Engineering of Bio-Adhesive Ligand Containing Recombinant RGD and PHSRN Fibronectin Cell-Binding Domains in Fusion with a Colored Multi Affinity Tag: Simple Approach for Fragment Study from Expression to Adsorption
Abstract
1. Introduction
2. Results
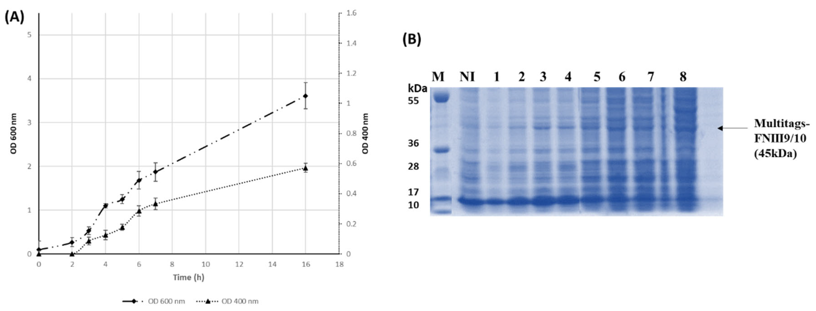
2.1. Production of Recombinant CMAT-FNIII9/10
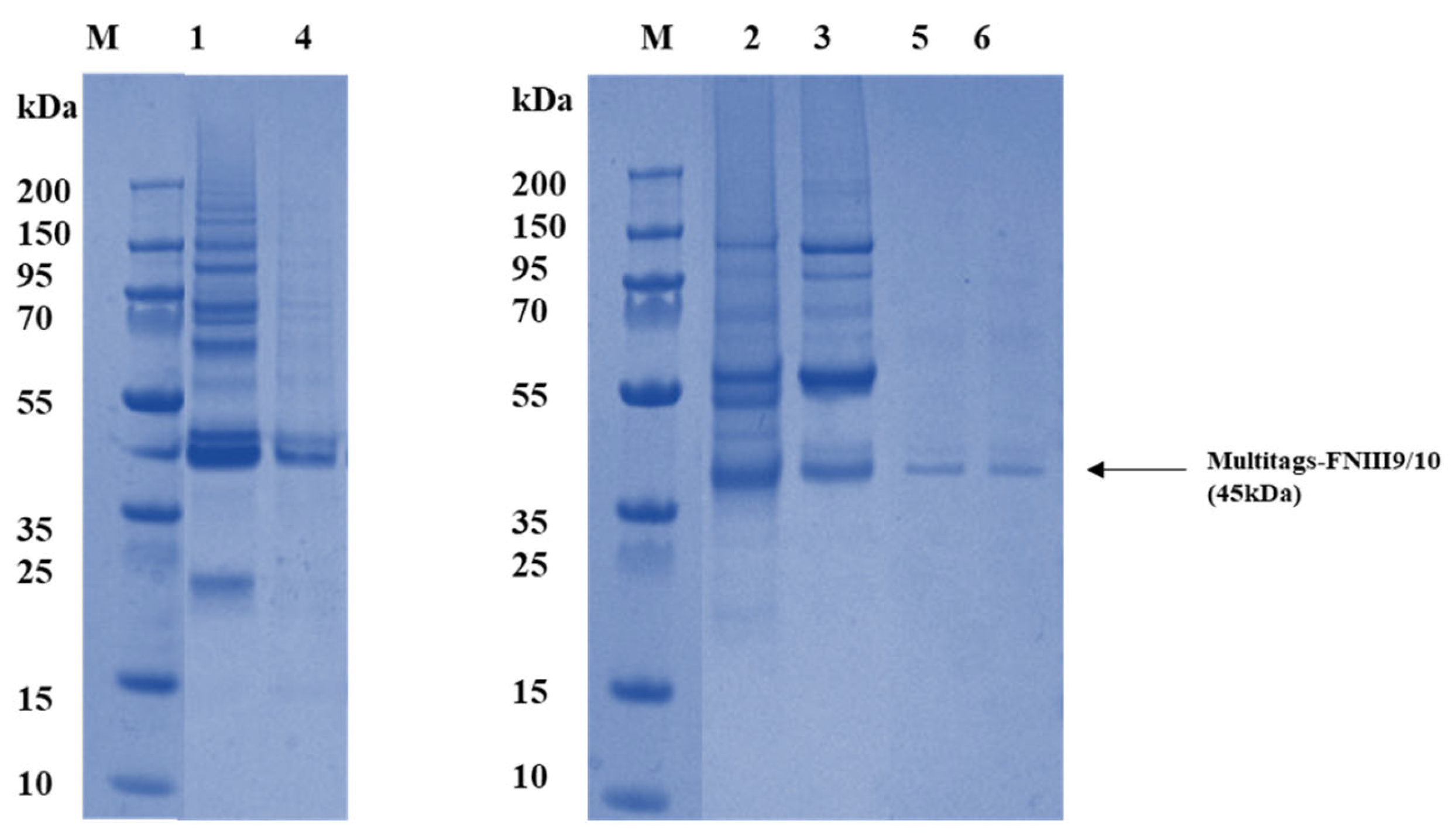
2.2. Protein Purification and Detection
2.3. Mass Spectrometry
2.4. Affinity Binding Assay of rFNIII9/10 to α5β1 Integrins Receptors
2.5. rFNIII9/10 Simple Coating Promotes Cellular Adhesion
2.5.1. Passive Adsorption of rFNIII9/10 onto Plate Surface
2.5.2. FN-Mimetic Surfaces Supporting Cellular Adhesion
3. Discussion
4. Materials and Methods
4.1. Materials, Expression Vector and Strains
4.2. Expression Vector pET15b-CMAT-rFN
4.3. Protein Expression
4.4. First Purification Step Based on 10His Tag
4.5. Second Purification Step Based on SBP Tag
4.6. Qualitative and Quantitative Monitoring
4.7. SDS-PAGE Analysis and Quantification
4.8. Mass Spectrometry Analysis
4.9. Affinity Binding Test of rFNIII9/10 to α5β1 Integrins Receptors
4.10. Quantification of Passively Adsorbed rFNIII9-10 Using Enzyme-Linked Immobilization Assay
4.11. Cell Adhesion Assay
4.12. Statistics
5. Conclusions
Author Contributions
Funding
Institutional Review Board Statement
Informed Consent Statement
Data Availability Statement
Acknowledgments
Conflicts of Interest
Abbreviations
| ECM | Extracellular matrix |
| FN | Fibronectin |
| RGD | Arginine-Glycine-Aspartic acid |
| PHSRN | Proline-Histidine-Serine-Arginine- asparagine |
| CMAT | Colored Multi affinity tag |
| HIS | Histidine |
| GST | Glutathion S-transferase |
| E. coli | Escherichia coli |
| SDS-PAGE | sodium dodecyl sulfate polyacrylamide gel electrophoresis |
| ELISA | enzyme-linked immobilization assay |
| hGF | Human Gingival fibroblasts |
Appendix A

Appendix B

| Fragmented Masse | Identified Sequence | Protein Identification | Mascot Score |
|---|---|---|---|
| 995.47 m/z | EDRVPHSR | Human fibronectin | 43 |
| 2532.32 m/z | No matching | No identification | |
| 2470.27 m/z | STATISGLKPGVDYTITVYAVTGR | Human fibronectin | 57 |
| 1591.76 m/z | GDSPASSKPISINYR | Human fibronectin | 59 |
Appendix C

References
- Amani, H.; Arzaghi, H.; Bayandori, M.; Dezfuli, A.S.; Pazoki-Toroudi, H.; Shafiee, A.; Moradi, L. Controlling Cell Behavior through the Design of Biomaterial Surfaces: A Focus on Surface Modification Techniques. Adv. Mater. Interfaces 2019, 6, 1900572. [Google Scholar] [CrossRef]
- Mandal, B.B.; Kundu, S.C. Cell proliferation and migration in silk fibroin 3D scaffolds. Biomaterials 2009, 30, 2956–2965. [Google Scholar] [CrossRef]
- Jung, S.; Bohner, L.; Hanisch, M.; Kleinheinz, J.; Sielker, S. Influence of Implant Material and Surface on Mode and Strength of Cell/Matrix Attachment of Human Adipose Derived Stromal Cell. Int. J. Mol. Sci. 2020, 21, 4110. [Google Scholar] [CrossRef] [PubMed]
- Zaman, H.A.; Sharif, S.; Idris, M.H.; Kamarudin, A. Metallic Biomaterials for Medical Implant Applications: A Review. Appl. Mech. Mater. 2015, 735, 19–25. [Google Scholar] [CrossRef]
- Shekaran, A.; Garcia, A.J. Nanoscale engineering of extracellular matrix-mimetic bioadhesive surfaces and implants for tissue engineering. Biochim. Biophys. Acta Gen. Subj. 2011, 1810, 350–360. [Google Scholar] [CrossRef] [PubMed]
- Chen, Y.-F.; Goodheart, C.; Rua, D. The Body’s Cellular and Molecular Response to Protein-Coated Medical Device Implants: A Review Focused on Fibronectin and BMP Proteins. Int. J. Mol. Sci. 2020, 21, 8853. [Google Scholar] [CrossRef]
- Bentmann, A.; Kawelke, N.; Zentgraf, H.; Bala, Y.; Berger, I.; Gasser, J.A.; Nakchbandi, I.A.; Moss, D. Circulating Fibronectin Affects Bone Matrix While Osteoblast Fibronectin Modulates Osteoblast Function. J. Bone Miner. Res. 2009, 25, 706–715. [Google Scholar] [CrossRef]
- Parisi, L.; Toffoli, A.; Ghezzi, B.; Mozzoni, B.; Lumetti, S.; Macaluso, G.M. A glance on the role of fibronectin in controlling cell response at biomaterial interface. Jpn. Dent. Sci. Rev. 2020, 56, 50–55. [Google Scholar] [CrossRef]
- Pankov, R.; Yamada, K.M. Fibronectin at a glance. J. Cell Sci. 2002, 115, 3861–3863. [Google Scholar] [CrossRef]
- Hynes, R.O.; Yamada, K.M. Fibronectins: Multifunctional modular glycoproteins. J. Cell Biol. 1982, 95, 369–377. [Google Scholar] [CrossRef]
- Bachman, H.; Nicosia, J.; Dysart, M.M.; Barker, T.H. Utilizing Fibronectin Integrin-Binding Specificity to Control Cellular Responses. Adv. Wound Care 2015, 4, 501–511. [Google Scholar] [CrossRef]
- Sottile, J.; Hocking, D.C.; Swiatek, P.J. Fibronectin matrix assembly enhances adhesion-dependent cell growth. J. Cell Sci. 1998, 111, 2933–2943. [Google Scholar] [CrossRef]
- Kleinman, H.K.; Wilkes, C.M.; Martin, G.R. Interaction of fibronectin with collagen fibrils. Biochemistry 1981, 20, 2325–2330. [Google Scholar] [CrossRef]
- Kubow, K.E.; Vukmirovic, R.; Zhe, L.; Klotzsch, E.; Smith, M.L.; Gourdon, D.; Luna, S.; Vogel, V. Mechanical forces regulate the interactions of fibronectin and collagen I in extracellular matrix. Nat. Commun. 2015, 6, 8026. [Google Scholar] [CrossRef]
- Raitman, I.; Huang, M.L.; Williams, S.A.; Friedman, B.; Godula, K.; Schwarzbauer, J.E. Heparin-fibronectin interactions in the development of extracellular matrix insolubility. Matrix Biol. 2018, 67, 107–122. [Google Scholar] [CrossRef]
- Singh, P.; Carraher, C.; Schwarzbauer, J.E. Assembly of Fibronectin Extracellular Matrix. Annu. Rev. Cell Dev. Biol. 2010, 26, 397–419. [Google Scholar] [CrossRef]
- Helfrich, M.H.; Stenbeck, G.; Nesbitt, S.A.; Horton, M.A. Chapter 20—Integrins and Other Cell Surface Attachment Molecules of Bone Cells. In Principles of Bone Biology, 3rd ed.; Bilezikian, J.P., Raisz, L.G., Martin, T.J., Eds.; Academic Press: San Diego, CA, USA, 2008; pp. 385–424. [Google Scholar]
- Zhang, L.; Yan, H.; Tai, Y.; Xue, Y.; Wei, Y.; Wang, K.; Zhao, Q.; Wang, S.; Kong, D.; Midgley, A.C. Design and Evaluation of a Polypeptide that Mimics the Integrin Binding Site for EDA Fibronectin to Block Profibrotic Cell Activity. Int. J. Mol. Sci. 2021, 22, 1575. [Google Scholar] [CrossRef]
- Lee, J.-Y.; Choi, Y.-S.; Lee, S.-J.; Chung, C.-P.; Park, Y.-J. Bioactive Peptide-modified Biomaterials for Bone Regeneration. Curr. Pharm. Des. 2011, 17, 2663–2676. [Google Scholar] [CrossRef]
- Yun, Y.-R.; Pham, L.B.H.; Yoo, Y.-R.; Lee, S.; Kim, H.-W.; Jang, J.-H. Engineering of Self-Assembled Fibronectin Matrix Protein and Its Effects on Mesenchymal Stem Cells. Int. J. Mol. Sci. 2015, 16, 19645–19656. [Google Scholar] [CrossRef]
- Bellis, S.L. Advantages of RGD peptides for directing cell association with biomaterials. Biomaterials 2011, 32, 4205–4210. [Google Scholar] [CrossRef]
- Cutler, S. Engineering cell adhesive surfaces that direct integrin α5β1 binding using a recombinant fragment of fibronectin. Biomaterials 2003, 24(pt 6), 1759–1770. [Google Scholar] [CrossRef]
- Wang, L.; Pan, D.; Yan, Q.; Song, Y. Activation mechanisms of αVβ3 integrin by binding to fibronectin: A computational study. Protein Sci. 2017, 26, 1124–1137. [Google Scholar] [CrossRef]
- Cao, L.; Nicosia, J.; Larouche, J.; Zhang, Y.; Bachman, H.; Brown, A.C.; Holmgren, L.; Barker, T.H. Detection of an Integrin-Binding Mechanoswitch within Fibronectin during Tissue Formation and Fibrosis. ACS Nano 2017, 11, 7110–7117. [Google Scholar] [CrossRef]
- Potts, J.R.; Campbell, I.D. Structure and function of fibronectin modules. Matrix Biol. 1996, 15, 313–320. [Google Scholar] [CrossRef]
- Zhang, Z.; Vuori, K.; Reed, J.C.; Ruoslahti, E. The alpha 5 beta 1 integrin supports survival of cells on fibronectin and up-regulates Bcl-2 expression. Proc. Natl. Acad. Sci. USA 1995, 92, 6161–6165. [Google Scholar] [CrossRef]
- Lewandowska, K.; Pergament, E.; Sukenik, C.N.; Culp, L.A. Cell-Type-Specific adhesion mechanisms mediated by fibronectin adsorbed to chemically derivatized substrata. J. Biomed. Mater. Res. 1992, 26, 1343–1363. [Google Scholar] [CrossRef]
- Kim, M.S.; Park, H.J.; Kim, S.J.; Park, J.E.; Yun, J.I.; Lim, H.W.; Lee, S.T. Recombinant FNIII9-10-derived extracellular signaling effects on the physiology of dermal fibroblasts during in vitro culture. Tissue Cell 2020, 63, 101323. [Google Scholar] [CrossRef]
- Chen, T.F.; Li, K.K.; Zhu, E.F.; Opel, C.F.; Kauke, M.J.; Kim, H.; Atolia, E.; Wittrup, K.D. Artificial Anti-Tumor Opsonizing Proteins with Fibronectin Scaffolds Engineered for Specificity to Each of the Murine FcγR Types. J. Mol. Biol. 2018, 430, 1786–1798. [Google Scholar] [CrossRef]
- Hocking, D.C.; Brennan, J.R.; Raeman, C.H. A Small Chimeric Fibronectin Fragment Accelerates Dermal Wound Repair in Diabetic Mice. Adv. Wound Care 2016, 5, 495–506. [Google Scholar] [CrossRef]
- Roy, D.C.; Wilke-Mounts, S.J.; Hocking, D.C. Chimeric fibronectin matrix mimetic as a functional growth- and migration-promoting adhesive substrate. Biomaterials 2011, 32, 2077–2087. [Google Scholar] [CrossRef]
- Enhancement of Soluble Protein Expression through the Use of Fusion Tags. Abstract—Europe PMC. Available online: http://europepmc.org/article/MED/16781139 (accessed on 24 February 2021).
- Arnau, J.; Lauritzen, C.; Petersen, G.E.; Pedersen, J. Current strategies for the use of affinity tags and tag removal for the purification of recombinant proteins. Protein Expr. Purif. 2006, 48, 1–13. [Google Scholar] [CrossRef]
- Waugh, D.S. Making the most of affinity tags. Trends Biotechnol. 2005, 23, 316–320. [Google Scholar] [CrossRef]
- Peisley, A.A.; Gooley, P.R. High-level expression of a soluble and functional fibronectin type II domain from MMP-2 in the Escherichia coli cytoplasm for solution NMR studies. Protein Expr. Purif. 2007, 53, 124–131. [Google Scholar] [CrossRef]
- Zhang, Y.; Xiang, Q.; Dong, S.; Li, C.; Zhou, Y. Fabrication and characterization of a recombinant fibronectin/cadherin bio-inspired ceramic surface and its influence on adhesion and ossification in vitro. Acta Biomater. 2010, 6, 776–785. [Google Scholar] [CrossRef]
- Kang, W.; Jang, J. Protein engineering, expression, and activity of a novel fusion protein possessing keratinocyte growth factor 2 and fibronectin. Acta Biochim. Biophys. Sin. 2009, 41, 16–20. [Google Scholar] [CrossRef] [PubMed][Green Version]
- Clementschitsch, F.; Bayer, K. Improvement of bioprocess monitoring: Development of novel concepts. Microb. Cell Factories 2006, 5, 19. [Google Scholar] [CrossRef] [PubMed]
- Vojinović, V.; Cabral, J.; Fonseca, L. Real-time bioprocess monitoring: Part I: In situ sensors. Sens. Actuators B Chem. 2006, 114, 1083–1091. [Google Scholar] [CrossRef]
- Miladi, B.; Dridi, C.; El Marjou, A.; Boeuf, G.; Bouallagui, H.; Dufour, F.; Di Martino, P.; Elm’Selmi, A. An Improved Strategy for Easy Process Monitoring and Advanced Purification of Recombinant Proteins. Mol. Biotechnol. 2013, 55, 227–235. [Google Scholar] [CrossRef]
- Miladi, B.; El Marjou, A.; Boeuf, G.; Bouallagui, H.; Dufour, F.; Di Martino, P.; Elm’Selmi, A. Oriented immobilization of the tobacco etch virus protease for the cleavage of fusion proteins. J. Biotechnol. 2012, 158, 97–103. [Google Scholar] [CrossRef] [PubMed]
- Imen, E.H.; Nakamura, M.; Mie, M.; Kobatake, E. Construction of multifunctional proteins for tissue engineering: Epidermal growth factor with collagen binding and cell adhesive activities. J. Biotechnol. 2009, 139, 19–25. [Google Scholar] [CrossRef]
- Keefe, A.D.; Wilson, D.S.; Seelig, B.; Szostak, J.W. One-Step Purification of Recombinant Proteins Using a Nanomolar-Affinity Streptavidin-Binding Peptide, the SBP-Tag. Protein Expr. Purif. 2001, 23, 440–446. [Google Scholar] [CrossRef]
- Lessim, S.; Oughlis, S.; Lataillade, J.J.; Migonney, V.; Changotade, S.; Lutomski, D.; Poirier, F. Protein selective adsorption properties of a polyethylene terephtalate artificial ligament grafted with poly(sodium styrene sulfonate) (polyNaSS): Correlation with physicochemical parameters of proteins. Biomed. Mater. 2015, 10, 065021. [Google Scholar] [CrossRef] [PubMed]
- É, V.; Tomita, Y.; Akiyama, S.K.; Aota, S.-I.; Yamada, K.M.; Venable, R.M.; Pastor, R.W.; Krueger, S.; Torchia, D.A. Solution structure and dynamics of linked cell attachment modules of mouse fibronectin containing the RGD and synergy regions: Comparison with the human fibronectin crystal structure. J. Mol. Biol. 1998, 277, 663–682. [Google Scholar] [CrossRef] [PubMed]
- Petrie, T.A.; Capadona, J.R.; Reyes, C.D.; García, A.J. Integrin specificity and enhanced cellular activities associated with surfaces presenting a recombinant fibronectin fragment compared to RGD supports. Biomaterials 2006, 27, 5459–5470. [Google Scholar] [CrossRef]
- Martino, M.M.; Mochizuki, M.; Rothenfluh, D.A.; Rempel, S.A.; Hubbell, J.A.; Barker, T.H. Controlling Integrin Specificity and Stem Cell Differentiation in 2D and 3D Environments through Regulation of Fibronectin Domain Stability. Biomaterials 2009, 30, 1089–1097. [Google Scholar] [CrossRef]
- Feng, Y.; Mrksich, M. The Synergy Peptide PHSRN and the Adhesion Peptide RGD Mediate Cell Adhesion through a Common Mechanism. Biochemistry 2004, 43, 15811–15821. [Google Scholar] [CrossRef] [PubMed]
- Garcia, A.J.; Schwarzbauer, J.E.; Boettiger, D. Distinct Activation States of α5β1 Integrin Show Differential Binding to RGD and Synergy Domains of Fibronectin. Biochemistry 2002, 41, 9063–9069. [Google Scholar] [CrossRef]
- Grant, R.P.; Spitzfaden, C.; Altroff, H.; Campbell, I.D.; Mardon, H.J. Structural Requirements for Biological Activity of the Ninth and Tenth FIII Domains of Human Fibronectin. J. Biol. Chem. 1997, 272, 6159–6166. [Google Scholar] [CrossRef] [PubMed]
- Altroff, H.; van der Walle, C.; Asselin, J.; Fairless, R.; Campbell, I.D.; Mardon, H.J. The Eighth FIII Domain of Human Fibronectin Promotes Integrin α5β1 Binding via Stabilization of the Ninth FIII Domain. J. Biol. Chem. 2001, 276, 38885–38892. [Google Scholar] [CrossRef]
- Amaral, I.; Neiva, I.; Silva, F.; Sousa, S.R.; Piloto, A.; Lopes, C.; Barbosa, M.; Kirkpatrick, C.; Pêgo, A.P. Endothelialization of chitosan porous conduits via immobilization of a recombinant fibronectin fragment (rhFNIII7–10). Acta Biomater. 2013, 9, 5643–5652. [Google Scholar] [CrossRef]
- Liamas, E.; Kubiak-Ossowska, K.; Black, R.A.; Thomas, O.R.; Zhang, Z.J.; Mulheran, P.A. Adsorption of Fibronectin Fragment on Surfaces Using Fully Atomistic Molecular Dynamics Simulations. Int. J. Mol. Sci. 2018, 19, 3321. [Google Scholar] [CrossRef]
- Wozniak, M.A.; Modzelewska, K.; Kwong, L.; Keely, P.J. Focal adhesion regulation of cell behavior. Biochim. Biophys. Acta Bioenerg. 2004, 1692, 103–119. [Google Scholar] [CrossRef] [PubMed]
- Kim, E.-C.; Lee, Y.; Lee, M.-H.; Lee, H.J.; Kim, K.-H.; Leesungbok, R.; Ahn, S.-J.; Park, S.-J.; Yoon, J.-H.; Jee, Y.-J.; et al. The Effect of Fibronectin-Immobilized Microgrooved Titanium Substrata on Cell Proliferation and Expression of Genes and Proteins in Human Gingival Fibroblasts. Tissue Eng. Regen. Med. 2018, 15, 615–627. [Google Scholar] [CrossRef] [PubMed]
- Zollinger, A.J.; Smith, M.L. Fibronectin, the extracellular glue. Matrix Biol. 2017, 60–61, 27–37. [Google Scholar] [CrossRef]
- Oates, T.W.; Maller, S.C.; West, J.; Steffensen, B. Human Gingival Fibroblast Integrin Subunit Expression on Titanium Implant Surfaces. J. Periodontol. 2005, 76, 1743–1750. [Google Scholar] [CrossRef] [PubMed]






Publisher’s Note: MDPI stays neutral with regard to jurisdictional claims in published maps and institutional affiliations. |
© 2021 by the authors. Licensee MDPI, Basel, Switzerland. This article is an open access article distributed under the terms and conditions of the Creative Commons Attribution (CC BY) license (https://creativecommons.org/licenses/by/4.0/).
Share and Cite
Ben Abla, A.; Boeuf, G.; Elmarjou, A.; Dridi, C.; Poirier, F.; Changotade, S.; Lutomski, D.; Elm’selmi, A. Engineering of Bio-Adhesive Ligand Containing Recombinant RGD and PHSRN Fibronectin Cell-Binding Domains in Fusion with a Colored Multi Affinity Tag: Simple Approach for Fragment Study from Expression to Adsorption. Int. J. Mol. Sci. 2021, 22, 7362. https://doi.org/10.3390/ijms22147362
Ben Abla A, Boeuf G, Elmarjou A, Dridi C, Poirier F, Changotade S, Lutomski D, Elm’selmi A. Engineering of Bio-Adhesive Ligand Containing Recombinant RGD and PHSRN Fibronectin Cell-Binding Domains in Fusion with a Colored Multi Affinity Tag: Simple Approach for Fragment Study from Expression to Adsorption. International Journal of Molecular Sciences. 2021; 22(14):7362. https://doi.org/10.3390/ijms22147362
Chicago/Turabian StyleBen Abla, Amina, Guilhem Boeuf, Ahmed Elmarjou, Cyrine Dridi, Florence Poirier, Sylvie Changotade, Didier Lutomski, and Abdellatif Elm’selmi. 2021. "Engineering of Bio-Adhesive Ligand Containing Recombinant RGD and PHSRN Fibronectin Cell-Binding Domains in Fusion with a Colored Multi Affinity Tag: Simple Approach for Fragment Study from Expression to Adsorption" International Journal of Molecular Sciences 22, no. 14: 7362. https://doi.org/10.3390/ijms22147362
APA StyleBen Abla, A., Boeuf, G., Elmarjou, A., Dridi, C., Poirier, F., Changotade, S., Lutomski, D., & Elm’selmi, A. (2021). Engineering of Bio-Adhesive Ligand Containing Recombinant RGD and PHSRN Fibronectin Cell-Binding Domains in Fusion with a Colored Multi Affinity Tag: Simple Approach for Fragment Study from Expression to Adsorption. International Journal of Molecular Sciences, 22(14), 7362. https://doi.org/10.3390/ijms22147362

