Alzheimer’s Disease, Obesity, and Type 2 Diabetes: Focus on Common Neuroglial Dysfunctions (Critical Review and New Data on Human Brain and Models)
Abstract
1. Introduction
2. Common Pathological Mechanisms in AD, Obesity, and Type 2 Diabetes
2.1. Common Accepted Pathogenic Mechanisms Among These Pathologies
2.2. Controversies on the Pathological AD, Obesity, and T2D Relationships
3. Neuroglial Cells in the Healthy Brains and Those Affected by Neuroinflammatory Pathologies (AD and T2D)
3.1. Neuroglial Cells in the Healthy Young/Adult Brain
3.2. Neuroglia in Brain Aging, AD, and T2D
3.2.1. Reactive Neuroglial Cells in the Aging Brain and Brain Disorders. General Considerations
Astroglia
Oligodendroglia
Microglia
3.2.2. Neuroglia in the Aging Brain
Astroglia
Oligodrendroglia
Microglia
3.2.3. Neuroglia in Human AD and AD Models
Astroglia
Oligodendroglia
Microglia
3.2.4. Neuroglia in Human Obesity and Diabetes and Obesity/Diabetes Models
3.2.5. Neuroglia in Human AD-T2D and Models
- (A)
- In the first aspect mentioned, most of the works have shown an unquestionable relationship in pathological concurrence of T2D and AD. This relationship has been shown in different pathogenic mechanisms and with variations and nuances in the different models studied. Likewise, cross-influences between the two pathologies have been described. In a work by Velazquez et al., 2017 [452] carried out on transgenic mouse models (Tg2576 and 3xTg-AD mice), the existence of insulin signaling and energy metabolism abnormalities in the brain months before peripheral insulin resistance was shown. The authors point out that there are different signaling networks that influence CNS metabolism, which, in turn, may alter peripheral insulin signaling. Early alteration of energy metabolism in the hippocampus of the APP/PS1 mouse model of AD was described [453]. An important number of studies have shown a clear increase in AD neuropathology (amyloid deposits and tau pathology, as well as alterations of the brain vasculature) when diabetogenic interventions are conducted [32,439,454]. A high-fat diet increases amylin accumulation in the hippocampus and accelerates brain aging in hIAPP transgenic mice [455]. Sometimes, the results are contradictory: in a study on 3xTgAD mice, a high-fat diet induced memory impairment but without changes in amyloid and tau pathology [456], but another study on the same model found an increase in amyloid and phospho-tau neuropathology [457]. Prediabetes-induced vascular alterations exacerbate neuropathology in APP/PS1 mice [106]. In a transgenic mouse model of AD (Tg2576), a high-fat diet that has proven to induce insulin resistance has been able to stimulate the generation of amyloidogenic Aβ peptide, activate GSK-3α and GSK-3β associated with γ-secretase activity, and decrease IDE activity (Ho, 2004). In this model, the reduction in IR decreases the production of neuropathology [458].
4. Neuroglial AD and T2D Therapies
5. Discussion, Conclusions, and Future Research
- -
- -
- The theory of mitochondrial dysfunction is a common link between T2D and AD [778].
- -
- Genetic theories of AD do not conflict with the conception of the mechanistic connection of T2D and AD: many pathogenic mechanisms are reinforced, such as those related to genes affecting microglial cells or mitochondria, also common to T2D and AD. Studies on gene expression in brain cells (neuronal, neuroglial, and endothelial) of AD, T2D, and T2D-AD patients that have been carried out in recent years show that many of the overexpressed or down-expressed genes are related to insulin resistance and changes in insulin signaling pathways [105,774].
Author Contributions
Funding
Institutional Review Board Statement
Informed Consent Statement
Data Availability Statement
Conflicts of Interest
Appendix A
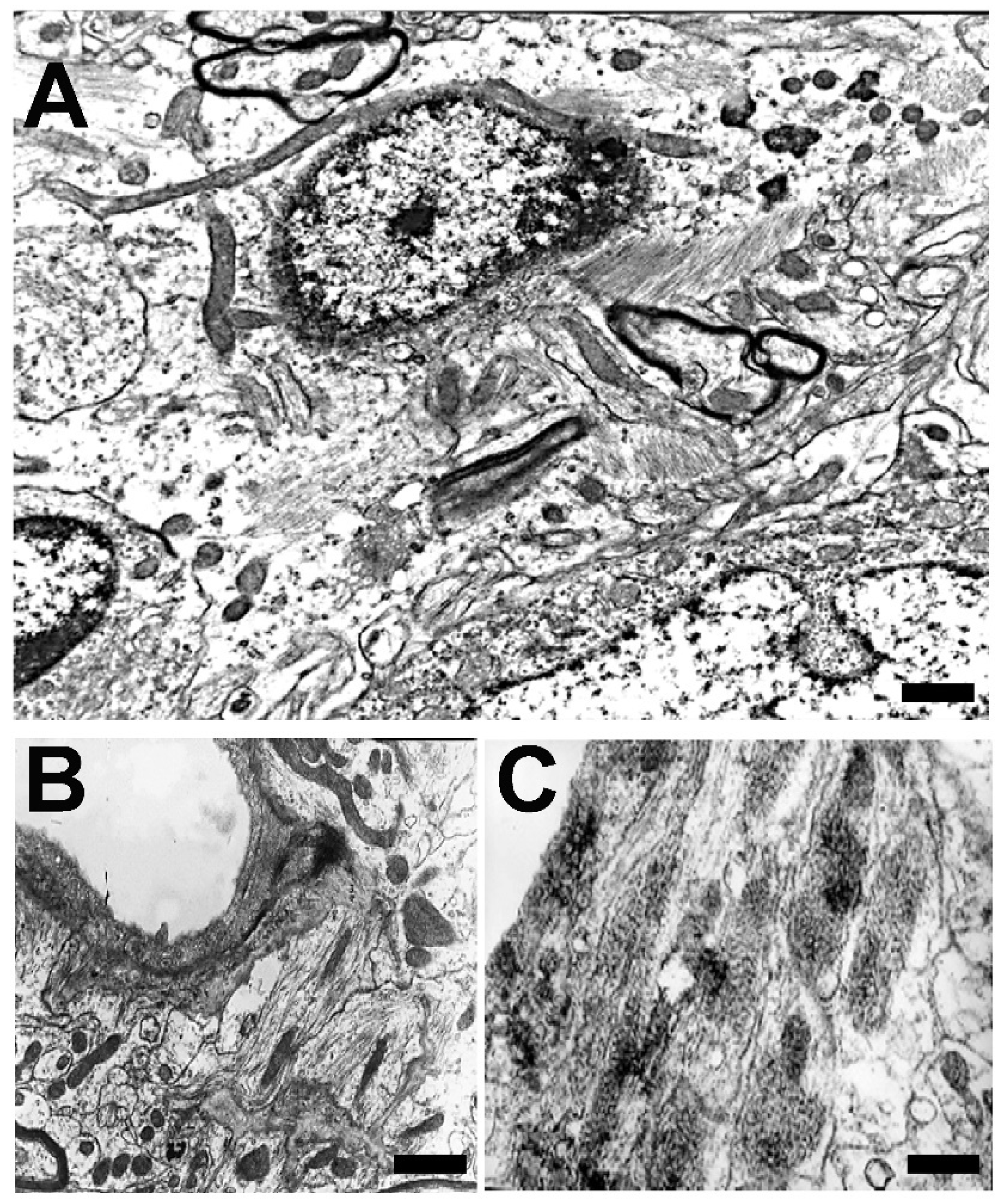
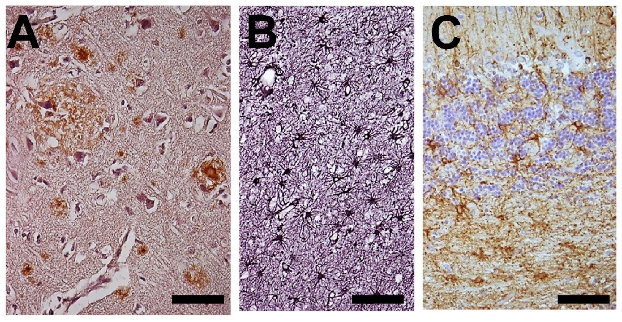
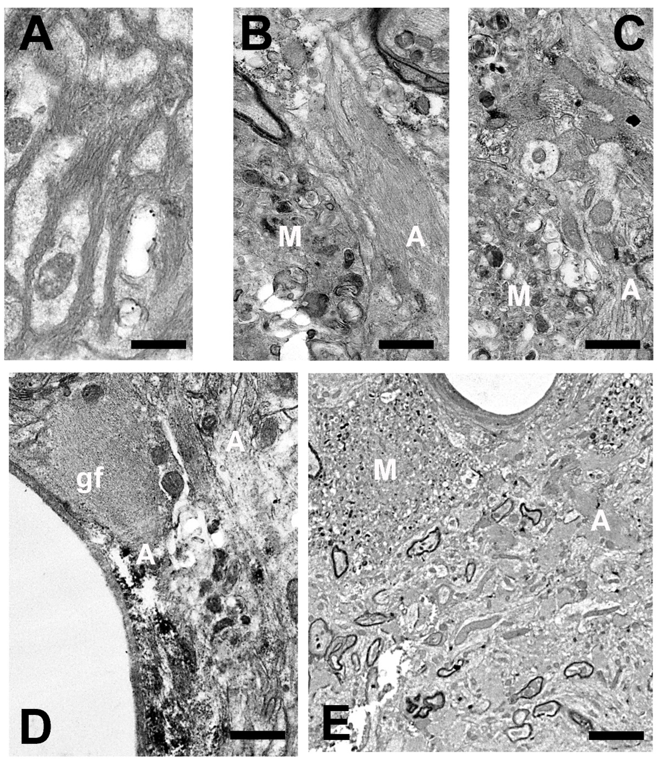
| NEUROPATHOLOGICAL AND NEUROGLIAL CHANGES IN A T2D-AD MOUSE MODEL (APP+PS1 MICE ON A HIGH-CALORIE DIET) Material and Methods (abstract) Animals Control mice (wild type—WT): C57BL/6 (males). Transgenic mice: APPswe/PS1dE9 (APP/PS1) transgenic mice. Diets tested: (a) standard control diet in the animal facility (cd); (b) high-calorie diet: 47% carbohydrates, 21% fat, 1.3% cholesterol (high-fat/hipercaloric diet) (hcd). Trial groups (4) and number of animals in each group: 1- Control WT animals with a standard diet (12). 2- Control WT animals with a hypercaloric diet (12). 3- Transgenic APP/PS1 animals with a standard diet (12). 4- Transgenic APP/PS1 animals with a hypercaloric diet (12). Duration of the trial: 5 months (from 1 to 6 months of age). The diets were used from the first month of life. The samples were obtained at 2, 3, and 6 months of life of the animals. Obtaining and processing of brains and other tissue samples: At 2, 3, and 6 months of treatment, twelve animals were randomly selected from each group. Of these animals from each group, six were decapitated, and the brain (from which the frontoparietal cortex and hippocampus were isolated) and the liver were removed. Homogenates were obtained and stored at −20 °C. The rest of the animals were perfused with 4% p-formaldehyde after anesthesia. The fixed brains were sectioned coronally, obtaining serial sections for histological and immunohistochemical staining, as well as thioflavin-S staining. Some small pieces of these sections were impregnated with osmium tetroxide and processed in Araldite to be observed under an electron microscope. Liver samples were processed for optical and electron microscopy studies. Histopathological studies and quantitation: Various antibodies were used to characterize neurons, astroglial cells (GFAP, C-1 complement), microglial cells (IBA-1, CD 68, lectins), APP, and phospho-tau. Using the Nikon microscope image analysis systems, the number of astroglia and microglia cells, as well as amyloid deposits in selected areas (6 areas per slice × 10 slices) in both the frontoparietal cortex and the hippocampus (CA-1 and CA3), were quantified. Statistical study: The data were obtained from each individual in each group, as well as the mean +/− SEM for each group. For data presentation, the percentage increases in each group over the mean value of group 1 (control animals on a standard diet) were used, considered 100%. Differences between groups were considered significant at p < 0.05. |
References
- GBD 2019 Dementia Forecasting Collaborators. Estimation of the global prevalence of dementia in 2019 and forecasted prevalence in 2050: An analysis for the Global Burden of Disease Study 2019. Lancet Public Health 2022, 7, e105–e125. [Google Scholar] [CrossRef] [PubMed]
- American Psychiatric Association. Diagnostic and Statistical Manual of Mental Disorders, 5th ed; TR; American Psychiatric Association: Arlington, VA, USA, 2013. [Google Scholar]
- McKhann, G.M.; Knopman, D.S.; Chertkow, H. The diagnosis of dementia due to Alzheimer’s disease: Recommendations from the National Institute on Aging-Alzheimer’s Association workgroups on diagnostic guidelines for Alzheimer’s disease. Alzheimers Dement. 2011, 7, 263–269. [Google Scholar] [CrossRef] [PubMed]
- Deardorff, W.J.; Grossberg, G.T. Behavioral and psychological symptoms in Alzheimer’s dementia and vascular dementia. Handb. Clin. Neurol. 2019, 165, 5–32. [Google Scholar] [CrossRef] [PubMed]
- Jalbert, J.J.; Daiello, L.A.; Lapane, K.L. Dementia of the Alzheimer type. Epidemiol. Rev. 2008, 30, 15–34. [Google Scholar] [CrossRef] [PubMed]
- Paroni, G.; Bisceglia, P.; Seripa, D. Understanding the Amyloid Hypothesis in Alzheimer’s Disease. J. Alzheimers Dis. 2019, 68, 493–510. [Google Scholar] [CrossRef] [PubMed]
- Toledano-Díaz, A.; Álvarez, M.I.; Toledano, A. The relationships between neuroglial alterations and neuronal changes in Alzheimer’s disease, and the related controversies I: Gliopathogenesis and glioprotection. J. Cent. Nerv. Syst. Dis. 2022, 14, 11795735221128703. [Google Scholar] [CrossRef]
- Jellinger, K.A. Neuropathological assessment of the Alzheimer spectrum. J. Neural. Transm. 2020, 127, 1229–1256. [Google Scholar] [CrossRef]
- Jellinger, K.A. Recent update on the heterogeneity of the Alzheimer’s disease spectrum. J. Neural. Transm. 2022, 129, 1–24. [Google Scholar] [CrossRef]
- Perea, J.R.; Bolós, M.; Avila, J. Microglia in Alzheimer’s Disease in the Context of Tau Pathology. Biomolecules 2020, 10, 1439. [Google Scholar] [CrossRef]
- Thal, D.R.; Tomé, S.O. The central role of tau in Alzheimer’s disease: From neurofibrillary tangle maturation to the induction of cell death. Brain. Res. Bull. 2022, 190, 204–217. [Google Scholar] [CrossRef]
- Gaikwad, S.; Senapati, S.; Haque, M.A.; Kayed, R. Senescence, brain inflammation, and oligomeric tau drive cognitive decline in Alzheimer’s disease: Evidence from clinical and preclinical studies. Alzheimers Dement. 2024, 20, 709–727. [Google Scholar] [CrossRef] [PubMed]
- Wyatt-Johnson, S.K.; Brutkiewicz, R.R. The Complexity of Microglial Interactions With Innate and Adaptive Immune Cells in Alzheimer’s Disease. Front. Aging Neurosci. 2020, 12, 592359. [Google Scholar] [CrossRef] [PubMed]
- Twarowski, B.; Herbet, M. Inflammatory Processes in Alzheimer’s Disease- Pathomechanism, Diagnosis and Treatment: A Review. Int. J. Mol. Sci. 2023, 24, 6518. [Google Scholar] [CrossRef] [PubMed]
- Majdi, A.; Sadigh-Eteghad, S.; Rahigh Aghsan, S. Amyloid-β, tau, and the cholinergic system in Alzheimer’s disease: Seeking direction in a tangle of clues. Rev. Neurosci. 2020, 31, 391–413. [Google Scholar] [CrossRef] [PubMed]
- Torres, A.K.; Jara, C.; Park-Kang, H.S.; Polanco, C.M. Synaptic Mitochondria: An Early Target of Amyloid-β and Tau in Alzheimer’s Disease. J. Alzheimers Dis. 2021, 84, 1391–1414. [Google Scholar] [CrossRef]
- Bekdash, R.A. The Cholinergic System, the Adrenergic System and the Neuropathology of Alzheimer’s Disease. Int. J. Mol. Sci. 2021, 22, 1273. [Google Scholar] [CrossRef]
- Perluigi, M.; Di Domenico, F.; Butterfield, D.A. Oxidative damage in neurodegeneration: Roles in the pathogenesis and progression of Alzheimer disease. Physiol. Rev. 2024, 104, 103–197. [Google Scholar] [CrossRef]
- Toledano, A.; Álvarez, M.I.; Toledano-Díaz, A. Brain local and regional neuroglial alterations in Alzheimer’s Disease: Cell types, responses and implications. Curr. Alzheimer Res. 2016, 13, 321–342. [Google Scholar] [CrossRef]
- Toledano-Díaz, A.; Álvarez, M.I.; Toledano, A. Glial Alterations in Aging and Alzheimer’s Disease: A Novel Basis to Understand, Prevent and Treat the Degenerative Process. OBM Geriatr. 2020, 4, 1–34. [Google Scholar] [CrossRef]
- Gabandé-Rodríguez, E.; Keane, L.; Capasso, M. Microglial phagocytosis in aging and Alzheimer’s disease. J. Neurosci. Res. 2020, 98, 284–298. [Google Scholar] [CrossRef]
- Malvaso, A.; Gatti, A.; Negro, G.; Calatozzolo, C.; Medici, V.; Poloni, T.E. Microglial Senescence and Activation in Healthy Aging and Alzheimer’s Disease: Systematic Review and Neuropathological Scoring. Cells 2023, 12, 2824. [Google Scholar] [CrossRef] [PubMed]
- Griffiths, J.; Grant, S.G.N. Synapse pathology in Alzheimer’s disease. Semin. Cell Dev. Biol. 2023, 139, 13–23. [Google Scholar] [CrossRef] [PubMed]
- Kim, J.H.; Afridi, R.; Lee, W.H.; Suk, K. Analyzing the glial proteome in Alzheimer’s disease. Expert Rev. Proteomics. 2023, 20, 197–209. [Google Scholar] [CrossRef] [PubMed]
- Liu, G.; Yang, C.; Wang, X.; Chen, X. Oxygen metabolism abnormality and Alzheimer’s disease: An update. Redox. Biol. 2023, 68, 102955. [Google Scholar] [CrossRef] [PubMed]
- O’Brien, P.D.; Hinder, L.M.; Callaghan, B.C.; Feldman, E.L. Neurological consequences of obesity. Lancet Neurol. 2017, 16, 465–477. [Google Scholar] [CrossRef]
- Butterfield, D.A.; Halliwell, B. Oxidative stress, dysfunctional glucose metabolism and Alzheimer disease. Nat. Rev. Neurosci. 2019, 20, 148–160. [Google Scholar] [CrossRef]
- Kim, A.B.; Arvanitakis, Z. Insulin resistance, cognition, and Alzheimer disease. Obesity 2023, 31, 1486–1498. [Google Scholar] [CrossRef]
- Tahmi, M.; Luchsinger, J.A. Metformin in the Prevention of Alzheimer’s Disease and Alzheimer’s Disease Related Dementias. J. Prev. Alzheimers Dis. 2023, 10, 706–717. [Google Scholar] [CrossRef]
- Sarkar, P.; Banu, S.; Bhattacharya, S.; Bala, A.; Sur, D. Pathophysiology Associated with diabetes-induced tauopathy and development of Alzheimer’s Disease. Curr. Diabetes Rev. 2023, 19, e130522204763. [Google Scholar] [CrossRef]
- Veselov, I.M.; Vinogradova, D.V.; Maltsev, A.V.; Shevtsov, P.N. Mitochondria and oxidative stress as a link between Alzheimer’s Disease and Diabetes Mellitus. Int. J. Mol. Sci. 2023, 24, 14450. [Google Scholar] [CrossRef]
- Rodriguez-Casado, A.; Toledano-Díaz, A.; Toledano, A. Defective Insulin Signaling, Mediated by inflammation, connects obesity to Alzheimer Disease; Relevant Pharmacological Therapies and Preventive Dietary Interventions. Curr. Alzheimer Res. 2017, 14, 894–911. [Google Scholar] [CrossRef] [PubMed]
- Biessels, G.J.; Despa, F. Cognitive decline and dementia in diabetes mellitus: Mechanisms and clinical implications. Nat. Rev. Endocrinol. 2018, 14, 591–604. [Google Scholar] [CrossRef]
- Biessels, G.J.; Reagan, L.P. Hippocampal insulin resistance and cognitive dysfunction. Nat. Rev. Neurosci. 2015, 16, 660–671. [Google Scholar] [CrossRef] [PubMed]
- Rhea, E.M.; Banks, W.A.; Raber, J. Insulin resistance in peripheral tissues and the brain: A tale of two sites. Biomedicines 2022, 10, 1582. [Google Scholar] [CrossRef] [PubMed]
- Nguyen, T.T.; Ta, Q.T.H.; Nguyen, T.T.D.; Le, T.T.; Vo, V.G. Role of Insulin Resistance in the Alzheimer’s Disease Progression. Neurochem Res. 2020, 45, 1481–1491. [Google Scholar] [CrossRef] [PubMed]
- Arnold, S.E.; Arvanitakis, Z.; Macauley-Rambach, S.L. Brain insulin resistance in type 2 diabetes and Alzheimer disease: Concepts and conundrums. Nat. Rev. Neurol. 2018, 14, 168–181. [Google Scholar] [CrossRef]
- Santiago-Balmaseda, A.; Aguirre-Orozco, A.; Valenzuela-Arzeta, I.E. Neurodegenerative Diseases: Unraveling the Heterogeneity of Astrocytes. Cells 2024, 13, 921. [Google Scholar] [CrossRef]
- Li, Y.; Li, T.; Chen, T. The Role of microglia with mitochondrial dysfunction and Its therapeutic prospects in Alzheimer’s Disease. J. Integr. Neurosci. 2024, 23, 91. [Google Scholar] [CrossRef]
- Firth, W.; Pye, K.R.; Weightman Potter, P.G. Astrocytes at the intersection of ageing, obesity, and neurodegeneration. Clin. Sci. 2024, 138, 515–536. [Google Scholar] [CrossRef]
- Cutugno, G.; Kyriakidou, E.; Nadjar, A. Rethinking the role of microglia in obesity. Neuropharmacology 2024, 253, 109951. [Google Scholar] [CrossRef]
- Chen, H.; Zeng, Y.; Wang, D. Neuroinflammation of microglial regulation in Alzheimer’s Disease: Therapeutic approaches. Molecules 2024, 29, 1478. [Google Scholar] [CrossRef] [PubMed]
- Zimmer, T.S.; Orr, A.L.; Orr, A.G. Astrocytes in selective vulnerability to neurodegenerative disease. Trends Neurosci. 2024, 47, 289–302. [Google Scholar] [CrossRef] [PubMed]
- Llorián-Salvador, M.; Cabeza-Fernández, S.; Gomez-Sanchez, J.A.; de la Fuente, A.G. Glial cell alterations in diabetes-induced neurodegeneration. Cell Mol. Life Sci. 2024, 81, 47. [Google Scholar] [CrossRef]
- González, A.; Calfío, C.; Churruca, M.; Maccioni, R.B. Glucose metabolism and AD: Evidence for a potential diabetes type 3. Alzheimers Res. Ther. 2022, 14, 56. [Google Scholar] [CrossRef]
- Erol, A. An integrated and unifying hypothesis for the metabolic basis of sporadic Alzheimer’s disease. J. Alzheimers Dis. 2008, 13, 241–253. [Google Scholar] [CrossRef]
- Huang, X.; Liu, G.; Guo, J.; Su, Z. The PI3K/AKT pathway in obesity and type 2 diabetes. Int. J. Biol Sci. 2018, 14, 1483–1496. [Google Scholar] [CrossRef]
- Lu, R.; Aziz, N.A.; Diers, K. Insulin resistance accounts for metabolic syndrome-related alterations in brain structure. Hum. Brain Mapp. 2021, 42, 2434–2444. [Google Scholar] [CrossRef]
- Litwiniuk, A.; Bik, W.; Kalisz, M.; Baranowska-Bik, A. Inflammasome NLRP3 potentially Links Obesity-Associated Low-Grade systemic Inflammation and insulin resistance with Alzheimer’s Disease. Int. J. Mol. Sci. 2021, 22, 5603. [Google Scholar] [CrossRef]
- Terzo, S.; Amato, A.; Mulè, F. From obesity to Alzheimer’s disease through insulin resistance. J. Diabetes Complicat. 2021, 35, 108026. [Google Scholar] [CrossRef]
- Ortiz, G.G.; Huerta, M.; González-Usigli, H.A.; Torres-Sánchez, E.D. Cognitive disorder and dementia in type 2 diabetes mellitus. World J. Diabetes 2022, 13, 319–337. [Google Scholar] [CrossRef]
- Galizzi, G.; Palumbo, L.; Amato, A.; Conigliaro, A.; Nuzzo, D.; Terzo, S.; Caruana, L.; Picone, P.; Alessandro, R.; Mulè, F.; et al. Altered insulin pathway compromises mitochondrial function and quality control both in in vitro and in vivo model systems. Mitochondrion 2021, 60, 178–188. [Google Scholar] [CrossRef] [PubMed]
- Mengr, A.; Strnadová, V.; Strnad, Š.; Vrkoslav, V.; Pelantová, H.; Kuzma, M.; Comptdaer, T.; Železná, B.; Kuneš, J.; Galas, M.C.; et al. Feeding high-fat diet accelerates development of peripheral and central insulin resistance and inflammation and worsens AD-like Pathology in APP/PS1 Mice. Nutrients 2023, 15, 3690. [Google Scholar] [CrossRef] [PubMed]
- Li, T.; Cao, H.X.; Ke, D. Type 2 Diabetes Mellitus easily develops into Alzheimer’s Disease via hyperglycemia and insulin resistance. Curr. Med. Sci. 2021, 41, 1165–1171. [Google Scholar] [CrossRef] [PubMed]
- de Galan, B.E. Diabetes and brain disorders, a new role for insulin? Neurosci. Biobehav. Rev. 2024, 163, 105775. [Google Scholar] [CrossRef] [PubMed]
- Tran, J.; Parekh, S.; Rockcole, J.; Wilson, D.; Parmar, M.S. Repurposing antidiabetic drugs for Alzheimer’s disease: A review of preclinical and clinical evidence and overcoming challenges. Life Sci. 2024, 20, 123001. [Google Scholar] [CrossRef] [PubMed]
- Goodarzi, G.; Tehrani, S.S.; Fana, S.E.; Moradi-Sardareh, H.; Panahi, G.; Maniati, M.; Meshkani, R. Crosstalk between Alzheimer’s disease and diabetes: A focus on anti-diabetic drugs. Metab. Brain Dis. 2023, 38, 1769–1800. [Google Scholar] [CrossRef]
- Mancinetti, F.; Xenos, D.; De Fano, M.; Mazzieri, A.; Porcellati, F.; Boccardi, V.; Mecocci, P. Diabetes-Alzheimer’s connection in older age: SGLT2 inhibitors as promising modulators of disease pathways. Ageing Res. Rev. 2023, 90, 102018. [Google Scholar] [CrossRef]
- Daulatzai, M.A. Cerebral hypoperfusion and glucose hypometabolism: Key pathophysiological modulators promote neurodegeneration, cognitive impairment, and Alzheimer’s disease. J. Neurosci. Res. 2017, 95, 943–972. [Google Scholar] [CrossRef]
- Wee, A.S.; Nhu, T.D.; Khaw, K.Y.; Tang, K.S.; Yeong, K.Y. Linking diabetes to Alzheimer’s Disease: Potential roles of glucose metabolism and alpha-glucosidase. Curr. Neuropharmacol. 2023, 21, 2036–2048. [Google Scholar] [CrossRef]
- Lynn, J.; Park, M.; Ogunwale, C.; Acquaah-Mensah, G.K. A tale of two diseases: Exploring mechanisms linking diabetes mellitus with Alzheimer’s Disease. J. Alzheimers Dis. 2022, 85, 485–501. [Google Scholar] [CrossRef] [PubMed]
- Liu, Y.; Tan, Y.; Zhang, Z.; Li, H.; Yi, M.; Zhang, Z.; Hui, S.; Peng, W. Neuroimmune mechanisms underlying Alzheimer’s disease: Insights into central and peripheral immune cell crosstalk. Ageing Res. Rev. 2023, 84, 101831. [Google Scholar] [CrossRef] [PubMed]
- Gómez-Apo, E.; Mondragón-Maya, A.; Ferrari-Díaz, M.; Silva-Pereyra, J. Structural Brain Changes Associated with Overweight and Obesity. J. Obes. 2021, 16, 6613385. [Google Scholar] [CrossRef] [PubMed]
- Zhang, X.; Wang, Z.; Zheng, Y.; Yu, Q.; Zeng, M.; Bai, L.; Yang, L.; Guo, M.; Jiang, X.; Gan, J. Inhibitors of the NLRP3 inflammasome pathway as promising therapeutic candidates for inflammatory diseases. Int. J. Mol. Med. 2023, 51, 35. [Google Scholar] [CrossRef] [PubMed]
- Fauzi, A.; Thoe, E.S.; Quan, T.Y.; Yin, A.C.Y. Insights from insulin resistance pathways: Therapeutic approaches against Alzheimer associated diabetes mellitus. J. Diabetes Complicat. 2023, 37, 108629. [Google Scholar] [CrossRef] [PubMed]
- Reiss, A.B.; Gulkarov, S.; Jacob, B.; Srivastava, A.; Pinkhasov, A.; Gomolin, I.H.; Stecker, M.M.; Wisniewski, T.; De Leon, J. Mitochondria in Alzheimer’s Disease pathogenesis. Life 2024, 14, 196. [Google Scholar] [CrossRef]
- Sathyamurthy, V.H.; Nagarajan, Y.; Parvathi, V.D. Mitochondria-Endoplasmic reticulum contact sites (MERCS): A New Axis in neuronal degeneration and regeneration. Mol. Neurobiol. 2024, 6, 6528–6538. [Google Scholar] [CrossRef]
- Stanciu, G.D.; Bild, V.; Ababei, D.C.; Rusu, R.N.; Cobzaru, A.; Paduraru, L.; Bulea, D. Link between diabetes and Alzheimer’s Disease due to the shared amyloid aggregation and deposition involving both neurodegenerative changes and neurovascular damages. J. Clin. Med. 2020, 9, 1713. [Google Scholar] [CrossRef]
- Wang, F.; Guo, X.; Shen, X.; Kream, R.M.; Mantione, K.J.; Stefano, G.B. Vascular dysfunction associated with type 2 diabetes and Alzheimer’s disease: A potential etiological linkage. Med. Sci. Monit. Basic Res. 2014, 20, 118–129. [Google Scholar] [CrossRef]
- Yang, Y.; Wang, H.; Kouadir, M.; Song, H.; Shi, F. Recent advances in the mechanisms of NLRP3 inflammasome activation and its inhibitors. Cell Death Dis. 2019, 10, 128. [Google Scholar] [CrossRef]
- Edison, P. Neuroinflammation, microglial activation, and glucose metabolism in neurodegenerative diseases. Int. Rev. Neurobiol. 2020, 154, 325–344. [Google Scholar] [CrossRef]
- Gorica, E.; Calderone, V. Arachidonic acid derivatives and neuroinflammation. CNS Neurol. Disord. Drug Targets 2022, 21, 118–129. [Google Scholar] [CrossRef] [PubMed]
- Henn, R.E.; Noureldein, M.H.; Elzinga, S.E.; Kim, B.; Savelieff, M.G.; Feldman, E.L. Glial-neuron crosstalk in health and disease: A focus on metabolism, obesity, and cognitive impairment. Neurobiol. Dis. 2022, 170, 105766. [Google Scholar] [CrossRef] [PubMed]
- Reddy, V.P. Oxidative stress in health and disease. Biomedicines 2023, 11, 2925. [Google Scholar] [CrossRef] [PubMed]
- Zhang, W.; Xiao, D.; Mao, Q.; Xia, H. Role of neuroinflammation in neurodegeneration development. Signal Transduct. Target Ther. 2023, 8, 267. [Google Scholar] [CrossRef] [PubMed]
- Ramos-Rodriguez, J.J.; Ortiz, O.; Jimenez-Palomares, M.; Kay, K.R.; Berrocoso, E.; Murillo-Carretero, M.I.; Perdomo, G.; Spires-Jones, T.; Cozar-Castellano, I.; Lechuga-Sancho, A.M.; et al. Differential central pathology and cognitive impairment in pre-diabetic and diabetic mice. Psychoneuroendocrinology 2013, 38, 2462–2475. [Google Scholar] [CrossRef] [PubMed]
- Hu, Y.; Tao, W. Current perspectives on microglia-neuron communication in the central nervous system: Direct and indirect modes of interaction. J. Adv. Res. 2024, 7, S2090-1232(24)00006-7. [Google Scholar] [CrossRef]
- Takeda, S.; Sato, N.; Uchio-Yamada, K.; Sawada, K.; Kunieda, T.; Takeuchi, D.; Kurinami, H.; Shinohara, M.; Rakugi, H.; Morishita, R. Diabetes-accelerated memory dysfunction via cerebrovascular inflammation and Abeta deposition in an Alzheimer mouse model with diabetes. Proc. Natl. Acad. Sci. USA 2010, 107, 7036–7041. [Google Scholar] [CrossRef]
- Berlanga-Acosta, J.; Guillén-Nieto, G.; Rodríguez-Rodríguez, N.; Bringas-Vega, M.L.; García-del-Barco-Herrera, D.; Berlanga-Saez, J.O.; García-Ojalvo, A.; Valdés-Sosa, M.J.; Valdés-Sosa, P.A. Insulin resistance at the crossroad of Alzheimer Disease pathology: A Review. Front. Endocrinol. 2020, 11, 560375. [Google Scholar] [CrossRef]
- Katsogiannos, P.; Kamble, P.G.; Pereira, M.J.; Sundbom, M.; Carlsson, P.O.; Eriksson, J.W.; Espes, D. Changes in Circulating Cytokines and Adipokines After RYGB in Patients with and without Type 2 Diabetes. Obesity 2021, 29, 535–542. [Google Scholar] [CrossRef]
- Rea, I.M.; Gibson, D.S.; McGilligan, V.; McNerlan, S.E.; Alexander, H.D.; Ross, O.A. Age and Age-Related Diseases: Role of Inflammation Triggers and Cytokines. Front. Immunol. 2018, 9, 586. [Google Scholar] [CrossRef]
- Michailidis, M.; Moraitou, D.; Tata, D.A.; Kalinderi, K.; Papamitsou, T.; Papaliagkas, V. Alzheimer’s Disease as type 3 diabetes: Common Pathophysiological Mechanisms between Alzheimer’s Disease and Type 2 diabetes. Int. J. Mol. Sci. 2022, 23, 2687. [Google Scholar] [CrossRef] [PubMed]
- Tauffenberger, A.; Magistretti, P.J. Reactive oxygen species: Beyond their reactive behavior. Neurochem. Res. 2021, 46, 77–87. [Google Scholar] [CrossRef] [PubMed]
- Hanyu, H. Diabetes-Related Dementia. Adv. Exp. Med. Biol. 2019, 1128, 147–160. [Google Scholar] [CrossRef] [PubMed]
- Lutomska, L.M.; Miok, V.; Krahmer, N.; González García, I.; Gruber, T.; Le Thuc, O.; Murat, C.D.; Legutko, B.; Sterr, M.; Saher, G.; et al. Diet triggers specific responses of hypothalamic astrocytes in time and region dependent manner. Glia 2022, 70, 2062–2078. [Google Scholar] [CrossRef] [PubMed]
- Esteve, N.A.; Rogers, D.J.; Stagray, J.A.; Mayeux, H.; Nora, G.; Huval, L.; Smith, K.M. Tanycyte radial morphology and proliferation are influenced by fibroblast growth factor receptor 1 and high-fat diet. Eur. J. Neurosci. 2024, 60, 5000–5018. [Google Scholar] [CrossRef]
- Clayton, R.W.; Lovell-Badge, R.; Galichet, C. The properties and functions of glial cell types of the Hypothalamic Median Eminence. Front. Endocrinol. 2022, 13, 953995. [Google Scholar] [CrossRef]
- Martínez, F.; Cifuentes, M.; Tapia, J.C.; Nualart, F. The median eminence as the hypothalamic area involved in rapid transfer of glucose to the brain: Functional and cellular mechanisms. J. Mol. Med. 2019, 97, 1085–1097. [Google Scholar] [CrossRef]
- López-Gambero, A.J.; Martínez, F.; Salazar, K.; Cifuentes, M.; Nualart, F. Brain glucose-sensing mechanism and energy homeostasis. Mol. Neurobiol. 2019, 56, 769–796. [Google Scholar] [CrossRef]
- Kaur, C.; Ling, E.A. The circumventricular organs. Histol. Histopathol. 2017, 32, 879–892. [Google Scholar] [CrossRef]
- Morita, S.; Miyata, S. Accessibility of low-molecular-mass molecules to the median eminence and arcuate hypothalamic nucleus of adult mouse. Cell Biochem. Funct. 2013, 31, 668–677. [Google Scholar] [CrossRef]
- Toledano, A. El hipotálamo: Su complejidad morfofuncional y su capacidad para dirigir los sistemas reguladores del organismo. In Mecanismos Moleculares y Neuroendocrinos del Balance Energético; Pascual-Leone, A.N., Ed.; Patologías; Instituto de España. Real Academia Nacional de Farmacia: Madrid, Spain, 2005; pp. 65–93. [Google Scholar]
- Nagayach, A.; Bhaskar, R.; Patro, I. Microglia activation and inflammation in hippocampus attenuates memory and mood functions during experimentally induced diabetes in rat. J. Chem. Neuroanat. 2022, 125, 102160. [Google Scholar] [CrossRef] [PubMed]
- Hernández-Rodríguez, M.; Clemente, C.F.; Macías-Pérez, M.E.; Rodríguez-Fonseca, R.A.; Vázquez, M.I.; Martínez, J.; Ruvalcaba, R.M.; Rosas, M.M.; Jiménez, E.M. Contribution of hyperglycemia-induced changes in microglia to Alzheimer’s disease pathology. Pharmacol. Rep. 2022, 31, 832–846. [Google Scholar] [CrossRef] [PubMed]
- Fernandez, A.M.; Martinez-Rachadell, L.; Navarrete, M.; Pose-Utrilla, J.; Davila, J.C.; Pignatelli, J.; Diaz-Pacheco, S.; Guerra-Cantera, S.; Viedma-Moreno, E.; Palenzuela, R.; et al. Insulin regulates neurovascular coupling through astrocytes. Proc. Natl. Acad. Sci. USA 2022, 119, e2204527119. [Google Scholar] [CrossRef] [PubMed]
- Zhu, X.; Xing, P.; Zhang, P.; Zhang, M.; Shen, H.; Chen, L.; Shen, F.; Jiang, Y.; Yuan, H.; Zhang, L.; et al. Fine-tuning of microglia polarization prevents diabetes-associated cerebral atherosclerosis. Front. Immunol. 2022, 13, 948457. [Google Scholar] [CrossRef] [PubMed]
- Garvin, J.; Semenikhina, M.; Liu, Q.; Rarick, K.; Isaeva, E.; Levchenko, V.; Staruschenko, A.; Palygin, O.; Harder, D.; Cohen, S. Astrocytic responses to high glucose impair barrier formation in cerebral microvessel endothelial cells. Am. J. Physiol. Regul. Integr. Comp. Physiol. 2022, 322, R571–R580. [Google Scholar] [CrossRef]
- Gottesman, R.F.; Schneider, A.L.; Zhou, Y.; Coresh, J.; Green, E.; Gupta, N.; Knopman, D.S.; Mintz, A.; Rahmim, A.; Sharrett, A.R.; et al. Association between midlife vascular risk factors and estimated brain amyloid deposition. JAMA 2017, 317, 1443–1450. [Google Scholar] [CrossRef]
- Vemuri, P.; Lesnick, T.G.; Przybelski, S.A.; Knopman, D.S.; Lowe, V.J.; Graff-Radford, J.; Roberts, R.O.; Mielke, M.M.; Machulda, M.M.; Petersen, R.C.; et al. Age, vascular health, and Alzheimer disease biomarkers in an elderly sample. Ann. Neurol. 2017, 82, 706–718. [Google Scholar] [CrossRef]
- Arvanitakis, Z.; Schneider, J.A.; Wilson, R.S.; Li, Y.; Arnold, S.E.; Wang, Z.; Bennett, D.A. Diabetes is related to cerebral infarction but not to AD pathology in older persons. Neurology 2006, 67, 1960–1965. [Google Scholar] [CrossRef]
- Abner, E.L.; Nelson, P.T.; Kryscio, R.J.; Schmitt, F.A.; Fardo, D.W.; Woltjer, R.L.; Cairns, N.J.; Yu, L.; Dodge, H.H.; Xiong, C.; et al. Diabetes is associated with cerebrovascular but not Alzheimer’s disease neuropathology. Alzheimers Dement. 2016, 12, 882–889. [Google Scholar] [CrossRef]
- dos Santos Matioli, M.N.; Suemoto, C.K.; Rodriguez, R.D.; Farias, D.S.; da Silva, M.M.; Leite, R.E.; Ferretti-Rebustini, R.E.; Farfel, J.M.; Pasqualucci, C.A.; Jacob Filho, W.; et al. Diabetes is not associated with Alzheimer’s disease neuropathology. J. Alzheimers Dis. 2017, 60, 1035–1043. [Google Scholar] [CrossRef]
- Janelidze, S.; Hertze, J.; Nägga, K.; Nilsson, K.; Nilsson, C.; Wennström, M.; van Westen, D.; Blennow, K.; Zetterberg, H.; Hansson, O.; et al. Increased blood-brain barrier permeability is associated with dementia and diabetes but not amyloid pathology or APOE genotype. Neurobiol. Aging 2017, 51, 104–112. [Google Scholar] [CrossRef] [PubMed]
- Nelson, P.T.; Smith, C.D.; Abner, E.A.; Schmitt, F.A.; Scheff, S.W.; Davis, G.J.; Keller, J.N.; Jicha, G.A.; Davis, D.; Wang-Xia, W.; et al. Human cerebral neuropathology of Type 2 diabetes mellitus. Biochim. Biophys. Acta 2009, 1792, 454–469. [Google Scholar] [CrossRef] [PubMed]
- Bury, J.J.; Chambers, A.; Heath, P.R.; Ince, P.G.; Shaw, P.J.; Matthews, F.E.; Brayne, C.; Simpson, J.E.; Wharton, S.B.; Cognitive Function and Ageing Study. Cognitive function and ageing study. type 2 diabetes mellitus-associated transcriptome alterations in cortical neurones and associated neurovascular unit cells in the ageing brain. Acta Neuropathol. Commun. 2021, 9, 5. [Google Scholar] [CrossRef] [PubMed]
- Ramos-Rodriguez, J.J.; Ortiz-Barajas, O.; Gamero-Carrasco, C.; de la Rosa, P.R.; Infante-Garcia, C.; Zopeque-Garcia, N.; Lechuga-Sancho, A.M.; Garcia-Alloza, M. Prediabetes-induced vascular alterations exacerbate central pathology in APPswe/PS1dE9 mice. Psychoneuroendocrinology 2014, 48, 123–135. [Google Scholar] [CrossRef] [PubMed]
- Niedowicz, D.M.; Reeves, V.L.; Platt, T.L.; Kohler, K.; Beckett, T.L.; Powell, D.K.; Lee, T.L.; Sexton, T.R.; Song, E.S.; Brewer, L.D.; et al. Obesity and diabetes cause cognitive dysfunction in the absence of accelerated β-amyloid deposition in a novel murine model of mixed or vascular dementia. Acta Neuropathol. Commun. 2014, 10, 64. [Google Scholar] [CrossRef]
- Gao, C.; Jiang, J.; Tan, Y.; Chen, S. Microglia in neurodegenerative diseases: Mechanism and potential therapeutic targets. Signal Transduct. Target Ther. 2023, 8, 359. [Google Scholar] [CrossRef]
- Clodfelder-Miller, B.J.; Zmijewska, A.A.; Johnson, G.V.; Jope, R.S. Tau is hyperphosphorylated at multiple sites in mouse brain in vivo after streptozotocin-induced insulin deficiency. Diabetes 2006, 55, 3320–3325. [Google Scholar] [CrossRef]
- Ramón y Cajal, S. Histologie du Systémenerveux de L’Homme et des Vertébrés vols I and II; Azoulay, L., Translator; Maloine: Paris, France, 1909–1911; Reprinted 1952 and 1955; Consejo Superior de Investigaciones Científicas: Madrid, Spain. [Google Scholar]
- Ramón Cajal, S. Contribution a la connaissance de la nevrogliecerebrale et cerebelleusedans la paralysie generale progressive. Trav. Lab. Recher. Biol. Univ. Madrid. 1925, 23, 157–216. [Google Scholar]
- Achucarro, N.; Gayarre, M. Contribución al estudio de la neuroglia en la corteza de la demencia senil y su participación en la alteración celular de Alzheimer. Trab. Lab. Invest. Biol. Univ Madrid. 1914, 12, 68–83. [Google Scholar]
- Achúcarro, N.; Gayarre, M. La corteza cerebral en la demencia paralitica con el nuevo método del oro y sublimado de Cajal. Trab. Lab. Invest. Biol. Univ. Madrid. 1914, 2, 1–38. [Google Scholar]
- Del Río-Hortega, P. El “tercer elemento” de los centros nerviosos. Poder fagocitario y movilidad de la microglia. Bol. Soc. Esp. Biol. 1919, 8, 68–82. [Google Scholar]
- Del Río-Hortega, P. La glia de escasas radiaciones (oligodendroglia). Bol. Real Soc. Esp. Hist. Nat. 1921, 21, 63–92. [Google Scholar]
- Del Río-Hortega, P. Histogenesis y evolución normal, ’exodo y distribución regional de la microglia. Mem. Real. Soci. Esp. Hist. Nat. 1921, 11, 213–268. [Google Scholar]
- Del Rio-Hortega, P. Microglia. In Cytology and Cellular Pathology of the Nervous System; Penfield, W., Ed.; P.B. Hoeber, Inc.: New York, NY, USA, 1932; Volume 2, pp. 483–534. [Google Scholar]
- Penfield, W. Neuroglia: Normal and pathological. In Cytology and Cellular Pathology of the Nervous System; Penfield, W., Ed.; P.B. Hoeber, Inc.: New York, NY, USA, 1932; Volume 2, pp. 423–479. [Google Scholar]
- Penfield, W. Oligodendroglia and its relation to classical neuroglia. Brain 1984, 47, 430–452. [Google Scholar] [CrossRef]
- Butt, A.M. Structure and function of oligodendrocytes. In Neuroglia; Kettenmann, H., Ransom, B.R., Eds.; Oxford University Press: New York, NY, USA, 2013; pp. 62–73. [Google Scholar]
- Bernaus, A.; Blanco, S.; Sevilla, A. Glia Crosstalk in Neuroinflammatory Diseases. Front. Cell. Neurosci. 2020, 14, 209. [Google Scholar] [CrossRef]
- Stanca, S.; Rossetti, M.; Bongioanni, P. Astrocytes as neuroimmunocytes in Alzheimer’s disease: A biochemical tool in the neuron-glia crosstalk along the pathogenetic pathways. Int. J. Mol. Sci. 2023, 24, 13880. [Google Scholar] [CrossRef]
- Muñoz-Castro, C.; Serrano-Pozo, A. Astrocyte-neuron interactions in Alzheimer’s disease. Adv. Neurobiol. 2024, 39, 345–382. [Google Scholar] [CrossRef]
- Chavda, V.; Singh, K.; Patel, V.; Mishra, M.; Mishra, A.K. Neuronal glial crosstalk: Specific and shared mechanisms in Alzheimer’s disease. Brain Sci. 2022, 12, 75. [Google Scholar] [CrossRef]
- Verkhratsky, A. , Butt, A.M. Neuroglia: Function and Pathology; Elsevier: New York, NY, USA, 2023. [Google Scholar]
- Garaschuk, O.; Verkhratsky, A. Physiology of microglia. Methods Mol. Biol. 2019, 2034, 27–40. [Google Scholar] [CrossRef]
- Hanani, M.; Verkhratsky, A. Satellite glial cells and astrocytes, a comparative review. Neurochem. Res. 2021, 46, 2525–2537. [Google Scholar] [CrossRef]
- Horvat, A.; Vardjan, N. Astroglial cAMP signalling in space and time. Neurosci. Lett. 2019, 689, 5–10. [Google Scholar] [CrossRef] [PubMed]
- Merighi, S.; Nigro, M.; Travagli, A.; Gessi, S. Microglia and Alzheimer’s disease. Int. J. Mol. Sci. 2022, 23, 12990. [Google Scholar] [CrossRef] [PubMed]
- Al-Ghraiybah, N.F.; Wang, J.; Alkhalifa, A.E.; Roberts, A.B.; Raj, R.; Yang, E.; Kaddoumi, A. Glial cell-mediated neuroinflammation in Alzheimer’s disease. Int. J. Mol. Sci. 2022, 23, 10572. [Google Scholar] [CrossRef] [PubMed]
- Thakur, S.; Dhapola, R.; Sarma, P.; Medhi, B.; Reddy, D.H. Neuroinflammation in Alzheimer’s disease: Current progress in molecular signaling and therapeutics. Inflammation 2023, 46, 1–17. [Google Scholar] [CrossRef]
- Pascual, M.; Ibáñez, F.; Guerri, C. Exosomes as mediators of neuron-glia communication in neuroinflammation. Neural. Regen. Res. 2020, 15, 796–801. [Google Scholar] [CrossRef]
- Lukiw, W.J.; Pogue, A.I. Vesicular transport of encapsulated microRNA between glial and neuronal cells. Int. J. Mol. Sci. 2020, 21, 5078. [Google Scholar] [CrossRef]
- Singh, D. Astrocytic and microglial cells as the modulators of neuroinflammation in Alzheimer’s disease. J. Neuroinflamm. 2022, 19, 206. [Google Scholar] [CrossRef]
- Oyarce, K.; Cepeda, M.Y.; Lagos, R.; Garrido, C.; Vega-Letter, A.M.; Garcia-Robles, M.; Luz-Crawford, P.; Elizondo-Vega, R. Neuroprotective and neurotoxic effects of glial-derived exosomes. Front. Cell Neurosci. 2022, 16, 920686. [Google Scholar] [CrossRef]
- Weng, S.; Lai, Q.L.; Wang, J.; Zhuang, L.; Cheng, L.; Mo, Y.; Liu, L.; Zhao, Z.; Zhang, Y.; Qiao, S. The role of exosomes as mediators of neuroinflammation in the pathogenesis and treatment of Alzheimer’s disease. Front. Aging Neurosci. 2022, 14, 899944. [Google Scholar] [CrossRef]
- Liu, Z.; Zhang, H.; Liu, S.; Hou, Y.; Chi, G. The dual role of astrocyte-derived exosomes and their contents in the process of Alzheimer’s disease. J. Alzheimers Dis. 2023, 91, 33–42. [Google Scholar] [CrossRef]
- Kumari, M.; Anji, A. Small but mighty-exosomes, novel intercellular messengers in neurodegeneration. Biology 2022, 11, 413. [Google Scholar] [CrossRef] [PubMed]
- Zhao, Y.; Gu, Y.; Zhang, Q.; Liu, H.; Liu, Y. The potential roles of exosomes carrying APP and Tau cleavage products in Alzheimer’s disease. J. Clin. Med. 2023, 12, 1883. [Google Scholar] [CrossRef] [PubMed]
- Garzetti, L.; Menon, R.; Finardi, A.; Bergami, A.; Sica, A.; Martino, G.; Comi, G.; Verderio, C.; Farina, C.; Furlan, R. Activated macrophages release microvesicles containing polarized M1 or M2 mRNAs. J. Leukoc. Biol. 2014, 95, 817–825. [Google Scholar] [CrossRef] [PubMed]
- Wu, Y.G.; Song, L.J.; Yin, L.J.; Yin, J.J.; Wang, Q.; Yu, J.Z.; Xiao, B.G.; Ma, C.G. The effects and potential of microglial polarization and crosstalk with other cells of the central nervous system in the treatment of Alzheimer’s disease. Neural Regen. Res. 2023, 18, 947–954. [Google Scholar] [CrossRef]
- Li, B.; Ma, Z.; Li, Z. A novel regulator in Alzheimer’s disease progression: The astrocyte-derived extracellular vesicles. Aging Res. Rev. 2023, 86, 101871. [Google Scholar] [CrossRef]
- Cahoy, J.D.; Emery, B.; Kaushal, A.; Foo, L.C.; Zamanian, J.L.; Christopherson, K.S.; Xing, Y.; Lubischer, J.L.; Krieg, P.A.; Krupenko, S.A.; et al. A transcriptome database for astrocytes, neurons, and oligodendrocytes: A new resource for understanding brain development and function. J. Neurosci. 2008, 28, 264–278. [Google Scholar] [CrossRef]
- Sosunov, A.A.; Wu, X.; Tsankova, N.M.; Guilfoyle, E.; McKhann, G.M.; Goldman, J.E. Phenotypic heterogeneity and plasticity of isocortical and hippocampal astrocytes in the human brain. J. Neurosci. 2014, 34, 2285–2298. [Google Scholar] [CrossRef]
- Chai, H.; Diaz-Castro, B.; Shigetomi, E.; Monte, E.; Octeau, J.C.; Yu, X.; Cohn, W.; Rajendran, P.S.; Vondriska, T.M.; Whitelegge, J.P.; et al. Neural circuit-specialized astrocytes: Transcriptomic, proteomic, morphological, and functional evidence. Neuron 2017, 548, 396–397. [Google Scholar] [CrossRef]
- John Lin, C.C.; Yu, K.; Hatcher, A.; Huang, T.W.; Lee, H.K.; Carlson, J.; Weston, M.C.; Chen, F.; Zhang, Y.; Zhu, W.; et al. Identification of diverse astrocyte populations and their malignant analogs. Nat. Neurosci. 2017, 20, 396–405. [Google Scholar] [CrossRef]
- Kwon, W.; Choi, D.J.; Yu, K.; Williamson, M.R.; Murali, S.; Ko, Y.; Woo, J.; Deneen, B. Comparative Transcriptomic Analysis of Cerebellar Astrocytes across Developmental Stages and Brain Regions. Int J Mol Sci. 2024, 25, 1021. [Google Scholar] [CrossRef]
- Boulay, A.C.; Mazaré, N.; Saubaméa, B.; Cohen-Salmon, M. Preparing the Astrocyte Perivascular Endfeet Transcriptome to Investigate Astrocyte Molecular Regulations at the Brain-Vascular Interface. Methods Mol. Biol. 2019, 1938, 105–116. [Google Scholar] [CrossRef] [PubMed]
- Batiuk, M.Y.; Martirosyan, A.; Wahis, J.; de Vin, F.; Marneffe, C.; Kusserow, C.; Koeppen, J.; Viana, J.F.; Oliveira, J.F.; Voet, T.; et al. Identification of region-specific astrocyte subtypes at single cell resolution. Nat. Commun. 2020, 11, 1220. [Google Scholar] [CrossRef] [PubMed]
- Lozano Casasbuenas, D.; Kortebi, I.; Gora, C.; Scott, E.Y.; Gomes, C.; Oliveira Jr, M.S.; Sharma, T.; Daniele, E.; Olfat, A.; Gibbs, R.; et al. The laminar position, morphology, and gene expression profiles of cortical astrocytes are influenced by time of birth from ventricular/subventricular progenitors. Glia 2024, 72, 1693–1706. [Google Scholar] [CrossRef]
- Cohen-Salmon, M.; Slaoui, L.; Mazaré, N.; Gilbert, A.; Oudart, M.; Alvear-Perez, R.; Elorza-Vidal, X.; Chever, O.; Boulay, A.C. Astrocytes in the regulation of cerebrovascular functions. Glia 2021, 69, 817–841. [Google Scholar] [CrossRef] [PubMed]
- Perez-Alvarez, A.; Navarrete, M.; Covelo, A.; Martin, E.D.; Araque, A. Structural and functional plasticity of astrocyte processes and dendritic spine interactions. J. Neurosci. 2014, 34, 12738–12744. [Google Scholar] [CrossRef] [PubMed]
- Araque, A.; Carmignoto, G.; Haydon, P.G.; Oliet, S.H.; Robitaille, R.; Volterra, A. Gliotransmitters travel in time and space. Neuron 2014, 81, 728–739. [Google Scholar] [CrossRef]
- Kulijewicz-Nawrot, M.; Syková, E.; Chvátal, A.; Verkhratsky, A.; Rodríguez, J.J. Astrocytes and glutamate homoeostasis in Alzheimer’s disease: A decrease in glutamine synthetase, but not in glutamate transporter-1, in the prefrontal cortex. ASN Neuro. 2013, 5, 273–282. [Google Scholar] [CrossRef]
- Mederos, S.; González-Arias, C.; Perea, G. Astrocyte-Neuron networks: A multilane highway of signaling for homeostatic brain function. Front. Synaptic Neurosci. 2018, 10, 45. [Google Scholar] [CrossRef]
- Ngoc, K.H.; Jeon, Y.; Ko, J.; Um, J.W. Multifarious astrocyte-neuron dialog in shaping neural circuit architecture. Trends Cell. Biol. 2024, 8, S0962-8924(24)00098-9. [Google Scholar] [CrossRef]
- Pathak, D.; Sriram, K. Neuron-astrocyte omnidirectional signaling in neurological health and disease. Front. Mol. Neurosci. 2023, 16, 1169320. [Google Scholar] [CrossRef]
- Liu, Y.; Shen, X.; Zhang, Y.; Zheng, X.; Cepeda, C.; Wang, Y.; Duan, S.; Tong, X. Interactions of glial cells with neuronal synapses, from astrocytes to microglia and oligodendrocyte lineage cells. Glia 2023, 71, 1383–1401. [Google Scholar] [CrossRef]
- Goenaga, J.; Araque, A.; Kofuji, P.; Herrera Moro Chao, D. Calcium signaling in astrocytes and gliotransmitter release. Front. Synaptic. Neurosci. 2023, 15, 1138577. [Google Scholar] [CrossRef] [PubMed]
- Joshi, S.N.; Joshi, A.N.; Joshi, N.D. Interplay between biochemical processes and network properties generates neuronal up and down states at the tripartite synapse. Phys. Rev. E 2023, 107, 024415. [Google Scholar] [CrossRef] [PubMed]
- Liu, L.; Gao, H.; Li, J.; Chen, S. Probing microdomain Ca2+ activity and synaptic transmission with a node-based tripartite synapse model. Front. Netw. Physiol. 2023, 3, 1111306. [Google Scholar] [CrossRef] [PubMed]
- Maurer, S.V.; Williams, C.L. The cholinergic system modulates memory and hippocampal plasticity via its interactions with non-neuronal cells. Front. Immunol. 2017, 8, 1489. [Google Scholar] [CrossRef]
- Brown, A.M. Brain glycogen re-awakened. J. Neurochem. 2004, 83, 537–552. [Google Scholar] [CrossRef]
- Bélanger, M.; Allaman, I.; Magistretti, P.J. Differential effects of pro- and anti-inflammatory cytokines alone or in combinations on the metabolic profile of astrocytes. J. Neurochem. 2011, 116, 564–576. [Google Scholar] [CrossRef]
- Allaman, I.; Bélanger, M.; Magistretti, P.J. Astrocyte-neuron metabolic relationships: For better and for worse. Trends Neurosci. 2011, 34, 76–87. [Google Scholar] [CrossRef]
- Magistretti, P.J.; Allaman, I. A cellular perspective on brain energy metabolism and functional imaging. Neuron 2015, 86, 883–901. [Google Scholar] [CrossRef]
- Magistretti, P.J.; Allaman, I. Lactate in the brain: From metabolic end-product to signalling molecule. Nat. Rev. Neurosci. 2018, 19, 235–249. [Google Scholar] [CrossRef]
- Gavillet, M.; Allaman, I.; Magistretti, P.J. Modulation of astrocytic metabolic phenotype by proinflammatory cytokines. Glia 2008, 56, 975–989. [Google Scholar] [CrossRef] [PubMed]
- Suzuki, A.; Stern, S.A.; Bozdagi, O.; Huntley, G.W.; Walker, R.H.; Magistretti, P.J.; Alberini, C.M. Astrocyte-neuron lactate transport is required for long-term memory formation. Cell 2011, 144, 810–823. [Google Scholar] [CrossRef] [PubMed]
- Tadi, M.; Allaman, I.; Lengacher, S.; Grenningloh, G.; Magistretti, P.J. Learning-induced gene expression in the hippocampus reveals a role of neuron-astrocyte metabolic coupling in long term memory. PLoS ONE 2015, 10, e0141568. [Google Scholar] [CrossRef] [PubMed]
- Vezzoli, E.; Cali, C.; De Roo, M.; Ponzoni, L.; Sogne, E.; Gagnon, N.; Francolini, M.; Braida, D.; Sala, M.; Muller, D.; et al. Ultrastructural evidence for a role of astrocytes and glycogen-derived lactate in learning-dependent synaptic stabilization. Cereb. Cortex 2020, 30, 2114–2127. [Google Scholar] [CrossRef] [PubMed]
- Yang, J.; Ruchti, E.; Petit, J.M.; Jourdain, P.; Grenningloh, G.; Allaman, I.; Magistretti, P.J. Lactate promotes plasticity gene expression by potentiating NMDA signaling in neurons. Proc. Natl. Acad. Sci. USA 2014, 111, 12228–12233. [Google Scholar] [CrossRef]
- Bajaffer, A.; Mineta, K.; Magistretti, P.; Gojobori, T. Lactate-mediated neural plasticity genes emerged during the evolution of memory systems. Sci. Rep. 2022, 12, 19238. [Google Scholar] [CrossRef]
- Chen, Z.; Zhong, C. Oxidative stress in Alzheimer’s disease. Neurosci. Bull. 2014, 30, 271–281. [Google Scholar] [CrossRef]
- Bai, R.; Guo, J.; Ye, X.Y.; Xie, Y.; Xie, T. Oxidative stress: The core pathogenesis and mechanism of Alzheimer’s disease. Aging Res. Rev. 2022, 77, 101619. [Google Scholar] [CrossRef]
- Dewanjee, S.; Chakraborty, P.; Bhattacharya, H.; Chacko, L.; Singh, B.; Chaudhary, A.; Javvaji, K.; Pradhan, S.R.; Vallamkondu, J.; Dey, A.; et al. Altered glucose metabolism in Alzheimer’s disease: Role of mitochondrial dysfunction and oxidative stress. Free Radic. Biol. Med. 2022, 193, 134–157. [Google Scholar] [CrossRef]
- Santos, R.; Ruiz de Almodóvar, C.; Bulteau, A.L.; Gomes, C.M. Neurodegeneration, neurogenesis, and oxidative stress. Oxid. Med. Cell. Longev. 2013, 2013, 730581. [Google Scholar] [CrossRef]
- Tönnies, E.; Trushina, E. Oxidative stress, synaptic dysfunction, and Alzheimer’s disease. J. Alzheimers Dis. 2017, 57, 1105–1121. [Google Scholar] [CrossRef] [PubMed]
- Liu, R.M. Aging, Cellular senescence, and Alzheimer’s disease. Int. J. Mol. Sci. 2022, 23, 1989. [Google Scholar] [CrossRef] [PubMed]
- Alqahtani, T.; Deore, S.L.; Kide, A.A.; Shende, B.A.; Sharma, R.; Chakole, R.D.; Nemade, L.S.; Kale, N.K.; Borah, S.; Deokar, S.S.; et al. Mitochondrial dysfunction and oxidative stress in Alzheimer’s disease, and Parkinson’s disease, Huntington’s disease and Amyotrophic Lateral Sclerosis—An updated review. Mitochondrion 2023, 71, 83–92. [Google Scholar] [CrossRef] [PubMed]
- Dimou, L.; Simons, M. Diversity of oligodendrocytes and their progenitors. Curr. Opin. Neurobiol. 2017, 47, 73–79. [Google Scholar] [CrossRef] [PubMed]
- Nishiyama, A.; Suzuki, R.; Zhu, X. NG2 cells (polydendrocytes) in brain physiology and repair. Front. Neurosci. 2014, 8, 133. [Google Scholar] [CrossRef]
- Geha, S.; Pallud, J.; Junier, M.P.; Devaux, B.; Leonard, N.; Chassoux, F.; Chneiweiss, H.; Daumas-Duport, C.; Varlet, P. NG2+/Olig2+ cells are the major cycle-related cell population of the adult human normal brain. Brain Pathol. 2010, 20, 399–411. [Google Scholar] [CrossRef]
- Butt, A.M.; Papanikolaou, M.; Rivera, A. Physiology of oligodendroglia. Adv. Exp. Med. Biol. 2019, 1175, 117–128. [Google Scholar]
- Lee, Y.; Morrison, B.M.; Li, Y.; Lengacher, S.; Farah, M.H.; Hoffman, P.N.; Liu, Y.; Tsingalia, A.; Jin, L.; Zhang, P.W.; et al. Oligodendroglia metabolically support axons and contribute to neurodegeneration. Nature 2012, 487, 443–448. [Google Scholar] [CrossRef]
- Amaral, A.I.; Meisingset, T.W.; Kotter, M.R.; Sonnewald, U. Metabolic aspects of neuron-oligodendrocyte-astrocyte interactions. Front. Endocrinol. 2013, 4, 54. [Google Scholar] [CrossRef]
- Mosser, C.A.; Baptista, S.; Arnoux, I.; Audinat, E. Microglia in CNS development: Shaping the brain for the future. Prog. Neurobiol. 2017, 149, 1–20. [Google Scholar] [CrossRef]
- Marinelli, S.; Basilico, B.; Marrone, M.C.; Ragozzino, D. Microglia-neuron crosstalk: Signaling mechanism and control of synaptic transmission. Semin. Cell. Dev. Biol. 2019, 94, 138–151. [Google Scholar] [CrossRef] [PubMed]
- Cornell, J.; Salinas, S.; Huang, H.Y.; Zhou, M. Microglia regulation of synaptic plasticity and learning and memory. Neural Regen. Res. 2022, 17, 705–716. [Google Scholar] [CrossRef] [PubMed]
- Guedes, J.R.; Ferreira, P.A.; Costa, J.M.; Cardoso, A.L.; Peça, J. Microglia-dependent remodeling of neuronal circuits. J. Neurochem. 2022, 163, 74–93. [Google Scholar] [CrossRef] [PubMed]
- Ball, J.B.; Green-Fulgham, S.M.; Watkins, L.R. Mechanisms of microglia-mediated synapse turnover and synaptogenesis. Prog. Neurobiol. 2022, 218, 102336. [Google Scholar] [CrossRef]
- Cserép, C.; Pósfai, B.; Dénes, Á. Shaping neuronal fate: Functional heterogeneity of direct microglia-neuron interactions. Neuron 2021, 109, 222–240. [Google Scholar] [CrossRef]
- Eyo, U.B.; Wu, L.J. Bidirectional microglia-neuron communication in the healthy brain. Neural Plast. 2013, 2013, 456857. [Google Scholar] [CrossRef]
- Aramideh, J.A.; Vidal-Itriago, A.; Morsch, M.; Graeber, M.B. Cytokine signalling at the microglial penta-partite synapse. Int. J. Mol. Sci. 2021, 22, 13186. [Google Scholar] [CrossRef]
- Prada, I.; Furlan, R.; Matteoli, M.; Verderio, C. Classical and unconventional pathways of vesicular release in microglia. Glia. 2013, 61, 1003–1017. [Google Scholar] [CrossRef]
- Paolicelli, R.C.; Bergamini, G.; Rajendran, L. Cell-to-cell communication by extracellular vesicles: Focus on microglia. Neuroscience 2019, 405, 148. [Google Scholar] [CrossRef]
- Ransohoff, R.M. A polarizing question: Do M1 and M2 microglia exist. Nat. Neurosci. 2016, 9, 987–991. [Google Scholar] [CrossRef]
- Chai, M.; Su, G.; Gao, J.; Chen, W.; Wu, Q.; Dong, Y.; Wang, H.; Chen, D.; Li, Y.; Gao, X.; et al. Molecular mechanism of the protective effects of M2 microglia on neurons: A review focused on exosomes and secretory proteins. Neurochem. Res. 2022, 47, 3556–3564. [Google Scholar] [CrossRef] [PubMed]
- Holtman, I.R.; Noback, M.; Bijlsma, M.; Duong, K.N.; van der Geest, M.A.; Ketelaars, P.T.; Brouwer, N.; Vainchtein, I.D.; Eggen, B.J.; Boddeke, H.W. Glia Open Access Database (GOAD): A comprehensive gene expression encyclopedia of glia cells in health and disease. Glia 2015, 63, 1495–1506. [Google Scholar] [CrossRef] [PubMed]
- Miao, J.; Chen, L.; Pan, X.; Li, L.; Zhao, B.; Lan, J. Microglial metabolic reprogramming: Emerging insights and therapeutic strategies in neurodegenerative diseases. Cell. Mol. Neurobiol. 2023, 43, 3191–3210. [Google Scholar] [CrossRef] [PubMed]
- Pekny, M.; Pekna, M. Astrocyte reactivity and reactive astrogliosis: Costs and benefits. Physiol. Rev. 2014, 94, 1077–1098. [Google Scholar] [CrossRef] [PubMed]
- Liddelow, S.A.; Barres, B.A. Reactive astrocytes: Production, function, and therapeutic potential. Immunity. 2017, 46, 957–967. [Google Scholar] [CrossRef]
- Liddelow, S.A.; Guttenplan, K.A.; Clarke, L.E.; Bennett, F.C.; Bohlen, C.J.; Schirmer, L.; Bennett, M.L.; Münch, A.E.; Chung, W.S.; Peterson, T.C.; et al. Neurotoxic reactive astrocytes are induced by activated microglia. Nature 2017, 541, 481–487. [Google Scholar] [CrossRef]
- Álvarez, M.I.; Rivas, L.; Lacruz, C.; Toledano, A. Astroglial cell subtypes in the cerebella of normal adults, elderly adults, and patients with Alzheimer’s disease: A histological and immunohistochemical comparison. Glia 2015, 62, 287–312. [Google Scholar] [CrossRef]
- Kamphuis, W.; Mamber, C.; Moeton, M.; Kooijman, L.; Sluijs, J.A.; Jansen, A.H.; Verveer, M.; De Groot, L.R.; Smith, V.D.; Rangarajan, S.; et al. GFAP isoforms in adult mouse brain with a focus on neurogenic astrocytes and reactive astrogliosis in mouse models of Alzheimer disease. PLoS ONE 2012, 7, e42823. [Google Scholar] [CrossRef]
- Rodríguez, J.J.; Yeh, C.Y.; Terzieva, S.; Olabarria, M.; Kulijewicz-Nawrot, M.; Verkhratsky, A. Complex and region-specific changes in astroglial markers in the aging brain. Neurobiol. Aging 2014, 5, 15–23. [Google Scholar] [CrossRef]
- Verkhratsky, A.; Marutle, A.; Rodriguez-Arellano, J.J.; Nordberg, A. Glial asthenia and functional paralysis: A new perspective on neurodegeneration and Alzheimer’s disease. Neuroscientist 2015, 21, 552–568. [Google Scholar] [CrossRef]
- Monterey, M.D.; Wei, H.; Wu, X.; Wu, J.Q. The many faces of astrocytes in Alzheimer’s. disease. Front. Neurol. 2021, 12, 619626. [Google Scholar] [CrossRef] [PubMed]
- Acioglu, C.; Li, L.; Elkabes, S. Contribution of astrocytes to neuropathology of neurodegenerative diseases. Brain Res. 2021, 1758, 147291. [Google Scholar] [CrossRef] [PubMed]
- Qian, K.; Jiang, X.; Liu, Z.Q.; Zhang, J.; Fu, P.; Su, Y.; Brazhe, N.A.; Liu, D.; Zhu, L.Q. Revisiting the critical roles of reactive astrocytes in neurodegeneration. Mol. Psychiatry. 2023, 28, 2697–2706. [Google Scholar] [CrossRef]
- Escartin, C.; Galea, E.; Lakatos, A.; O’Callaghan, J.P.; Petzold, G.C.; Serrano-Pozo, A.; Steinhäuser, C.; Volterra, A.; Carmignoto, G.; Agarwal, A.; et al. Reactive astrocyte nomenclature, definitions, and future directions. Nat. Neurosci. 2021, 24, 312–325. [Google Scholar] [CrossRef] [PubMed]
- Zamanian, J.L.; Xu, L.; Foo, L.C.; Nouri, N.; Zhou, L.; Giffard, R.G.; Barres, B.A. Genomic analysis of reactive astrogliosis. J. Neurosci. 2012, 32, 6391–6410. [Google Scholar] [CrossRef]
- Elmore, M.R.; Hohsfield, L.A.; Kramár, E.A.; Soreq, L.; Lee, R.J.; Pham, S.T.; Najafi, A.R.; Spangenberg, E.E.; Wood, M.A.; West, B.L.; et al. Replacement of microglia in the aged brain reverses cognitive, synaptic, and neuronal deficits in mice. Aging Cell 2018, 17, e12832. [Google Scholar] [CrossRef]
- Hartmann, K.; Sepulveda-Falla, D.; Rose, I.V.; Madore, C.; Muth, C.; Matschke, J.; Butovsky, O.; Liddelow, S.; Glatzel, M.; Krasemann, S. Complement 3+ astrocytes are highly abundant in prion diseases, but their abolishment led to an accelerated disease course and early dysregulation of microglia. Acta Neuropathol. Commun. 2019, 7, 83. [Google Scholar] [CrossRef]
- Fan, Y.Y.; Huo, J. A1/A2 astrocytes in central nervous system injuries and diseases: Angels or devils? Neurochem. Int. 2021, 148, 105080. [Google Scholar] [CrossRef] [PubMed]
- Norden, D.M.; Fenn, A.M.; Dugan, A.; Godbout, J.P. TGFβ produced by IL-10 redirected astrocytes attenuates microglial activation. Glia 2014, 62, 881–895. [Google Scholar] [CrossRef]
- Shi, Y.J.; Shi, M.; Xiao, L.J.; Li, L.; Zou, L.H.; Li, C.Y.; Zhang, Q.J.; Zhou, L.F.; Ji, X.C.; Huang, H.; et al. Inhibitive effects of FGF2/FGFR1 pathway on astrocyte-mediated inflammation in vivo and in vitro after infrasound exposure. Front. Neurosci. 2018, 12, 582. [Google Scholar] [CrossRef]
- Liddelow, S.A.; Marsh, S.E.; Stevens, B. Microglia and astrocytes in disease: Dynamic duo or partners in crime? Trends Immunol. 2020, 41, 820–835. [Google Scholar] [CrossRef]
- Liu, L.R.; Liu, J.C.; Bao, J.S.; Bai, Q.Q.; Wang, G.Q. Interaction of microglia and astrocytes in the neurovascular unit. Front. Immunol. 2020, 11, 1024. [Google Scholar] [CrossRef] [PubMed]
- Gordon, R.; Neal, M.L.; Luo, J.; Langley, M.R.; Harischandra, D.S.; Panicker, N.; Charli, A.; Jin, H.; Anantharam, V.; Woodruff, T.M.; et al. Prokineticin-2 upregulation during neuronal injury mediates a compensatory protective response against dopaminergic neuronal degeneration. Nat. Commun. 2016, 7, 12932. [Google Scholar] [CrossRef] [PubMed]
- Neal, M.; Luo, J.; Harischandra, D.S.; Gordon, R.; Sarkar, S.; Jin, H.; Anantharam, V.; Désaubry, L.; Kanthasamy, A.; Kanthasamy, A. Prokineticin-2 promotes chemotaxis and alternative A2 reactivity of astrocytes. Glia 2018, 66, 2137–2157. [Google Scholar] [CrossRef] [PubMed]
- Xu, H.; Li, H.; Zhang, P.; Gao, Y.; Ma, H.; Gao, T.; Liu, H.; Hua, W.; Zhang, L.; Zhang, X.; et al. The functions of exosomes targeting astrocytes and astrocyte-derived exosomes targeting other cell types. Neural Regen. Res. 2024, 19, 1947–1953. [Google Scholar] [CrossRef] [PubMed]
- Wang, Y.; Li, H.; Sun, H.; Xu, C.; Sun, H.; Wei, W.; Song, J.; Jia, F.; Zhong, D.; Li, G. A2 reactive astrocyte-derived exosomes alleviate cerebral ischemia-reperfusion injury by delivering miR-628. J. Cell Mol. Med. 2024, 28, e70004. [Google Scholar] [CrossRef] [PubMed] [PubMed Central]
- Zhu, Y.; Wang, F.; Xia, Y.; Wang, L.; Lin, H.; Zhong, T.; Wang, X. Research progress on astrocyte-derived extracellular vesicles in the pathogenesis and treatment of neurodegenerative diseases. Rev. Neurosci. 2024, 19. [Google Scholar] [CrossRef]
- Wang, X.; Li, A.; Fan, H.; Li, Y.; Yang, N.; Tang, Y. Astrocyte-Derived Extracellular Vesicles for Ischemic Stroke: Therapeutic Potential and Prospective. Aging Dis. 2024, 15, 1227–1254. [Google Scholar] [CrossRef]
- Sutter, P.A.; Lavoie, E.R.; Lombardo, E.T.; Pinter, M.K.; Crocker, S.J. Emerging role of astrocyte-derived extracellular vesicles as active participants in CNS neuroimmune responses. Immunol. Investig. 2024, 53, 26–39. [Google Scholar] [CrossRef]
- Bayraktar, O.A.; Bartels, T.; Holmqvist, S.; Kleshchevnikov, V.; Martirosyan, A.; Polioudakis, D.; Ben Haim, L.; Young, A.M.; Batiuk, M.Y.; Prakash, K.; et al. Astrocyte layers in the mammalian cerebral cortex revealed by a single-cell in situ transcriptomic map. Nat. Neurosci. 2020, 23, 500–509. [Google Scholar] [CrossRef]
- Boisvert, M.M.; Erikson, G.A.; Shokhirev, M.N.; Allen, N.J. The aging astrocyte transcriptome from multiple regions of the mouse brain. Cell Rep. 2018, 22, 269–285. [Google Scholar] [CrossRef] [PubMed]
- Yu, X.; Nagai, J.; Khakh, B.S. Improved tools to study astrocytes. Nat. Rev. Neurosci. 2020, 21, 121–138. [Google Scholar] [CrossRef] [PubMed]
- Lopez Juarez, A.; He, D.; Lu, R. Oligodendrocyte progenitor programming and reprogramming: Toward myelin regeneration. Brain Res. 2016, 1638, 209–220. [Google Scholar] [CrossRef] [PubMed]
- Moyon, S.; Holloman, M.; Salzer, J.L. Neural stem cells and oligodendrocyte progenitor cells compete for remyelination in the corpus callosum. Front. Cell Neurosci. 2023, 17, 1114781. [Google Scholar] [CrossRef] [PubMed]
- Mitew, S.; Kirkcaldie, M.T.; Halliday, G.M.; Shepherd, C.E.; Vickers, J.C.; Dickson, T.C. Focal demyelination in Alzheimer’s disease and transgenic mouse models. Acta Neuropathol. 2010, 119, 567–577. [Google Scholar] [CrossRef]
- Fang, L.P.; Liu, Q.; Meyer, E.; Welle, A.; Huang, W.; Scheller, A.; Kirchhoff, F.; Bai, X. A subset of OPCs do not express Olig2 during development which can be increased in the adult by brain injuries and complex motor learning. Glia 2023, 71, 415–430. [Google Scholar] [CrossRef]
- Wang, H.; Xu, L.; Lai, C.; Hou, K.; Chen, J.; Guo, Y.; Sambangi, A.; Swaminathan, S.; Xie, C.; Wu, Z.; et al. Region-specific distribution of Olig2-expressing astrocytes in adult mouse brain and spinal cord. Mol. Brain. 2021, 14, 36. [Google Scholar] [CrossRef]
- Hill, R.A.; Patel, K.D.; Medved, J.; Reiss, A.M.; Nishiyama, A. NG2 cells in white matter but not gray matter proliferate in response to PDGF. J. Neurosci. 2013, 33, 14558–14566. [Google Scholar] [CrossRef]
- Foerster, S.; Hill, M.F.E.; Franklin, R.J.M. Diversity in the oligodendrocyte lineage: Plasticity or heterogeneity? Glia 2019, 67, 1797–1805. [Google Scholar] [CrossRef]
- Viganò, F.; Dimou, L. The heterogeneous nature of NG2-glia. Brain Res. 2016, 1638, 129–137. [Google Scholar] [CrossRef]
- Sánchez-González, R.; Bribián, A.; López-Mascaraque, L. Cell Fate Potential of NG2 Progenitors. Sci. Rep. 2020, 10, 9876. [Google Scholar] [CrossRef] [PubMed]
- Clemente, D.; Ortega, M.C.; Melero-Jerez, C.; de Castro, F. The effect of glia-glia interactions on oligodendrocyte precursor cell biology during development and in demyelinating diseases. Front. Cell Neurosci. 2013, 7, 268. [Google Scholar] [CrossRef] [PubMed]
- Zhang, P.; Kishimoto, Y.; Grammatikakis, I.; Gottimukkala, K.; Cutler, R.G.; Zhang, S.; Abdelmohsen, K.; Bohr, V.A.; Misra Sen, J.; Gorospe, M.; et al. Senolytic therapy alleviates Aβ-associated oligodendrocyte progenitor cell senescence and cognitive deficits in an Alzheimer’s disease model. Nat. Neurosci. 2019, 22, 719–728. [Google Scholar] [CrossRef] [PubMed]
- Kang, S.H.; Fukaya, M.; Yang, J.K.; Rothstein, J.D.; Bergles, D.E. NG2+ CNS glial progenitors remain committed to the oligodendrocyte lineage in postnatal life and following neurodegeneration. Neuron 2010, 68, 668–681. [Google Scholar] [CrossRef] [PubMed]
- Prinz, M.; Priller, J.; Sisodia, S.S.; Ransohoff, R.M. Heterogeneity of CNS myeloid cells and their roles in neurodegeneration. Nat. Neurosci. 2011, 14, 1227–1235. [Google Scholar] [CrossRef]
- Paasila, P.J.; Davies, D.S.; Kril, J.J.; Goldsbury, C.; Sutherland, G.T. The relationship between the morphological subtypes of microglia and Alzheimer’s disease neuropathology. Brain Pathol. 2019, 29, 726–740. [Google Scholar] [CrossRef]
- Grabert, K.; Michoel, T.; Karavolos, M.H.; Clohisey, S.; Baillie, J.K.; Stevens, M.P.; Freeman, T.C.; Summers, K.M.; McColl, B.W. Microglial brain region-dependent diversity and selective regional sensitivities to aging. Nat. Neurosci. 2016, 19, 504–516. [Google Scholar] [CrossRef]
- De Biase, L.M.; Schuebel, K.E.; Fusfeld, Z.H.; Jair, K.; Hawes, I.A.; Cimbro, R.; Zhang, H.Y.; Liu, Q.R.; Shen, H.; Xi, Z.X.; et al. Local Cues Establish and Maintain Region-Specific Phenotypes of Basal Ganglia Microglia. Neuron 2017, 95, 341–356.e6. [Google Scholar] [CrossRef]
- Olah, M.; Patrick, E.; Villani, A.C.; Xu, J.; White, C.C.; Ryan, K.J.; Piehowski, P.; Kapasi, A.; Nejad, P.; Cimpean, M.; et al. A transcriptomic atlas of aged human microglia. Nat. Commun. 2018, 9, 539–547. [Google Scholar] [CrossRef]
- Molnár, Z.; Cragg, M.-S.; Garaschuk, O.; Perry, V.H.; Gomez-Nicola, D. Coupled Proliferation and Apoptosis Maintain the Rapid Turnover of Microglia in the Adult Brain. Cell Rep. 2017, 18, 391–405. [Google Scholar] [CrossRef]
- Edler, M.K.; Mhatre-Winters, I.; Richardson, J.R. Microglia in Aging and Alzheimer’s Disease: A Comparative Species Review. Cells 2021, 10, 1138. [Google Scholar] [CrossRef] [PubMed]
- McGeer, P.L.; Itagaki, S.; Tago, H.; McGeer, E.G. Reactive microglia in patients with senile dementia of the Alzheimer type are positive for the histocompatibility glycoprotein HLA-DR. Neurosci. Lett. 1987, 79, 195–200. [Google Scholar] [CrossRef] [PubMed]
- Togo, T.; Akiyama, H.; Kondo, H.; Ikeda, K.; Kato, M.; Iseki, E.; Kosaka, K. Expression of CD40 in the brain of Alzheimer’s disease and other neurological diseases. Brain Res. 2000, 885, 117–121. [Google Scholar] [CrossRef] [PubMed]
- Green, G.S.; Fujita, M.; Yang, H.S.; Taga, M.; Cain, A.; McCabe, C.; Comandante-Lou, N.; White, C.C.; Schmidtner, A.K.; Zeng, L.; et al. Cellular communities reveal trajectories of brain ageing and Alzheimer’s disease. Nature 2024, 633, 634–645. [Google Scholar] [CrossRef] [PubMed]
- Murray, P.J.; Allen, J.E.; Biswas, S.K.; Fisher, E.A.; Gilroy, D.W.; Goerdt, S.; Gordon, S.; Hamilton, J.A.; Ivashkiv, L.B.; Lawrence, T.; et al. Macrophage activation and polarization: Nomenclature and experimental guidelines. Immunity 2014, 41, 14–20. [Google Scholar] [CrossRef]
- Guedes, J.R.; Lao, T.; Cardoso, A.L.; El Khoury, J. Roles of microglial and monocyte chemokines and their receptors in regulating Alzheimer’s disease-Associated Amyloid-β and Tau Pathologies. Front. Neurol. 2018, 9, 549. [Google Scholar] [CrossRef]
- Streit, W.J.; Khoshbouei, H.; Bechmann, I. Dystrophic microglia in late-onset alzheimer’s disease. Glia 2020, 68, 845–854. [Google Scholar] [CrossRef]
- Spiteri, A.G.; Wishart, C.L.; Pamphlett, R.; Locatelli, G.; King, N.J. Microglia and monocytes in inflammatory CNS disease: Integrating phenotype and function. Acta Neuropathol. 2022, 143, 179–224. [Google Scholar] [CrossRef]
- Villacampa, N.; Heneka, M.T. Microglia in Alzheimer’s disease: Local heroes! J. Exp. Med. 2020, 217, e20192311. [Google Scholar] [CrossRef]
- Gallizioli, M.; Miró-Mur, F.; Otxoa-de-Amezaga, A.; Cugota, R.; Salas-Perdomo, A.; Justicia, C.; Brait, V.H.; Ruiz-Jaén, F.; Arbaizar-Rovirosa, M.; Pedragosa, J.; et al. Dendritic Cells and Microglia Have Non-redundant Functions in the Inflamed Brain with Protective Effects of Type 1 cDCs. Cell Rep. 2020, 33, 108291. [Google Scholar] [CrossRef]
- Ajami, B.; Samusik, N.; Wieghofer, P.; Ho, P.P.; Crotti, A.; Bjornson, Z.; Prinz, M.; Fantl, W.J.; Nolan, G.P.; Steinman, L. Single-cell mass cytometry reveals distinct populations of brain myeloid cells in mouse neuroinflammation and neurodegeneration models. Nat. Neurosci. 2018, 21, 541–551. [Google Scholar] [CrossRef] [PubMed]
- Varvel, N.H.; Neher, J.J.; Bosch, A.; Wang, W.; Ransohoff, R.M.; Miller, R.J.; Dingledine, R. Infiltrating monocytes promote brain inflammation and exacerbate neuronal damage after status epilepticus. Proc. Natl. Acad. Sci. USA 2016, 113, E5665–E5674. [Google Scholar] [CrossRef] [PubMed]
- Reed-Geaghan, E.G.; Croxford, A.L.; Becher, B.; Landreth, G.E. Plaque-associated myeloid cells derive from resident microglia in an Alzheimer’s disease model. J. Exp. Med. 2020, 217, e20191374. [Google Scholar] [CrossRef] [PubMed]
- Wang, Q.; Antone, J.; Alsop, E.; Reiman, R.; Funk, C.; Bendl, J.; Dudley, J.T.; Liang, W.S.; Karr, T.L.; Roussos, P.; et al. Single cell transcriptomes and multiscale networks from persons with and without Alzheimer’s disease. Nat. Commun. 2024, 15, 5815. [Google Scholar] [CrossRef] [PubMed]
- Simmnacher, K.; Krach, F.; Schneider, Y.; Alecu, J.E.; Mautner, L.; Klein, P.; Roybon, L.; Prots, I.; Xiang, W.; Winner, B. Unique signatures of stress-induced senescent human astrocytes. Exp. Neurol. 2020, 334, 113466. [Google Scholar] [CrossRef]
- Fancy, N.N.; Smith, A.M.; Caramello, A.; Tsartsalis, S.; Davey, K.; Muirhead, R.C.; McGarry, A.; Jenkyns, M.H.; Schneegans, E.; Chau, V.; et al. Characterization of premature cell senescence in Alzheimer’s disease using single nuclear transcriptomics. Acta Neuropathol. 2024, 147, 78. [Google Scholar] [CrossRef]
- Li, X.; Li, Y.; Jin, Y.; Zhang, Y.; Wu, J.; Xu, Z.; Huang, Y.; Cai, L.; Gao, S.; Liu, T.; et al. Transcriptional and epigenetic decoding of the microglial aging process. Nat. Aging 2023, 3, 1288–1311. [Google Scholar] [CrossRef]
- Yaqubi, M.; Groh, A.M.; Dorion, M.F.; Afanasiev, E.; Luo, J.X.; Hashemi, H.; Sinha, S.; Kieran, N.W.; Blain, M.; Cui, Q.L.; et al. Analysis of the microglia transcriptome across the human lifespan using single cell RNA sequencing. J. Neuroinflamm. 2023, 20, 132. [Google Scholar] [CrossRef]
- Vecchiarelli, H.A.; Tremblay, M.È. Microglial transcriptional signatures in the central nervous system: Toward a future of unraveling their function in health and disease. Annu. Rev. Genet. 2023, 57, 65–86. [Google Scholar] [CrossRef]
- Chen, Y.; Hunter, E.; Arbabi, K.; Guet-McCreight, A.; Consens, M.; Felsky, D.; Sibille, E.; Tripathy, S.J. Robust differences in cortical cell type proportions across healthy human aging inferred through cross-dataset transcriptome analyses. Neurobiol. Aging 2023, 125, 49–61. [Google Scholar] [CrossRef]
- Shafqat, A.; Khan, S.; Omer, M.H.; Niaz, M.; Albalkhi, I.; AlKattan, K.; Yaqinuddin, A.; Tchkonia, T.; Kirkland, J.L.; Hashmi, S.K. Cellular senescence in brain aging and cognitive decline. Front. Aging Neurosci. 2023, 15, 1281581. [Google Scholar] [CrossRef] [PubMed]
- Saenz-Antoñanzas, A.; Muñoz-Culla, M.; Rigo, P.; Ruiz-Barreiro, L.; Moreno-Valladares, M.; Alberro, A.; Cruces-Salguero, S.; Arroyo-Izaga, M.; Arranz, A.M.; Otaegui, D.; et al. Centenarian hippocampus displays high levels of astrocytic metallothioneins. Aging Cell. 2024, 23, e14201. [Google Scholar] [CrossRef] [PubMed]
- Wei, H.; Withrow, J.; Rakshit, J.; Amin, F.U.; Nahm, J.; Mowry, F.E.; Mao, Z.; Bhattacharjee, M.B.; Zhu, J.J.; Yang, Y.; et al. The identification of a distinct astrocyte subtype that diminishes in Alzheimer’s disease. Aging Dis. 2024. [Google Scholar] [CrossRef]
- Seryogina, E.S.; Kamynina, A.V.; Koroev, D.O.; Volpina, O.M.; Vinokurov, A.Y.; Abramov, A.Y. RAGE induces physiological activation of NADPH oxidase in neurons and astrocytes and neuroprotection. FEBS J. 2024, 291, 1944–1957. [Google Scholar] [CrossRef]
- Evans, F.; Alí-Ruiz, D.; Rego, N.; Negro-Demontel, M.L.; Lago, N.; Cawen, F.A.; Pannunzio, B.; Sanchez-Molina, P.; Reyes, L.; Paolino, A.; et al. CD300f immune receptor contributes to healthy aging by regulating inflammaging, metabolism, and cognitive decline. Cell Rep. 2023, 42, 113269. [Google Scholar] [CrossRef]
- Munro, D.A.; Bestard-Cuche, N.; McQuaid, C.; Chagnot, A.; Shabestari, S.K.; Chadarevian, J.P.; Maheshwari, U.; Szymkowiak, S.; Morris, K.; Mohammad, M.; et al. Microglia protect against age-associated brain pathologies. Neuron 2024, 112, 2732–2748.e8. [Google Scholar] [CrossRef]
- Berglund, R.; Cheng, Y.; Piket, E.; Adzemovic, M.Z.; Zeitelhofer, M.; Olsson, T.; Guerreiro-Cacais, A.O.; Jagodic, M. The aging mouse CNS is protected by an autophagy-dependent microglia population promoted by IL-34. Nat. Commun. 2024, 15, 383. [Google Scholar] [CrossRef]
- Bedolla, A.; Wegman, E.; Weed, M.; Paranjpe, A.; Alkhimovitch, A.; Ifergan, I.; McClain, L.; Luo, Y. Microglia-derived TGF-β1 ligand maintains microglia homeostasis via autocrine mechanism and is critical for normal cognitive function in adult mouse brain. Nat Commun. 2024, 15, 5306. [Google Scholar] [CrossRef]
- Zhang, S.; Meng, R.; Jiang, M.; Qing, H.; Ni, J. Emerging Roles of Microglia in Blood-Brain Barrier Integrity in Aging and Neurodegeneration. Curr. Neuropharmacol. 2024, 22, 1189–1204. [Google Scholar] [CrossRef]
- Chauquet, S.; Willis, E.F.; Grice, L.; Harley, S.B.; Powell, J.E.; Wray, N.R.; Nguyen, Q.; Ruitenberg, M.J.; Shah, S.; Vukovic, J. Exercise rejuvenates microglia and reverses T cell accumulation in the aged female mouse brain. Aging Cell 2024, 23, e14172. [Google Scholar] [CrossRef]
- Vitantonio, A.T.; Dimovasili, C.; Mortazavi, F.; Vaughan, K.L.; Mattison, J.A.; Rosene, D.L. Long-term calorie restriction reduces oxidative DNA damage to oligodendroglia and promotes homeostatic microglia in the aging monkey brain. Neurobiol. Aging 2024, 141, 1–13. [Google Scholar] [CrossRef] [PubMed]
- Man, J.H.; Breur, M.; van Gelder, C.A.; Marcon, G.; Maderna, E.; Giaccone, G.; Altelaar, M.; van der Knaap, M.S.; Bugiani, M. Region-specific and age-related differences in astrocytes in the human brain. Neurobiol. Aging 2024, 140, 102–115. [Google Scholar] [CrossRef] [PubMed]
- Clarke, L.E.; Liddelow, S.A.; Chakraborty, C.; Münch, A.E.; Heiman, M.; Barres, B.A. Normal aging induces A1-like astrocyte reactivity. Proc. Natl. Acad. Sci. USA 2018, 115, E1896–E1905. [Google Scholar] [CrossRef] [PubMed]
- Verkhratsky, A.; Semyanov, A. Decline and fall of aging astrocytes: The human perspective. Neural Regen. Res. 2025, 20, 1713–1714. [Google Scholar] [CrossRef]
- López-Teros, M.; Alarcón-Aguilar, A.; López-Diazguerrero, N.E.; Luna-López, A.; Königsberg, M. Contribution of senescent and reactive astrocytes on central nervous system inflammaging. Biogerontology 2022, 23, 21–33. [Google Scholar] [CrossRef]
- López-Teros, M.; Alarcón-Aguilar, A.; Castillo-Aragón, A.; Königsberg, M.; Luna-López, A. Cytokine profiling in senescent and reactive astrocytes: A systematic review. Neurobiol. Aging 2024, 138, 28–35. [Google Scholar] [CrossRef]
- Verkerke, M.; Hol, E.M.; Middeldorp, J. Physiological and Pathological Ageing of Astrocytes in the Human Brain. Neurochem. Res. 2021, 46, 2662–2675. [Google Scholar] [CrossRef]
- Rodríguez, J.J.; Gardenal, E.; Zallo, F.; Arrue, A.; Cabot, J.; Busquets, X. Astrocyte S100β expression and selective differentiation to GFAP and GS in the entorhinal cortex during ageing in the 3xTg-Alzheimer’s disease mouse model. Acta Histochem. 2024, 126, 152131. [Google Scholar] [CrossRef]
- Rodríguez-Callejas, J.D.; Fuchs, E.; Perez-Cruz, C. Atrophic astrocytes in aged marmosets present tau hyperphosphorylation, RNA oxidation, and DNA fragmentation. Neurobiol. Aging 2023, 129, 121–136. [Google Scholar] [CrossRef]
- Allende, L.G.; Natalí, L.; Cragnolini, A.B.; Bollo, M.; Musri, M.M.; de Mendoza, D.; Martín, M.G. Lysosomal cholesterol accumulation in aged astrocytes impairs cholesterol delivery to neurons and can be rescued by cannabinoids. Glia 2024, 72, 1746–1765. [Google Scholar] [CrossRef]
- Patrick, M.B.; Preveza, N.J.; Kincaid, S.E.; Setenet, G.; Abraham, J.R.; Cummings, A.; Banani, S.; Ray, W.K.; Helm, R.F.; Trask, S.; et al. Dysregulation of baseline and learning-dependent protein degradation in the aged hippocampus. Brain Res. Bull. 2024, 215, 111015. [Google Scholar] [CrossRef] [PubMed]
- Santos, C.L.; Bobermin, L.D.; Quincozes-Santos, A. Aging changes the expression of adenosine receptors, insulin-like growth factor 1 (IGF1), and hypoxia-inducible factor 1α (HIF1α) in hypothalamic astrocyte cultures. Aging Brain 2023, 5, 100104. [Google Scholar] [CrossRef] [PubMed]
- Adekunbi, D.A.; Huber, H.F.; Li, C.; Nathanielsz, P.W.; Cox, L.A.; Salmon, A.B. Differential mitochondrial bioenergetics and cellular resilience in astrocytes, hepatocytes, and fibroblasts from aging baboons. Geroscience 2024, 46, 4443–4459. [Google Scholar] [CrossRef]
- Diniz, L.P.; Araujo, A.P.; Carvalho, C.F.; Matias, I.; de Sá Hayashide, L.; Marques, M.; Pessoa, B.; Andrade, C.B.; Vargas, G.; Queiroz, D.D.; et al. Accumulation of damaged mitochondria in aging astrocytes due to mitophagy dysfunction: Implications for susceptibility to mitochondrial stress. Biochim. Biophys. Acta Mol. Basis Dis. 2024, 1870, 167470. [Google Scholar] [CrossRef] [PubMed]
- Bondy, S.C. Mitochondrial Dysfunction as the Major Basis of Brain Aging. Biomolecules 2024, 14, 402. [Google Scholar] [CrossRef]
- Popov, A.; Brazhe, N.; Morozova, K.; Yashin, K.; Bychkov, M.; Nosova, O.; Sutyagina, O.; Brazhe, A.; Parshina, E.; Li, L.; et al. Mitochondrial malfunction and atrophy of astrocytes in the aged human cerebral cortex. Nat. Commun. 2023, 14, 8380. [Google Scholar] [CrossRef]
- Cunha, S.; Bicker, J.; Sereno, J.; Falcão, A.; Fortuna, A. Blood brain barrier dysfunction in healthy aging and dementia: Why, how, what for? Ageing Res. Rev. 2024, 99, 102395. [Google Scholar] [CrossRef]
- Cao, Y.; Xu, W.; Liu, Q. Alterations of the blood-brain barrier during aging. J. Cereb. Blood Flow. Metab. 2024, 44, 881–895. [Google Scholar] [CrossRef]
- Sompol, P. Targeting reactive astrocytes in vascular dementia: Investigation of neuronal-astrocyte-vascular interactions. Neurosci. Insights 2024, 19, 26331055241255332. [Google Scholar] [CrossRef]
- Erdő, F.; Denes, L.; de Lange, E. Age-associated physiological and pathological changes at the blood-brain barrier: A review. J. Cereb. Blood Flow Metab. 2017, 37, 4–24. [Google Scholar] [CrossRef]
- Xiong, Y.; Yu, Q.; Zhi, H.; Peng, H.; Xie, M.; Li, R.; Li, K.; Ma, Y.; Sun, P. Advances in the study of the glymphatic system and aging. CNS Neurosci. Ther. 2024, 30, e14803. [Google Scholar] [CrossRef] [PubMed]
- Pannese, E. Quantitative, structural and molecular changes in neuroglia of aging mammals: A review. Eur. J. Histochem. 2021, 65, 3249. [Google Scholar] [CrossRef] [PubMed]
- Windener, F.; Grewing, L.; Thomas, C.; Dorion, M.F.; Otteken, M.; Kular, L.; Jagodic, M.; Antel, J.; Albrecht, S.; Kuhlmann, T. Physiological aging and inflammation-induced cellular senescence may contribute to oligodendroglial dysfunction in MS. Acta Neuropathol. 2024, 147, 82. [Google Scholar] [CrossRef] [PubMed]
- Dimovasili, C.; Fair, A.E.; Garza, I.R.; Batterman, K.V.; Mortazavi, F.; Moore, T.L.; Rosene, D.L. Aging compromises oligodendrocyte precursor cell maturation and efficient remyelination in the monkey brain. Geroscience 2023, 45, 249–264. [Google Scholar] [CrossRef]
- Fang, M.; Chen, L.; Tang, T.; Qiu, M.; Xu, X. The committed oligodendrocyte precursor cell, a newly-defined intermediate progenitor cell type in oligodendroglial lineage. Glia 2023, 71, 2499–2510. [Google Scholar] [CrossRef]
- Zhang, C.; Qiu, M.; Fu, H. Oligodendrocytes in central nervous system diseases: The effect of cytokine regulation. Neural Regen. Res. 2024, 19, 2132–2143. [Google Scholar] [CrossRef]
- He, Y.; Xu, Z.; He, Y.; Liu, J.; Li, J.; Wang, S.; Xiao, L. Preventing production of new oligodendrocytes impairs remyelination and sustains behavioural deficits after demyelination. Biochem. Biophys. Res. Commun. 2024, 733, 150592. [Google Scholar] [CrossRef]
- Seiler, S.; Rudolf, F.; Gomes, F.R.; Pavlovic, A.; Nebel, J.; Seidenbecher, C.I.; Foo, L.C. Astrocyte-derived factors regulate CNS myelination. Glia 2024, 2. [Google Scholar] [CrossRef]
- Luan, W.; Qi, X.; Liang, F.; Zhang, X.; Jin, Z.; Shi, L.; Luo, B.; Dai, X. Microglia impede oligodendrocyte generation in aged brain. J. Inflamm. Res. 2021, 14, 6813–6831. [Google Scholar] [CrossRef]
- Leenders, F.; Koole, L.; Slaets, H.; Tiane, A.; van den Hove, D.; Vanmierlo, T. Navigating oligodendrocyte precursor cell aging in brain health. Mech. Ageing Dev. 2024, 220, 111959. [Google Scholar] [CrossRef]
- Hamanaka, G.; Arai, K. Exploring the novel role of oligodendrocyte precursor cells in phagocytosis: Beyond myelinogenesis. Neural Regen. Res. 2025, 20, 473–474. [Google Scholar] [CrossRef] [PubMed]
- Ya, J.; Bayraktutan, U. Senolytics and Senomorphics Targeting p38MAPK/NF-κB Pathway Protect Endothelial Cells from Oxidative Stress-Mediated Premature Senescence. Cells 2024, 13, 1292. [Google Scholar] [CrossRef] [PubMed]
- von Bernhardi, R.; Eugenín, J. Aging Microglia and Their Impact in the Nervous System. Adv. Neurobiol. 2024, 37, 379–395. [Google Scholar] [CrossRef] [PubMed]
- Shobin, E.; Bowley, M.P.; Estrada, L.I.; Heyworth, N.C.; Orczykowski, M.E.; Eldridge, S.A.; Calderazzo, S.M.; Mortazavi, F.; Moore, T.L.; Rosene, D.L. Microglia activation and phagocytosis: Relationship with aging and cognitive impairment in the rhesus monkey. Geroscience 2017, 39, 199–220. [Google Scholar] [CrossRef] [PubMed]
- Stojiljkovic, M.R.; Schmeer, C.; Witte, O.W. Senescence and aging differentially alter key metabolic pathways in murine brain microglia. Neurosci. Lett. 2024, 828, 137751. [Google Scholar] [CrossRef]
- Valles, S.L.; Iradi, A.; Aldasoro, M.; Vila, J.M.; Aldasoro, C.; de la Torre, J.; Campos-Campos, J.; Jorda, A. Function of Glia in Aging and the Brain Diseases. Int. J. Med. Sci. 2019, 16, 1473–1479. [Google Scholar] [CrossRef]
- Matsudaira, T.; Nakano, S.; Konishi, Y.; Kawamoto, S.; Uemura, K.; Kondo, T.; Sakurai, K.; Ozawa, T.; Hikida, T.; Komine, O.; et al. Cellular senescence in white matter microglia is induced during ageing in mice and exacerbates the neuroinflammatory phenotype. Commun. Biol. 2023, 6, 665. [Google Scholar] [CrossRef]
- Yu, T.; Kuang, H.; Wu, X.; Huang, Y.; Wang, J.; Wen, Z. Cell competition for neuron-derived trophic factor controls the turnover and lifespan of microglia. Sci. Adv. 2023, 9, eadf9790. [Google Scholar] [CrossRef]
- Koellhoffer, E.C.; McCullough, L.D.; Ritzel, R.M. Old Maids: Aging and Its Impact on Microglia Function. Int. J. Mol. Sci. 2017, 18, 769. [Google Scholar] [CrossRef]
- Antignano, I.; Liu, Y.; Offermann, N.; Capasso, M. Aging microglia. Cell. Mol. Life Sci. 2023, 80, 126. [Google Scholar] [CrossRef]
- Masuda, T.; Sankowski, R.; Staszewski, O.; Prinz, M. Microglia Heterogeneity in the Single-Cell Era. Cell Rep. 2020, 30, 1271–1281. [Google Scholar] [CrossRef] [PubMed]
- Krasemann, S.; Madore, C.; Cialic, R.; Baufeld, C.; Calcagno, N.; El Fatimy, R.; Beckers, L.; O’loughlin, E.; Xu, Y.; Fanek, Z.; et al. The TREM2-APOE Pathway Drives the Transcriptional Phenotype of Dysfunctional Microglia in Neurodegenerative Diseases. Immunity 2017, 47, 566–581.e9. [Google Scholar] [CrossRef] [PubMed]
- Keren-Shaul, H.; Spinrad, A.; Weiner, A.; Matcovitch-Natan, O.; Dvir-Szternfeld, R.; Ulland, T.K.; David, E.; Baruch, K.; Lara-Astaiso, D.; Toth, B.; et al. A Unique Microglia Type Associated with Restricting Development of Alzheimer’s Disease. Cell 2017, 169, 1276–1290.e17. [Google Scholar] [CrossRef] [PubMed]
- Marschallinger, J.; Iram, T.; Zardeneta, M.; Lee, S.E.; Lehallier, B.; Haney, M.S.; Pluvinage, J.V.; Mathur, V.; Hahn, O.; Morgens, D.W.; et al. Lipid-droplet-accumulating microglia represent a dysfunctional and proinflammatory state in the aging brain. Nat. Neurosci. 2020, 23, 194–208. [Google Scholar] [CrossRef] [PubMed]
- Arutyunov, A.; Klein, R.S. Microglia at the scene of the crime: What their transcriptomics reveal about brain health. Curr. Opin. Neurol. 2023, 36, 207–213. [Google Scholar] [CrossRef]
- Arvanitaki, E.S.; Goulielmaki, E.; Gkirtzimanaki, K.; Niotis, G.; Tsakani, E.; Nenedaki, E.; Rouska, I.; Kefalogianni, M.; Xydias, D.; Kalafatakis, I.; et al. Microglia-derived extracellular vesicles trigger age-related neurodegeneration upon DNA damage. Proc. Natl. Acad. Sci. USA 2024, 121, e2317402121. [Google Scholar] [CrossRef]
- Olah, M.; Biber, K.; Vinet, J.; Boddeke, H.W. Microglia phenotype diversity. CNS Neurol Disord. Drug Targets 2011, 10, 108–118. [Google Scholar] [CrossRef]
- Streit, W.J.; Xue, Q.S. Microglial senescence. CNS Neurol Disord. Drug Targets 2013, 12, 763–767. [Google Scholar] [CrossRef]
- Karabag, D.; Scheiblich, H.; Griep, A.; Santarelli, F.; Schwartz, S.; Heneka, M.T.; Ising, C. Characterizing microglial senescence: Tau as a key player. J. Neurochem. 2023, 166, 517–533. [Google Scholar] [CrossRef]
- Matsudaira, T.; Prinz, M. Life and death of microglia: Mechanisms governing microglial states and fates. Immunol. Lett. 2022, 245, 51–60. [Google Scholar] [CrossRef]
- Ng, P.Y.; McNeely, T.L.; Baker, D.J. Untangling senescent and damage-associated microglia in the aging and diseased brain. FEBS J. 2023, 290, 1326–1339. [Google Scholar] [CrossRef] [PubMed]
- Stojiljkovic, M.R.; Ain, Q.; Bondeva, T.; Heller, R.; Schmeer, C.; Witte, O.W. Phenotypic and functional differences between senescent and aged murine microglia. Neurobiol. Aging 2019, 74, 56–69. [Google Scholar] [CrossRef] [PubMed]
- Greenwood, E.K.; Brown, D.R. Senescent Microglia: The key to the ageing brain? Int. J. Mol. Sci. 2021, 22, 4402. [Google Scholar] [CrossRef] [PubMed]
- Ince, L.M.; Darling, J.S.; Sanchez, K.; Bell, K.S.; Melbourne, J.K.; Davis, L.K.; Nixon, K.; Gaudet, A.D.; Fonken, L.K. Sex differences in microglia function in aged rats underlie vulnerability to cognitive decline. Brain Behav. Immun. 2023, 114, 438–452. [Google Scholar] [CrossRef] [PubMed]
- Huang, Y.; Sun, W.; Gao, F.; Ma, H.; Yuan, T.; Liu, Z.; Liu, H.; Hu, J.; Bai, J.; Zhang, X.; et al. Brain-Derived Estrogen Regulates Neurogenesis, Learning and Memory with Aging in Female Rats. Biology 2023, 12, 760. [Google Scholar] [CrossRef]
- Yanguas-Casás, N.; Crespo-Castrillo, A.; Arevalo, M.A.; Garcia-Segura, L.M. Aging and sex: Impact on microglia phagocytosis. Aging Cell 2020, 19, e13182. [Google Scholar] [CrossRef]
- Godeanu, S.; Clarke, D.; Stopper, L.; Deftu, A.F.; Popa-Wagner, A.; Bălșeanu, A.T.; Scheller, A.; Catalin, B. Microglial morphology in the somatosensory cortex across lifespan. A quantitative study. Dev. Dyn. 2023, 252, 1113–1129. [Google Scholar] [CrossRef]
- Taketomi, T.; Tsuruta, F. Towards an Understanding of Microglia and Border-Associated Macrophages. Biology 2023, 12, 1091. [Google Scholar] [CrossRef]
- Xu, W.; Wang, X.; Hou, X.; Yang, Y.; Ma, R.; Lv, R.; Yin, Q. The role of microglia in the pathogenesis of diabetic-associated cognitive dysfunction. Front. Endocrinol. 2024, 14, 1246979. [Google Scholar] [CrossRef]
- Zhao, M.; Jiang, X.F.; Zhang, H.Q.; Sun, J.H.; Pei, H.; Ma, L.N.; Cao, Y.; Li, H. Interactions between glial cells and the blood-brain barrier and their role in Alzheimer’s disease. Ageing Res. Rev. 2021, 72, 101483. [Google Scholar] [CrossRef]
- Ghosh, D.; Singh, G.; Mishra, P.; Singh, A.; Kumar, A.; Sinha, N. Alteration in mitochondrial dynamics promotes the proinflammatory response of microglia and is involved in cerebellar dysfunction of young and aged mice following LPS exposure. Neurosci. Lett. 2023, 807, 137262. [Google Scholar] [CrossRef]
- Wyss-Coray, T.; Rogers, J. Inflammation in Alzheimer disease-a brief review of the basic science and clinical literature. Cold Spring Harb. Perspect. Med. 2012, 2, a006346. [Google Scholar] [CrossRef]
- Kwon, H.S.; Koh, S.H. Neuroinflammation in neurodegenerative disorders: The roles of microglia and astrocytes. Transl. Neurodegener. 2020, 9, 42. [Google Scholar] [CrossRef]
- Hashioka, S.; Wu, Z.; Klegeris, A. Glia-driven neuroinflammation and systemic inflammation in Alzheimer’s disease. Curr. Neuropharmacol. 2020, 19, 908–924. [Google Scholar] [CrossRef] [PubMed] [PubMed Central]
- Kim, E.; Otgontenger, U.; Jamsranjav, A.; Kim, S.S. Deleterious alteration of glia in the brain of Alzheimer’s disease. Int. J. Mol. Sci. 2020, 21, 6676. [Google Scholar] [CrossRef] [PubMed] [PubMed Central]
- Sorrentino, S.; Ascari, R.; Maderna, E.; Catania, M.; Ghetti, B.; Tagliavini, F.; Giaccone, G.; Di Fede, G. Microglial heterogeneity and its potential role in driving phenotypic diversity of Alzheimer’s disease. Int. J. Mol. Sci. 2021, 22, 2780. [Google Scholar] [CrossRef] [PubMed] [PubMed Central]
- Fleeman, R.M.; Proctor, E.A. Astrocytic propagation of tau in the context of Alzheimer’s disease. Front. Cell. Neurosci. 2021, 15, 645233. [Google Scholar] [CrossRef] [PubMed] [PubMed Central]
- Clayton, K.; Delpech, J.C.; Herron, S.; Iwahara, N.; Ericsson, M.; Saito, T.; Saido, T.C.; Ikezu, S.; Ikezu, T. Plaque associated microglia hyper-secrete extracellular vesicles and accelerate tau propagation in a humanized APP mouse model. Mol. Neurodegener. 2021, 16, 18. [Google Scholar] [CrossRef]
- Mathys, H.; Peng, Z.; Boix, C.A.; Victor, M.B.; Leary, N.; Babu, S.; Abdelhady, G.; Jiang, X.; Ng, A.P.; Ghafari, K.; et al. Single-cell atlas reveals correlates of high cognitive function, dementia, and resilience to Alzheimer’s disease pathology. Cell 2023, 186, 4365–4385.e27. [Google Scholar] [CrossRef]
- Chen, W.T.; Lu, A.; Craessaerts, K.; Pavie, B.; Frigerio, C.S.; Corthout, N.; Qian, X.; Laláková, J.; Kühnemund, M.; Voytyuk, I.; et al. Spatial transcriptomics and in situ sequencing to study Alzheimer’s disease. Cell 2020, 182, 976–991.e19. [Google Scholar] [CrossRef]
- Morabito, S.; Miyoshi, E.; Michael, N.; Shahin, S.; Martini, A.C.; Head, E.; Silva, J.; Leavy, K.; Perez-Rosendahl, M.; Swarup, V. Single-nucleus chromatin accessibility and transcriptomic characterization of Alzheimer’s disease. Nat. Genet. 2021, 53, 1143–1155. [Google Scholar] [CrossRef]
- Sadick, J.S.; O’Dea, M.R.; Hasel, P.; Dykstra, T.; Faustin, A.; Liddelow, S.A. Astrocytes and oligodendrocytes undergo subtype-specific transcriptional changes in Alzheimer’s disease. Neuron 2022, 110, 1788–1805.e10. [Google Scholar] [CrossRef]
- Mathys, H.; Davila-Velderrain, J.; Peng, Z.; Gao, F.; Mohammadi, S.; Young, J.Z.; Menon, M.; He, L.; Abdurrob, F.; Jiang, X.; et al. Single-cell transcriptomic analysis of Alzheimer’s disease. Nature 2019, 570, 332–337. [Google Scholar] [CrossRef]
- Gogishvili, D.; Honey, M.I.J.; Verberk, I.M.W.; Vermunt, L.; Hol, E.M.; Teunissen, C.E.; Abeln, S. The GFAP proteoform puzzle: How to advance GFAP as a fluid biomarker in neurological diseases. J. Neurochem. 2024. [Google Scholar] [CrossRef]
- Kamphuis, W.; Middeldorp, J.; Kooijman, L.; Sluijs, J.A.; Kooi, E.J.; Moeton, M.; Freriks, M.; Mizee, M.R.; Hol, E.M. Glial fibrillary acidic protein isoform expression in plaque related astrogliosis in Alzheimer’s disease. Neurobiol. Aging 2014, 35, 492–510. [Google Scholar] [CrossRef] [PubMed]
- Liu, C.Y.; Yang, Y.; Ju, W.N.; Wang, X.; Zhang, H.L. Emerging roles of astrocytes in neuro-vascular unit and the tripartite synapse with emphasis on reactive gliosis in the context of Alzheimer’s disease. Front. Cell. Neurosci. 2018, 12, 193. [Google Scholar] [CrossRef]
- King, A.; Szekely, B.; Calapkulu, E.; Ali, H.; Rios, F.; Jones, S.; Troakes, C. The increased densities, but different distributions, of both C3 and S100A10 immunopositive astrocyte-like cells in Alzheimer’s Disease brains suggest possible roles for both A1 and A2 astrocytes in the disease pathogenesis. Brain Sci. 2020, 10, 503. [Google Scholar] [CrossRef]
- Wu, Y.; Yang, L.; Jiang, W.; Zhang, X.; Yao, Z. Glycolytic dysregulation in Alzheimer’s disease: Unveiling new avenues for understanding pathogenesis and improving therapy. Neural Regen Res. 2025, 20, 2264–2278. [Google Scholar] [CrossRef]
- Taylor, X.; Cisternas, P.; You, Y.; You, Y.; Xiang, S.; Marambio, Y.; Zhang, J.; Vidal, R.; Lasagna-Reeves, C.A. A1 reactive astrocytes and a loss of TREM2 are associated with an early stage of pathology in a mouse model of cerebral amyloid angiopathy. J. Neuroinflamm. 2020, 17, 223. [Google Scholar] [CrossRef]
- Taylor, X.; Cisternas, P.; Jury, N.; Martinez, P.; Huang, X.; You, Y.; Redding-Ochoa, J.; Vidal, R.; Zhang, J.; Troncoso, J.; et al. Activated endothelial cells induce a distinct type of astrocytic reactivity. Commun. Biol. 2022, 5, 282. [Google Scholar] [CrossRef]
- Serrano-Pozo, A.; Muzikansky, A.; Gómez-Isla, T.; Growdon, J.H.; Betensky, R.A.; Frosch, M.P.; Hyman, B.T. Differential relationships of reactive astrocytes and microglia to fibrillar amyloid deposits in Alzheimer disease. J. Neuropathol. Exp. Neurol. 2013, 72, 462–471. [Google Scholar] [CrossRef] [PubMed] [PubMed Central]
- Perez-Nievas, B.G.; Serrano-Pozo, A. Deciphering the astrocyte reaction in Alzheimer’s disease. Front. Aging Neurosci. 2018, 10, 114. [Google Scholar] [CrossRef] [PubMed] [PubMed Central]
- Tarkowski, E.; Liljeroth, A.M.; Minthon, L.; Tarkowski, A.; Wallin, A.; Blennow, K. Cerebral pattern of pro- and anti-inflammatory cytokines in dementias. Brain Res. Bull. 2003, 61, 255–260. [Google Scholar] [CrossRef] [PubMed]
- Serrano-Pozo, A.; Gómez-Isla, T.; Growdon, J.H.; Frosch, M.P.; Hyman, B.T. A phenotypic change but not proliferation underlies glial responses in Alzheimer disease. Am. J. Pathol. 2013, 182, 2332–2344. [Google Scholar] [CrossRef]
- Beach, T.G.; Walker, R.; McGeer, E.G. Patterns of gliosis in Alzheimer’s disease and aging cerebrum. Glia 1989, 2, 420–436. [Google Scholar] [CrossRef] [PubMed]
- Kamphuis, W.; Kooijman, L.; Orre, M.; Stassen, O.; Pekny, M.; Hol, E.M. GFAP and vimentin eficiency alters gene expression in astrocytes and microglia in wild-type mice and changes the transcriptional response of reactive glia in mouse model for Alzheimer’s disease. Glia 2015, 63, 1036–1056. [Google Scholar] [CrossRef] [PubMed]
- Meldolesi, J. Role of senescent astrocytes in health and disease. Int. J. Mol. Sci. 2023, 24, 8498. [Google Scholar] [CrossRef]
- Onyango, I.G.; Jauregui, G.V.; Čarná, M.; Bennett, J.P., Jr.; Stokin, G.B. Neuroinflammation in Alzheimer’s Disease. Biomedicines 2021, 9, 524. [Google Scholar] [CrossRef]
- Verkhratsky, A.; Augusto-Oliveira, M.; Pivoriūnas, A.; Popov, A.; Brazhe, A.; Semyanov, A. Astroglial asthenia and loss of function, rather than reactivity, contribute to the ageing of the brain. Pflug. Arch. 2021, 473, 753–774. [Google Scholar] [CrossRef]
- Toledano, A.; Merino, J.J.; Rodríguez, J.J. Neuroglia in Alzheimer`s disease: From cohort to contestant in the disease progression and its therapy. Cur. Alzheimer Res. 2016, 13, 318–320. [Google Scholar] [CrossRef] [PubMed]
- Yeh, C.Y.; Vadhwana, B.; Verkhratsky, A.; Rodríguez, J.J. Early astrocytic atrophy in the entorhinal cortex of a triple transgenic animal model of Alzheimer’s disease. ASN Neuro. 2011, 3, 271–279. [Google Scholar] [CrossRef] [PubMed] [PubMed Central]
- Mathur, R.; Ince, P.G.; Minett, T.; Garwood, C.J.; Shaw, P.J.; Matthews, F.E.; Brayne, C.; Simpson, J.E.; Wharton, S.B.; MRC Cognitive Function and Ageing Neuropathology Study Group. A reduced astrocyte response to β-amyloid plaques in the ageing brain associates with cognitive impairment. PLoS ONE 2015, 10, e0118463. [Google Scholar] [CrossRef] [PubMed] [PubMed Central]
- Mitsubori, M.; Takeda, K.; Nagashima, S.; Ishido, S.; Matsuoka, M.; Inatome, R.; Yanagi, S. Identification of highest neurotoxic amyloid-β plaque type showing reduced contact with astrocytes. Biochem. Biophys. Res. Commun. 2021, 549, 67–74. [Google Scholar] [CrossRef] [PubMed]
- Serrano-Pozo, A.; Mielke, M.L.; Gómez-Isla, T.; Betensky, R.A.; Growdon, J.H.; Frosch, M.P.; Hyman, B.T. Reactive glia not only associates with plaques but also parallels tangles in Alzheimer’s disease. Am. J. Pathol. 2011, 179, 1373–1384. [Google Scholar] [CrossRef] [PubMed] [PubMed Central]
- Rodríguez, J.J.; MButt, A.; Gardenal, E.; Parpura, V.; Verkhratsky, A. Complex and differential glial responses in alzheimer´s disease and ageing. Curr. Alzheimer Res. 2016, 13, 343–358. [Google Scholar] [CrossRef] [PubMed]
- Kim, J.H.; Michiko, N.; Choi, I.S.; Kim, Y.; Jeong, J.Y.; Lee, M.G.; Jang, I.S.; Suk, K. Aberrant activation of hippocampal astrocytes causes neuroinflammation and cognitive decline in mice. PLoS. Biol. 2024, 22, e3002687. [Google Scholar] [CrossRef] [PubMed] [PubMed Central]
- Toledano, A.; Álvarez, M.I.; López-Rodríguez, A.B.; Toledano-Díaz, A.; Fernández-Verdecia, C.I. Does Alzheimer’s disease exist in all primates? Alzheimer pathology in non-human primates and its pathophysiological implications (II). Neurologia 2014, 29, 42–55. [Google Scholar] [CrossRef] [PubMed]
- Toledano, A.; Alvarez, M.I.; López-Rodríguez, A.B.; Toledano-Díaz, A.; Fernández-Verdecia, C.I. Does Alzheimer’s disease exist in all primates? Alzheimer pathology in non-human primates and its pathophysiological implications (I). Neurologia 2012, 27, 354–369. [Google Scholar] [CrossRef] [PubMed]
- Beckman, D.; Chakrabarty, P.; Ott, S.; Dao, A.; Zhou, E.; Janssen, W.G.; Donis-Cox, K.; Muller, S.; Kordower, J.H.; Morrison, J.H. A novel tau-based rhesus monkey model of Alzheimer’s pathogenesis. Alzheimers Dement. 2021, 17, 933–945. [Google Scholar] [CrossRef] [PubMed] [PubMed Central]
- Dean, D.C.; Hurley, S.A.; Kecskemeti, S.R.; O’Grady, J.P.; Canda, C.; Davenport-Sis, N.J.; Carlsson, C.M.; Zetterberg, H.; Blennow, K.; Asthana, S.; et al. Association of amyloid pathology with myelin alteration in preclinical Alzheimer Disease. JAMA. Neurol. 2017, 74, 41–49. [Google Scholar] [CrossRef] [PubMed] [PubMed Central]
- Lorenzini, L.; Fernandez, M.; Baldassarro, V.A.; Bighinati, A.; Giuliani, A.; Calzà, L.; Giardino, L. White matter and neuroprotection in Alzheimer’s Dementia. Molecules 2020, 25, 503. [Google Scholar] [CrossRef] [PubMed]
- Zou, P.; Wu, C.; Liu, T.C.; Duan, R.; Yang, L. Oligodendrocyte progenitor cells in Alzheimer’s disease: From physiology to pathology. Transl. Neurodegener. 2023, 14, 1. [Google Scholar] [CrossRef] [PubMed] [PubMed Central]
- Wright, R. Myelin and Alzheimer’s disease. Nat. Neurosci. 2023, 26, 2048. [Google Scholar] [CrossRef]
- Nasrabady, S.E.; Rizvi, B.; Goldman, J.E.; Brickman, A.M. White matter changes in Alzheimer’s disease: A focus on myelin and oligodendrocytes. Acta Neuropathol. Commun. 2018, 6, 22. [Google Scholar] [CrossRef]
- Saito, E.R.; Miller, J.B.; Harari, O.; Cruchaga, C.; Mihindukulasuriya, K.A.; Kauwe, J.S.; Bikman, B.T. Alzheimer’s disease alters oligodendrocytic glycolytic and ketolytic gene expression. Alzheimers Dement. 2021, 17, 1474–1486. [Google Scholar] [CrossRef] [PubMed] [PubMed Central]
- Rivera, A.; Vanzuli, I.; Julio Rodríguez Arellano, J.; Butt, A. Decreased regenerative capacity of oligodendrocyte progenitor cells (NG2-Glia) in the ageing brain: A vicious cycle of synaptic dysfunction, myelin loss and neuronal disruption? Cur. Alzheimer Res. 2016, 13, 413–418. [Google Scholar] [CrossRef] [PubMed]
- Butt, A.M.; De La Rocha, I.C.; Rivera, A. Oligodendroglial cells in Alzheimer’s disease. Adv. Exp. Med. Biol. 2019, 1175, 325–333. [Google Scholar] [CrossRef]
- Spaas, J.; Van Veggel, L.; Schepers, M.; Tiane, A.; Van Horssen, J.; Wilson, I.I.I.D.M.; Moya, P.R.; Piccart, E.; Hellings, N.; Eijnde, B.O.; et al. Oxidative stress and impaired oligodendrocyte precursor cell differentiation in neurological disorders. Cell. Mol. Life Sci. 2021, 78, 4615–4637. [Google Scholar] [CrossRef] [PubMed] [PubMed Central]
- Vanzulli, I.; Papanikolaou, M.; De-La-Rocha, I.C.; Pieropan, F.; Rivera, A.D.; Gomez-Nicola, D.; Verkhratsky, A.; Rodríguez, J.J.; Butt, A.M. Disruption of oligodendrocyte progenitor cells is an early sign of pathology in the triple transgenic mouse model of Alzheimer’s disease. Neurobiol. Aging. 2020, 94, 130–139. [Google Scholar] [CrossRef]
- Hansen, D.V.; Hanson, J.E.; Sheng, M. Microglia in Alzheimer’s disease. J. Cell. Biol. 2018, 217, 459–472. [Google Scholar] [CrossRef]
- McFarland, K.N.; Chakrabarty, P. Microglia in Alzheimer’s Disease: A key player in the transition between homeostasis and pathogenesis. Neurotherapeutics 2022, 19, 186–208. [Google Scholar] [CrossRef] [PubMed]
- Deng, Q.; Wu, C.; Parker, E.; Liu, T.C.; Duan, R.; Yang, L. Microglia and astrocytes in Alzheimer’s disease: Significance and summary of recent advances. Aging Dis. 2024, 15, 1537–1564. [Google Scholar] [CrossRef] [PubMed]
- Butler, C.A.; Popescu, A.S.; Kitchener, E.J.; Allendorf, D.H.; Puigdellívol, M.; Brown, G.C. Microglial phagocytosis of neurons in neurodegeneration, and its regulation. J. Neurochem. 2021, 158, 621–639. [Google Scholar] [CrossRef] [PubMed]
- Franco, R.; Lillo, A.; Rivas-Santisteban, R.; Reyes-Resina, I.; Navarro, G. Microglial adenosine receptors: From preconditioning to modulating the M1/M2 balance in activated cells. Cells 2021, 10, 1124. [Google Scholar] [CrossRef] [PubMed]
- Kaur, S.K.M.; Sharma, A.; Giridharan, V.V.; Dandekar, M.P. Brain resident microglia in Alzheimer’s disease: Foe or friends. Inflammopharmacology 2024, 32, 2781–2800. [Google Scholar] [CrossRef]
- Réu, P.; Khosravi, A.; Bernard, S.; Mold, J.E.; Salehpour, M.; Alkass, K.; Perl, S.; Tisdale, J.; Possnert, G.; Druid, H.; et al. The lifespan and turnover of microglia in the human brain. Cell Rep. 2017, 20, 779–784. [Google Scholar] [CrossRef]
- Fujikawa, R.; Tsuda, M. The Functions and phenotypes of microglia in Alzheimer’s Disease. Cells 2023, 12, 1207. [Google Scholar] [CrossRef]
- El Hajj, H.; Savage, J.C.; Bisht, K.; Parent, M.; Vallières, L.; Rivest, S.; Tremblay, M.È. Ultrastructural evidence of microglial heterogeneity in Alzheimer’s disease amyloid pathology. J. Neuroinflamm. 2019, 16, 87. [Google Scholar] [CrossRef]
- Hailer, N.P.; Grampp, A.; Nitsch, R. Proliferation of microglia and astrocytes in the dentate gyrus following entorhinal cortex lesion: A quantitative bromodeoxyuridine-labelling study. Eur. J. Neurosci. 1999, 11, 3359–3364. [Google Scholar] [CrossRef]
- Cameron, B.; Tse, W.; Lamb, R.; Li, X.; Lamb, B.T.; Landreth, G.E. Loss of interleukin receptor-associated kinase 4 signaling suppresses amyloid pathology and alters microglial phenotype in a mouse model of Alzheimer’s disease. J. Neurosci. 2012, 32, 15112–15123. [Google Scholar] [CrossRef]
- Wang, C.; Zong, S.; Cui, X.; Wang, X.; Wu, S.; Wang, L.; Liu, Y.; Lu, Z. The effects of microglia-associated neuroinflammation on Alzheimer’s disease. Front. Immunol. 2023, 14, 1117172. [Google Scholar] [CrossRef] [PubMed]
- Grubman, A.; Chew, G.; Ouyang, J.F.; Sun, G.; Choo, X.Y.; McLean, C.; Simmons, R.K.; Buckberry, S.; Vargas-Landin, D.B.; Poppe, D.; et al. A single-cell atlas of entorhinal cortex from individuals with Alzheimer’s disease reveals cell-type-specific gene expression regulation. Nat. Neurosci. 2019, 22, 2087–2097. [Google Scholar] [CrossRef] [PubMed]
- Olah, M.; Menon, V.; Habib, N.; Taga, M.F.; Ma, Y.; Yung, C.J.; Cimpean, M.; Khairallah, A.; Coronas-Samano, G.; Sankowski, R.; et al. Single cell RNA sequencing of human microglia uncovers a subset associated with Alzheimer’s disease. Nat. Commun. 2020, 11, 6129. [Google Scholar] [CrossRef] [PubMed]
- Eskandari-Sedighi, G.; Jung, J.; Macauley, M.S. CD33 isoforms in microglia and Alzheimer’s disease: Friend and foe. Mol. Aspects Med. 2023, 90, 101111. [Google Scholar] [CrossRef] [PubMed]
- Liang, X.; Wu, H.; Colt, M.; Guo, X.; Pluimer, B.; Zeng, J.; Dong, S.; Zhao, Z. Microglia and its genetics in Alzheimer’s Disease. Curr. Alzheimer. Res. 2021, 18, 676–688. [Google Scholar] [CrossRef]
- Orre, M.; Kamphuis, W.; Osborn, L.M.; Jansen, A.H.; Kooijman, L.; Bossers, K.; Hol, E.M. Isolation of glia from Alzheimer’s mice reveals inflammation and dysfunction. Neurobiol. Aging 2014, 35, 2746–2760. [Google Scholar] [CrossRef]
- Guerreiro, R.; Wojtas, A.; Bras, J.; Carrasquillo, M.; Rogaeva, E.; Majounie, E.; Cruchaga, C.; Sassi, C.; Kauwe, J.S.; Younkin, S.; et al. TREM2 variants in Alzheimer’s disease. N. Engl. J. Med. 2013, 368, 117–127. [Google Scholar] [CrossRef]
- Jonsson, T.; Stefansson, H.; Steinberg, S.; Jonsdottir, I.; Jonsson, P.V.; Snaedal, J.; Bjornsson, S.; Huttenlocher, J.; Levey, A.I.; Lah, J.J.; et al. Variant of TREM2 associated with the risk of Alzheimer’s disease. N. Engl. J. Med. 2013, 368, 107–116. [Google Scholar] [CrossRef]
- Yeh, F.L.; Hansen, D.V.; Sheng, M. TREM2, microglia, and neurodegenerative diseases. Trends. Mol. Med. 2017, 23, 512–533. [Google Scholar] [CrossRef]
- Wang, Y.; Ulland, T.K.; Ulrich, J.D.; Song, W.; Tzaferis, J.A.; Hole, J.T.; Yuan, P.; Mahan, T.E.; Shi, Y.; Gilfillan, S.; et al. TREM2-mediated early microglial response limits diffusion and toxicity of amyloid plaques. J. Exp. Med. 2016, 213, 667–675. [Google Scholar] [CrossRef]
- Zhou, Y.; Song, W.M.; Andhey, P.S.; Swain, A.; Levy, T.; Miller, K.R.; Poliani, P.L.; Cominelli, M.; Grover, S.; Gilfillan, S.; et al. Human and mouse single-nucleus transcriptomics reveal TREM2-dependent and TREM2-independent cellular responses in Alzheimer’s disease. Nat. Med. 2020, 26, 131–142. [Google Scholar] [CrossRef] [PubMed]
- Qin, Q.; Teng, Z.; Liu, C.; Li, Q.; Yin, Y.; Tang, Y. TREM2, microglia, and Alzheimer’s disease. Mech. Ageing. Dev. 2021, 195, 111438. [Google Scholar] [CrossRef] [PubMed]
- Yuan, P.; Condello, C.; Keene, C.D.; Wang, Y.; Bird, T.D.; Paul, S.M.; Luo, W.; Colonna, M.; Baddeley, D.; Grutzendler, J. TREM2 haplodeficiency in mice and humans impairs the microglia barrier function leading to decreased amyloid compaction and severe axonal dystrophy. Neuron 2016, 90, 724–739. [Google Scholar] [CrossRef]
- D’Egidio, F.; Castelli, V.; d’Angelo, M.; Ammannito, F.; Quintiliani, M.; Cimini, A. Brain incoming call from glia during neuroinflammation: Roles of extracellular vesicles. Neurobiol. Dis. 2024, 201, 106663. [Google Scholar] [CrossRef] [PubMed]
- Alrouji, M.; Al-Kuraishy, H.M.; Al-Gareeb, A.I.; Alexiou, A.; Papadakis, M.; Saad, H.M.; Batiha, G.E. The potential role of human islet amyloid polypeptide in type 2 diabetes mellitus and Alzheimer’s diseases. Diabetol. Metab. Syndr. 2023, 15, 101. [Google Scholar] [CrossRef] [PubMed]
- Jackson, K.; Barisone, G.A.; Diaz, E.; Jin, L.W.; DeCarli, C.; Despa, F. Amylin deposition in the brain: A second amyloid in Alzheimer disease? Ann. Neurol. 2013, 74, 517–526. [Google Scholar] [CrossRef] [PubMed]
- Oskarsson, M.E.; Paulsson, J.F.; Schultz, S.W.; Ingelsson, M.; Westermark, P.; Westermark, G.T. In vivo seeding and cross-seeding of localized amyloidosis: A molecular link between type 2 diabetes and Alzheimer disease. Am. J. Pathol. 2015, 185, 834–846. [Google Scholar] [CrossRef]
- Verma, N.; Ly, H.; Liu, M.; Chen, J.; Zhu, H.; Chow, M.; Hersh, L.B.; Despa, F. Intraneuronal Amylin Deposition, Peroxidative Membrane Injury and Increased IL-1β Synthesis in Brains of Alzheimer’s Disease Patients with Type-2 Diabetes and in Diabetic HIP Rats. J. Alzheimers Dis. 2016, 53, 259–272. [Google Scholar] [CrossRef]
- Westermark, P.; Andersson, A.; Westermark, G.T. Islet amyloid polypeptide, islet amyloid, and diabetes mellitus. Physiol. Rev. 2011, 91, 795–826. [Google Scholar] [CrossRef]
- Wang, Y.; Westermark, G.T. The Amyloid Forming Peptides Islet Amyloid Polypeptide and Amyloid β Interact at the Molecular Level. Int. J. Mol. Sci. 2021, 22, 11153. [Google Scholar] [CrossRef]
- Martinez-Valbuena, I.; Valenti-Azcarate, R.; Amat-Villegas, I.; Riverol, M.; Marcilla, I.; de Andrea, C.E.; Sánchez-Arias, J.A.; del Mar Carmona-Abellan, M.; Marti, G.; Erro, M.E.; et al. Amylin as a potential link between type 2 diabetes and Alzheimer disease. Ann. Neurol. 2019, 86, 539–551. [Google Scholar] [CrossRef] [PubMed]
- Ly, H.; Verma, N.; Wu, F.; Liu, M.; Saatman, K.E.; Nelson, P.T.; Slevin, J.T.; Goldstein, L.B.; Biessels, G.J.; Despa, F. Brain microvascular injury and white matter disease provoked by diabetes-associated hyperamylinemia. Ann. Neurol. 2017, 82, 208–222. [Google Scholar] [CrossRef] [PubMed]
- Guerrero-Berroa, E.; Schmeidler, J.; Beeri, M.S. Neuropathology of type 2 diabetes: A short review on insulin-related mechanisms. Eur. Neuropsychopharmacol. 2014, 24, 1961–1966. [Google Scholar] [CrossRef] [PubMed]
- Srodulski, S.; Sharma, S.; Bachstetter, A.B.; Brelsfoard, J.M.; Pascual, C.; Xie, X.S.; Saatman, K.E.; Van Eldik, L.J.; Despa, F. Neuroinflammation and neurologic deficits in diabetes linked to brain accumulation of amylin. Mol. Neurodegener. 2014, 9, 30. [Google Scholar] [CrossRef] [PubMed]
- Pruzin, J.J.; Nelson, P.T.; Abner, E.L.; Arvanitakis, Z. Review: Relationship of type 2 diabetes to human brain pathology. Neuropathol. Appl. Neurobiol. 2018, 44, 347–362. [Google Scholar] [CrossRef]
- Despa, F.; Goldstein, L.B. Amylin dyshomeostasis hypothesis: Small vessel-type ischemic stroke in the setting of type-2 diabetes. Stroke 2021, 52, e244–e249. [Google Scholar] [CrossRef]
- Schultz, N.; Byman, E.; Fex, M.; Wennstrom, M. Amylin alters human brain pericyte viability and NG2 expression. J. Cereb. Blood. Flow Metab. 2017, 37, 1470–1482. [Google Scholar] [CrossRef]
- Berumen, J.; Orozco, L.; Gallardo-Rincón, H.; Rivas, F.; Barrera, E.; Benuto, R.E.; García-Ortiz, H.; Marin-Medina, M.; Juárez-Torres, E.; Alvarado-Silva, A.; et al. Sex differences in the influence of type 2 diabetes (T2D)-related genes, parental history of T2D, and obesity on T2D development: A case-control study. Biol. Sex. Differ. 2023, 14, 39. [Google Scholar] [CrossRef]
- Sun, Z.; Liu, Y.; Zhao, Y.; Xu, Y. Animal Models of Type 2 Diabetes Complications: A Review. Endocr. Res. 2024, 49, 46–58. [Google Scholar] [CrossRef]
- Stott, N.L.; Marino, J.S. High Fat Rodent Models of Type 2 Diabetes: From Rodent to Human. Nutrients 2020, 12, 3650. [Google Scholar] [CrossRef]
- Moroz, N.; Tong, M.; Longato, L.; Xu, H.; de la Monte, S.M. Limited Alzheimer-type neurodegeneration in experimental obesity and type 2 diabetes mellitus. J. Alzheimers Dis. 2008, 15, 29–44. [Google Scholar] [CrossRef] [PubMed]
- Jiménez-Palomares, M.; Ramos-Rodríguez, J.J.; López-Acosta, J.F.; Pacheco-Herrero, M.; Lechuga-Sancho, A.M.; Perdomo, G.; García-Alloza, M.; Cózar-Castellano, I. Increased Aβ production prompts the onset of glucose intolerance and insulin esistance. Am. J. Physiol. Endocrinol. Metab. 2012, 302, E1373–E1380. [Google Scholar] [CrossRef] [PubMed]
- Wiedemann, S.J.; Trimigliozzi, K.; Dror, E.; Meier, D.T.; Molina-Tijeras, J.A.; Rachid, L.; Le Foll, C.; Magnan, C.; Schulze, F.; Stawiski, M.; et al. The cephalic phase of insulin release is modulated by IL-1β. Cell. Metab. 2022, 34, 991–1003.e6. [Google Scholar] [CrossRef] [PubMed]
- Duarte, I.; de Souza, M.C.; Curinga, R.M.; Mendonça, H.M.; de Oliveira, L.D.; Milenkovic, D.; Hassimotto, N.M.; Costa, A.M.; Malaquias, J.V.; dos Santos Borges, T.K. Effect of Passiflora setacea juice and its phenolic metabolites on insulin resistance markers in overweight individuals and on microglial cell activity. Food Funct. 2022, 13, 6498–6509. [Google Scholar] [CrossRef] [PubMed]
- Banerjee, J.; Dorfman, M.D.; Fasnacht, R.; Douglass, J.D.; Wyse-Jackson, A.C.; Barria, A.; Thaler, J.P. CX3CL1 Action on Microglia Protects from Diet-Induced Obesity by Restoring POMC Neuronal Excitability and Melanocortin System Activity Impaired. by High-Fat Diet Feeding. Int. J. Mol. Sci. 2022, 23, 6380. [Google Scholar] [CrossRef]
- Chen, W.; Huang, Q.; Lazdon, E.K.; Gomes, A.; Wong, M.; Stephens, E.; Royal, T.G.; Frenkel, D.; Cai, W.; Kahn, C.R. Loss of insulin signaling in astrocytes exacerbates Alzheimer-like phenotypes in a 5xFAD mouse model. Proc. Natl. Acad. Sci. USA 2023, 120, e2220684120. [Google Scholar] [CrossRef]
- Ahn, K.C.; Learman, C.R.; Dunbar, G.L.; Maiti, P.; Jang, W.C.; Cha, H.C.; Song, M.S. Characterization of Impaired Cerebrovascular Structure in APP/PS1 Mouse Brains. Neuroscience 2018, 385, 246–254. [Google Scholar] [CrossRef]
- Gorbatenko, V.O.; Goriainov, S.V.; Babenko, V.A.; Plotnikov, E.Y.; Sergeeva, M.G.; Chistyakov, D.V. Anti-Inflammatory Properties of Metformin During Cultivation of Primary Rat Astrocytes in a Medium with High Glucose Concentration. Biochemistry 2022, 87, 577–589. [Google Scholar] [CrossRef]
- Wang, L.P.; Geng, J.; Liu, C.; Wang, Y.; Zhang, Z.; Yang, G.Y. Diabetes Mellitus-related neurobehavioral deficits in mice are associated with oligodendrocyte precursor cell dysfunction. Front. Aging Neurosci. 2022, 14, 846739. [Google Scholar] [CrossRef]
- Natunen, T.; Martiskainen, H.; Marttinen, M.; Gabbouj, S.; Koivisto, H.; Kemppainen, S.; Kaipainen, S.; Takalo, M.; Svobodová, H.; Leppänen, L.; et al. Diabetic phenotype in mouse and humans reduces the number of microglia around β-amyloid plaques. Mol. Neurodegener. 2020, 15, 66. [Google Scholar] [CrossRef]
- Patel, Y.; Woo, A.; Shi, S.; Ayoub, R.; Shin, J.; Botta, A.; Ketela, T.; Sung, H.K.; Lerch, J.; Nieman, B.; et al. Obesity and the cerebral cortex: Underlying neurobiology in mice and humans. Brain Behav. Immun. 2024, 119, 637–647. [Google Scholar] [CrossRef] [PubMed]
- Lin, L.; Basu, R.; Chatterjee, D.; Templin, A.T.; Flak, J.N.; Johnson, T.S. Disease-associated astrocytes and microglia markers are upregulated in mice fed high fat diet. Sci. Rep. 2023, 13, 12919. [Google Scholar] [CrossRef] [PubMed]
- Barthold, D.; Gibbons, L.E.; Marcum, Z.A.; Gray, S.L.; Dirk Keene, C.; Grabowski, T.J.; Postupna, N.; Larson, E.B.; Crane, P.K. Alzheimer’s disease-related neuropathology among patients with medication treated type 2 diabetes in a community-based autopsy cohort. J. Alzheimer Dis. 2021, 83, 1303–1312. [Google Scholar] [CrossRef] [PubMed]
- Beeri, M.S.; Schmeidler, J.; Silverman, J.M.; Gandy, S.; Wysocki, M.; Hannigan, C.M.; Purohit, D.P.; Lesser, G.; Grossman, H.T.; Haroutunian, V. Insulin in combination with other diabetes medication is associated with less Alzheimer neuropathology. Neurology 2008, 71, 750–757. [Google Scholar] [CrossRef]
- Chau, A.C.M.; Cheung, E.Y.W.; Chan, K.H.; Chow, W.S.; Shea, Y.F.; Chiu, P.K.C.; Mak, H.K.F. Impaired cerebral blood flow in type 2 diabetes mellitus—A comparative study with subjective cognitive decline, vascular dementia and Alzheimer’s disease subjects. Neuroimage Clin. 2020, 27, 102302. [Google Scholar] [CrossRef]
- Shen, Z.; Li, Z.Y.; Yu, M.T.; Tan, K.L.; Chen, S. Metabolic perspective of astrocyte dysfunction in Alzheimer’s disease and type 2 diabetes brains. Biomed. Pharmacother. 2023, 158, 114206. [Google Scholar] [CrossRef]
- Kumar, A.; Fontana, I.C.; Nordberg, A. Reactive astrogliosis: A friend or foe in the pathogenesis of Alzheimer’s disease. J. Neurochem. 2023, 164, 309–324. [Google Scholar] [CrossRef]
- Moyse, E.; Haddad, M.; Benlabiod, C.; Ramassamy, C.; Krantic, S. Common Pathological Mechanisms and Risk Factors for Alzheimer’s Disease and Type-2 Diabetes: Focus on Inflammation. Curr. Alzheimer Res. 2019, 16, 986–1006. [Google Scholar] [CrossRef]
- Kacířová, M.; Zmeškalová, A.; Kořínková, L.; Železná, B.; Kuneš, J.; Maletínská, L. Inflammation: Major denominator of obesity, Type 2 diabetes and Alzheimer’s disease-like pathology? Clin. Sci. 2020, 134, 547–570. [Google Scholar] [CrossRef]
- Ho, L.; Qin, W.; Pompl, P.N.; Xiang, Z.; Wang, J.; Zhao, Z.; Peng, Y.; Cambareri, G.; Rocher, A.; Mobbs, C.V.; et al. Diet-induced insulin resistance promotes amyloidosis in a transgenic mouse model of Alzheimer’s disease. FASEB J. 2004, 18, 902–904. [Google Scholar] [CrossRef]
- Meng, F.; Fu, J.; Zhang, L.; Guo, M.; Zhuang, P.; Yin, Q.; Zhang, Y. Function and therapeutic value of astrocytes in diabetic cognitive impairment. Neurochem. Int. 2023, 169, 105591. [Google Scholar] [CrossRef] [PubMed]
- Edler, M.K.; Munger, E.L.; Maycon, H.; Hopkins, W.D.; Hof, P.R.; Sherwood, C.C.; Raghanti, M.A. The association of astrogliosis and microglial activation with aging and Alzheimer’s disease pathology in the chimpanzee brain. J. Neurosci. Res. 2023, 101, 881–900. [Google Scholar] [CrossRef] [PubMed]
- Huang, X.; Huang, S.; Fu, F.; Song, J.; Zhang, Y.; Yue, F. Characterization of preclinical Alzheimer’s disease model: Spontaneous type 2 diabetic cynomolgus monkeys with systemic pro-inflammation, positive biomarkers and developing AD-like pathology. Alzheimers Res. Ther. 2024, 16, 52. [Google Scholar] [CrossRef] [PubMed]
- Hayden, M.R. Type 2 Diabetes Mellitus Increases the risk of Late-Onset alzheimer’s Disease: Ultrastructural Remodeling of the Neurovascular Unit and Diabetic Gliopathy. Brain Sci. 2019, 9, 262. [Google Scholar] [CrossRef] [PubMed]
- Velazquez, R.; Tran, A.; Ishimwe, E.; Denner, L.; Dave, N.; Oddo, S.; Dineley, K.T. Central insulin dysregulation and energy dyshomeostasis in two mouse models of Alzheimer’s disease. Neurobiol. Aging 2017, 58, 1–13. [Google Scholar] [CrossRef]
- Pedrós, I.; Petrov, D.; Allgaier, M.; Sureda, F.; Barroso, E.; Beas-Zarate, C.; Auladell, C.; Pallàs, M.; Vázquez-Carrera, M.; Casadesús, G.; et al. Early alterations in energy metabolism in the hippocampus of APPswe/PS1dE9 mouse model of Alzheimer’s disease. Biochim. Biophys. Acta 2014, 1842, 1556–1566. [Google Scholar] [CrossRef]
- Hooijmans, C.R.; Van der Zee, C.E.; Dederen, P.J.; Brouwer, K.M.; Reijmer, Y.D.; Van Groen, T.; Broersen, L.M.; Lütjohann, D.; Heerschap, A.; Kiliaan, A.J. DHA and cholesterol containing diets influence Alzheimer-like pathology, cognition and cerebral vasculature in APPswe/PS1dE9 mice. Neurobiol. Dis. 2009, 33, 482–498. [Google Scholar] [CrossRef]
- Xi, X.X.; Sun, J.; Chen, H.C.; Chen, A.D.; Gao, L.P.; Yin, J.; Jing, Y.H. High-fat diet increases amylin accumulation in the hippocampus and accelerates brain aging in hIAPP transgenic mice. Front. Aging Neurosci. 2019, 11, 225. [Google Scholar] [CrossRef]
- Knight, E.M.; Martins, I.V.; Gümüsgöz, S.; Allan, S.M.; Lawrence, C.B. High-fat diet-induced memory impairment in triple-transgenic Alzheimer’s disease (3xTgAD) mice is independent of changes in amyloid and tau pathology. Neurobiol. Aging 2014, 35, 1821–1832. [Google Scholar] [CrossRef]
- Liang, Z.; Gong, X.; Zhao, Y.; Zhao, Y.; Yu, J.; Huang, T.; Yang, C.; Wu, L.; Huang, M.; Wang, X.; et al. Long-term high-fat diet consumption aggravates β-amyloid deposition and tau pathology accompanied by microglial activation in an Alzheimer’s disease model. Mol. Nutr. Food. Res. 2024, 68, e2300669. [Google Scholar] [CrossRef]
- Leboucher, A.; Laurent, C.; Fernandez-Gomez, F.J.; Burnouf, S.; Troquier, L.; Eddarkaoui, S.; Demeyer, D.; Caillierez, R.; Zommer, N.; Vallez, E.; et al. Detrimental effects of diet-induced obesity on τ pathology are independent of insulin resistance in τ transgenic mice. Diabetes 2013, 62, 1681–1688. [Google Scholar] [CrossRef] [PubMed]
- Zhou, Z.; Ikegaya, Y.; Koyama, R. The Astrocytic cAMP pathway in health and disease. Int. J. Mol. Sci. 2019, 20, 779. [Google Scholar] [CrossRef] [PubMed]
- Nowell, J.; Blunt, E.; Gupta, D.; Edison, P. Antidiabetic agents as a novel treatment for Alzheimer’s and Parkinson’s disease. Ageing Res. Rev. 2023, 89, 101979. [Google Scholar] [CrossRef] [PubMed]
- Birajdar, S.V.; Mazahir, F.; Alam, M.I.; Kumar, A.; Yadav, A.K. Repurposing and clinical attributes of antidiabetic drugs for the treatment of neurodegenerative disorders. Eur. J. Pharmacol. 2023, 961, 176117. [Google Scholar] [CrossRef]
- Michailidis, M.; Tata, D.A.; Moraitou, D.; Kavvadas, D.; Karachrysafi, S.; Papamitsou, T.; Vareltzis, P.; Papaliagkas, V. Antidiabetic drugs in the treatment of Alzheimer’s disease. Int. J. Mol. Sci. 2022, 23, 4641. [Google Scholar] [CrossRef]
- Katsenos, A.P.; Davri, A.S.; Simos, Y.V.; Nikas, I.P.; Bekiari, C.; Paschou, S.A.; Peschos, D.; Konitsiotis, S.; Vezyraki, P.; Tsamis, K.I. New treatment approaches for Alzheimer’s disease: Preclinical studies and clinical trials centered on antidiabetic drugs. Expert. Opin. Investig. Drugs 2022, 31, 105–123. [Google Scholar] [CrossRef]
- Nakanishi, K.; Norimatsu, K.; Tani, A.; Matsuoka, T.; Matsuzaki, R.; Kakimoto, S.; Nojima, N.; Tachibe, Y.; Kato, Y.; Inadome, M.; et al. Effects of early exercise intervention and exercise cessation on neuronal loss and neuroinflammation in a senescence-accelerated mouse prone 8. Neurosci. Lett. 2023, 808, 137297. [Google Scholar] [CrossRef]
- Toledano-Díaz, A.; Álvarez, M.I.; Toledano, A. The relationships between neuroglial and neuronal changes in Alzheimer’s disease, and the related controversies II: Gliotherapies and multimodal therapy. J. Cent. Nerv. Syst. Dis. 2022, 14, 11795735221123896. [Google Scholar] [CrossRef] [PubMed] [PubMed Central]
- Monteiro, A.R.; Barbosa, D.J.; Remião, F.; Silva, R. Alzheimer’s disease: Insights and new prospects in disease pathophysiology, biomarkers and disease-modifying drugs. Biochem. Pharmacol. 2023, 211, 115522. [Google Scholar] [CrossRef] [PubMed]
- Lepiarz-Raba, I.; Gbadamosi, I.; Florea, R.; Paolicelli, R.C.; Jawaid, A. Metabolic regulation of microglial phagocytosis: Implications for Alzheimer’s disease therapeutics. Transl. Neurodegener. 2023, 12, 48. [Google Scholar] [CrossRef]
- Tiwari, R.K.; Moin, A.; Rizvi, S.M.D.; Shahid, S.M.A. Modulating neuroinflammation in neurodegeneration-related dementia: Can microglial toll-like receptors pull the plug? Metab. Brain. Dis. 2021, 36, 829–847. [Google Scholar] [CrossRef] [PubMed]
- Chen, Z.; Yuan, Z.; Yang, S.; Zhu, Y.; Xue, M.; Zhang, J.; Leng, L. Brain Energy Metabolism: Astrocytes in Neurodegenerative Diseases. CNS Neurosci. Ther. 2023, 29, 24–36. [Google Scholar] [CrossRef] [PubMed]
- Zhang, Y.M.; Qi, Y.B.; Gao, Y.N.; Chen, W.G.; Zhou, T.; Zang, Y.; Li, J. Astrocyte metabolism and signaling pathways in the CNS. Front. Neurosci. 2023, 17, 1217451. [Google Scholar] [CrossRef] [PubMed]
- Uddin, M.S.; Lim, L.W. Glial cells in Alzheimer’s disease: From neuropathological changes to therapeutic implications. Ageing Res. Rev. 2022, 78, 101622. [Google Scholar] [CrossRef] [PubMed]
- Sanchez-Ramos, J.; Song, S.; Sava, V.; Catlow, B.; Lin, X.; Mori, T.; Cao, C.; Arendash, G.W. Granulocyte colony stimulating factor decreases brain amyloid burden and reverses cognitive impairment in Alzheimer’s mice. Neuroscience 2009, 163, 55–72. [Google Scholar] [CrossRef]
- Ni, J.; Xie, Z.; Quan, Z.; Meng, J.; Qing, H. How brain ’cleaners’ fail: Mechanisms and therapeutic value of microglial phagocytosis in Alzheimer’s disease. Glia 2024, 72, 227–244. [Google Scholar] [CrossRef]
- Ou-Yang, P.; Cai, Z.Y.; Zhang, Z.H. Molecular regulation mechanism of microglial autophagy in the pathology of Alzheimer’s disease. Aging Dis. 2023, 14, 1166–1177. [Google Scholar] [CrossRef]
- Gosslau, A.; Ozdogru, U.; Zachariah, E.; Li, S.; Ho, C.T. Effects of ibuprofen in the ZDF rat model of type 2 diabetes. J. Food Drug Anal. 2024, 32, 227–238. [Google Scholar] [CrossRef]
- Matsumoto, C.; Ogawa, H.; Saito, Y.; Okada, S.; Soejima, H.; Sakuma, M.; Masuda, I.; Nakayama, M.; Doi, N.; Jinnouchi, H.; et al. Sex difference in effects of low-dose aspirin on prevention of dementia in patients with type 2 diabetes: A long-term follow-up study of a randomized clinical trial. Diabetes Care 2020, 43, 314–320. [Google Scholar] [CrossRef]
- Nyambuya, T.M.; Dludla, P.V.; Mxinwa, V.; Mokgalaboni, K.; Ngcobo, S.R.; Tiano, L.; Nkambule, B.B. The impact of metformin and aspirin on T-cell mediated inflammation: A systematic review of in vitro and in vivo findings. Life Sci. 2020, 255, 117854. [Google Scholar] [CrossRef]
- Barzilay, J.I.; Jablonski, K.A.; Fonseca, V.; Shoelson, S.E.; Goldfine, A.B.; Strauch, C.; Monnier, V.M.; TINSAL-T2D Research Consortium. The impact of salsalate treatment on serum levels of advanced glycation end products in type 2 diabetes. Diabetes Care 2014, 37, 1083–1091. [Google Scholar] [CrossRef] [PubMed]
- Dhapola, R.; Hota, S.S.; Sarma, P.; Bhattacharyya, A.; Medhi, B.; Reddy, D.H. Recent advances in molecular pathways and therapeutic implications targeting neuroinflammation for Alzheimer’s disease. Inflammopharmacology 2021, 29, 1669–1681. [Google Scholar] [CrossRef] [PubMed]
- McGeer, P.L.; McGeer, E.G. NSAIDs and Alzheimer disease: Epidemiological, animal model and clinical studies. Neurobiol. Aging 2007, 28, 639–647. [Google Scholar] [CrossRef] [PubMed]
- Miguel-Álvarez, M.; Santos-Lozano, A.; Sanchis-Gomar, F.; Fiuza-Luces, C.; Pareja-Galeano, H.; Garatachea, N.; Lucia, A. Non-steroidal anti-inflammatory drugs as a treatment for Alzheimer’s disease: A systematic review and meta-analysis of treatment effect. Drugs Aging 2015, 32, 139–147. [Google Scholar] [CrossRef] [PubMed]
- Sanz-Blasco, S.; Calvo-Rodriguez, M.; Caballero, E.; Garcia-Durillo, M.; Nunez, L.; Villalobos, C. Is it all said for NSAIDs in Alzheimer’s Disease? Role of mitochondrial Calcium Uptake. Curr. Alzheimer Res. 2018, 15, 504–510. [Google Scholar] [CrossRef]
- Jaturapatporn, D.; Isaac, M.G.; McCleery, J.; Tabet, N. Aspirin, steroidal and non-steroidal anti-inflammatory drugs for the treatment of Alzheimer’s disease. Cochrane. Database Syst. Rev. 2012, 15, CD006378. [Google Scholar] [CrossRef]
- Jorda, A.; Aldasoro, M.; Aldasoro, C.; Guerra-Ojeda, S.; Iradi, A.; Vila, J.M.; Campos-Campos, J.; Valles, S.L. Action of low doses of Aspirin in Inflammation and Oxidative Stress induced by aβ 1-42 on Astrocytes in primary culture. Int. J. Med. Sci. 2020, 17, 834–843. [Google Scholar] [CrossRef]
- Chakrabarti, S.; Roy, A.; Prorok, T.; Patel, D.; Dasarathi, S.; Pahan, K. Aspirin up-regulates suppressor of cytokine signaling 3 in glial cells via PPARα. J. Neurochem. 2019, 151, 50–63. [Google Scholar] [CrossRef]
- Arias, A.M.; Romijn, J.A.; Corssmit, E.P.; Ackermans, M.T.; Nijpels, G.; Endert, E.; Sauerwein, H.P. Indomethacin decreases insulin secretion in patients with type 2 diabetes mellitus. Metabolism 2000, 49, 839–844. [Google Scholar] [CrossRef]
- Kisby, B.; Jarrell, J.T.; Agar, M.E.; Cohen, D.S.; Rosin, E.R.; Cahill, C.M.; Rogers, J.T.; Huang, X. Alzheimer’s Disease and its potential alternative therapeutics. J. Alzheimers Dis. Parkinsonism. 2019, 9, 477. [Google Scholar] [CrossRef]
- Karkhah, A.; Saadi, M.; Pourabdolhossein, F.; Saleki, K.; Nouri, H.R. Indomethacin attenuates neuroinflammation and memory impairment in an STZ-induced model of Alzheimer’s like disease. Immunopharmacol. Immunotoxicol. 2021, 43, 758–766. [Google Scholar] [CrossRef] [PubMed]
- Bernardi, A.; Frozza, R.L.; Meneghetti, A.; Hoppe, J.B.; Battastini, A.M.; Pohlmann, A.R.; Guterres, S.S.; Salbego, C.G. Indomethacin-loaded lipid-core nanocapsules reduce the damage triggered by Aβ1-42 in Alzheimer’s disease models. Int. J. Nanomed. 2012, 7, 4927–4942. [Google Scholar] [CrossRef] [PubMed]
- Wang, J.; Cheng, X.; Zhang, X.; Liu, G.; Wang, Y.; Zhou, W.; Zhang, Y. A combination of indomethacin and atorvastatin ameliorates cognitive and pathological deterioration in PrP-hAβPPswe/PS1ΔE9 transgenic mice. J. Neuroimmunol. 2019, 330, 108–115. [Google Scholar] [CrossRef] [PubMed]
- Guan, P.P.; Yang, L.Q.; Xu, G.B.; Wang, P. Indomethacin disrupts the formation of β-amyloid plaques via an α2-macroglobulin-activating lrp1-dependent mechanism. Int. J. Mol. Sci. 2021, 22, 8185. [Google Scholar] [CrossRef] [PubMed]
- Adamson, D.J.; Frew, D.; Tatoud, R.; Wolf, C.R.; Palmer, C.N. Diclofenac antagonizes peroxisome proliferator-activated receptor-gamma signaling. Mol. Pharmacol. 2002, 61, 7–12. [Google Scholar] [CrossRef]
- van Erk, M.J.; Wopereis, S.; Rubingh, C.; van Vliet, T.; Verheij, E.; Cnubben, N.H.; Pedersen, T.L.; Newman, J.W.; Smilde, A.K.; van der Greef, J.; et al. Insight in modulation of inflammation in response to diclofenac intervention: A human intervention study. BMC Med. Genomics 2010, 3, 5. [Google Scholar] [CrossRef]
- Stopschinski, B.E.; Weideman, R.A.; McMahan, D.; Jacob, D.A.; Little, B.B.; Chiang, H.S.; Saez Calveras, N.; Stuve, O. Microglia as a cellular target of diclofenac therapy in Alzheimer’s disease. Ther. Adv. Neurol. Disord. 2023, 16, 17562864231156674. [Google Scholar] [CrossRef]
- Tan, G.S.; Morton, J.I.; Wood, S.; Trevaskis, N.L.; Magliano, D.J.; Windsor, J.; Shaw, J.E.; Ilomäki, J. COX2 inhibitor use and type 2 diabetes treatment intensification: A registry-based cohort study. Diabetes Res. Clin. Pract. 2024, 207, 111082. [Google Scholar] [CrossRef]
- Kurhe, Y.; Mahesh, R.; Gupta, D. Effect of a selective cyclooxygenase type 2 inhibitor celecoxib on depression associated with obesity in mice: An approach using behavioral tests. Neurochem. Res. 2014, 39, 1395–1402. [Google Scholar] [CrossRef]
- Lu, C.H.; Hung, Y.J.; Hsieh, P.S. Additional effect of metformin and celecoxib against lipid dysregulation and adipose tissue inflammation in high-fat fed rats with insulin resistance and fatty liver. Eur. J. Pharmacol. 2016, 789, 60–67. [Google Scholar] [CrossRef]
- Soininen, H.; West, C.; Robbins, J.; Niculescu, L. Long-term efficacy and safety of celecoxib in Alzheimer’s disease. Dement. Geriatr. Cogn. Disord. 2007, 23, 8–21. [Google Scholar] [CrossRef] [PubMed]
- Gholizadeh, E.; Karbalaei, R.; Khaleghian, A.; Salimi, M.; Gilany, K.; Soliymani, R.; Tanoli, Z.; Rezadoost, H.; Baumann, M.; Jafari, M.; et al. Identification of celecoxib-targeted proteins using label-free thermal proteome profiling on rat hippocampus. Mol. Pharmacol. 2021, 99, 308–318. [Google Scholar] [CrossRef] [PubMed]
- Sharma, B.; Singh, N.; Singh, M. Modulation of celecoxib- and streptozotocin-induced experimental dementia of Alzheimer’s disease by pitavastatin and donepezil. J. Psychopharmacol. 2008, 22, 162–171. [Google Scholar] [CrossRef] [PubMed]
- Mhillaj, E.; Morgese, M.G.; Tucci, P.; Furiano, A.; Luongo, L.; Bove, M.; Maione, S.; Cuomo, V.; Schiavone, S.; Trabace, L. Celecoxib prevents cognitive impairment and neuroinflammation in soluble Amyloid β-treated rats. Neuroscience 2018, 372, 58–73. [Google Scholar] [CrossRef] [PubMed]
- Gao, X.; Sun, H.; Wei, Y.; Niu, J.; Hao, S.; Sun, H.; Tang, G.; Qi, C.; Ge, J. Protective effect of melatonin against metabolic disorders and neuropsychiatric injuries in type 2 diabetes mellitus mice. Phytomedicine 2024, 131, 155805. [Google Scholar] [CrossRef] [PubMed]
- Garaulet, M.; Qian, J.; Florez, J.C.; Arendt, J.; Saxena, R.; Scheer, F.A. Melatonin effects on glucose metabolism: Time to unlock the controversy. Trends Endocrinol. Metab. 2020, 31, 192–204. [Google Scholar] [CrossRef] [PubMed]
- Patel, R.; Parmar, N.; Palit, S.P.; Rathwa, N.; Ramachandran, A.V.; Begum, R. Diabetes mellitus and melatonin: Where are we? Biochimie. 2022, 202, 2–14. [Google Scholar] [CrossRef]
- Contreras-Alcantara, S.; Baba, K.; Tosini, G. Removal of melatonin receptor type 1 induces insulin resistance in the mouse. Obesity 2010, 18, 1861–1863. [Google Scholar] [CrossRef]
- Wang, T.; Wang, Z.; Cao, J.; Dong, Y.; Chen, Y. Melatonin prevents the dysbiosis of intestinal microbiota in sleep-restricted mice by improving oxidative stress and inhibiting inflammation. Saudi J. Gastroenterol. 2022, 28, 209. [Google Scholar] [CrossRef]
- Zhang, J.; Feng, M.; Kong, L. The Therapeutic potential of melatonin in Alzheimer’s disease: A comprehensive review. Curr. Med. Chem. 2024, 28. [Google Scholar] [CrossRef]
- Dhapola, R.; Beura, S.K.; Sharma, P.; Singh, S.K.; HariKrishnaReddy, D. Oxidative stress in Alzheimer’s disease: Current knowledge of signaling pathways and therapeutics. Mol. Biol. Rep. 2024, 51, 48. [Google Scholar] [CrossRef] [PubMed]
- Dhapola, R.; Beura, S.K.; Sharma, P.; Singh, S.K.; HariKrishnaReddy, D. Discovery of novel melatonin-mydroxyquinoline hybrids as multitarget strategies for Alzheimer’s disease therapy. Front. Chem. 2024, 12, 1374930. [Google Scholar] [CrossRef] [PubMed]
- Eid, S.A.; O’Brien, P.D.; Hinder, L.M.; Hayes, J.M.; Mendelson, F.E.; Zhang, H.; Narayanan, S.; Abcouwer, S.F.; Brosius, I.I.I.F.C.; Pennathur, S.; et al. Differential effects of minocycline on microvascular complications in murine models of type 1 and type 2 diabetes. J. Transl. Sci. 2021, 7, 10. [Google Scholar] [CrossRef] [PubMed]
- Coker, C.R.; White, M.; Singal, A.; Bingaman, S.S.; Paul, A.; Arnold, A.C.; Silberman, Y. Minocycline reduces hypothalamic microglia activation and improves metabolic dysfunction in high fat diet-induced obese mice. Front. Physiol. 2022, 13, 933706. [Google Scholar] [CrossRef]
- Howard, R.; Zubko, O.; Bradley, R.; Harper, E.; Pank, L.; O’brien, J.; Fox, C.; Tabet, N.; Livingston, G.; Bentham, P.; et al. Minocycline at 2 different dosages vs placebo for patients with mild Alzheimer disease: A randomized clinical trial. JAMA Neurol. 2020, 77, 164–174. [Google Scholar] [CrossRef]
- Noble, W.; Garwood, C.; Stephenson, J.; Kinsey, A.M.; Hanger, D.P.; Anderton, B.H. Minocycline reduces the development of abnormal tau species in models of Alzheimer’s disease. FASEB J. 2009, 23, 739–750. [Google Scholar] [CrossRef]
- Seabrook, T.J.; Jiang, L.; Maier, M.; Lemere, C.A. Minocycline affects microglia activation, Abeta deposition, and behavior in APP-tg mice. Glia 2006, 53, 776–782. [Google Scholar] [CrossRef]
- Budni, J.; LGarcez, M.; Medeiros, J.D.; Cassaro, E.; Bellettini-Santos, T.; Mina, F.; Quevedo, J. The anti-inflammatory role of minocycline in Alzheimer´s disease. Curr. Alzheimer. Res. 2016, 13, 1319–1329. [Google Scholar] [CrossRef]
- Ito, M.; Komai, K.; Mise-Omata, S.; Iizuka-Koga, M.; Noguchi, Y.; Kondo, T.; Sakai, R.; Matsuo, K.; Nakayama, T.; Yoshie, O.; et al. Brain regulatory T cells suppress astrogliosis and potentiate neurological recovery. Nature 2019, 565, 246–250. [Google Scholar] [CrossRef]
- Whyte, C.E.; Singh, K.; Burton, O.T.; Aloulou, M.; Kouser, L.; Veiga, R.V.; Dashwood, A.; Okkenhaug, H.; Benadda, S.; Moudra, A.; et al. Context-dependent effects of IL-2 rewire immunity into distinct cellular circuits. J. Exp. Med. 2022, 219, e20212391. [Google Scholar] [CrossRef]
- Miguelez, M.; Lacasse, M.; Kentner, A.C.; Rizk, I.; Fouriezos, G.; Bielajew, C. Short-and long-term effects of interleukin-2 on weight, food intake, and hedonic mechanisms in the rat. Behav. Brain Res. 2004, 154, 311–319. [Google Scholar] [CrossRef] [PubMed]
- Alves, S.; Churlaud, G.; Audrain, M.; Michaelsen-Preusse, K.; Fol, R.; Souchet, B.; Braudeau, J.; Korte, M.; Klatzmann, D.; Cartier, N. Interleukin-2 improves amyloid pathology, synaptic failure and memory in Alzheimer’s disease mice. Brain 2017, 140, 826–842. [Google Scholar] [CrossRef] [PubMed]
- Dansokho, C.; Aucouturier, P.; Dorothée, G. Beneficial effect of interleukin-2-based immunomodulation in Alzheimer-like pathology. Brain 2017, 140, e39. [Google Scholar] [CrossRef] [PubMed]
- Chakrabarti, S.; Prorok, T.; Roy, A.; Patel, D.; Dasarathi, S.; Pahan, K. Upregulation of IL-1 receptor antagonist by aspirin in glial cells via peroxisome proliferator-activated receptor-alpha. J. Alzheimers Dis. Rep. 2021, 5, 647–661. [Google Scholar] [CrossRef] [PubMed]
- Tarkowski, E.; Liljeroth, A.M.; Nilsson, Å.; Minthon, L.; Blennow, K. Decreased levels of intrathecal interleukin 1 receptor antagonist in Alzheimer’s disease. Dement. Geriatr. Cogn. Disord. 2001, 12, 314–317. [Google Scholar] [CrossRef]
- Ben-Menachem-Zidon, O.; Ben-Menahem, Y.; Ben-Hur, T.; Yirmiya, R. Intra-hippocampal transplantation of neural precursor cells with transgenic over-expression of IL-1 receptor antagonist rescues memory and neurogenesis impairments in an Alzheimer’s disease model. Neuropsychopharmacology 2014, 39, 401–414. [Google Scholar] [CrossRef]
- Weickert, T.W.; Jacomb, I.; Lenroot, R.; Lappin, J.; Weinberg, D.; Brooks, W.S.; Brown, D.; Pellen, D.; Kindler, J.; Mohan, A.; et al. Adjunctive canakinumab reduces peripheral inflammation markers and improves positive symptoms in people with schizophrenia and inflammation: A randomized control trial. Brain. Behav. Immun. 2024, 115, 191–200. [Google Scholar] [CrossRef]
- Quintana, D.; Ren, X.; Hu, H.; Corbin, D.; Engler-Chiurazzi, E.; Alvi, M.; Simpkins, J. IL-1β Antibody protects brain from neuropathology of hypoperfusion. Cells 2021, 10, 855. [Google Scholar] [CrossRef]
- Sjöström, E.O.; Culot, M.; Leickt, L.; Åstrand, M.; Nordling, E.; Gosselet, F.; Kaiser, C. Transport study of interleukin-1 inhibitors using a human in vitro model of the blood-brain barrier. Brain Behav. Immun. Health. 2021, 16, 100307. [Google Scholar] [CrossRef]
- Infante-Garcia, C.; Ramos-Rodriguez, J.J.; Hierro-Bujalance, C.; Ortegon, E.; Pickett, E.; Jackson, R.; Hernandez-Pacho, F.; Spires-Jones, T.; Garcia-Alloza, M. Antidiabetic polypill improves central pathology and cognitive impairment in a mixed model of Alzheimer’s Disease and Type 2 Diabetes. Mol. Neurobiol. 2018, 55, 6130–6144. [Google Scholar] [CrossRef]
- Kurata, T.; Miyazaki, K.; Kozuki, M.; Panin, V.L.; Morimoto, N.; Ohta, Y.; Nagai, M.; Ikeda, Y.; Matsuura, T.; Abe, K. Atorvastatin and pitavastatin improve cognitive function and reduce senile plaque and phosphorylated tau in aged APP mice. Brain. Res. 2011, 1371, 161–170. [Google Scholar] [CrossRef] [PubMed]
- Testa, G.; Staurenghi, E.; Zerbinati, C.; Gargiulo, S.; Iuliano, L.; Giaccone, G.; Fantò, F.; Poli, G.; Leonarduzzi, G.; Gamba, P. Changes in brain oxysterols at different stages of Alzheimer’s disease: Their involvement in neuroinflammation. Redox. Biol. 2016, 10, 24–33. [Google Scholar] [CrossRef] [PubMed]
- Fassbender, K.; Simons, M.; Bergmann, C.; Stroick, M.; Lutjohann, D.; Keller, P.; Runz, H.; Kuhl, S.; Bertsch, T.; von Bergmann, K. Simvastatin strongly reduces levels of Alzheimer’s disease beta -amyloid peptides Abeta 42 and Abeta 40 in vitro and in vivo. Proc. Natl. Acad. Sci. USA 2001, 98, 5856–5861. [Google Scholar] [CrossRef] [PubMed]
- Cashikar, A.G.; Toral-Rios, D.; Timm, D.; Romero, J.; Strickland, M.; Long, J.M.; Han, X.; Holtzman, D.M.; Paul, S.M. Regulation of astrocyte lipid metabolism and ApoE secretion by the microglial oxysterol, 25-hydroxycholesterol. J. Lipid. Res. 2023, 64, 100350. [Google Scholar] [CrossRef]
- Hayden, M.R.; Grant, D.-G.; Aroor, A.R.; DeMarco, V.G. Empagliflozin ameliorates type 2 diabetes-Induced ultrastructural Remodeling of the Neurovascular Unit and Neuroglia in the Female db/db Mouse. Brain Sci. 2019, 9, 57. [Google Scholar] [CrossRef]
- Uddin, M.S.; Hasana, S.; Ahmad, J.; Hossain, M.F.; Rahman, M.M.; Behl, T.; Rauf, A.; Ahmad, A.; Hafeez, A.; Perveen, A.; et al. Anti-neuroinflammatory potential of polyphenols by inhibiting NF-κB to halt Alzheimer’s Disease. Curr. Pharm. Des. 2021, 27, 402–414. [Google Scholar] [CrossRef]
- Sawikr, Y.; Yarla, N.S.; Peluso, I.; Kamal, M.A.; Aliev, G.; Bishayee, A. Neuroinflammation in Alzheimer’s disease: The preventive and therapeutic potential of polyphenolic nutraceuticals. Adv. Protein Chem. Struct. Biol. 2017, 108, 33–57. [Google Scholar] [CrossRef]
- Martínez-Coria, H.; Arrieta-Cruz, I.; Gutiérrez-Juárez, R.; López-Valdés, H.E. Anti-inflammatory effects of flavonoids in common neurological disorders associated with aging. Int. J. Mol. Sci. 2023, 24, 4297. [Google Scholar] [CrossRef]
- Biswas, M.; Das, A.; Basu, S. flavonoids: The innocuous agents offering protection against Alzheimer’s disease through modulation of proinflammatory and apoptotic pathways. Curr. Top Med. Chem. 2022, 22, 769–789. [Google Scholar] [CrossRef]
- Serdar, B.S.; Erkmen, T.; Koçtürk, S. Combinations of polyphenols disaggregate Aβ1-42 by passing through in vitro blood brain barrier developed by endothelium, astrocyte, and differentiated SH-SY5Y cells. Acta Neurobiol. 2021, 81, 335–349. [Google Scholar] [CrossRef]
- Ma, H.; Johnson, S.L.; Liu, W.; DaSilva, N.A.; Meschwitz, S.; Dain, J.A.; Seeram, N.P. Evaluation of polyphenol anthocyanin-enriched extracts of blackberry, black raspberry, blueberry, cranberry, red raspberry, and strawberry for free radical scavenging, reactive carbonyl species trapping, anti-glycation, anti-β-amyloid aggregation, and microglial neuroprotective effects. Int. J. Mol. Sci. 2018, 19, 461. [Google Scholar] [CrossRef] [PubMed]
- Barber, T.M.; Kabisch, S.; Randeva, H.S.; Pfeiffer, A.F.; Weickert, M.O. Implications of resveratrol in obesity and insulin resistance: A state-of-the-art review. Nutrients 2022, 14, 2870. [Google Scholar] [CrossRef] [PubMed]
- Pérez-Torres, I.; Castrejón-Téllez, V.; Soto, M.E.; Rubio-Ruiz, M.E.; Manzano-Pech, L.; Guarner-Lans, V. Oxidative stress, plant natural antioxidants, and obesity. Int. J. Mol. Sci. 2021, 22, 1786. [Google Scholar] [CrossRef] [PubMed]
- Wang, P.; Gao, J.; Ke, W.; Wang, J.; Li, D.; Liu, R.; Jia, Y.; Wang, X.; Chen, X.; Chen, F.; et al. Resveratrol reduces obesity in high-fat diet-fed mice via modulating the composition and metabolic function of the gut microbiota. Free Radic. Biol. Med. 2020, 156, 83–98. [Google Scholar] [CrossRef]
- Hoca, M.; Becer, E.; Vatansever, H.S. The role of resveratrol in diabetes and obesity associated with insulin resistance. Arch. Physiol. Biochem. 2023, 129, 555–561. [Google Scholar] [CrossRef]
- Moussa, C.; Hebron, M.; Huang, X.; Ahn, J.; Rissman, R.A.; Aisen, P.S.; Turner, R.S. Resveratrol regulates neuro-inflammation and induces adaptive immunity in Alzheimer’s disease. J. Neuroinflamm. 2017, 14, 1. [Google Scholar] [CrossRef]
- Huang, J.; Huang, N.; Xu, S.; Luo, Y.; Li, Y.; Jin, H.; Yu, C.; Shi, J.; Jin, F. Signaling mechanisms underlying inhibition of neuroinflammation by resveratrol in neurodegenerative diseases. J. Nutr, Biochem. 2021, 88, 108552. [Google Scholar] [CrossRef]
- Feng, L.; Zhang, L. Resveratrol suppresses Aβ-induced microglial activation through the TXNIP/TRX/NLRP3 signaling pathway. DNA Cell Biol. 2019, 38, 874–879. [Google Scholar] [CrossRef]
- Yao, Y.; Li, J.; Niu, Y.; Yu, J.Q.; Yan, L.; Miao, Z.H.; Zhao, X.X.; Li, Y.J.; Yao, W.X.; Zheng, P.; et al. Resveratrol inhibits oligomeric Aβ-induced microglial activation via NADPH oxidase. Mol. Med. Rep. 2015, 12, 6133–6139. [Google Scholar] [CrossRef]
- Kim, Y.; Lim, S.Y.; Rhee, S.H.; Park, K.Y.; Kim, C.H.; Choi, B.T.; Lee, S.J.; Park, Y.M.; Choi, Y.H. Resveratrol inhibits inducible nitric oxide synthase and cyclooxygenase-2 expression in beta-amyloid-treated C6 glioma cells. Int. J. Mol. Med. 2006, 17, 1069–1075. [Google Scholar]
- Wight, R.D.; Tull, C.A.; Deel, M.W.; Stroope, B.L.; Eubanks, A.G.; Chavis, J.A.; Drew, P.D.; Hensley, L.L. Resveratrol effects on astrocyte function: Relevance to neurodegenerative diseases. Biochem. Biophys. Res. Commun. 2012, 426, 112–115. [Google Scholar] [CrossRef] [PubMed]
- Li, R.; Huang, Y.G.; Fang, D.; Le, W.D. Epigallocatechin gallate inhibits lipopolysaccharide-induced microglial activation and protects against inflammation-mediated dopaminergic neuronal injury. J. Neurosci. Res. 2004, 78, 723–731. [Google Scholar] [CrossRef] [PubMed]
- Castellano-González, G.; Pichaud, N.; Ballard, J.W.; Bessede, A.; Marcal, H.; Guillemin, G.J. Epigallocatechin-3-gallate induces oxidative phosphorylation by activating cytochrome c oxidase in human cultured neurons and astrocytes. Oncotarget 2016, 7, 7426–7440. [Google Scholar] [CrossRef] [PubMed]
- Nederveen, J.P.; Mastrolonardo, A.J.; Xhuti, D.; Di Carlo, A.; Manta, K.; Fuda, M.R.; Tarnopolsky, M.A. Novel multi-ingredient supplement facilitates w eight loss and improves body composition in overweight and obese individuals: A randomized, double-blind, placebo-controlled clinical trial. Nutrients 2023, 15, 3693. [Google Scholar] [CrossRef] [PubMed] [PubMed Central]
- Patanè, G.T.; Putaggio, S.; Tellone, E.; Barreca, D.; Ficarra, S.; Maffei, C.; Calderaro, A.; Laganà, G. Catechins and proanthocyanidins involvement in metabolic syndrome. Int. J. Mol. Sci. 2023, 24, 9228. [Google Scholar] [CrossRef]
- Nakadate, K.; Kawakami, K.; Yamazaki, N. Anti-obesity and anti-inflammatory synergistic effects of green tea catechins and citrus β-cryptoxanthin ingestion in obese mice. Int. J. Mol. Sci. 2023, 24, 7054. [Google Scholar] [CrossRef]
- Shabbir, U.; Rubab, M.; Daliri, E.B.; Chelliah, R.; Javed, A.; Oh, D.H. Curcumin, quercetin, catechins and metabolic diseases: The role of gut microbiota. Nutrients 2021, 13, 206. [Google Scholar] [CrossRef]
- Prasanth, M.I.; Sivamaruthi, B.S.; Chaiyasut, C.; Tencomnao, T. A review of the role of green tea (camellia sinensis) in antiphotoaging, stress resistance, neuroprotection, and autophagy. Nutrients 2019, 11, 474. [Google Scholar] [CrossRef]
- Zhao, S.; Zhang, L.; Yang, C.; Li, Z.; Rong, S. Procyanidins and Alzheimer’s disease. Mol. Neurobiol. 2019, 56, 5556–5567. [Google Scholar] [CrossRef]
- Zhao, L.; Zhu, X.; Xia, M.; Li, J.; Guo, A.Y.; Zhu, Y.; Yang, X. Quercetin ameliorates gut microbiota dysbiosis that drives hypothalamic damage and hepatic lipogenesis in monosodium glutamate-induced abdominal obesity. Front Nutr. 2021, 8, 671353. [Google Scholar] [CrossRef]
- Yang, J.; Kim, C.S.; Tu, T.H.; Kim, M.S.; Goto, T.; Kawada, T.; Choi, M.S.; Park, T.; Sung, M.K.; Yun, J.W.; et al. Quercetin protects obesity-induced hypothalamic inflammation by reducing microglia-mediated inflammatory responses via HO-1 induction. Nutrients 2017, 9, 650. [Google Scholar] [CrossRef] [PubMed]
- Khan, H.; Ullah, H.; Aschner, M.; Cheang, W.S.; Akkol, E.K. Neuroprotective effects of quercetin in Alzheimer’s Disease. Biomolecules 2019, 10, 59. [Google Scholar] [CrossRef]
- Zu, G.; Sun, K.; Li, L.; Zu, X.; Han, T.; Huang, H. Mechanism of quercetin therapeutic targets for Alzheimer disease and type 2 diabetes mellitus. Sci. Rep. 2021, 11, 22959. [Google Scholar] [CrossRef] [PubMed]
- Zaplatic, E.; Bule, M.; Shah, S.Z.; Uddin, M.S.; Niaz, K. Molecular mechanisms underlying protective role of quercetin in attenuating Alzheimer’s disease. Life Sci. 2019, 224, 109–119. [Google Scholar] [CrossRef] [PubMed]
- Alexander, C.; Parsaee, A.; Vasefi, M. Polyherbal and multimodal treatments:kaempferol- and quercetin-rich herbs alleviate symptoms of Alzheimer’s Disease. Biology 2023, 12, 1453. [Google Scholar] [CrossRef] [PubMed]
- Thota, R.N.; Rosato, J.I.; Dias, C.B.; Burrows, T.L.; Martins, R.N.; Garg, M.L. Dietary supplementation with curcumin reduce circulating levels of glycogen synthase kinase-3β and islet amyloid polypeptide in adults with high risk of type 2. diabetes and Alzheimer’s disease. Nutrients 2020, 12, 1032. [Google Scholar] [CrossRef]
- Thota, R.N.; Acharya, S.H.; Garg, M.L. Curcumin and/or omega-3 polyunsaturated fatty acids supplementation reduces insulin resistance and blood lipids in individuals with high risk of type 2 diabetes: A randomised controlled trial. Lipids Health Dis. 2019, 18, 31. [Google Scholar] [CrossRef]
- Panahi, Y.; Khalili, N.; Sahebi, E.; Namazi, S.; Reiner, Ž.; Majeed, M.; Sahebkar, A. Curcuminoids modify lipid profile in type 2 diabetes mellitus: A randomized controlled trial. Complement. Ther. Med. 2017, 33, 1–5. [Google Scholar] [CrossRef]
- Mokgalaboni, K.; Ntamo, Y.; Ziqubu, K.; Nyambuya, T.M.; Nkambule, B.B.; Mazibuko-Mbeje, S.E.; Gabuza, K.B.; Chellan, N.; Tiano, L.; Dludla, P.V. Curcumin supplementation improves biomarkers of oxidative stress and inflammation in conditions of obesity, type 2 diabetes and NAFLD: Updating the status of clinical evidence. Food Funct. 2021, 12, 12235–12249. [Google Scholar] [CrossRef] [PubMed]
- Ballarini, T.; Melo van Lent, D.; Brunner, J.; Schröder, A.; Wolfsgruber, S.; Altenstein, S.; Brosseron, F.; Buerger, K.; Dechent, P.; Dobisch, L.; et al. Mediterranean diet, Alzheimer disease biomarkers and brain atrophy in old age. Neurology 2021, 96, e2920–e2932. [Google Scholar] [CrossRef]
- Xiao, Y.; Dai, Y.; Li, L.; Geng, F.; Xu, Y.; Wang, J.; Wang, S.; Zhao, J. Tetrahydrocurcumin ameliorates Alzheimer’s pathological phenotypes by inhibition of microglial cell cycle arrest and apoptosis via Ras/ERK signaling. Biomed. Pharmacother. 2021, 139, 111651. [Google Scholar] [CrossRef] [PubMed]
- Qiao, P.; Ma, J.; Wang, Y.; Huang, Z.; Zou, Q.; Cai, Z.; Tang, Y. Curcumin prevents neuroinflammation by inducing microglia to transform into the M2-phenotype via CaMKKβ-dependent activation of the AMP-activated protein kinase signal pathway. Curr. Alzheimer Res. 2020, 17, 735–752. [Google Scholar] [CrossRef] [PubMed]
- De Lorenzi, E.; Franceschini, D.; Contardi, C.; Di Martino, R.M.; Seghetti, F.; Serra, M.; Bisceglia, F.; Pagetta, A.; Zusso, M.; Belluti, F. Modulation of Amyloid β-induced microglia activation and neuronal cell death by curcumin and analogues. Int. J. Mol. Sci. 2022, 23, 4381. [Google Scholar] [CrossRef] [PubMed]
- Seady, M.; Fróes, F.T.; Gonçalves, C.A.; Leite, M.C. Curcumin modulates astrocyte function under basal and inflammatory conditions. Brain Res. 2023, 1818, 148519. [Google Scholar] [CrossRef] [PubMed]
- Mohammadi, A.; Hosseinzadeh Colagar, A.; Khorshidian, A.; Amini, S.M. The Functional Roles of Curcumin on Astrocytes in Neurodegenerative Diseases. Neuroimmunomodulation 2022, 29, 4–14. [Google Scholar] [CrossRef] [PubMed]
- Ghasemi, F.; Bagheri, H.; Barreto, G.E.; Read, M.I.; Sahebkar, A. Effects of curcumin on microglial cells. Neurotox. Res. 2019, 36, 12–26. [Google Scholar] [CrossRef]
- DeKosky, S.T.; Williamson, J.D.; Fitzpatrick, A.L.; Kronmal, R.A.; Ives, D.G.; Saxton, J.A.; Lopez, O.L.; Burke, G.; Carlson, M.C.; Fried, L.P.; et al. Ginkgo biloba for Prevention of Dementia. A Randomized Control. Trial JAMA. 2008, 300, 2253–2262. [Google Scholar]
- Gargouri, B.; Carstensen, J.; Bhatia, H.S.; Huell, M.; Dietz, G.P.; Fiebich, B.L. Anti-neuroinflammatory effects of Ginkgo biloba extract EGb761 in LPS-activated primary microglial cells. Phytomedicine 2018, 44, 45–55. [Google Scholar] [CrossRef]
- Zhou, X.; Chen, X.; Cheng, X.; Lin, L.; Quan, S.; Li, S.; Zhan, R.; Wu, Q.; Liu, S. Paeoniflorin, ferulic acid, and atractylenolide III improved LPS-induced neuroinflammation of BV2 microglia cells by enhancing autophagy. J. Pharmacol. Sci. 2023, 152, 151–161. [Google Scholar] [CrossRef]
- Iwasa, M.; Kato, H.; Iwashita, K.; Yamakage, H.; Kato, S.; Saito, S.; Ihara, M.; Nishimura, H.; Kawamoto, A.; Suganami, T.; et al. Taxifolin suppresses inflammatory responses of high-glucose-stimulated mouse microglia by attenuating the TXNIP-NLRP3 axis. Nutrients 2023, 15, 2738. [Google Scholar] [CrossRef]
- Inoue, T.; Saito, S.; Tanaka, M.; Yamakage, H.; Kusakabe, T.; Shimatsu, A.; Ihara, M.; Satoh-Asahara, N. Pleiotropic neuroprotective effects of taxifolin in cerebral amyloid angiopathy. Proc. Natl. Acad. Sci. USA 2019, 116, 10031–10038. [Google Scholar] [CrossRef] [PubMed]
- Varlamova, E.G.; Uspalenko, N.I.; Khmil, N.V.; Shigaeva, M.I.; Stepanov, M.R.; Ananyan, M.A.; Timchenko, M.A.; Molchanov, M.V.; Mironova, G.D.; Turovsky, E.A. A comparative analysis of neuroprotective properties of taxifolin and its water-soluble form in ischemia of cerebral cortical cells of the mouse. Int. J. Mol. Sci. 2023, 24, 11436. [Google Scholar] [CrossRef] [PubMed]
- Gunesch, S.; Hoffmann, M.; Kiermeier, C.; Fischer, W.; Pinto, A.F.; Maurice, T.; Maher, P.; Decker, M. 7-O-Esters of taxifolin with pronounced and overadditive effects in neuroprotection, anti-neuroinflammation, and amelioration of short-term memory impairment in vivo. Redox Biol. 2020, 29, 101378. [Google Scholar] [CrossRef]
- Geng, T.; Lu, Q.; Wan, Z.; Guo, J.; Liu, L.; Pan, A.; Liu, G. Association of serum 25-hydroxyvitamin D concentrations with risk of dementia among individuals with type 2 diabetes: A cohort study in the UK Biobank. PLoS Med. 2022, 19, e1003906. [Google Scholar] [CrossRef]
- Monacelli, F.; Acquarone, E.; Giannotti, C.; Borghi, R.; Nencioni, A. Vitamin C, aging and Alzheimer’s Disease. Nutrients 2017, 9, 670. [Google Scholar] [CrossRef]
- Roboon, J.; Hattori, T.; Ishii, H.; Takarada-Iemata, M.; Nguyen, D.T.; Heer, C.D.; O’Meally, D.; Brenner, C.; Yamamoto, Y.; Okamoto, H.; et al. Inhibition of CD38 and supplementation of nicotinamide riboside ameliorate lipopolysaccharide-induced microglial and astrocytic neuroinflammation by increasing NAD. J. Neurochem. 2021, 158, 311–327. [Google Scholar] [CrossRef]
- Zhang, M.; Chen, H.; Zhang, W.; Liu, Y.; Ding, L.; Gong, J.; Ma, R.; Zheng, S.; Zhang, Y. Biomimetic remodeling of microglial riboflavin metabolism ameliorates cognitive impairment by modulating neuroinflammation. Adv. Sci. 2023, 10, e2300180. [Google Scholar] [CrossRef]
- Mani, S.; Dubey, R.; Lai, I.C.; Babu, M.A.; Tyagi, S.; Swargiary, G.; Mody, D.; Singh, M.; Agarwal, S.; Iqbal, D.; et al. Oxidative stress and natural antioxidants: Back and forth in the neurological mechanisms of Alzheimer’s Disease. J. Alzheimers Dis. 2023, 96, 877–912. [Google Scholar] [CrossRef]
- Kouba, B.R.; Camargo, A.; Rodrigues, A.L.S. Neuroinflammation in Alzheimer’s disease: Potential beneficial effects of vitamin D. Metab. Brain Dis. 2023, 38, 819–829. [Google Scholar] [CrossRef]
- Moretti, R.; Peinkhofer, C. B Vitamins and fatty acids: What do they share with small vessel disease-related dementia? Int. J. Mol. Sci. 2019, 20, 5797. [Google Scholar] [CrossRef] [PubMed]
- Popescu, A.; German, M. Vitamin K2 holds promise for Alzheimer’s prevention and treatment. Nutrients 2021, 13, 2206. [Google Scholar] [CrossRef] [PubMed]
- Jabeen, K.; Rehman, K.; Akash, M.S.; Nadeem, A.; Mir, T.M. Neuroprotective and cardiometabolic role of vitamin E: Alleviating neuroinflammation and metabolic disturbance induced by AlCl3 in rat models. Biomedicines 2023, 11, 2453. [Google Scholar] [CrossRef] [PubMed]
- Rehman, I.U.; Ahmad, R.; Khan, I.; Lee, H.J.; Park, J.; Ullah, R.; Choi, M.J.; Kang, H.Y.; Kim, M.O. Nicotinamide ameliorates amyloid beta-induced oxidative stress-mediated neuroinflammation and neurodegeneration in adult mouse brain. Biomedicines 2021, 9, 408. [Google Scholar] [CrossRef] [PubMed]
- Muñoz-Jiménez, M.; Zaarkti, A.; García-Arnés, J.A.; García-Casares, N. Antidiabetic drugs in alzheimer’s disease and mild cognitive impairment: A systematic review. Dement Geriatr. Cogn. Disord. 2020, 49, 423–434. [Google Scholar] [CrossRef] [PubMed]
- Sędzikowska, A.; Szablewski, L. Insulin and insulin resistance in Alzheimer’s disease. Int. J. Mol. Sci. 2021, 22, 9987. [Google Scholar] [CrossRef] [PubMed]
- Dutta, S.; Shah, R.B.; Singhal, S.; Dutta, S.B.; Bansal, S.; Sinha, S.; Haque, M. Metformin: A review of potential mechanism and therapeutic utility beyond diabetes. Drug Des. Devel. Ther. 2023, 17, 1907–1932. [Google Scholar] [CrossRef]
- Li, S.; Lu, C.; Zhao, Z.; Lu, D.; Zheng, G. Uncovering neuroinflammation-related modules and potential repurposing drugs for Alzheimer’s disease through multi-omics data integrative analysis. Front Aging Neurosci. 2023, 15, 1161405. [Google Scholar] [CrossRef]
- Zusso, M.; Lunardi, V.; Franceschini, D.; Pagetta, A.; Lo, R.; Stifani, S.; Frigo, A.C.; Giusti, P.; Moro, S. Ciprofloxacin and levofloxacin attenuate microglia inflammatory response via TLR4/NF-kB pathway. J. Neuroinflamm. 2019, 16, 148. [Google Scholar] [CrossRef]
- Westhaus, A.; Blumrich, E.M.; Dringen, R. The Antidiabetic drug metformin stimulates glycolytic lactate production in cultured primary rat astrocytes. Neurochem. Res. 2017, 42, 294–305. [Google Scholar] [CrossRef]
- Feng, Y.; Zhao, Y.; Liu, J.; Huang, Z.; Yang, X.; Qin, P.; Chen, C.; Luo, X.; Li, Y.; Wu, Y.; et al. Consumption of dairy products and the risk of overweight or obesity, hypertension, and type 2 diabetes mellitus: A dose-response meta-analysis and systematic review of cohort studies. Adv. Nutr. 2022, 13, 2165–2179. [Google Scholar] [CrossRef]
- Ling, C.; Bacos, K.; Rönn, T. Epigenetics of type 2 diabetes mellitus and weight change—A tool for precision medicine? Nat. Rev. Endocrinol. 2022, 18, 433–448. [Google Scholar] [CrossRef] [PubMed]
- Choi, J.H.; Cho, Y.J.; Kim, H.J.; Ko, S.H.; Chon, S.; Kang, J.H.; Kim, K.K.; Kim, E.M.; Kim, H.J.; Song, K.H.; et al. Effect of carbohydrate-restricted diets and intermittent fasting on obesity, type 2 diabetes mellitus, and hypertension management: Consensus statement of the korean society for the study of obesity, korean diabetes association, and korean society of hypertension. Diabetes Metab. J. 2022, 46, 355–376. [Google Scholar] [CrossRef]
- Joaquim, L.; Faria, A.; Loureiro, H.; Matafome, P. Benefits, mechanisms, and risks of intermittent fasting in metabolic syndrome and type 2 diabetes. J. Physiol. Biochem. 2022, 78, 295–305. [Google Scholar] [CrossRef] [PubMed]
- Saslow, L.R.; Jones, L.M.; Sen, A.; Wolfson, J.A.; Diez, H.L.; O’Brien, A.; Leung, C.W.; Bayandorian, H.; Daubenmier, J.; Missel, A.L.; et al. Comparing very low-carbohydrate vs DASH diets for overweight or obese adults with hypertension and prediabetes or type 2 diabetes: A randomized trial. Ann. Fam. Med. 2023, 21, 256–263. [Google Scholar] [CrossRef] [PubMed]
- Muscogiuri, G.; Verde, L.; Sulu, C.; Katsiki, N.; Hassapidou, M.; Frias-Toral, E.; Cucalón, G.; Pazderska, A.; Yumuk, V.D.; Colao, A.; et al. Mediterranean diet and obesity-related disorders: What is the evidence? Curr. Obes. Rep. 2022, 11, 287–304. [Google Scholar] [CrossRef]
- Derrick, S.A.; Nguyen, S.T.; Marthens, J.R.; Dambacher, L.L.; Sikalidis, A.K.; Reaves, S.K. Mediterranean-style diet improves the parameters for the management and prevention of type 2 diabetes mellitus. Medicina 2023, 59, 1882. [Google Scholar] [CrossRef]
- Cincione, R.I.; Losavio, F.; Cibelli, G.; Messina, G.; Polito, R.; Casula, E.; Cincione, P.P.; Amatruda, M.; Limone, P. Revised protein sparing diet in obesity and type 2 diabetes mellitus. Nutrients 2022, 14, 5325. [Google Scholar] [CrossRef]
- Boonpor, J.; Petermann-Rocha, F.; Parra-Soto, S.; Pell, J.P.; Gray, S.R.; Celis-Morales, C.; Ho, F.K. Types of diet, obesity, and incident type 2 diabetes: Findings from the UK Biobank prospective cohort study. Diabetes Obes. Metab. 2022, 24, 1351–1359. [Google Scholar] [CrossRef]
- Walker, J.L.; Littlewood, R. Dietary strategies for obesity. Nutrients 2023, 15, 4275. [Google Scholar] [CrossRef]
- Vetrani, C.; Verde, L.; Colao, A.; Barrea, L.; Muscogiuri, G. The Mediterranean Diet: Effects on Insulin Resistance and Secretion in Individuals with Overweight or Obesity. Nutrients 2023, 15, 4524. [Google Scholar] [CrossRef]
- Ghazala, R.A.; El Medney, A.; Meleis, A.; Mohie El dien, P.; Samir, H. Role of anti-inflammatory interventions in high-fat-diet-induced obesity. Biomed. Chromatogr. 2020, 34, e4743. [Google Scholar] [CrossRef] [PubMed]
- Gzielo, K.; Soltys, Z.; Rajfur, Z.; Setkowicz, Z.K. The Impact of the ketogenic diet on glial cells morphology. A quantitative morphological analysis. Neuroscience 2019, 413, 239–251. [Google Scholar] [CrossRef] [PubMed]
- Spilsbury, A.; Vauzour, D.; Spencer, J.P.; Rattray, M. Regulation of NF-κB activity in astrocytes: Effects of flavonoids at dietary-relevant concentrations. Biochem Biophys. Res. Commun. 2012, 418, 578–583. [Google Scholar] [CrossRef] [PubMed]
- Baranowski, B.J.; Marko, D.M.; Fenech, R.K.; Yang, A.J.; MacPherson, R.E. Healthy brain, healthy life: A review of diet and exercise interventions to promote brain health and reduce Alzheimer’s disease risk. Appl. Physiol. Nutr. Metab. 2020, 45, 1055–1065. [Google Scholar] [CrossRef] [PubMed]
- Stefaniak, O.; Dobrzyńska, M.; Drzymała-Czyż, S.; Przysławski, J. Diet in the prevention of Alzheimer’s disease: Current knowledge and future research requirements. Nutrients 2022, 14, 4564. [Google Scholar] [CrossRef] [PubMed]
- McGrattan, A.M.; McGuinness, B.; McKinley, M.C.; Kee, F.; Passmore, P.; Woodside, J.V.; McEvoy, C.T. Diet and inflammation in cognitive ageing and Alzheimer’s Disease. Curr. Nutr. Rep. 2019, 8, 53–65. [Google Scholar] [CrossRef]
- Grant, W.B.; Blake, S.M. Diet’s role in modifying risk of Alzheimer’s Disease: History and present understanding. J. Alzheimers Dis. 2023, 96, 1353–1382. [Google Scholar] [CrossRef]
- Shi, Y.; Lin, F.; Li, Y.; Wang, Y.; Chen, X.; Meng, F.; Ye, Q.; Cai, G. Association of pro-inflammatory diet with increased risk of all-cause dementia and Alzheimer’s dementia: A prospective study of 166,377 UK Biobank participants. BMC Med. 2023, 21, 266. [Google Scholar] [CrossRef]
- Solch, R.J.; Aigbogun, J.O.; Voyiadjis, A.G.; Talkington, G.M.; Darensbourg, R.M.; O’Connell, S.; Pickett, K.M.; Perez, S.R.; Maraganore, D.M. Mediterranean diet adherence, gut microbiota, and Alzheimer’s or Parkinson’s disease risk: A systematic review. J. Neurol. Sci. 2022, 434, 120166. [Google Scholar] [CrossRef]
- Hoscheidt, S.; Sanderlin, A.H.; Baker, L.D.; Jung, Y.; Lockhart, S.; Kellar, D.; Whitlow, C.T.; Hanson, A.J.; Friedman, S.; Register, T.; et al. Mediterranean and Western diet effects on Alzheimer’s disease biomarkers, cerebral perfusion, and cognition in mid-life: A randomized trial. Alzheimers Dement. 2022, 18, 457–468. [Google Scholar] [CrossRef]
- Koppel, S.J.; Pei, D.; Wilkins, H.M.; Weidling, I.W.; Wang, X.; Menta, B.W.; Perez-Ortiz, J.; Kalani, A.; Manley, S.; Novikova, L.; et al. A ketogenic diet differentially affects neuron and astrocyte transcription. J. Neurochem. 2021, 157, 1930–1945. [Google Scholar] [CrossRef] [PubMed]
- Hersant, H.; Grossberg, G. The Ketogenic diet and Alzheimer’s disease. J. Nutr. Health Aging 2022, 26, 606–614. [Google Scholar] [CrossRef] [PubMed]
- Rusek, M.; Pluta, R.; Ułamek-Kozioł, M.; Czuczwar, S.J. Ketogenic Diet in Alzheimer’s Disease. Int J Mol Sci. 2019, 20, 3892. [Google Scholar] [CrossRef]
- Xu, Y.; Jiang, C.; Wu, J.; Liu, P.; Deng, X.; Zhang, Y.; Peng, B.; Zhu, Y. Ketogenic diet ameliorates cognitive impairment and neuroinflammation in a mouse model of Alzheimer’s disease. CNS Neurosci Ther. 2022, 28, 580–592. [Google Scholar] [CrossRef] [PubMed]
- Nagpal, R.; Neth, B.J.; Wang, S.; Craft, S.; Yadav, H. Modified Mediterranean-ketogenic diet modulates gut microbiome and short-chain fatty acids in association with Alzheimer’s disease markers in subjects with mild cognitive impairment. EBioMedicine 2019, 47, 529–542. [Google Scholar] [CrossRef] [PubMed]
- van den Brink, A.C.; Brouwer-Brolsma, E.M.; Berendsen, A.A.M.; van de Rest, O. The Mediterranean, dietary approaches to stop hypertension (DASH), and Mediterranean-DASH intervention for neurodegenerative delay (MIND) diets are associated with less cognitive decline and a lower risk of Alzheimer’s Disease-A Review. Adv. Nutr. 2019, 10, 1040–1065. [Google Scholar] [CrossRef]
- Gregory, S.; Pullen, H.; Ritchie, C.W.; Shannon, O.M.; Stevenson, E.J.; Muniz-Terrera, G. Mediterranean diet and structural neuroimaging biomarkers of Alzheimer’s and cerebrovascular disease: A systematic review. Exp. Gerontol. 2023, 172, 112065. [Google Scholar] [CrossRef]
- Yoo, D.Y.; Chae, J.; Jung, H.Y.; Sun Yim, H.; Kim, J.W.; Nam, S.M.; Kim, D.W.; Choi, J.H.; Seong, J.K.; Yoon, Y.S.; et al. Treadmill exercise is associated with reduction of reactive microgliosis and pro-inflammatory cytokine levels in the hippocampus of type 2 diabetic rats. Neurol. Res. 2015, 37, 732–738. [Google Scholar] [CrossRef]
- Jang, Y.; Kwon, I.; Cosio-Lima, L.; Wirth, C.; Vinci, D.M.; Lee, Y. Endurance exercise prevents metabolic distress-induced senescence in the hippocampus. Med. Sci. Sports. Exerc. 2019, 51, 2012–2024. [Google Scholar] [CrossRef]
- Mee-Inta, O.; Zhao, Z.W.; Kuo, Y.M. Physical Exercise Inhibits Inflammation and Microglial Activation. Cells 2019, 8, 691. [Google Scholar] [CrossRef]
- Wang, M.; Zhang, H.; Liang, J.; Huang, J.; Chen, N. Exercise suppresses neuroinflammation for alleviating Alzheimer’s disease. J. Neuroinflamm. 2023, 20, 76. [Google Scholar] [CrossRef] [PubMed]
- Feng, S.; Wu, C.; Zou, P.; Deng, Q.; Chen, Z.; Li, M.; Zhu, L.; Li, F.; Liu, T.C.; Duan, R.; et al. High-intensity interval training ameliorates Alzheimer’s disease-like pathology by regulating astrocyte phenotype-associated AQP4 polarization. Theranostics 2023, 13, 3434–3450. [Google Scholar] [CrossRef] [PubMed]
- Madore, C.; Yin, Z.; Leibowitz, J.; Butovsky, O. Microglia, lifestyle stress, and neurodegeneration. Immunity 2020, 52, 222–240. [Google Scholar] [CrossRef] [PubMed]
- Zhang, S.S.; Zhu, L.; Peng, Y.; Zhang, L.; Chao, F.L.; Jiang, L.; Xiao, Q.; Liang, X.; Tang, J.; Yang, H.; et al. Long-term running exercise improves cognitive function and promotes microglial glucose metabolism and morphological plasticity in the hippocampus of APP/PS1 mice. J. Neuroinflamm. 2022, 19, 34. [Google Scholar] [CrossRef] [PubMed]
- Wang, Y.Y.; Zhou, Y.N.; Jiang, L.; Wang, S.; Zhu, L.; Zhang, S.S.; Yang, H.; He, Q.; Liu, L.; Xie, Y.H.; et al. Long-term voluntary exercise inhibited AGE/RAGE and microglial activation and reduced the loss of dendritic spines in the hippocampi of APP/PS1 transgenic mice. Exp. Neurol. 2023, 363, 114371. [Google Scholar] [CrossRef]
- Jahangiri, Z.; Gholamnezhad, Z.; Hosseini, M. Neuroprotective effects of exercise in rodent models of memory deficit and Alzheimer’s. Metab. Brain Dis. 2019, 34, 21–37. [Google Scholar] [CrossRef]
- Cai, W.; Wu, T.; Chen, N. The Amyloid-Beta Clearance: From Molecular Targets to Glial and Neural Cells. Biomolecules 2023, 13, 313. [Google Scholar] [CrossRef]
- Lu, Y.; Dong, Y.; Tucker, D.; Wang, R.; Ahmed, M.E.; Brann, D.; Zhang, Q. Treadmill exercise exerts neuroprotection and regulates microglial polarization and oxidative stress in a streptozotocin-induced rat model of sporadic Alzheimer’s Disease. J. Alzheimers Dis. 2017, 56, 1469–1484. [Google Scholar] [CrossRef]
- Duggan, M.R.; Parikh, V. Microglia and modifiable life factors: Potential contributions to cognitive resilience in aging. Behav. Brain Res. 2021, 405, 113207. [Google Scholar] [CrossRef]
- Hashiguchi, D.; Campos, H.C.; Wuo-Silva, R.; Faber, J.; Gomes da Silva, S.; Coppi, A.A.; Arida, R.M.; Longo, B.M. Resistance exercise decreases amyloid load and modulates inflammatory responses in the APP/PS1 mouse model for Alzheimer’s Disease. J. Alzheimers Dis. 2020, 73, 1525–1539. [Google Scholar] [CrossRef]
- Hastings, N.; Kuan, W.L.; Osborne, A.; Kotter, M.R.N. Therapeutic potential of astrocyte transplantation. Cell Transplant 2022, 31, 9636897221105499. [Google Scholar] [CrossRef] [PubMed]
- Yan, T.; Venkat, P.; Chopp, M.; Zacharek, A.; Ning, R.; Cui, Y.; Roberts, C.; Kuzmin-Nichols, N.; Sanberg, C.D.; Chen, J. Neurorestorative therapy of stroke in type 2 diabetes mellitus rats treated with human umbilical cord blood cells. Stroke 2015, 46, 2599–2606. [Google Scholar] [CrossRef] [PubMed]
- Zang, L.; Li, Y.; Hao, H.; Liu, J.; Cheng, Y.; Li, B.; Yin, Y.; Zhang, Q.; Gao, F.; Wang, H.; et al. Efficacy and safety of umbilical cord-derived mesenchymal stem cells in Chinese adults with type 2 diabetes: A single-center, double-blinded, randomized, placebo-controlled phase II trial. Stem Cell Res. Ther. 2022, 13, 180. [Google Scholar] [CrossRef] [PubMed]
- Yu, S.; Cheng, Y.; Zhang, L.; Yin, Y.; Xue, J.; Li, B.; Gong, Z.; Gao, J.; Mu, Y. Treatment with adipose tissue-derived mesenchymal stem cells exerts anti-diabetic effects, improves long-term complications, and attenuates inflammation in type 2 diabetic rats. Stem Cell Res. Ther. 2019, 10, 333. [Google Scholar] [CrossRef] [PubMed]
- Pawitan, J.A.; Yang, Z.; Wu, Y.N.; Lee, E.H. Towards standardized stem cell therapy in type 2 diabetes mellitus: A systematic review. Curr. Stem. Cell Res. Ther. 2018, 13, 476–488. [Google Scholar] [CrossRef]
- Arte, P.A.; Tungare, K.; Bhori, M.; Jobby, R.; Aich, J. Treatment of type 2 diabetes mellitus with stem cells and antidiabetic drugs: A dualistic and future-focused approach. Hum. Cell 2024, 37, 54–84. [Google Scholar] [CrossRef]
- Li, Y.; Wang, F.; Liang, H.; Tang, D.; Huang, M.; Zhao, J.; Yang, X.; Liu, Y.; Shu, L.; Wang, J.; et al. Efficacy of mesenchymal stem cell transplantation therapy for type 1 and type 2 diabetes mellitus: A meta-analysis. Stem Cell Res. Ther. 2021, 12, 273. [Google Scholar] [CrossRef]
- Kim, J.; Lee, Y.; Lee, S.; Kim, K.; Song, M.; Lee, J. Mesenchymal stem cell therapy and Alzheimer’s disease: Current status and future perspectives. J. Alzheimers Dis. 2020, 77, 1–14. [Google Scholar] [CrossRef]
- Mishra, P.; Silva, A.; Sharma, J.; Nguyen, J.; Pizzo, D.P.; Hinz, D.; Sahoo, D.; Cherqui, S. Rescue of Alzheimer’s disease phenotype in a mouse model by transplantation of wild-type hematopoietic stem and progenitor cells. Cell Rep. 2023, 42, 112956. [Google Scholar] [CrossRef]
- Sun, Y.; Shi, H.; Yin, S.; Ji, C.; Zhang, X.; Zhang, B.; Wu, P.; Shi, Y.; Mao, F.; Yan, Y.; et al. Human mesenchymal stem cell derived exosomes alleviate type 2 diabetes mellitus by reversing peripheral insulin resistance and relieving β-Cell destruction. ACS Nano. 2018, 12, 7613–7628. [Google Scholar] [CrossRef]
- Xiong, J.; Hu, H.; Guo, R.; Wang, H.; Jiang, H. Mesenchymal stem cell exosomes as a new strategy for the treatment of diabetes complications. Front. Endocrinol. 2021, 12, 646233. [Google Scholar] [CrossRef] [PubMed]
- Wang, H.; Huber, C.C.; Li, X.P. Mesenchymal and neural stem cell-derived exosomes in treating Alzheimer’s disease. Bioengineering 2023, 10, 253. [Google Scholar] [CrossRef] [PubMed]
- Harrell, C.R.; Volarevic, A.; Djonov, V.; Volarevic, V. Mesenchymal stem cell-derived exosomes as new remedy for the treatment of neurocognitive disorders. Int. J. Mol. Sci. 2021, 22, 1433. [Google Scholar] [CrossRef] [PubMed]
- Rather, H.A.; Almousa, S.; Craft, S.; Deep, G. Therapeutic efficacy and promise of stem cell-derived extracellular vesicles in Alzheimer’s disease and other aging-related disorders. Ageing Res. Rev. 2023, 92, 102088. [Google Scholar] [CrossRef] [PubMed]
- de Jesus Gonçalves, R.G.; Vasques, J.F.; da Silva-Junior, A.J.; Gubert, F.; Mendez-Otero, R. Mesenchymal stem cell- and extracellular vesicle-based therapies for Alzheimer’s disease: Progress, advantages, and challenges. Neural Regen. Res. 2023, 18, 1645–1651. [Google Scholar] [CrossRef]
- Zhang, K.; Du, X.; Gao, Y.; Liu, S.; Xu, Y. Mesenchymal stem cells for treating Alzheimer’s disease: Cell therapy and chemical reagent pretreatment. J. Alzheimers Dis. 2023, 93, 863–878. [Google Scholar] [CrossRef]
- Che, J.; Wang, H.; Dong, J.; Wu, Y.; Zhang, H.; Fu, L.; Zhang, J. Human umbilical cord mesenchymal stem cell-derived exosomes attenuate neuroinflammation and oxidative stress through the NRF2/NF-κB/NLRP3 pathway. CNS Neurosci. Ther. 2024, 30, e14454. [Google Scholar] [CrossRef]
- Mukherjee, A.; Calixto, A.D.; Chavez, M.; Delgado, J.P.; Soto, C. Mitochondrial transplant to replenish damaged mitochondria: ¿A novel therapeutic strategy for neurodegenerative diseases? Prog. Mol. Biol. Transl. Sci. 2021, 177, 49–63. [Google Scholar] [CrossRef]
- Javadpour, P.; Abbaszadeh, F.; Ahmadiani, A.; Rezaei, M.; Ghasemi, R. Mitochondrial Transportation, Transplantation, and Subsequent Immune Response in Alzheimer’s Disease: An Update. Mol. Neurobiol. 2024, 61, 7151–7167. [Google Scholar] [CrossRef]
- Rey, F.; Ottolenghi, S.; Zuccotti, G.V.; Samaja, M.; Carelli, S. Mitochondrial dysfunctions in neurodegenerative diseases: Role in disease pathogenesis, strategies for analysis and therapeutic prospects. Neural Regen. Res. 2022, 17, 754–758. [Google Scholar] [CrossRef]
- Nitzan, K.; Benhamron, S.; Valitsky, M.; Kesner, E.E.; Lichtenstein, M.; Ben-Zvi, A.; Ella, E.; Segalstein, Y.; Saada, A.; Lorberboum-Galski, H.; et al. Mitochondrial transfer ameliorates cognitive deficits, neuronal loss, and gliosis in Alzheimer’s Disease mice. J. Alzheimers Dis. 2019, 72, 587–604. [Google Scholar] [CrossRef] [PubMed]
- Espino De la Fuente-Muñoz, C.; Arias, C. The therapeutic potential of mitochondrial transplantation for the treatment of neurodegenerative disorders. Rev. Neurosci. 2020, 32, 203–217. [Google Scholar] [CrossRef] [PubMed]
- Ting, K.K.Y. Fructose overconsumption-induced reprogramming of microglia metabolism and function. Front. Immunol. 2024, 15, 1375453. [Google Scholar] [CrossRef] [PubMed]
- Piano, I.; Votta, A.; Colucci, P.; Corsi, F.; Vitolo, S.; Cerri, C.; Puppi, D.; Lai, M.; Maya-Vetencourt, J.F.; Leigheb, M.; et al. Anti-inflammatory reprogramming of microglia cells by metabolic modulators to counteract neurodegeneration; a new role for Ranolazine. Sci. Rep. 2023, 13, 20138. [Google Scholar] [CrossRef] [PubMed]
- Fornari Laurindo, L.; Aparecido Dias, J.; Cressoni Araujo, A.; Torres Pomini, K.; Machado Galhardi, C.; Rucco Penteado Detregiachi, C.; Santos de Argollo Haber, L.; Donizeti Roque, D.; Dib Bechara, M.; Vialogo Marques de Castro, M.; et al. Immunological dimensions of neuroinflammation and microglial activation: Exploring innovative immunomodulatory approaches to mitigate neuroinflammatory progression. Front. Immunol. 2024, 14, 1305933. [Google Scholar] [CrossRef]
- Hu, K.; Wu, S.; Xu, J.; Zhang, Y.; Zhang, Y.; Wu, X.; Miao, J.; Yao, Y.; Zhu, S.; Chen, G.; et al. Pongamol alleviates neuroinflammation and promotes autophagy in Alzheimer’s disease by regulating the Akt/mTOR signaling pathway. J. Agric. Food Chem. 2024, 6. [Google Scholar] [CrossRef]
- McAlpine, C.S.; Park, J.; Griciuc, A.; Kim, E.; Choi, S.H.; Iwamoto, Y.; Kiss, M.G.; Christie, K.A.; Vinegoni, C.; Poller, W.C.; et al. Astrocyte-derived interleukin-3 reprograms microglia and limits Alzheimer’s disease. Nature 2021, 595, 701–706. [Google Scholar] [CrossRef]
- Chen, H.; Guo, Z.; Sun, Y.; Dai, Y. The immunometabolic reprogramming of microglia in Alzheimer’s disease. Neurochem. International. 2023, 171, 105614. [Google Scholar] [CrossRef]
- Dallman, M.F.; Pecoraro, N.C.; La Fleur, S.E.; Warne, J.P.; Ginsberg, A.B.; Akana, S.F.; Laugero, K.C.; Houshyar, H.; Strack, A.M.; Bhatnagar, S.; et al. Glucocorticoids, chronic stress, and obesity. Prog. Brain. Res. 2006, 153, 75–105. [Google Scholar] [CrossRef]
- Akalestou, E.; Genser, L.; Rutter, G.A. Glucocorticoid metabolism in obesity and following weight loss. Front. Endocrinol. 2020, 11, 59. [Google Scholar] [CrossRef]
- Sharma, V.K.; Singh, T.G. Navigating Alzheimer’s disease via chronic stress: The role of glucocorticoids. Curr. Drug. Targets. 2020, 21, 433–444. [Google Scholar] [CrossRef] [PubMed]
- Dolotov, O.V.; Inozemtseva, L.S.; Myasoedov, N.F.; Grivennikov, I.A. Stress-induced depression and Alzheimer’s disease: Focus on astrocytes. Int. J. Mol. Sci. 2022, 23, 4999. [Google Scholar] [CrossRef] [PubMed]
- Numakawa, T.; Kajihara, R. An Interaction between brain-derived neurotrophic factor and stress-related glucocorticoids in the pathophysiology of Alzheimer’s disease. Int. J. Mol. Sci. 2024, 25, 1596. [Google Scholar] [CrossRef] [PubMed]
- Libro, R.; Bramanti, P.; Mazzon, E. Endogenous glucocorticoids: Role in the etiopathogenesis of Alzheimer’s disease. Neuro. Endocrinol. Lett. 2017, 38, 1–12. [Google Scholar] [PubMed]
- Canet, G.; Zussy, C.; Hernandez, C.; Chevallier, N.; Marchi, N.; Desrumaux, C.; Givalois, L. Chronic glucocorticoids consumption triggers and worsens experimental Alzheimer’s disease-like pathology by detrimental immune modulations. Neuroendocrinology 2022, 112, 982–997. [Google Scholar] [CrossRef]
- Gulyaeva, N.V. Glucocorticoids orchestrate adult hippocampal plasticity: Growth points and translational aspects. Biochemistry 2023, 88, 565–589. [Google Scholar] [CrossRef]
- Hui, Z.; Zhijun, Y.; Yushan, Y.; Liping, C.; Yiying, Z.; Difan, Z.; Chunglit, C.T.; Wei, C. The combination of acyclovir and dexamethasone protects against Alzheimer’s disease-related cognitive impairments in mice. Psychopharmacology 2020, 237, 1851–1860. [Google Scholar] [CrossRef]
- Landfield, P.W.; Blalock, E.M.; Chen, K.C.; Porter, N.M. A new glucocorticoid hypothesis of brain aging: Implications for Alzheimer’s disease. Curr. Alzheimer Res. 2007, 4, 205–212. [Google Scholar] [CrossRef]
- Li, J.; Chen, L.; Liu, S.; Sun, Y.; Zhen, L.; Zhu, Z.; Wang, G.; Li, X. Hydrocortisone mitigates Alzheimer’s-related cognitive decline through modulating oxidative stress and neuroinflammation. Cells 2023, 12, 2348. [Google Scholar] [CrossRef]
- Pedrazzoli, M.; Losurdo, M.; Paolone, G.; Medelin, M.; Jaupaj, L.; Cisterna, B.; Slanzi, A.; Malatesta, M.; Coco, S.; Buffelli, M. Glucocorticoid receptors modulate dendritic spine plasticity and microglia activity in an animal model of Alzheimer’s disease. Neurobiol. Dis. 2019, 132, 104568. [Google Scholar] [CrossRef]
- Xu, J.; Zhang, P.; Huang, Y.; Zhou, Y.; Hou, Y.; Bekris, L.M.; Lathia, J.; Chiang, C.W.; Li, L.; Pieper, A.A.; et al. Multimodal single-cell/nucleus RNA sequencing data analysis uncovers molecular networks between disease-associated microglia and astrocytes with implications for drug repurposing in Alzheimer’s disease. Genome Res. 2021, 31, 1900–1912. [Google Scholar] [CrossRef] [PubMed]
- Ogrodnik, M.; Zhu, Y.I.; Langhi, L.G.; Tchkonia, T.; Krüger, P.; Fielder, E.; Victorelli, S.; Ruswhandi, R.A.; Giorgadze, N.; Pirtskhalava, T.; et al. Obesity-induced cellular senescence drives anxiety and impairs neurogenesis. Cell Metab. 2019, 29, 1061–1077.e8. [Google Scholar] [CrossRef] [PubMed]
- Ogrodnik, M.; Evans, S.A.; Fielder, E.; Victorelli, S.; Kruger, P.; Salmonowicz, H.; Weigand, B.M.; Patel, A.D.; Pirtskhalava, T.; Inman, C.L.; et al. Whole-body senescent cell clearance alleviates age-related brain inflammation and cognitive impairment in mice. Aging Cell 2021, 20, e13296. [Google Scholar] [CrossRef] [PubMed]
- Du, J.; Cheng, N.; Deng, Y.; Xiang, P.; Liang, J.; Zhang, Z.; Hei, Z.; Li, X. Astrocyte senescence-like response related to peripheral nerve injury-induced neuropathic pain. Cell Mol. Biol. Lett. 2023, 28, 65. [Google Scholar] [CrossRef]
- Ketelhut, R.; Bramlage, P. Candesartan cilexetil/hydrochlorothiazide treatment in high-risk patients with type 2 diabetes mellitus and microalbuminuria: The CHILI T2D study. Clin. Drug. Investig. 2010, 30, 301–311. [Google Scholar] [CrossRef]
- Suzuki, H.; Sakamoto, M.; Hayashi, T.; Iuchi, H.; Ohashi, K.; Isaka, T.; Sakamoto, N.; Kayama, Y.; Tojo, K.; Yoshimura, M.; et al. Effects of co-administration of candesartan with pioglitazone on inflammatory parameters in hypertensive patients with type 2 diabetes mellitus: A preliminary report. Cardiovasc. Diabetol. 2013, 12, 71. [Google Scholar] [CrossRef] [PubMed] [PubMed Central]
- Luo, H.; Wang, X.; Wang, J.; Chen, C.; Wang, N.; Xu, Z.; Chen, S.; Zeng, C. Chronic NF-κB blockade improves renal angiotensin II type 1 receptor functions and reduces blood pressure in Zucker diabetic rats. Cardiovasc. Diabetol. 2015, 14, 76. [Google Scholar] [CrossRef]
- Torika, N.; Asraf, K.; Apte, R.N.; Fleisher-Berkovich, S. Candesartan ameliorates brain inflammation associated with Alzheimer’s disease. CNS Neurosci. Ther. 2018, 24, 231–242. [Google Scholar] [CrossRef]
- Trigiani, L.J.; Royea, J.; Lacalle-Aurioles, M.; Tong, X.K.; Hamel, E. Pleiotropic benefits of the angiotensin receptor blocker candesartan in a mouse model of Alzheimer disease. Hypertension 2018, 72, 1217–1226. [Google Scholar] [CrossRef]
- Henley, B.; Okafor, M.; Kulshreshtha, A.; Trammell, A.; Hajjar, I. Effects of candesartan on cerebral microvascular function in mild cognitive impairment: Results of two clinical trials. Int. J. Stroke. 2023, 18, 736–744. [Google Scholar] [CrossRef]
- Wang, H.Y.; Cecon, E.; Dam, J.; Pei, Z.; Jockers, R.; Burns, L.H. Simufilam reverses aberrant receptor interactions of filamin A in Alzheimer’s Disease. Int. J. Mol. Sci. 2023, 24, 13927. [Google Scholar] [CrossRef] [PubMed]
- Wang, H.Y.; Pei, Z.; Lee, K.C.; Lopez-Brignoni, E.; Nikolov, B.; Crowley, C.A.; Marsman, M.R.; Barbier, R.; Friedmann, N.; Burns, L.H. PTI-125 reduces biomarkers of Alzheimer’s Disease in patients. J. Prev. Alzheimers. Dis. 2020, 7, 256–264. [Google Scholar] [CrossRef] [PubMed]
- Wang, H.Y.; Pei, Z.; Lee, K.C.; Nikolov, B.; Doehner, T.; Puente, J.; Friedmann, N.; Burns, L.H. Simufilam suppresses overactive mTOR and restores its sensitivity to insulin in Alzheimer’s disease patient lymphocytes. Front. Aging. 2023, 4, 1175601. [Google Scholar] [CrossRef] [PubMed]
- Bell, D.S.H.; Jerkins, T. In praise of pioglitazone: An economically efficacious therapy for type 2 diabetes and other manifestations of the metabolic syndrome. Diabetes Obes. Metab. 2023, 25, 3093–3102. [Google Scholar] [CrossRef] [PubMed]
- Ha, J.; Choi, D.W.; Kim, K.J.; Kim, K.Y.; Nam, C.M.; Kim, E. Pioglitazone use and reduced risk of dementia in patients with diabetes mellitus with a history of ischemic stroke. Neurology 2023, 100, e1799–e1811. [Google Scholar] [CrossRef] [PubMed]
- Hu, S.H.; Jiang, T.; Yang, S.S.; Yang, Y. Pioglitazone ameliorates intracerebral insulin resistance and tau-protein hyperphosphorylation in rats with type 2 diabetes. Exp. Clin. Endocrinol. Diabetes 2013, 121, 220–224. [Google Scholar] [CrossRef]
- Jiang, L.Y.; Tang, S.S.; Wang, X.Y.; Liu, L.P.; Long, Y.; Hu, M.; Liao, M.X.; Ding, Q.L.; Hu, W.; Li, J.C.; et al. PPARγ agonist pioglitazone reverses memory impairment and biochemical changes in a mouse model of type 2 diabetes mellitus. CNS. Neurosci. Ther. 2012, 18, 659–666. [Google Scholar] [CrossRef]
- Gao, F.; Zang, L.; Wu, D.Y.; Li, Y.J.; Zhang, Q.; Wang, H.B.; Tian, G.L.; Mu, Y.M. Pioglitazone improves the ability of learning and memory via activating ERK1/2 signaling pathway in the hippocampus of T2DM rats. Neurosci. Lett. 2017, 651, 165–170. [Google Scholar] [CrossRef]
- Basutkar, R.S.; Sudarsan, P.; Robin, S.M.; Bhaskar, V.; Viswanathan, B.; Sivasankaran, P. Drug repositioning of pioglitazone in management and improving the cognitive function among the patients with mild to moderate alzheimer’s disease: A systematic review and meta-analysis. Neurol. India 2023, 71, 1132–1141. [Google Scholar] [CrossRef] [PubMed]
- Yang, J.; Shi, X.; Wang, Y.; Ma, M.; Liu, H.; Wang, J.; Xu, Z. Multi-Target neuroprotection of thiazolidinediones on Alzheimer’s Disease via neuroinflammation and ferroptosis. J. Alzheimers Dis. 2023, 96, 927–945. [Google Scholar] [CrossRef]
- Alhowail, A.; Alsikhan, R.; Alsaud, M.; Aldubayan, M.; Rabbani, S.I. Protective effects of pioglitazone on cognitive impairment and the underlying mechanisms: A review of literature. Drug. Des. Devel. Ther. 2022, 16, 2919–2931. [Google Scholar] [CrossRef] [PubMed]
- Zhong, H.; Geng, R.; Zhang, Y.; Ding, J.; Liu, M.; Deng, S.; Tu, Q. Effects of peroxisome proliferator-activated receptor-gamma agonists on cognitive function: A systematic review and meta-analysis. Biomedicines 2023, 11, 246. [Google Scholar] [CrossRef]
- MacPherson, K.P.; Sompol, P.; Kannarkat, G.T.; Chang, J.; Sniffen, L.; Wildner, M.E.; Norris, C.M.; Tansey, M.G. Peripheral administration of the soluble TNF inhibitor XPro1595 modifies brain immune cell profiles, decreases beta-amyloid plaque load, and rescues impaired long-term potentiation in 5xFAD mice. Neurobiol. Dis. 2017, 102, 81–95. [Google Scholar] [CrossRef]
- Ruscitti, P.; Masedu, F.; Alvaro, S.; Airò, P.; Battafarano, N.; Cantarini, L.; Cantatore, F.P.; Carlino, G.; D’Abrosca, V.; Frassi, M.; et al. Anti-interleukin-1 treatment in patients with rheumatoid arthritis and type 2 diabetes (TRACK): A multicentre, open-label, randomized controlled trial. PLoS. Med. 2019, 16, e1002901. [Google Scholar] [CrossRef] [PubMed]
- Torres-Acosta, N.; O’Keefe, J.H.; O’Keefe, E.L.; Isaacson, R.; Small, G. Therapeutic potential of TNF-α inhibition for Alzheimer’s disease prevention. J. Alzheimers. Dis. 2020, 78, 619–626. [Google Scholar] [CrossRef]
- Zhou, M.; Xu, R.; Kaelber, D.C.; Gurney, M.E. Tumor Necrosis Factor (TNF) blocking agents are associated with lower risk for Alzheimer’s disease in patients with rheumatoid arthritis and psoriasis. PLoS ONE 2020, 15, e0229819. [Google Scholar] [CrossRef] [PubMed]
- Park, J.; Lee, S.Y.; Shon, J.; Kim, K.; Lee, H.J.; Kim, K.A.; Lee, B.Y.; Oh, S.H.; Kim, N.K.; Kim, O.J. Adalimumab improves cognitive impairment, exerts neuroprotective effects and attenuates neuroinflammation in an Aβ 1-40 injected mouse model of Alzheimer’s disease. Cytotherapy 2019, 21, 671–682. [Google Scholar] [CrossRef] [PubMed]
- Liu, J.; Zaidi, A.; Pike, C.J. Microglia/macrophage-specific deletion of TLR-4 protects against neural effects of diet-induced obesity. bioRxiv 2024, 14, 2024.02.13.580189. [Google Scholar] [CrossRef]
- Abdul, Y.; Abdelsaid, M.; Li, W.; Webb, R.C.; Sullivan, J.C.; Dong, G.; Ergul, A. Inhibition of toll-like receptor-4 (TLR-4) improves neurobehavioral outcomes after acute ischemic stroke in diabetic rats: Possible role of vascular endothelial TLR-4. Mol. Neurobiol. 2019, 56, 1607–1617. [Google Scholar] [CrossRef]
- Gussago, C.; Casati, M.; Ferri, E.; Arosio, B. The triggering receptor expressed on myeloid cells-2 (TREM-2) as expression of the relationship between microglia and Alzheimer’s disease: A novel marker for a promising pathway to explore. J. Frailty Aging. 2019, 8, 54–56. [Google Scholar] [CrossRef]
- Raha, A.A.; Henderson, J.W.; Stott, S.R.; Vuono, R.; Foscarin, S.; Friedland, R.P.; Zaman, S.H.; Raha-Chowdhury, R. Neuroprotective effect of TREM-2 in aging and Alzheimer’s disease model. J. Alzheimers Dis. 2017, 55, 199–217. [Google Scholar] [CrossRef] [PubMed]
- Sheng, L.; Chen, M.; Cai, K.; Song, Y.; Yu, D.; Zhang, H.; Xu, G. Microglial Trem2 induces synaptic impairment at early stage and prevents amyloidosis at late stage in APP/PS1 mice. FASEB J. 2019, 33, 10425–10442. [Google Scholar] [CrossRef] [PubMed]
- Cui, W.; Sun, C.; Ma, Y.; Wang, S.; Wang, X.; Zhang, Y. Inhibition of TLR4 induces M2 microglial polarization and provides neuroprotection via the NLRP3 inflammasome in Alzheimer’s disease. Front. Neurosci. 2020, 14, 44. [Google Scholar] [CrossRef] [PubMed]
- Balducci, C.; Frasca, A.; Zotti, M.; La Vitola, P.; Mhillaj, E.; Grigoli, E.; Iacobellis, M.; Grandi, F.; Messa, M.; Colombo, L.; et al. Toll-like receptor 4-dependent glial cell activation mediates the impairment in memory establishment induced by β-amyloid oligomers in an acute mouse model of Alzheimer’s disease. Brain. Behav. Immun. 2017, 60, 188–197. [Google Scholar] [CrossRef] [PubMed]
- Sharma, V.; Sharma, P.; Singh, T.G. Mechanistic insights on TLR-4 mediated inflammatory pathway in neurodegenerative diseases. Pharmacol. Rep. 2024, 76, 679–692. [Google Scholar] [CrossRef] [PubMed]
- Walker, D.G.; Tang, T.M.; Lue, L.F. Increased expression of toll-like receptor 3, an anti-viral signaling molecule, and related genes in Alzheimer’s disease brains. Exp. Neurol. 2018, 309, 91–106. [Google Scholar] [CrossRef]
- Abdo Qaid, E.Y.; Abdullah, Z.; Zakaria, R.; Long, I. Minocycline mitigates tau pathology via modulating the TLR-4/NF-кβ signalling pathway in the hippocampus of neuroinflammation rat model. Neurol. Res. 2024, 46, 261–271. [Google Scholar] [CrossRef]
- Kigerl, K.A.; Lai, W.; Rivest, S.; Hart, R.P.; Satoskar, A.R.; Popovich, P.G. Toll-like receptor (TLR)-2 and TLR-4 regulate inflammation, gliosis, and myelin sparing after spinal cord injury. J. Neurochem. 2007, 102, 37–50. [Google Scholar] [CrossRef]
- Murray, T.E.; Wenzel, T.J.; Simtchouk, S.; Greuel, B.K.; Gibon, J.; Klegeris, A. Extracellular cardiolipin modulates select immune functions of astrocytes in toll-like receptor (TLR) 4-dependent manner. Mediators. Inflamm. 2022, 2022, 9946439. [Google Scholar] [CrossRef]
- Wenzel, T.J.; Ranger, A.L.; McRae, S.A.; Klegeris, A. Extracellular cardiolipin modulates microglial phagocytosis and cytokine secretion in a toll-like receptor (TLR) 4-dependent manner. J. Neuroimmunol. 2021, 353, 577496. [Google Scholar] [CrossRef]
- Dey, R.; Sultana, S.; Bishayi, B. Combination treatment of celecoxib and ciprofloxacin attenuates live S. aureus induced oxidative damage and inflammation in murine microglia via regulation of cytokine balance. J. Neuroimmunol. 2018, 316, 23–39. [Google Scholar] [CrossRef] [PubMed]
- Dey, R.; Bishayi, B. Dexamethasone along with ciprofloxacin modulates S. aureus induced microglial inflammation via glucocorticoid (GC)-GC receptor-mediated pathway. Microb. Pathog. 2020, 145, 104227. [Google Scholar] [CrossRef] [PubMed]
- Dey, R.; Bishayi, B. Ascorbic acid along with ciprofloxacin regulates S. aureus induced microglial inflammatory responses and oxidative stress through TLR-2 and glucocorticoid receptor modulation. Inflammopharmacology 2022, 30, 1303–1322. [Google Scholar] [CrossRef] [PubMed]
- Ye, Y.; Jin, T.; Zhang, X.; Zeng, Z.; Ye, B.; Wang, J.; Zhong, Y.; Xiong, X.; Gu, L. Meisoindigo protects against focal cerebral ischemia-reperfusion injury by inhibiting NLRP3 inflammasome activation and regulating microglia/macrophage polarization via TLR4/NF-κB signaling pathway. Front. Cell. Neurosci. 2019, 13, 553. [Google Scholar] [CrossRef]
- Gan, P.; Ding, L.; Hang, G.; Xia, Q.; Huang, Z.; Ye, X.; Qian, X. Oxymatrine attenuates dopaminergic neuronal damage and microglia-mediated neuroinflammation through cathepsin D-Dependent HMGB1/TLR4/NF-κB pathway in Parkinson’s disease. Front. Pharmacol. 2020, 11, 776. [Google Scholar] [CrossRef]
- Dong, P.; Ji, X.; Han, W.; Han, H. Oxymatrine exhibits anti-neuroinflammatory effects on Aβ1–42-induced primary microglia cells by inhibiting NF-κB and MAPK signaling pathways. Int. Immunopharmacol. 2019, 74, 105686. [Google Scholar] [CrossRef]
- Ding, F.; Li, Y.; Hou, X.; Zhang, R.; Hu, S.; Wang, Y. Oxymatrine inhibits microglia activation via HSP60-TLR4 signaling. Biomed. Rep. 2016, 5, 623–628. [Google Scholar] [CrossRef]
- Wang, X.L.; Chen, F.; Shi, H.; Zhang, M.; Yan, L.; Pei, X.Y.; Peng, X.D. Oxymatrine inhibits neuroinflammation by regulating M1/M2 polarization in N9 microglia through the TLR4/NF-κB pathway. Int. Immunopharmacol. 2021, 100, 108139. [Google Scholar] [CrossRef]
- Ju, M.; Liu, Y.; Li, M.; Cheng, M.; Zhang, Y.; Deng, G.; Kang, X.; Liu, H. Baicalin improves intestinal microecology and abnormal metabolism induced by high-fat diet. Eur. J. Pharmacol. 2019, 857, 172457. [Google Scholar] [CrossRef]
- Jiang, H.; Yao, Q.; An, Y.; Fan, L.; Wang, J.; Li, H. Baicalin suppresses the progression of Type 2 diabetes-induced liver tumor through regulating METTL3/ A/HKDC1 axis and downstream p-JAK2/STAT1/clevaged Capase3 pathway. Phytomedicine 2022, 94, 153823. [Google Scholar] [CrossRef]
- Jin, X.; Liu, M.Y.; Zhang, D.F.; Zhong, X.; Du, K.; Qian, P.; Yao, W.F.; Gao, H.; Wei, M.J. Baicalin mitigates cognitive impairment and protects neurons from microglia-mediated neuroinflammation via suppressing NLRP3 inflammasomes and TLR4/NF-κB signaling pathway. CNS Neurosci. Ther. 2019, 25, 575–590. [Google Scholar] [CrossRef] [PubMed]
- Chen, C.; Li, X.; Gao, P.; Tu, Y.; Zhao, M.; Li, J.; Zhang, S.; Liang, H. Baicalin attenuates Alzheimer-like pathological changes and memory deficits induced by amyloid β1-42 protein. Metab. Brain Dis. 2015, 30, 537–544. [Google Scholar] [CrossRef] [PubMed]
- Li, B.; Wang, M.; Chen, S.; Li, M.; Zeng, J.; Wu, S.; Tu, Y.; Li, Y.; Zhang, R.; Huang, F.; et al. Baicalin mitigates the neuroinflammation through the TLR4/MyD88/NFκB and MAPK pathways in LPS-stimulated BV-2 microglia. Biomed. Res. Int. 2022, 2022, 3263446. [Google Scholar] [CrossRef] [PubMed]
- Zhao, J.; Lu, S.; Yu, H.; Duan, S.; Zhao, J. Baicalin and ginsenoside Rb1 promote the proliferation and differentiation of neural stem cells in Alzheimer’s disease model rats. Brain Res. 2018, 1678, 187–194. [Google Scholar] [CrossRef] [PubMed]
- Purvis, G.S.; Collino, M.; Aranda-Tavio, H.; Chiazza, F.; O’Riordan, C.E.; Zeboudj, L.; Mohammad, S.; Collotta, D.; Verta, R.; Guisot, N.E.; et al. Inhibition of Bruton’s TK regulates macrophage NF-κB and NLRP3 inflammasome activation in metabolic inflammation. Br. J. Pharmacol. 2020, 177, 4416–4432. [Google Scholar] [CrossRef]
- Althubiti, M.; Almaimani, R.; Eid, S.Y.; Elzubaier, M.; Refaat, B.; Idris, S.; Alqurashi, T.A.; El-Readi, M.Z. BTK targeting suppresses inflammatory genes and ameliorates insulin resistance. Eur. Cytokine Netw. 2020, 31, 168–179. [Google Scholar] [CrossRef]
- Sun, W.; Zhao, J.; Li, C. Dexmedetomidine provides protection against hippocampal neuron apoptosis and cognitive impairment in mice with Alzheimer’s disease by mediating the miR-129/YAP1/JAG1 axis. Mol. Neurobiol. 2020, 57, 5044–5055. [Google Scholar] [CrossRef] [PubMed]
- Lee, H.J.; Jeon, S.G.; Kim, J.; Kang, R.J.; Kim, S.M.; Han, K.M.; Park, H.; Kim, K.T.; Sung, Y.M.; Nam, H.Y.; et al. Ibrutinib modulates Aβ/tau pathology, neuroinflammation, and cognitive function in mouse models of Alzheimer’s disease. Aging Cell. 2021, 20, e13332. [Google Scholar] [CrossRef]
- Lee, H.J.; Hoe, H.S. Repurposing ibrutinib: Therapeutic effects and implications for translational approaches in Alzheimer’s disease. Neural. Regen. Res. 2023, 18, 2194–2195. [Google Scholar] [CrossRef]
- Li, H.; Zhang, X.; Chen, M.; Chen, J.; Gao, T.; Yao, S. Dexmedetomidine inhibits inflammation in microglia cells under stimulation of LPS and ATP by c-Fos/NLRP3/caspase-1 cascades. EXCLI J. 2018, 17, 302–311. [Google Scholar] [CrossRef]
- Burlacu, C.C.; Neag, M.A.; Mitre, A.O.; Sirbu, A.C.; Badulescu, A.V.; Buzoianu, A.D. The role of miRNAs in dexmedetomidine’s neuroprotective effects against brain disorders. Int. J. Mol. Sci. 2022, 23, 5452. [Google Scholar] [CrossRef] [PubMed]
- Wang, Y.; Jia, A.; Ma, W. Dexmedetomidine attenuates the toxicity of β-amyloid on neurons and astrocytes by increasing BDNF production under the regulation of HDAC2 and HDAC5. Mol. Med. Rep. 2019, 19, 533–540. [Google Scholar] [CrossRef] [PubMed]
- Li, P.; Shen, T.; Luo, X.; Yang, J.; Luo, Z.; Tan, Y.; He, G.; Wang, Z.; Yu, X.; Wang, Y.; et al. Modulation of microglial phenotypes by dexmedetomidine through TREM2 reduces neuroinflammation in heatstroke. Sci. Rep. 2021, 11, 13345. [Google Scholar] [CrossRef] [PubMed]
- Munoz, L.; Ranaivo, H.R.; Roy, S.M.; Hu, W.; Craft, J.M.; McNamara, L.K.; Chico, L.W.; Van Eldik, L.J.; Watterson, D.M. A novel p38 alpha MAPK inhibitor suppresses brain proinflammatory cytokine up-regulation and attenuates synaptic dysfunction and behavioral deficits in an Alzheimer’s disease mouse model. J. Neuroinflamm. 2007, 4, 21. [Google Scholar] [CrossRef] [PubMed]
- Alam, J.; Blackburn, K.; Patrick, D. Neflamapimod: Clinical phase 2b-Ready oral small molecule inhibitor of p38α to reverse synaptic dysfunction in early Alzheimer’s disease. J. Prev. Alzheimers. Dis. 2017, 4, 273–278. [Google Scholar] [CrossRef]
- Prins, N.D.; Harrison, J.E.; Chu, H.M.; Blackburn, K.; Alam, J.J.; Scheltens, P. A phase 2 double-blind placebo-controlled 24-week treatment clinical study of the p38 alpha kinase inhibitor neflamapimod in mild Alzheimer’s disease. Alzheimers Res. Ther. 2021, 13, 106. [Google Scholar] [CrossRef]
- O’Sullivan, J.B.; Ryan, K.M.; Curtin, N.M.; Harkin, A.; Connor, T.J. Noradrenaline reuptake inhibitors limit neuroinflammation in rat cortex following a systemic inflammatory challenge: Implications for depression and neurodegeneration. Int. J. Neuropsychopharmacol. 2009, 12, 687–699. [Google Scholar] [CrossRef]
- Lu, C.; Huang, C.; Qu, S.; Lin, H.; Zhong, H.J.; Chong, C.M. Oxyimperatorin attenuates LPS-induced microglial activation in vitro and in vivo via suppressing NF-κB p65 signaling. Biomed. Pharmacother. 2024, 173, 116379. [Google Scholar] [CrossRef]
- Chen, R.; Wang, Z.; Zhi, Z.; Tian, J.; Zhao, Y.; Sun, J. Targeting the TLR4/NF-κB pathway in β-amyloid-stimulated microglial cells: A possible mechanism that oxysophoridine exerts anti-oxidative and anti-inflammatory effects in an in vitro model of Alzheimer’s disease. Brain Res. Bull. 2021, 175, 150–157. [Google Scholar] [CrossRef]
- Fan, M.; Wang, C.; Zhao, X.; Jiang, Y.; Wang, C. Parthenolide alleviates microglia-mediated neuroinflammation via MAPK/TRIM31/NLRP3 signaling to ameliorate cognitive disorder. Int. Immunopharmacol. 2023, 120, 110287. [Google Scholar] [CrossRef]
- Bułdak, Ł.; Machnik, G.; Skudrzyk, E.; Bołdys, A.; Okopień, B. The impact of exenatide (a GLP-1 agonist) on markers of inflammation and oxidative stress in normal human astrocytes subjected to various glycemic conditions. Exp. Ther. Med. 2019, 17, 2861–2869. [Google Scholar] [CrossRef] [PubMed]
- Shippy, D.C.; Ulland, T.K. Genome-wide identification of murine interferon genes in microglial-mediated neuroinflammation in Alzheimer’s disease. J. Neuroimmunol. 2023, 375, 578031. [Google Scholar] [CrossRef] [PubMed]
- Shie, F.S.; Nivison, M.; Hsu, P.C.; Montine, T.J. Genome-wide identification of murine interferon genes in microglial-mediated neuroinflammation -activated receptor gamma. Curr. Med. Chem. 2009, 16, 643–651. [Google Scholar] [CrossRef] [PubMed]
- Hornedo-Ortega, R.; Cerezo, A.B.; De Pablos, R.M.; Krisa, S.; Richard, T.; García-Parrilla, M.C.; Troncoso, A.M. Phenolic Compounds Characteristic of the Mediterranean Diet in Mitigating Microglia-Mediated Neuroinflammation. Front Cell Neurosci. 2018, 12, 373. [Google Scholar] [CrossRef] [PubMed]
- Albert, K.; Niskanen, J.; Kälvälä, S.; Lehtonen, Š. Utilising induced pluripotent stem cells in neurodegenerative disease research: Focus on glia. Int. J. Mol. Sci. 2021, 22, 4334. [Google Scholar] [CrossRef]
- Haenseler, W.; Rajendran, L. Concise review: Modeling neurodegenerative diseases with human pluripotent stem cell-derived microglia. Stem Cells 2019, 37, 724–730. [Google Scholar] [CrossRef]
- Wang, L.L.; Serrano, C.; Zhong, X.; Ma, S.; Zou, Y.; Zhang, C.L. Revisiting astrocyte to neuron conversion with lineage tracing in vivo. Cell 2021, 184, 5465–5481.e16. [Google Scholar] [CrossRef]
- Zare, L.; Baharvand, H.; Javan, M. In vivo conversion of astrocytes to oligodendrocyte lineage cells using chemicals: Targeting gliosis for myelin repair. Regen. Med. 2018, 13, 803–819. [Google Scholar] [CrossRef]
- Zarei-Kheirabadi, M.; Hesaraki, M.; Kiani, S.; Baharvand, H. In vivo conversion of rat astrocytes into neuronal cells through neural stem cells in injured spinal cord with a single zinc-finger transcription factor. Stem Cell Res. Ther. 2019, 10, 380. [Google Scholar] [CrossRef]
- Aravantinou-Fatorou, K.; Thomaidou, D. In vitro direct reprogramming of mouse and human astrocytes to induced neurons. Methods Mol. Biol. 2020, 2155, 41–202061. [Google Scholar] [CrossRef]
- Upadhya, R.; Zingg, W.; Shetty, S.; Shetty, A.K. Astrocyte-derived extracellular vesicles: Neuroreparative properties and role in the pathogenesis of neurodegenerative disorders. J. Control Release 2020, 323, 225–239. [Google Scholar] [CrossRef] [PubMed]
- Li, Y.; Liu, Z.; Song, Y.; Pan, J.J.; Jiang, Y.; Shi, X.; Liu, C.; Ma, Y.; Luo, L.; Mamtilahun, M.; et al. M2 microglia-derived extracellular vesicles promote white matter repair and functional recovery via miR-23a-5p after cerebral ischemia in mice. Theranostics 2022, 12, 3553–3573. [Google Scholar] [CrossRef] [PubMed]
- Reed, S.L.; Escayg, A. Extracellular vesicles in the treatment of neurological disorders. Neurobiol. Dis. 2021, 157, 105445. [Google Scholar] [CrossRef] [PubMed]
- Hering, C.; Shetty, A.K. Extracellular vesicles derived from neural stem cells, astrocytes, and microglia as therapeutics for easing TBI-induced brain dysfunction. Stem Cells Transl. Med. 2023, 12, 140–153. [Google Scholar] [CrossRef]
- Pan, J.J.; Qi, L.; Wang, L.; Liu, C.; Song, Y.; Mamtilahun, M.; Hu, X.; Li, Y.; Chen, X.; Khan, H.; et al. M2 Microglial extracellular vesicles attenuated blood-brain barrier disruption via MiR-23a-5p in cerebral ischemic mice. Aging Dis. 2024, 15, 1344–1356. [Google Scholar] [CrossRef]
- Li, X.; Ji, M.; Zhang, H.; Liu, Z.; Chai, Y.; Cheng, Q.; Yang, Y.; Cordato, D.; Gao, J. Non-drug Therapies for Alzheimer’s Disease: A Review. Neurol. Ther. 2023, 12, 39–72. [Google Scholar] [CrossRef]
- Jiang, J.; Shi, H.; Jiang, S.; Wang, A.; Zou, X.; Wang, Y.; Li, W.; Zhang, Y.; Sun, M.; Ren, Q.; et al. Nutrition in Alzheimer’s disease: A review of an underappreciated pathophysiological mechanism. Sci. China Life Sci. 2023, 66, 2257–2279. [Google Scholar] [CrossRef]
- Carranza-Naval, M.J.; Vargas-Soria, M.; Hierro-Bujalance, C.; Baena-Nieto, G.; Garcia-Alloza, M.; Infante-Garcia, C.; Del Marco, A. Alzheimer’s disease and diabetes: Role of diet, microbiota and inflammation in preclinical models. Biomolecules 2021, 11, 262. [Google Scholar] [CrossRef] [PubMed] [PubMed Central]
- Maesako, M.; Uemura, K.; Kubota, M.; Kuzuya, A.; Sasaki, K.; Hayashida, N.; Asada-Utsugi, M.; Watanabe, K.; Uemura, M.; Kihara, T.; et al. Exercise is more effective than diet control in preventing high fat diet-induced β-amyloid deposition and memory deficit in amyloid precursor protein transgenic mice. J. Biol. Chem. 2012, 287, 23024–23033. [Google Scholar] [CrossRef]
- Xiang, C.; Zhang, Y. Comparison of cognitive intervention strategies for individuals with Alzheimer’s disease: A systematic review and network meta-analysis. Neuropsychol. Rev. 2023, 16. [Google Scholar] [CrossRef]
- Liang, S.; Zhou, J.; Yu, X.; Lu, S.; Liu, R. Neuronal conversion from glia to replenish the lost neurons. Neural Regen. Res. 2024, 19, 1446–1453. [Google Scholar] [CrossRef] [PubMed]
- Greeny, A.; Nair, A.; Sadanandan, P.; Satarker, S.; Famurewa, A.C.; Nampoothiri, M. Epigenetic Alterations in Alzheimer’s Disease: Impact on Insulin Signaling and Advanced Drug Delivery Systems. Biology 2024, 13, 157. [Google Scholar] [CrossRef] [PubMed]
- Holloway, K.; Neherin, K.; Dam, K.U.; Zhang, H. Cellular senescence and neurodegeneration. Hum. Genet. 2023, 142, 1247–1262. [Google Scholar] [CrossRef] [PubMed]
- Singh, S.; Bhatt, L.K. Targeting Cellular Senescence: A Potential Therapeutic approach for Alzheimer’s Disease. Curr. Mol. Pharmacol. 2024, 17, e010623217543. [Google Scholar] [CrossRef]
- Chow, H.M.; Shi, M.; Cheng, A.; Gao, Y.; Chen, G.; Song, X.; So, R.W.; Zhang, J.; Herrup, K. Age-related hyperinsulinemia leads to insulin resistance in neurons and cell-cycle-induced senescence. Nat. Neurosci. 2019, 22, 1806–1819. [Google Scholar] [CrossRef]
- Sun, W.; Chen, Y.; Yang, Y.; Wang, P.; Gong, J.; Han, X.; Xu, C.; Luan, H.; Li, S.; Li, R.; et al. Characteristics and Transcriptomic Analysis of Cholinergic Neurons Derived from Induced Pluripotent Stem Cells with APP Mutation in Alzheimer’s Disease. J. Alzheimers Dis. 2024, 101, 637–649. [Google Scholar] [CrossRef]
- Weiner, S.P.; Carr, K.D. Behavioral tests of the insulin-cholinergic-dopamine link in nucleus accumbens and inhibition by high fat-high sugar diet in male and female rats. Physiol Behav. 2024, 284, 114647. [Google Scholar] [CrossRef]
- Villeda-González, J.D.; Gómez-Olivares, J.L.; Baiza-Gutman, L.A. New paradigms in the study of the cholinergic system and metabolic diseases: Acetyl-and- butyrylcholinesterase. J. Cell Physiol. 2024, 239, e31274. [Google Scholar] [CrossRef]
- Izuo, N.; Watanabe, N.; Noda, Y.; Saito, T.; Saido, T.C.; Yokote, K.; Hotta, H.; Shimizu, T. Insulin resistance induces earlier initiation of cognitive dysfunction mediated by cholinergic deregulation in a mouse model of Alzheimer’s disease. Aging Cell 2023, 22, e13994. [Google Scholar] [CrossRef]
- Baduini, I.R.; Vildosola, J.E.; Kavehmoghaddam, S.; Kiliç, F.; Nadeem, S.A.; Nizama, J.J.; Rowand, M.A.; Annapureddy, D.; Bryan, C.A.; Do, L.H.; et al. Type 2 diabetes mellitus and neurodegenerative disorders: The mitochondrial connection. Pharmacol Res. 2024, 209, 107439. [Google Scholar] [CrossRef]
- Pumo, A.; Legeay, S. The dichotomous activities of microglia: A potential driver for phenotypic heterogeneity in Alzheimer’s disease. Brain Res. 2024, 1832, 148817. [Google Scholar] [CrossRef] [PubMed]











) or hypercaloric (H; blue–white bars
) diet versus the mean values given by wild type (non-transgenic) controls. Cholesterol concentrations in the liver (mg/g liver tissue) (Chol liver) are also shown to show damage to peripheral tissues (increasing “metabolic disease” in peripheral organs), which may secondarily increase neuroinflammation. In the groups treated with a hyper-caloric diet, there are statistically significant differences versus the normal control (asterisk) and statistically significant differences versus genetically modified mice fed a normal diet (black square).
) or hypercaloric (H; blue–white bars
) diet versus the mean values given by wild type (non-transgenic) controls. Cholesterol concentrations in the liver (mg/g liver tissue) (Chol liver) are also shown to show damage to peripheral tissues (increasing “metabolic disease” in peripheral organs), which may secondarily increase neuroinflammation. In the groups treated with a hyper-caloric diet, there are statistically significant differences versus the normal control (asterisk) and statistically significant differences versus genetically modified mice fed a normal diet (black square).



| DRUG/INTERVENTIONS | COMENTS/OBSERVATIONS | OBESITY/T2D | AD/MCI | ||||
|---|---|---|---|---|---|---|---|
| Ref (PRE-CL + Rew) | CLIN-TRIALs | Ref (PRE-CL + Rew) | CLIN-TRIALs | ||||
| GENERIC ANTI-INFLAMMATORY TREATMENTS | Modulators of pro-inflammatory cytokins secreted by diverse types of neuroglial cells or neurons | ||||||
| NSAIDS and Anti-COX2 | Potent anti-inflammatory drugs in peripheral tissues with action on neuroinflammatory processes. Cooperative drugs in multimodal AD therapies | [475,476,477,478] | [479,480,481,482,483,484,485] | ||||
| Indomethacin | Also targets many proteins in brain | [486] | [487,488,489,490,491] | 1 | |||
| Diclofenac | Special action on microglia | [492,493] | (Obesity 2) | [494] | |||
| Celecoxib | Potent anti-COX2 | [495,496,497] | 2 (Obesity 5) | [498,499,500,501] | 4 | ||
| Melatonin | [502,503,504,505] | 6 (Obesity 14) | [506,507,508,509] | 7 | |||
| Minocyclin | Antibiotic (tetracyclin) Anti-inflammatory | [510,511] | [512,513,514,515] | 1 | |||
| Interleukine-2 | Brain anti-inflammatory and regulatory of T cells expansion and activation (Tregs). IL-2 induces astrocytic activation and recruitment around amyloid plaques, decreasing amyloid plaque load | ||||||
| IL-2 molecule | [516,517,518] | [516,519,520] | 3 | ||||
| AVV- Il-2 gene vector | [520] | ||||||
| Interleukine-1 antagonists | Interleukin 1beta is the most potent pro-inflammatory cytokine (along with TNF, studied below along with treatments against activated microglia) | ||||||
| interleukin-1 receptor antagonist (IL-1RA) | IL-1RA is a human protein that non-productively binds interleukin-1 receptors, preventing IL-1 responses | [521] | 8 (Obesity 3) | [521,522,523] | |||
| IL1-beta vaccine | 1 | ||||||
| IL-1β antibody/canakinumab | It presents problems in the passage of BBB. It is highly effective in reducing TNF-1beta of peripheral origin. There are 111 clinical trials on peripheral inflammation/syndroms | [524,525,526] | 5 | [524,525,526] | 3 | ||
| Cholesterol-lowering drugs | Simvastatin, Lovastatin | Cholesterol-lowering drugs reduce intracellular and extracellular levels of Aβ42 and Aβ40 peptides and neuroinflammation Well-studied in the brain in AD, not in T2D (where there are instead many clinical trials). It is part of the antidiabetic polypill | [527] | 2 | [528,529,530,531] | 1 | |
| Polyphenolic compounds | Polyphenols are natural substances that have several beneficial effects acting on neuroglial cells (astrocytes and microglia): anti-inflammatory, antioxidant, anti-NO | ||||||
| Polyphenols/Isoflavones (in general) | [532] | 31 (Obesity 65) | [533,534,535,536,537,538] | 6 (MCI 1) | |||
| Resveratrol | [539,540,541,542] | 16 (Obesity 20) | [543,544,545,546,547,548] | 6 (MCI 4) | |||
| Epigallocatechin-3-Gallate | [549,550] | 4 ((Obesity 8) | [549,550] | 3 (MCI -) | |||
| Epicatechin, catechin | [551,552,553,554] | 3 (Obesity 6) | [555,556] | 1 (MCI -) | |||
| Quercetin | [554,557,558] | 2 (Obesity 4) | [557,559,560,561,562] | 6 (MCI 4) | |||
| Curcumin | [553,563,564,565,566,567,568] | 10 (Obesity 8) | [569,570,571,572,573] | 7 (MCI 7) | |||
| Ginkgo Biloba | [574,575] | ||||||
| Ferulic acid | [576] | ||||||
| Taxifolin | [577] | [578,579,580] | |||||
| Vitamins and pro-vitamins | Vitamins and provitamins have antioxidant and antineuroinflammatory effects on the brain. There are many clinical studies on obesity and T2D since these substances play an important role in the genesis and development of the disease | [581] | 200 (Obesity 313) | [582,583,584,585,586,587,588,589,590] | 37 (MCI 27) | ||
| Antidiabetic Drugs | Hyperglycemia, hyperinsulinemia, and insulin resistance are phenomena shared by T2D and AD (see text). These pathological alterations affect neuroglial cells (mainly astrocytes and microglia cells). Antidiabetic treatments reduce neuroinflammation in AD. Clinical trials are shown here | [57,460,461,462,463,591,592,593,594,595,596] | |||||
| Semaglutide | 4 | ||||||
| Liraglutide | 2 | ||||||
| Pioglitazone | 3 | ||||||
| Rosiglitazone | 15 | ||||||
| Insulin | 36 | ||||||
| Metformin | 4 | ||||||
| LIFESTYLE INTERVENTIONS | |||||||
| Diet | Diverse types of diets (Mediterranean, ketogenic, etc.). Diet is a main regulator of risk factors for T2D and AD diseases, acting on neuroinflammation and metabolic processes | [439,597,598,599,600,601,602,603,604,605,606,607,608] | 41 (Obesity 3181) | [567,609,610,611,612,613,614,615,616,617,618,619,620,621,622,623,624] | 105 (MCI 77) | ||
| exercise | Programmed/regulated. Main component of healthy lifestyle. Exercise regulates neuroinflammatory processes | [625,626] | 49 (Obesity 3036) | [627,628,629,630,631,632,633,634,635,636,637] | 49 (MCI 273) | ||
| CELL AND GENIC TREATMENTS | |||||||
| Stem cell therapy | |||||||
| Astrocyte transplants | [638] | ||||||
| Mesenchymal cells of different origins (adipose tissue and umbilical cord) | [639,640,641,642,643,644] | 3 (Obesity 2) | [645,646] | 27 | |||
| Exosomes of stem cells of different origins, including laboratory-manufactured liposomes | [647,648] | [616,649,650,651,652,653,654] | |||||
| Mitochondrial transplants | [655,656,657,658,659] | ||||||
| GENE THERAPY | Gene vectorization (neurotrophins, APOE | ||||||
| AAV-BDNF | 1 (MCI 1) | ||||||
| AAV-NGF | 4 (MCI 1) | ||||||
| AAV-APOE2 | 2 | ||||||
| AAV-telomerase | 1 | ||||||
| MICROGLIA REPROGRAMMING | Induction of the change from M1 phenotype to M2 phenotype in microglia cells using different methods (drugs, diets, nutraceuticals, and interleukin-3) | [200,660,661] | [662,663,664,665] | ||||
| ASTROGLIA TREATMENTS | |||||||
| Glucocorticoids | Antioxidants and anti-inflammatories. Used with caution in T2D due to possible adverse effects | ||||||
| dexametasone, prednisone, etc. | Synthetic molecules similar to naturally occurring steroid hormones. Anti-inflammatory, neuroprotectors, inducers of neroplasticity. Protection against AD stress, acting on astrocytes | [666,667] | 1 (Obesity 23) | [668,669,670,671,672,673,674,675,676,677,678] | 6 (MCI 4) | ||
| OLIGODENDROGLIA TREATMENTS | |||||||
| Quercetin + Desatinib (senolytic cocktail) | Decreases the number of neurotoxic/senile pro-oligodendrocytes | [679] | 1 | [240,680,681] | 7 | ||
| MICROGLIA TREATMENTS | |||||||
| Neuroinflammatory microglial modifiers | Induce pro-neroinflammatory phenotypes to change to anti-neuroinflammatory/phagocytic phenotypes | ||||||
| Candesartan | Angiotensin II type 1 receptor blocker. Induces a more anti-inflammatory microglia phenotipe and also reduces NO and TGF- β1 levels | [682,683,684] | 6 | [685,686,687] | 5 | ||
| simufilam | Binds to Filamin A, scaffolding protein, and regulator of the actin cytoskeleton. Induces changes from a pro-inflammatory to a phagocytic microglial state: improves mitochondrial function. Filamin has been claimed to stabilize the high-affinity interaction of soluble Aβ42 and the α7 nicotinic acetylcholine receptor (α7nAChR), which has been reported to trigger tau phosphorylation and synaptic dysfunction in some experimental systems | [688,689,690] | 7 | ||||
| PPAR modulation | Peroxisome proliferator-activated receptors (PPAR) down-regulate the expression of genes related to microglial activation | ||||||
| GF1803 | Pan alfa/delta/gamma-PPAR agonist | 1 | |||||
| Pioglitazone | gamma-PPAR agonist | [691,692,693,694,695] | 22 | [696,697,698,699,700] | 7 | ||
| TNFalpha modifiers | TNF alpha pro-inflammatory cytokin inhibitors | ||||||
| Etanercept, Adalimumab | Monoclonal antibodies. TNF alpha receptor blockers | [701] | [702,703,704] | 5 | |||
| Pegipanermin/CXPro 1595 | TNF variant devoid of TNF receptor-binding activity. Blocks soluble TNFalpha-forming heterotrimers | [700] | 4 | ||||
| TREM2 and TLR 1-4 | Triggering Receptor Expressed on Myeloid cells-2 (TREMP-2) and Toll-like receptors (TLR 1-4) modulation, promoting phagocitic microglial responses and anti-inflammation | [705,706] | [707,708,709,710,711,712,713,714,715,716,717] | ||||
| (ciprofloxacin/levofloxacin/rifampicin) | Antibiotics promoting microglial anti-inflammatory response | [718,719,720] | 3 | ||||
| mesoindigo | Inhibits TLR and inflammasome complex | [721] | |||||
| oxymatrine | Quionolizidine alkaloid. Active on other signaling patways | [722,723,724,725] | |||||
| baicalin | Flavone anti-inflammatory. Also promotes neural proliferation | [726,727] | [728,729,730,731] | ||||
| ibrutrinib | Inhibits Tyrosine Kinases | [732,733] | [729,730,734] | ||||
| Signaling pathways modifiers | |||||||
| MAPK signaling pathways | Diverse MAPK signaling pathway activation may lead to the production of pro-inflammatory cytokines, which promote neuroinflammation | ||||||
| Dexmedetomidine | MAPK/ERK1/2 inhibitor. alfa-2 adrenergic receptor agonist. Microglia regulator. Anti-inflammatory. (Clinical trials on neuroinflammation related to surgery) | [734,735,736,737,738,739,740] | 14 | ||||
| VX-745 (Neflamapimod) | p38 MAPK-α inhibitor | [741,742,743] | 2 | ||||
| Baricitinib | MAP3K 12, Jak inhibitor | 2 | |||||
| NF-κB | NF-kappaB activation may lead to the production of pro-inflammatory cytokines, which promote neuroinflammation | ||||||
| Atomoxetine | Noradrenaline reuptake inhibitor and reducer of activation of NF-kappaB (also acting on astrocytes) | [744] | 1 | ||||
| Oxyimperatorin | Natural product. Suppresses NF-κB p65 signaling | [745] | |||||
| Oxysophoridine | Bioactive alkaloid | [746] | |||||
| Parthenolide | Sesquiterpene lactone acting on diverse sgnaling pathways | [747] | |||||
Disclaimer/Publisher’s Note: The statements, opinions and data contained in all publications are solely those of the individual author(s) and contributor(s) and not of MDPI and/or the editor(s). MDPI and/or the editor(s) disclaim responsibility for any injury to people or property resulting from any ideas, methods, instructions or products referred to in the content. |
© 2024 by the authors. Licensee MDPI, Basel, Switzerland. This article is an open access article distributed under the terms and conditions of the Creative Commons Attribution (CC BY) license (https://creativecommons.org/licenses/by/4.0/).
Share and Cite
Toledano, A.; Rodríguez-Casado, A.; Älvarez, M.I.; Toledano-Díaz, A. Alzheimer’s Disease, Obesity, and Type 2 Diabetes: Focus on Common Neuroglial Dysfunctions (Critical Review and New Data on Human Brain and Models). Brain Sci. 2024, 14, 1101. https://doi.org/10.3390/brainsci14111101
Toledano A, Rodríguez-Casado A, Älvarez MI, Toledano-Díaz A. Alzheimer’s Disease, Obesity, and Type 2 Diabetes: Focus on Common Neuroglial Dysfunctions (Critical Review and New Data on Human Brain and Models). Brain Sciences. 2024; 14(11):1101. https://doi.org/10.3390/brainsci14111101
Chicago/Turabian StyleToledano, Adolfo, Arantxa Rodríguez-Casado, María Isabel Älvarez, and Adolfo Toledano-Díaz. 2024. "Alzheimer’s Disease, Obesity, and Type 2 Diabetes: Focus on Common Neuroglial Dysfunctions (Critical Review and New Data on Human Brain and Models)" Brain Sciences 14, no. 11: 1101. https://doi.org/10.3390/brainsci14111101
APA StyleToledano, A., Rodríguez-Casado, A., Älvarez, M. I., & Toledano-Díaz, A. (2024). Alzheimer’s Disease, Obesity, and Type 2 Diabetes: Focus on Common Neuroglial Dysfunctions (Critical Review and New Data on Human Brain and Models). Brain Sciences, 14(11), 1101. https://doi.org/10.3390/brainsci14111101

