Plonska, M.; Siergiejko, G.; Dabrowski, A.; et al. Endoscopic management of leaks and fistulas after bariatric surgery: A systematic review and meta-analysis. Surg. Endosc. 2021, 35, 1067–1087. [Google Scholar] [CrossRef]
- Boerlage, T.C.C.; Houben, G.P.M.; Groenen, M.J.M.; van der Linde, K.; van de Laar, A.W.J.M.; Emous, M.; Fockens, P.; Voermans, R.P. A novel fully covered double-bump stent for staple line leaks after bariatric surgery: A retrospective analysis. Surg. Endosc. 2018, 32, 3174–3180. [Google Scholar] [CrossRef] [PubMed]
- Shehab, H. Enteral stents in the management of post–bariatric surgery leaks. Surg. Obes. Relat. Dis. 2018, 14, 393–403. [Google Scholar] [CrossRef]
- Tsai, Y.-N.; Wang, H.-P.; Huang, C.-K.; Chang, P.-C.; Lin, I.C.; Tai, C.-M. Endoluminal stenting for the management of leak following sleeve gastrectomy and loop duodenojejunal bypass with sleeve gastrectomy. Kaohsiung J. Med. Sci. 2018, 34, 43–48. [Google Scholar] [CrossRef]
- Aljahdli, E.S.; Aldabbagh, A.; Salah, F.; Alsahafi, M.; Maghrabi, A.A. Endoscopic Management of Post-Laparoscopic Sleeve Gastrectomy Leakage and Stenosis Using Fully Covered Stent. Saudi J. Med. Med. Sci. 2021, 9, 45–50. [Google Scholar] [CrossRef] [PubMed]
- Galloro, G.; Magno, L.; Musella, M.; Manta, R.; Zullo, A.; Forestieri, P. A novel dedicated endoscopic stent for staple-line leaks after laparoscopic sleeve gastrectomy: A case series. Surg. Obes. Relat. Dis. 2014, 10, 607–611. [Google Scholar] [CrossRef]
- Shehab, H.; Abdallah, E.; Gawdat, K.; Elattar, I. Large Bariatric-Specific Stents and Over-the-Scope Clips in the Management of Post-Bariatric Surgery Leaks. Obes. Surg. 2018, 28, 15–24. [Google Scholar] [CrossRef]
- Pequignot, A.; Fuks, D.; Verhaeghe, P.; Dhahri, A.; Brehant, O.; Bartoli, E.; Delcenserie, R.; Yzet, T.; Regimbeau, J.M. Is there a place for pigtail drains in the management of gastric leaks after laparoscopic sleeve gastrectomy? Obes. Surg. 2012, 22, 712–720. [Google Scholar] [CrossRef] [PubMed]
- Giuliani, A.; Romano, L.; Marchese, M.; Necozione, S.; Cianca, G.; Schietroma, M.; Carlei, F. Gastric leak after laparoscopic sleeve gastrectomy: Management with endoscopic double pigtail drainage. A systematic review. Surg. Obes. Relat. Dis. 2019, 15, 1414–1419. [Google Scholar] [CrossRef]
- Laopeamthong, I.; Akethanin, T.; Kasetsermwiriya, W.; Techapongsatorn, S.; Tansawet, A. Vacuum Therapy and Internal Drainage as the First-Line Endoscopic Treatment for Post-Bariatric Leaks: A Systematic Review and Meta-Analysis. Visc. Med. 2022, 38, 63–71. [Google Scholar] [CrossRef]
- Toh, B.C.; Chong, J.; Yeung, B.P.; Lim, C.H.; Lim, E.K.; Chan, W.H.; Tan, J.T. Endoscopic internal drainage with double pigtail stents for upper gastrointestinal anastomotic leaks: Suitable for all cases? Clin. Endosc. 2022, 55, 401–407. [Google Scholar] [CrossRef] [PubMed]
- Siddique, I.; Alazmi, W.; Al-Sabah, S.K. Endoscopic internal drainage by double pigtail stents in the management of laparoscopic sleeve gastrectomy leaks. Surg. Obes. Relat. Dis. 2020, 16, 831–838. [Google Scholar] [CrossRef] [PubMed]
- Nedelcu, M.; Manos, T.; Noel, P.; Danan, M.; Zulian, V.; Vilallonga, R.; Nedelcu, A.; Carandina, S. Is the Surgical Drainage Mandatory for Leak after Sleeve Gastrectomy? J. Clin. Med. 2023, 12, 1376. [Google Scholar] [CrossRef] [PubMed]
- Nedelcu, M.; Danan, M.; Noel, P.; Gagner, M.; Nedelcu, A.; Carandina, S. Surgical management for chronic leak following sleeve gastrectomy: Review of literature. Surg. Obes. Relat. Dis. 2019, 15, 1844–1849. [Google Scholar] [CrossRef] [PubMed]
- Nedelcu, M.; Manos, T.; Cotirlet, A.; Noel, P.; Gagner, M. Outcome of leaks after sleeve gastrectomy based on a new algorithm adressing leak size and gastric stenosis. Obes. Surg. 2015, 25, 559–563. [Google Scholar] [CrossRef] [PubMed]
- Diaz, R.; Welsh, L.K.; Perez, J.E.; Narvaez, A.; Davalos, G.; Portenier, D.; Guerron, A.D. Endoscopic septotomy as a treatment for leaks after sleeve gastrectomy: Meeting presentations: Digestive Disease Week 2019. Endosc. Int. Open 2020, 8, E70–E75. [Google Scholar] [CrossRef] [PubMed]
- Shoar, S.; Poliakin, L.; Khorgami, Z.; Rubenstein, R.; El-Matbouly, M.; Levin, J.L.; Saber, A.A. Efficacy and Safety of the Over-the-Scope Clip (OTSC) System in the Management of Leak and Fistula After Laparoscopic Sleeve Gastrectomy: A Systematic Review. Obes. Surg. 2017, 27, 2410–2418. [Google Scholar] [CrossRef] [PubMed]
- Mizrahi, I.; Grinbaum, R.; Elazary, R.; Mordechay-Heyn, T.; Kahahna, N.; Epshtein, J.; Jacob, H.; Beglaibter, N. Staple Line Leaks Following Laparoscopic Sleeve Gastrectomy: Low Efficacy of the Over-the-Scope Clip. Obes. Surg. 2021, 31, 813–819. [Google Scholar] [CrossRef] [PubMed]
- de Oliveira, V.L.; Bestetti, A.M.; Trasolini, R.P.; de Moura, E.G.H.; de Moura, D.T.H. Choosing the best endoscopic approach for post-bariatric surgical leaks and fistulas: Basic principles and recommendations. World J. Gastroenterol. 2023, 29, 1173–1193. [Google Scholar] [CrossRef] [PubMed]
- de Moura, D.T.H.; Sachdev, A.H.; Thompson, C.C. Endoscopic Full-Thickness Defects and Closure Techniques. Curr. Treat. Options Gastroenterol. 2018, 16, 386–405. [Google Scholar] [CrossRef]
- Sharaiha, R.Z.; Kumta, N.A.; DeFilippis, E.M.; Dimaio, C.J.; Gonzalez, S.; Gonda, T.; Rogart, J.; Siddiqui, A.; Berg, P.S.; Samuels, P.; et al. A Large Multicenter Experience With Endoscopic Suturing for Management of Gastrointestinal Defects and Stent Anchorage in 122 Patients: A Retrospective Review. J. Clin. Gastroenterol. 2016, 50, 388–392. [Google Scholar] [CrossRef] [PubMed]
- Mukewar, S.; Kumar, N.; Catalano, M.; Thompson, C.; Abidi, W.; Harmsen, W.; Enders, F.; Gostout, C. Safety and efficacy of fistula closure by endoscopic suturing: A multi-center study. Endoscopy 2016, 48, 1023–1028. [Google Scholar] [CrossRef] [PubMed]
- Fang, H.; Yao, T.; Chen, Y.; Lu, Y.; Xiong, K.; Su, Y.; Zhang, Y.; Wang, Y.; Zhang, L. An innovative endoscopic management strategy for postoperative fistula after laparoscopic sleeve gastrectomy. Surg. Endosc. 2022, 36, 6439–6445. [Google Scholar] [CrossRef] [PubMed]
- Coskun, H.; Yardimci, E. Effects and results of fibrin sealant use in 1000 laparoscopic sleeve gastrectomy cases. Surg. Endosc. 2017, 31, 2174–2179. [Google Scholar] [CrossRef] [PubMed]
- Parikh, M.; Issa, R.; McCrillis, A.; Saunders, J.K.; Ude-Welcome, A.; Gagner, M. Surgical strategies that may decrease leak after laparoscopic sleeve gastrectomy: A systematic review and meta-analysis of 9991 cases. Ann. Surg. 2013, 257, 231–237. [Google Scholar] [CrossRef] [PubMed]
- Chen, Y.S.; Loh, E.W.; Shen, S.C.; Su, Y.H.; Tam, K.W. Efficacy of Fibrin Sealant in Reducing Complication Risk After Bariatric Surgery: A Systematic Review and Meta-analysis. Obes. Surg. 2021, 31, 1158–1167. [Google Scholar] [CrossRef] [PubMed]
- Carandina, S.; Tabbara, M.; Bossi, M.; Valenti, A.; Polliand, C.; Genser, L.; Barrat, C. Staple Line Reinforcement During Laparoscopic Sleeve Gastrectomy: Absorbable Monofilament, Barbed Suture, Fibrin Glue, or Nothing? Results of a Prospective Randomized Study. J. Gastrointest. Surg. 2016, 20, 361–366. [Google Scholar] [CrossRef]
- Assalia, A.; Ilivitzki, A.; Ofer, A.; Suissa, A.; Manassa, E.; Khamaysi, I.; Mahajna, A. Management of gastric fistula complicating laparoscopic sleeve gastrectomy with biological glue in a combined percutaneous and endoscopic approach. Surg. Obes. Relat. Dis. 2018, 14, 1093–1098. [Google Scholar] [CrossRef]
- Medas, R.; Rodrigues-Pinto, E. Technical Review on Endoscopic Treatment Devices for Management of Upper Gastrointestinal Postsurgical Leaks. Gastroenterol. Res. Pract. 2023, 2023, 9712555. [Google Scholar] [CrossRef]
- Kotzampassi, K.; Eleftheriadis, E. Tissue sealants in endoscopic applications for anastomotic leakage during a 25-year period. Surgery 2015, 157, 79–86. [Google Scholar] [CrossRef]
- Martines, G.; Digennaro, R.; De Fazio, M.; Capuano, P. Cyanoacrylate sealant compared to fibrin glue in staple line reinforcement during laparoscopic sleeve gastrectomy. Pilot prospective observational study. G. Chir. J. Ital. Surg. Assoc. 2017, 38, 50–52. [Google Scholar] [CrossRef] [PubMed]
- Pilone, V.; Tramontano, S.; Renzulli, M.; Romano, M.; Monda, A.; Albanese, A.; Foletto, M. Omentopexy with Glubran®2 for reducing complications after laparoscopic sleeve gastrectomy: Results of a randomized controlled study. BMC Surg. 2019, 19 (Suppl. S1), 56. [Google Scholar] [CrossRef] [PubMed]
- Martines, G.; Tomasicchio, G.; Picciariello, A.; Dibra, R.; Trigiante, G.; Lantone, G.; Altomare, D.F. Staple line reinforcement with nebulized cyanoacrylate glue in laparoscopic sleeve gastrectomy: A propensity score-matched study. Open Med. 2022, 17, 197–204. [Google Scholar] [CrossRef] [PubMed]
- Uccelli, M.; Targa, S.; Cesana, G.C.; Oldani, A.; Ciccarese, F.; Giorgi, R.; De Carli, S.M.; Olmi, S. Use of fibrin glue in bariatric surgery: Analysis of complications after laparoscopic sleeve gastrectomy on 450 consecutive patients. Updates Surg. 2021, 73, 305–311. [Google Scholar] [CrossRef] [PubMed]
- Usta, S.; Karabulut, K. Effect of fibrin glue or suture on leakage in patients undergoing laparoscopic sleeve gastrectomy. Niger. J. Clin. Pract. 2018, 21, 1209–1212. [Google Scholar] [CrossRef] [PubMed]
- Markus, A.; Henrik, B.J.; Benedikt, R.; Alexander, H.; Thomas, B.; Clemens, S.; Jan-Hendrik, E. Endoscopic vacuum therapy in salvage and standalone treatment of gastric leaks after bariatric surgery. Langenbecks Arch. Surg. 2022, 407, 1039–1046. [Google Scholar] [CrossRef] [PubMed]
- Archid, R.; Wichmann, D.; Klingert, W.; Nadiradze, G.; Hönes, F.; Archid, N.; Othman, A.E.; Ahmad, S.J.S.; Königsrainer, A.; Lange, J. Endoscopic Vacuum Therapy for Staple Line Leaks after Sleeve Gastrectomy. Obes. Surg. 2020, 30, 1310–1315. [Google Scholar] [CrossRef] [PubMed]
- Kollmann, L.; Reimer, S.; Lock, J.F.; Flemming, I.; Widder, A.; May, J.; Krietenstein, L.; Gruber, M.; Meining, A.; Hankir, M.; et al. Endoscopic vacuum therapy as a first-line treatment option for gastric leaks after bariatric surgery: Evidence from 10 years of experience. Surg. Obes. Relat. Dis. 2023, 19, 1041–1048. [Google Scholar] [CrossRef] [PubMed]
- Leeds, S.G.; Burdick, J.S. Management of gastric leaks after sleeve gastrectomy with endoluminal vacuum (E-Vac) therapy. Surg. Obes. Relat. Dis. 2016, 12, 1278–1285. [Google Scholar] [CrossRef]
- Mencio, M.A.; Ontiveros, E.; Burdick, J.S.; Leeds, S.G. Use of a novel technique to manage gastrointestinal leaks with endoluminal negative pressure: A single institution experience. Surg. Endosc. 2018, 32, 3349–3356. [Google Scholar] [CrossRef]
- Intriago, J.M.V.; de Moura, D.T.H.; Junior, E.S.D.M.; Proença, I.M.; Ribeiro, I.B.; Sánchez-Luna, S.A.; Bernardo, W.M.; de Moura, E.G.H. Endoscopic Vacuum Therapy (EVT) for the Treatment of Post-Bariatric Surgery Leaks and Fistulas: A Systematic Review and Meta-analysis. Obes. Surg. 2022, 32, 3435–3451. [Google Scholar] [CrossRef] [PubMed]
- Shnell, M.; Gluck, N.; Abu-Abeid, S.; Santo, E.; Fishman, S. Use of endoscopic septotomy for the treatment of late staple-line leaks after laparoscopic sleeve gastrectomy. Endoscopy 2017, 49, 59–63. [Google Scholar] [CrossRef] [PubMed]
- Baretta, G.; Campos, J.; Correia, S.; Alhinho, H.; Marchesini, J.B.; Lima, J.H.; Neto, M.G. Bariatric postoperative fistula: A life-saving endoscopic procedure. Surg. Endosc. 2015, 29, 1714–1720. [Google Scholar] [CrossRef] [PubMed]
- Mahadev, S.; Kumbhari, V.; Campos, J.M.; Neto, M.G.; Khashab, M.A.; Chavez, Y.H.; Bessler, M.; Gonda, T.A. Endoscopic septotomy: An effective approach for internal drainage of sleeve gastrectomy-associated collections. Endoscopy 2017, 49, 504–508. [Google Scholar] [CrossRef]
- Endoscopic Abscess Septotomy: A Less Invasive Approach for the Treatment of Sleeve Gastrectomy Leaks. J. Laparoendosc. Adv. Surg. Tech. 2018, 28, 859–863. [CrossRef] [PubMed]
- Campos, J.M.; Ferreira, F.C.; Teixeira, A.F.; Lima, J.S.; Moon, R.C.; D’Assunção, M.A.; Neto, M.G. Septotomy and Balloon Dilation to Treat Chronic Leak After Sleeve Gastrectomy: Technical Principles. Obes. Surg. 2016, 26, 1992–1993. [Google Scholar] [CrossRef] [PubMed]
- Dapri, G.; Cadière, G.B.; Himpens, J. Reinforcing the staple line during laparoscopic sleeve gastrectomy: Prospective randomized clinical study comparing three different techniques. Obes. Surg. 2010, 20, 462–467. [Google Scholar] [CrossRef] [PubMed]
- Gagner, M.; Buchwald, J.N. Comparison of laparoscopic sleeve gastrectomy leak rates in four staple-line reinforcement options: A systematic review. Surg. Obes. Relat. Dis. 2014, 10, 713–723. [Google Scholar] [CrossRef] [PubMed]
- Gagner, M.; Kemmeter, P. Comparison of laparoscopic sleeve gastrectomy leak rates in five staple-line reinforcement options: A systematic review. Surg. Endosc. 2020, 34, 396–407. [Google Scholar] [CrossRef]
- Aurora, A.R.; Khaitan, L.; Saber, A.A. Sleeve gastrectomy and the risk of leak: A systematic analysis of 4,888 patients. Surg. Endosc. 2012, 26, 1509–1515. [Google Scholar] [CrossRef]
- Di, J.; Wang, C.; Zhang, P.; Han, X.; Liu, W.; Zhang, H. The middle-term result of laparoscopic sleeve gastrectomy in Chinese obesity patients in a single hospital, with the review of literatures and strategy for gastric stenosis. Ann. Transl. Med. 2018, 6, 479. [Google Scholar] [CrossRef] [PubMed]
- Park, J.Y. Diagnosis and Management of Postoperative Complications After Sleeve Gastrectomy. J. Metab. Bariatr. Surg. 2022, 11, 1–12. [Google Scholar] [CrossRef] [PubMed]
- Levy, J.L.; Levine, M.S.; Rubesin, S.E.; Williams, N.N.; Dumon, K.R. Stenosis of gastric sleeve after laparoscopic sleeve gastrectomy: Clinical, radiographic and endoscopic findings. Br. J. Radiol. 2018, 91, 20170702. [Google Scholar] [CrossRef] [PubMed]
- Mazer, L.; Yu, J.X.; Bhalla, S.; Platt, K.; Watts, L.; Volk, S.; Schulman, A.R. Pneumatic Balloon Dilation of Gastric Sleeve Stenosis Is Not Associated with Weight Regain. Obes. Surg. 2022, 32, 1–6. [Google Scholar] [CrossRef] [PubMed]
- Dhorepatil, A.S.; Cottam, D.; Surve, A.; Medlin, W.; Zaveri, H.; Richards, C.; Cottam, A. Is pneumatic balloon dilation safe and effective primary modality of treatment for post-sleeve gastrectomy strictures? A retrospective study. BMC Surg. 2018, 18, 52. [Google Scholar] [CrossRef] [PubMed]
- Agnihotri, A.; Barola, S.; Hill, C.; Neto, M.G.; Campos, J.; Singh, V.K.; Schweitzer, M.; A Khashab, M.; Kumbhari, V. An Algorithmic Approach to the Management of Gastric Stenosis Following Laparoscopic Sleeve Gastrectomy. Obes. Surg. 2017, 27, 2628–2636. [Google Scholar] [CrossRef]
- Lorenzo, D.; Gkolfakis, P.; Lemmers, A.; Louis, H.; Huberty, V.; Blero, D.; Devière, J. Endoscopic Dilation of Post-Sleeve Gastrectomy Stenosis: Long-Term Efficacy and Safety Results. Obes. Surg. 2021, 31, 2188–2196. [Google Scholar] [CrossRef] [PubMed]
- Kumbhari, V.; Cummings, D.E.; Kalloo, A.N.; Schauer, P.R. AGA Clinical Practice Update on Evaluation and Management of Early Complications After Bariatric/Metabolic Surgery: Expert Review. Clin. Gastroenterol. Hepatol. 2021, 19, 1531–1537. [Google Scholar] [CrossRef]
- Chang, S.H.; Popov, V.B.; Thompson, C.C. Endoscopic balloon dilation for treatment of sleeve gastrectomy stenosis: A systematic review and meta-analysis. Gastrointest. Endosc. 2020, 91, 989–1002.e4. [Google Scholar] [CrossRef]
- Joo, M.K. Endoscopic Approach for Major Complications of Bariatric Surgery. Clin. Endosc. 2017, 50, 31–41. [Google Scholar] [CrossRef]
- Yu, J.X.; Dolan, R.D.; Bhalla, S.; Mazer, L.; Watts, L.; Schulman, A.R. Quantification of gastric sleeve stenosis using endoscopic parameters and image analysis. Gastrointest. Endosc. 2021, 93, 1344–1348. [Google Scholar] [CrossRef] [PubMed]
- Yu, J.X.; Baker, J.R.; Watts, L.; Varban, O.A.; Chen, J.W.; Rubenstein, J.H.; Schulman, A.R. Functional Lumen Imaging Probe Is Useful for the Quantification of Gastric Sleeve Stenosis and Prediction of Response to Endoscopic Dilation: A Pilot Study. Obes. Surg. 2020, 30, 786–789. [Google Scholar] [CrossRef] [PubMed]
- Yu, J.X.; Evans, G.; Volk, S.; Watts, L.; Schulman, A.R. Endoscopic severity of gastric sleeve stenosis can be quantified using impedance planimetry. Surg. Endosc. 2023, 37, 5969–5974. [Google Scholar] [CrossRef] [PubMed]
- Evans, G.; Yu, J.X.; Moy, B.; Leith, A.; Volk, S.; Taher, O.; Miller, C.; Schulman, A.R. Use of Impedance Planimetry in the Diagnosis of Gastric Sleeve Stenosis: The Establishment of New Benchmark Values. Am. J. Gastroenterol. 2024. [Google Scholar] [CrossRef]
- Khashab, M.A.; Stein, E.; Clarke, J.O.; Saxena, P.; Kumbhari, V.; Roland, B.C.; Kalloo, A.N.; Stavropoulos, S.; Pasricha, P.; Inoue, H. Gastric peroral endoscopic myotomy for refractory gastroparesis: First human endoscopic pyloromyotomy (with video). Gastrointest. Endosc. 2013, 78, 764–768. [Google Scholar] [CrossRef]
- Farha, J.; Fayad, L.; Kadhim, A.; Şimşek, C.; Badurdeen, D.S.; Ichkhanian, Y.; Itani, M.I.; Kalloo, A.N.; Khashab, M.A.; Kumbhari, V. Gastric Per-Oral Endoscopic Myotomy (G-POEM) for the Treatment of Gastric Stenosis Post-Laparoscopic Sleeve Gastrectomy (LSG). Obes. Surg. 2019, 29, 2350–2354. [Google Scholar] [CrossRef] [PubMed]
- Gopakumar, H.; Puli, S.R. Modified peroral endoscopic myotomy for non-helical-type gastric sleeve stenosis after laparoscopic sleeve gastrectomy. Gastrointest. Endosc. 2024, 99, 287–288. [Google Scholar] [CrossRef] [PubMed]
- Verga, M.C.; Mazza, S.; Azzolini, F.; Cereatti, F.; Conti, C.B.; Drago, A.; Soro, S.; Elvo, B.; Grassia, R. Gastric per-oral endoscopic myotomy: Indications, technique, results and comparison with surgical approach. World J. Gastrointest. Surg. 2022, 14, 12–23. [Google Scholar] [CrossRef]
- Zhang, L.Y.; Canto, M.I.; Schweitzer, M.A.; Khashab, M.A.; Kumbhari, V. Gastric per-oral endoscopic myotomy (G-POEM) for the treatment of gastric sleeve stenosis: A feasibility and safety study. Endoscopy 2022, 54, 376–381. [Google Scholar] [CrossRef]
- Hu, A.; Morrell, D.J.; Winder, J.S. Per-Oral Endoscopic Pyloromyotomy in a Patient with History of Sleeve Gastrectomy: A Promising Intervention for Gastroparesis? Videoscopy 2022, 32. [Google Scholar] [CrossRef]
- Eriksson, S.E.; Zheng, P.; Morton, S.; Maurer, N.; Hoppo, T.; Jobe, B.A.; Ayazi, S. Predictors of favorable outcome after pyloroplasty for gastroparesis: Should response to pyloric dilation or Botox injection be used as a marker of surgical outcome? Surg. Endosc. 2023, 37, 4360–4369. [Google Scholar] [CrossRef] [PubMed]
- Pasricha, T.S.; Pasricha, P.J. Botulinum Toxin Injection for Treatment of Gastroparesis. Gastrointest. Endosc. Clin. N. Am. 2019, 29, 97–106. [Google Scholar] [CrossRef] [PubMed]
- Bhutani, M.S.; Ejaz, S.; Cazacu, I.M.; Singh, B.S.; Shafi, M.; Stroehlein, J.R.; Mehran, R.J.; Walsh, G.; Vaporciyan, A.; Swisher, S.G.; et al. Endoscopic Intrapyloric Botulinum Toxin Injection with Pyloric Balloon Dilation for Symptoms of Delayed Gastric Emptying after Distal Esophagectomy for Esophageal Cancer: A 10-Year Experience. Cancers 2022, 14, 5743. [Google Scholar] [CrossRef] [PubMed]
- Nevins, E.; Rao, R.; Nicholson, J.; Murphy, K.; Moore, A.; Smart, H.; Stephens, N.; Grocock, C.; Kaul, A.; Gunasekera, R.; et al. Endoscopic Botulinum toxin as a treatment for delayed gastric emptying following oesophagogastrectomy. Ann. R. Coll. Surg. Engl. 2020, 102, 693–696. [Google Scholar] [CrossRef] [PubMed]
- Cerfolio, R.J.; Bryant, A.S.; Canon, C.L.; Dhawan, R.; Eloubeidi, M.A. Is botulinum toxin injection of the pylorus during Ivor–Lewis esophagogastrectomy the optimal drainage strategy? J. Thorac. Cardiovasc. Surg. 2009, 137, 565–572. [Google Scholar] [CrossRef] [PubMed]
- Lee, J.H.; Kim, C.G.; Kim, Y.-W.; Choi, I.J.; Lee, J.Y.; Cho, S.-J.; Eom, B.W.; Yoon, H.M.; Ryu, K.W. Botulinum Toxin Injection for the Treatment of Delayed Gastric Emptying Following Pylorus-Preserving Gastrectomy: An Initial Experience. J. Gastric Cancer 2017, 17, 173–179. [Google Scholar] [CrossRef] [PubMed]
- Youssef, T.; Abdalla, E.; El-Alfy, K.; Dawoud, I.; Morshed, M.; Farid, M. Impact of Botulinum Neurotoxin Pyloric Injection During Laparoscopic Sleeve Gastrectomy on Postoperative Gastric Leak: A Clinical Randomized Study. Obes. Surg. 2016, 26, 494–504. [Google Scholar] [CrossRef]
- Dick, A.; Byrne, T.K.; Baker, M.; Budak, A.; Morgan, K. Gastrointestinal bleeding after gastric bypass surgery: Nuisance or catastrophe? Surg. Obes. Relat. Dis. 2010, 6, 643–647. [Google Scholar] [CrossRef]
- Fridman, A.; Szomstein, S.; Rosenthal, R.J. Postoperative Bleeding in the Bariatric Surgery Patient. In The ASMBS Textbook of Bariatric Surgery; Nguyen, N.T., Blackstone, R.P., Morton, J.M., Ponce, J., Rosenthal, R.J., Eds.; Bariatric Surgery; Springer: New York, NY, USA, 2015; Volume 1, pp. 241–247. [Google Scholar]
- Yong, S.; Poh, B.; Eng, A.; Pasupathy, S.; Chan, W.H.; Lee, P.C.; Too, C.W.; Urlings, T.; Tham, K.W.; Lim, E.K.W. Post-operative bleeding complications in laparoscopic sleeve gastrectomy: Sources, solutions and lessons learnt from a single cohort of patients. Dig. Med. Res. 2019, 2. [Google Scholar] [CrossRef]
- Parsi, M.A.; Schulman, A.R.; Aslanian, H.R.; Bhutani, M.S.; Krishnan, K.; Lichtenstein, D.R.; Melson, J.; Navaneethan, U.; Pannala, R.; Sethi, A.; et al. Devices for endoscopic hemostasis of nonvariceal GI bleeding (with videos). VideoGIE 2019, 4, 285–299. [Google Scholar] [CrossRef]
- Laine, L.; McQuaid, K.R. Endoscopic therapy for bleeding ulcers: An evidence-based approach based on meta-analyses of randomized controlled trials. Clin. Gastroenterol. Hepatol. 2009, 7, 33–47, quiz 1–2. [Google Scholar] [CrossRef] [PubMed]
- Marmo, R.; Rotondano, G.; Piscopo, R.; Bianco, M.A.; D’Angella, R.; Cipolletta, L. Dual therapy versus monotherapy in the endoscopic treatment of high-risk bleeding ulcers: A meta-analysis of controlled trials. Am. J. Gastroenterol. 2007, 102, 279–289, quiz 469. [Google Scholar] [CrossRef] [PubMed]
- Campos, J.M.; Moon, R.; Teixeira, A.; Ferraz, A.A.; Ferreria, F.; Kumbhari, V. Endoscopic Management of Massive Hemorrhage 12 h Post Laparoscopic Roux-en-Y Gastric Bypass. Obes. Surg. 2015, 25, 1981–1983. [Google Scholar] [CrossRef] [PubMed]
- Jamil, L.H.; Krause, K.R.; Chengelis, D.L.; Jury, R.P.; Jackson, C.M.; Cannon, M.E.; Duffy, M.C. Endoscopic management of early upper gastrointestinal hemorrhage following laparoscopic Roux-en-Y gastric bypass. Am. J. Gastroenterol. 2008, 103, 86–91. [Google Scholar] [CrossRef] [PubMed]
- Gagner, M.; Deitel, M.; Erickson, A.L.; Crosby, R.D. Survey on laparoscopic sleeve gastrectomy (LSG) at the Fourth International Consensus Summit on Sleeve Gastrectomy. Obes. Surg. 2013, 23, 2013–2017. [Google Scholar] [CrossRef] [PubMed]
- Salminen, P.; Helmiö, M.; Ovaska, J.; Juuti, A.; Leivonen, M.; Peromaa-Haavisto, P.; Hurme, S.; Soinio, M.; Nuutila, P.; Victorzon, M. Effect of Laparoscopic Sleeve Gastrectomy vs Laparoscopic Roux-en-Y Gastric Bypass on Weight Loss at 5 Years Among Patients With Morbid Obesity: The SLEEVEPASS Randomized Clinical Trial. JAMA 2018, 319, 241–254. [Google Scholar] [CrossRef]
- Salminen, P.; Grönroos, S.; Helmiö, M.; Hurme, S.; Juuti, A.; Juusela, R.; Peromaa-Haavisto, P.; Leivonen, M.; Nuutila, P.; Ovaska, J. Effect of Laparoscopic Sleeve Gastrectomy vs Roux-en-Y Gastric Bypass on Weight Loss, Comorbidities, and Reflux at 10 Years in Adult Patients with Obesity: The SLEEVEPASS Randomized Clinical Trial. JAMA Surg. 2022, 157, 656–666. [Google Scholar] [CrossRef] [PubMed]
- Peterli, R.; Wölnerhanssen, B.K.; Peters, T.; Vetter, D.; Kröll, D.; Borbély, Y.; Schultes, B.; Beglinger, C.; Drewe, J.; Schiesser, M.; et al. Effect of Laparoscopic Sleeve Gastrectomy vs Laparoscopic Roux-en-Y Gastric Bypass on Weight Loss in Patients With Morbid Obesity: The SM-BOSS Randomized Clinical Trial. JAMA 2018, 319, 255–265. [Google Scholar] [CrossRef] [PubMed]
- Gu, L.; Chen, B.; Du, N.; Fu, R.; Huang, X.; Mao, F.; Khadaroo, P.A.; Zhao, S. Relationship Between Bariatric Surgery and Gastroesophageal Reflux Disease: A Systematic Review and Meta-analysis. Obes. Surg. 2019, 29, 4105–4113. [Google Scholar] [CrossRef]
- Han, Y.; Jia, Y.; Wang, H.; Cao, L.; Zhao, Y. Comparative analysis of weight loss and resolution of comorbidities between laparoscopic sleeve gastrectomy and Roux-en-Y gastric bypass: A systematic review and meta-analysis based on 18 studies. Int. J. Surg. 2020, 76, 101–110. [Google Scholar] [CrossRef]
- Yeung, K.T.D.; Penney, N.; Ashrafian, L.; Darzi, A.; Ashrafian, H. Does Sleeve Gastrectomy Expose the Distal Esophagus to Severe Reflux?: A Systematic Review and Meta-analysis. Ann. Surg. 2020, 271, 257–265. [Google Scholar] [CrossRef]
- Znamirowski, P.; Kołomańska, M.; Mazurkiewicz, R.; Tymchyshyn, O.; Nawacki, Ł. GERD as a Complication of Laparoscopic Sleeve Gastrectomy for the Treatment of Obesity: A Systematic Review and Meta-Analysis. J. Pers. Med. 2023, 13, 1243. [Google Scholar] [CrossRef] [PubMed]
- Masood, M.; Low, D.; Deal, S.B.; Kozarek, R.A. Gastroesophageal Reflux Disease in Obesity: Bariatric Surgery as Both the Cause and the Cure in the Morbidly Obese Population. J. Clin. Med. 2023, 12, 5543. [Google Scholar] [CrossRef]
- Qumseya, B.J.; Qumsiyeh, Y.; Ponniah, S.A.; Estores, D.; Yang, D.; Johnson-Mann, C.N.; Friedman, J.; Ayzengart, A.; Draganov, P.V. Barrett’s esophagus after sleeve gastrectomy: A systematic review and meta-analysis. Gastrointest. Endosc. 2021, 93, 343–352.e2. [Google Scholar] [CrossRef]
- Campos, G.M.; Mazzini, G.S.; Altieri, M.S.; Docimo, S., Jr.; DeMaria, E.J.; Rogers, A.M. ASMBS position statement on the rationale for performance of upper gastrointestinal endoscopy before and after metabolic and bariatric surgery. Surg. Obes. Relat. Dis. 2021, 17, 837–847. [Google Scholar] [CrossRef] [PubMed]
- Novikov, A.A.; Afaneh, C.; Saumoy, M.; Parra, V.; Shukla, A.; Dakin, G.F.; Pomp, A.; Dawod, E.; Shah, S.; Aronne, L.J.; et al. Endoscopic Sleeve Gastroplasty, Laparoscopic Sleeve Gastrectomy, and Laparoscopic Band for Weight Loss: How Do They Compare? J. Gastrointest. Surg. 2018, 22, 267–273. [Google Scholar] [CrossRef]
- Sharaiha, R.Z.; Kedia, P.; Kumta, N.; Aronne, L.J.; Kahaleh, M. Endoscopic sleeve plication for revision of sleeve gastrectomy. Gastrointest. Endosc. 2015, 81, 1004. [Google Scholar] [CrossRef] [PubMed]
- Maselli, D.B.; Alqahtani, A.R.; Abu Dayyeh, B.K.; Elahmedi, M.; Storm, A.C.; Matar, R.; Nieto, J.; Teixeira, A.; Al Khatry, M.; Neto, M.G.; et al. Revisional endoscopic sleeve gastroplasty of laparoscopic sleeve gastrectomy: An international, multicenter study. Gastrointest. Endosc. 2021, 93, 122–130. [Google Scholar] [CrossRef]
- Nduma, B.N.; Mofor, K.A.; Tatang, J.T.; Ekhator, C.; Ambe, S.; Fonkem, E. Endoscopic Gastric Sleeve: A Review of Literature. Cureus 2023, 15, e36353. [Google Scholar] [CrossRef]
- Fayad, L.; Adam, A.; Schweitzer, M.; Cheskin, L.J.; Ajayi, T.; Dunlap, M.; Badurdeen, D.S.; Hill, C.; Paranji, N.; Lalezari, S.; et al. Endoscopic sleeve gastroplasty versus laparoscopic sleeve gastrectomy: A case-matched study. Gastrointest. Endosc. 2019, 89, 782–788. [Google Scholar] [CrossRef]
- Abu Dayyeh, B.K.; Bazerbachi, F.; Vargas, E.J.; Sharaiha, R.Z.; Thompson, C.C.; Thaemert, B.C.; Teixeira, A.F.; Chapman, C.G.; Kumbhari, V.; Ujiki, M.B.; et al. Endoscopic sleeve gastroplasty for treatment of class 1 and 2 obesity (MERIT): A prospective, multicentre, randomised trial. Lancet 2022, 400, 441–451. [Google Scholar] [CrossRef] [PubMed]










| Sleeve Gastrectomy Complication | Endoscopic Management |
|---|---|
| Gastric sleeve leak/acute staple line leak Chronic fistula |
|
| Sleeve stenosis |
|
| Gastrointestinal hemorrhage |
|
| Gastroesophageal reflux disease |
|
Disclaimer/Publisher’s Note: The statements, opinions and data contained in all publications are solely those of the individual author(s) and contributor(s) and not of MDPI and/or the editor(s). MDPI and/or the editor(s) disclaim responsibility for any injury to people or property resulting from any ideas, methods, instructions or products referred to in the content. |
© 2024 by the authors. Licensee MDPI, Basel, Switzerland. This article is an open access article distributed under the terms and conditions of the Creative Commons Attribution (CC BY) license (https://creativecommons.org/licenses/by/4.0/).
Share and Cite
Masood, M.; Low, D.E.; Deal, S.B.; Kozarek, R.A. Endoscopic Management of Post-Sleeve Gastrectomy Complications. J. Clin. Med. 2024, 13, 2011. https://doi.org/10.3390/jcm13072011
Masood M, Low DE, Deal SB, Kozarek RA. Endoscopic Management of Post-Sleeve Gastrectomy Complications. Journal of Clinical Medicine. 2024; 13(7):2011. https://doi.org/10.3390/jcm13072011
Chicago/Turabian StyleMasood, Muaaz, Donald E. Low, Shanley B. Deal, and Richard A. Kozarek. 2024. "Endoscopic Management of Post-Sleeve Gastrectomy Complications" Journal of Clinical Medicine 13, no. 7: 2011. https://doi.org/10.3390/jcm13072011
APA StyleMasood, M., Low, D. E., Deal, S. B., & Kozarek, R. A. (2024). Endoscopic Management of Post-Sleeve Gastrectomy Complications. Journal of Clinical Medicine, 13(7), 2011. https://doi.org/10.3390/jcm13072011

