Associations between Bone Mineral Density and Longitudinal Changes of Vertebral Bone Marrow and Paraspinal Muscle Composition Assessed Using MR-Based Proton Density Fat Fraction and T2* Maps in Patients with and without Osteoporosis
Abstract
1. Introduction
2. Methods
2.1. Patient Selection and Study Design
2.2. Computed Tomography and BMD Measurements
2.3. Magnetic Resonance Imaging Measurements
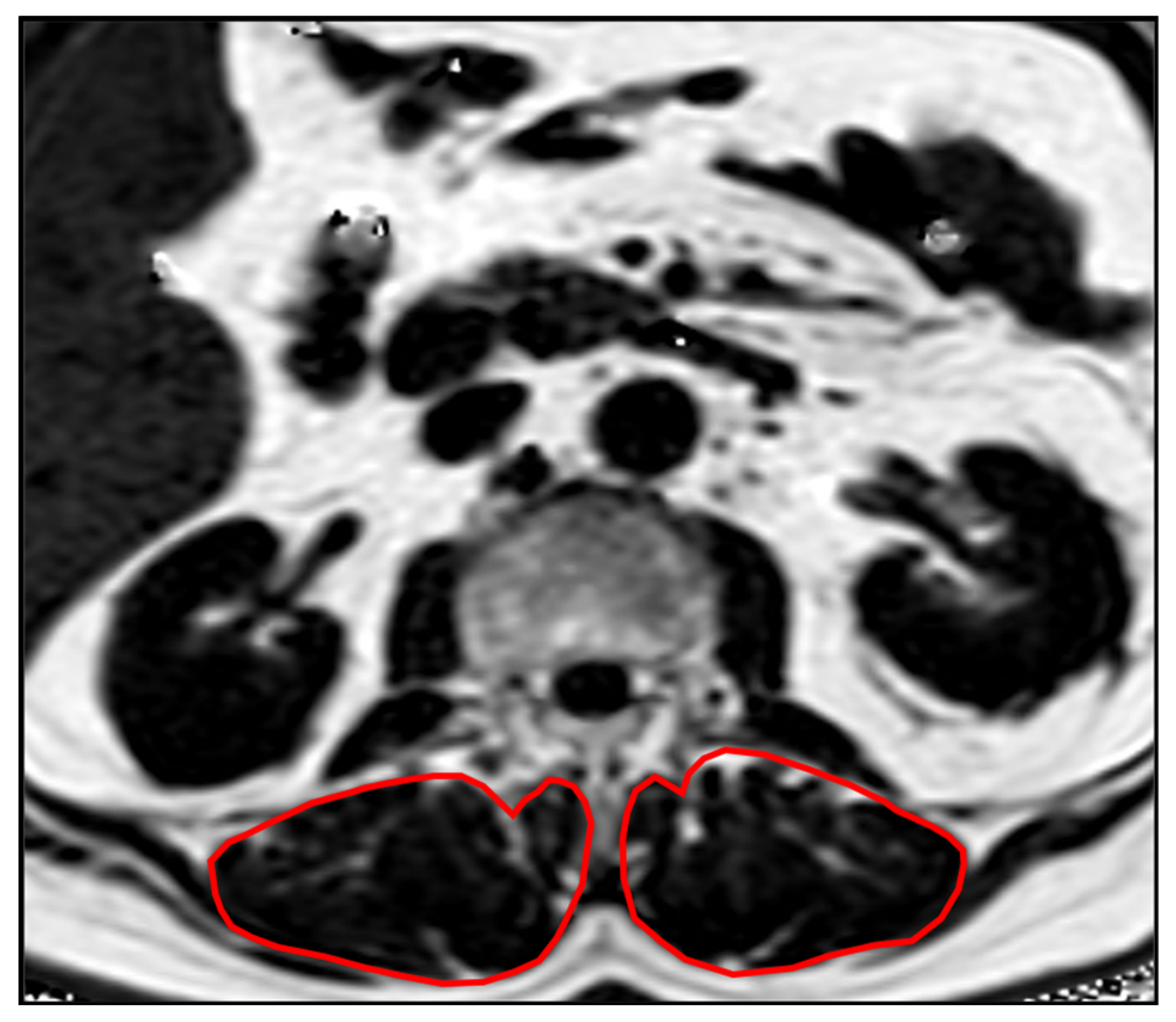
2.4. Paraspinal Muscle and Vertebra Segmentation
2.5. Statistical Analysis
2.6. Results
3. Discussion
Author Contributions
Funding
Institutional Review Board Statement
Informed Consent Statement
Data Availability Statement
Conflicts of Interest
Abbreviations
| PDFF | Proton-Density Fat Fraction | 
| BMD | Bone mineral density | 
| BMFF | Bone marrow fat fraction | 
| CSA | Cross sectional area | 
| MDCT | Multislice detector CT | 
| HU | Hounsfield Unit | 
| PSM | Paraspinal muscle | 
References
- Maurel, D.B.; Jahn, K.; Lara-Castillo, N. Muscle-Bone Crosstalk: Emerging Opportunities for Novel Therapeutic Approaches to Treat Musculoskeletal Pathologies. Biomedicines 2017, 5, 62. [Google Scholar] [CrossRef] [PubMed]
- Tagliaferri, C.; Wittrant, Y.; Davicco, M.J.; Walrand, S.; Coxam, V. Muscle and bone, two interconnected tissues. Ageing Res. Rev. 2015, 21, 55–70. [Google Scholar] [CrossRef]
- Sanfelix-Gimeno, G.; Sanfelix-Genoves, J.; Hurtado, I.; Reig-Molla, B.; Peiro, S. Vertebral fracture risk factors in postmenopausal women over 50 in Valencia, Spain. A population-based cross-sectional study. Bone 2013, 52, 393–399. [Google Scholar] [CrossRef]
- Nazrun, A.S.; Tzar, M.N.; Mokhtar, S.A.; Mohamed, I.N. A systematic review of the outcomes of osteoporotic fracture patients after hospital discharge: Morbidity, subsequent fractures, and mortality. Ther. Clin. Risk Manag. 2014, 10, 937–948. [Google Scholar] [CrossRef]
- Beasley, L.E.; Koster, A.; Newman, A.B.; Javaid, M.K.; Ferrucci, L.; Kritchevsky, S.B.; Kuller, L.H.; Pahor, M.; Schaap, L.A.; Visser, M.; et al. Inflammation and race and gender differences in computerized tomography-measured adipose depots. Obesity 2009, 17, 1062–1069. [Google Scholar] [CrossRef]
- Kim, J.Y.; Chae, S.U.; Kim, G.D.; Cha, M.S. Changes of paraspinal muscles in postmenopausal osteoporotic spinal compression fractures: Magnetic resonance imaging study. J. Bone Metab. 2013, 20, 75–81. [Google Scholar] [CrossRef]
- Yang, Q.; Yan, D.; Wang, L.; Li, K.; Liang, W.; Zhang, W.; Liu, Y.D.; Li, X.M.; Blake, G.M.; Konerth, N.; et al. Muscle fat infiltration but not muscle cross-sectional area is independently associated with bone mineral density at the lumbar spine. Br. J. Radiol. 2022, 95, 20210371. [Google Scholar] [CrossRef]
- Karampinos, D.C.; Baum, T.; Nardo, L.; Alizai, H.; Yu, H.; Carballido-Gamio, J.; Yap, S.P.; Shimakawa, A.; Link, T.M.; Majumdar, S. Characterization of the regional distribution of skeletal muscle adipose tissue in type 2 diabetes using chemical shift-based water/fat separation. J. Magn. Reson. Imaging JMRI 2012, 35, 899–907. [Google Scholar] [CrossRef]
- Marano, M.; Vespasiani Gentilucci, U.; Altamura, C.; Siotto, M.; Squitti, R.; Bucossi, S.; Quintiliani, L.; Migliore, S.; Greco, F.; Scarciolla, L.; et al. Altered metal metabolism in patients with HCV-related cirrhosis and hepatic encephalopathy. Metab. Brain Dis. 2015, 30, 1445–1452. [Google Scholar] [CrossRef] [PubMed]
- Berton, A.; Longo, U.G.; Candela, V.; Greco, F.; Martina, F.M.; Quattrocchi, C.C.; Denaro, V. Quantitative Evaluation of Meniscal Healing Process of Degenerative Meniscus Lesions Treated with Hyaluronic Acid: A Clinical and MRI Study. J. Clin. Med. 2020, 9, 2280. [Google Scholar] [CrossRef]
- Syvari, J.; Junker, D.; Patzelt, L.; Kappo, K.; Al Sadat, L.; Erfanian, S.; Makowski, M.R.; Hauner, H.; Karampinos, D.C. Longitudinal changes on liver proton density fat fraction differ between liver segments. Quant. Imaging Med. Surg. 2021, 11, 1701–1709. [Google Scholar] [CrossRef]
- Dieckmeyer, M.; Ruschke, S.; Cordes, C.; Yap, S.P.; Kooijman, H.; Hauner, H.; Rummeny, E.J.; Bauer, J.S.; Baum, T.; Karampinos, D.C. The need for T(2) correction on MRS-based vertebral bone marrow fat quantification: Implications for bone marrow fat fraction age dependence. NMR Biomed. 2015, 28, 432–439. [Google Scholar] [CrossRef]
- Karampinos, D.C.; Melkus, G.; Baum, T.; Bauer, J.S.; Rummeny, E.J.; Krug, R. Bone marrow fat quantification in the presence of trabecular bone: Initial comparison between water-fat imaging and single-voxel MRS. Magn. Reson. Med. 2014, 71, 1158–1165. [Google Scholar] [CrossRef]
- Gersing, A.S.; Holwein, C.; Suchowierski, J.; Feuerriegel, G.; Gassert, F.T.; Baum, T.; Karampinos, D.C.; Schwaiger, B.J.; Makowski, M.R.; Burgkart, R.; et al. Cartilage T2 Relaxation Times and Subchondral Trabecular Bone Parameters Predict Morphological Outcome After Matrix-Associated Autologous Chondrocyte Implantation With Autologous Bone Grafting. Am. J. Sports Med. 2020, 48, 3573–3585. [Google Scholar] [CrossRef]
- Cordes, C.; Baum, T.; Dieckmeyer, M.; Ruschke, S.; Diefenbach, M.N.; Hauner, H.; Kirschke, J.S.; Karampinos, D.C. MR-Based Assessment of Bone Marrow Fat in Osteoporosis, Diabetes, and Obesity. Front. Endocrinol. 2016, 7, 74. [Google Scholar] [CrossRef]
- Karampinos, D.C.; Ruschke, S.; Dieckmeyer, M.; Diefenbach, M.; Franz, D.; Gersing, A.S.; Krug, R.; Baum, T. Quantitative MRI and spectroscopy of bone marrow. J. Magn. Reson. Imaging JMRI 2018, 47, 332–353. [Google Scholar] [CrossRef]
- Li, G.W.; Xu, Z.; Chen, Q.W.; Tian, Y.N.; Wang, X.Y.; Zhou, L.; Chang, S.X. Quantitative evaluation of vertebral marrow adipose tissue in postmenopausal female using MRI chemical shift-based water-fat separation. Clin. Radiol. 2014, 69, 254–262. [Google Scholar] [CrossRef]
- Kuhn, J.P.; Hernando, D.; Meffert, P.J.; Reeder, S.; Hosten, N.; Laqua, R.; Steveling, A.; Ender, S.; Schroder, H.; Pillich, D.T. Proton-density fat fraction and simultaneous R2* estimation as an MRI tool for assessment of osteoporosis. Eur. Radiol. 2013, 23, 3432–3439. [Google Scholar] [CrossRef]
- Justesen, J.; Stenderup, K.; Ebbesen, E.N.; Mosekilde, L.; Steiniche, T.; Kassem, M. Adipocyte tissue volume in bone marrow is increased with aging and in patients with osteoporosis. Biogerontology 2001, 2, 165–171. [Google Scholar] [CrossRef] [PubMed]
- Sollmann, N.; Dieckmeyer, M.; Schlaeger, S.; Rohrmeier, A.; Syvaeri, J.; Diefenbach, M.N.; Weidlich, D.; Ruschke, S.; Klupp, E.; Franz, D.; et al. Associations Between Lumbar Vertebral Bone Marrow and Paraspinal Muscle Fat Compositions-An Investigation by Chemical Shift Encoding-Based Water-Fat MRI. Front. Endocrinol. 2018, 9, 563. [Google Scholar] [CrossRef]
- Leonhardt, Y.; Gassert, F.T.; Feuerriegel, G.; Gassert, F.G.; Kronthaler, S.; Boehm, C.; Kufner, A.; Ruschke, S.; Baum, T.; Schwaiger, B.J.; et al. Vertebral bone marrow T2* mapping using chemical shift encoding-based water-fat separation in the quantitative analysis of lumbar osteoporosis and osteoporotic fractures. Quant. Imaging Med. Surg. 2021, 11, 3715–3725. [Google Scholar] [CrossRef]
- Gassert, F.T.; Kufner, A.; Gassert, F.G.; Leonhardt, Y.; Kronthaler, S.; Schwaiger, B.J.; Boehm, C.; Makowski, M.R.; Kirschke, J.S.; Baum, T.; et al. MR-based proton density fat fraction (PDFF) of the vertebral bone marrow differentiates between patients with and without osteoporotic vertebral fractures. Osteoporos. Int. 2022, 33, 487–496. [Google Scholar] [CrossRef]
- Roski, F.; Hammel, J.; Mei, K.; Baum, T.; Kirschke, J.S.; Laugerette, A.; Kopp, F.K.; Bodden, J.; Pfeiffer, D.; Pfeiffer, F.; et al. Bone mineral density measurements derived from dual-layer spectral CT enable opportunistic screening for osteoporosis. Eur. Radiol. 2019, 29, 6355–6363. [Google Scholar] [CrossRef]
- Loffler, M.T.; Sollmann, N.; Mei, K.; Valentinitsch, A.; Noel, P.B.; Kirschke, J.S.; Baum, T. X-ray-based quantitative osteoporosis imaging at the spine. Osteoporos. Int. 2020, 31, 233–250. [Google Scholar] [CrossRef] [PubMed]
- Loffler, M.T.; Jacob, A.; Valentinitsch, A.; Rienmuller, A.; Zimmer, C.; Ryang, Y.M.; Baum, T.; Kirschke, J.S. Improved prediction of incident vertebral fractures using opportunistic QCT compared to DXA. Eur. Radiol. 2019, 29, 4980–4989. [Google Scholar] [CrossRef]
- Lohofer, F.K.; Kaissis, G.A.; Muller-Leisse, C.; Franz, D.; Katemann, C.; Hock, A.; Peeters, J.M.; Rummeny, E.J.; Karampinos, D.; Braren, R.F. Acceleration of chemical shift encoding-based water fat MRI for liver proton density fat fraction and T2* mapping using compressed sensing. PLoS ONE 2019, 14, e0224988. [Google Scholar] [CrossRef]
- Karampinos, D.C.; Yu, H.; Shimakawa, A.; Link, T.M.; Majumdar, S. T1-corrected fat quantification using chemical shift-based water/fat separation: Application to skeletal muscle. Magn. Reson. Med. 2011, 66, 1312–1326. [Google Scholar] [CrossRef]
- Ren, J.; Dimitrov, I.; Sherry, A.D.; Malloy, C.R. Composition of adipose tissue and marrow fat in humans by 1H NMR at 7 Tesla. J. Lipid Res. 2008, 49, 2055–2062. [Google Scholar] [CrossRef] [PubMed]
- Baum, T.; Cordes, C.; Dieckmeyer, M.; Ruschke, S.; Franz, D.; Hauner, H.; Kirschke, J.S.; Karampinos, D.C. MR-based assessment of body fat distribution and characteristics. Eur. J. Radiol. 2016, 85, 1512–1518. [Google Scholar] [CrossRef] [PubMed]
- Karampinos, D.C.; Ruschke, S.; Dieckmeyer, M.; Eggers, H.; Kooijman, H.; Rummeny, E.J.; Bauer, J.S.; Baum, T. Modeling of T2* decay in vertebral bone marrow fat quantification. NMR Biomed. 2015, 28, 1535–1542. [Google Scholar] [CrossRef]
- Chavhan, G.B.; Babyn, P.S.; Thomas, B.; Shroff, M.M.; Haacke, E.M. Principles, Techniques, and Applications of T2*-based MR Imaging and Its Special Applications. RadioGraphics 2009, 29, 1433–1449. [Google Scholar] [CrossRef] [PubMed]
- Wu, H.-Z.; Zhang, X.-F.; Han, S.-M.; Cao, L.; Wen, J.-X.; Wu, W.-J.; Gao, B.-L. Correlation of bone mineral density with MRI T2* values in quantitative analysis of lumbar osteoporosis. Arch. Osteoporos. 2020, 15, 18. [Google Scholar] [CrossRef]
- Reeder, S.B.; Sirlin, C.B. Quantification of liver fat with magnetic resonance imaging. Magn. Reson. Imaging Clin. N. Am. 2010, 18, 337–357. [Google Scholar] [CrossRef] [PubMed]
- Reeder, S.B.; Hu, H.H.; Sirlin, C.B. Proton density fat-fraction: A standardized MR-based biomarker of tissue fat concentration. J. Magn. Reson. Imaging JMRI 2012, 36, 1011–1014. [Google Scholar] [CrossRef]
- Yokoo, T.; Shiehmorteza, M.; Hamilton, G.; Wolfson, T.; Schroeder, M.E.; Middleton, M.S.; Bydder, M.; Gamst, A.C.; Kono, Y.; Kuo, A.; et al. Estimation of hepatic proton-density fat fraction by using MR imaging at 3.0 T. Radiology 2011, 258, 749–759. [Google Scholar] [CrossRef] [PubMed]
- Griffith, J.F.; Yeung, D.K.; Antonio, G.E.; Wong, S.Y.; Kwok, T.C.; Woo, J.; Leung, P.C. Vertebral marrow fat content and diffusion and perfusion indexes in women with varying bone density: MR evaluation. Radiology 2006, 241, 831–838. [Google Scholar] [CrossRef]
- Li, X.; Kuo, D.; Schafer, A.L.; Porzig, A.; Link, T.M.; Black, D.; Schwartz, A.V. Quantification of vertebral bone marrow fat content using 3 Tesla MR spectroscopy: Reproducibility, vertebral variation, and applications in osteoporosis. J. Magn. Reson. Imaging JMRI 2011, 33, 974–979. [Google Scholar] [CrossRef]
- Yeung, D.K.; Griffith, J.F.; Antonio, G.E.; Lee, F.K.; Woo, J.; Leung, P.C. Osteoporosis is associated with increased marrow fat content and decreased marrow fat unsaturation: A proton MR spectroscopy study. J. Magn. Reson. Imaging JMRI 2005, 22, 279–285. [Google Scholar] [CrossRef]
- Griffith, J.F.; Yeung, D.K.; Antonio, G.E.; Lee, F.K.; Hong, A.W.; Wong, S.Y.; Lau, E.M.; Leung, P.C. Vertebral bone mineral density, marrow perfusion, and fat content in healthy men and men with osteoporosis: Dynamic contrast-enhanced MR imaging and MR spectroscopy. Radiology 2005, 236, 945–951. [Google Scholar] [CrossRef]
- Tang, G.Y.; Lv, Z.W.; Tang, R.B.; Liu, Y.; Peng, Y.F.; Li, W.; Cheng, Y.S. Evaluation of MR spectroscopy and diffusion-weighted MRI in detecting bone marrow changes in postmenopausal women with osteoporosis. Clin. Radiol. 2010, 65, 377–381. [Google Scholar] [CrossRef]
- Li, G.; Xu, Z.; Gu, H.; Li, X.; Yuan, W.; Chang, S.; Fan, J.; Calimente, H.; Hu, J. Comparison of chemical shift-encoded water-fat MRI and MR spectroscopy in quantification of marrow fat in postmenopausal females. J. Magn. Reson. Imaging JMRI 2017, 45, 66–73. [Google Scholar] [CrossRef] [PubMed]
- Patzelt, L.; Junker, D.; Syvari, J.; Burian, E.; Wu, M.; Prokopchuk, O.; Nitsche, U.; Makowski, M.R.; Braren, R.F.; Herzig, S.; et al. MRI-Determined Psoas Muscle Fat Infiltration Correlates with Severity of Weight Loss during Cancer Cachexia. Cancers 2021, 13, 4433. [Google Scholar] [CrossRef] [PubMed]
- Zhao, Y.; Huang, M.; Serrano Sosa, M.; Cattell, R.; Fan, W.; Li, M.; Chen, J.; Gao, M.; Zhou, Q.; Li, S.; et al. Fatty infiltration of paraspinal muscles is associated with bone mineral density of the lumbar spine. Arch. Osteoporos. 2019, 14, 99. [Google Scholar] [CrossRef] [PubMed]



| Parameter | All | Normal BMD | Osteoporosis/Osteopenia | p-Value | 
|---|---|---|---|---|
| Men/Women | 26/32 | 13/16 | 13/16 | |
| Age (years) | 71.6 ± 9.5 | 70.2 ± 10.3 | 73.0 ± 11.5 | p = 0.48 | 
| Follow-up time (days) | 183 ± 22 | 180 ± 16 | 186 ± 19 | p = 0.73 | 
| Baseline BMD (mg/cm3) | 137.1 ± 43.8 | 162.1 ± 32.5 | 92.7 ± 19.2 | p < 0.001 | 
| Baseline vertebral PDFF (%) | 45.7 ± 8.7 | 41.6 ± 9.3 | 49.7 ± 14.7 | p = 0.01 | 
| Baseline vertebral T2* (ms) | 9.0 ± 2.4 | 8.1 ± 2.3 | 9.9 ± 3.0 | p = 0.008 | 
| Baseline PSM PDFF (%) | 6.5 ± 5.1 | 4.7 ± 4.4 | 8.2 ± 10.3 | p = 0.10 | 
| Baseline PSM CSA (mm2) | 1302.7 ± 380.5 | 1359.7 ± 440.0 | 1245.7 ± 316.9 | p = 0.008 | 
| Parameter | Cut-Off Value | >Cut-Off | <Cut-Off | p-Value | 
|---|---|---|---|---|
| diff_T2*_spine (ms) | ||||
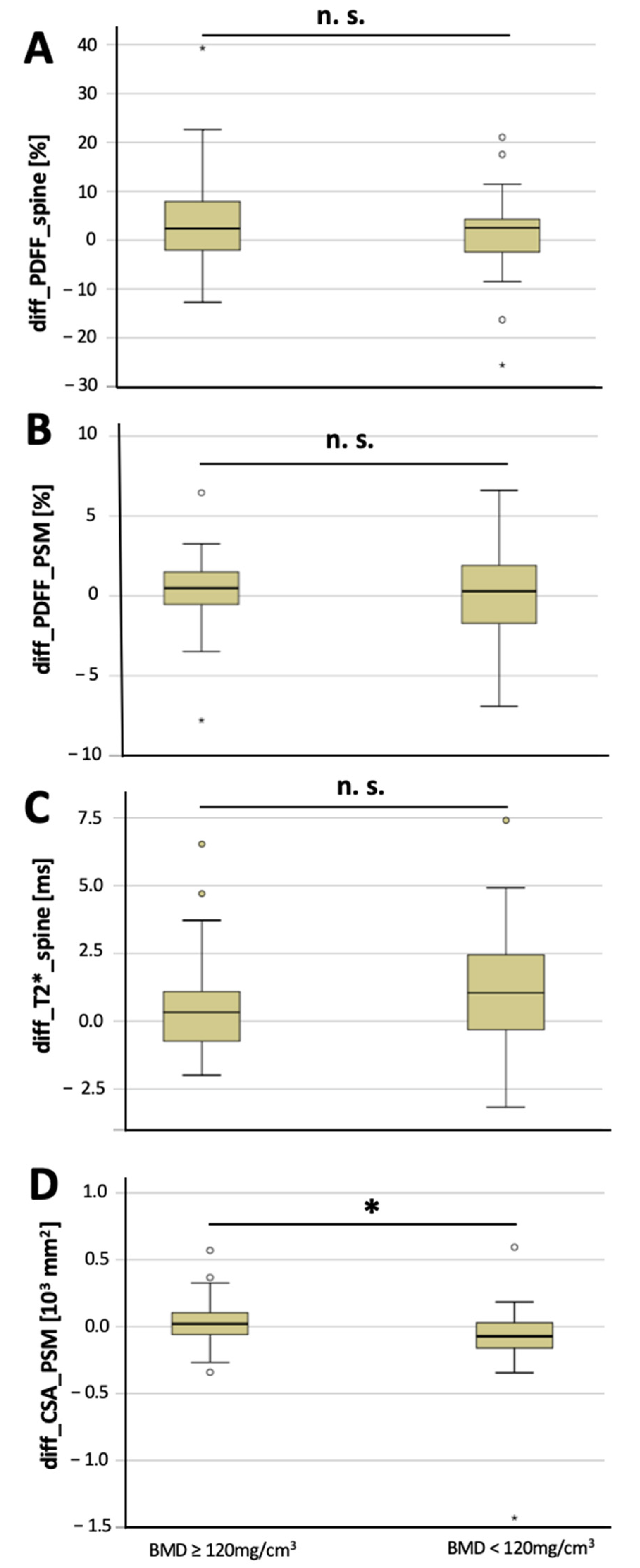
| Baseline vertebral PDFF (%) | 45.0 | 0.9 ± 1.6 | 0.0 ± 1.8 | p = 0.04 | 
| Baseline PSM PDFF (%) | 4.0 | 0.9 ± 2.0 | 0.0 ± 1.3 | p = 0.03 | 
| diff_PDFF_spine (%) | ||||
| Baseline vertebral T2* (ms) | 9.0 | 7.1 ± 10.1 | 0.8 ± 10.0 | p = 0.02 | 
| Publisher’s Note: MDPI stays neutral with regard to jurisdictional claims in published maps and institutional affiliations. | 
© 2022 by the authors. Licensee MDPI, Basel, Switzerland. This article is an open access article distributed under the terms and conditions of the Creative Commons Attribution (CC BY) license (https://creativecommons.org/licenses/by/4.0/).
Share and Cite
Gassert, F.T.; Glanz, L.; Boehm, C.; Stelter, J.; Gassert, F.G.; Leonhardt, Y.; Feuerriegel, G.C.; Graf, M.; Wurm, M.; Baum, T.; et al. Associations between Bone Mineral Density and Longitudinal Changes of Vertebral Bone Marrow and Paraspinal Muscle Composition Assessed Using MR-Based Proton Density Fat Fraction and T2* Maps in Patients with and without Osteoporosis. Diagnostics 2022, 12, 2467. https://doi.org/10.3390/diagnostics12102467
Gassert FT, Glanz L, Boehm C, Stelter J, Gassert FG, Leonhardt Y, Feuerriegel GC, Graf M, Wurm M, Baum T, et al. Associations between Bone Mineral Density and Longitudinal Changes of Vertebral Bone Marrow and Paraspinal Muscle Composition Assessed Using MR-Based Proton Density Fat Fraction and T2* Maps in Patients with and without Osteoporosis. Diagnostics. 2022; 12(10):2467. https://doi.org/10.3390/diagnostics12102467
Chicago/Turabian StyleGassert, Florian Tilman, Leander Glanz, Christof Boehm, Jonathan Stelter, Felix Gerhard Gassert, Yannik Leonhardt, Georg C. Feuerriegel, Markus Graf, Markus Wurm, Thomas Baum, and et al. 2022. "Associations between Bone Mineral Density and Longitudinal Changes of Vertebral Bone Marrow and Paraspinal Muscle Composition Assessed Using MR-Based Proton Density Fat Fraction and T2* Maps in Patients with and without Osteoporosis" Diagnostics 12, no. 10: 2467. https://doi.org/10.3390/diagnostics12102467
APA StyleGassert, F. T., Glanz, L., Boehm, C., Stelter, J., Gassert, F. G., Leonhardt, Y., Feuerriegel, G. C., Graf, M., Wurm, M., Baum, T., Braren, R. F., Schwaiger, B. J., Makowski, M. R., Karampinos, D., & Gersing, A. S. (2022). Associations between Bone Mineral Density and Longitudinal Changes of Vertebral Bone Marrow and Paraspinal Muscle Composition Assessed Using MR-Based Proton Density Fat Fraction and T2* Maps in Patients with and without Osteoporosis. Diagnostics, 12(10), 2467. https://doi.org/10.3390/diagnostics12102467
 
        


 
       