Two Cases of Statin-Induced Immune-Mediated Necrotizing Myopathy: A Rare Side Effect of Statins
Abstract
1. Introduction
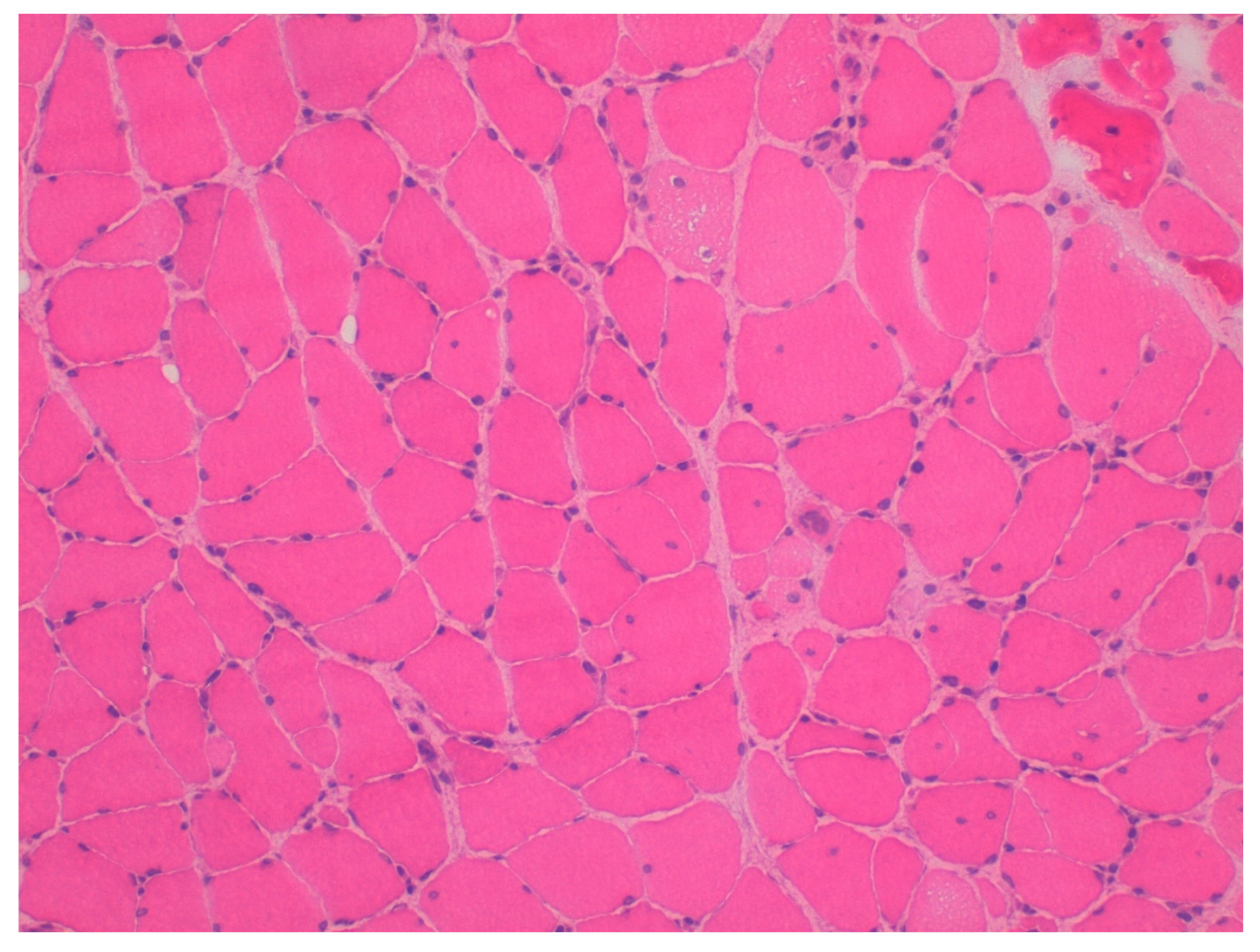
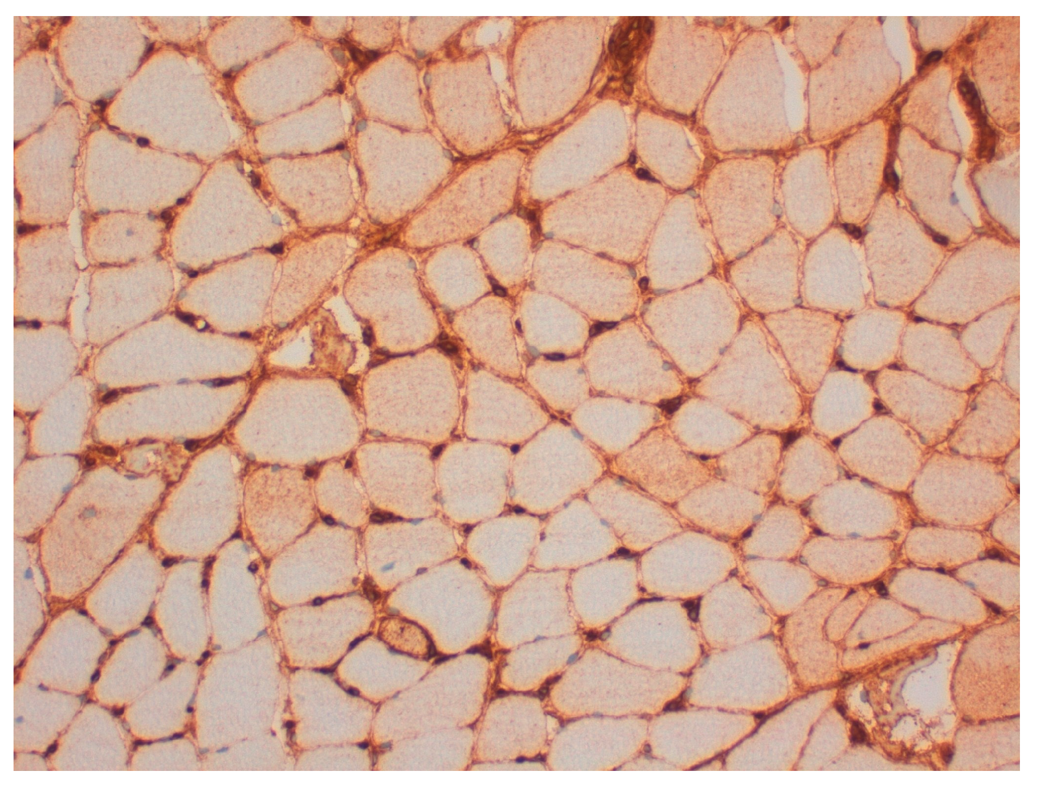
2. Case Report
3. Discussion
4. Conclusions
Author Contributions
Funding
Institutional Review Board Statement
Informed Consent Statement
Data Availability Statement
Conflicts of Interest
References
- Koppel, C. Clinical features, pathogenesis and management of drug-induced rhabdomyolysis. Med. Toxicol. Adverse Drug Exp. 1989, 4, 108–126. [Google Scholar] [CrossRef] [PubMed]
- Gaist, D.; Rodríguez, L.A.; Huerta, C.; Hallas, J.; Sindrup, S.H. Lipid-lowering drugs and risk of myopathy: A population-based follow-up study. Epidemiology 2001, 12, 565–569. [Google Scholar] [CrossRef] [PubMed]
- Thompson, P.D.; Clarkson, P.; Karas, R.H. Statin-associated myopathy. JAMA 2003, 289, 1681–1690. [Google Scholar] [CrossRef]
- Safi, T.; Wagner, H. Immunmedierad nekrotiserande myopati utlöst av statinbehandling [Two cases of statin-induced immune-mediated necrotizing myopathy]. Lakartidningen 2021, 118, 21110. [Google Scholar] [PubMed]
- Pinal-Fernandez, I.; Casal-Dominguez, M.; Mammen, A.L. Statins: Pros and cons. Med. Clin. 2018, 150, 398–402. [Google Scholar] [CrossRef]
- Pinal-Fernandez, I.; Casal-Dominguez, M.; Mammen, A.L. Immune-Mediated Necrotizing Myopathy. Curr. Rheumatol. Rep. 2018, 20, 21. [Google Scholar] [CrossRef]
- Rosenson, R.S.; Baker, S.K.; Jacobson, T.A.; Kopecky, S.L.; Parker, B.A. An assessment by the Statin Muscle Safety Task Force: 2014 update. J. Clin. Lipidol. 2014, 8, S58. [Google Scholar] [CrossRef]
- Yeo, C.H.; Yaakub, A.; Wang, M.C.L.; Shim, S.A.; Chong, P.L.; Khalil, M.A.M.; Telisinghe, P.U.; Lim, K.C.; Tan, J.; Chong, V.H. Refractory Statin-Induced Immune-Mediated Necrotizing Myositis: Challenges and Perils in Its Management. Cureus 2022, 14, e24778. [Google Scholar] [CrossRef]
- Scheuing, W.J.; Dadhania, F.B.; Bankole, A.A. Statin-Related Necrotizing Autoimmune Myositis: More Than Myalgia. Cureus 2022, 14, e22654. [Google Scholar] [CrossRef]
- Mammen, A.L. Statin-Associated Autoimmune Myopathy. N. Engl. J. Med. 2016, 374, 664–669. [Google Scholar] [CrossRef]
- Basharat, P.; Lahouti, A.H.; Paik, J.J.; Albayda, J.; Pinal-Fernandez, I.; Bichile, T.; Lloyd, T.E.; Danoff, S.K.; Casciola-Rosen, L.; Mammen, A.L.; et al. Statin-Induced Anti-HMGCR-Associated Myopathy. J. Am. Coll. Cardiol. 2016, 68, 234–235. [Google Scholar] [CrossRef] [PubMed]
- Chaisrimaneepan, N.; Thongpiya, J.; Yingchoncharoen, P.; Saowapa, S. An atorvastatin-induced positive anti-HMGCR immune-mediated necrotizing myopathy case. Clin. Case Rep. 2024, 12, e8563. [Google Scholar] [CrossRef]
- Pinal-Fernandez, I.; Casal-Dominguez, M.; Carrino, J.A.; Lahouti, A.H.; Basharat, P.; Albayda, J.; Paik, J.J.; Ahlawat, S.; Danoff, S.K.; Lloyd, T.E.; et al. Thigh muscle MRI in immune-mediated necrotising myopathy: Extensive oedema, early muscle damage and role of anti-SRP autoantibodies as a marker of severity. Ann. Rheum. Dis. 2017, 76, 681–687. [Google Scholar] [CrossRef]
- Suh, J.; Amato, A.A. Management of immune-mediated necrotizing myopathy. Muscle Nerve. 2024, 70, 166–172. [Google Scholar] [CrossRef] [PubMed]
- Milone, M. Diagnosis and Management of Immune-Mediated Myopathies. Mayo. Clin. Proc. 2017, 92, 826–837. [Google Scholar] [CrossRef]
- Patel, S.; Abu-Abaa, M.; Mousavi, F. Seronegative Immune-Mediated Necrotizing Myopathy: A Case Report. Cureus 2022, 14, e27824. [Google Scholar] [CrossRef]
- Van De Vlekkert, J.; Maas, M.; Hoogendijk, J.E.; De Visser, M.; Van Schaik, I.N. Combining MRI and muscle biopsy improves diagnostic accuracy in subacute-onset idiopathic inflammatory myopathy. Muscle Nerve. 2015, 51, 253–258. [Google Scholar] [CrossRef] [PubMed]
- Martins, A.; Nadais, G.; Pinto, M.; Taipa, R.; Costa, L.; Pimenta, S. Progressive proximal muscle weakness with subacute onset in an elderly patient: A case report. Rev. Neurol. 2023, 76, 31–34. [Google Scholar] [CrossRef]
- Smirlis, E.; Obholz, J.; Eineichner, T.; Adio, B. Correction: A Case of Suspected Statin-Related Delayed Onset Necrotizing Myositis. Cureus 2022, 14, c62, Erratum in Cureus 2022, 14, e22893. [Google Scholar] [CrossRef]
- Landon-Cardinal, O.; Allenbach, Y.; Soulages, A.; Rigolet, A.; Hervier, B.; Champtiaux, N.; Monzani, Q.; Solé, G.; Benveniste, O. Rituximab in the Treatment of Refractory Anti-HMGCR Immune-mediated Necrotizing Myopathy. J. Rheumatol. 2019, 46, 623–627. [Google Scholar] [CrossRef]
- Weeding, E.; Tiniakou, E. Therapeutic management of immune-mediated necrotizing myositis. Curr. Treatm. Opt. Rheumatol. 2021, 7, 150–160. [Google Scholar] [CrossRef] [PubMed]
- Khan, F.; Brady, S.; Kuttikat, A. Challenges in the diagnosis and management of immune-mediated necrotising myopathy (IMNM) in a patient on long-term statins. Rheumatol. Int. 2023, 43, 383–390. [Google Scholar] [CrossRef] [PubMed]
- Upreti, S.; Fayyaz, B.; Bongu, R.P. Anti-HMG-CoA reductase myopathy, an undesirable evolution of statin induced myopathy: A case report. J. Community Hosp. Intern. Med. Perspect. 2019, 9, 33–35. [Google Scholar] [CrossRef] [PubMed]





| Lab | Case 1 | Case 2 | Normal Range | 
|---|---|---|---|
| ESR | 70 | 61 | 0–30 mm/h | 
| CRP | 1.8 | 1.6 | <0.3 mg/dL | 
| CPK | 563 | 343 | 10 a 120 (mcg/L) | 
| AST | 16 | 8.9 | 0–35 U/L | 
| ALT | 10 | 11 | 4 a 36 U/L | 
| Aldolasa | 3.6 | 3.5 | 1.0 y 7.5 U/L | 
| Myositis profile | |||
| anti-HMG-CoA reductase antibodies | >200 U/ml | 190 U/ml | 0–20 CU | 
| Non detected | Non detected | Non detected | MI-2 autoantibodies | 
| Non detected | Non detected | Non detected | PL-7 autoantibodies | 
| Non detected | Non detected | Non detected | PL-12 autoantibodies | 
| Non detected | Non detected | Non detected | Ku autoantibodies | 
| Non detected | Non detected | Non detected | EJ autoantibodies | 
| Non detected | Non detected | Non detected | OJ autoantibodies | 
| Non detected | Non detected | Non detected | SRP autoantibodies | 
| Non detected | Non detected | Non detected | JO-1 autoantibodies | 
| Non detected | Non detected | Non detected | PM-Ccl100 autoantibodies | 
| Non detected | Non detected | Non detected | RO-52 autoantibodies | 
| Non detected | Non detected | Non detected | MI-2 autoantibodies | 
| Disclaimer/Publisher’s Note: The statements, opinions and data contained in all publications are solely those of the individual author(s) and contributor(s) and not of MDPI and/or the editor(s). MDPI and/or the editor(s) disclaim responsibility for any injury to people or property resulting from any ideas, methods, instructions or products referred to in the content. | 
© 2025 by the authors. Licensee MDPI, Basel, Switzerland. This article is an open access article distributed under the terms and conditions of the Creative Commons Attribution (CC BY) license (https://creativecommons.org/licenses/by/4.0/).
Share and Cite
Montero Furelos, L.A.; Fernandez Peña, C.; San Millan Tejedor, B. Two Cases of Statin-Induced Immune-Mediated Necrotizing Myopathy: A Rare Side Effect of Statins. Rheumato 2025, 5, 7. https://doi.org/10.3390/rheumato5020007
Montero Furelos LA, Fernandez Peña C, San Millan Tejedor B. Two Cases of Statin-Induced Immune-Mediated Necrotizing Myopathy: A Rare Side Effect of Statins. Rheumato. 2025; 5(2):7. https://doi.org/10.3390/rheumato5020007
Chicago/Turabian StyleMontero Furelos, Luis Angel, Clara Fernandez Peña, and Beatriz San Millan Tejedor. 2025. "Two Cases of Statin-Induced Immune-Mediated Necrotizing Myopathy: A Rare Side Effect of Statins" Rheumato 5, no. 2: 7. https://doi.org/10.3390/rheumato5020007
APA StyleMontero Furelos, L. A., Fernandez Peña, C., & San Millan Tejedor, B. (2025). Two Cases of Statin-Induced Immune-Mediated Necrotizing Myopathy: A Rare Side Effect of Statins. Rheumato, 5(2), 7. https://doi.org/10.3390/rheumato5020007
 
        

 
       