Next Article in Journal
Impact of Rosehip (Rose Canina) Powder Addition and Figure Height on 3D-Printed Gluten-Free Bread
Previous Article in Journal
The Influence of Energy-Restricted Anti-Inflammatory Diet on Innate Immune Response in-Patients with Obesity
 
 
Font Type:
Arial Georgia Verdana
Font Size:
Aa Aa Aa
Line Spacing:
Column Width:
Background:
Proceeding Paper

Modulatory Effects of a Lunasin-Enriched Soybean Extract on Immune Response and Oxidative Stress-Associated Biomarkers †

by
Samuel Paterson
1,
Samuel Fernández-Tomé
2 and
Blanca Hernández-Ledesma
1,*
1
Department of Bioactivity and Food Analysis, Institute of Food Science Research (CIAL, CSIC-UAM, CEI-UAM+CSIC), Nicolás Cabrera 9, 28049 Madrid, Spain
2
Department of Nutrition and Food Science, Faculty of Pharmacy, Complutense University of Madrid (UCM), Plaza Ramón y Cajal s/n, 28040 Madrid, Spain
*
Author to whom correspondence should be addressed.
Presented at the 2nd International Electronic Conference on Nutrients, 15–31 March 2022; Available online: https://iecn2022.sciforum.net/.
Biol. Life Sci. Forum 2022, 12(1), 10; https://doi.org/10.3390/IECN2022-12367
Published: 14 March 2022
(This article belongs to the Proceedings of The 2nd International Electronic Conference on Nutrients)

Abstract

:
The immune system, inflammatory, and oxidative processes are involved in the pathogenesis of a variety of chronic diseases. Soybean lunasin has emerged as one of the most promising food-derived peptides with a positive impact on health. A soybean extract enriched in lunasin (LES) was obtained and characterized, evaluating its behavior under simulated gastrointestinal conditions. Besides its in vitro radical scavenging capacity, the effects of LES on cell viability, phagocytic capacity, and levels of oxidative stress and inflammation-associated biomarkers were investigated in macrophages RAW 264.7. Different LES doses and treatment times were assayed. After extraction with an aqueous solvent, an enrichment with soluble proteins and small peptides, such as lunasin, was achieved. Lunasin was detected at the end of the simulated digestion, indicating its partial resistance to this process. LES showed radical scavenging activity. Moreover, at low doses, LES reduced reactive oxygen species (ROS) in macrophages, while an oxidizing effect was observed at the highest concentration. LES exerted an immunomodulatory action, increasing the production of nitric oxide (NO) in a dose- and time-dependent manner, and the phagocytic activity at short treatment times. LES also had a modulatory action on the secretion of pro-inflammatory (interleukin IL-6) and anti-inflammatory (IL-10) cytokines.

1. Introduction

Nowadays, chronic inflammatory diseases have been clearly recognized as the most critical cause of death in the world, with more than 50% of all deaths being attributable to stroke, cancer, ischemic heart disease, diabetes mellitus, chronic kidney disease, non-alcoholic fatty liver disease, and auto-immune and neurodegenerative diseases [1]. Therefore, the development of new and alternative preventive and therapeutic strategies against infection, inflammation, and oxidative stress is being explored. Among the multiple medicinal options, bioactive peptides have emerged as one of the most promising.
Bioactive or functional peptides are defined as inactive amino acid sequences within the precursor protein which, once released after microbial fermentation processes, chemical or enzymatic hydrolysis that takes place during food processing or gastrointestinal digestion, can exert different biological activities such as antioxidant, anticancer or antitumor, immunomodulatory, and anti-inflammatory [2]. Regarding its origin, it should be noted that any food protein source of both vegetable or animal origin can release bioactive peptides. In the case of vegetable proteins, most studies have been focused on cereals and legumes, mainly soybean [3].
Lunasin is a peptide present in the cotyledon of soybeans that was identified 24 years ago and is encoded by the soybean 2S albumin Gm2S-1 gene [4]. In recent years, numerous research groups have focused their studies on the evaluation of the biological activities of lunasin, thus far demonstrating chemopreventive, antioxidant, anti-inflammatory, hypocholesterolemic, and modulating properties of the immune, nervous, and cardiovascular systems [5]. All these properties suggest the potential of lunasin to prevent and/or treat various chronic pathologies associated with oxidative stress, inflammation, and metabolic alterations. With the aim of advancing the knowledge of the biological properties of lunasin, in this work, we will focus on the potential antioxidant and immunomodulatory activity of a lunasin-enriched soybean extract.

2. Materials and Methods

The lunasin peptide was synthesized by DGpeptides Co., Ltd. (Hangzhou, China), with a purity of 95.2%. The albumin-enriched soybean extract (ES) was provided by Reliv International, Inc. (Chesterfield, MO, USA). Lunasin-enriched soybean extract (LES) was obtained from ES by aqueous solvent extraction and its protein concentration was determined by the bicinchoninic acid (BCA) method.
LES was subjected to a simulated digestion process, following the in vitro “INFOGEST” protocol [6]. The protein profile of LES and its gastric and gastrointestinal digests (GD and GID) was analyzed by sodium dodecyl sulfate-polyacrylamide gel electrophoresis (SDS-PAGE) in the Criterion automated equipment (Bio-Rad, Hercules, CA, USA), using 12% Bis-Tris CriterionTM XT Precast Gel polyacrylamide gels (Bio-Rad).
The presence of lunasin in LES and its behavior during the digestive process were studied by Western blot, using synthetic lunasin as a standard (12.5–50 µM). SDS-PAGE was conducted with 16.5% Bis-Tris Criterion™ XT Precast gels (Bio-Rad). Electrophoretic migration was carried out at 60 V for 2 min followed by 100 V for 3 h. Polyvinylidene membranes (PVDF) (Bio-Rad) were used for 30 min transfer using a voltage of 18 V for 30 min. After blocking and washing the membrane, overnight incubation (4 °C) with the primary rabbit antibody against lunasin (Biomedal, Seville, Spain, 1:12,000) followed by mouse IgG-horseradish peroxidase (HRP)-conjugated anti-rabbit IgG secondary antibody incubation (Santa Cruz Biotechnology, Dallas, TX, USA; 1:5000, 1 h, room temperature) was carried out. The membrane was developed with Amersham reagent (Merck, Darmstadt, Germany) for 3 min and images were taken on the Versadoc Imaging System reader (Bio-Rad), using an AF 50 mm f/1 4D photographic objective (Nikon, Tokyo, Japan).
The radical scavenging activity of LES and its digests was determined by the oxygen radical scavenging method (ORAC) and the 2,2′-azino-bis (3-ethylbenzothiazoline-6-sulfonic acid) (ABTS), radical scavenging assay following previously optimized protocols [7,8].
Mouse RAW 264.7 macrophages (American Type Culture Collection, Rockville, MD, USA) were grown in Dulbecco’s Modified Eagle’s Medium (DMEM) with high glucose content (Biowest, Riverside, MO, USA) at 37 °C under constant conditions of humidity, 5% CO2 and 95% air. The evaluation of the effect of LES on cell viability was carried out using the 3-(4,5-dimethylthiazol-2-yl)-2,5-diphenyltetrazol (MTT) bromide assay [9]. The effects on the release of nitric oxide (NO) and the phagocytic activity were measured using the Griess test and the neutral red assay, respectively [9]. The effect of LES on the cellular production of reactive oxygen species (ROS) was determined using 2′7′-dichlorofluorescein diacetate (DCFH-DA) as a fluorescence probe [9]. To evaluate the effect of LES on the cellular production of cytokines, ELISA assays were performed following the manufacturer’s instructions (eBioscience, Affymetrix Company, Santa Clara, CA, USA).
The results obtained were analyzed by a one-way ANOVA analysis, followed by a Bonferroni test, using the statistical analysis program GraphPad Prism 7.0 (GraphPad Software, San Diego, CA, USA).

3. Results and Discussion

The protein concentration of ES was 52.7%, higher than that determined for LES (12.6%), corresponding to the soluble proteins in the aqueous solvent used for the extraction. The SDS-PAGE analysis showed that the protein profiles of ES and LES were similar, observing bands with molecular weights between 4 and 138 kDa, although the intensity of the bands was greater for LES, indicating the enrichment of these proteins after the aqueous solvent extraction. Specifically, the presence of the major soybean proteins, β-conglycinin, glycinin and their corresponding subunits, α and α’ of β-conglycinin (82.03 kDa and 76.14 kDa, respectively), and the A1a subunits and glycinin A2 (36.11 kDa) was observed.
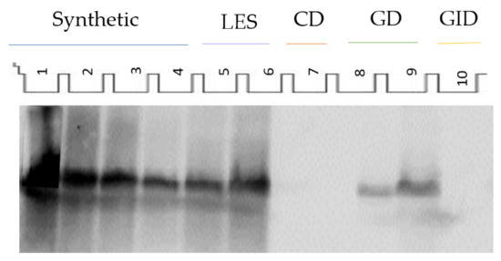
The identification of the lunasin peptide in LES was carried out by Western blot (Figure 1). Monomeric and dimeric forms of the peptide could be identified. The lunasin concentration obtained for LES was 16.42 mg/g of protein or 2.07 mg/g of extract.
LES was subjected to a simulated gastrointestinal digestion process and its behavior was investigated by SDS-PAGE. After the gastric phase, most of the high molecular weight bands disappeared, releasing lower molecular weight proteins that were visible in the gel. However, some soybean proteins resisted the action of pepsin although they were degraded afterwards during the intestinal phase. Using Western blot, the presence of lunasin was identified in the GD, suggesting the partial resistance of this peptide to the action of pepsin (Figure 1). Specifically, 60% of the initial lunasin was detected in GD. However, pancreatin degraded lunasin to a greater extent, and only 2.9% of the intact peptide could be visualized on the GID. The naturally occurring inhibitors potentially present in LES (Bowman–Birk inhibitor and/or Kunitz inhibitor [10]) could be responsible for the greater resistance of lunasin to the digestive process. The intact lunasin remaining at the end of the digestive process might exert its action at a local level or be absorbed, exerting its effects at a systemic level.
The radical scavenging activity of ES, LES, GD, and GID was evaluated by ORAC and ABTS assays. LES showed higher antioxidant activity (0.23 µmol Trolox equivalent (TE)/mg protein in the case of TEAC and 1.67 µmol TE/mg protein in the case of ORAC) than ES (0.11 µmol TE/mg protein for TEAC and 0.50 µmol TE/mg protein for ORAC), indicating that soluble proteins and small peptides extracted with PBS were the main molecules responsible for the antioxidant activity observed. After gastrointestinal digestion, the antioxidant activity increased until reaching TEAC and ORAC values of 0.33 µmol and 2.17 µmol TE/mg protein, respectively, in GID.
The effects of different doses of LES (ranging from 0.5 to 15 µg protein/mL) were evaluated in macrophages at different treatment times (8, 16, and 24 h). In Figure 2, the results obtained on cell viability, ROS generation, NO levels, and phagocytic capacity of cells after 8 h treatment are shown.
As shown in Figure 2A, LES significantly increased the viability of macrophages in a dose-dependent manner (p < 0.0001) after 8 h of treatment. However, longer incubation times with LES caused a decrease in the percentage of viable cells, being significant for concentrations higher than 7.5 µg/mL at 16 h and 2.5 µg/mL at 24 h. LPS also caused a significant decrease in cell viability after 16 h of treatment, the percentage of viable cells being similar to that determined for the LES concentration of 7.5 µg/mL.
Under basal conditions, NO could not be detected in cell culture (Figure 2B). However, after stimulation with LPS, NO levels increased significantly in a time-dependent manner, reaching values of 4.96, 17.47, and 34.81 µM at 8, 16, and 24 h, respectively. Similarly, LES also caused a stimulating effect on NO production in a dose- and time-dependent manner. Thus, at the maximum concentration tested of 15 µg/mL, the NO levels detected were 21.08, 43.19, and 63.40 µM at 8, 16, and 24 h of treatment. At 24 h, the stimulating effect of LES at 2.5 µg/mL was similar to that caused by LPS at 10 ng/mL. NO is a molecule produced by various cells, exerting multifunctional properties. It has been shown to act as an inflammation marker, being, in high concentrations, harmful to the body. However, macrophages release this compound as a mediator of their cytotoxic action against microorganisms, favoring their phagocytic function [11]. Therefore, the results obtained suggest that the immunostimulatory effect of LES in macrophages, by increasing their production of NO, could favor their phagocytic capacity and, on the other hand, exert a vasodilator effect that would help the arrival of other cells of the immune system to the possible source of infection.
Therefore, to evaluate the effect of LES on the phagocytic capacity of macrophages, the neutral red assay was carried out at different treatment times (Figure 2C). At 8 h, this capacity increased significantly at the four concentrations tested, being similar to the capacity determined after stimulation with LPS (p < 0.0001). This cellular induction together with the increase in NO levels suggest the immunostimulant action of LES on macrophages, thus favoring the ability of these cells to eliminate pathogens. After increasing the treatment time up to 16 h, the phagocytic capacity was not affected by LPS nor LES, except at the concentration of 2.5 µg/mL of LES, for which a significant increase in phagocytosis was observed. At 24 h, LPS did not modify the phagocytic capacity of the cells. In the case of LES, only the lower concentration caused an increase in the capacity, while the higher concentrations caused a significant decrease in phagocytosis, which could be due to the inhibitory effect of cell viability exerted by the high concentrations of the extract after 24 h incubation with the extract.
As shown in Figure 2D, 8 h treatment with 100 ng/mL of LPS caused an oxidative effect, resulting in a significant increase in ROS levels, which was also observed after 16 and 24 h. However, LES at concentrations of 0.5, 2.5, and 7.5 µg protein/mL exerted a protective effect against oxidative stress, decreasing ROS levels at the three times tested. This result confirms the antioxidant effect evaluated by the ORAC and ABTS assays. However, the highest concentration caused an oxidizing effect at the three times tested, being significant at 16 and 24 h of treatment. Although the oxidative stress generated could favor a more efficient destruction of microorganisms during the immune response [11], the increase observed at long incubation times could provoke the observed reduction in macrophage viability.
Finally, LES induced, in a dose-dependent manner, the liberation of IL-6 at the highest concentration assayed. However, these levels were lower than those resulting from the treatment with LPS at 100 and 1000 ng/mL. Moreover, LES exerted a dose-dependent effect on the liberation of IL-10, and in 15 µg protein/mL, the effect was higher than that provoked by the stimulation with LPS.

4. Conclusions

The enrichment in soluble proteins and small peptides such as lunasin was achieved in the ES. The protease inhibitors present in LES could protect lunasin from the action of gastric and pancreatic enzymes, reaching the intestine in an intact form to exert its beneficial effects at a local level, but also being available to be absorbed and reach target organs to exert its effects at a systemic level. The radical scavenging activity shown by LES was confirmed in the cell model, observing a reduction in ROS levels under basal conditions. Moreover, a dose- and time-dependent immunostimulant effect was observed mediated by changes in the NO levels and the phagocytic activity of RAW264.7 cells. LES also modulated in a dose-dependent manner the liberation of pro-inflammatory (IL-6) and anti-inflammatory cytokines (IL-10).

Supplementary Materials

The following are available online at https://www.mdpi.com/article/10.3390/IECN2022-12367/s1.

Author Contributions

Investigation, S.P.; writing—original draft preparation, S.P., S.F.-T.; writing—review and editing, S.F.-T., B.H.-L., funding acquisition, B.H.-L. All authors have read and agreed to the published version of the manuscript.

Funding

This research was funded by the Spanish Ministry of Science and Innovation, project PID2019-104218RB-I00/AEI/2015-66886R.

Institutional Review Board Statement

Not applicable.

Informed Consent Statement

Not applicable.

Data Availability Statement

Not applicable.

Conflicts of Interest

The authors declare no conflict of interest.

References

  1. Furman, D.; Campisi, J.; Verdin, E.; Carrera-Bastos, P.; Targ, S.; Franceschi, C.; Ferrucci, L.; Gilroy, D.W.; Fasano, A.; Miller, G.W.; et al. Chronic inflammation in the etiology of disease across the life span. Nat. Med. 2019, 25, 1822–1832. [Google Scholar] [CrossRef] [PubMed]
  2. Majumder, K.; Mine, Y.; Wu, J. The potential of food protein-derived anti-inflammatory peptides against various chronic inflammatory diseases. J. Sci. Food Agric. 2016, 96, 2303–2311. [Google Scholar] [CrossRef] [PubMed]
  3. Solanki, D. Food Derived Bioactive Peptides and its Application on Health Benefits. Int. J. Fermented Foods 2018, 7, 21–30. [Google Scholar] [CrossRef]
  4. Galvez, A.F.; Revilleza, M.J.R.; De Lumen, B.O. A novel methionine-rich protein from soybean cotyledon: Cloning and characterization of a cDNA (Accession No.AF005030) Plant Gene Register #PGR97-103. Plant Physiol. 1997, 114, 1567–1597. [Google Scholar] [CrossRef]
  5. Fernández-Tomé, S.; Hernández-Ledesma, B. Current state of art after twenty years of the discovery of bioactive peptide lunasin. Food Res. Int. 2019, 116, 71–78. [Google Scholar] [CrossRef] [PubMed]
  6. Brodkorb, A.; Egger, L.; Alminger, M.; Alvito, P.; Assunção, R.; Ballance, S.; Bohn, T.; Bourlieu-Lacanal, C.; Boutrou, R.; Carrière, F.; et al. INFOGEST static in vitro simulation of gastrointestinal food digestion. Nat. Protoc. 2019, 14, 991–1014. [Google Scholar] [CrossRef] [PubMed]
  7. Dávalos, A.; Gómez-Cordovés, A.C.; Bartolomé, B. Extending Applicability of the Oxygen Radical Absorbance Capacity (ORAC–Fluorescein) Assay. J. Agric. Food Chem. 2004, 52, 48–54. [Google Scholar] [CrossRef]
  8. Re, R.; Pellegrini, N.; Proteggente, A.; Pannala, A.; Yang, M.; Rice-Evans, C. Antioxidant activity applying an improved ABTS radical cation decolorization assay. Free Radic. Biol. Med. 1999, 26, 1231–1237. [Google Scholar] [CrossRef]
  9. Indiano-Romacho, P.; Fernández-Tomé, S.; Amigo, L.; Hernández-Ledesma, B. Multifunctionality of lunasin and peptides released during its simulated gastrointestinal digestion. Food Res. Int. 2019, 125, 108513. [Google Scholar] [CrossRef] [PubMed]
  10. Fernández-Tomé, S.; Sanchón, J.; Recio, I.; Hernández-Ledesma, B. Transepithelial transport of lunasin and derived peptides: Inhibitory effects on the gastrointestinal cancer cells viability. J. Food Compos. Anal. 2018, 68, 101–110. [Google Scholar] [CrossRef]
  11. Regueiro González, J.R.; Larrea, C.L.; Rodríguez, S.G.; Naves, E.M. Inmunología, 3rd ed.; Médica Panamericana: Madrid, Spain, 2003; p. 276. [Google Scholar]
Figure 1. Characterization and analysis of soybean extract enriched in lunasin (LES) by Western blot. PVDF membrane for (1) 50 µM, (2) 33.33 µM, (3) 25 µM, (4) 12.5 µM of synthetic lunasin, (5) lunasin-enriched extract (LES) 50 µg protein, (6) LES 100 µg protein, (7) control digest (CD) 100 µg protein, (8) gastric digest (GD) 50 µg protein, (9) GD 100 µg protein, (10) gastrointestinal digest (GID) 100 µg protein.
Figure 1. Characterization and analysis of soybean extract enriched in lunasin (LES) by Western blot. PVDF membrane for (1) 50 µM, (2) 33.33 µM, (3) 25 µM, (4) 12.5 µM of synthetic lunasin, (5) lunasin-enriched extract (LES) 50 µg protein, (6) LES 100 µg protein, (7) control digest (CD) 100 µg protein, (8) gastric digest (GD) 50 µg protein, (9) GD 100 µg protein, (10) gastrointestinal digest (GID) 100 µg protein.
Blsf 12 00010 g001
Figure 2. Immunomodulatory effects of soybean extract enriched in lunasin (LES) on RAW 264.7 macrophages. Effects of LES on (A) cell viability (% of viable cells over the control); (B) nitric oxide (NO) production (expressed as µM NO); (C) phagocytic capacity of the cells (% over the control); (D) reactive oxygen species (ROS) production of the cells (% over the control). Bacterial lipopolysaccharide (LPS) was used as a positive control at a concentration of 10 ng/mL (AC) and 100 ng/mL (D). Significant differences compared to control (** p < 0.01; **** p < 0.0001).
Figure 2. Immunomodulatory effects of soybean extract enriched in lunasin (LES) on RAW 264.7 macrophages. Effects of LES on (A) cell viability (% of viable cells over the control); (B) nitric oxide (NO) production (expressed as µM NO); (C) phagocytic capacity of the cells (% over the control); (D) reactive oxygen species (ROS) production of the cells (% over the control). Bacterial lipopolysaccharide (LPS) was used as a positive control at a concentration of 10 ng/mL (AC) and 100 ng/mL (D). Significant differences compared to control (** p < 0.01; **** p < 0.0001).
Blsf 12 00010 g002
Publisher’s Note: MDPI stays neutral with regard to jurisdictional claims in published maps and institutional affiliations.

Share and Cite

MDPI and ACS Style

Paterson, S.; Fernández-Tomé, S.; Hernández-Ledesma, B. Modulatory Effects of a Lunasin-Enriched Soybean Extract on Immune Response and Oxidative Stress-Associated Biomarkers. Biol. Life Sci. Forum 2022, 12, 10. https://doi.org/10.3390/IECN2022-12367

AMA Style

Paterson S, Fernández-Tomé S, Hernández-Ledesma B. Modulatory Effects of a Lunasin-Enriched Soybean Extract on Immune Response and Oxidative Stress-Associated Biomarkers. Biology and Life Sciences Forum. 2022; 12(1):10. https://doi.org/10.3390/IECN2022-12367

Chicago/Turabian Style

Paterson, Samuel, Samuel Fernández-Tomé, and Blanca Hernández-Ledesma. 2022. "Modulatory Effects of a Lunasin-Enriched Soybean Extract on Immune Response and Oxidative Stress-Associated Biomarkers" Biology and Life Sciences Forum 12, no. 1: 10. https://doi.org/10.3390/IECN2022-12367

APA Style

Paterson, S., Fernández-Tomé, S., & Hernández-Ledesma, B. (2022). Modulatory Effects of a Lunasin-Enriched Soybean Extract on Immune Response and Oxidative Stress-Associated Biomarkers. Biology and Life Sciences Forum, 12(1), 10. https://doi.org/10.3390/IECN2022-12367

Article Metrics

Back to TopTop