Technical Note: Tibial Spine Avulsion Treatment with Arthroscopic Reduction and Internal Fixation with Kirschner Wires in Skeletally Immature Patients
Abstract
:1. Introduction
2. Materials and Methods—Surgical Technique
2.1. Ethical Statement
2.2. Setup
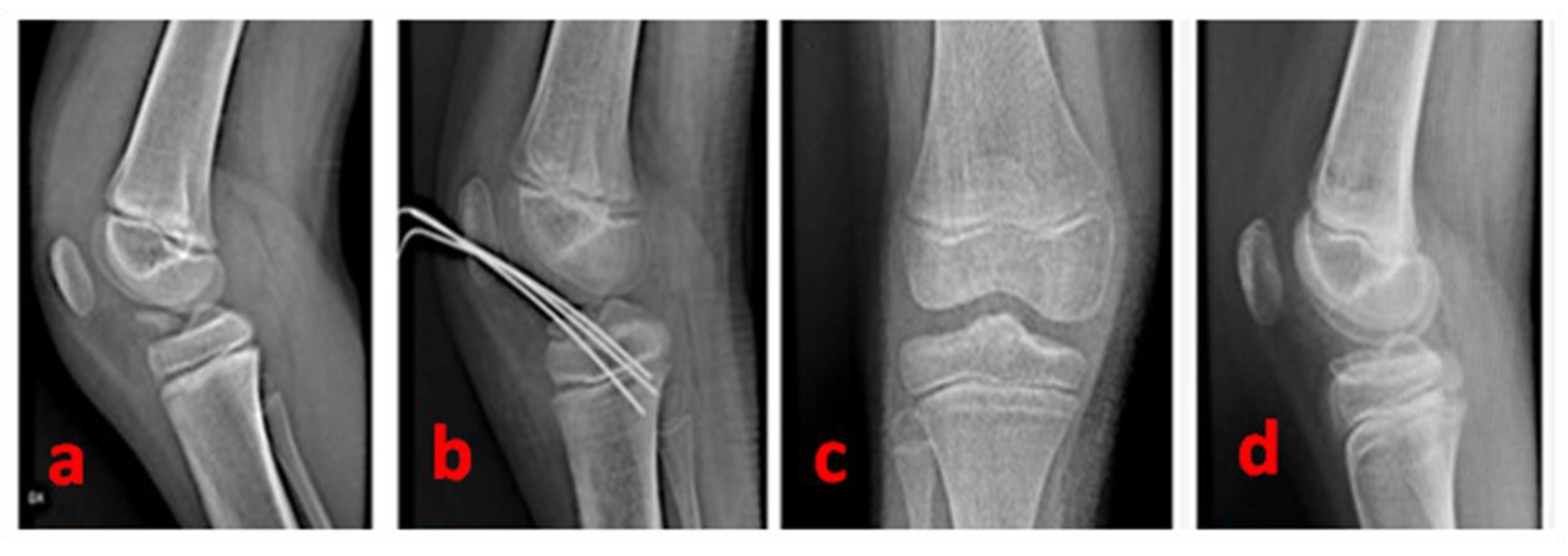
2.3. Approach and Fracture Fixation
2.4. Post-Operative Management
3. Results
4. Discussion
5. Conclusions
Author Contributions
Funding
Institutional Review Board Statement
Informed Consent Statement
Data Availability Statement
Conflicts of Interest
Abbreviations
| ACL | Anterior cruciate ligament |
| ARIF | Arthroscopic reduction and internal fixation |
| IONA | In-office needle arthroscopy |
| ORIF | Open reduction with internal fixation |
| TSA | Tibial spine avulsions |
References
- Coyle, C.; Jagernauth, S.; Ramachandran, M. Tibial eminence fractures in the paediatric population: A systematic review. J. Child. Orthop. Surg. 2010, 18, 395–405. [Google Scholar] [CrossRef]
- Wyatt, J.D.; Treme, G.; Veitch, A.J.; Johnson, A.C. Incidence of Associated Knee Injury in Pediatric Tibial Eminence Fractures. J. Knee Surg. 2014, 27, 215–219. [Google Scholar] [CrossRef] [PubMed]
- Salvato, D.; Green, D.W.; Accadbled, F.; Tuca, M. Tibial spine fractures: State of the art. J. ISAKOS Jt. Disord. Orthop. Sport. Med. 2023, 13, S2059-7754(23)00518-7. [Google Scholar] [CrossRef]
- Patterson, S.P.; Christiansen, G.B.; Daffner, R.H. Avulsion fracture of the tibial eminence in an adult with a unique mechanism of injury. Radiol. Case Rep. 2018, 13, 843–847. [Google Scholar] [CrossRef] [PubMed]
- Yu, D.; Yu, R.; Zhang, J.; Chen, T.; Zhang, B. Arthroscopic treatment of adult displaced tibial eminence fractures with anchor and pushlock fixation. Medicine 2020, 99, e21237. [Google Scholar] [CrossRef] [PubMed]
- Rajanish, R.; Jaseel, M.; Murugan, C.; Kumaran, C. Arthroscopic tibial spine fracture fixation: Novel techniques. J. Orthop. 2018, 15, 372–374. [Google Scholar] [CrossRef]
- Noyes, F.R.; DeLucas, J.L.; Torvik, P.J. Biomechanics of anterior cruciate ligament failure: An analysis of strain-rate sensitivity and mechanisms of failure in primates. J. Bone Jt. Surg. 1974, 56, 236–253. [Google Scholar] [CrossRef]
- Scrimshire, A.; Gawad, M.; Davies, R.; George, H. Management and outcomes of isolated paediatric tibial spine fractures. Injury 2018, 49, 437–442. [Google Scholar] [CrossRef]
- Kocher, M.S.; Micheli, L.J.; Gerbino, P.; Hresko, M.T. Tibial Eminence Fractures in Children: Prevalence of Meniscal Entrapment. Am. J. Sport. Med. 2003, 31, 404–407. [Google Scholar] [CrossRef]
- Green, D.; Tuca, M.; Luderowski, E.; Gausden, E.; Goodbody, C.; Konin, G. A new, MRI-based classification system for tibial spine fractures changes clinical treatment recommendations when compared to Myers and Mckeever. Knee Surgery Sport. Traumatol. Arthrosc. 2019, 27, 86–92. [Google Scholar] [CrossRef]
- Aderinto, J.; Walmsley, P.; Keating, J. Fractures of the tibial spine: Epidemiology and outcome. Knee 2008, 15, 164–167. [Google Scholar] [CrossRef] [PubMed]
- Meyers, M.H.; McKeever, F.M. Fracture of the Intercondylar Eminence of the Tibia. J. Bone Jt. Surg. 1959, 41, 209–222. [Google Scholar] [CrossRef]
- Lubowitz, J.H.; Elson, W.S.; Guttmann, D. Part II: Arthroscopic treatment of tibial plateau fractures: Intercondylar eminence avulsion fractures. Arthrosc. J. Arthrosc. Relat. Surg. 2005, 21, 86–92. [Google Scholar] [CrossRef]
- Zaricznyj, B. Avulsion fracture of the tibial eminence: Treatment by open reduction and pinning. J. Bone Jt. Surg. 1977, 59, 1111–1114. [Google Scholar] [CrossRef]
- Adams, A.J.; O’hara, N.N.; Abzug, J.M.; Aoyama, J.T.; Ganley, T.J.; Carey, J.L.; Cruz, A.I.; Ellis, H.B.; Fabricant, P.D.; Green, D.W.; et al. Pediatric Type II Tibial Spine Fractures: Addressing the Treatment Controversy With a Mixed-Effects Model. Orthop. J. Sport. Med. 2019, 7, 2325967119866162. [Google Scholar] [CrossRef]
- Shin, Y.-W.; Uppstrom, T.J.; Haskel, J.D.; Green, D.W. The tibial eminence fracture in skeletally immature patients. Curr. Opin. Pediatr. 2015, 27, 50–57. [Google Scholar] [CrossRef]
- Archibald-Seiffer, N.; Jacobs, J.; Zbojniewicz, A.; Shea, K. Incarceration of the intermeniscal ligament in tibial eminence injury: A block to closed reduction identified using MRI. Skelet. Radiol. 2015, 44, 717–721. [Google Scholar] [CrossRef]
- Arrigoni, F.; Mazzoleni, M.G.; Calvisi, V.; Masciocchi, C. In-Office Needle Arthroscopy (IONA): May a traditionally orthopedic procedure enter the portfolio of interventional radiology? Radiol. Medica 2022, 127, 784–787. [Google Scholar] [CrossRef]
- Osti, L.; Buda, M.; Soldati, F.; Del Buono, A.; Osti, R.; Maffulli, N. Arthroscopic treatment of tibial eminence fracture: A systematic review of different fixation methods. Br. Med. Bull. 2016, 118, 73–90. [Google Scholar] [CrossRef]
- Hamilton, G.A.; Doyle, M.D.; Castellucci-Garza, F.M. Arthroscopic-Assisted Open Reduction Internal Fixation. Clin. Podiatr. Med. Surg. 2018, 35, 199–221. [Google Scholar] [CrossRef]
- Yuan, L.; Shi, R.; Chen, Z.; Ding, W.; Tan, H. The most economical arthroscopic suture fixation for tibial intercondylar eminence avulsion fracture without any implant. J. Orthop. Surg. Res. 2022, 17, 327. [Google Scholar] [CrossRef] [PubMed]
- Tuca, M.; Bernal, N.; Luderowski, E.; Green, D.W. Tibial spine avulsion fractures: Treatment update. Curr. Opin. Pediatr. 2019, 31, 103–111. [Google Scholar] [CrossRef] [PubMed]
- Strauss, E.J.; Kaplan, D.J.; Weinberg, M.E.; Egol, J.; Jazrawi, L.M. Arthroscopic Management of Tibial Spine Avulsion Fractures: Principles and Techniques. J. Am. Acad. Orthop. Surg. 2018, 26, 360–367. [Google Scholar] [CrossRef]
- Gamboa, J.T.; Durrant, B.A.; Pathare, N.P.; Shin, E.C.; Chen, J.L. Arthroscopic Reduction of Tibial Spine Avulsion: Suture Lever Reduction Technique. Arthrosc. Tech. 2017, 6, e121–e126. [Google Scholar] [CrossRef]
- Verdano, M.A.; Pellegrini, A.; Lunini, E.; Tonino, P.; Ceccarelli, F. Arthroscopic Absorbable Suture Fixation for Tibial Spine Fractures. Arthrosc. Tech. 2013, 3, e45–e48. [Google Scholar] [CrossRef] [PubMed]
- Mutchamee, S.; Ganokroj, P. Arthroscopic Transosseous Suture-bridge Fixation for Anterior Cruciate Ligament Tibial Avulsion Fractures. Arthrosc. Tech. 2020, 9, e1607–e1611. [Google Scholar] [CrossRef]
- Kobayashi, S.; Harato, K.; Udagawa, K.; Masumoto, K.; Jinnouchi, M.; Toyoda, T.; Niki, Y. Arthroscopic Treatment of Tibial Eminence Avulsion Fracture with Suture Tensioning Technique. Arthrosc. Tech. 2018, 7, e251–e256. [Google Scholar] [CrossRef]
- Tang, J.; Zhao, J. Arthroscopic Suture-to-Adjustable Loop Fixation of Adult Anterior Cruciate Ligament Tibial Avulsion Fracture. Arthrosc. Tech. 2021, 10, e1573–e1579. [Google Scholar] [CrossRef]
- Boutsiadis, A.; Karataglis, D.; Agathangelidis, F.; Ditsios, K.; Papadopoulos, P. Arthroscopic 4-Point Suture Fixation of Anterior Cruciate Ligament Tibial Avulsion Fractures. Arthrosc. Tech. 2014, 3, e683–e687. [Google Scholar] [CrossRef]
- Sekiya, H.; Takatoku, K.; Kimura, A.; Kanaya, Y.; Fukushima, T.; Takeshita, K. Arthroscopic Fixation with EndoButton for Tibial Eminence Fractures Visualised through a Proximal Superomedial Portal: A Surgical Technique. J. Orthop. Surg. 2016, 24, 417–420. [Google Scholar] [CrossRef]
- Chu, Y.; Hu, T.; Chen, M.; Jiang, C.; Wu, Z.; Shi, J. Preliminary clinical outcomes of the double-row anchor suture-bridge technique for the fixation of tibial intercondylar eminence fractures in adults: A 12-months minimal follow-up. BMC Musculoskelet. Disord. 2021, 22, 1–9. [Google Scholar] [CrossRef] [PubMed]
- Dung, T.T.; Du, H.G.; Long, N.H.; Son, L.M.; Thanh, D.X.; Son, D.N.; Tuyen, N.T.; Van Minh, D.; Phương, N.H.; Nam, V.T.; et al. Arthroscopic fixation of ACL avulsion fracture in the saint pault hospital: A review of treatment outcomes: Cohort study. Ann. Med. Surg. 2019, 48, 91–94. [Google Scholar] [CrossRef]
- Willis, R.B.; Blokker, C.; Stoll, T.M.; Paterson, D.C.; Galpin, R.D. Long-Term Follow-Up of Anterior Tibial Eminence Fractures. J. Pediatr. Orthop. 1993, 13, 361–364. [Google Scholar] [CrossRef] [PubMed]
- Gillquist, J.; Hagberg, G. A new modification of the technique of arthroscopy of the knee joint. Acta Chir. Scand. 1976, 142, 123–130. [Google Scholar] [PubMed]
- Calvisi, V.; Lupparelli, S.; Giuliani, P. A View from Above: A Modified Patel’s Medial Midpatellar Portal for Anterior Cruciate Ligament Arthroscopic Surgery. Arthrosc. J. Arthrosc. Relat. Surg. 2007, 23, 324.e1–324.e5. [Google Scholar] [CrossRef]
- Jackson, T.J.; Storey, E.P.; Ganley, T.J. The surgical management of tibial spine fractures in children: A survey of the Pediatric Orthopaedic Society of North America (POSNA). J. Pediatr. Orthop. 2019, 39, e572–e577. [Google Scholar] [CrossRef] [PubMed]
- Callanan, M.; Allen, J.; Flutie, B.; Tepolt, F.; Miller, P.E.; Kramer, D.; Kocher, M.S. Suture Versus Screw Fixation of Tibial Spine Fractures in Children and Adolescents: A Comparative Study. Orthop. J. Sport. Med. 2019, 7, 2325967119881961. [Google Scholar] [CrossRef]
- Slongo, T. Technik und Biomechanik der Bohr-Draht(Kirschner-Draht)-Osteosynthese bei Kindern [Technique and biomechanics of Kirschner wire osteosynthesis in children]. Oper Orthop Traumatol. 2020, 32, 509–529. [Google Scholar] [CrossRef]






Disclaimer/Publisher’s Note: The statements, opinions and data contained in all publications are solely those of the individual author(s) and contributor(s) and not of MDPI and/or the editor(s). MDPI and/or the editor(s) disclaim responsibility for any injury to people or property resulting from any ideas, methods, instructions or products referred to in the content. |
© 2023 by the authors. Licensee MDPI, Basel, Switzerland. This article is an open access article distributed under the terms and conditions of the Creative Commons Attribution (CC BY) license (https://creativecommons.org/licenses/by/4.0/).
Share and Cite
Calvisi, V.; Romanini, E.; Staniscia, D.; Di Brigida, G.; Venosa, M. Technical Note: Tibial Spine Avulsion Treatment with Arthroscopic Reduction and Internal Fixation with Kirschner Wires in Skeletally Immature Patients. Healthcare 2023, 11, 2404. https://doi.org/10.3390/healthcare11172404
Calvisi V, Romanini E, Staniscia D, Di Brigida G, Venosa M. Technical Note: Tibial Spine Avulsion Treatment with Arthroscopic Reduction and Internal Fixation with Kirschner Wires in Skeletally Immature Patients. Healthcare. 2023; 11(17):2404. https://doi.org/10.3390/healthcare11172404
Chicago/Turabian StyleCalvisi, Vittorio, Emilio Romanini, Donato Staniscia, Giovanni Di Brigida, and Michele Venosa. 2023. "Technical Note: Tibial Spine Avulsion Treatment with Arthroscopic Reduction and Internal Fixation with Kirschner Wires in Skeletally Immature Patients" Healthcare 11, no. 17: 2404. https://doi.org/10.3390/healthcare11172404
APA StyleCalvisi, V., Romanini, E., Staniscia, D., Di Brigida, G., & Venosa, M. (2023). Technical Note: Tibial Spine Avulsion Treatment with Arthroscopic Reduction and Internal Fixation with Kirschner Wires in Skeletally Immature Patients. Healthcare, 11(17), 2404. https://doi.org/10.3390/healthcare11172404

