Diagnosis and Nonoperative Management of Uncomplicated Jejunal Diverticulitis: A Case-Based Review
Abstract
1. Introduction
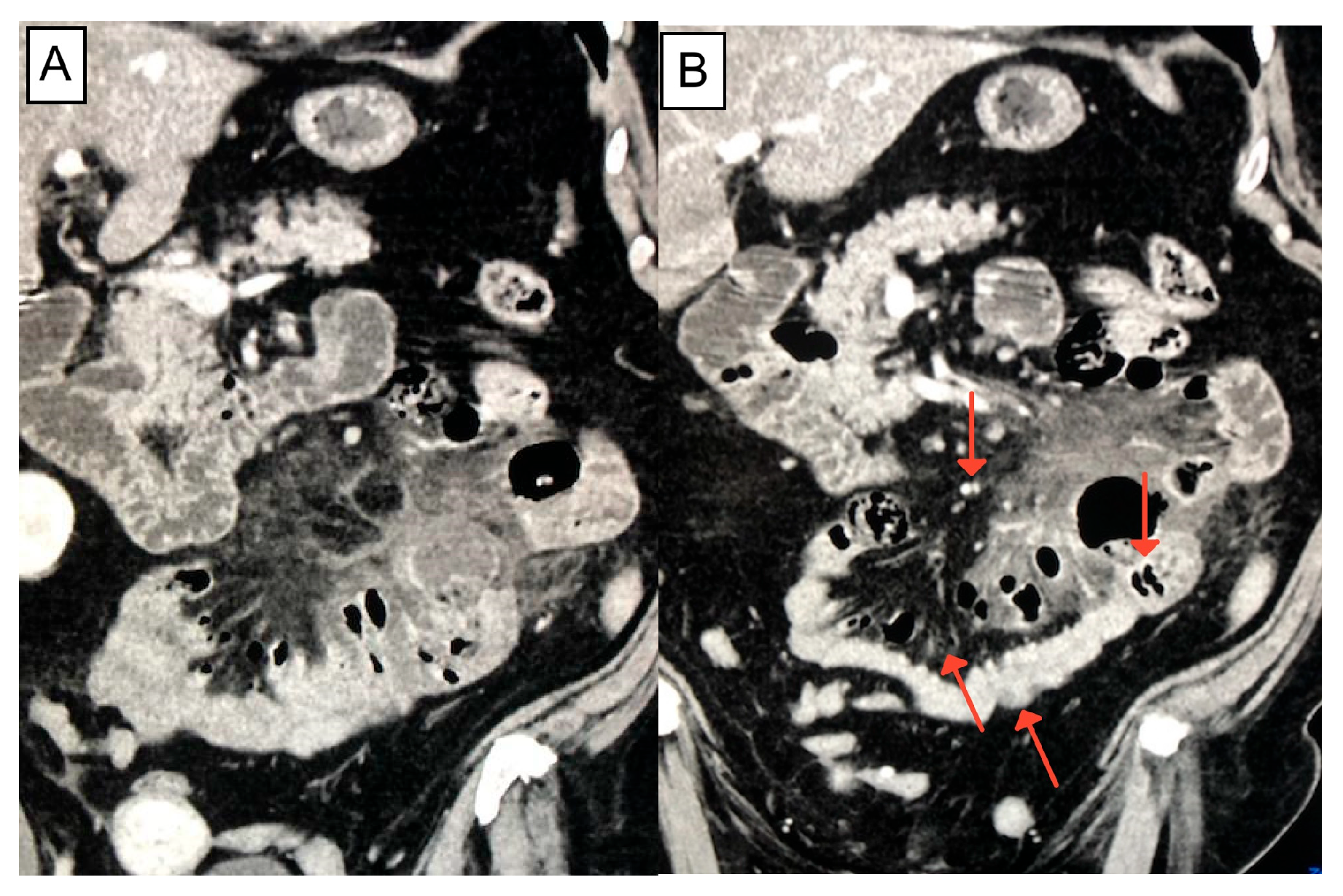
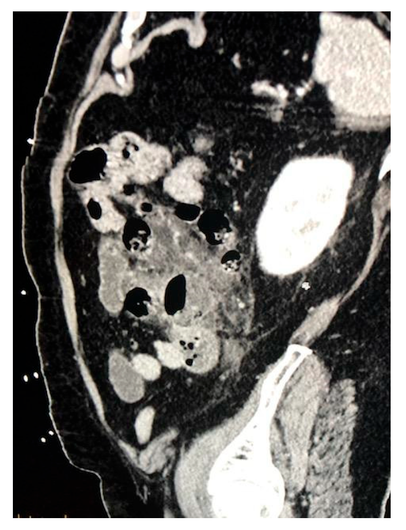
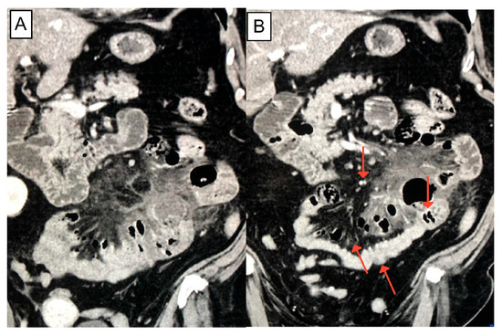
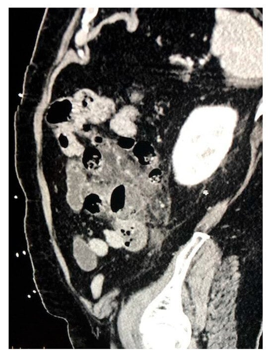
2. Case Presentation
3. Discussion
4. Conclusions
Author Contributions
Funding
Institutional Review Board Statement
Informed Consent Statement
Data Availability Statement
Conflicts of Interest
References
- Colonic Diverticulosis and Diverticular Disease: Epidemiology, Risk Factors, and Pathogenesis. Available online: http://www.uptodate.com/contents/colonic-diverticulosis-and-diverticular-disease-epidemiology-risk-factors-and-pathogenesis (accessed on 5 April 2025).
- Peery, A.F.; Shaukat, A.; Strate, L.L. AGA Clinical Practice Update on Medical Management of Colonic Diverticulitis: Expert Review. Gastroenterology 2021, 160, 906–911. [Google Scholar] [CrossRef] [PubMed]
- Qaseem, A.; Etxeandia-Ikobaltzeta, I.; Lin, J.S.; Fitterman, N.; Shamliyan, T.; Wilt, T.J.; Crandall, C.J.; Cooney, T.G.; Cross, J.T.; et al.; Clinical Guidelines Committee of the American College of Physicians Diagnosis and Management of Acute Left-Sided Colonic Diverticulitis: A Clinical Guideline From the American College of Physicians. Ann. Intern. Med. 2022, 175, 399–415. [Google Scholar] [CrossRef] [PubMed]
- Barbaro, M.R.; Cremon, C.; Fuschi, D.; Marasco, G.; Palombo, M.; Stanghellini, V.; Barbara, G. Pathophysiology of Diverticular Disease: From Diverticula Formation to Symptom Generation. Int. J. Mol. Sci. 2022, 23, 6698. [Google Scholar] [CrossRef] [PubMed]
- Wlodarczyk, J.R.; Yoon, D.; Owens, J.; Ershadi, S.; Lee, S.W.; Cologne, K.G.; Koller, S.E. Prevalence of and Risk Factors for Incidental Colonic Diverticulosis. J. Surg. Res. 2022, 280, 348–354. [Google Scholar] [CrossRef] [PubMed]
- Völkerer, A.; Wernly, S.; Semmler, G.; Flamm, M.; Aigner, E.; Datz, C.; Wernly, B. Diverticulosis and cardiometabolic risk factors: A systematic literature review. Int. J. Color. Dis. 2023, 38, 236. [Google Scholar] [CrossRef] [PubMed]
- Alessandra, V.; Ginevra, C.; Chiara, M.; Alberto, B.; Antonio, N.; Mario, C.; Gioacchino, L.; Tiziana, M.; de’ Angelis Gian, L.; Francesco, D.M. Epidemiology and risk factors for diverticular disease. Acta Biomed. 2018, 89, 107–112. [Google Scholar]
- Small Bowel Diverticula: Clinical Manifestations, Diagnosis, and Management. Available online: https://www.uptodate.com/contents/small-bowel-diverticula-clinical-manifestations-diagnosis-and-management (accessed on 5 April 2025).
- De Simone, B.; Alberici, L.; Ansaloni, L.; Sartelli, M.; Coccolini, F.; Catena, F. Not all diverticulites are colonic: Small bowel diverticulitis—A systematic review. Minerva Chir. 2019, 74, 137–145. [Google Scholar] [CrossRef] [PubMed]
- Chapman, J.; Al-Katib, S.; Palamara, E. Small bowel diverticulitis—Spectrum of CT findings and review of the literature. Clin. Imaging 2021, 78, 240–246. [Google Scholar] [CrossRef] [PubMed]
- Bates, D.D.B.; Fernandez, M.B.; Ponchiardi, C.; von Plato, M.; Teich, J.P.; Narsule, C.; Anderson, S.W.; Gupta, A.; LeBedis, C.A. Surgical management in acute diverticulitis and its association with multi-detector CT, modified Hinchey classification, and clinical parameters. Abdom. Radiol. 2018, 43, 2060–2065. [Google Scholar] [CrossRef] [PubMed]
- Acute Colonic Diverticulitis: Surgical Management. Available online: http://www.uptodate.com/contents/acute-colonic-diverticulitis-surgical-management (accessed on 5 April 2025).
- Lebert, P.; Ernst, O.; Zins, M. Acquired diverticular disease of the jejunum and ileum: Imaging features and pitfalls. Abdom. Radiol. 2019, 44, 1734–1743. [Google Scholar] [CrossRef] [PubMed]
- Sell, N.M.; Stafford, C.E.; Goldstone, R.N.; Kunitake, H.; Francone, T.D.; Cauley, C.E.; Hodin, R.A.; Bordeianou, L.G.; Ricciardi, R. Delay to Intervention for Complicated Diverticulitis is Associated with Higher Inpatient Mortality. J. Gastrointest. Surg. 2021, 25, 2920–2927. [Google Scholar] [CrossRef] [PubMed]
- Mozer, A.B.; Spaniolas, K.; Sippey, M.E.; Celio, A.; Manwaring, M.L.; Kasten, K.R. Post-operative morbidity, but not mortality, is worsened by operative delay in septic diverticulitis. Int. J. Color. Dis. 2017, 32, 193–199. [Google Scholar] [CrossRef] [PubMed]
- Ng, Z.Q.; Theophilus, M.; Navadgi, S.; Menon, T.; Wijesuriya, R. Jejunal Diverticulitis: A Single-Center Experience and Proposed Management Algorithm. Surg. Infect. 2019, 20, 499–503. [Google Scholar] [CrossRef] [PubMed]
- Levack, M.M.; Madariaga, M.L.; Kaafarani, H.M. Non-operative successful management of a perforated small bowel diverticulum. World J. Gastroenterol. 2014, 20, 18477–18479. [Google Scholar] [CrossRef] [PubMed]
- Novak, J.S.; Tobias, J.; Barkin, J.S. Nonsurgical management of acute jejunal diverticulitis: A review. Am. J. Gastroenterol. 1997, 92, 1929–1931. [Google Scholar] [PubMed]
- Scheese, D.; Alwatari, Y.; Khan, J.; Slaughter, A. Complicated jejunal diverticulitis: A case report and review of literature. Clin. Case Rep. 2022, 10, e6570. [Google Scholar] [CrossRef] [PubMed]
- Acute Colonic Diverticulitis: Triage and Inpatient Management. Available online: http://www.uptodate.com/contents/acute-colonic-diverticulitis-triage-and-inpatient-management (accessed on 5 April 2025).
- Mohamedahmed, A.Y.; Zaman, S.; Das, N.; Kakaniaris, G.; Vakis, S.; Eccersley, J.; Thomas, P.; Husain, N. Systematic review and meta-analysis of the management of acute uncomplicated diverticulitis: Time to change traditional practice. Int. J. Color. Dis. 2024, 39, 47. [Google Scholar] [CrossRef] [PubMed]
- Brandt, D.; Gervaz, P.; Durmishi, Y.; Platon, A.; Morel, P.; Poletti, P.A. Percutaneous CT scan-guided drainage vs. antibiotherapy alone for Hinchey II diverticulitis: A case-control study. Dis. Colon Rectum. 2006, 49, 1533–1538. [Google Scholar] [CrossRef] [PubMed]
- Stollman, N.; Smalley, W.; Hirano, I.; AGA Institute Clinical Guidelines Committee. American Gastroenterological Association Institute Guideline on the Management of Acute Diverticulitis. Gastroenterology 2015, 149, 1944–1949. [Google Scholar] [CrossRef] [PubMed]


| Modified Hinchey Classification | Grading Criteria |
|---|---|
| IA | Presence of inflammatory changes with pericolonic fat stranding and without fluid collection. |
| IB | Presence of inflammatory changes with the addition of abscess formation less than 4 cm. |
| II | Presence of abscess formation greater than 4 cm, pelvic abscesses, or interloop abscesses. |
| III | Presence of purulent peritonitis. |
| IV | Presence of feculent peritonitis. |
Disclaimer/Publisher’s Note: The statements, opinions and data contained in all publications are solely those of the individual author(s) and contributor(s) and not of MDPI and/or the editor(s). MDPI and/or the editor(s) disclaim responsibility for any injury to people or property resulting from any ideas, methods, instructions or products referred to in the content. |
© 2025 by the authors. Licensee MDPI, Basel, Switzerland. This article is an open access article distributed under the terms and conditions of the Creative Commons Attribution (CC BY) license (https://creativecommons.org/licenses/by/4.0/).
Share and Cite
Watchalotone, S.; Smith, N.J.; Singh, M.A.; Ahmed, I. Diagnosis and Nonoperative Management of Uncomplicated Jejunal Diverticulitis: A Case-Based Review. BioMed 2025, 5, 17. https://doi.org/10.3390/biomed5030017
Watchalotone S, Smith NJ, Singh MA, Ahmed I. Diagnosis and Nonoperative Management of Uncomplicated Jejunal Diverticulitis: A Case-Based Review. BioMed. 2025; 5(3):17. https://doi.org/10.3390/biomed5030017
Chicago/Turabian StyleWatchalotone, Sariah, Nicholas J. Smith, Mehar A. Singh, and Imtiaz Ahmed. 2025. "Diagnosis and Nonoperative Management of Uncomplicated Jejunal Diverticulitis: A Case-Based Review" BioMed 5, no. 3: 17. https://doi.org/10.3390/biomed5030017
APA StyleWatchalotone, S., Smith, N. J., Singh, M. A., & Ahmed, I. (2025). Diagnosis and Nonoperative Management of Uncomplicated Jejunal Diverticulitis: A Case-Based Review. BioMed, 5(3), 17. https://doi.org/10.3390/biomed5030017
