Next Article in Journal
Survivors’ Narratives of the Oklahoma City Bombing Retold Seven Years Post-Disaster
Previous Article in Journal
Rising Strong: Does Personal Resilience Drive Civic Engagement During Disasters?
 
 
Font Type:
Arial Georgia Verdana
Font Size:
Aa Aa Aa
Line Spacing:
Column Width:
Background:
Case Report

Isolated Distal Tibiofibular Syndesmotic Injury: A Case Series and Proposed Mechanism

Department of Radiology and Imaging Sciences, University of Utah, 30 N Mario Capecchi Dr., Salt Lake City, UT 84112, USA
*
Author to whom correspondence should be addressed.
Emerg. Care Med. 2024, 1(4), 411-416; https://doi.org/10.3390/ecm1040040
Submission received: 20 August 2024 / Revised: 22 October 2024 / Accepted: 7 November 2024 / Published: 15 November 2024

Abstract

Objective: To review imaging findings of isolated tibiofibular interosseous membrane (IOM) injury and propose an injury mechanism. Case Report: A retrospective review was conducted on five patients who presented with lower leg pain following a traumatic athletic injury. MRI examinations revealed isolated tibiofibular IOM injury without associated fractures or distal syndesmotic disruption. The observed injury patterns, along with the blunt, non-rotational trauma reported in each case, suggest that the mechanism behind this unique presentation may involve sudden traction or direct impact to the lower leg. Conclusion: Isolated tibiofibular IOM injury should be considered in patients with lower leg pain after blunt trauma. MRI of the entire tibia and fibula can be instrumental in characterizing and confirming the injury and should be considered when clinical and injury mechanism indicators are present.

1. Introduction

The distal tibiofibular syndesmosis is a fibrous joint predominantly stabilized by the anterior inferior tibiofibular ligament (AiTFL), the posterior inferior tibiofibular ligament (PiTFL), the transverse ligament, and the interosseous membrane/ligament [1]. The interosseous membrane (IOM) is a layered collagen structure with adjacent fibers oriented along different directions that extends between the tibia and fibula, providing stability to the ankle [2]. The IOM also plays a crucial role in the overall weight bearing and load-sharing ability of the fibula [3].
While tibiofibular syndesmotic injuries have been well-described in the literature, most cases involve concurrent ligamentous or osseous injuries [4,5]. The Maisonneuve fracture is a well-known injury pattern consisting of a proximal fibular fracture with syndesmosis disruption and IOM rupture [6]. Isolated injury to the tibiofibular IOM is an uncommon injury, with only a few cases presented in the literature [7]. It is important to be aware of these injuries as they are often subtle and easily overlooked by both clinicians and radiologists, but have potential to cause long-term pain and disability [8]. We present five cases of isolated injury to the tibiofibular IOM diagnosed by MRI, which we believe to be the largest reported number of cases of this entity. This case series will describe the key imaging findings associated with isolated IOM injury, propose an additional injury mechanism, and discuss the potential clinical implications.

2. Materials and Methods

A retrospective review of five patients with isolated tibiofibular IOM injury evaluated and imaged at an academic medical center between March 2017 and April 2023. All cases underwent MR imaging of the tibia–fibula, and image interpretation was performed by a fellowship-trained musculoskeletal radiologist. Electronic medical records were reviewed to substantiate patient symptoms and injury mechanisms.

3. Case Descriptions

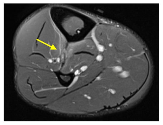
Case 1: A 22-year-old male professional basketball player presented with right leg pain after running into a camera man during a game. He experienced immediate leg pain and swelling. He had no prior history of trauma to this area. Physical exam revealed ecchymosis and swelling about the anteromedial aspect of the tibial midshaft with tenderness to palpation. Radiography was unremarkable. MRI revealed a focal tear of the tibiofibular IOM at the level of the mid tibia (Figure 1). No concurrent ligamentous or osseous injury was identified.
Case 2: A 23-year-old female collegiate alpine ski racer presented with right lower leg pain after a fall while skiing without binding release. After taking multiple days off from training, she was still unable to compete secondary to pain. Physical exam was notable for tenderness to palpation over the interosseous membrane approximately 5–10 cm proximal to the ankle. Radiography was unremarkable. MRI revealed a tear of the mid-distal IOM of the leg without fracture or ligamentous injury.
Case 3: A 24-year-old male professional basketball player presented with right lower leg pain after direct contact by another player’s knee during a game. Physical exam was notable for tenderness over the anterior tibia/fibula, without swelling. Radiography was unremarkable. MRI revealed a 3 cm segment of edema adjacent to the right IOM, asymmetric from the contralateral side.
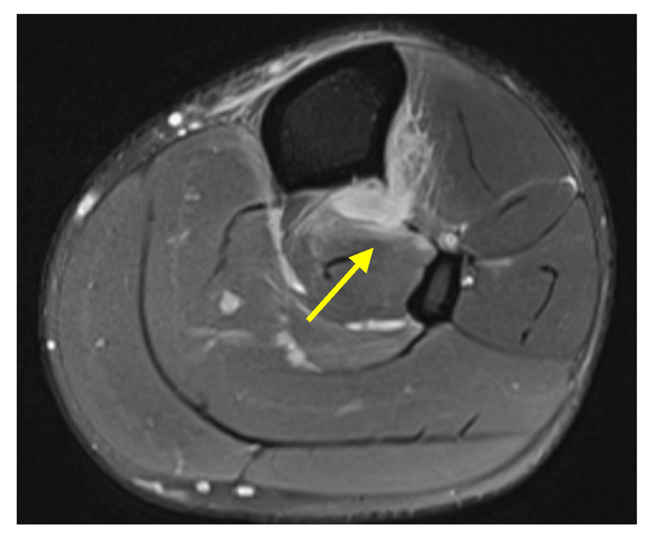
Case 4: A 21-year-old male collegiate football player presented with left knee and leg pain after direct helmet hit to the leg. Physical exam was notable for tenderness to palpation about the posterior knee. Radiography was unremarkable. MRI revealed a focal 1 cm defect of the IOM at the level of the proximal third of the tibial diaphysis (Figure 2).
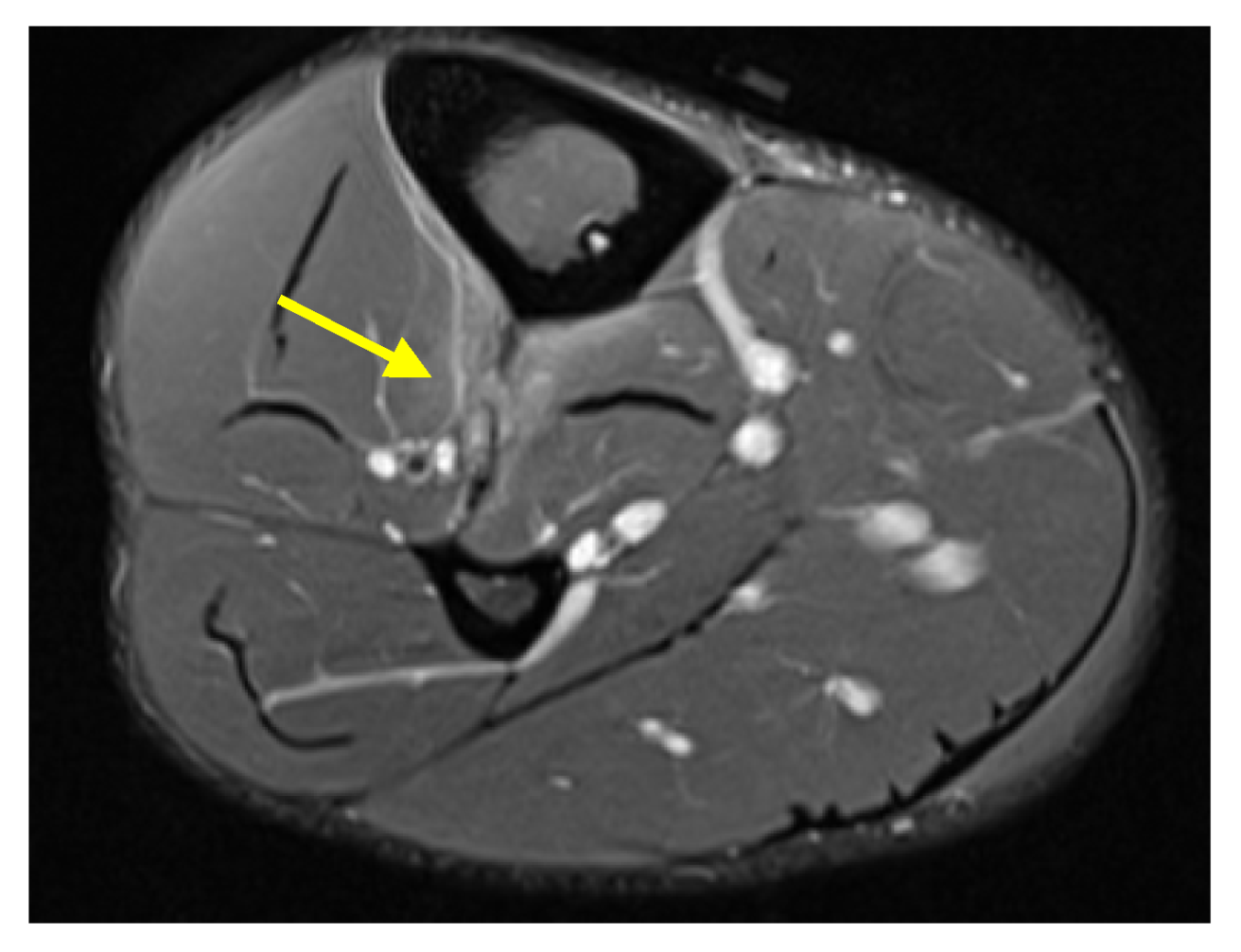
Case 5: A 23-year-old male collegiate alpine ski racer presented with acute right lower leg pain at the level of the boot-line after a crash. During the crash, the posterior portion of the ski broke and the patient felt the boot impact the posterior lower leg. Physical exam was notable for tenderness to palpation over the anterolateral lower leg at and immediately proximal to the boot-line. Radiography was unremarkable. MRI revealed a high-grade tear of the tibiofibular IOM 8 cm proximal to the tibial plafond, with 14 cm of craniocaudal extension and associated periosteal edema (Figure 3). He returned to the clinic two weeks after injury with 80–90% overall symptom improvement.

4. Discussion

We presented five cases of isolated tibiofibular IOM injury in elite athletes. These patients all presented with lower leg pain following direct blunt injury during an athletic event. Radiographs were normal in all patients. Further evaluation with MRI demonstrated isolated IOM injury without associated osseous or ligamentous injury.
The tibiofibular IOM is a structure of dense ordered collagen extending between the tibia and fibula. At the distal-most aspect, the IOM thickens and assumes a pyramidal shape, thus forming the interosseous ligament [1]. The interosseous ligament then transitions into the AiTFL and the PiTFL, which are known collectively as the “syndesmotic ligaments” [1,9]. The distal IOM is thicker than the proximal and mid portions, likely relating to the fact that the distal portion assists in stabilization of the ankle joint [2]. Morley et al. proposed that the crural IOM acts both as a ligament and a tendon, with the distal portion serving as a ligament joining the tibia and fibula, while the proximal portion acts more as a tendon serving as attachment for portions of the tibialis anterior and tibialis posterior to the tibia and fibula [2].
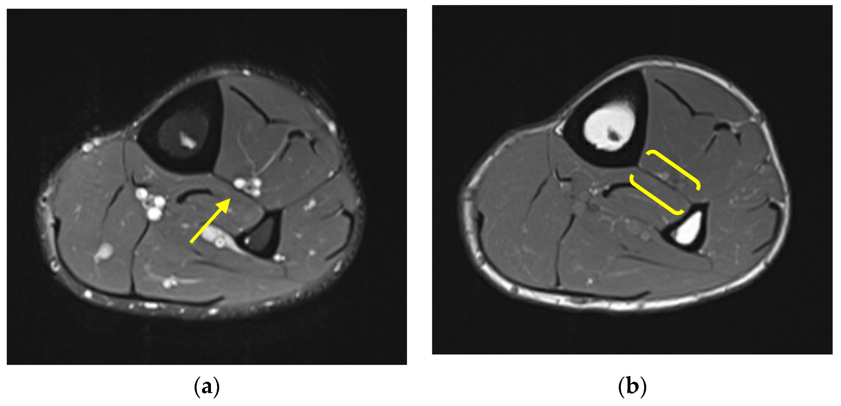
The IOM can be evaluated by a variety of modalities including ultrasound, CT, and MRI. On all modalities, a normal IOM appears as a thin and continuous membranous structure extending between the tibia and fibula. On MRI, the normal IOM is thin and hypointense in all sequences and extends from the proximal tibiofibular joint to the distal tibiofibular syndesmosis (Figure 4). The anterior tibialis and posterior tibialis muscles have broad attachments on the anterior and posterior aspects of the IOM, respectively.
Acute, isolated injuries to the IOM are radiographically occult, as seen in our five presented cases. While IOM injury can often be detected via ultrasound or CT, MRI is a much more sensitive examination in diagnosing IOM injury and extent, as well as possible subtle syndesmosis injury [5]. On MRI, IOM injury can range from adjacent edema or hematoma to frank disruption. IOM rupture will demonstrate focal discontinuity of the normally taught and hypointense fibrous structure. There is often adjacent soft tissue and muscular edema associated with membranous rupture.
Injury to the IOM has nearly always been described in conjunction with tibiofibular syndesmotic or osseous injuries, most commonly injury to the AiTFL and fibular fractures.
Nielson et al. conducted a prospective clinical trial following 93 patients with closed operative ankle fractures. Of the 73 patients with an adequate preoperative MRI, 30 had complete IOM tears. Seven cases (23%) demonstrated IOM tears proximal to the fibular fracture, thus concluding that the level of fibular fracture does not reliably correlate with the extent of IOM injury. Additionally, 97% of patients with IOM tear also demonstrated tears of the AiFTL [10].
Although numerous mechanisms for distal syndesmotic injury have been proposed, external rotation of the ankle is seemingly the most common isolated and shared mechanism. Athletic activities present ample opportunity for twisting-type injuries to occur and are often the context for distal syndesmotic injuries [11].
He et al. [12] conducted a retrospective evaluation of 15 patients with Maisonneuve fractures, all of which demonstrated IOM injury (2/15 with IOM injury extending from the syndesmosis to the proximal fibular fracture; 13/15 with distal and proximal IOM rupture with the middle portion of the IOM intact). Additionally, rupture of the AiTFL and interosseous ligaments occurred in all 15 patients. While rupture of the AiTFL and interosseous ligament can be explained by external rotation, the extent of IOM rupture did not appear to be closely associated with the force of external rotation. An additional proposed mechanism is that abduction stress contributes to IOM rupture.
The five cases presented here highlight an unusual pattern of isolated injury to the IOM without associated ligamentous or osseous injury. While these cases all occurred during an elite athletic event in which a component of external rotation may have been present, the isolated nature of IOM injury raises the possibility of an alternative injury mechanism. Three of our cases involved direct blows to the lower leg during a basketball or football game, and two cases involved skiing accidents in which patients were equipped with tall and rigid racing boots. Given the isolated injury pattern and blunt, non-rotational impact associated with our cases, we postulate the mechanism of this unique injury may be sudden traction or direct impact to the lower leg.
Grossterlinden et al. [13] studied 100 patients with acute ankle sprain without associated fracture on radiograph. MRI revealed syndesmotic injury in 15% of patients (complete or partial tears of AiTFL). Additionally, three osteochondral lesions and five fractures not detected by radiograph were identified on MR. Although the IOM was not included in the study parameters, this study highlights the possibility of syndesmotic and osseous injury in patients with normal radiographs and ongoing pain at rest following ankle sprains. This study concludes that clinical exam alone was insufficient to detect syndesmotic injuries in acute ankle sprain. Given these findings in conjunction with our five presented cases of isolated IOM injury in patients with normal radiographs, MRI should be considered as the next-step evaluation in patients with ongoing pain.
All five presented patients were treated conservatively for contusion. Clinical recommendations included a combination of a short course of rest, ice, and anti-inflammatory medications with return to activity as tolerated. Follow-up precautions were discussed with all patients, including recommendations to return to clinic if symptoms did not improve. According to medical record review, only one patient (case 5) returned to clinic with persistent symptoms. All patients eventually returned to competition without restriction. Given the retrospective nature of this case series, any long-term complications are difficult to accurately determine.
A limitation of this study includes the small number of patients with this unique injury pattern. While our observations demonstrate many similarities with previously presented literature regarding IOM injury, the rarity of this isolated injury pattern provides opportunity for further future investigation regarding this potential mechanism. Additionally, there is opportunity for more data-driven recommendations regarding clinical and radiologic management.

5. Conclusions

In summary, isolated IOM injury should be considered in patients with lower leg pain after blunt trauma, particularly in an athletic setting. MR imaging of the entire tibia–fibula can be a valuable tool in characterizing and confirming such injury and should be considered based on injury mechanism and physical examination findings.

Author Contributions

Conceptualization, M.S. and H.A.; writing—original draft preparation, S.A.; writing—review and editing, S.A., H.A. and M.S. All authors have read and agreed to the published version of the manuscript.

Funding

This research received no external funding.

Informed Consent Statement

This is a retrospective case series for which data already existed and no identifiable information is discussed. Patient consent was waived; this project was reviewed by the University of Utah Institutional Review Board (IRB) and granted an exemption under Federal Exemption Category 4.

Data Availability Statement

The data presented in this study are available upon request from the corresponding author.

Conflicts of Interest

The authors declare no conflicts of interest.

References

  1. Hermans, J.J.; Beumer, A.; de Jong, T.A.W.; Kleinrensink, G.J. Anatomy of the distal tibiofibular syndesmosis in adults: A pictorial essay with a multimodality approach. J. Anat. 2010, 217, 633–645. [Google Scholar] [CrossRef] [PubMed]
  2. Morley, J.; Fan, C.; McDermott, K.; Fede, C.; Hughes, E.; Stecco, C. The crural interosseous membrane re-visited: A histological and microscopic study. Eur. J. Transl. Myol. 2019, 29, 164–170. [Google Scholar] [CrossRef] [PubMed]
  3. Skraba, J.S.; Greenwald, A.S. The Role of the Interosseous Membrane on Tibiofibular Weightbearing. Foot Ankle 1984, 4, 301–304. [Google Scholar] [CrossRef] [PubMed]
  4. Tourné, Y.; Molinier, F.; Andrieu, M.; Porta, J.; Barbier, G. Diagnosis and treatment of tibiofibular syndesmosis lesions. Orthop. Traumatol. Surg. Res. 2019, 105, S275–S286. [Google Scholar] [CrossRef] [PubMed]
  5. Yu, G.-S.; Lin, Y.-B.; Xiong, G.-S.; Xu, H.-B.; Liu, Y.-Y. Diagnosis and treatment of ankle syndesmosis injuries with associated interosseous membrane injury: A current concept review. Int. Orthop. 2019, 43, 2539–2547. [Google Scholar] [CrossRef] [PubMed]
  6. He, J.; Ma, X.; Xin, J.; Cao, H.; Li, N.; Sun, Z.; Wang, G.; Fu, X.; Zhao, B.; Hu, F. Pathoanatomy and Injury Mechanism of Typical Maisonneuve Fracture. Orthop. Surg. 2020, 12, 1644–1651. [Google Scholar] [CrossRef] [PubMed]
  7. Collins, M.S.; North, T.J.; Sellon, J.L. Traumatic rupture of the midportion of the interosseous membrane: A rare cause of acute lower leg pain in two soccer players kicked in the anterior shin. Skelet. Radiol. 2022, 51, 2333–2339. [Google Scholar] [CrossRef] [PubMed]
  8. De César, P.C.; Avila, E.M.; de Abreu, M.R. Comparison of magnetic resonance imaging to physical examination for syndesmotic injury after lateral ankle sprain. Foot Ankle Int. 2011, 32, 1110–1114. [Google Scholar] [CrossRef] [PubMed]
  9. Tano, A.; Nimura, A.; Tsutsumi, M.; Yamaguchi, R.; Okawa, A.; Akita, K. Anatomical Study of the Interosseous Ligament of the Tibiofibular Syndesmosis: An Analysis of Osseous Morphology and Attaching Interposing Structures. J. Bone Jt. Surg. Am. 2021, 103, 905–912. [Google Scholar] [CrossRef] [PubMed]
  10. Nielson, J.H.; Sallis, J.G.; Potter, H.G.; Helfet, D.L.; Lorich, D.G. Correlation of Interosseous Membrane Tears to the Level of the Fibular Fracture. J. Orthop. Trauma 2004, 18, 68–74. [Google Scholar] [CrossRef] [PubMed]
  11. Norkus, S.A.; Floyd, R.T. The anatomy and mechanisms of syndesmotic ankle sprains. J. Athl. Train. 2001, 36, 68. [Google Scholar] [PubMed]
  12. He, J.; Ma, X.; Hu, Y.; Wang, S.; Cao, H.; Li, N.; Wang, G.; Guo, L.; Zhao, B. Investigation of the Characteristics and Mechanism of Interosseous Membrane Injuries in Typical Maisonneuve Fracture. Orthop. Surg. 2023, 15, 777–784. [Google Scholar] [CrossRef] [PubMed]
  13. Großterlinden, L.G.; Hartel, M.; Yamamura, J.; Schoennagel, B.; Bürger, N.; Krause, M.; Spiro, A.; Hoffmann, M.; Lehmann, W.; Rueger, J.M.; et al. Isolated syndesmotic injuries in acute ankle sprains: Diagnostic significance of clinical examination and MRI. Knee Surg. Sports Traumatol. Arthrosc. 2016, 24, 1180–1186. [Google Scholar] [CrossRef] [PubMed]
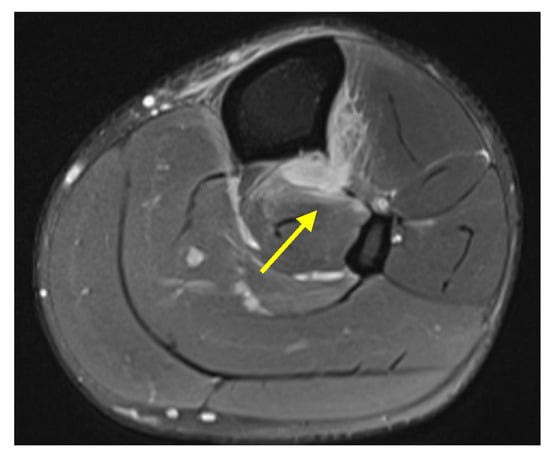
Figure 1. Case 1. Axial proton density fat-saturated MR image from a 22-year-old man with focal tear of the tibiofibular IOM at the level of the mid tibia (yellow arrow).
Figure 1. Case 1. Axial proton density fat-saturated MR image from a 22-year-old man with focal tear of the tibiofibular IOM at the level of the mid tibia (yellow arrow).
Ecm 01 00040 g001
Figure 2. Case 4. Axial proton density fat-saturated MR image from a 21-year-old man with focal defect of the tibiofibular IOM at the level of the proximal third of the tibial diaphysis (yellow arrow).
Figure 2. Case 4. Axial proton density fat-saturated MR image from a 21-year-old man with focal defect of the tibiofibular IOM at the level of the proximal third of the tibial diaphysis (yellow arrow).
Ecm 01 00040 g002
Figure 3. Case 5. (a) Axial proton density fat-saturated MR image of the mid tibia–fibula with focal IOM discontinuity and adjacent edema (yellow arrow). (b) Coronal short tau inversion recovery (STIR) MR image of both lower legs with associated fluid and edema adjacent to the disrupted right mid-IOM (yellow arrowhead).
Figure 3. Case 5. (a) Axial proton density fat-saturated MR image of the mid tibia–fibula with focal IOM discontinuity and adjacent edema (yellow arrow). (b) Coronal short tau inversion recovery (STIR) MR image of both lower legs with associated fluid and edema adjacent to the disrupted right mid-IOM (yellow arrowhead).
Ecm 01 00040 g003
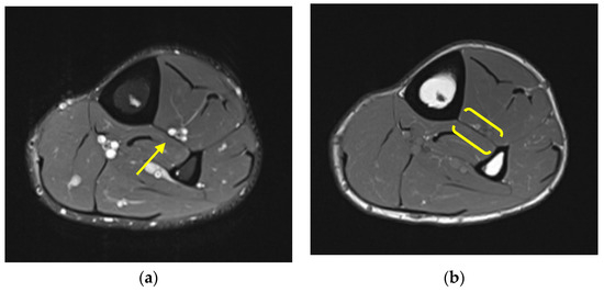
Figure 4. Normal comparison. (a) Axial proton density fat saturated MR image and (b) axial T1-weighted MR image demonstrate a normal MRI appearance of an intact IOM (yellow arrow and brackets) at the level of the mid tibia–fibula.
Figure 4. Normal comparison. (a) Axial proton density fat saturated MR image and (b) axial T1-weighted MR image demonstrate a normal MRI appearance of an intact IOM (yellow arrow and brackets) at the level of the mid tibia–fibula.
Ecm 01 00040 g004
Disclaimer/Publisher’s Note: The statements, opinions and data contained in all publications are solely those of the individual author(s) and contributor(s) and not of MDPI and/or the editor(s). MDPI and/or the editor(s) disclaim responsibility for any injury to people or property resulting from any ideas, methods, instructions or products referred to in the content.

Share and Cite

MDPI and ACS Style

Asper, S.; Allen, H.; Soltanolkotabi, M. Isolated Distal Tibiofibular Syndesmotic Injury: A Case Series and Proposed Mechanism. Emerg. Care Med. 2024, 1, 411-416. https://doi.org/10.3390/ecm1040040

AMA Style

Asper S, Allen H, Soltanolkotabi M. Isolated Distal Tibiofibular Syndesmotic Injury: A Case Series and Proposed Mechanism. Emergency Care and Medicine. 2024; 1(4):411-416. https://doi.org/10.3390/ecm1040040

Chicago/Turabian Style

Asper, Sydney, Hailey Allen, and Maryam Soltanolkotabi. 2024. "Isolated Distal Tibiofibular Syndesmotic Injury: A Case Series and Proposed Mechanism" Emergency Care and Medicine 1, no. 4: 411-416. https://doi.org/10.3390/ecm1040040

APA Style

Asper, S., Allen, H., & Soltanolkotabi, M. (2024). Isolated Distal Tibiofibular Syndesmotic Injury: A Case Series and Proposed Mechanism. Emergency Care and Medicine, 1(4), 411-416. https://doi.org/10.3390/ecm1040040

Article Metrics

Back to TopTop