Validation of a Precise Impactor in a Rodent Cervical Spinal Cord Injury Hemi-Contusion Model
Abstract
1. Introduction
2. Materials and Methods
2.1. Subjects
2.2. Surgical Procedure
2.3. Motor Function Testing
2.3.1. General Testing Protocol
2.3.2. Gross Motor Skills
2.3.3. Asymmetry Testing
2.3.4. Grooming Testing
2.4. Tissue Processing
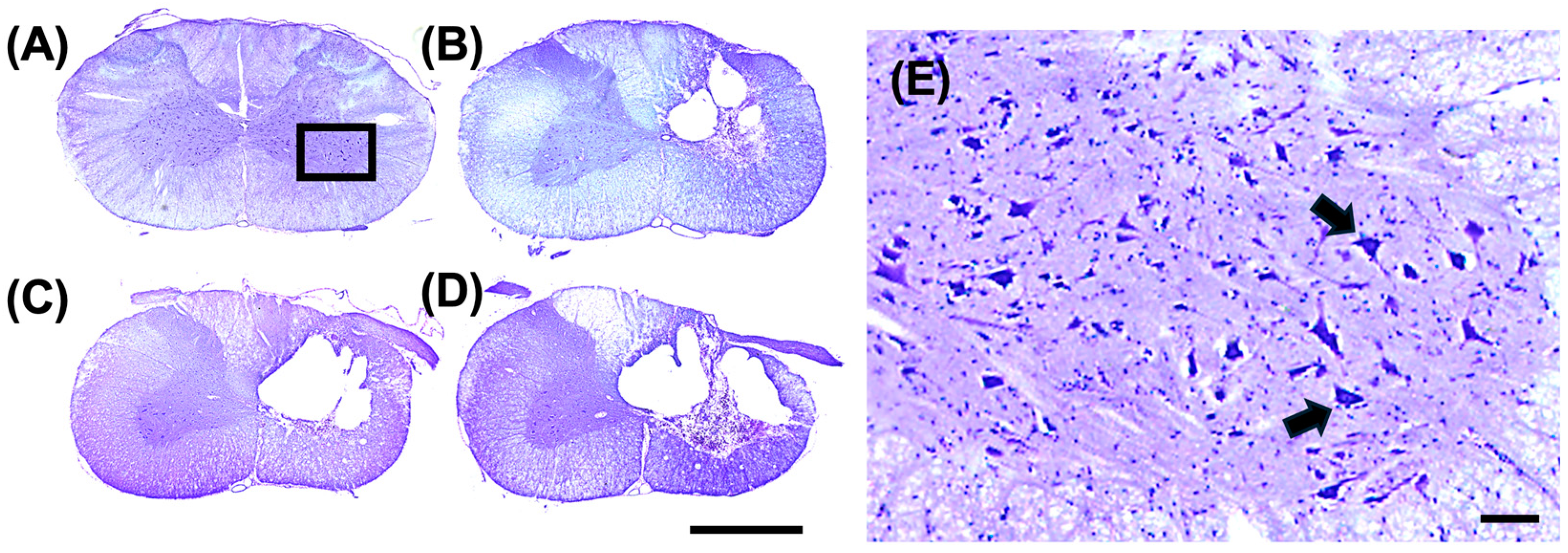
2.5. Spinal Cord Histopathology
2.6. Statistical Analysis
3. Results
3.1. Overall Cohort
3.2. General Animal Health
3.3. Cohorts by Injury Severity
3.4. Motor Function Test Results
3.4.1. Gross Motor Skills
3.4.2. Fine Motor Skills
3.4.3. Asymmetry Testing
3.4.4. Grooming Testing
3.5. Spinal Cord Histopathology Results
3.5.1. Lesion Void and Remaining Intact Spinal Cord
3.5.2. Motor Neuron Counts
3.6. Correlation Between Histology and Motor Function
4. Discussion
4.1. A Highly Reproducible Injury
4.2. Depth of Penetration Corresponds to Severity of Impairments
4.3. Functional Deficits Correspond to Histological and Anatomical Injury Severity
4.4. Limitations
5. Conclusions
Author Contributions
Funding
Institutional Review Board Statement
Informed Consent Statement
Data Availability Statement
Conflicts of Interest
References
- Liu, Y.; Yang, X.; He, Z.; Li, J.; Li, Y.; Wu, Y.; Manyande, A.; Feng, M.; Xiang, H. Spinal cord injury: Global burden from 1990 to 2019 and projections up to 2030 using Bayesian age-period-cohort analysis. Front. Neurol. 2023, 14, 1304153. [Google Scholar] [CrossRef] [PubMed]
- Malekzadeh, H.; Golpayegani, M.; Ghodsi, Z.; Sadeghi-Naini, M.; Asgardoon, M.; Baigi, V.; Vaccaro, A.R.; Rahimi-Movaghar, V. Direct Cost of Illness for Spinal Cord Injury: A Systematic Review. Glob. Spine J. 2022, 12, 1267–1281. [Google Scholar] [CrossRef]
- Mahabaleshwarkar, R.; Khanna, R. PSU37 National Inpatient Burden Associated with Spinal Cord Injuries in the United States. Value Health 2012, 15, A80. [Google Scholar] [CrossRef][Green Version]
- Kishima, K.; Tachibana, T.; Yamanaka, H.; Kobayashi, K.; Okubo, M.; Maruo, K.; Noguchi, K. Role of Rho-associated coiled-coil containing protein kinase in the spinal cord injury induced neuropathic pain. Spine J. Off. J. N. Am. Spine Soc. 2021, 21, 343–351. [Google Scholar] [CrossRef]
- Zhu, Y.; Cheng, J.; Yin, J.; Yang, Y.; Guo, J.; Zhang, W.; Xie, B.; Lu, H.; Hao, D. Effects of sacral nerve electrical stimulation on 5-HT and 5-HT3AR/5-HT4R levels in the colon and sacral cord of acute spinal cord injury rat models. Mol. Med. Rep. 2020, 22, 763–773. [Google Scholar] [CrossRef] [PubMed]
- Bellver-Landete, V.; Bretheau, F.; Mailhot, B.; Vallières, N.; Lessard, M.; Janelle, M.-E.; Vernoux, N.; Tremblay, M.-È.; Fuehrmann, T.; Shoichet, M.S.; et al. Microglia are an essential component of the neuroprotective scar that forms after spinal cord injury. Nat. Commun. 2019, 10, 518. [Google Scholar] [CrossRef]
- Hutson, T.H.; Kathe, C.; Palmisano, I.; Bartholdi, K.; Hervera, A.; De Virgiliis, F.; McLachlan, E.; Zhou, L.; Kong, G.; Barraud, Q.; et al. Cbp-dependent histone acetylation mediates axon regeneration induced by environmental enrichment in rodent spinal cord injury models. Sci. Transl. Med. 2019, 11, eaaw2064. [Google Scholar] [CrossRef] [PubMed]
- Fouad, K.; Ng, C.; Basso, D.M. Behavioral testing in animal models of spinal cord injury. Exp. Neurol. 2020, 333, 113410. [Google Scholar] [CrossRef]
- Ahuja, C.S.; Wilson, J.R.; Nori, S.; Kotter, M.R.N.; Druschel, C.; Curt, A.; Fehlings, M.G. Traumatic spinal cord injury. Nat. Rev. Dis. Primers 2017, 3, 17018. [Google Scholar] [CrossRef]
- SCIMS. 2023 Annual Report—Complete Public Version; NSCISC: Birmingham, AL, USA, 2023; Available online: https://bpb-us-w2.wpmucdn.com/sites.uab.edu/dist/f/392/files/2024/06/ar2023.pdf (accessed on 12 August 2024).
- Akhtar, A.Z.; Pippin, J.J.; Sandusky, C.B. Animal models in spinal cord injury: A review. Rev. Neurosci. 2008, 19, 47–60. [Google Scholar] [CrossRef]
- Institute for Laboratory Animal Research (U.S.). Recognition and Alleviation of Pain in Laboratory Animals; National Academies Press: Washington, DC, USA, 2009; ISBN 978-0-309-12834-6. [Google Scholar]
- Verma, R.; Virdi, J.K.; Singh, N.; Jaggi, A.S. Animals models of spinal cord contusion injury. Korean J. Pain 2019, 32, 12–21. [Google Scholar] [CrossRef] [PubMed]
- Cheriyan, T.; Ryan, D.J.; Weinreb, J.H.; Cheriyan, J.; Paul, J.C.; Lafage, V.; Kirsch, T.; Errico, T.J. Spinal cord injury models: A review. Spinal Cord 2014, 52, 588–595. [Google Scholar] [CrossRef] [PubMed]
- Philips, B.H.; Browne, K.D.; Cullen, D.K.; Jaber, S.M. Rat Models of Central Nervous System Injury. In The Laboratory Rat; Elsevier: Amsterdam, The Netherlands, 2020; pp. 1023–1075. ISBN 978-0-12-814338-4. [Google Scholar]
- Alizadeh, A.; Dyck, S.M.; Karimi-Abdolrezaee, S. Traumatic Spinal Cord Injury: An Overview of Pathophysiology, Models and Acute Injury Mechanisms. Front. Neurol. 2019, 10, 282. [Google Scholar] [CrossRef] [PubMed]
- Bloom, O.; Herman, P.E.; Spungen, A.M. Systemic inflammation in traumatic spinal cord injury. Exp. Neurol. 2020, 325, 113143. [Google Scholar] [CrossRef]
- Gruner, J.A. A monitored contusion model of spinal cord injury in the rat. J. Neurotrauma 1992, 9, 123–126, discussion 126–128. [Google Scholar] [CrossRef]
- Iwanami, A.; Yamane, J.; Katoh, H.; Nakamura, M.; Momoshima, S.; Ishii, H.; Tanioka, Y.; Tamaoki, N.; Nomura, T.; Toyama, Y.; et al. Establishment of graded spinal cord injury model in a nonhuman primate: The common marmoset. J. Neurosci. Res. 2005, 80, 172–181. [Google Scholar] [CrossRef]
- Baker, E.W.; Kinder, H.A.; Hutcheson, J.M.; Duberstein, K.J.J.; Platt, S.R.; Howerth, E.W.; West, F.D. Controlled Cortical Impact Severity Results in Graded Cellular, Tissue, and Functional Responses in a Piglet Traumatic Brain Injury Model. J. Neurotrauma 2019, 36, 61–73. [Google Scholar] [CrossRef]
- Osier, N.D.; Dixon, C.E. The Controlled Cortical Impact Model: Applications, Considerations for Researchers, and Future Directions. Front. Neurol. 2016, 7, 134. [Google Scholar] [CrossRef]
- Ma, M.; Basso, D.M.; Walters, P.; Stokes, B.T.; Jakeman, L.B. Behavioral and histological outcomes following graded spinal cord contusion injury in the C57Bl/6 mouse. Exp. Neurol. 2001, 169, 239–254. [Google Scholar] [CrossRef]
- Göritz, C.; Dias, D.O.; Tomilin, N.; Barbacid, M.; Shupliakov, O.; Frisén, J. A pericyte origin of spinal cord scar tissue. Science 2011, 333, 238–242. [Google Scholar] [CrossRef]
- Metz, G.A.; Curt, A.; van de Meent, H.; Klusman, I.; Schwab, M.E.; Dietz, V. Validation of the weight-drop contusion model in rats: A comparative study of human spinal cord injury. J. Neurotrauma 2000, 17, 1–17. [Google Scholar] [CrossRef] [PubMed]
- Bunge, R.P.; Puckett, W.R.; Becerra, J.L.; Marcillo, A.; Quencer, R.M. Observations on the pathology of human spinal cord injury. A review and classification of 22 new cases with details from a case of chronic cord compression with extensive focal demyelination. Adv. Neurol. 1993, 59, 75–89. [Google Scholar] [PubMed]
- Bunge, R.P.; Puckett, W.R.; Hiester, E.D. Observations on the pathology of several types of human spinal cord injury, with emphasis on the astrocyte response to penetrating injuries. Adv. Neurol. 1997, 72, 305–315. [Google Scholar]
- Josephson, A.; Greitz, D.; Klason, T.; Olson, L.; Spenger, C. A spinal thecal sac constriction model supports the theory that induced pressure gradients in the cord cause edema and cyst formation. Neurosurgery 2001, 48, 636–645, discussion 645–646. [Google Scholar] [CrossRef] [PubMed]
- Inman, D.M.; Steward, O. Ascending sensory, but not other long-tract axons, regenerate into the connective tissue matrix that forms at the site of a spinal cord injury in mice. J. Comp. Neurol. 2003, 462, 431–449. [Google Scholar] [CrossRef]
- Kjell, J.; Olson, L. Rat models of spinal cord injury: From pathology to potential therapies. Dis. Model. Mech. 2016, 9, 1125–1137. [Google Scholar] [CrossRef]
- Walker, C.L.; Fry, C.M.E.; Wang, J.; Du, X.; Zuzzio, K.; Liu, N.-K.; Walker, M.J.; Xu, X.-M. Functional and Histological Gender Comparison of Age-Matched Rats after Moderate Thoracic Contusive Spinal Cord Injury. J. Neurotrauma 2019, 36, 1974–1984. [Google Scholar] [CrossRef]
- Irvine, K.-A.; Ferguson, A.R.; Mitchell, K.D.; Beattie, S.B.; Beattie, M.S.; Bresnahan, J.C. A novel method for assessing proximal and distal forelimb function in the rat: The Irvine, Beatties and Bresnahan (IBB) forelimb scale. J. Vis. Exp. 2010, 46, e2246. [Google Scholar] [CrossRef]
- Irvine, K.-A.; Ferguson, A.R.; Mitchell, K.D.; Beattie, S.B.; Lin, A.; Stuck, E.D.; Huie, J.R.; Nielson, J.L.; Talbott, J.F.; Inoue, T.; et al. The Irvine, Beatties, and Bresnahan (IBB) Forelimb Recovery Scale: An Assessment of Reliability and Validity. Front. Neurol. 2014, 5, 116. [Google Scholar] [CrossRef]
- Schallert, T.; Fleming, S.M.; Leasure, J.L.; Tillerson, J.L.; Bland, S.T. CNS plasticity and assessment of forelimb sensorimotor outcome in unilateral rat models of stroke, cortical ablation, parkinsonism and spinal cord injury. Neuropharmacology 2000, 39, 777–787. [Google Scholar] [CrossRef]
- Gensel, J.C.; Tovar, C.A.; Hamers, F.P.T.; Deibert, R.J.; Beattie, M.S.; Bresnahan, J.C. Behavioral and histological characterization of unilateral cervical spinal cord contusion injury in rats. J. Neurotrauma 2006, 23, 36–54. [Google Scholar] [CrossRef] [PubMed]
- Scheff, S.W.; Rabchevsky, A.G.; Fugaccia, I.; Main, J.A.; Lumpp, J.E. Experimental modeling of spinal cord injury: Characterization of a force-defined injury device. J. Neurotrauma 2003, 20, 179–193. [Google Scholar] [CrossRef] [PubMed]
- Bottai, D.; Cigognini, D.; Madaschi, L.; Adami, R.; Nicora, E.; Menarini, M.; Di Giulio, A.M.; Gorio, A. Embryonic stem cells promote motor recovery and affect inflammatory cell infiltration in spinal cord injured mice. Exp. Neurol. 2010, 223, 452–463. [Google Scholar] [CrossRef]
- Pearse, D.D.; Lo, T.P., Jr.; Cho, K.S.; Lynch, M.P.; Garg, M.S.; Marcillo, A.E.; Sanchez, A.R.; Cruz, Y.; Dietrich, W.D. Histopathological and behavioral characterization of a novel cervical spinal cord displacement contusion injury in the rat. J. Neurotrauma 2005, 22, 680–702. [Google Scholar] [CrossRef]
- Porter, Z.R.; Johnson, M.D.; Horn, P.S.; Ngwenya, L.B. Traumatic spinal subdural hematoma: An illustrative case and series review. Interdiscip. Neurosurg. 2020, 19, 100570. [Google Scholar] [CrossRef]
- Mondello, S.E.; Sunshine, M.D.; Fischedick, A.E.; Moritz, C.T.; Horner, P.J. A Cervical Hemi-Contusion Spinal Cord Injury Model for the Investigation of Novel Therapeutics Targeting Proximal and Distal Forelimb Functional Recovery. J. Neurotrauma 2015, 32, 1994–2007. [Google Scholar] [CrossRef]
- Basso, D.M.; Beattie, M.S.; Bresnahan, J.C. A sensitive and reliable locomotor rating scale for open field testing in rats. J. Neurotrauma 1995, 12, 1–21. [Google Scholar] [CrossRef] [PubMed]
- Dunham, K.A.; Siriphorn, A.; Chompoopong, S.; Floyd, C.L. Characterization of a graded cervical hemicontusion spinal cord injury model in adult male rats. J. Neurotrauma 2010, 27, 2091–2106. [Google Scholar] [CrossRef]









| ID # | Total Anesthesia Time (Min) | Impact Penetration Depth (mm) | Impact Velocity (m/s) | Dwell Time (s) | Bruise (Y/N) | Subdural Bleeding (Y/N) | Subdural Hematoma (Y/N) | R. Forelimb Paralysis (Y/N) | Clubfoot (Y/N) | Forward Or Backward | Flinch (Y/N) |
|---|---|---|---|---|---|---|---|---|---|---|---|
| 1 | 46 | 2.11 | 0.4 | 0.05 | Y | Y | N | Y | Y | Forward | Y |
| 2 | 48 | 2.11 | 0.5 | 0.05 | Y | N | N | Y | Y | Forward | Y |
| 3 | 36 | 2.11 | 0.5 | 0.05 | N | N | Y | Y | Y | Forward | Y |
| 4 | 37 | 2.11 | 0.5 | 0.05 | Y | N | N | Y | Y | Forward | Y |
| 5 | 39 | 2.24 | 0.5 | 0.05 | Y | N | N | Y | Y | Forward | Y |
| 6 | 44 | 2.24 | 0.5 | 0.05 | N | N | N | Y | Y | Forward | Y |
| 7 | 34 | 2.24 | 0.5 | 0.05 | Y | N | N | Y | Y | Forward | Y |
| 8 | 40 | 2.24 | 0.4 | 0.05 | Y | N | N | Y | Y | Forward | Y |
| 9 | 36 | 2.36 | 0.4 | 0.05 | Y | N | N | Y | Y | Forward | Y |
| 10 | 42 | 2.36 | 0.4 | 0.05 | Y | N | N | Y | Y | Forward | Y |
| 11 | 39 | 2.36 | 0.4 | 0.05 | Y | N | N | Y | Y | Forward | Y |
Disclaimer/Publisher’s Note: The statements, opinions and data contained in all publications are solely those of the individual author(s) and contributor(s) and not of MDPI and/or the editor(s). MDPI and/or the editor(s) disclaim responsibility for any injury to people or property resulting from any ideas, methods, instructions or products referred to in the content. |
© 2024 by the authors. Licensee MDPI, Basel, Switzerland. This article is an open access article distributed under the terms and conditions of the Creative Commons Attribution (CC BY) license (https://creativecommons.org/licenses/by/4.0/).
Share and Cite
Castillo, J.A., Jr.; Le, M.N.; Pivetti, C.; Jackson, J.E.; Kulubya, E.; Paxton, Z.; Reed, C.; Soufi, K.; Ghaffari-Rafi, A.; Martin, A.; et al. Validation of a Precise Impactor in a Rodent Cervical Spinal Cord Injury Hemi-Contusion Model. BioMed 2024, 4, 524-540. https://doi.org/10.3390/biomed4040039
Castillo JA Jr., Le MN, Pivetti C, Jackson JE, Kulubya E, Paxton Z, Reed C, Soufi K, Ghaffari-Rafi A, Martin A, et al. Validation of a Precise Impactor in a Rodent Cervical Spinal Cord Injury Hemi-Contusion Model. BioMed. 2024; 4(4):524-540. https://doi.org/10.3390/biomed4040039
Chicago/Turabian StyleCastillo, Jose A., Jr., Michael Nhien Le, Christopher Pivetti, Jordan E. Jackson, Edwin Kulubya, Zachary Paxton, Camille Reed, Khadija Soufi, Arash Ghaffari-Rafi, Allan Martin, and et al. 2024. "Validation of a Precise Impactor in a Rodent Cervical Spinal Cord Injury Hemi-Contusion Model" BioMed 4, no. 4: 524-540. https://doi.org/10.3390/biomed4040039
APA StyleCastillo, J. A., Jr., Le, M. N., Pivetti, C., Jackson, J. E., Kulubya, E., Paxton, Z., Reed, C., Soufi, K., Ghaffari-Rafi, A., Martin, A., Price, R., Kim, K., Farmer, D., Wang, A., & Russo, R. (2024). Validation of a Precise Impactor in a Rodent Cervical Spinal Cord Injury Hemi-Contusion Model. BioMed, 4(4), 524-540. https://doi.org/10.3390/biomed4040039

