Is There Still a Place for Brachytherapy in the Modern Treatment of Early-Stage Oral Cancer?
Abstract
Simple Summary
Abstract
1. Introduction
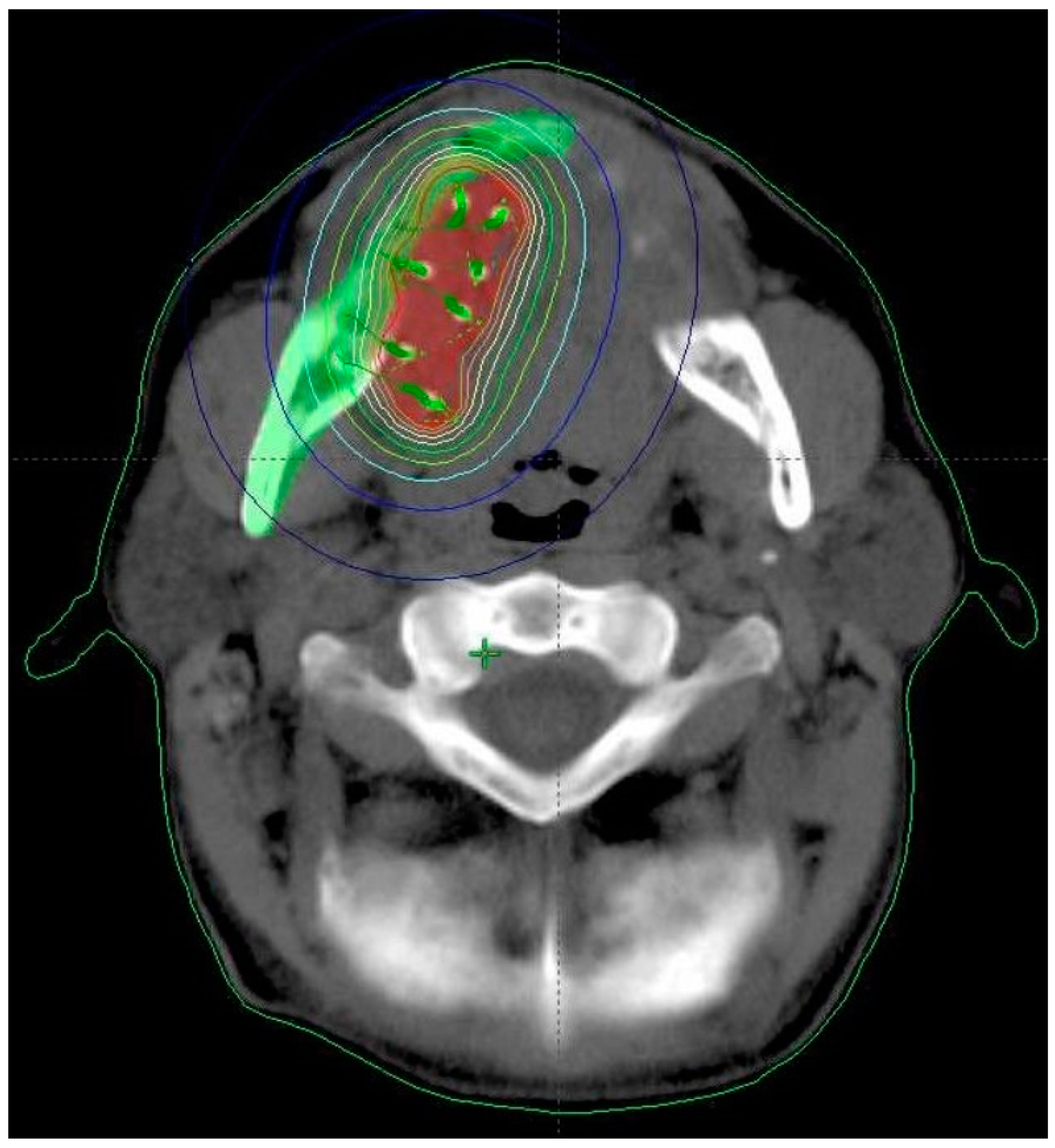
1.1. Brachytherapy Principles
1.2. Historical Background of Brachytherapy
1.3. Brachytherapy for Tongue and Floor of Mouth Cancers
1.4. Postoperative Brachytherapy
1.5. Nodal Control
1.6. Molecular Prognostic and Predictive Factors
1.7. Lip Cancer
1.8. Brachyterapy for Buccal Cancer
1.9. Brachytherapy for Local Recurrence
1.10. Improvements of BT Techniques
1.11. Quality of Life
2. Conclusions
Author Contributions
Funding
Acknowledgments
Conflicts of Interest
References
- Hashim, D.; Genden, E.; Posner, M.; Hashibe, M.; Boffetta, P. Head and neck cancer prevention: From primary prevention to impact of clinicians on reducing burden. Ann. Oncol. 2019, 30, 744–756. [Google Scholar] [CrossRef]
- Bray, F.; Ferlay, J.; Soerjomataram, I.; Siegel, R.L.; Torre, L.A.; Jemal, A. Global cancer statistics 2018: GLOBOCAN estimates of incidence and mortality worldwide for 36 cancers in 185 countries. CA Cancer J. Clin. 2018, 68, 394–424. [Google Scholar] [CrossRef] [PubMed]
- Gatta, G.; Capocaccia, R.; Botta, L.; Mallone, S.; De Angelis, R.; Ardanaz, E.; Comber, H.; Dimitrova, N.; Leinonen, M.K.; Siesling, S.; et al. Burden and centralised treatment in Europe of rare tumours: Results of RARECAREnet-a population-based study. Lancet Oncol. 2017, 18, 1022–1039. [Google Scholar] [CrossRef]
- Machiels, J.P.; René Leemans, C.; Golusinski, W.; Grau, C.; Licitra, L.; Gregoire, V. Squamous cell carcinoma of the oral cavity, larynx, oropharynx and hypopharynx: EHNS-ESMO-ESTRO Clinical Practice Guidelines for diagnosis, treatment and follow-up. Ann. Oncol. 2020, 31, 1462–1475. [Google Scholar] [CrossRef]
- Alva, R.C.; Koushik, A.S.K.; Sweta, B.; Janaki, M.G.; Ponni, T.R.A.; Kumar, M.; Yuvaraj, B.; Revath, T. Brachytherapy for oral cancers in the era of IMRT. Indian J. Surg. Oncol. 2020, 11, 406–411. [Google Scholar] [CrossRef] [PubMed]
- Paterson, R.; Parker, H.M. A dosage system for interstitial radium therapy. Br. J. Radiol. 1938, 1, 252–340. [Google Scholar] [CrossRef]
- Pierquin, B.; Dutreix, A.; Paine, C.H.; Chassagne, D.; Marinello, G.; Ash, D. The Paris system in interstitial radiation therapy. Acta Radiol. Oncol. Radiat. Phys. Biol. 1978, 17, 33–48. [Google Scholar] [CrossRef]
- Yamazaki, H.; Yoshida, K.; Yoshioka, Y.; Shimizutani, K.; Furukawa, S.; Koizumi, M.; Ogawa, K. High dose rate brachytherapy for oral cancer. J. Radiat. Res. 2013, 54, 1–17. [Google Scholar] [CrossRef]
- Mazeron, J.J.; Ardiet, J.M.; Haie-Méder, C.; Kovács, G.; Levendag, P.; Peiffert, D.; Polo, A.; Rovirosa, A.; Strnad, V. GEC-ESTRO recommendations for brachytherapy for head and neck squamous cell carcinomas. Radiother. Oncol. 2009, 91, 150–156. [Google Scholar] [CrossRef]
- Whitehurst, J.O.; Droulias, C.A. Surgical treatment of squamous cell carcinoma of the oral tongue: Factors influencing survival. Arch. Otolaryngol. 1977, 103, 212–215. [Google Scholar] [CrossRef]
- Spiro, R.; Strong, E.W. Epidermoid carcinoma of the mobile tongue. Treatment by partial glosectomy alone. Am. J. Surg. 1971, 122, 707–710. [Google Scholar] [CrossRef]
- Mazeron, J.J.; Crook, J.M.; Benck, V.; Marinello, G.; Martin, M.; Raynal, M.; Haddad, E.; Peynègre, R.; Le Bourgeois, J.P.; Walop, W.; et al. Iridium 192 implantation of T1 and T2 carcinomas of the mobile tongue. Int. J. Radiat. Oncol. Biol. Phys. 1990, 19, 1369–1376. [Google Scholar] [CrossRef]
- Dearnaley, D.P.; Dardoufas, C.; A’Hearn, R.P.; Henk, J.M. Interstitial irradiation for carcinoma of the tongue and floor of mouth. Royal Marsden Hospital Experience 1970–1986. Radiother. Oncol. 1991, 21, 183–192. [Google Scholar] [CrossRef]
- Nag, S.; Cano, E.R.; Demanes, D.J.; Puthawala, A.A.; Vikram, B.; American Brachytherapy Society. The American Brachytherapy Society recommendations for high-dose-rate brachytherapy for head and neck carcinoma. Int. J. Radiat. Oncol. Biol. Phys. 2001, 50, 1190–1198. [Google Scholar] [CrossRef]
- Inoue, T.; Inoue, T.; Yoshida, K.; Yoshioka, Y.; Shimamoto, S.; Tanaka, E.; Yamazaki, H.; Shimizutani, K.; Teshima, T.; Furukawa, S. Phase III trial of high- vs. low-dose-rate interstitial radiotherapy for early mobile tongue cancer. Int. J. Radiat. Oncol. Biol. Phys. 2001, 51, 171–175. [Google Scholar] [CrossRef]
- Yamazaki, H.; Inoue, T.; Yoshida, K.; Yoshioka, Y.; Furukawa, S.; Kakimoto, N.; Shimizutani, K.; Inoue, T. Brachytherapy for early oral tongue cancer: Low dose rate to high dose rate. J. Radiat. Res. 2003, 44, 37–40. [Google Scholar] [CrossRef]
- Liu, Z.; Huang, S.; Zhang, D. High dose rate versus low dose rate brachytherapy for oral cancer—A meta-analysis of clinical trials. PLoS ONE 2013, 8, e65423. [Google Scholar] [CrossRef]
- Umeda, M.; Komatsubara, H.; Nishimatsu, N.; Yokoo, S.; Shibuya, Y.; Komori, T. High-dose rate interstitial brachytherapy for stage I-II tongue cancer. Oral Surg. Oral Med. Oral Pathol. Oral Radiol. Endod. 2000, 90, 667–670. [Google Scholar] [CrossRef]
- Lau, H.Y.; Hay, J.H.; Flores, A.D.; Threlfall, W.J. Seven fractions of twice daily high-dose rate brachytherapy for node-negative carcinoma of the mobile tongue results in loss of therapeutic ratio. Radiother. Oncol. 1996, 39, 15–18. [Google Scholar] [CrossRef]
- Leung, T.W.; Wong, V.Y.; Kwan, K.H.; Ng, T.Y.; Wong, C.M.; Tung, S.Y.; Leung, L.C.; O, S.K. High dose rate brachytherapy for early-stage oral tongue cancer. Head Neck 2002, 24, 274–281. [Google Scholar] [CrossRef] [PubMed]
- Guinot, J.L.; Santos, M.; Tortajada, M.I.; Carrascosa, M.; Estellés, E.; Vendrell, J.B.; Muelas, R.; Chust, M.L.; Mengual, J.L.; Arribas, L. Efficacy of high-dose-rate interstitial brachytherapy in patients with oral tongue carcinoma. Brachytherapy 2010, 9, 227–234. [Google Scholar] [CrossRef] [PubMed]
- Matsumoto, K.; Sasaki, T.; Shioyama, Y.; Nakamura, K.; Atsumi, K.; Nonoshita, T.; Ooga, S.; Yoshitake, T.; Uehara, S.; Hirata, H.; et al. Treatment outcome of high dose rate interstitial radiation therapy for patients with stage I and II mobile tongue cancer. Jpn. J. Clin. Oncol. 2013, 43, 1012–1017. [Google Scholar] [CrossRef] [PubMed]
- Vedasoundaram, P.; Raghava Ks, A.; Periasamy, K.; Selvarajan, G.K.S.; Kandasamy, S.R.S.; Kumar, A. The effect of high dose rate interstitial implant on early and locally advanced oral cavity cancers: Update and long-term follow-up study. Cureus 2020, 12, e7910. [Google Scholar] [CrossRef]
- Bansal, A.; Ghoshal, S.; Oinam, A.S.; Sharma, S.C.; Dhanireddy, B.; Kapoor, R. High-dose-rate interstitial brachytherapy in early stage oral tongue cancer—15 year experience from tertiary care institute. J. Contemp. Brachyther. 2016, 8, 56–65. [Google Scholar] [CrossRef] [PubMed]
- Ellis, M.A.; Graboyes, E.M.; Wahlquist, A.E.; Neskey, D.M.; Kaczmar, J.M.; Schopper, H.K.; Sharma, A.K.; Morgan, P.F.; Nguyen, S.A.; Day, T.A. Primary surgery vs radiotherapy for early stage oral cavity cancer. Otolaryngol. Head Neck Surg. 2018, 158, 649–659. [Google Scholar] [CrossRef]
- Grabenbauer, G.G.; Rödel, C.; Brunner, T.; Schulze-Mosgau, S.; Strnad, V.; Müller, R.G.; Iro, H.; Sauer, R. Interstitial brachytherapy with Ir 192 Low Dose Rate in the treatment of primary and recurrent cancer of the oral cavity and oropharynx. Strahlenther Onkol. 2001, 177, 338–344. [Google Scholar] [CrossRef]
- Umeda, M.; Komatsubara, H.; Ojima, Y.; Minamikawa, T.; Shibuya, Y.; Yokoo, S.; Ishii, J.; Komori, T. A comparison of brachytherapy and surgery for the treatment of stage I–II squamous cell carcinoma of the tongue. Int. J. Oral Maxillofac. Surg. 2005, 34, 739–744. [Google Scholar] [CrossRef] [PubMed]
- NCCN Clinical Practice Guidelines in Oncology. NCCN Guidelines Version 3. Head and Neck Cancers. 2021. Available online: https://www.nccn.org/professionals/physician_gls/pdf/head-and-neck.pdf (accessed on 1 November 2021).
- Meccariello, G.; Maniaci, A.; Bianchi, G.; Cammaroto, G.; Iannella, G.; Catalano, A.; Sgarzani, R.; De Vito, A.; Capaccio, P.; Pelucchi, S.; et al. Neck dissection and trans oral robotic surgery for oropharyngeal squamous cell carcinoma. Auris Nasus Larynx 2021. [Google Scholar] [CrossRef]
- Ianovski, I.; Mlynarek, A.M.; Black, M.J.; Bahortic, B.; Sultanem, K.; Hier, M.P. The role of brachytherapy for margin control in oral tongue squamous cell carcinoma. J. Otolaryngol. Head Neck Surg. 2020, 49, 74. [Google Scholar] [CrossRef] [PubMed]
- Lapeyre, M.; Hoffstetter, S.; Peiffert, D.; Guérif, S.; Maire, F.; Dolivet, G.; Toussaint, B.; Mundt, A.; Chassagne, J.F.; Simon, C.; et al. Postoperative brachytherapy alone for T1-2 N0 squamous cell carcinomas of the oral tongue and floor of mouth with close or positive margins. Int. J. Radiat. Oncol. Biol. Phys. 2000, 48, 37–42. [Google Scholar] [CrossRef]
- Pernot, M.; Aletti, P.; Carolus, J.M.; Marquis, I.; Hoffstetter, S.; Maaloul, F.; Peiffert, D.; Lapeyre, M.; Luporsi, E.; Marchal, C.; et al. Indications, techniques and results of postoperative brachytherapy in cancer of the oral cavity. Radiother. Oncol. 1995, 35, 186–192. [Google Scholar] [CrossRef]
- Petera, J.; Sirak, I.; Laco, J.; Kasaova, L.; Tucek, L.; Dolezalova, H. High-dose-rate brachytherapy in early oral cancer with close or positive margins. Brachytherapy 2015, 14, 77–83. [Google Scholar] [CrossRef]
- El-Naaj, I.A.; Leiser, Y.; Shveis, M.; Sabo, E.; Peled, M. Incidence of oral cancer occult metastasis and survival of T1-T2N0 oral cancer patients. J. Oral Maxillofac. Surg. 2011, 69, 2674–2679. [Google Scholar] [CrossRef]
- Fujita, M.; Hirokawa, Y.; Kashiwado, K.; Akagi, Y.; Kashimoto, K.; Kiriu, H.; Matsuura, K.; Ito, K. Interstitial brachytherapy for stage I and II squamous cell carcinoma of the oral tongue: Factors influencing local control and soft tissue complications. Int. J. Radiat. Oncol. Biol. Phys. 1999, 44, 767–775. [Google Scholar] [CrossRef]
- Nakagawa, T.; Shibuya, H.; Yoshimura, R.; Miura, M.; Okada, N.; Kishimoto, S.; Amagasa, M.; Omura, K. Neck node metastasis after successful brachytherapy for early stage tongue carcinoma. Radiother. Oncol. 2003, 68, 129–135. [Google Scholar] [CrossRef]
- D’Cruz, A.K.; Vaish, R.; Kapre, N.; Dandekar, M.; Gupta, S.; Hawaldar, R.; Agarwal, J.P.; Pantvaidya, G.; Chaukar, D.; Deshmukh, A.; et al. Elective versus therapeutic neck dissection in node-negative oral cancer. N. Engl. J. Med. 2015, 373, 521–529. [Google Scholar] [CrossRef]
- Chatterjee, A.; Laskar, S.G.; Chaukar, D. Management of early oral cavity squamous cell cancers. Oral. Oncol. 2020, 104, 104627. [Google Scholar] [CrossRef]
- Chakrabarti, B.; Ghorai, S.; Basu, B.; Ghosh, S.K.; Gupta, P.; Ghosh, K.; Ghosh, P. Late nodal metastasis in early node-negative oral cavity cancers after successful sole interstitial brachytherapy: An institutional experience of 42 cases in India. Brachytherapy 2010, 9, 254–259. [Google Scholar] [CrossRef] [PubMed]
- Almangush, A.; Heikkinen, I.; Mäkitie, A.A.; Coletta, R.D.; Läärä, E.; Leivo, I.; Salo, T. Prognostic biomarkers for oral tongue squamous cell carcinoma: A systematic review and meta-analysis. Br. J. Cancer 2017, 117, 856–866. [Google Scholar] [CrossRef] [PubMed]
- Petera, J.; Sirák, I.; Tuček, L.; Hodek, M.; Paluska, P.; Kašaová, L.; Paulíková, S.; Vošmik, M.; Doležalová, H.; Cvanova, M.; et al. Predicting factors for locoregional failure of high-dose-rate brachytherapy for early-stage oral cancer. Pers. Med. 2012, 9, 879–887. [Google Scholar] [CrossRef]
- Liu, M.; Tong, L.; Liang, B.; Song, X.; Xie, L.; Peng, H.; Huang, D. A 15-gene signature and prognostic nomogram for predicting overal survival in non-distant metastatic oral tongue squamous cell carcinoma. Front. Oncol. 2021, 11, 587548. [Google Scholar] [CrossRef] [PubMed]
- Papanikolaou, S.V.; Kyrodimos, E.; Tsiambas, E.; Giotakis, E.; Psyrri, A.; Ragos, V.; Chrysovergis, A. Chromosomal instability in oral squamous cell carcinoma. J. BUON 2018, 23, 1580–1582. [Google Scholar]
- Barresi, V.; Castorina, S.; Musso, N.; Capizzi, C.; Luca, T.; Privitera, G.; Condorelli, D.F. Chromosomal instability analysis and regional tumor heterogeneity in colon cancer. Cancer Genet. 2017, 210, 9–21. [Google Scholar] [CrossRef]
- Johansson, B.; Karlsson, L.; Hardell, L.; Persliden, J. Long term results of PDR brachytherapy for lip cancer. J. Contemp. Brachyther. 2011, 3, 65–69. [Google Scholar] [CrossRef] [PubMed]
- Guinot, J.L.; Arribas, L.; Vendrell, J.B.; Santos, M.; Tortajada, M.I.; Mut, A.; Cruz, J.; Mengual, J.L.; Chust, M.L. Prognostic factors in squamous cell lip carcinoma treated with high-dose-rate brachytherapy. Head Neck 2014, 36, 1737–1742. [Google Scholar] [CrossRef]
- Finestres-Zubeldia, F.; Guix-Melcior, B.; Cloquell-Damian, A.; Chimenos-Küstner, E.; Tello-Luque, J.I. Treatment of the carcinoma of the lip through high dose rate brachitherapy. Med. Oral. Patol. Oral. Cir. Bucal. 2005, 10, 17–20. [Google Scholar]
- Guibert, M.; David, I.; Vergez, S.; Rives, M.; Filleron, T.; Bonnet, J.; Delannes, M. Brachytherapy in lip carcinoma: Long-term results. Int. J. Radiat. Oncol. Biol. Phys. 2011, 81, e839–e843. [Google Scholar] [CrossRef]
- Vegers, J.W.; Snow, G.B.; van der Waal, I. Squamous cell carcinoma of the buccal mucosa. A review of 85 cases. Arch. Otolaryngol. 1979, 105, 192–195. [Google Scholar] [CrossRef]
- Nair, M.K.; Sankaranarayanan, R.; Padmanabhan, T.K. Evaluation of the role of radiotherapy in the management of carcinoma of the buccal mucosa. Cancer 1988, 61, 1326–1331. [Google Scholar] [CrossRef]
- Lapeyre, M.; Peiffert, D.; Malissard, L.; Hoffstetter, S.; Pernot, M. An original technique of brachytherapy in the treatment of epidermoid carcinomas of the buccal mucosa. Int. J. Radiat. Oncol. Biol. Phys. 1995, 33, 447–454. [Google Scholar] [CrossRef]
- Prisciandaro, J.I.; Foote, R.L.; Herman, M.G.; Lee, S.J.; LaJoie, W.N.; Van Blarcom, A.B.; Yeakel, P.D. A buccal mucosa carcinoma treated with high dose rate brachytherapy. J. Appl. Clin. Med. Phys. 2005, 6, 8–12. [Google Scholar] [CrossRef]
- Gerbaulet, A. Buccal mucosa cancer. In The GEC-ESTRO Handbook of Brachytherapy; Gerbaulet, A., Pötter, R., Mazeron, J.J., Meertens, H., van Limbergen, E., Eds.; ESTRO: Brussels, Belgium, 2002; pp. 265–273. [Google Scholar]
- Vedasoundaram, P.; Prasanna, A.K.; Ks, R.; Selvarajan, G.; Sinnatamby, M.; Ramapandian, S.; Kandasamy, S. Role of high dose rate interstitial brachytherapy in early and locally advanced squamous cell carcinoma of buccal mucosa. Springerplus 2014, 3, 590. [Google Scholar] [CrossRef] [PubMed][Green Version]
- Shibuya, H.; Takeda, M.; Matsumoto, S.; Hoshina, M.; Shagdarsuren, M.; Suzuki, S. Brachytherapy for non-metastatic squamous cell carcinoma of the buccal mucosa. An analysis of forty-five cases treated with permanent implants. Acta Oncol. 1993, 32, 327–330. [Google Scholar] [CrossRef] [PubMed]
- Tayier, A.; Hayashi, K.; Yoshimura, R. Low-dose-rate interstitial brachytherapy preserves good quality of life in buccal mucosa cancer patients. J. Radiat. Res. 2011, 52, 655–659. [Google Scholar] [CrossRef] [PubMed][Green Version]
- Kotsuma, T.; Yamazaki, H.; Masui, K.; Yoshida, K.; Shimizutani, K.; Akiyama, H.; Murakami, S.; Isohashi, F.; Yoshioka, Y.; Ogawa, K.; et al. Brachytherapy for buccal cancer: From conventional low dose rate (LDR) or mold technique to high dose rate interstitial brachytherapy (HDR-ISBT). Anticancer Res. 2017, 37, 6887–6892. [Google Scholar] [CrossRef][Green Version]
- Unetsubo, T.; Matsuzaki, H.; Takemoto, M.; Katsui, K.; Hara, M.; Katayama, N.; Waki, T.; Kanazawa, S.; Asaumi, J. High-dose-rate brachytherapy using molds for lip and oral cavity tumors. Radiat. Oncol. 2015, 10, 81. [Google Scholar] [CrossRef][Green Version]
- Bhalavat, R.; Pareek, V.; Chandra, M.; Nellore, L.; George, K.; Borade, D.; Kalariya, K.; Moosa, Z.; Srivastava, A.; Reddy, N.; et al. High-dose-rate interstitial brachytherapy in recurrent head and neck cancer: An effective salvage option. J. Contemp. Brachyther. 2018, 10, 425–430. [Google Scholar] [CrossRef]
- Strnad, V.; Lotter, M.; Kreppner, S.; Fietkau, R. Re-irradiation with interstitial pulsed-dose-rate brachytherapy for unresectable recurrent head and neck carcinoma. Brachytherapy 2014, 13, 187–195. [Google Scholar] [CrossRef] [PubMed]
- Bartochowska, A.; Wierzbicka, M.; Skowronek, J.; Leszczyńska, M.; Szyfter, W. High-dose-rate and pulsed-dose-rate brachytherapy in palliative treatment of head and neck cancers. Brachytherapy 2012, 11, 137–143. [Google Scholar] [CrossRef] [PubMed]
- Rudžianskas, V.; Inčiūra, A.; Vaitkus, S.; Padervinskis, E.; Rudžianskienė, M.; Kupčinskaitė-Noreikienė, R.; Saltonaitė, L.; Noreika, A.; Statnickaitė, A.; Juozaitytė, E. Reirradiation for patients with recurrence head and neck squamous cell carcinoma: A single-institution comparative study. Medicina 2014, 50, 92–99. [Google Scholar] [CrossRef]
- Kovács, G.; Martinez-Monge, R.; Budrukkar, A.; Guinot, J.L.; Johansson, B.; Strnad, V.; Skowronek, J.; Rovirosa, A.; Siebert, F.A.; GEC-ESTRO Head & Neck Working Group. GEC-ESTRO ACROP recommendations for head & neck brachytherapy in squamous cell carcinomas: 1st update—Improvement by cross sectional imaging based treatment planning and stepping source technology. Radiother. Oncol. 2017, 122, 248–254. [Google Scholar] [CrossRef] [PubMed]
- García-Consuegra, A.; Gimeno Morales, M.; Cambeiro, M.; Tagliaferri, L.; Kovacs, G.; Van Limbergen, E.; Ramos, L.I.; Manuel Arnaiz, J.; Alcalde, J.; Lecanda, F.; et al. Dose volume histogram constraints in patients with head and neck cancer treated with surgery and adjuvant HDR brachytherapy: A proposal of the head and neck and skin GEC ESTRO Working group. Radiother. Oncol. 2021, 154, 128–134. [Google Scholar] [CrossRef] [PubMed]
- The WHO QOL Group. What quality of life. In World Health Forum; WHO: Geneva, Switzerland, 1996. [Google Scholar]
- Mücke, T.; Koschinski, J.; Wolff, K.D.; Kanatas, A.; Mitchell, D.A.; Loeffelbein, D.J.; Deppe, H.; Rau, A. Quality of life after different oncologic interventions in head and neck cancer patients. J. Craniomaxillofac. Surg. 2015, 43, 1895–1898. [Google Scholar] [CrossRef] [PubMed]
- de Graeff, A.; de Leeuw, J.R.; Ros, W.J.; Hordijk, G.J.; Blijham, G.H.; Winnubst, J.A. A prospective study on quality of life of patients with cancer of the oral cavity or oropharynx treated with surgery with or without radiotherapy. Oral Oncol. 1999, 35, 27–32. [Google Scholar] [CrossRef]
- Peisker, A.; Raschke, G.F.; Guentsch, A.; Roshanghias, K.; Eichmann, F.; Schultze-Mosgau, S. Longterm quality of life after oncologic surgery and microvascular free flap reconstruction in patients with oral squamous cell carcinoma. Med. Oral Patol. Oral Cir. Bucal. 2016, 21, e420–e424. [Google Scholar] [CrossRef] [PubMed]
- Efunkoya, A.A.; Adebola, R.A.; Omeje, K.U.; Amole, I.O.; Akhiwu, B.I.; Osunde, D.O. Quality of life following surgical treatment of oral cancers. J. Korean Assoc. Oral. Maxillofac. Surg. 2015, 41, 19–25. [Google Scholar] [CrossRef]
- Jehn, P.; Spalthoff, S.; Lentge, F.; Zeller, A.N.; Tavassol, F.; Neuhaus, M.T.; Eckstein, F.M.; Krüskemper, G.; Gellrich, N.C.; Korn, P. Postoperative quality of life and therapy-related impairments of oral cancer in relation to time-distance since treatment. J. Cancer Surviv. 2021. [Google Scholar] [CrossRef]
- Epstein, J.B.; Robertson, M.; Emerton, S.; Phillips, N.; Stevenson-Moore, P. Quality of life and oral function in patients treated with radiation therapy for head and neck cancer. Head Neck 2001, 23, 389–398. [Google Scholar] [CrossRef]
- Serra, A.; Spinato, G.; Spinato, R.; Conti, A.; Licciardello, L.; Di Luca, M.; Campione, G.; Tonoli, G.; Politi, D.; Castro, V.; et al. Multicenter prospective crossover study on new prosthetic opportunities in post-laryngectomy voice rehabilitation. J. Biol. Regul. Homeost. Agents. 2017, 31, 803–809. [Google Scholar]
- Yoshimura, R.; Shibuya, H.; Miura, M.; Watanabe, H.; Ayukawa, F.; Hayashi, K.; Toda, K. Quality of life of oral cancer patients after low-dose-rate interstitial brachytherapy. Int. J. Radiat. Oncol. Biol. Phys. 2009, 73, 772–778. [Google Scholar] [CrossRef]
- Bajwa, H.K.; Singareddy, R.; Alluri, K.R. High-dose-rate interstitial brachytherapy in oral cancer-Its impact on quality of life. Brachytherapy 2016, 15, 381–386. [Google Scholar] [CrossRef]




| Author | Year | Number of Patients | Fractionation | Results | Complications |
|---|---|---|---|---|---|
| Umeda [18] | 2000 | 25 | 9–10 × 6 Gy/5 days | 3y LC: 72% in stage I | Osteonecrosis: 20% |
| Lau [19] | 1995 | 27 | 7 × 6.5 Gy | 5y LC: 53% | G2 bone complications,: 11% |
| Inoue [15] | 2001 | LDR 26 HDR 25 | 70 Gy/4–9 days 10 × 6 Gy in 5 days | 5y LC: 84% 5y LC: 87% | 1 tongue ulcer 1 tongue ulcer, 2 osteoradionecrosis |
| Yamazaki [16] | 2003 | LDR 341 HDR 58 | 70 Gy 10 × 6 Gy in 5 days | 5y LC: 85% 5y LC: 80% | bone complications: 3% and tongue ulcer: 2% in both groups |
| Leung [20] | 2002 | 19 | 10 × 5.5 Gy in 5 days | 4y LC: 94% | soft tissue + G2 bone complications: 5.2% |
| Guinot [21] | 2010 | 33 pt EBRT + BT 17 pt BT only | 50 Gy + 6 × 3 Gy 11 × 4 Gy | 3y LC: 87% 3y LC: 100% | bone necrosis: 4% soft tissue necrosis: 16% |
| Matsumoto [22] | 2013 | 67 pt BT only 35 pt EBRT + BT | 10 × 5 Gy in 6 days EBRT: 20 Gy | 5y LC: 94% | soft tissue necrosis: 16% |
| Vedasoundaram [23] | 2020 | 15 pt BT only 11 pt BT + EBRT | 11 × 3.5 Gy BT 50 Gy + 7 × 3 Gy BT | 5y DFS: 100% stage I 83%: stage II 77.2%: stage III | Soft tissue necrosis: 5.6% Osteoradionecrosis: 4.8% |
| Bansal [24] | 2016 | 62 pt BT alone 30 pt EBRT + BT | 40–52 Gy at 4 Gy/F EBRT 40 Gy + BT 18–24 Gy at 3 Gy | 5y LC: 64.2% 5y OS: 73.2% 5y DFS: 58.2% 5y nodal control rate: 83.8% | Osteoradionecrosis: 1.1% Induration, G3: 2.2% |
| Author | Year | No of Patients | Technique | LC | Complications |
|---|---|---|---|---|---|
| Gerbaulet [53] | 2002 | 266 | LDR BT 65–70 Gy | 81% | 15–20% necrosis |
| Lapeyre [51] | 1995 | 42 | LDR BT 50–80 Gy | 58–91% | 16.7% necrosis |
| Vedasoundaram [54] | 2014 | 33 | HDR BT 11 × 3.5 Gy HDR BT 6 × 3.5 Gy + EBRT ± CHT | Stage I 100% Stage II 84.6% Stage III: 80% | 3% |
| Shibuya [55] | 1993 | 45 | 198Au or 222Rn average dose 81.4 Gy EBRT 20–50 Gy | 88% Nodal control 77% | 22% soft tissue necrosis 26% bone complications 4% both |
| Tayier [56] | 2011 | 133 | 198Au ± EBRT | 87% | 11% soft tissue necrosis 6% osteoradionecrosis |
| Kotsuma [57] | 2017 | 36 | HDR BT median dose 48 Gy Mold median 15 Gy LDR T median 70 Gy ± EBRT median 30 Gy | HDR BT 82% Mold 85.7% LDR BT 72% | 8% necrosis |
| Unetsubo [58] | 2015 | 17 | HDR BT mold 4 × 6 Gy + EBRT 30 Gy | 60% | 12% soft tissue necrosis |
| Author | Patients, n | Tumour Site | Treatment | LC | OS |
|---|---|---|---|---|---|
| Bhalavat [59] | 25 | oral cavity: 15 pts oropharynx: 10 pts | HDR BT alone 40.5 Gy HDR BT 27 Gy + EBRT | 2y: 75% | 2y: 68% |
| Strnad [60] | 51 | oral cavity oropharynx | PDR-BT PDR-BT + EBRT ± chemotherapy | 5y: 57% | 5y: 26% |
| Bartochovska [61] | 156 | various | HDR BT, PDR BT | 6 months: 19.6 | 2y: 17% |
| Rudžianskas [62] | 30 | various | HDR BT 30 Gy | 2y: 67% | 2y: 47% |
Publisher’s Note: MDPI stays neutral with regard to jurisdictional claims in published maps and institutional affiliations. |
© 2022 by the authors. Licensee MDPI, Basel, Switzerland. This article is an open access article distributed under the terms and conditions of the Creative Commons Attribution (CC BY) license (https://creativecommons.org/licenses/by/4.0/).
Share and Cite
Tuček, L.; Vošmik, M.; Petera, J. Is There Still a Place for Brachytherapy in the Modern Treatment of Early-Stage Oral Cancer? Cancers 2022, 14, 222. https://doi.org/10.3390/cancers14010222
Tuček L, Vošmik M, Petera J. Is There Still a Place for Brachytherapy in the Modern Treatment of Early-Stage Oral Cancer? Cancers. 2022; 14(1):222. https://doi.org/10.3390/cancers14010222
Chicago/Turabian StyleTuček, Luboš, Milan Vošmik, and Jiří Petera. 2022. "Is There Still a Place for Brachytherapy in the Modern Treatment of Early-Stage Oral Cancer?" Cancers 14, no. 1: 222. https://doi.org/10.3390/cancers14010222
APA StyleTuček, L., Vošmik, M., & Petera, J. (2022). Is There Still a Place for Brachytherapy in the Modern Treatment of Early-Stage Oral Cancer? Cancers, 14(1), 222. https://doi.org/10.3390/cancers14010222

