Abstract
More than 3 years have passed since the emergence of COVID-19. On 8 May 2023, COVID-19 in Japan was downgraded to Category 5 by the Infectious Disease Control Law. In Japan, at the beginning of the COVID-19 pandemic in 2020, cases of infection and deaths from severe disease were few compared with those in Western countries. However, in the medical field, screening for COVID-19 was given top priority, resulting in confusion and proving disadvantageous for many patients. The overreaction to COVID-19 as the most important issue in society can be attributed largely to statements by infectious disease experts. In addition, the mRNA vaccine emerged in 2021, and most of the population was vaccinated up to two times within a short period of less than 1 year because infectious disease experts strongly promoted vaccination. After 2022, when vaccination progressed and the Omicron strain, which is an attenuated strain, became the mainstay of SARS-CoV-2, the number of severe cases of COVID-19 decreased significantly; however, the number of infected people increased dramatically instead. A significant portion of the population is thought to have hybrid immunity due to vaccination plus natural infection and maintains high antibody titer levels. Henceforth, additional vaccination should be given preferentially to those who will benefit most from it. Conversely, measures against COVID-19 caused serious damage to the economy and society. Policies that not only address countermeasures against infection, but also those that encompass the economy and society as a whole, are necessary.
1. Introduction
On 8 May 2023, COVID-19 in Japan was downgraded to a Category 5 disease, which is the same status as seasonal influenza, based on the Infectious Diseases Control Law. Since the first cases were reported in Japan, the COVID-19 pandemic has been called “the coronavirus catastrophe”, and states of emergency and semi-emergency regarding coronavirus measures were declared several times, causing great confusion in the lives of the Japanese people.
SARS-CoV-2 will continue to exist with repeating prevalence, and some state that the coronavirus catastrophe is not over. However, society appears to be regaining its composure. In this article, the author would like to review “the coronavirus catastrophe” that lasted >3 years in Japan from the perspective of a general physician, introducing cases that appeared in Japanese national examinations and cases the author experienced firsthand. In addition, the author would like to emphasize that the purpose of this report is not to criticize or slander any particular individual or group, but only to review the facts. Therefore, the author will introduce many individual statements and internet articles that highlight that all of these groups were trying to communicate and act on what they believed to be right at the time.
First, let us look at a question from the 116th Japanese National Medical Examination F55, which was administered in February 2022.
2. A Typical Case of COVID-19 Severe Pneumonia as Considered by the General Public
| 116th Japan’s National Medical Examination F55 |
| 【Current medical history】 |
| A 76-year-old man was brought in via ambulance for dyspnea. Eight days ago, fever and dry cough began, and since that evening, he complained of difficulty breathing even at rest. His wife noticed that he was losing consciousness and requested an ambulance. His wife had a sore throat and low-grade fever 2 weeks ago; however, these symptoms have improved. His smoking history is 20 cigarettes/day from 20 to 63 years of age. His awareness was JCS III-100; height, 163 cm; weight, 65 kg; temperature, 37.7 °C; heart rate, 80/min, steady; blood pressure, 104/64 mmHg; respiratory rate, 24/min; SpO2, 93% (mask with reservoir, 10 L/min under oxygen administration); and no abnormal heart sounds. Coarse crackles were heard in the lower thoracic region on the bilateral dorsal surfaces. |
| 【Blood findings】 |
| RBC 4.7 million/mL, Hb 14.2 g/dL, WBC 4800/μL, Plt 10,000/μL, and PT-INR 2.4 (standard 0.9–1.1). |
| 【Blood biochemistry findings】 |
| LDH 629 U/L (reference 120–245), urea nitrogen 23 mg/dL, creatinine 0.9 mg/dL, blood glucose 128 mg/dL, and CRP 10 mg/dL. |
| 【Arterial blood gas analysis (mask with reservoir, 10 L/min oxygen administration)】 |
| pH 7.40, PaCO2 42 Torr, PaO2 64 Torr, and HCO3− 24 mEq/dL. |
| ECG: normal sinus rhythm. |
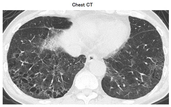
| Chest radiograph (A) and chest CT (B) are shown separately (Figure 1). |
| PCR test for SARS-CoV-2 using saliva was positive. Which two options are appropriate at this time? |
| a. Ventilatory management |
| b. Antifibrotic drug administration |
| c. Bronchoscopic lung biopsy |
| d. Corticosteroids |
| e. Oral cyclophosphamide |
The correct answers are a. Ventilatory management and d. Corticosteroids, which are the two options appropriate at this time. The patient was presenting with dyspnea, fever, and dry cough, which are symptoms that are commonly associated with COVID-19. The PCR test for SARS-CoV-2 using saliva was positive, confirming the diagnosis. The patient had a low oxygen saturation level (SpO2 93%) despite oxygen administration, indicating hypoxemia. Coarse crackles were heard in the lower thoracic region on the bilateral dorsal surfaces, and chest imaging revealed bilateral ground-glass opacities and consolidations, which are typical findings for COVID-19 pneumonia. The patient had an elevated PT-INR level of 2.4, which indicates a coagulopathy. This may be associated with the hyperinflammatory state induced by COVID-19, which can lead to a prothrombotic state. Given the severity of the patient’s symptoms and the hypoxemia, ventilatory management is appropriate, which may include non-invasive ventilation, high-flow nasal cannula, or mechanical ventilation.
Corticosteroids are recommended in the treatment of severe COVID-19 pneumonia, as they have been shown to reduce mortality and the need for mechanical ventilation in hospitalized patients. The patient’s CRP level of 10 mg/dL indicates a high level of inflammation, which further supports the use of corticosteroids. Antifibrotic drug administration, bronchoscopic lung biopsy, and oral cyclophosphamide are not appropriate at this time, as there is no evidence supporting their use in the management of COVID-19 pneumonia.
This case is a typical example of severe pneumonia caused by COVID-19 and is the very image that many Japanese have of what happens when COVID-19 becomes severe. Many students may have felt that this case was similar to that of Mr. Ken Shimura, a very famous comedian in Japan who died in March 2020 due to severe COVID-19 pneumonia, because he was an older adult and had a history of smoking.
The correct answers, a. Ventilatory management and d. Corticosteroids, are commonly used as symptomatic therapy in cases of a cytokine storm caused by acute respiratory distress syndrome (ARDS), even if it is not caused by COVID-19 or occurs before the appearance of COVID-19. Therefore, it could have been answered with medical knowledge prior to the COVID-19 pandemic and is not a question that deals with matters that are medically new.
Although such a case of severe pneumonia leading to ARDS is similar to a typical case of COVID-19 that the public had in mind, this case is actually an example of only a small fraction of the actual PCR-positive cases in Japan in the early stage of the COVID-19 pandemic.
3. COVID-19 Pneumonia Cases That Were Actually Common in Early Stages of the COVID-19 Pandemic in 2020
Thus, what were actual typical cases in the early stages of the COVID-19 pandemic like in 2020? The author personally wore personal protective equipment (PPE) while examining patients with fever and collected PCR specimens at a fever outpatient clinic during the early stages of the COVID-19 pandemic in 2020. The author remembers that the rate of positive PCR tests for COVID-19 was quite low during this period. However, if a patient had even a slight fever (around 37 °C) or common cold symptoms, he or she was unconditionally sent to the fever outpatient clinic. This was carried out to minimize the occurrence of COVID-19 clusters in the hospital; however, until PCR-negative results were confirmed, normal testing and medical treatment were postponed, and considering that most cases were PCR-negative for COVID-19, many of these cases turned out to be greatly disadvantageous for most patients. The following are examples of COVID-19 cases that the author experienced in a fever outpatient clinic. In each case, pneumonia was observed on chest CT, but the disease resolved spontaneously without special treatment, and no sequelae occurred.
| Case 1: 47-year-old female |
| 【Current medical history】 |
| She had a cough and low-grade fever of 37 °C since 10 August 2020. She had a sore throat, but no olfactory or gustatory symptoms. She came to the outpatient clinic because of a fever on 14 August 2020, pedaling a bicycle under the scorching sun. |
| 【Contact history】 |
| Her mother (who does not live with the patient but lives nearby) had a fever since July 30. |
| The mother tested positive for SARS-CoV-2 via PCR on August 4. The father, whom the mother was caring for, also tested positive via PCR. |
| 【Life history】 |
| She is single and lives alone with no one living with her. She shares a bath with her 95-year-old grandmother (needs nursing care) who lives in a house away from hers. |
| 【Medical history】 Breast cancer: under hormone therapy, lung metastasis. |
| 【Blood findings】 WBC 3370/μL, AST 38 U/L, ALT 55 U/L, LDH 225 U/L, ALP 110 U/L, γ-GTP 101 U/L, CRP 1.07 mg/dL. |
The patient was a middle-aged woman with underlying breast cancer and poor liver function due to fatty liver. She was undergoing hormone therapy. Despite this, she was in good general health and even rode her bicycle under the scorching sun during the hot summer season. However, CT revealed a clear image of pneumonia (Figure 2). This circular infiltrate shadow is often called the marimo sign in Japan because it resembled the marimo (a type of freshwater green alga named for its ability to form spherical aggregates) found in Lake Akan, Hokkaido, Japan. The patient was hospitalized but did not require any specific treatment, and at the 3-month follow-up, the pneumonia disappeared.
Figure 2.
Chest CT of case 2: 47-year-old female.
| Case 2: 55-year-old female |
| 【Current medical history】 |
| She had a fever in the 37 °C range and headache since 2 January 2021, and a temperature of 38 °C since 5 January. Her SARS-CoV-2 PCR test result on 6 January was negative. Her son and husband were SARS-CoV-2 PCR-positive. She was retested via PCR on 8 January, but the result was negative. Although antipyretics were used, the general fatigue, fever, and headache persisted. On 13 January, the third PCR test result was negative; however, the fever and fatigue persisted. |
| 【Family and contact history】 |
| On 1 January 2021, her son returned home from Tokyo for New Year. On 2 January, he had a fever. On 7 January, the SARS-CoV-2 test result was positive. After recuperating at a hotel from 10–18 January, he was confirmed negative and returned to society. |
| The husband also tested positive for SARS-CoV-2 PCR on 7 January. After recuperating at a hotel from 11–16 January, he was confirmed PCR-negative and returned to society. |
| 【Blood findings】 WBC 5040/μL, CRP 0.07 mg/dL. |
This case was clinically COVID-19 although repeated PCR test results were negative because the chest CT showed a clear image of pneumonia and a clear family history of infection was present (Figure 3).
Figure 3.
Chest CT of case 2: 55-year-old female.
The patient was clinically thought to have COVID-19; however, as a definitive diagnosis could not be made through PCR testing, the patient was followed-up without hospitalization and without specific treatment, and at the 2-month follow-up, the pneumonia on the CT image disappeared (Figure 3). This case is educational and demonstrates that false-negative PCR tests do occur.
4. Cases of Patients Seen in an Outpatient Clinic for Fever but Not COVID-19
COVID-19 PCR-negative cases were the most common in fever outpatient clinics in 2020. Some of the cases treated in the fever outpatient clinic and diagnosed with other diseases are shown in Table 1, including heart failure in older adults and urinary tract infections, which, if left untreated, could be more lethal than COVID-19.
Table 1.
Cases of patients seen in an outpatient clinic for fever but not COVID-19.
In all cases, other tests and medications were postponed until the PCR test results were known. A case of appendicitis presented with typical right lower abdominal pain, yet the previous physician only performed a COVID-19 PCR test because of fever, delaying the diagnosis for more than 2 weeks. This case would have been diagnosed and treated immediately before the appearance of COVID-19.
Regarding acute appendicitis, it has been reported that the incidence of complicated appendicitis (CA) in children increased after the pandemic in Japan, and the duration of preoperative symptoms also increased. This may be due to the fear of contracting COVID-19 when visiting a hospital, which may have led to reluctance to see a doctor and delayed treatment [1].
One of the reasons for this reluctance to see a doctor and delay in treatment is thought to be that in the early days of the 2020 pandemic, there was a great deal of publicity about reducing contact with others by at least 70%, and as much as possible by 80%, following the recommendation of Professor Nishiura of Hokkaido University, who was then a member of the Cluster Response Team of the Ministry of Health, Labour and Welfare [2].
The adverse effects of delayed diagnosis and treatment have also been observed in patients with cardiovascular diseases requiring emergency treatment. After the COVID-19 pandemic, primary PCI was performed significantly less frequently, and the incidence of mechanical complications resulting from ST-elevation myocardial infarction (STEMI) increased. Not seeking immediate medical attention and waiting at home when heart attack symptoms occur may worsen the outcomes of patients with STEMI [3].
Reperfusion therapy for acute ischemic stroke was also affected by the COVID-19 pandemic. The number of stroke admissions decreased during the emergency declaration, and the time from hospital arrival to imaging and thrombolysis was prolonged compared to before the COVID-19 pandemic [4]. Thus, there is a delay in treating more lethal emergency illnesses due to the fear of contracting COVID-19.
Because cases in Table 1 were from a general hospital, appropriate treatments were conducted after COVID-19 PCR negativity was confirmed. However, in many small- and medium-sized hospitals and clinics, priority was given to the COVID-19 PCR test, which has a low pre-test probability, and waiting for the results may delay the treatment of more serious diseases to the detriment of patients, and increased the burden on medical personnel.
During the first year of the COVID-19 pandemic in 2020, unlike in western countries, few febrile patients in Japan actually tested positive for COVID-19 through PCR. Among all COVID-19-infected patients, the overwhelming majority had mild symptoms and were cured without sequelae without any specific treatment even if pneumonia was revealed on chest computed tomography (CT), as described above.
5. Position of Infectious Disease Specialists in Japan
In Japan, there were approximately ten specific infectious disease experts interviewed by the media every day to provide their opinions [5]. Most of their opinions, at least from 2020 to 2021, were devoted to reiterating the characteristics of COVID-19 which are not common in conventional infectious diseases, such as sequelae or the spread of infection even from asymptomatic people, and stressed the importance of controlling human movement, infection control measures, and vaccination promotion. Most older adults, who were the majority of the TV audience, believed the information as it was presented and attempted to implement a lifestyle of self-restraint.
On 14 February 2020, the Expert Group on Countermeasures to Combat New Coronavirus Infections was established and became the Subcommittee on Countermeasures to Combat New Coronavirus Infections on 24 June 2020. Politicians were primarily informed by this subcommittee.
Dr. Imamura of the University of Tokyo has provided an excellent review of the relationship between experts and politicians as policymakers in developing COVID-19 countermeasures [6]. In the discussion of this review article, Dr. Imamura stated the following:
In Japan, a government task force headed by the prime minister was established in the early stages of the pandemic. The decision to issue or extend the “basic response policy”, which included a general policy on infection control, and the “emergency declaration”, which aimed to prevent the collapse of the medical supply system, was made by this task force. The government issued a “basic response policy” and an “emergency declaration” to prevent the collapse of the medical supply system.
The government repeatedly stated that it would prefer to make decisions based on expert opinions. The emergency period was also pronounced in accordance with the analysis and judgment of experts. The presence of experts was also significant in presenting a new lifestyle of self-restraint and avoiding contact with others, with a focus on infection control, dissemination of information on behavior change, and explanations of the accompanying public policy decisions. This was an unclear relationship in which the government task force ostensibly made the final policy decision, but the experts had the actual authority to make policy decisions, and the experts who were involved in providing advice pointed out the unclear nature of this relationship. The experts themselves sometimes determined the line between the roles of professionals and politicians, and there seemed to be some anguish over this line.
Dr. Shigeru Omi, the head of the Subcommittee on Countermeasures to Combat New Coronavirus Infections, made recommendations to the government as a representative of medical experts. He often held press conferences alongside the Prime Minister when a state of emergency was declared [7]. In a debate over whether to host the Tokyo Olympics in the summer of 2021, Dr. Omi said, “It is not normal to hold the Olympics during this pandemic. [8]” In addition, when International Olympic Committee (IOC) President Bach was invited by the International Paralympic Committee (IPC) to revisit Japan after the Olympics to attend the opening ceremony, Dr. Omi’s statement to President Bach that he should not come was criticized as overstepping his authority and caused quite a stir [9]. It can be said that throughout the pandemic period, there were many critics of Dr. Omi, even from within the medical community [10,11].
6. Japan’s Factor X in the Early Stages of the COVID-19 Pandemic in 2020
The first state of emergency was declared in Japan in April 2020 when the cumulative number of cases was extremely low compared with those of western countries, and the lives of the Japanese people were severely restricted. In response to the recommendation of infectious disease experts that the government should take a cautious approach to unknown infectious diseases, the government took the extremely bold step of severely restricting the private rights of the citizens.
Why were there fewer cases of COVID-19 infection and less severe cases in Japan than in western countries? In response to this question, Nobel Prize laureate Dr. Shinya Yamanaka pointed to not only the efforts of the Japanese health authorities and the Japanese people to self-refrain from outings, the lack of close contact, such as through handshaking and kissing, compared with Westerners, and public health programs, such as BCG inoculation against tuberculosis during childhood, but also to the Japanese people’s genetic resistance to SARS-CoV-2. The possibility that Japanese people are genetically resistant to SARS-CoV-2 or have already acquired resistance to SARS-CoV-2 through infection with other similar viruses was considered. These factors were collectively referred to as “Factor X”, which caused a great deal of controversy [12].
Some specialists clearly stated that the fact that the Japanese are more resistant to COVID-19 than Westerners is only nothing but an illusion [13] and that Factor X does not exist [14,15,16]. However, compared with western countries, fewer people are infected with COVID-19 and the disease was less severe in Japan. This phenomenon was seen not only in Japan but throughout the Western Pacific region from East Asia to Australia, including New Zealand, in the total infected cases and deaths caused by COVID-19 (Figure 4). Ethnic and genetic backgrounds, lifestyles, cultural backgrounds, and medical conditions in the Western Pacific region, where fewer people were infected with COVID-19 compared with western countries, vary greatly from country to country. Although the definitive facts regarding Factor X are still unknown, is there really no biological difference compared with Western countries, where the infection spread rapidly and caused incomparably much more serious deaths than in the Western Pacific region? Whether denying Factor X outright as “nothing but an illusion” and causing anxiety among the general public is appropriate for a scientist is debatable.

Figure 4.
Daily new confirmed COVID-19 cases (A) and deaths (B) per million people. https://ourworldindata.org/.
7. Emergence of mRNA Vaccines and Omicron Strain
The mRNA vaccine was widely expected to be a game changer for the COVID-19 pandemic and was rapidly promoted for vaccination. However, this vaccine had the disadvantage of causing a high rate of adverse reactions such as fever. The following is a question from D8 of the 116th National Dental Examination administered in January 2023.
| 116th Japan’s National Dental Examination D8 |
| ( ) is one of the major side effects of COVID-19 vaccination. What goes in ( )? |
| a. Cough |
| b. Fever |
| c. Loss of taste |
| d. Smell disturbance |
| e. Sore throat |
Of course, the correct answer is b. Fever. It was known from an early stage that COVID-19 vaccination causes a high rate of fever. However, why were so many people vaccinated in such a short period of time? One of the reasons is that the entire country, based on the recommendations of infectious disease experts, promoted the extremely high efficacy of the mRNA vaccine and promoted the expansion of vaccination.
In addition to Prime Minister Kishida, other intellectuals who greatly influenced national policymaking appeared in videos distributed online promoting the expansion of vaccination. A prominent specialist introduced an article showing the high efficacy of mRNA vaccines [17] in an Internet article and appeared in an Internet video himself strongly promoting vaccination [18,19,20,21].
The mRNA vaccine was shown to be effective at preventing the onset and severity of disease in Japan [22,23,24,25], and vaccination was considered a form of compassion for others to prevent the spread of infection, giving rise to the catchphrase, “Vaccines given for compassion for others” [26].
By the end of 2021, more than 70% of the Japanese population had received up to the second dose of mRNA vaccination. With the expansion of vaccination, the rate of severe pneumonia, indicated at the beginning of this article, appeared to have decreased.
Moreover, from the end of 2021 to the beginning of 2022, SARS-CoV-2 was rapidly replaced by the attenuated Omicron strain, which greatly accelerated the decrease in the rate of severe cases. In mice, the replication and virulence of omicron variants are attenuated compared to wild-type strains and other variants [27]. Omicron strains show rapid growth, lower fusogenicity, and attenuated pathogenicity [28].
However, as the Omicron strain became the predominant strain, the virus, although attenuated, became more infectious and spread rapidly. In other words, COVID-19 is no longer a rare infectious disease, but a very common disease that many people in Japan are commonly infected with and recover from. Therefore, most of the COVID-19 cases in Japan were infected with the Omicron strain after most of the population had been vaccinated with the second dose. Here, the author wants to present a case experienced in early 2022, when the Omicron strain became the predominant strain.
| Case 3: 73-year-old male |
| 【Current medical history】 |
| On the evening of 5 February 2022, a man fell and fractured his mandible and maxilla. He was referred to our hospital’s Oral Surgery Department by a dentist of a local doctor and was urgently hospitalized. |
| 【Life history】 |
| He lives alone and has no roommates. |
| Smoking history: 20 cigarettes/day x 50 years, current smoker. |
| Medical history: no family doctor, no medication. |
| 【Blood findings】 WBC 7960/μL, ALP 115 U/L, γ-GTP 77 U/L, CRP 3.29 mg/dL. |
On 9 February the PCR test result for SARS-CoV-2 was positive. The surgery at the hospital was canceled, and the patient was discharged from the hospital and placed in a hotel for recuperation. During the hotel stay, the patient had a slight fever in the 37 °C range, but no symptoms, such as cough or respiratory distress, were observed. The PCR test was repeated on 21 February, and the result was confirmed to be negative. On 28 February, the recuperation of this patient was ended.
Chest CT showed emphysematous and old inflammatory changes that may have been present prior to SARS-CoV-2 infection (Figure 5). This case shares similarities with the case presented in the national examination at the beginning of this article in which the patient was an older adult man with a history of heavy smoking. Although the risk of serious illness appears to be high, the only symptom of COVID-19 was a mild common cold. However, the patient was forced to recuperate in a hotel without undergoing oral surgery, which he could have undergone. Thus, after SARS-CoV-2 was replaced by the Omicron strain, the symptoms of COVID-19 were either asymptomatic or extremely mild; however, once a positive test was confirmed, patients had to be quarantined for a certain period of time and were at a disadvantage because they could not receive the necessary medical care. Around this time, a growing consensus existed that, as with influenza, the status of COVID-19 should be lowered to Category 5 based on the Infectious Disease Control Law and that isolation measures should be relaxed so that patients could be treated at general medical facilities.
Figure 5.
Chest CT of case 3: 73-year-old male.
8. Acquisition of Hybrid Immunity
As COVID-19 infection after vaccination, or the so-called breakthrough infection, spread, hybrid immunity through vaccination plus natural infection attracted much attention. Mr. Yasutoshi Nishimura, who appeared in the media daily as a minister in charge of the COVID-19 measures under the Yoshihide Suga administration, contracted COVID-19 on an overseas business trip to Southeast Asia in September 2022 as the Ministry of Economy, Trade and Industry (METI) Minister. Mr. Nishimura’s statement that he was infected with COVID-19 when he dined out without a mask and his antibody titer was elevated, and that he was thinking of postponing his fourth mRNA vaccine, was covered in a weekly article [29].
The article criticized Mr. Nishimura for saying that no scientific basis exists for his statement that antibody titers increase when eating dinner without a mask. However, a scientific basis exists for the increase in SARS-COV-2 antibody titers due to hybrid immunity caused by natural infection after vaccination.
It has been reported that SARS-CoV-2 antibodies are markedly elevated through vaccine plus natural infection [30,31,32]. We recently reported that antibody titers increased markedly after natural infection with COVID-19 after two or more doses of vaccine, and some cases had antibody titers that remained high for 6 months to 1 year [33]. We present two cases in Figure 6A,B in which the PCR test was not performed; however, the patients were considered to have been naturally infected and continued to have high levels of SARS-CoV-2 antibody titers for a long time.
Figure 6.
(A). Longitudinal change of the SARS-CoV-2 antibody titer of a 41 year-old male. (B). Longitudinal change of the SARS-CoV-2 antibody titer of a 60 year-old male.
Table 2 shows 17 cases of spontaneous COVID-19 infections after receiving two or more doses of vaccines (Table 2). All patients were infected with COVID-19 after two or three doses of the vaccine, and all of them were either asymptomatic or showed very mild symptoms. Some of them were not counted as infected people because PCR tests were not performed. Nine of them had antibody titers of more than 40,000 AU/mL after spontaneous infection, and two of them maintained antibody titers in the 10,000 AU/mL range even after >6 months had passed since infection [33].
Table 2.
Cases of spontaneous COVID-19 infection after two or more doses of vaccine (from Ref. [33], additional data are contained).
Hybrid immunity offers protection against COVID-19 infection and is reported to persist for a relatively long time (between 6 and 8 months) [34,35]. A systematic review of recent studies has also shown that individuals with hybrid immunity are more protected against the Omicron variant than those with only a history of infection, suggesting that individuals with hybrid immunity may not require a booster dose immediately [36]. In Japan, most cases of SARS-CoV-2 infection occurred after two or more doses of the vaccine. In such cases, as shown in our previous report [33], the post-infection antibody titers increased markedly, and the high antibody titer level may have continued for a long period of time (>6 months).
Therefore, judging that additional vaccination is unnecessary because the antibody titers have remained high is reasonable for Mr. Nishimura, who has been following the research on SARS-CoV-2 antibody titers after infection. However, the entire population has not had the same opportunities to follow-up on antibody titers as Mr. Nishimura, and in reality, many people have received additional vaccinations even though their antibody titers have remained high due to hybrid immunity. In our study in a private clinic in Wakayama Prefecture, we observed actual cases of post-vaccination COVID-19 infection and additional vaccination despite markedly elevated antibody titers [37]. Table 3 shows four cases of spontaneous infection after the third dose of vaccine. All of them maintained high levels of antibody titers. However, despite maintaining high levels of antibody titers, they had received the fourth dose of the vaccine [37].
Table 3.
Participants who were infected after the third dose of vaccine (modified from Ref. [37]).
The Ministry of Health, Labour and Welfare (MHLW)’s view was that if a person becomes infected after completing the initial vaccination, one tentative guideline regarding the interval between the recovery of one’s physical condition and the next vaccination was 3 months [38]. In addition, the MHLW has stated that additional vaccination with the Omicron strain-compatible bivalent vaccine can be given regardless of the period of time since infection.
In response to this view of the MHLW, a famous specialist recommended an additional vaccination around 3 months after infection, even if the patient has already been infected [39]. He also recommended that those who had severe disease when first infected with COVID-19 are more likely to be severely ill when re-infected, and he repeatedly recommends additional vaccinations to prevent severe disease when re-infected [40].
However, as our previous report showed, in the case of hybrid immunization antibody titers may remain high for 6 months to 1 year or more, and whether additional vaccination is necessary even in such cases is questionable. Although antibody titers will gradually decline in the case of hybrid immunization, the patient may be infected again during the period when sufficient antibody titers are maintained, and antibody titers will be boosted again.
In addition to the induction of antibodies, the effect of natural immunity is considered significant regarding hybrid immunity. As for the natural immunity after COVID-19 infection, the effects of CD4+ T cells, CD8+ T cells, and memory B cells have been shown to be maintained for more than 8 months [41,42]. Studies in Qatar have also shown that the natural immune protection against the SARS-CoV-2 infection wanes over time; however, the prophylactic effect against the severe disease forms of COVID-19 remains strong [43]. Although measuring antibody titers and prioritizing those with low antibody titers for booster vaccination rather than blindly recommending booster vaccination to the entire population is desirable, organizing the finances, personnel, time, and educational costs that are needed to achieve this may be difficult.
9. Changes in COVID-19 Measures and Events in Japan
COVID-19 countermeasures by infectious disease experts are visualized in Figure 7A. Since the early days of the 2020 pandemic, cases of severe pneumonia requiring ventilators, such as the case presented in the national examination described at the beginning of this article, were the tip of the iceberg in terms of the total number of COVID-19-infected patients. These severe cases were mainly treated by emergency physicians or intensivists at large medical institutions. They feared that the progression of COVID-19 severe pneumonia would be rapid and that the number of severe cases would exceed their capacity, and they complained of the risk of medical collapse. Although the number of people infected overall was low, human and material support for the treatment of these severe cases should have been given top priority; however, the infectious disease experts recommended that the government and administration declare states of emergency and semi-emergency regarding coronavirus measures. They recommended that general public citizens self-refrain from going out and take thorough infection control measures using masks, temperature checks, and acrylic plates, while vaccination was promoted and PCR tests were encouraged. The main focus was on reducing the size of the base of the iceberg. Although these measures to restrict people’s private rights caused serious damage to society and the economy, they may have had some effect in terms of reducing the number of deaths caused by COVID-19. Conversely, general physicians were treating mainly mild cases and PCR-positive but asymptomatic patients, and many of them may not have realized the seriousness of COVID-19. However, many of these general physicians may also have been exhausted as they were busy preventing cluster outbreaks in their own facilities.

Figure 7.
Image of COVID-19 measures in early days of the pandemic in 2020 (A), after Omicron strain becomes the main strain (B).
What happened after the Omicron strain became the main strain in 2022? After the Omicron strain became the main strain, the base and size of the iceberg itself increased to an incomparable extent compared with that of the early stage of the COVID-19 pandemic; however, as indicated by the lighter color in Figure 7B, the pathogenesis of the disease became weaker and milder for many people. The rate of severe cases at the tip of the iceberg also decreased considerably. In response, many people have suggested that COVID-19 should be downgraded to Category 5 under the Infectious Disease Control Law, and that it should be treated at ordinary medical facilities, eliminating the need for isolation and the tracking of persons in close contact with the disease.
In contrast, infectious disease specialists still insisted that if the total number of COVID-19 infections increases, there would be a risk of increasing the number of severe cases, a risk of the virus mutating and becoming highly toxic again, a certain number of sequelae occurring even with the Omicron strain, and a higher mortality rate than with influenza, which they emphasized with the fact that severe cases and deaths have occurred even among young people and children. Thus, the government was reluctant to lower COVID-19 to Category 5 status.
As the number of infected people continued to increase even after two or more vaccinations and the reality of severe adverse reactions to the vaccine became clear, more people began to question the words and actions of these infectious disease specialists. In addition, many people who had experienced COVID-19 infection themselves, or who knew family members or others around them that were infected, and felt that they had surprisingly mild illnesses, began to question the continuation of the intensive measures that had been taken up to that point.
Dr. Nishiura pointed out that Japan may continue to experience a large-scale spread of COVID-19 because the number of people who retain immunity through natural infection is low compared with those in other countries [44]. Assuming this point is correct, the only way for COVID-19 to reach an endemic phase in Japan, where the N antibody possession rate (with a history of natural infection) is as low as 40%, is for more of the population to acquire hybrid immunity through natural infection. The number of deaths due to COVID-19 will probably increase during this process, particularly among older adults in the later stages of life. However, considering that the average age of deaths due to COVID-19 in Japan is close to the average life expectancy of Japan as a whole, and that these later-stage older adults have a higher probability of death due to various factors [45], the extent of the impact of COVID-19 on the overall population, including the number of excess deaths, will be uncertain.
Conversely, the impact of COVID-19 on the elderly may still be significant. When older adults are affected by COVID-19, even after recovery, the risk of frailty and aspiration pneumonia is increased, and life expectancy is worse [46,47,48]. Frailty caused by the COVID-19 pandemic is also a problem due to older adults being afraid of contracting COVID-19, which has caused them to refrain themselves excessively and stay at home. Taking well-balanced measures while keeping an eye on the situation will be necessary.
Based on an analysis of blood donations, it was reported that, as of February 2023, 42.3% of the population in Japan possessed N antibodies representing the existing prevalence of COVID-19 infection [49]. At the beginning of 2022, when most of the population (over 70%) was vaccinated up to the second dose, the cumulative number of COVID-19-infected persons in Japan was approximately 1.7 million. However, by May 2023, the cumulative number of infected individuals was approximately 34 million. In other words, in the case of Japan, most of the infected people are thought to have been infected after more than a second dose of vaccine and after the Omicron strain became the mainstay of SARS-CoV-2. Therefore, most of the Japanese population with N antibodies that indicate previous infection is thought to have hybrid immunity due to vaccination and natural infection, and the number of such people is around 40% of the total population. Although some people may have been naturally infected six months to a year ago and their antibody titers have likely declined, many with hybrid immunity are thought to have high antibody titer levels. Therefore, it is highly desirable to clarify the distribution of SARS-CoV-2 anti-body titers in the Japanese population through a nationwide, large-scale study.
One reason COVID-19 has been difficult to treat as a common cold is that the problem of sequelae cannot be underestimated; the long-term sequelae of COVID-19 were termed long COVID and greatly feared. In a cross-sectional study using questionnaires and electronic medical records, more than half of the patients reported prolonged COVID symptoms of varying severity 1 year after the onset of COVID-19 [50].
The enrollment of participants for this study took place in 2020 in the early stages of the pandemic, in which the disease was considered quite different from the current one caused by the Omicron strain. In addition, as the authors also state in the article, selection bias may have influenced participants’ willingness to participate, and recall bias may have played a role in the severity of sequelae; those with long COVID were more likely to participate in a survey regarding COVID-19 sequelae, and conversely, those without long COVID were more likely to be uninterested in the study and consequently may not have participated.
Thus, with approximately 40% of the entire population already infected, even among the general public, it is difficult to imagine that more than half of the patients have sequelae. Such a study overestimates the prevalence of the sequelae of COVID-19.
A study that also used a questionnaire reported that more than one-fourth of patients who recovered from COVID-19 had at least one symptom at 6, 12, 18, and 24 months after the onset of COVID-19 although the disease was mild in the acute phase, and that not a few number of COVID-19 patients have mild but persistent symptoms in the long term [51].
This study may be affected by a similar selection bias and other factors; however, if such a study is widely reported, some citizens may still think that the sequelae occur at a very high rate and are quite serious. This thinking may cause adverse effects, such as excessive self-restraint. Thus, the publication of such studies should be carried out with caution.
10. Characteristics of the Japanese Healthcare System in the COVID-19 Pandemic Compared to Other Countries
In terms of the number of COVID-19 cases and deaths per population, Japan remains at a low level compared to Western countries. However, the lack of ICUs and Japan’s poor mobility and regional coordination compared with other countries are seen as reasons for frequent medical crises and emergency declarations.
It is well known that among the developed countries, Japan has an extremely high number of hospital beds per population. The number of hospital beds per 1000 people is 13.0, which is approximately 4 to 5 times higher than the 2.9 in the United States and 2.5 in the United Kingdom, respectively. As for the number of “acute care beds” to treat patients with COVID-19 pneumonia, it is also the highest among the Organization for Economic Cooperation and Development (OECD) countries. At 7.8 per 1000 people, it is more than double the OECD average of 3.7 [52]. The following is an excerpt of an online article comparing Japan’s healthcare system to other countries [53]:
Despite having many hospital beds, Japan is prone to serious limits in its medical care in certain areas as the number of serious cases nationwide approaches 1000. A medical crunch not only concentrates the burden on a few medical personnel, but also has a tremendous impact on the economy because it can lead to an increased risk of death and force the public to restrict their activities. Various factors can explain why medical care is limited in Japan.
First, there are few intensive care units (ICUs). The number of ICU beds in Japan is only 2% of the total hospital beds, compared to 8% in Germany and 7% in the U.S. (OECD statistics). Although the number of total beds in Japan is 13.0 beds per 1000 people, which is more than Germany’s eight beds and the United States’ 2.9 beds, the number of ICU beds is 5.2 beds per 100,000 people, and 13.5 beds including high care units for patients of intermediate severity between ICUs and general wards, which is less than half of the 29.2 beds in Germany. In addition, the number of intensivists per capita in Japan is only one-seventh of that in Germany.
Secondly, there were problems with the conversion of beds to ICUs, hospital collaboration within and outside the region, and mobility during the assignment of physicians. The prevalence of infectious diseases differs significantly between regions. The situation in Osaka in early May 2021 during the fourth wave was extremely serious, and there was no room for ventilator-assisted treatment in the ICUs. In contrast, Germany has added 10,000 ICU beds since August 2020 to cope with coronavirus infection and has converted and expanded its hospital beds to 40 beds per 100,000 people. In Sweden, hospitals are flexibly linked across regions, and physicians with different specialties are trained and assigned to treat ICU patients. The flexible coordination and response of hospitals may be partly due to the differences in hospital management entities. In Japan, the ratio of private hospitals is 81.6%, and the number of private hospital beds is 71.3%, which differs significantly from the EU’s ratio of private hospital beds of 33.9% (2014).
In Sweden, national hospitals were the main players, and the government centrally controlled the use of hospital beds in each hospital from time to time and ordered emergency transport of patients beyond the boundaries of local governments. In Japan, it is necessary to establish a system that enables the flexible conversion of hospital beds in emergencies, cooperation between clinics and hospitals, cooperation between hospitals, and flexible allocation of doctors and other personnel.
11. Strong Promotion of COVID-19 Vaccination in Japan
Since 2021, Japan has firmly pushed for the expansion of COVID-19 vaccination. Even after the Infectious Disease Control Law was changed to Category 5, the government continued to push for a sixth vaccination, mainly for the elderly, starting in May 2023.
Although there are still many older adults who get their vaccination when they receive their free vaccination coupons because they feel they must be vaccinated, many question why only Japan is promoting additional vaccinations while other countries have stopped doing so. This issue has been addressed in parliament [54].
Some people have pointed out that Pfizer may be trying to dispose of its excess inventory of COVID-19 vaccine in Japan [55]. Some news reports have focused on adverse reactions to the COVID-19 vaccine [56]. Another people suggests that one possible cause of the increase in excess deaths in Japan after 2021 could be an adverse event caused by the COVID-19 vaccine. It is necessary to examine the causes of the increase in excess deaths from various perspectives [57].
However, a shocking incident occurred in May 2023. NHK, Japan’s flagship TV station, ran a news program that featured a bereaved family of a patient who had died after receiving the COVID-19 vaccine as if they were the bereaved family of a patient who had died from COVID-19 itself; afterward, the NHK apologized [58,59,60].
In a controversial manner, it has even been reported that “there is an unspoken agreement in the NHK news bureau not to give out any negative information about vaccines. [61]”. Although the circumstances of this incident are unclear, it is difficult to believe that such a thing could have happened because of a simple mistake, and those involved would be required to be accountable for their actions in good faith.
A local TV broadcast in Kagoshima covered the relationship between the COVID-19 vaccine and excess deaths. The video was uploaded to YouTube, but it was immediately deleted. This may have occurred because of the idea that negative information about the COVID-19 vaccine should not be released [62].
The tendency to avoid publicizing negative information about vaccines exists not only in the media but also in the medical community. The Japan Neurological Society requires that papers on post-vaccine neurological adverse reactions be submitted to academic journals issued by the Japan Neurological Society with proof of a causal relationship; specifically, there must be a sufficient discussion regarding the time course and pathogenic mechanism based on data such as antibody titers and analysis of changes over time in cytokines and chemokines in the cerebrospinal fluid [63]. This requirement is based on such an idea where, for example, the development of Guillain–Barré syndrome after COVID-19 vaccination may occur incidentally, being unrelated to the vaccination, and its misinterpretation as an adverse reaction to the vaccine may lead to lower vaccination coverage and associated unnecessary morbidity and mortality [64].
However, there is an opinion that facts need to be reported and accumulated even when the causal relationship with vaccination is unclear. This debate on COVID-19 vaccination is expected to continue.
12. Postscript
This article is a review of the author’s memorable cases and changes in Japan’s COVID-19 infection measures during the 3 years of the COVID-19 pandemic. After reading this article, some may be uncomfortable with this article and say, “The only reason you can write like this is that you happen to have only seen mild cases. Particularly during the fifth wave caused by the Delta strain around the time of the Tokyo Olympics in the summer of 2021, many really serious cases were present that medical care collapsed”. Others, while not denying the contents of the article in general, may not agree with them because they themselves were affected by COVID-19 and experienced really painful symptoms, suffered from sequelae, or had someone around them who did. The author, of course, does not deny such views. This article is merely a report of the author’s own limited experience and honest opinion.
The author does not consider COVID-19 to be something to be taken lightly. Although the author has never seen a patient with a severe case of COVID-19 or severe COVID-19 sequelae, the author has seen patients suffering from fever and myalgia after COVID-19 vaccination (although most resolve in a few days); therefore, the author disagrees with the trend that any negative aspects of the COVID-19 vaccine should not be disclosed, and also has questions regarding the significance of frequent additional vaccinations for the entire population in terms of cost-effectiveness, risk, and benefit. The author does not deny all the positive aspects of the COVID-19 vaccine because without COVID-19 vaccination, hybrid immunity cannot be acquired.
Many readers may believe that the author views infectious disease specialists negatively. Some infectious disease specialists may indeed have gone too far in their words and actions, but the author believes that this is due to the fact that they were influenced by the atmosphere of society as a whole rather than being personally responsible for their actions. The author believes that infectious disease specialists sometimes suffered because they were reported as having the authority to make policy decisions that ostensibly belonged to the government and were criticized for overstepping their authority when they expressed their opinions. The author is convinced that many infectious disease specialists had the courage to speak out and act with real sincerity during a global pandemic, and the author is filled with great respect and gratitude for their efforts.
These infectious disease experts motivated the government, public administrators, and health authorities to take action, and the public’s voluntary self-restraint may have saved lives. The COVID-19 pandemic was a very bold attempt to greatly restrict people’s private rights in the name of a cautious response to an unknown infectious disease and semi-mandate the use of vaccines and masks through peer pressure. Many people still believe that such attempts have kept the number of COVID-19 cases and deaths low in Japan without a strict lockdown, and the author has no intention of denying such a perspective.
However, it is undeniable that aspects of excessive behavior that resulted from giving top priority to the recommendations of infectious disease specialists who consider infection control measures to be of the highest priority exist. In addition, the public took excessive self-restraint and infection control measures, which led to various problems, such as the promotion of semi-mandatory vaccinations at workplaces and schools were supposed to be optional, numerous troubles over the wearing of masks, and an increase in frailty due to excessive self-restraint among the elderly. The damage to society as a whole could have been mitigated if policies that looked at not only the actual infectious disease situation, but also the economy and society as a whole (which would have been extremely difficult), had been adopted. Conversely, a certain number of people have a negative view of the words and actions of infectious disease specialists and are biased against infection control have opinions that may have a point, and they should be listened to [65,66,67]. Many people do not agree with these views, but a certain number support them.
In addition, while COVID-19 sequelae are important, vaccine sequelae are also important. After vaccination, the development of herpes virus [68] and herpes zoster virus [69], autoimmune diseases [70,71], thrombotic thrombocytopenia [72], nephrosis [73,74], nephritis [75,76], myocarditis, and pericarditis [77,78,79,80,81,82] have been reported. The relationship between these pathologies and vaccines will require clarification in the future.
High antibody titer levels due to hybrid immunity have persisted for a fairly long period of time in previously infected people, and considering the immune dynamics of each individual and the risk of severe disease when administering additional vaccinations, it would be beneficial to look at vaccination from the perspective of cost-effectiveness rather than blindly promoting vaccination to the entire population.
What we have learned from this pandemic is the importance of having a clear perspective of not only medical treatments, but also of the entire social system, and the need for the ability to evaluate real events and data with careful observation and discernment. Reaffirming the importance of these matters will surely be useful in the next era of pandemics. In addition, Japanese people still have a tendency to prioritize the eyes of those around them and give into peer pressure rather than listen to their own rational judgment, which is true in many situations and not only in the case of this infectious disease pandemic. Although mentally easier, the risk that everyone may take extremely inefficient and uneconomical actions and that everyone may suffer as a result of those actions should be recognized.
Finally, the author sincerely hopes that Japanese society will return to its pre-2019 state after the downgrading of COVID-19 to a Category 5 disease.
Funding
This research received no external funding.
Conflicts of Interest
The author declares no conflict of interest.
References
- Kanamori, D.; Kurobe, M.; Sugihara, T.; Harada, A.; Kaji, S.; Uchida, G.; Baba, Y.; Ohashi, S.; Ashizuka, S.; Ohki, T. Increase in pediatric complicated appendicitis during the COVID-19 pandemic: A multi-center retrospective study. Surg. Today 2022, 52, 1741–1745. [Google Scholar] [CrossRef]
- Available online: https://www3.nhk.or.jp/news/special/coronavirus/decrease/ (accessed on 12 June 2023).
- Kitahara, S.; Fujino, M.; Honda, S.; Asaumi, Y.; Kataoka, Y.; Otsuka, F.; Nakanishi, M.; Tahara, Y.; Ogata, S.; Onozuka, D.; et al. COVID-19 pandemic is associated with mechanical complications in patients with ST-elevation myocardial infarction. Open Heart 2021, 8, e001497. [Google Scholar] [CrossRef]
- Koge, J.; Shiozawa, M.; Toyoda, K. Acute Stroke Care in the With-COVID-19 Era: Experience at a Comprehensive Stroke Center in Japan. Front. Neurol. 2021, 11, 611504. [Google Scholar] [CrossRef] [PubMed]
- Available online: https://www.nikkansports.com/entertainment/news/202107010000075.html (accessed on 12 June 2023).
- Available online: http://cbel.jp/wp9835259570/wp-content/uploads/2021/04/cbel-report_03_01_04_imamura.pdf (accessed on 12 June 2023).
- Available online: https://www.youtube.com/watch?v=a1owYS7L16o (accessed on 12 June 2023).
- Available online: https://www.asahi.com/ajw/articles/14365420 (accessed on 12 June 2023).
- Available online: https://sakisiru.jp/9013 (accessed on 12 June 2023).
- Available online: https://dot.asahi.com/dot/2021083100080.html?page=1 (accessed on 12 June 2023).
- Available online: https://news.yahoo.co.jp/articles/28e7a1168b3ceac6897452b4c14dd32dc029f09e (accessed on 12 June 2023).
- Available online: https://asia.nikkei.com/Business/Science/Yamanaka-on-COVID-19/Uncovering-Japan-s-coronavirus-X-factor-matters-to-the-world (accessed on 12 June 2023).
- Weekly Bunshun; Shūkan Bunshun: Tokyo, Japan, 2020; Aug. 13 issue; pp. 148–153.
- Available online: https://www.jmedj.co.jp/journal/paper/detail.php?id=15375 (accessed on 12 June 2023).
- Available online: https://bunshun.jp/articles/-/42157 (accessed on 12 June 2023).
- Available online: https://bungeishunju.com/n/n339bef1e0c6b (accessed on 12 June 2023).
- Polack, F.P.; Thomas, S.J.; Kitchin, N.; Absalon, J.; Gurtman, A.; Lockhart, S.; Perez, J.L.; Pérez Marc, G.; Moreira, E.D.; Zerbini, C.; et al. Safety and Efficacy of the BNT162b2 mRNA COVID-19 Vaccine. N. Engl. J. Med. 2020, 383, 2603–2615. [Google Scholar] [CrossRef]
- Available online: https://news.yahoo.co.jp/byline/kutsunasatoshi/20210120-00217893 (accessed on 12 June 2023).
- Available online: https://www.kantei.go.jp/jp/headline/kansensho/vaccine_arch.html (accessed on 12 June 2023).
- Available online: https://twitter.com/kutsunasatoshi/status/1408977523094945793 (accessed on 12 June 2023).
- Available online: https://twitter.com/kutsunasatoshi/status/1552908712800423942 (accessed on 12 June 2023).
- Available online: https://www.niid.go.jp/niid/ja/2019-ncov/2484-idsc/10614-covid19-55.html (accessed on 12 June 2023).
- Available online: https://www.niid.go.jp/niid/ja/2019-ncov/2484-idsc/10757-covid19-61.html (accessed on 12 June 2023).
- Available online: https://www.niid.go.jp/niid/ja/2019-ncov/2484-idsc/10966-covid19-71.html (accessed on 12 June 2023).
- Arashiro, T.; Arima, Y.; Muraoka, H.; Sato, A.; Oba, K.; Uehara, Y.; Arioka, H.; Yanai, H.; Kuramochi, J.; Ihara, G.; et al. Coronavirus Disease 19 (COVID-19) Vaccine Effectiveness Against Symptomatic Severe Acute Respiratory Syndrome Coronavirus 2 (SARS-CoV-2) Infection During Delta-Dominant and Omicron-Dominant Periods in Japan: A Multicenter Prospective Case-control Study (Factors Associated with SARS-CoV-2 Infection and the Effectiveness of COVID-19 Vaccines Study). Clin. Infect. Dis. 2023, 76, e108–e115. [Google Scholar] [PubMed]
- Available online: http://www.fk-shinbun.co.jp/wp-content/uploads/2022/09/220909-1.png (accessed on 12 June 2023).
- Shuai, H.; Chan, J.F.; Hu, B.; Chai, Y.; Yuen, T.T.; Yin, F.; Huang, X.; Yoon, C.; Hu, J.C.; Liu, H.; et al. Attenuated replication and pathogenicity of SARS-CoV-2 B.1.1.529 Omicron. Nature 2022, 603, 693–699. [Google Scholar] [CrossRef] [PubMed]
- Suzuki, R.; Yamasoba, D.; Kimura, I.; Wang, L.; Kishimoto, M.; Ito, J.; Morioka, Y.; Nao, N.; Nasser, H.; Uriu, K.; et al. Attenuated fusogenicity and pathogenicity of SARS-CoV-2 Omicron variant. Nature 2022, 603, 700–705. [Google Scholar] [CrossRef]
- Available online: https://www.news-postseven.com/archives/20230228_1844673.html?DETAIL (accessed on 12 June 2023).
- Walls, A.C.; Sprouse, K.R.; Bowen, J.E.; Joshi, A.; Franko, N.; Navarro, M.J.; Stewart, C.; Cameroni, E.; McCallum, M.; Goecker, E.A.; et al. SARS-CoV-2 breakthrough infections elicit potent, broad, and durable neutralizing antibody responses. Cell 2022, 185, 872–880.e3. [Google Scholar] [CrossRef]
- Sarrigeorgiou, I.; Moschandreou, D.; Dimitriadis, A.; Tsinti, G.; Sotiropoulou, E.; Ntoukaki, E.; Eliadis, P.; Backovic, M.; Labropoulou, S.; Escriou, N.; et al. Combined monitoring of IgG and IgA anti-Spike and anti-Receptor binding domain long term responses following BNT162b2 mRNA vaccination in Greek healthcare workers. PLoS ONE 2022, 17, e0277827. [Google Scholar] [CrossRef]
- Desmecht, S.; Tashkeev, A.; El Moussaoui, M.; Marechal, N.; Perée, H.; Tokunaga, Y.; Fombellida-Lopez, C.; Polese, B.; Legrand, C.; Wery, M.; et al. Kinetics and Persistence of the Cellular and Humoral Immune Responses to BNT162b2 mRNA Vaccine in SARS-CoV-2-Naive and -Experienced Subjects: Impact of Booster Dose and Breakthrough Infections. Front. Immunol. 2022, 13, 863554. [Google Scholar] [CrossRef]
- Kusunoki, H.; Ohkusa, M.; Iida, R.; Saito, A.; Kawahara, M.; Ekawa, K.; Kato, N.; Yamasaki, K.; Motone, M.; Shimizu, H. Longitudinal Changes in IgG-Type SARS-CoV-2 Antibody Titers after COVID-19 Vaccination and a Prominent Increase in Antibody Titers When Infected after Vaccination. Vaccines 2023, 11, 860. [Google Scholar] [CrossRef]
- Hall, V.; Foulkes, S.; Insalata, F.; Kirwan, P.; Saei, A.; Atti, A.; Wellington, E.; Khawam, J.; Munro, K.; Cole, M.; et al. Protection against SARS-CoV-2 after COVID-19 Vaccination and Previous Infection. N. Engl. J. Med. 2022, 386, 1207–1220. [Google Scholar] [CrossRef] [PubMed]
- Sidik, S.M. COVID vaccine plus infection can lead to months of immunity. Nature 6 April 2022. [CrossRef]
- Bobrovitz, N.; Ware, H.; Ma, X.; Li, Z.; Hosseini, R.; Cao, C.; Selemon, A.; Whelan, M.; Premji, Z.; Issa, H.; et al. Protective effectiveness of previous SARS-CoV-2 infection and hybrid immunity against the omicron variant and severe disease: A systematic review and meta-regression. Lancet Infect. Dis. 2023, 23, 556–567. [Google Scholar] [CrossRef] [PubMed]
- Kusunoki, H.; Ekawa, K.; Ekawa, M.; Kato, N.; Yamasaki, K.; Motone, M.; Shimizu, H. Trends in Antibody Titers after SARS-CoV-2 Vaccination-Insights from Self-Paid Tests at a General Internal Medicine Clinic. Medicines 2023, 10, 27. [Google Scholar] [CrossRef] [PubMed]
- Available online: https://www.cov19-vaccine.mhlw.go.jp/qa/0028.html (accessed on 12 June 2023).
- Available online: https://news.yahoo.co.jp/byline/kutsunasatoshi/20230103-00329974 (accessed on 12 June 2023).
- Available online: https://news.yahoo.co.jp/byline/kutsunasatoshi/20230429-00347557 (accessed on 12 June 2023).
- Dan, J.M.; Mateus, J.; Kato, Y.; Hastie, K.M.; Yu, E.D.; Faliti, C.; Grifoni, A.; Ramirez, S.I.; Haupt, S.; Frazier, A.; et al. Immunological memory to SARS-CoV-2 assessed for up to 8 months after infection. Science 2021, 371, eabf4063. [Google Scholar] [CrossRef] [PubMed]
- Crotty, S. Hybrid immunity: COVID-19 vaccine responses provide insights into how the immune system perceives threats. Science 2021, 372, 1392–1393. [Google Scholar] [CrossRef]
- Chemaitelly, H.; Nagelkerke, N.; Ayoub, H.H.; Coyle, P.; Tang, P.; Yassine, H.M.; Al-Khatib, H.A.; Smatti, M.K.; Hasan, M.R.; Al-Kanaani, Z.; et al. Duration of immune protection of SARS-CoV-2 natural infection against reinfection. J. Travel Med. 2022, 29, taac109. [Google Scholar] [CrossRef]
- Available online: https://www.m3.com/news/iryoishin/1133025 (accessed on 12 June 2023).
- Available online: https://president.jp/articles/-/53323?page=4 (accessed on 12 June 2023).
- Available online: https://twitter.com/aquariusmed/status/1641732605539418113?cxt=HHwWWgoDUlejGzcgtAAAAAA (accessed on 12 June 2023).
- Available online: https://gemmed.ghc-j.com/?p=52573 (accessed on 12 June 2023).
- Ciarambino, T.; Crispino, P.; Minervini, G.; Giordano, M. COVID-19 and Frailty. Vaccines 2023, 11, 606. [Google Scholar] [CrossRef]
- Available online: https://www3.nhk.or.jp/news/special/coronavirus/category5/detail/detail_32.html (accessed on 12 June 2023).
- Imoto, W.; Yamada, K.; Kawai, R.; Imai, T.; Kawamoto, K.; Uji, M.; Kanda, H.; Takada, M.; Ohno, Y.; Ohtani, H.; et al. A cross-sectional, multicenter survey of the prevalence and risk factors for Long COVID. Sci. Rep. 2022, 12, 22413. [Google Scholar] [CrossRef]
- Morioka, S.; Tsuzuki, S.; Maruki, T.; Terada, M.; Miyazato, Y.; Kutsuna, S.; Saito, S.; Shimanishi, Y.; Takahashi, K.; Sanada, M.; et al. Epidemiology of post-COVID conditions beyond 1 year: A cross-sectional study. Public Health 2023, 216, 39–44. [Google Scholar] [CrossRef] [PubMed]
- Available online: https://mainichi.jp/articles/20210329/k00/00m/040/369000c (accessed on 12 June 2023).
- Available online: https://toyokeizai.net/articles/-/442222 (accessed on 12 June 2023).
- Available online: https://www.youtube.com/watch?v=RgryH0q_LDM&t=370s (accessed on 12 June 2023).
- Available online: https://news.yahoo.co.jp/articles/2776a2f230a220f4f4eefec0336d7bcb68bef3ae (accessed on 12 June 2023).
- Available online: https://news.yahoo.co.jp/articles/9a0adf5642abe0b03edfe529ea4e5b1fd3661718 (accessed on 12 June 2023).
- Available online: https://note.com/hiroyukimorita/n/nc8dc34a29680 (accessed on 12 June 2023).
- Available online: https://www.asahi.com/articles/ASR5J7GYMR5JUCVL051.html (accessed on 12 June 2023).
- Available online: https://mainichi.jp/english/articles/20230525/p2a/00m/0na/002000c (accessed on 12 June 2023).
- Available online: https://mainichi.jp/english/articles/20230517/p2a/00m/0na/010000c (accessed on 12 June 2023).
- Available online: https://www.dailyshincho.jp/article/2023/05241141/?all=1 (accessed on 12 June 2023).
- Available online: https://note.com/hiroyukimorita/n/n5e3e041dfdf9 (accessed on 12 June 2023).
- Available online: http://blog.drnagao.com/2022/08/post-8088.html (accessed on 12 June 2023).
- Lunn, M.P.; Cornblath, D.R.; Jacobs, B.C.; Querol, L.; van Doorn, P.A.; Hughes, R.A.; Willison, H.J. COVID-19 vaccine and Guillain-Barré syndrome: Let’s not leap to associations. Brain 2021, 144, 357–360. [Google Scholar] [CrossRef]
- Available online: https://www.yomitv.jp/ZpkJU (accessed on 12 June 2023).
- Available online: https://news.yahoo.co.jp/articles/7477910b8b538cb0da59a0a45f3d606a1f31b694 (accessed on 12 June 2023).
- Available online: https://news.yahoo.co.jp/articles/76d76a1106e3218d22f8a37976137764399f6a24 (accessed on 12 June 2023).
- Navarro-Bielsa, A.; Gracia-Cazaña, T.; Aldea-Manrique, B.; Abadías-Granado, I.; Ballano, A.; Bernad, I.; Gilaberte, Y. COVID-19 infection and vaccines: Potential triggers of Herpesviridae reactivation. An. Bras. de Dermatol. 2023, 98, 347–354. [Google Scholar] [CrossRef]
- Iwanaga, J.; Fukuoka, H.; Fukuoka, N.; Yutori, H.; Ibaragi, S.; Tubbs, R.S. A narrative review and clinical anatomy of herpes zoster infection following COVID-19 vaccination. Clin. Anat. 2021, 35, 45–51. [Google Scholar] [CrossRef]
- Safary, A.; Esalatmanesh, K.; Eftekharsadat, A.T.; Nakjavani, M.-R.J.; Khabbazi, A. Autoimmune inflammatory rheumatic diseases post-COVID-19 vaccination. Int. Immunopharmacol. 2022, 110, 109061. [Google Scholar] [CrossRef]
- Shakoor, M.T.; Birkenbach, M.P.; Lynch, M. ANCA-Associated Vasculitis Following Pfizer-BioNTech COVID-19 Vaccine. Am. J. Kidney Dis. 2021, 78, 611–613. [Google Scholar] [CrossRef]
- Favaloro, E.J. Laboratory testing for suspected COVID-19 vaccine–induced (immune) thrombotic thrombocytopenia. Int. J. Lab. Hematol. 2021, 43, 559–570. [Google Scholar] [CrossRef] [PubMed]
- Thappy, S.; Thalappil, S.R.; Abbarh, S.; Al-Mashdali, A.; Akhtar, M.; Alkadi, M.M. Minimal change disease following the Moderna COVID-19 vaccine: First case report. BMC Nephrol. 2021, 22, 376. [Google Scholar] [CrossRef] [PubMed]
- Ma, Q.; Li, X.; Xu, G. New-Onset and Relapsed Membranous Nephropathy post SARS-CoV-2 and COVID-19 Vaccination. Viruses 2022, 14, 2143. [Google Scholar] [CrossRef]
- Schaubschlager, T.; Rajora, N.; Diep, S.; Kirtek, T.; Cai, Q.; Hendricks, A.R.; Shastri, S.; Zhou, X.J.; Saxena, R. De novo or recurrent glomerulonephritis and acute tubulointerstitial nephritis after COVID-19 vaccination: A report of six cases from a single center. Clin. Nephrol. 2022, 97, 289–297. [Google Scholar] [CrossRef]
- Morimoto, N.; Mori, T.; Shioji, S.; Taguchi, T.; Watanabe, H.; Sakai, K.; Mori, K.; Yamamura, A.; Hanioka, A.; Akagi, Y.; et al. Rapidly progressive IgA nephropathy with membranoproliferative glomerulonephritis-like lesions in an elderly man following the third dose of an mRNA COVID-19 vaccine: A case report. BMC Nephrol. 2023, 24, 108. [Google Scholar] [CrossRef] [PubMed]
- Morgan, M.C.; Atri, L.; Harrell, S.; Al-Jaroudi, W.; Berman, A. COVID-19 vaccine-associated myocarditis. World J. Cardiol. 2022, 14, 382–391. [Google Scholar] [CrossRef] [PubMed]
- Nassar, M.; Nso, N.; Gonzalez, C.; Lakhdar, S.; Alshamam, M.; Elshafey, M.; Abdalazeem, Y.; Nyein, A.; Punzalan, B.; Durrance, R.J.; et al. COVID-19 vaccine-induced myocarditis case report with literature review. Diabetes Metab. Syndr. Clin. Res. Rev. 2021, 15, 102205. [Google Scholar] [CrossRef]
- Le Vu, S.; Bertrand, M.; Jabagi, M.-J.; Botton, J.; Drouin, J.; Baricault, B.; Weill, A.; Dray-Spira, R.; Zureik, M. Age and sex-specific risks of myocarditis and pericarditis following COVID-19 messenger RNA vaccines. Nat. Commun. 2022, 13, 3633. [Google Scholar] [CrossRef] [PubMed]
- Furqan, M.; Chawla, S.; Majid, M.; Mazumdar, S.; Mahalwar, G.; Harmon, E.; Klein, A. COVID-19 Vaccine–Related Myocardial and Pericardial Inflammation. Curr. Cardiol. Rep. 2022, 24, 2031–2041. [Google Scholar] [CrossRef] [PubMed]
- Fazlollahi, A.; Zahmatyar, M.; Noori, M.; Nejadghaderi, S.A.; Sullman, M.J.M.; Shekarriz-Foumani, R.; Kolahi, A.; Singh, K.; Safiri, S. Cardiac complications following mRNA COVID-19 vaccines: A systematic review of case reports and case series. Rev. Med. Virol. 2022, 32, e2318. [Google Scholar] [CrossRef]
- Foltran, D.; Delmas, C.; Flumian, C.; De Paoli, P.; Salvo, F.; Gautier, S.; Drici, M.-D.; Karsenty, C.; Montastruc, F. Myocarditis and pericarditis in adolescents after first and second doses of mRNA COVID-19 vaccines. Eur. Heart J. Qual. Care Clin. Outcomes 2022, 8, 99–103. [Google Scholar] [CrossRef]
Disclaimer/Publisher’s Note: The statements, opinions and data contained in all publications are solely those of the individual author(s) and contributor(s) and not of MDPI and/or the editor(s). MDPI and/or the editor(s) disclaim responsibility for any injury to people or property resulting from any ideas, methods, instructions or products referred to in the content. |
© 2023 by the author. Licensee MDPI, Basel, Switzerland. This article is an open access article distributed under the terms and conditions of the Creative Commons Attribution (CC BY) license (https://creativecommons.org/licenses/by/4.0/).