Neonatal Multisystem Inflammatory Syndrome (MIS-N): The First Case Report in Thailand
Abstract
:1. Introduction
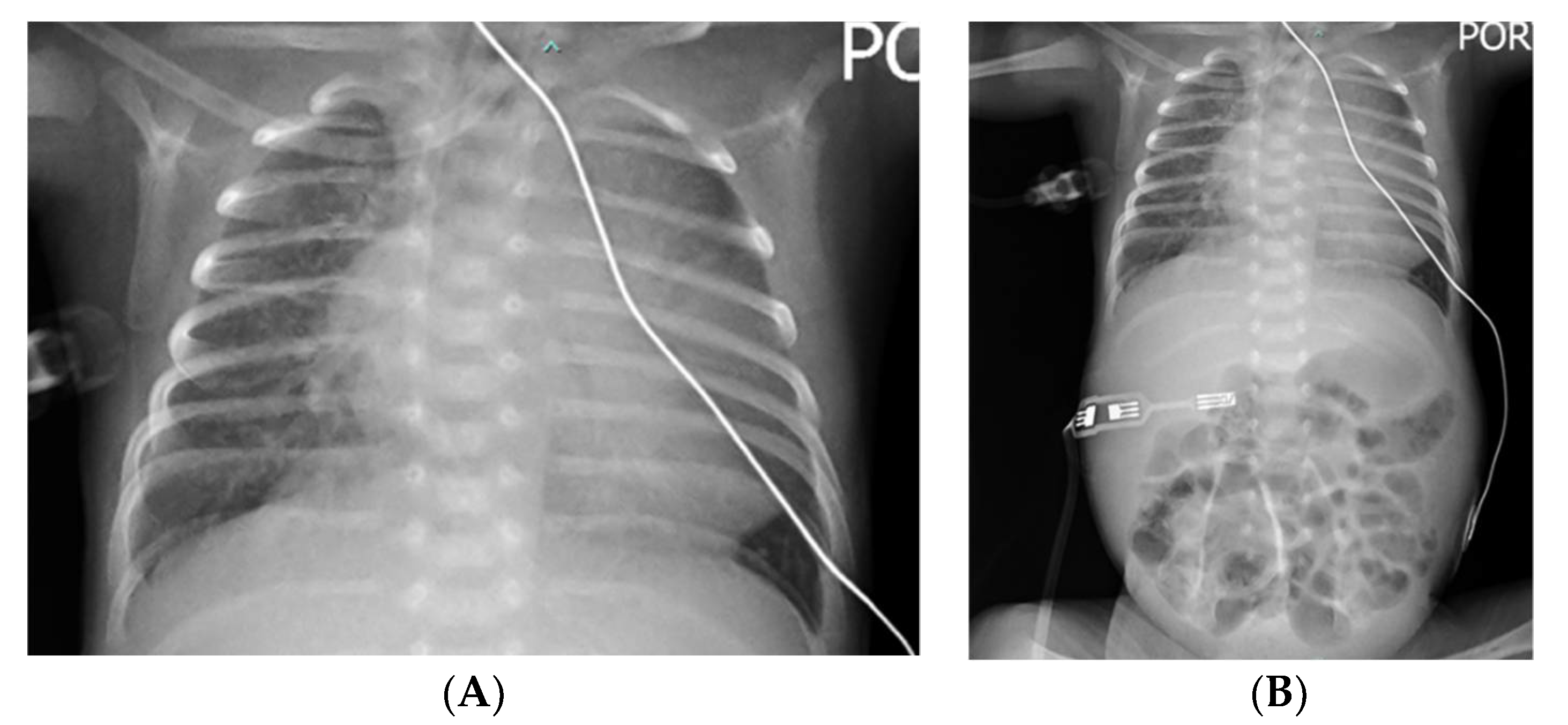
2. Case Presentation
3. Discussion and Conclusions
Author Contributions
Funding
Institutional Review Board Statement
Informed Consent Statement
Data Availability Statement
Acknowledgments
Conflicts of Interest
References
- World Health Organization. COVID-19 Weekly Epidemiological Update. 2022. Available online: https://www.who.int/publications/m/item/weekly-epidemiological-update-on-covid-19---17-august-2022 (accessed on 17 August 2022).
- Feldstein, L.R.; Rose, E.B.; Horwitz, S.M.; Collins, J.P.; Newhams, M.M.; Son, M.B.F.; Newburger, J.W.; Kleinman, L.C.; Heidemann, S.M.; Martin, A.A.; et al. Multisystem Inflammatory Syndrome in U.S. Children and Adolescents. N. Engl. J. Med. 2020, 383, 334–346. [Google Scholar] [CrossRef] [PubMed]
- Pawar, R.; Gavade, V.; Patil, N.; Mali, V.; Girwalkar, A.; Tarkasband, V.; Loya, S.; Chavan, A.; Nanivadekar, N.; Shinde, R.; et al. Neonatal Multisystem Inflammatory Syndrome (MIS-N) Associated with Prenatal Maternal SARS-CoV-2: A Case Series. Children 2021, 8, 572. [Google Scholar] [CrossRef]
- More, K.; Aiyer, S.; Goti, A.; Parikh, M.; Sheikh, S.; Patel, G.; Kallem, V.; Soni, R.; Kumar, P. Multisystem inflammatory syndrome in neonates (MIS-N) associated with SARS-CoV2 infection: A case series. Eur. J. Pediatr. 2022, 181, 1883–1898. [Google Scholar] [CrossRef] [PubMed]
- Li, S.; Xiao, Z.; Li, L.; Hu, B.; Zhou, Z.; Yi, S.; Luo, J.; Xie, L.; Nie, B.; Mo, L.; et al. Establishment of normal reference values of NT-proBNP and its application in diagnosing acute heart failure in children with severe hand food and mouth disease. Medicine 2018, 97, e12218. [Google Scholar] [CrossRef] [PubMed]
- Chaubey, I.; Vignesh, R.; Babu, H.; Wagoner, I.; Govindaraj, S.; Velu, V. SARS-CoV-2 in Pregnant Women: Consequences of Vertical Transmission. Front Cell Infect Microbiol. 2021, 11, 717104. [Google Scholar] [CrossRef] [PubMed]
- Shaiba, L.A.; Hadid, A.; Altirkawi, K.A.; Bakheet, H.M.; Alherz, A.M.; Hussain, S.A.; Sobaih, B.H.; Alnemri, A.M.; Almaghrabi, R.; Ahmed, M.; et al. Case Report: Neonatal Multi-System Inflammatory Syndrome Associated With SARS-CoV-2 Exposure in Two Cases from Saudi Arabia. Front. Pediatr. 2021, 9, 652857. [Google Scholar] [CrossRef] [PubMed]
- McCarty, K.L.; Tucker, M.; Lee, G.; Pandey, V. Fetal Inflammatory Response Syndrome Associated with Maternal SARS-CoV-2 Infection. Pediatrics 2021, 147, e2020010132. [Google Scholar] [CrossRef] [PubMed]
- Shaiba, L.A.; More, K.; Hadid, A.; Almaghrabi, R.; Marri, M.A.; Alnamnakani, M.; Shah, P. Multisystemic Inflammatory Syndrome in Neonates: A Systematic Review. Neonatology 2022, 119, 405–417. [Google Scholar] [CrossRef]
- Kappanayil, M.; Balan, S.; Alawani, S.; Mohanty, S.; Leeladharan, S.P.; Gangadharan, S.; Jayashankar, J.P.; Jagadeesan, S.; Kumar, A.; Gupta, A.; et al. Multisystem inflammatory syndrome in a neonate, temporally associated with prenatal exposure to SARS-CoV-2: A case report. Lancet Child Adolesc. Health 2021, 5, 304–308. [Google Scholar] [CrossRef]
- Divekar, A.A.; Patamasucon, P.; Benjamin, J.S. Presumptive Neonatal Multisystem Inflammatory Syndrome in Children Associated with Coronavirus Disease 2019. Am. J. Perinatol. 2021, 38, 632–636. [Google Scholar] [CrossRef] [PubMed]
- Khaund Borkotoky, R.; Banerjee Barua, P.; Paul, S.P.; Heaton, P.A. COVID-19-Related Potential Multisystem Inflammatory Syndrome in Childhood in a Neonate Presenting as Persistent Pulmonary Hypertension of the Newborn. Pediatric Infect. Dis. J. 2021, 40, e162–e164. [Google Scholar] [CrossRef] [PubMed]
- Henderson, L.A.; Canna, S.W.; Friedman, K.G.; Gorelik, M.; Lapidus, S.K.; Bassiri, H.; Behrens, E.M.; Kernan, K.F.; Schulert, G.S.; Seo, P.; et al. American College of Rheumatology Clinical Guidance for Multisystem Inflammatory Syndrome in Children Associated With SARS-CoV-2 and Hyperinflammation in Pediatric COVID-19: Version 3. Arthritis Rheumatol. 2022, 74, e1–e20. [Google Scholar] [CrossRef]
- Centers for Disease Control and Prevention. Emergency Preparedness and Response: Multisystem Inflammatory Syndrome in Children (MIS-C) Associated with Coronavirus Disease 2019 (COVID-19). Available online: https://emergency.cdc.gov/han/2020/han00432.asp (accessed on 8 July 2022).
- Riphagen, S.; Gomez, X.; Gonzalez-Martinez, C.; Wilkinson, N.; Theocharis, P. Hyperinflammatory shock in children during COVID-19 pandemic. Lancet 2020, 395, 1607–1608. [Google Scholar] [CrossRef]
- Shahbaz, F.F.; Martins, R.S.; Umair, A.; Ukrani, R.D.; Jabeen, K.; Sohail, M.R.; Khan, E. A Review of Coronaviruses Associated with Kawasaki Disease: Possible Implications for Pathogenesis of the Multisystem Inflammatory Syndrome Associated with COVID-19. Clin. Med. Insights Pediatrics 2022, 16, 11795565221075319. [Google Scholar] [CrossRef] [PubMed]

Publisher’s Note: MDPI stays neutral with regard to jurisdictional claims in published maps and institutional affiliations. |
© 2022 by the authors. Licensee MDPI, Basel, Switzerland. This article is an open access article distributed under the terms and conditions of the Creative Commons Attribution (CC BY) license (https://creativecommons.org/licenses/by/4.0/).
Share and Cite
Sojisirikul, N.; Lapphra, K.; Ngerncham, S.; Charuvanij, S.; Durongpisitkul, K.; Curlin, M.E.; Chokephaibulkit, K. Neonatal Multisystem Inflammatory Syndrome (MIS-N): The First Case Report in Thailand. COVID 2022, 2, 1265-1269. https://doi.org/10.3390/covid2090093
Sojisirikul N, Lapphra K, Ngerncham S, Charuvanij S, Durongpisitkul K, Curlin ME, Chokephaibulkit K. Neonatal Multisystem Inflammatory Syndrome (MIS-N): The First Case Report in Thailand. COVID. 2022; 2(9):1265-1269. https://doi.org/10.3390/covid2090093
Chicago/Turabian StyleSojisirikul, Nophathai, Keswadee Lapphra, Sopapan Ngerncham, Sirirat Charuvanij, Kritvikrom Durongpisitkul, Marcel E. Curlin, and Kulkanya Chokephaibulkit. 2022. "Neonatal Multisystem Inflammatory Syndrome (MIS-N): The First Case Report in Thailand" COVID 2, no. 9: 1265-1269. https://doi.org/10.3390/covid2090093
APA StyleSojisirikul, N., Lapphra, K., Ngerncham, S., Charuvanij, S., Durongpisitkul, K., Curlin, M. E., & Chokephaibulkit, K. (2022). Neonatal Multisystem Inflammatory Syndrome (MIS-N): The First Case Report in Thailand. COVID, 2(9), 1265-1269. https://doi.org/10.3390/covid2090093

