A Simple, Efficient Method for an Automatic Adjustment of the Lumbar Curvature Alignment in an MBS Model of the Spine
Abstract
1. Introduction
- automatic alignment of the lumbar model should consider the patient’s lordosis;
- the simulation model should be created in a time-efficient manner;
- subsequent changes to the lumbar alignment should be possible;
- input alignment for simulation model should be source-independent;
- the implementation of the spinal model should be simulation-software-invariant;
- the step of the lordosis curvature fitting of the simulation model should be performed independent of the step of lordosis extraction from medical data; and
- adaption of spinal alignment should be simulation-software-invariant.
2. Methods
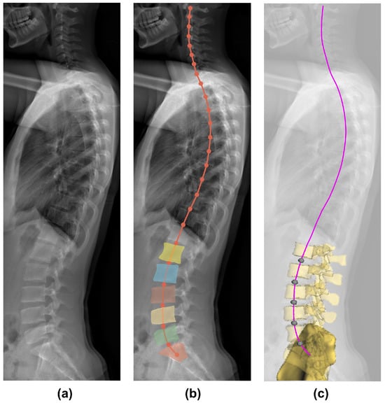
2.1. Lordosis Curve Extraction from Medical Data
2.2. Lordosis Curvature Fitting for Simulation Model
3. Results
3.1. Segmentation of Vertebral Bodies from Medical Data
3.2. Creation of New Lordosis Model from 3D Curvature
4. Discussion
5. Conclusions
Author Contributions
Funding
Institutional Review Board Statement
Informed Consent Statement
Data Availability Statement
Conflicts of Interest
Abbreviations
| AUC | Area under the curve |
| CAD | Computer-aided design |
| DCS | Dice score coefficient |
| FE | Finite element |
| LDH | Lumbar disc herniation |
| MAE | Mean absolute error |
| MRI | Magnet resonance images |
| MBS | Multibody simulation |
| RMSE | Root mean square error |
| TP | Test person |
| VB | Vertebral body |
References
- Le Huec, J.C.; Faundez, A.; Dominguez, D.; Hoffmeyer, P.; Aunoble, S. Evidence showing the relationship between sagittal balance and clinical outcomes in surgical treatment of degenerative spinal diseases: A literature review. Int. Orthop. 2014, 39, 87–95. [Google Scholar] [CrossRef]
- Jackson, R.; McManus, A. Radiographic analysis of sagittal plane alignment and balance in standing volunteers and patients with low back pain matched for age, sex, and size. A prospective controlled clinical study. Spine 1994, 19, 1611–1618. [Google Scholar] [CrossRef] [PubMed]
- Boulay, C.; Tardieu, C.; Hecquet, J.; Benaim, C.; Mouilleseaux, B.; Marty, C.; Prat-Pradal, D.; Legaye, J.; Duval-Beaupère, G.; Pélissier, J. Sagittal alignment of spine and pelvis regulated by pelvic incidence: Standard values and prediction of lordosis. Eur. Spine J. Off. Publ. Eur. Spine Soc. Eur. Spinal Deform. Soc. Eur. Sect. Cerv. Spine Res. Soc. 2006, 15, 415–422. [Google Scholar] [CrossRef] [PubMed]
- Legaye, J.; Duval-Beaupère, G. Sagittal plane alignment of the spine and gravity A radiological and clinical evaluation. Acta Orthop. Belg. 2005, 71, 213–220. [Google Scholar] [PubMed]
- Hasegawa, K.; Okamoto, M.; Hatsushikano, S.; Caseiro, G.; Watanabe, K. Difference in whole spinal alignment between supine and standing positions in patients with adult spinal deformity using a new comparison method with slot-scanning three-dimensional X-ray imager and computed tomography through digital reconstructed radiography. BMC Musculoskelet. Disord. 2018, 19, 437. [Google Scholar] [CrossRef] [PubMed]
- Lee, E.S.; Ko, C.W.; Suh, S.W.; Kumar, S.; Kang, I.K.; Yang, J.H. The effect of age on sagittal plane profile of the lumbar spine according to standing, supine, and various sitting positions. J. Orthop. Surg. Res. 2014, 9, 11. [Google Scholar] [CrossRef] [PubMed]
- Beck, J.; Brisby, H.; Baranto, A.; Westin, O. Low lordosis is a common finding in young lumbar disc herniation patients. J. Exp. Orthop. 2020, 7, 38. [Google Scholar] [CrossRef]
- Bassani, T.; Ottardi, C.; Costa, F.; Brayda-Bruno, M.; Wilke, H.J.; Galbusera, F. Semiautomated 3D Spine Reconstruction from Biplanar Radiographic Images: Prediction of Intervertebral Loading in Scoliotic Subjects. Front. Bioeng. Biotechnol. 2017, 5, 1. [Google Scholar] [CrossRef]
- Fasser, M.R.; Jokeit, M.; Kalthoff, M.; Gomez Romero, D.A.; Trache, T.; Snedeker, J.G.; Farshad, M.; Widmer, J. Subject-Specific Alignment and Mass Distribution in Musculoskeletal Models of the Lumbar Spine. Front. Bioeng. Biotechnol. 2021, 9, 745. [Google Scholar] [CrossRef]
- Mueller, A.; Rockenfeller, R.; Damm, N.; Kosterhon, M.; Kantelhardt, S.R.; Aiyangar, A.K.; Gruber, K. Load Distribution in the Lumbar Spine During Modeled Compression Depends on Lordosis. Front. Bioeng. Biotechnol. 2021, 9, 661258. [Google Scholar] [CrossRef]
- Caprara, S.; Carrillo, F.; Snedeker, J.G.; Farshad, M.; Senteler, M. Automated Pipeline to Generate Anatomically Accurate Patient-Specific Biomechanical Models of Healthy and Pathological FSUs. Front. Bioeng. Biotechnol. 2021, 9, 636953. [Google Scholar] [CrossRef]
- Ronneberger, O.; Fischer, P.; Brox, T. U-net: Convolutional networks for biomedical image segmentation. In Proceedings of the International Conference on Medical Image Computing and Computer-Assisted Intervention, Munich, Germany, 5–9 October 2015; Springer: Berlin/Heidelberg, Germany, 2015; pp. 234–241. [Google Scholar]
- Burian, E.; Rohrmeier, A.; Schlaeger, S.; Dieckmeyer, M.; Diefenbach, M.; Syväri, J.; Klupp, E.; Weidlich, D.; Zimmer, C.; Rummeny, E.; et al. Lumbar muscle and vertebral bodies segmentation of chemical shift encoding-based water-fat MRI: The reference database MyoSegmenTUM spine. BMC Musculoskelet. Disord. 2019, 20, 152. [Google Scholar] [CrossRef] [PubMed]
- Zukić, D.; Vlasák, A.; Egger, J.; Hořínek, D.; Nimsky, C.; Kolb, A. Robust detection and segmentation for diagnosis of vertebral diseases using routine MR images. In Proceedings of the Computer Graphics Forum; Wiley Online Library: Hoboken, NJ, USA, 2014; Volume 33, pp. 190–204. [Google Scholar]
- Chu, C.; Belavỳ, D.L.; Armbrecht, G.; Bansmann, M.; Felsenberg, D.; Zheng, G. Fully automatic localization and segmentation of 3D vertebral bodies from CT/MR images via a learning-based method. PLoS ONE 2015, 10, e0143327. [Google Scholar] [CrossRef] [PubMed]
- LeCun, Y.A.; Bottou, L.; Orr, G.B.; Müller, K.R. Efficient backprop. In Neural Networks: Tricks of the Trade; Springer: Berlin/Heidelberg, Germany, 2012; pp. 9–48. [Google Scholar]
- Gopal Krishna Patro, S.; Sahu, K.K. Normalization: A Preprocessing Stage. arXiv 2015, arXiv:1503.06462. [Google Scholar]
- Simard, P.Y.; Steinkraus, D.; Platt, J.C. Best practices for convolutional neural networks applied to visual document analysis. In Proceedings of the Seventh International Conference on Document Analysis and Recognition, Edinburgh, UK, 3–6 August 2003; pp. 958–963. [Google Scholar] [CrossRef]
- Chen, L.C.; Papandreou, G.; Kokkinos, I.; Murphy, K.; Yuille, A.L. Deeplab: Semantic image segmentation with deep convolutional nets, atrous convolution, and fully connected crfs. IEEE Trans. Pattern Anal. Mach. Intell. 2017, 40, 834–848. [Google Scholar] [CrossRef] [PubMed]
- Sørenson, T. A Method of Establishing Groups of Equal Amplitude in Plant Sociology Based on Similarity of Species Content and Its Application to Analyses of the Vegetation on Danish Commons; Royal Danish Academy of Sciences and Letters: Copenhagen, Denmark, 1948. [Google Scholar]
- Furlanetto, T.; Sedrez, J.; Candotti, C.; Loss, J. Reference values for Cobb angles when evaluating the spine in the sagittal plane: A systematic review with meta-analysis. Motricidade 2018, 14, 115–128. [Google Scholar] [CrossRef]
- Comparison of Four Radiographic Angular Measures of Lumbar Lordosis. J. Neurosci. Rural Pract. 2018, 9, 298–304. [CrossRef]
- Kikinis, R.; Pieper, S.D.; Vosburgh, K.G. 3D Slicer: A Platform for Subject-Specific Image Analysis, Visualization, and Clinical Support. In Intraoperative Imaging and Image-Guided Therapy; Jolesz, F.A., Ed.; Springer: New York, NY, USA, 2014; pp. 277–289. [Google Scholar] [CrossRef]
- Hayes, A.F.; Krippendorff, K. Answering the call for a standard reliability measure for coding data. Commun. Methods Meas. 2007, 1, 77–89. [Google Scholar] [CrossRef]
- Young, D.M.; Gregory, R.T. A Survey of Numerical Mathematics; Courier Corporation: North Chelmsford, MA, USA, 1988; Volume 1. [Google Scholar]
- Grigorieva, I.; Vyunnik, N.; Kolpinsky, G. The Construction of an Individualized Spinal 3D Model Based on the X-ray Recognition. In Proceedings of the 2018 23rd Conference of Open Innovations Association (FRUCT), Bologna, Italy, 13–16 November 2018; IEEE: Helsinki, Finland; pp. 143–149. [Google Scholar] [CrossRef]
- Bauer, S. Basics of Multibody Systems: Presented by Practical Simulation Examples of Spine Models. In Numerical Simulation; Lopez-Ruiz, R., Ed.; IntechOpen: Rijeka, Croatia, 2016; Chapter 2. [Google Scholar] [CrossRef]
- Bassani, T.; Casaroli, G.; Galbusera, F. Dependence of lumbar loads on spinopelvic sagittal alignment: An evaluation based on musculoskeletal modeling. PLoS ONE 2019, 14, e0207997. [Google Scholar] [CrossRef]
- Krautwurst, B.K.; Paletta, J.R.; Mendoza, S.; Skwara, A.; Mohokum, M. Rasterstereographic Analysis of Lateral Shift in Patients with Lumbar Disc Herniation: A Case Control Study. Adv. Orthop. 2018, 2018, 6567139. [Google Scholar] [CrossRef]
- Shirazi-Adl, A.; Parnianpour, M. Effect of changes in lordosis on mechanics of the lumbar spine-lumbar curvature in lifting. J. Spinal Disord. 1999, 12, 436–447. [Google Scholar] [CrossRef] [PubMed]
- Coskun Benlidayi, I.; Basaran, S. Comparative study of lumbosacral alignment in elderly versus young adults: Data on patients with low back pain. Aging Clin. Exp. Res. 2015, 27, 297–302. [Google Scholar] [CrossRef] [PubMed]








| Test Person | Rater 1 [] | Rater 2 [] | Rater 3 [] | Mean [] | SD [] |
|---|---|---|---|---|---|
| 33.8 | 33.8 | 33.7 | 33.8 | 0.057 | |
| 34.0 | 33.5 | 34.5 | 34.0 | 0.5 | |
| 45.5 | 45.4 | 45.3 | 45.4 | 0.1 | |
| 47.5 | 46.4 | 47.2 | 47.0 | 0.6 | |
| 52.3 | 52.8 | 57.1 | 54.1 | 2.6 | |
| 52.9 | 52.8 | 52.7 | 52.8 | 0.3 |
| [] | [] |
|---|---|
| 0.0012 | 0.0001 |
Disclaimer/Publisher’s Note: The statements, opinions and data contained in all publications are solely those of the individual author(s) and contributor(s) and not of MDPI and/or the editor(s). MDPI and/or the editor(s) disclaim responsibility for any injury to people or property resulting from any ideas, methods, instructions or products referred to in the content. |
© 2023 by the authors. Licensee MDPI, Basel, Switzerland. This article is an open access article distributed under the terms and conditions of the Creative Commons Attribution (CC BY) license (https://creativecommons.org/licenses/by/4.0/).
Share and Cite
Kramer, I.; Bauer, S.; Keppler, V. A Simple, Efficient Method for an Automatic Adjustment of the Lumbar Curvature Alignment in an MBS Model of the Spine. Biomechanics 2023, 3, 166-180. https://doi.org/10.3390/biomechanics3020015
Kramer I, Bauer S, Keppler V. A Simple, Efficient Method for an Automatic Adjustment of the Lumbar Curvature Alignment in an MBS Model of the Spine. Biomechanics. 2023; 3(2):166-180. https://doi.org/10.3390/biomechanics3020015
Chicago/Turabian StyleKramer, Ivanna, Sabine Bauer, and Valentin Keppler. 2023. "A Simple, Efficient Method for an Automatic Adjustment of the Lumbar Curvature Alignment in an MBS Model of the Spine" Biomechanics 3, no. 2: 166-180. https://doi.org/10.3390/biomechanics3020015
APA StyleKramer, I., Bauer, S., & Keppler, V. (2023). A Simple, Efficient Method for an Automatic Adjustment of the Lumbar Curvature Alignment in an MBS Model of the Spine. Biomechanics, 3(2), 166-180. https://doi.org/10.3390/biomechanics3020015

