Impact of Minimally Manipulated Cell Therapy on Immune Responses in Radiation-Induced Skin Wound Healing
Abstract
1. Introduction
2. Results
2.1. Assessment of Viability of Isolated Cell Fractions According to the Developed Protocol
2.2. Cell Separation Based on Flow Cytometry and Sorting by Direct and Lateral Light Scattering
2.3. Morphometric Analysis
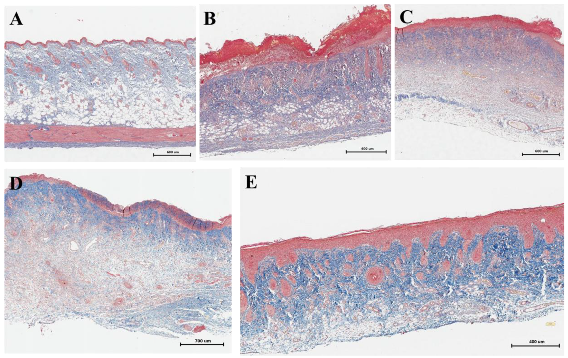
2.4. Histological Analysis
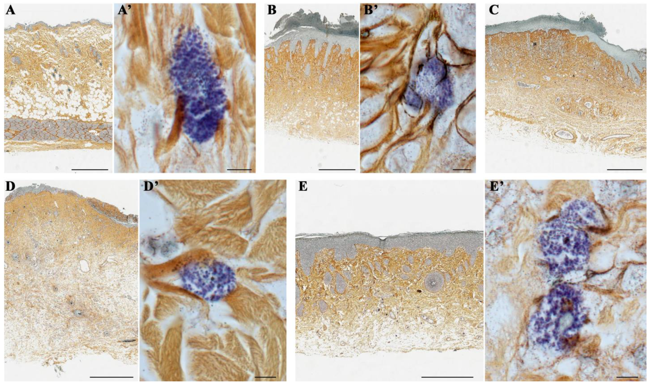
2.5. Combined Immunohistochemical and Histochemical Staining and Monoplex and Multiplex Immunohistochemical Staining
3. Discussion
4. Materials and Methods
4.1. Laboratory Animals
4.2. Ionizing Irradiation
4.3. The Isolation of Minimally Manipulated Cell Fractions from Skin
4.4. Assessment of Viability of Enzymatically Isolated Cell Fractions
4.5. Cell Separation Based on Flow Cytometry and Sorting by Direct and Lateral Light Scattering
4.6. Cell Therapy
4.7. Treatment with Syntazone Ointment
4.8. Histological Examination
- 1.
- Skin samples of animals without radiation exposure (control group);
- 2.
- Skin samples of animals with radiation-induced skin wounds at the time of wet epidermitis development;
- 3.
- Skin samples of animals with radiation skin wounds without treatment at the end of the experiment (negative control group);
- 4.
- Skin samples of animals treated with standard therapy;
- 5.
- Skin samples of animals treated with cell therapy.
4.9. Combined Immunohistochemical and Histochemical Staining
4.10. Monoplex and Multiplex Immunohistochemical Staining
4.11. Images Processing and Statistical Analysis
5. Conclusions
Supplementary Materials
Author Contributions
Funding
Institutional Review Board Statement
Data Availability Statement
Conflicts of Interest
References
- Gieringer, M.; Gosepath, J.; Naim, R. Radiotherapy and wound healing: Principles, management and prospects. Oncol. Rep. 2011, 26, 299–307. [Google Scholar] [CrossRef]
- Iddins, C.J.; DiCarlo, A.L.; Ervin, M.D.; Herrera-Reyes, E.; Goans, R.E. Cutaneous and local radiation injuries. J. Radiol. Prot. 2022, 2, 011001. [Google Scholar] [CrossRef] [PubMed]
- Aliper, A.M.; Bozdaganyan, M.E.; Sarkisova, V.A.; Veviorsky, A.P.; Ozerov, I.V.; Orekhov, P.S.; Korzinkin, M.B.; Moskalev, A.; Zhavoronkov, A.; Osipov, A.N. Radioprotectors.org: An open database of known and predicted radioprotectors. Aging 2020, 12, 15741–15755. [Google Scholar] [CrossRef]
- Christy, B.A.; Herzig, M.C.; Wu, X.; Mohammadipoor, A.; McDaniel, J.S.; Bynum, J.A. Cell Therapies for Acute Radiation Syndrome. Int. J. Mol. Sci. 2024, 25, 6973. [Google Scholar] [CrossRef] [PubMed]
- Yang, P.; Zhang, S.; Yan, T.; Li, F.; Zhang, S. The Therapeutic Application of Stem Cells and Their Derived Exosomes in the Treatment of Radiation-Induced Skin Injury. Radiat. Res. 2023, 199, 182–201. [Google Scholar] [CrossRef] [PubMed]
- Fang, Z.; Chen, P.; Tang, S.; Chen, A.; Zhang, C.; Peng, G.; Li, M.; Chen, X. Will mesenchymal stem cells be future directions for treating radiation-induced skin injury? Stem Cell Res. Ther. 2021, 12, 179. [Google Scholar] [CrossRef] [PubMed]
- Wang, K.X.; Cui, W.W.; Yang, X.; Tao, A.B.; Lan, T.; Li, T.S.; Luo, L. Mesenchymal Stem Cells for Mitigating Radiotherapy Side Effects. Cells 2021, 10, 294. [Google Scholar] [CrossRef]
- Flamant, S.; Loinard, C.; Tamarat, R. MSC beneficial effects and limitations, and MSC-derived extracellular vesicles as a new cell-free therapy for tissue regeneration in irradiated condition. Environ. Adv. 2023, 13, 100408. [Google Scholar] [CrossRef]
- Rady, D.; Abbass, M.M.S.; El-Rashidy, A.A.; El Moshy, S.; Radwan, I.A.; Dörfer, C.E.; Fawzy El-Sayed, K.M. Mesenchymal Stem/Progenitor Cells: The Prospect of Human Clinical Translation. Stem Cells Int. 2020, 2020, 8837654. [Google Scholar] [CrossRef]
- Zhou, T.; Yuan, Z.; Weng, J.; Pei, D.; Du, X.; He, C.; Lai, P. Challenges and advances in clinical applications of mesenchymal stromal cells. J. Hematol. Oncol. 2021, 14, 24. [Google Scholar] [CrossRef] [PubMed]
- Regmi, S.; Pathak, S.; Kim, J.O.; Yong, C.S.; Jeong, J.H. Mesenchymal stem cell therapy for the treatment of inflammatory diseases: Challenges, opportunities, and future perspectives. Eur. J. Cell Biol. 2019, 98, 151041. [Google Scholar] [CrossRef] [PubMed]
- Saeedi, P.; Halabian, R.; Imani Fooladi, A.A. A revealing review of mesenchymal stem cells therapy, clinical perspectives and Modification strategies. Stem Cell Investig. 2019, 6, 34. [Google Scholar] [CrossRef] [PubMed]
- Slama, Y.; Ah-Pine, F.; Khettab, M.; Arcambal, A.; Begue, M.; Dutheil, F.; Gasque, P. The Dual Role of Mesenchymal Stem Cells in Cancer Pathophysiology: Pro-Tumorigenic Effects versus Therapeutic Potential. Int. J. Mol. Sci. 2023, 24, 13511. [Google Scholar] [CrossRef] [PubMed]
- García-Sánchez, D.; Fernández, D.; Rodríguez-Rey, J.C.; Pérez-Campo, F.M. Enhancing survival, engraftment, and osteogenic potential of mesenchymal stem cells. World J. Stem Cells. 2019, 11, 748–763. [Google Scholar] [CrossRef] [PubMed]
- Zaripova, L.N.; Midgley, A.; Christmas, S.E.; Beresford, M.W.; Pain, C.; Baildam, E.M.; Oldershaw, R.A. Mesenchymal Stem Cells in the Pathogenesis and Therapy of Autoimmune and Autoinflammatory Diseases. Int. J. Mol. Sci. 2023, 24, 16040. [Google Scholar] [CrossRef] [PubMed]
- Mishra, V.K.; Shih, H.H.; Parveen, F.; Lenzen, D.; Ito, E.; Chan, T.F.; Ke, L.Y. Identifying the Therapeutic Significance of Mesenchymal Stem Cells. Cells 2020, 9, 1145. [Google Scholar] [CrossRef] [PubMed]
- Ahangar, P.; Mills, S.J.; Cowin, A.J. Mesenchymal Stem Cell Secretome as an Emerging Cell-Free Alternative for Improving Wound Repair. Int. J. Mol. Sci. 2020, 21, 7038. [Google Scholar] [CrossRef] [PubMed]
- Krasilnikova, O.A.; Klabukov, I.D.; Baranovskii, D.S.; Shegay, P.V.; Kaprin, A.D. The new legal framework for minimally manipulated cells expands the possibilities for cell therapy in Russia. Cytotherapy 2021, 23, 754–755. [Google Scholar] [CrossRef] [PubMed]
- Feigal, E.G.; Cosenza, M.E. Cellular-Based Therapies. In Translational Medicine, 1st ed.; Cavagnaro, J.A., Cosenza, M.E., Eds.; CRC Press: Boca Raton, FL, USA, 2021; pp. 359–380. [Google Scholar]
- Domaszewska-Szostek, A.P.; Krzyżanowska, M.O.; Czarnecka, A.M.; Siemionow, M. Local Treatment of Burns with Cell-Based Therapies Tested in Clinical Studies. J. Clin. Med. 2021, 10, 396. [Google Scholar] [CrossRef]
- Slominski, A.T.; Slominski, R.M.; Raman, C.; Chen, J.Y.; Athar, M.; Elmets, C. Neuroendocrine signaling in the skin with a special focus on the epidermal neuropeptides. Am. J. Physiol. Cell Physiol. 2022, 323, C1757–C1776. [Google Scholar] [CrossRef] [PubMed]
- Holt, J.R.; Zeng, W.Z.; Evans, E.L.; Woo, S.H.; Ma, S.; Abuwarda, H.; Loud, M.; Patapoutian, A.; Pathak, M.M. Spatiotemporal dynamics of PIEZO1 localization controls keratinocyte migration during wound healing. eLife 2021, 10, e65415. [Google Scholar] [CrossRef] [PubMed]
- Bunker, E.N.; Wheeler, G.E.; Chapnick, D.A.; Liu, X. Suppression of α-catenin and adherens junctions enhances epithelial cell proliferation and motility via TACE-mediated TGF-α autocrine/paracrine signaling. Mol. Biol. Cell. 2021, 32, 348–361. [Google Scholar] [CrossRef] [PubMed]
- Piipponen, M.; Li, D.; Landén, N.X. The Immune Functions of Keratinocytes in Skin Wound Healing. Int. J. Mol. Sci. 2020, 21, 8790. [Google Scholar] [CrossRef] [PubMed]
- Dao, D.T.; Anez-Bustillos, L.; Adam, R.M.; Puder, M.; Bielenberg, D.R. Heparin-Binding Epidermal Growth Factor-Like Growth Factor as a Critical Mediator of Tissue Repair and Regeneration. Am. J. Pathol. 2018, 188, 2446–2456. [Google Scholar] [CrossRef] [PubMed]
- Wilson, S.E. Interleukin-1 and Transforming Growth Factor Beta: Commonly Opposing, but Sometimes Supporting, Master Regulators of the Corneal Wound Healing Response to Injury. Investig. Ophthalmol. Vis. Sci. 2021, 62, 8. [Google Scholar] [CrossRef] [PubMed]
- Huang, J.; Heng, S.; Zhang, W.; Liu, Y.; Xia, T.; Ji, C.; Zhang, L.J. Dermal extracellular matrix molecules in skin development, homeostasis, wound regeneration and diseases. Semin. Cell Dev. Biol. 2022, 128, 137–144. [Google Scholar] [CrossRef] [PubMed]
- Doyle, A.D.; Nazari, S.S.; Yamada, K.M. Cell–extracellular matrix dynamics. Phys. Biol. 2022, 19, 021002. [Google Scholar] [CrossRef] [PubMed]
- Jevtić, M.; Löwa, A.; Nováčková, A.; Kováčik, A.; Kaessmeyer, S.; Erdmann, G.; Vávrová, K.; Hedtrich, S. Impact of intercellular crosstalk between epidermal keratinocytes and dermal fibroblasts on skin homeostasis. Biochim. Biophys. Acta Mol. Cell Res. 2020, 1867, 118722. [Google Scholar] [CrossRef] [PubMed]
- Dickinson, B. Introduction to Flow Cytometry: A Learning Guide; BD Biosciences: San Jose, CA, USA, 2007; 58p. [Google Scholar]
- Klabukov, I.; Baranovskii, D. Stem Cells and Their Derivatives: Unlocking the Promising Potential of Minimally Manipulated Cells for In Situ Tissue Engineering. Cell Transplant. 2024, 33, 9636897231221846. [Google Scholar] [CrossRef] [PubMed]
- Misra, K.; Sabaawy, H.E. Minimally manipulated autologous adherent bone marrow cells (ABMCs): A promising cell therapy of spinal cord injury. Neural Regen. Res. 2015, 10, 1058–1060. [Google Scholar] [CrossRef]
- Kouhbananinejad, S.M.; Armin, F.; Dabiri, S.; Derakhshani, A.; Iranpour, M.; Farsinejad, A. Application and Assessment of Allogeneic Fibroblasts for Cell Therapy. Iran. J. Pathol. 2018, 13, 454–460. [Google Scholar]
- Hanifi, N.; Halim, A.S.; Aleas, C.F.; Singh, J.; Marzuki, M.; Win, T.T.; Keong, L.C.; Kannan, T.P.; Dorai, A.A. Epidermal Regeneration of Cultured Autograft, Allograft, and Xenograft Keratinocytes Transplanted on Full-Thickness Wounds in Rabbits. Exp. Clin. Transplant. 2015, 13, 273–278. [Google Scholar] [PubMed]
- Soriano, J.L.; Calpena, A.C.; Souto, E.B.; Clares, B. Therapy for prevention and treatment of skin ionizing radiation damage: A review. Int. J. Radiat. Biol. 2019, 95, 537–553. [Google Scholar] [CrossRef] [PubMed]
- Avanzo, M.; Lewis, C. Biological Effects of Ionising Radiation. In Introduction to Medical Physics, 1st ed.; Keevil, S., Padovani, R., Tabakov, S., Greener, T., Lewis, C., Eds.; CRC Press: Boca Raton, FL, USA, 2022; pp. 75–94. [Google Scholar]
- Rübe, C.E.; Freyter, B.M.; Tewary, G.; Roemer, K.; Hecht, M.; Rübe, C. Radiation Dermatitis: Radiation-Induced Effects on the Structural and Immunological Barrier Function of the Epidermis. Int. J. Mol. Sci. 2024, 25, 3320. [Google Scholar] [CrossRef] [PubMed]
- Wei, J.; Meng, L.; Hou, X.; Qu, C.; Wang, B.; Xin, Y.; Jiang, X. Radiation-induced skin reactions: Mechanism and treatment. Cancer Manag. Res. 2018, 11, 167–177. [Google Scholar] [CrossRef] [PubMed]
- Gunning, J.A.; Gilman, K.E.; Zúñiga, T.M.; Simpson, R.J.; Limesand, K.H. Parotid glands have a dysregulated immune response following radiation therapy. PLoS ONE 2024, 19, e0297387. [Google Scholar] [CrossRef] [PubMed]
- Chiurchiù, V.; Leuti, A.; Maccarrone, M. Bioactive Lipids and Chronic Inflammation: Managing the Fire Within. Front. Immunol. 2018, 9, 38. [Google Scholar] [CrossRef] [PubMed]
- Ellis, S.; Lin, E.J.; Tartar, D. Immunology of Wound Healing. Curr. Dermatol. Rep. 2018, 7, 350–358. [Google Scholar] [CrossRef] [PubMed]
- Aralova, M.V.; Atyakshin, D.A.; Glukhov, A.A.; Andreev, A.A.; Chuyan, A.O.; Karapit’yan, A.R. Mast Cells as an Active Component of Wound Repair Process. J. Anat. Histopathol. 2018, 7, 103–109. [Google Scholar] [CrossRef]
- Atiakshin, D.; Soboleva, M.; Nikityuk, D.; Alexeeva, N.; Klochkova, S.; Kostin, A.; Shishkina, V.; Buchwalow, I.; Tiemann, M. Mast Cells in Regeneration of the Skin in Burn Wound with Special Emphasis on Molecular Hydrogen Effect. Pharmaceuticals 2023, 16, 348. [Google Scholar] [CrossRef] [PubMed]
- Bacci, S. Fine Regulation during Wound Healing by Mast Cells, a Physiological Role Not Yet Clarified. Int. J. Mol. Sci. 2022, 23, 1820. [Google Scholar] [CrossRef]
- Paivandy, A.; Pejler, G. Novel Strategies to Target Mast Cells in Disease. J. Innate Immun. 2021, 13, 131–147. [Google Scholar] [CrossRef]
- Savage, A.; Risquez, C.; Gomi, K.; Schreiner, R.; Borczuk, A.C.; Worgall, S.; Silver, R.B. The mast cell exosome-fibroblast connection: A novel pro-fibrotic pathway. Front. Med. 2023, 10, 1139397. [Google Scholar] [CrossRef] [PubMed]
- Pincha, N.; Hajam, E.Y.; Badarinath, K.; Batta, S.P.R.; Masudi, T.; Dey, R.; Andreasen, P.; Kawakami, T.; Samuel, R.; George, R.; et al. PAI1 mediates fibroblast-mast cell interactions in skin fibrosis. J. Clin. Investig. 2018, 128, 1807–1819. [Google Scholar] [CrossRef] [PubMed]
- Bot, I.; Velden, D.V.; Bouwman, M.; Kröner, M.J.; Kuiper, J.; Quax, P.H.A.; de Vries, M.R. Local Mast Cell Activation Promotes Neovascularization. Cells 2020, 9, 701. [Google Scholar] [CrossRef] [PubMed]
- Komi, D.E.A.; Redegeld, F.A. Role of Mast Cells in Shaping the Tumor Microenvironment. Clin. Rev. Allergy Immunol. 2020, 58, 313–325. [Google Scholar] [CrossRef] [PubMed]
- Komi, D.E.A.; Khomtchouk, K.; Santa Maria, P.L. A Review of the Contribution of Mast Cells in Wound Healing: Involved Molecular and Cellular Mechanisms. Clin. Rev. Allergy Immunol. 2020, 58, 298–312. [Google Scholar] [CrossRef]
- Ding, J.; Lei, L.; Liu, S.; Zhang, Y.; Yu, Z.; Su, Y.; Ma, X. Macrophages are necessary for skin regeneration during tissue expansion. J. Transl. Med. 2019, 17, 36. [Google Scholar] [CrossRef] [PubMed]
- de Andrade, C.B.V.; Ramos, I.P.R.; de Moraes, A.C.N.; do Nascimento, A.L.R.; Salata, C.; Goldenberg, R.C.D.S.; de Carvalho, J.J.; de Almeida, C.E.V. Radiotherapy-Induced Skin Reactions Induce Fibrosis Mediated by TGF-β1 Cytokine. Dose Response 2017, 15, 1559325817705019. [Google Scholar] [CrossRef] [PubMed]
- Casey, S.; Awotwi-Pratt, J.; Bahl, G. Surface Mould Brachytherapy for Skin Cancers: The British Columbia Cancer Experience. Cureus 2019, 11, e6412. [Google Scholar] [CrossRef] [PubMed]
- BD Biosciences. BD FACSAria™ III User’s Guide; BD Biosciences: San Jose, CA, USA, 2012; 346p, Available online: https://www.bdbiosciences.com/content/dam/bdb/marketing-documents/BD_FACSAria_III_User_Guide.pdf (accessed on 24 December 2024).
- Premium Histologic Dyes and Reagents. Available online: https://biovitrum.ru/files/kraski_mail.pdf (accessed on 24 December 2024).
- Atiakshin, D.; Buchwalow, I.; Tiemann, M. Mast cells and collagen fibrillogenesis. Histochem. Cell Biol. 2020, 154, 21–40. [Google Scholar] [CrossRef] [PubMed]
- Atiakshin, D.A.; Shishkina, V.V.; Gerasimova, O.A.; Meshkova, V.Y.; Samodurova, N.Y.; Samoilenko, T.V.; Buchwalow, I.B.; Samoilova, V.E.; Tiemann, M. Combined histochemical approach in assessing tryptase expression in the mast cell population. Acta Histochem. 2021, 123, 151711. [Google Scholar] [CrossRef] [PubMed]
- Buchwalow, I.; Samoilova, V.; Boecker, W.; Tiemann, M. Non-specific binding of antibodies in immunohistochemistry: Fallacies and facts. Sci. Rep. 2011, 1, 28. [Google Scholar] [CrossRef] [PubMed]










| Group | n | Manipulations |
|---|---|---|
| I—donors | 5 | Skin biomaterial collection for cell isolation |
| II—control | 5 | Intact animals |
| III—negative control | 5 | Single local electron irradiation, dose—40 Gy, skin sampling at the stage of wet epidermitis development |
| IV—experimental | 5 | Single local electron irradiation, dose—40 Gy, absence of treatment |
| V—experimental | 5 | Single local electron irradiation, dose—40 Gy, treatment with standard therapy (Syntazone ointment) |
| VI—experimental | 5 | Single local electron irradiation, dose—40 Gy, cell therapy treatment |
Disclaimer/Publisher’s Note: The statements, opinions and data contained in all publications are solely those of the individual author(s) and contributor(s) and not of MDPI and/or the editor(s). MDPI and/or the editor(s) disclaim responsibility for any injury to people or property resulting from any ideas, methods, instructions or products referred to in the content. |
© 2025 by the authors. Licensee MDPI, Basel, Switzerland. This article is an open access article distributed under the terms and conditions of the Creative Commons Attribution (CC BY) license (https://creativecommons.org/licenses/by/4.0/).
Share and Cite
Shestakova, V.A.; Smirnova, E.I.; Atiakshin, D.A.; Kisel, A.A.; Koryakin, S.N.; Litun, E.V.; Saburov, V.O.; Demyashkin, G.A.; Lagoda, T.S.; Yakimova, A.O.; et al. Impact of Minimally Manipulated Cell Therapy on Immune Responses in Radiation-Induced Skin Wound Healing. Int. J. Mol. Sci. 2025, 26, 1994. https://doi.org/10.3390/ijms26051994
Shestakova VA, Smirnova EI, Atiakshin DA, Kisel AA, Koryakin SN, Litun EV, Saburov VO, Demyashkin GA, Lagoda TS, Yakimova AO, et al. Impact of Minimally Manipulated Cell Therapy on Immune Responses in Radiation-Induced Skin Wound Healing. International Journal of Molecular Sciences. 2025; 26(5):1994. https://doi.org/10.3390/ijms26051994
Chicago/Turabian StyleShestakova, Victoria A., Ekaterina I. Smirnova, Dmitrii A. Atiakshin, Anastas A. Kisel, Sergey N. Koryakin, Evgeniy V. Litun, Vyacheslav O. Saburov, Grigory A. Demyashkin, Tatyana S. Lagoda, Anna O. Yakimova, and et al. 2025. "Impact of Minimally Manipulated Cell Therapy on Immune Responses in Radiation-Induced Skin Wound Healing" International Journal of Molecular Sciences 26, no. 5: 1994. https://doi.org/10.3390/ijms26051994
APA StyleShestakova, V. A., Smirnova, E. I., Atiakshin, D. A., Kisel, A. A., Koryakin, S. N., Litun, E. V., Saburov, V. O., Demyashkin, G. A., Lagoda, T. S., Yakimova, A. O., Kabakov, A. E., Ignatyuk, M. A., Yatsenko, E. M., Kudlay, D. A., Ivanov, S. A., Shegay, P. V., Kaprin, A. D., Baranovskii, D. S., Komarova, L. N., & Klabukov, I. D. (2025). Impact of Minimally Manipulated Cell Therapy on Immune Responses in Radiation-Induced Skin Wound Healing. International Journal of Molecular Sciences, 26(5), 1994. https://doi.org/10.3390/ijms26051994

