Next Article in Journal / Special Issue
Drug Discovery for Periodontitis Treatment Based on Big Data Mining, Systems Biology, and Deep Learning Methods
Previous Article in Journal
Cell Factory for Phenylnaphthacenoid Polyketide Production
 
 
Font Type:
Arial Georgia Verdana
Font Size:
Aa Aa Aa
Line Spacing:
Column Width:
Background:
Article

Rapid Production of Cyclic Citrullinated Peptide Monoclonal Antibody in Nicotiana benthamiana for the Early Detection and Diagnosis of Rheumatoid Arthritis

Apple Research Institute, National Institute of Horticultural and Herbal Science, Rural Development Administration, Gunwi 39000, Republic of Korea
SynBio 2023, 1(1), 103-115; https://doi.org/10.3390/synbio1010008
Submission received: 23 March 2023 / Revised: 6 April 2023 / Accepted: 21 April 2023 / Published: 25 April 2023
(This article belongs to the Special Issue Feature Paper Collection in Synthetic Biology)

Abstract

Rheumatoid arthritis (RA) is one of the most common autoimmune diseases, affecting 0.5% to 1% of the population. It could ultimately result in joint destruction, functional decline, work disability, and enhanced mortality. Cyclic citrullinated peptide antibodies (CCP Abs) are useful biomarkers for the early detection and diagnosis of RA. In this study, we used plant viral-based expression vectors that produce rapidly large quantities of CCP-specific monoclonal antibodies. Heavy and light chain genes of a CCP monoclonal antibody (CCP mAb) were cloned from the hybridoma cell (12G1) and introduced into two separate plant viral-based expression vectors, TMV and PVX. A cyclic citrullinated peptide monoclonal antibody was produced in Nicotiana benthamiana through an Agrobacterium-mediated transient expression system. The expression of CCP mAb in tobacco plants was confirmed by dot blot, western blot analysis, and enzyme-linked immunosorbent assays (ELISA). It was shown that tobacco plants could accumulate CCP mAbs up to 0.35% of total soluble protein. Accumulated CCP mAb from infiltrated leaves was purified by protein G affinity chromatography. Immunoblot assays and ELISA showed plant-produced CCP mAbs successfully bound to a synthetic CCP peptide antigen. This system provides a fast strategy for the production of pharmaceutical CCP mAbs in tobacco plants.

1. Introduction

Plant molecular farming is a new branch of plant biotechnology where plants are engineered to produce recombinant pharmaceutical and industrial proteins in large quantities. This involves the growing, harvesting, transport, storage, and downstream processing of the extraction and purification of the protein [1]. Plant expression systems are attractive because they offer significant advantages over classical expression systems based on bacterial, microbial, and animal cells. Plant-based molecular farming has emerged as a promising approach with significant advantages in both cost and safety over other eukaryotic expression systems. A comparison of several production characteristics of plant-based production platforms with those of other systems when used for pharmaceutical protein expression [2]. The ease with which plants can be genetically manipulated and grown in single-cell suspension culture or scaled up for field-scale production is a great advantage over the more commonly used microbial methods, mammalian cell culture, and transgenic animal technology [3].
The transient production platform is perhaps the fastest and most convenient production platform for plant molecular farming [4]. The systems, which are mainly used for quick validation of expression constructs, are now routinely used for the production of considerable amounts of proteins within a few weeks [5]. Heterologous gene expression can be achieved in whole plants (viral vectors) or plant organs (agroinfiltration). Furthermore, using viral vectors for transient protein expression has attracted interest because it can rapidly produce high yields of protein on a field scale [6]. Currently, commercial field trials are proceeding for producing recombinant proteins using viral vectors. For example, BioSource Technologies (Vacaville, CA, USA) is using a tobacco mosaic virus-based vector for the production of Hepatitis B surface antigen, scFvs, and other recombinant proteins [3].
The agroinfiltration method, which was developed by Kapila et al. [7], involves the infiltration of a suspension of recombinant Agrobacterium tumefaciens into tobacco leaf tissue, which facilitates the transfer of T-DNA to a very high percentage of the cells, where it expresses the transgene at very high levels without stable transformation, as in the case of transgenic crops. This method has now been developed into a very rapid, high-yielding transient expression strategy for producing clinical-grade biopharmaceuticals [5,8].
RA is a systemic inflammatory disease characterized by chronic and erosive polyarthritis caused by abnormal growth of synovial tissue, or pannus, and causes irreversible joint disability [9]. The morbidity and mortality it causes are a consequence of local and systemic inflammatory processes that damage cartilage, bone, and soft tissue, as well as blood vessels and viscera [10]. The disease may appear at any age, but it is most common among those aged 40 to 70 years, and its incidence increases with age [9]. A better understanding of its pathophysiology has led to the development of targeted therapies that have dramatically improved outcomes [10]. In recent years, the introduction of serum antibodies against citrulline-containing molecules has shown some promise as diagnostic tools in RA. Citrulline can be formed by posttranslational enzymatic conversion of arginine residues, catalyzed by peptidyl arginine deiminase enzymes. Citrullinated molecules, the targets of these antibodies, include filaggrin, keratin, fibrin, and vimentin. These antibodies are detected by ELISA, where a synthetic cyclic citrullinated peptide (CCP) is used as a substrate [11,12]. Anti-cyclic citrullinated peptide (anti-CCP) antibody (ACPA) testing is particularly useful in the diagnosis of RA, with high specificity, presence early in the disease process, and the ability to identify patients who are likely to have severe disease and irreversible damage. ACPA holds promise for earlier and more accurate diagnosis of disease, improved prognostic information, and has been implicated in RA pathogenesis. They can be detected years before onset, and they are also associated with joint destruction [9,10,13].
Thus far, the recent COVID-19 pandemic highlights the critical importance of rapidly producing antigens for rapid detection of the COVID-19 virus, which helps a lot in the prevention and control of pandemics. We previously reported that the CCP mAbs were produced in a transgenic rice cell suspension culture, which has stable expression under the control of an inducible promoter (RAmy3D) [14]. The CCP mAbs have been produced and secreted onto the culture media under sucrose starvation. The purified CCP mAbs showed biological activity through specific binding to a synthetic CCP antigen. However, the procedure for producing stable expression requires a longer time (months) to generate transgenic rice cell lines. In contrast, transient expression can produce high yields of antibodies in a relatively short period of time (days). Therefore, the transient expression system is better suited to the rapid production of a wide range of therapeutic proteins and mAbs. In this study, we reveal another approach based on the advantage of using a transient expression system, which can be exploited to rapidly produce CCP mAbs. Herein, CCP-specific monoclonal antibodies were produced using plant viral-based expression vectors TMV and PVX. Tobacco plants were inoculated with these recombinant vectors, and the CCP mAb was rapidly expressed in large quantities. This system provides a fast and economical method for producing pharmaceutical and commercial proteins in tobacco, Nicotiana benthamiana. The study further demonstrated that plant-produced CCP mAbs specifically bound to a synthetic CCP peptide antigen, indicating their potential to be developed as a specific serological marker for early detection of rheumatoid arthritis. This study provides a promising strategy for the cost-effective and rapid production of pharmaceutical-grade CCP mAb using plants.

2. Results

2.1. Establishment of Expression Vectors

To produce CCP mAb, CCP-LC and CCP-HC were introduced into plant viral vectors pICH31070 and pICH31180 for transient expression. The CCP-LC and CCP-HC were introduced into the 3′ module of the TMV-based provector (pICH31070), yielding expression vectors pYMD316 and pYMD315, respectively. Furthermore, resulting in the introduction of the CCP-LC and CCP-HC into the 3′ module of the PVX-based provector (pICH31180), pYMD321 and pYMD322, respectively, were generated (Figure 1). Cloning and construction of expression vectors for CCP-LC and CCP-HC are shown in Figures S3 and S4, respectively. The plant expression vectors of the heavy chain (HC) and light chain (LC) were transformed into A. tumefaciens GV3101 by electroporation, and then A. tumefaciens GV3101 harboring the expression vectors of the HC and LC were infiltrated onto the N. benthamiana leaf tissue.

2.2. Production of CCP mAb in N. benthamiana Leaves

Four recombinant expression vectors, pMYD315, pMYD316, pMYD321, and pMYD322, were constructed with two different TMV-based and PVX-based provectors, resulting in four different combinations: (I) TMV-LC and TMV-HC; (II) PVX-LC and PVX-HC; (III) TMV-LC and PVX-HC; and (IV) PVX-LC and TMV-HC. These combinations of expression vectors were agroinfiltrated onto N. benthamiana leaves in four separated areas labeled (Figure 2A,B). After 7 days post-infiltration, agroinfiltrated leaves were harvested for extraction of total soluble proteins (TSP). A western blot was conducted for comparison of expression levels between these combinations. As a result, the CCP mAb was detected with the highest expression using the combination (IV) PVX-LC and TMV-HC (Figure 2C). This combination will be used for further experiments. For the determination of CCP mAb assembly expressed in N. benthamiana, western blots using HC and LC-specific Ab under reducing conditions were performed (Figure 2C, middle and below). The CCP mAb bands detected by the HC-specific antibody were located at the same position as those detected by the LC-specific antibody and also those detected by the whole-molecule antibody under non-reducing conditions (Figure 2C, upper). Additionally, under reducing conditions, monomers of the HC and LC were detected in 55-kDa (Figure 2C, middle) and 25-kDa bands (Figure 2C, below), respectively. Taken together, these results indicated that the HC and LC were assembled into the whole antibody.
The yield of the recombinant monoclonal antibody can be improved depending on the harvesting time and the concentration of Agrobacterium used for infiltration into the N. benthamiana leaves. Optimization of expression of CCP mAb in N. benthamiana was conducted using different concentrations of Agrobacterium with OD600 = 0.3, 0.6, and 0.9 and time-independent harvesting at 3, 5, 7, and 9 days post-infiltration (dpi) (Figure 3A). As a result, the highest yield of CCP mAb was obtained at 7 days post-infiltration (Figure 3B). The expression of CCP mAb in N. benthamiana leaves was not significantly different across various concentrations of infiltrated Agrobacterium. (Figure 3C). Moreover, the production of CCP mAb was scaled up using vacuum infiltration. Infiltrated leaves of N. benthamiana were sampled at 1-day intervals from 2–7 dpi (Figure 4A). Their expression was analyzed by SDS-PAGE (Figure 4B,C) and western blot (Figure 4D,E) in both nonreducing (Figure 4A,C) and reducing conditions (Figure 4B,D). The accumulated CCP mAbs in the agroinfiltrated leaves (A) were detected at different time courses with Agrobacterium OD600 = 0.6. The CCP mAb was produced right after 3 dpi, and the expression level gradually increased with time.

2.3. Purification and Quantification of Plant-Derived Monoclonal Antibodies

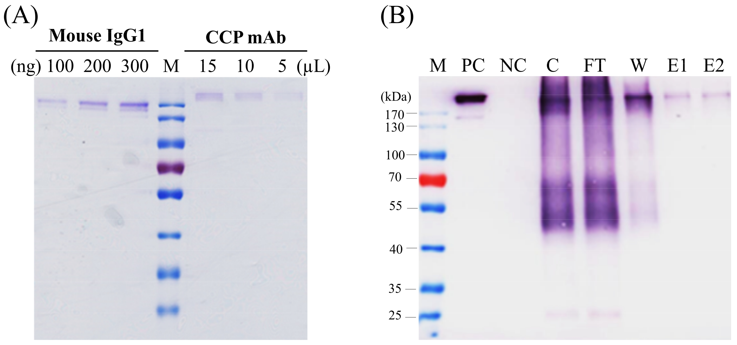
The purified CCP mAb was examined by SDS-PAGE (Figure 5A) and western blot analysis (Figure 5B) under non-reducing conditions. After purification, the eluted CCP mAb showed purity compared to crude samples by showing a clean band on the gel and membrane. For a specific ELISA, firstly, the isotype of the CCP mAb was determined by western blot analysis with mouse monoclonal antibody isotyping reagents (IgG1, IgG2a, IgG2b, and IgG3) (Figure 6A). The western blot results showed that the CCP mAb bound with the anti-mouse IgG1 antibody, indicating that the CCP mAb belongs to the IgG1 isotype. Hence, the amounts of plant-derived monoclonal antibodies (CCP mAb) were measured by ELISA using the anti-mouse IgG1 antibody. The expression level of CCP mAb in N. benthamiana was measured by ELISA on leaves harvested at 7 dpi. As shown in Figure 6B, the expression level of CCP mAb is 0.35% of TSP.

2.4. Biological Activity of the Plant-Derived Monoclonal Antibody

The CCP mAb from transformed leaves was purified and then used for testing the binding activity. The binding activity of the CCP mAb was tested using synthetic CCP and CRP peptides (Table S1). The synthetic peptides (CCP and CRP), at concentrations of 0.2, 1.0, and 2.0 μg, were dot-blotted onto a Hybond™ C nitrocellulose membrane. A PBS-only negative control was also dot-blotted onto the membrane. As shown in Figure 7, the most intense signal was found at the highest concentration, 2.0 μg of the synthetic CCP antigen. The variance in color intensity represents the difference in synthetic CCP peptide concentrations, and no signal was detected for the PSB-only negative control. However, no signal was found on the membrane when the CRP peptide was blotted.

3. Discussion

Until recently, treatment for RA was limited, and severe joint damage and overall debility were common. Early and aggressive intervention with new and effective biological treatments can alter the course of the disease, lengthen life, and improve function, but better molecular markers for diagnosis and prognosis are needed to identify RA patients earlier and fine-tune therapeutic choices to the individual patient [10]. To facilitate diagnosis during the early stages of the disease, when not all clinical symptoms are manifest, a good serological marker is needed. Anti-cyclic citrullinated peptide (anti-CCP) is an antibody present in most RA patients. Levels of anti-CCP can be detected in a patient through a blood test. A positive anti-CCP test result can be used in conjunction with other blood tests, imaging tests, and physical examinations to reach a RA diagnosis. Testing for the presence of anti-CCP antibodies is a relatively new tool for helping doctors diagnose RA.
Highly efficient purification schemes are a prerequisite for the use of recombinant antibodies for diagnostic or therapeutic purposes. Proteins must be highly purified before use in order to minimize or even eliminate any adverse clinical reactions against contaminants during clinical uses of the proteins. Compared to other expression systems, the major differences in purifying recombinant proteins from plant systems arise in the very first steps of the procedure. Purification of full-size antibodies produced in plant cell suspension cultures can be obtained by using protein G-based affinity [15]. Full-size rAbs antibodies produced in transgenic tobacco suspension cultures could be purified with more than 80% recovery [16]. In Kim et al. (2014), purified FimA antibodies in rice cell suspension cultures using a protein G column showed the biological activity of the purified monoclonal antibodies against P. gingivalis [17]. In our previous study, CCP-mAb produced in rice cell suspension culture was purified using a protein G column, showing full-size antibodies with biological activity [14]. In this study, the purity of the corresponding CCP-mAb was checked by SDS-PAGE (Figure 5A) and also identified by western blot under non-reducing conditions (Figure 5B). Whole assembled antibodies were detected over 170-kDa because of N-glycosylation of the Fc region in the HC [18]. This higher molecular weight of the plant-derived monoclonal antibody has been observed previously [19]. The several additional bands detected via western blot analysis might indicate complex and truncated forms of antibodies.
The purified full-size antibodies showed binding activity to the synthesis CCP antigen (CCP) but were not immunoreactive with the synthesis non-citrullinated peptide (CRP) blotted onto the membrane (Figure 7). These synthetic antigens both contain 21 amino acids, with only one amino acid difference: one amino acid at the 9th N-terminal on the synthesis of the non-citrullinated peptide (CRP), arginine (R), was changed to citrulline (X) (Table S1).
The production of pharmaceutical proteins in plant production platforms (stable and transient expression systems) is a promising strategy because of advantages relating to the economy, scalability, and minimal risk of contamination with human pathogens [20,21]. Stable transformation is the common strategy for the expression of foreign proteins in plants, but it takes a long time for transgenic plant generation and cell tissue culture as well. To overcome these problems, several alternative methods were suggested, including transient expression systems using plant viral expression vectors. Since many of the different plant viruses can efficaciously infect N. benthamiana, it is most widely used for producing recombinant proteins by viral vectors [22]. Several plant viruses, such as tobacco mosaic virus (TMV), potato virus X (PVX), cucumber mosaic virus (CMV), turnip mosaic virus (TuMV), and cowpea mosaic virus (CPMV), have been engineered to produce vaccines and therapeutic proteins [23]. Virus-based transient expression systems (the Magn-ICON system) were developed to produce full-size anticancer monoclonal antibodies [24]. Anti-VEFGR2 nanobodies were expressed in N. tabacum and N. benthamiana using the Turnip mosaic virus (TuMV)-based vector up to 0.45% of total soluble protein. In our study, the expression level of CCP mAb was 0.35% of the total soluble protein. In conclusion, we demonstrated that CCP mAb with biological activity was produced efficiently and quickly within a week by using virus-based transient expression systems in tobacco (Figure 8).

4. Materials and Methods

4.1. Gene Cloning and Vector Construction

The LC and HC genes of the CCP mAb have been isolated and cloned as described in our previous study [14]. Vectors pYMD319 containing the HC and pYMD320 containing the LC gene of the CCP mAb were used for the isolation of the HC and LC. The PCR products encoding the HC and LC genes of the monoclonal antibodies after cloning into a pGEM-T easy vector were confirmed by DNA sequencing (Figures S1 and S2). To create BsaI upstream and downstream of the monoclonal antibodies, specific primers containing the restriction enzyme sites of BsaI were designed for PCR. For the construction of recombinant plant expression vectors in N. benthamiana, the digested fragments of the cloned gene with BsaI were introduced into the same sites of two plant viral vectors, pICH31070 (a TMV-based provector) and pICH31180 (a PVX-based provector) (Icon Genetics, Halle, Germany). The recombinant plasmids were then transformed into A. tumefaciens strain GV3101 by electroporation.

4.2. Agroinfiltration Procedure

Nicotiana benthamiana seeds were grown in a greenhouse with a controlling temperature of 25 °C. After 1–2 weeks, small plant-germinated seeds were transferred to single pots for growing up to around 4 weeks. A. tumefaciens GV3101 containing individual constructs was grown at 28 °C in yeast extract peptone (YEP) broth supplemented with 10 mM 2-(N-morpholino) ethane sulfonic acid (MES, pH 5.5), 10 mM MgCl2, 20 mM acetosyringone, 50 mg/mL kanamycin, and 100 mg/mL rifampicin. Cultured Agrobacterium was harvested by centrifugation at 5000× g and resuspended in MS basal medium containing 10 mM MES (pH 5.6), 10 mM MgCl2, and 200 mM acetosyringone. The bacterial suspension was adjusted to a final OD600 of 0.6 and preincubated for 2–3 h at room temperature prior to infiltration. Preincubated cultures were infiltrated into the undersides of leaves using a 1 mL disposable syringe without a needle. The infiltrated plants were kept growing for 3–7 days in the greenhouse, and infiltrated leaves were harvested for checking protein expression.
For the scale-up of agroinfiltration and the production of protein as well, the vacuum agroinfiltration method has also been used. The Agrobacterium cells were harvested and prepared as described above, with a final OD600 of 0.6 in the bacterial suspension. The suspended bacterial suspension was pre-incubated for 2 h in the dark at room temperature before infiltration of N. benthamiana by submerging the whole leaves into the infiltration buffer. With the help of the vacuum system, the bacterial suspension came into contact with the interstitial spaces of plant leaf tissue. The infiltrated plants were kept growing in the greenhouse, and infiltrated leaves were harvested for checking protein expression.

4.3. Western Blot Analysis

Plant leaf tissues agroinfiltrated with Agrobacterium containing HC or LC genes were assayed for HC or LC antibody expression using immunoblot analysis. The agroinfiltrated leaf tissues were ground with a mortar and pestle in liquid nitrogen. The resulting fine powder was added to an equal volume of extraction buffer (200 mM Tris-HCl, pH 8.0, 100 mM NaCl, 400 mM sucrose, 10 mM EDTA, 14 mM 2-mercaptoethanol, 1 mM phenylmethylsulfonyl fluoride, and 0.05% Tween 20) and thawed. Samples were centrifuged twice to remove completely insoluble cell debris at 13,000× g for 10 min at 4 °C. The concentration of TSP was determined by the Bradford protein assay (Bio-Rad, Hercules, CA, USA) with bovine serum albumin (BSA) as a standard. The proteins were separated using 10% sodium dodecyl sulfate-polyacrylamide gel electrophoresis (SDS-PAGE) under reducing or non-reducing conditions, followed by transfer to nitrocellulose membranes and immunoblotting. TSP was separated in an electrophoresis system and run as described previously [25]. Anti-mouse IgG (gamma-chain specific) conjugated to alkaline phosphatase (A3438, Sigma-Aldrich, St. Louis, MO, USA) was used to detect HC, and a monoclonal anti-mouse kappa LC antibody (K2132, Sigma-Aldrich, St. Louis, MO, USA) was used to detect LC, followed by incubation with anti-rat IgG (whole antibody) conjugated to alkaline phosphatase (A8438, Sigma-Aldrich, St. Louis, MO, USA). The HC and LC antibody complexes were visualized by adding a phosphatase substrate (S0942, Sigma-Aldrich, St. Louis, MO, USA).

4.4. Quantification of CCP mAb

An ELISA was used to confirm the biological activities of plant-derived monoclonal antibodies. Briefly, wells of microtiter plates (Nalgene NUNC International Corp., Rochester, NY, USA) were coated with 100 μL per well of goat anti-mouse IgG1 (Sigma-Aldrich, St. Louis, MO, USA) dissolved in bicarbonate buffer (15 mM Na2CO3, 35 mM NaHCO3, pH 9.6) and incubated overnight at 4 °C. The wells were washed three times with TBST and blocked with 1% BSA (Bio-Rad, Hercules, CA, USA) in PBS buffer for 2 h at room temperature, followed by three washes with PBST buffer. Serial dilutions of the protein extracts from the agroinfiltrated leaf tissues expressing monoclonal antibodies were added and incubated for 2 h at room temperature, followed by three washes in PBST buffer. After washing the wells with TBST, anti-mouse IgG (whole molecule) conjugated with alkaline phosphatase (W4021, Promega, Madison, WI, USA) was added. The microplate was incubated at room temperature for 2 h and then washed with PBST. Lastly, the microplate was incubated with 100 μL per well of phosphatase substrates (Sigma S0942) for color development, and the optical density of the end-product was measured at 405 nm using an ELISA reader (Sunrise, Tecan, Männedorf, Switzerland). A known amount of mouse IgG1 as a control was used to make a standard curve.

4.5. Purification and Specific Antigen-Binding Activity

The CCP mAb produced in agroinfiltrated leaves of N. benthamiana were harvested for the purification of monoclonal antibodies. Seven days of agroinfiltrated leaves were homogenized in cold PBS protein extraction buffer (1:2 w/v) using a blender. The tissue homogenate was centrifuged twice at 13,200 rpm for 20 min at 4 ℃ using a Beckman Avanti™ J-25 centrifuge (Beckman Coulter, Brea, California, USA). The supernatant was filtrated through a 0.2 μm filter to remove completely insoluble debris before loading into the HiTrap™ Protein G HP column (GE Healthcare, Chicago, Illinois, USA) as per the manufacturer’s instructions. Briefly, the column was washed with five volumes of washing buffer (20 mM sodium phosphate, pH 7.0). The bound antibodies were eluted with elution buffer (0.1 M glycine-HCl, pH 2.7) and immediately neutralized by adding 1 M Tris-HCl (pH 9.0). Fractions were collected, and purity was assessed by SDS-PAGE and western blot analysis. The purified plant-produced CCP mAbs were quantified using the Bradford protein assay and identified by separate SDS-PAGE and western blot analyses. For biological activity analysis, the binding of the purified agroinfiltrated leaves of N. benthamiana-derived CCP mAb with synthetic CCP peptides was investigated via dot-blot analysis. CCP or CRP peptide was dot-blotted onto Hybond™ C nitrocellulose membrane and immunoblotted to determine the reactivity of CCP mAb with synthetic CCP peptides.

5. Conclusions

A new transient expression system has been developed for the production of pharmaceutical CCP mAbs in tobacco plants. This system enables fast and efficient production of this antibody, with the accumulated level of CCP mAb reaching 0.35% of total soluble protein in N. benthamiana leaves. The entire assembled CCP mAb was subsequently purified using a protein G affinity column. The CCP mAb exhibited biological activity and was produced within a week using a virus-based transient expression system in tobacco. The plant-produced CCP mAb has been shown to effectively bind to a synthetic CCP peptide antigen, indicating that it may be developed into a specific serological marker for early detection and diagnosis of rheumatoid arthritis. This breakthrough has important implications for the pharmaceutical industry and could lead to more accessible and affordable treatments for this debilitating disease.

Supplementary Materials

The following supporting information can be downloaded at: https://www.mdpi.com/article/10.3390/synbio1010008/s1, Table S1: Amino acid sequence of the synthetic CCP and CRP peptides; Figure S1: DNA sequence agliment of CCP-LC; Figure S2: DNA sequence agliment of CCP-HC; Figure S3: Cloning and construction of expression vectors for CCP-LC; Figure S4: Cloning and construction of expression vectors for CCP-HC.

Funding

This research was supported by the Advanced Production Technology Development Program, Ministry for Food, Agriculture, Forestry, and Fisheries (312037-05), BK21 Plus Program, Republic of Korea. The APC was funded by the author.

Institutional Review Board Statement

Not applicable.

Informed Consent Statement

Not applicable.

Data Availability Statement

Not applicable.

Acknowledgments

The author is grateful for the support received from the BK21 Plus Program during his conduct of this research at the Department of Bioactive Material Sciences, Jeonbuk National University, Republic of Korea.

Conflicts of Interest

The authors declare no conflict of interest.

References

  1. De Wilde, C.; Peeters, K.; Jacobs, A.; Peck, I.; Depicker, A. Expression of antibodies and Fab fragments in transgenic potato plants: A case study for bulk production in crop plants. Mol. Breed. 2002, 9, 271–282. [Google Scholar] [CrossRef]
  2. Xu, J.; Ge, X.; Dolan, M.C. Towards high-yield production of pharmaceutical proteins with plant cell suspension cultures. Biotechnol. Adv. 2011, 29, 278–299. [Google Scholar] [CrossRef] [PubMed]
  3. Fischer, R.; Emans, N. Molecular farming of pharmaceutical proteins. Transgenic Res. 2000, 9, 279–299. [Google Scholar] [CrossRef] [PubMed]
  4. Rybicki, E.P. Plant-made vaccines for humans and animals. Plant Biotechnol. J. 2010, 8, 620–637. [Google Scholar] [CrossRef]
  5. Vézina, L.P.; Faye, L.; Lerouge, P.; D’Aoust, M.A.; Marquet-Blouin, E.; Burel, C.; Lavoie, P.O.; Bardor, M.; Gomord, V. Transient co-expression for fast and high-yield production of antibodies with human-like N-glycans in plants. Plant Biotechnol. J. 2009, 7, 442–455. [Google Scholar] [CrossRef]
  6. Scholthof, H.B.; Scholthof, K.-B.G.; Jackson, A.O. Plant virus gene vectors for transient expression of foreign proteins in plants. Annu. Rev. Phytopathol. 1996, 34, 299–323. [Google Scholar] [CrossRef] [PubMed]
  7. Kapila, J.; De Rycke, R.; Van Montagu, M.; Angenon, G. An Agrobacterium-mediated transient gene expression system for intact leaves. Plant Sci. 1997, 122, 101–108. [Google Scholar] [CrossRef]
  8. Pogue, G.P.; Vojdani, F.; Palmer, K.E.; Hiatt, E.; Hume, S.; Phelps, J.; Long, L.; Bohorova, N.; Kim, D.; Pauly, M. Production of pharmaceutical-grade recombinant aprotinin and a monoclonal antibody product using plant-based transient expression systems. Plant Biotechnol. J. 2010, 8, 638–654. [Google Scholar] [CrossRef]
  9. Serdaroğlu, M.; Çakırbay, H.; Değer, O.; Cengiz, S.; Kul, S. The association of anti-CCP antibodies with disease activity in rheumatoid arthritis. Rheumatol. Int. 2008, 28, 965–970. [Google Scholar] [CrossRef] [PubMed]
  10. Niewold, T.; Harrison, M.; Paget, S. Anti-CCP antibody testing as a diagnostic and prognostic tool in rheumatoid arthritis. J. Assoc. Physicians 2007, 100, 193–201. [Google Scholar] [CrossRef]
  11. Alexiou, I.; Germenis, A.; Ziogas, A.; Theodoridou, K.; Sakkas, L.I. Diagnostic value of anti-cyclic citrullinated peptide antibodies in Greek patients with rheumatoid arthritis. BMC Musculoskelet. Disord. 2007, 8, 37. [Google Scholar] [CrossRef] [PubMed]
  12. Itty, S.; Pulido, J.S.; Bakri, S.J.; Baratz, K.H.; Matteson, E.L.; Hodge, D.O. Anti-cyclic citrullinated peptide, rheumatoid factor, and ocular symptoms typical of rheumatoid arthritis. Trans. Am. Ophthalmol. Soc. 2008, 106, 75. [Google Scholar]
  13. Solbritt, R.-D.; Ben, A.; Ewa, B.; Göran, H.; Göran, W.; Hans, S.; Ulf, S.; Walther, J. Antibodies against cyclic citrullinated peptide and IgA rheumatoid factor predict the development of rheumatoid arthritis. Arthritis Rheum. 2003, 48, 2741–2749. [Google Scholar]
  14. Van Giap, D.; Jung, J.-W.; Kim, N.-S. Production of functional recombinant cyclic citrullinated peptide monoclonal antibody in transgenic rice cell suspension culture. Transgenic Res. 2019, 28, 177–188. [Google Scholar] [CrossRef]
  15. Schillberg, S.; Fischer, R.; Emans, N. Molecular farming of recombinant antibodies in plants. Cell. Mol. Life Sci. CMLS 2003, 60, 433–445. [Google Scholar] [CrossRef] [PubMed]
  16. Fischer, R.; Liao, Y.-C.; Drossard, J. Affinity-purification of a TMV-specific recombinant full-size antibody from a transgenic tobacco suspension culture. J. Immunol. Methods 1999, 226, 1–10. [Google Scholar] [CrossRef] [PubMed]
  17. Kim, B.-G.; Kim, S.-H.; Kim, N.-S.; Huy, N.-X.; Choi, Y.-S.; Lee, J.-Y.; Jang, Y.-S.; Yang, M.-S.; Kim, T.-G. Production of monoclonal antibody against FimA protein from Porphyromonas gingivalis in rice cell suspension culture. Plant Cell Tissue Organ Cult. PCTOC 2014, 118, 293–304. [Google Scholar] [CrossRef]
  18. Higel, F.; Seidl, A.; Sörgel, F.; Friess, W. N-glycosylation heterogeneity and the influence on structure, function and pharmacokinetics of monoclonal antibodies and Fc fusion proteins. Eur. J. Pharm. Biopharm. 2016, 100, 94–100. [Google Scholar] [CrossRef]
  19. Huang, Z.; Phoolcharoen, W.; Lai, H.; Piensook, K.; Cardineau, G.; Zeitlin, L.; Whaley, K.J.; Arntzen, C.J.; Mason, H.S.; Chen, Q. High-level rapid production of full-size monoclonal antibodies in plants by a single-vector DNA replicon system. Biotechnol. Bioeng. 2010, 106, 9–17. [Google Scholar] [CrossRef]
  20. Sainsbury, F.; Sack, M.; Stadlmann, J.; Quendler, H.; Fischer, R.; Lomonossoff, G.P. Rapid transient production in plants by replicating and non-replicating vectors yields high quality functional anti-HIV antibody. PLoS ONE 2010, 5, e13976. [Google Scholar] [CrossRef]
  21. Rigano, M.M.; Walmsley, A.M. Expression systems and developments in plant-made vaccines. Immunol. Cell Biol. 2005, 83, 271–277. [Google Scholar] [CrossRef] [PubMed]
  22. Goodin, M.M.; Zaitlin, D.; Naidu, R.A.; Lommel, S.A. Nicotiana benthamiana: Its history and future as a model for plant–pathogen interactions. Mol. Plant Microbe Interact. 2008, 21, 1015–1026. [Google Scholar] [CrossRef] [PubMed]
  23. Yusibov, V.; Streatfield, S.J.; Kushnir, N. Clinical development of plant-produced recombinant pharmaceuticals: Vaccines, antibodies and beyond. Hum. Vaccines 2011, 7, 313–321. [Google Scholar] [CrossRef] [PubMed]
  24. Gleba, Y.; Klimyuk, V.; Marillonnet, S. Magnifection—A new platform for expressing recombinant vaccines in plants. Vaccine 2005, 23, 2042–2048. [Google Scholar] [CrossRef]
  25. Do, V.G.; Lee, Y.; Kweon, H.; Kim, S. Light Induces Carotenoid Biosynthesis-Related Gene Expression, Accumulation of Pigment Content, and Expression of the Small Heat Shock Protein in Apple Fruit. Int. J. Mol. Sci. 2022, 23, 6153. [Google Scholar] [CrossRef]
Figure 1. TMV and PVX-based viral vector construction of CCP mAb. TMV-based provector: 3′ module (pMYD315 and pMYD316), 5′ modules (pICH20155); PVX-based provector: 3′ module (pMYD321 and pMYD322), 5′ modules (pICH31320); and integrase module (pICH14011). LB and RB, left and right borders; Pact, Arabidopsis actin 2 promoter; RdRp, RNA-dependent RNA polymerase; MP, movement protein; CP, coat protein; Apo, apoplast targeting presequence; int, intron; AttP and AttB, recombination sites; Tnos, nos terminator; 3 NTR, 3 nontranslated regions.
Figure 1. TMV and PVX-based viral vector construction of CCP mAb. TMV-based provector: 3′ module (pMYD315 and pMYD316), 5′ modules (pICH20155); PVX-based provector: 3′ module (pMYD321 and pMYD322), 5′ modules (pICH31320); and integrase module (pICH14011). LB and RB, left and right borders; Pact, Arabidopsis actin 2 promoter; RdRp, RNA-dependent RNA polymerase; MP, movement protein; CP, coat protein; Apo, apoplast targeting presequence; int, intron; AttP and AttB, recombination sites; Tnos, nos terminator; 3 NTR, 3 nontranslated regions.
Synbio 01 00008 g001
Figure 2. TMV-based provector and PVX-based provector, resulting in four different combinations for expression of CCP mAb in Nicotiana benthamiana: (I) TMV-LC and TMV-HC; (II) PVX-LC and PVX-HC; (III) TMV-LC and PVX-HC; and (IV) PVX-LC and TMVHC. These combinations of expression vectors were agroinfiltrated onto N. benthamiana leaves in four separated areas labeled (A,B). Sampling was conducted at 7 dpi for western blot (C); whole assembled CCP mAbs were detected under non-reducing conditions (upper); HC and LC of CCP mAbs were detected by HC (middle) and LC-specific (below) antibodies under reducing conditions. Lane M shows a pre-stained protein marker; lane PC shows whole IgG protein; lane NC shows non-transformed plants as a negative control; lanes I, II, III, and IV show the agroinfiltrated leaves of combinations I, II, III, and IV, respectively.
Figure 2. TMV-based provector and PVX-based provector, resulting in four different combinations for expression of CCP mAb in Nicotiana benthamiana: (I) TMV-LC and TMV-HC; (II) PVX-LC and PVX-HC; (III) TMV-LC and PVX-HC; and (IV) PVX-LC and TMVHC. These combinations of expression vectors were agroinfiltrated onto N. benthamiana leaves in four separated areas labeled (A,B). Sampling was conducted at 7 dpi for western blot (C); whole assembled CCP mAbs were detected under non-reducing conditions (upper); HC and LC of CCP mAbs were detected by HC (middle) and LC-specific (below) antibodies under reducing conditions. Lane M shows a pre-stained protein marker; lane PC shows whole IgG protein; lane NC shows non-transformed plants as a negative control; lanes I, II, III, and IV show the agroinfiltrated leaves of combinations I, II, III, and IV, respectively.
Synbio 01 00008 g002
Figure 3. Effect of time course and Agrobacterium cell density on recombinant CCP mAb production in the agroinfiltrated leaves of N. benthamiana. The accumulated CCP mAbs in the agroinfiltrated leaves (A) were detected at different time courses (3, 5, 7, and 9 days post-infiltration) (with Agrobacterium OD600 = 0.6) (B) and different Agrobacterium OD600 = 0.3, 0.6, and 0.9 (at 7 dpi) via western blot analysis (C).
Figure 3. Effect of time course and Agrobacterium cell density on recombinant CCP mAb production in the agroinfiltrated leaves of N. benthamiana. The accumulated CCP mAbs in the agroinfiltrated leaves (A) were detected at different time courses (3, 5, 7, and 9 days post-infiltration) (with Agrobacterium OD600 = 0.6) (B) and different Agrobacterium OD600 = 0.3, 0.6, and 0.9 (at 7 dpi) via western blot analysis (C).
Synbio 01 00008 g003
Figure 4. Large-scale production of CCP mAb using vacuum infiltration. The accumulated CCP mAbs in the agroinfiltrated leaves (A) were detected at different time courses via SDS-PAGE (B,C) and western blot (D,E).
Figure 4. Large-scale production of CCP mAb using vacuum infiltration. The accumulated CCP mAbs in the agroinfiltrated leaves (A) were detected at different time courses via SDS-PAGE (B,C) and western blot (D,E).
Synbio 01 00008 g004
Figure 5. Purification of plant-produced CCP mAb using affinity chromatography on a protein G column. Purified CCP mAb was separated by SDS-PAGE and compared with the known amount of mouse IgG1 (A) and visually assessed by western blot analysis with the anti-mouse IgG1 antibody (B). Lane M contains pre-stained molecular weight markers; lane PC shows an IgG standard protein; lane NC shows the non-agroinfiltrated leaves, used as a negative control; lane C, crude; lane FT, flow-through; lane W, column flow-through washing buffer; lanes E1 and E2, eluted fractions.
Figure 5. Purification of plant-produced CCP mAb using affinity chromatography on a protein G column. Purified CCP mAb was separated by SDS-PAGE and compared with the known amount of mouse IgG1 (A) and visually assessed by western blot analysis with the anti-mouse IgG1 antibody (B). Lane M contains pre-stained molecular weight markers; lane PC shows an IgG standard protein; lane NC shows the non-agroinfiltrated leaves, used as a negative control; lane C, crude; lane FT, flow-through; lane W, column flow-through washing buffer; lanes E1 and E2, eluted fractions.
Synbio 01 00008 g005
Figure 6. Isotyping of the CCP mAb via western blot analysis with mouse monoclonal anti-body isotyping reagents (A). + indicates the lanes that were loaded with the purified CCP mAb; − indicates the lanes that were loaded with TSP of un-agroinfiltrated tobacco leaves as a negative control. The accumulation of CCP mAbs in the agroinfiltrated leaves (B).
Figure 6. Isotyping of the CCP mAb via western blot analysis with mouse monoclonal anti-body isotyping reagents (A). + indicates the lanes that were loaded with the purified CCP mAb; − indicates the lanes that were loaded with TSP of un-agroinfiltrated tobacco leaves as a negative control. The accumulation of CCP mAbs in the agroinfiltrated leaves (B).
Synbio 01 00008 g006
Figure 7. Antigen-specific binding activity of plant-produced CCP mAb. The panel shows the result of a dot-blot analysis against a synthetic CCP peptide using optimization of the loading amount. The synthetic CCP peptide, at concentrations of 0.2, 1.0, or 2.0 μg, was dot-blotted onto Hybond™ C nitrocellulose membrane. PBS-only (negative control) was also dot-blotted onto the membrane.
Figure 7. Antigen-specific binding activity of plant-produced CCP mAb. The panel shows the result of a dot-blot analysis against a synthetic CCP peptide using optimization of the loading amount. The synthetic CCP peptide, at concentrations of 0.2, 1.0, or 2.0 μg, was dot-blotted onto Hybond™ C nitrocellulose membrane. PBS-only (negative control) was also dot-blotted onto the membrane.
Synbio 01 00008 g007
Figure 8. Simplified overview of plant-produced CCP mAb production. A flow chart outlining the key steps along with a timeline of the process.
Figure 8. Simplified overview of plant-produced CCP mAb production. A flow chart outlining the key steps along with a timeline of the process.
Synbio 01 00008 g008
Disclaimer/Publisher’s Note: The statements, opinions and data contained in all publications are solely those of the individual author(s) and contributor(s) and not of MDPI and/or the editor(s). MDPI and/or the editor(s) disclaim responsibility for any injury to people or property resulting from any ideas, methods, instructions or products referred to in the content.

Share and Cite

MDPI and ACS Style

Do, V.G. Rapid Production of Cyclic Citrullinated Peptide Monoclonal Antibody in Nicotiana benthamiana for the Early Detection and Diagnosis of Rheumatoid Arthritis. SynBio 2023, 1, 103-115. https://doi.org/10.3390/synbio1010008

AMA Style

Do VG. Rapid Production of Cyclic Citrullinated Peptide Monoclonal Antibody in Nicotiana benthamiana for the Early Detection and Diagnosis of Rheumatoid Arthritis. SynBio. 2023; 1(1):103-115. https://doi.org/10.3390/synbio1010008

Chicago/Turabian Style

Do, Van Giap. 2023. "Rapid Production of Cyclic Citrullinated Peptide Monoclonal Antibody in Nicotiana benthamiana for the Early Detection and Diagnosis of Rheumatoid Arthritis" SynBio 1, no. 1: 103-115. https://doi.org/10.3390/synbio1010008

APA Style

Do, V. G. (2023). Rapid Production of Cyclic Citrullinated Peptide Monoclonal Antibody in Nicotiana benthamiana for the Early Detection and Diagnosis of Rheumatoid Arthritis. SynBio, 1(1), 103-115. https://doi.org/10.3390/synbio1010008

Article Metrics

Back to TopTop