Dioctophyme renale in a 5-Month-Old Puppy from Delta del Tigre, Uruguay
Abstract
1. Introduction
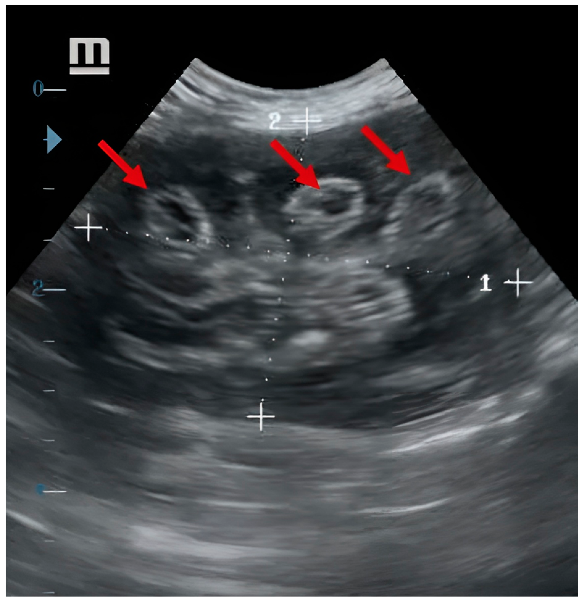
2. Case Report
3. Discussion
Author Contributions
Funding
Institutional Review Board Statement
Informed Consent Statement
Data Availability Statement
Conflicts of Interest
References
- Anderson, R.C.; Chabaud, A.G.; Willmott, S. Keys to the Nematode Parasites of Vertebrates: Archival Volume; CABI Publishing: Wallingford, UK, 2009. [Google Scholar]
- Perera, S.C.; Mascarenhas, C.S.; Cleff, M.B.; Müller, G.; Rappeti, J.C.S. Dioctophimosis: A parasitic zoonosis of public health importance. In Advances in Experimental Medicine and Biology, 1st ed.; dos Santos, H.M.B.C., Ed.; Springer International Publishing: Cham, Switzerland, 2021; pp. 129–142. [Google Scholar] [CrossRef]
- Pedrassani, D. Aspectos Morfológicos, Imunológicos e Epidemiológicos do Dioctophyme Renale em cães No Distrito de São Cristóvão, Três Barras, Santa Catarina. Ph.D. Thesis, Universidade Estadual Paulista Júlio de Mesquita Filho Faculdade de Ciências Agrárias e Veterinárias Campus de Jaboticabal, São Paulo, Brazil, 2009. [Google Scholar]
- Hernández Russo, Z.; Cárdenas Callirgos, J.; García-Ayachi, A.; Wetzel, E.J. Review of Dioctophyme renale: Etiology, Morphology, Biology, Ecoepidemiology, Pathogenesis, Symptomatology, Diagnosis, Treatment, and Prevention. J. Parasitol. 2022, 108, 180–191. [Google Scholar] [CrossRef]
- Perera, S.C.; Capella, G.A.; Pinto, N.B.; Rappeti, J.C.S.; Müller, G.; Azambuja, R.H.M.; Giordani, C.; Cleff, M.B. First isolation of Dioctophyme renale eggs from an urban environment and identification of those from animal urine. Braz. J. Vet. Parasitol. 2017, 26, 89–91. [Google Scholar] [CrossRef] [PubMed]
- Radman, N.E.; Gamboa, M.I.; Butti, M.J. Occurrence of dioctophymosis in canines within a riparian zone of the Río de La Plata watercourse, in Ensenada, Buenos Aires Province, Argentina. Vet. Parasitol. Reg. Stud. Rep. 2017, 10, 43–50. [Google Scholar] [CrossRef] [PubMed]
- Caye, P.; da Silva Rappeti, J.C.; Perera, S.C.; Segat, H.J. Nephrectomy in 52 dogs for the treatment of Dioctophyme renale infection—Knowing the enemy to win. Top. Companion Anim. Med. 2024, 58, 100828. [Google Scholar] [CrossRef] [PubMed]
- Gonçalves Hitta, V.; Ricciardi Dalmao, L.S. Relevamiento de Dioctophyme Renale en Caninos de las Ciudades de Salto y Paysandú. Bachelor’s Thesis, Universidad de la República, Facultad de Veterinaria, Montevideo, Uruguay, 2015. [Google Scholar]
- Silveira, C.S.; Diefenbach, A.; Mistieri, M.L.; Machado, I.R.L.; Anjos, B.L. Dioctophyma renale em 28 cães: Aspectos clinicopatológicos e ultrassonográficos. Pesqui. Veterinária Bras. 2015, 35, 899–905. [Google Scholar] [CrossRef]
- Eiras, J.; Zhu, X.Q.; Yurlova, N.; Pedrassani, D.; Yoshikawa, M.; Nawa, Y. Dioctophyme renale (Goeze, 1782) (Nematoda, Dioctophymidae) parasitic in mammals other than humans: A comprehensive review. Parasitol. Int. 2021, 81, 102269. [Google Scholar] [CrossRef] [PubMed]
- Cozza-Santos, T.; Conte, C.; Pereira, S.B.; Machado, C.A.; Perera, S.C.; Rappeti, J.C.S.; Gausmann, V.; Cavalcanti, E.A.N.L.D. Avaliação de exames utilizados para diagnóstico de dioctofimatose canina. In Proceedings of the Anais do XX Congresso Brasileiro de Parasitologia Veterinária, Londrina, Brazil, 17–19 September 2018. [Google Scholar]
- Butti, M.J.; Gamboa, M.I.; Terminiello, J.; Radman, N.E. Dioctofimosis en un canino de 3 meses de edad: Reporte de caso. Rev. Argent. Parasitol. 2018, 7, 33–36. [Google Scholar]
- Amaro, A.A.; Greer, T.; Wilson, D.; Smrdelj, M. Giant Red Kidney Worm (Dioctophyma renale) Infection in Puppies Less Than Four Months of Age from Northern Canada. J. Parasitol. 2022, 108, 127–131. [Google Scholar] [CrossRef] [PubMed]
- Payne, P.A.; Carter, G.R. (Eds.) Internal parasitic diseases of dogs and cats. In Concise Guide to Infectious and Parasitic Diseases of Dogs and Cats; International Veterinary Information Service: Ithaca, NY, USA, 2005. [Google Scholar]




| Hematology | |||
|---|---|---|---|
| Test | Results | Reference Value | |
| Red blood cells: | 5.14 | mill/µL | 5.50–8.50 mill/µL |
| Hemoglobin: | 11.5 | g/dL | 12.0–18.0 g/dL |
| Hematocrit: | 35.0 | % | 37.0–55.0% |
| Leucocytes: | 18.6 | mil/µL | 6.0–17.0 mil/µL |
| Lymphocytes %: | 26.0 | % | 12.0–30.0% |
| Neutrophils %: | 62.0 | % | 60.0–80.0% |
| Eosinophils %: | 10.0 | % | 2.0–10.0% |
| Basophils %: | 0.0 | % | 0.0–0.0% |
| Monocytes %: | 2.00 | % | 3.00–10.00% |
| Lymphocytes: | 4.8 | mil/µL | 1.0–4.8 mil/µL |
| Neutrophils: | 11.5 | mil/µL | 3.0–12.0 mil/µL |
| Eosinophils: | 1.86 | mil/µL | 0.10–0.75 mil/µL |
| Basophils: | 0.0 | mil/µL | 0.0–0.1 mil/µL |
| Monocytes: | 0.37 | mil/µL | 0.15–1.35 mil/µL |
| Platelets: | 490.0 | mil/µL | 160.0–500.0 mil/µL |
| Renal Function | |||
| Urea: | 0.66 | g/L | 0.19–0.64 g/L |
| Creatinine: | 1.0 | mg/dL | 0.8–1.8 mg/dL |
| Liver Function | |||
| Albumin: | 3.5 | g/dL | 2.1–3.3 g/dL |
| Cholesterol: | 323 | mg/dL | 150–275 mg/dL |
Disclaimer/Publisher’s Note: The statements, opinions and data contained in all publications are solely those of the individual author(s) and contributor(s) and not of MDPI and/or the editor(s). MDPI and/or the editor(s) disclaim responsibility for any injury to people or property resulting from any ideas, methods, instructions or products referred to in the content. |
© 2025 by the authors. Licensee MDPI, Basel, Switzerland. This article is an open access article distributed under the terms and conditions of the Creative Commons Attribution (CC BY) license (https://creativecommons.org/licenses/by/4.0/).
Share and Cite
Navratil-Oronoz, A.; Fernández, M.I.; Neumann Wadeer, G.; Machín, F.; Maggio, A.; Gago, L.; Armúa-Fernández, M.T. Dioctophyme renale in a 5-Month-Old Puppy from Delta del Tigre, Uruguay. Parasitologia 2025, 5, 4. https://doi.org/10.3390/parasitologia5010004
Navratil-Oronoz A, Fernández MI, Neumann Wadeer G, Machín F, Maggio A, Gago L, Armúa-Fernández MT. Dioctophyme renale in a 5-Month-Old Puppy from Delta del Tigre, Uruguay. Parasitologia. 2025; 5(1):4. https://doi.org/10.3390/parasitologia5010004
Chicago/Turabian StyleNavratil-Oronoz, Alejandra, María Inés Fernández, Gillian Neumann Wadeer, Federico Machín, Agustín Maggio, Laura Gago, and María Teresa Armúa-Fernández. 2025. "Dioctophyme renale in a 5-Month-Old Puppy from Delta del Tigre, Uruguay" Parasitologia 5, no. 1: 4. https://doi.org/10.3390/parasitologia5010004
APA StyleNavratil-Oronoz, A., Fernández, M. I., Neumann Wadeer, G., Machín, F., Maggio, A., Gago, L., & Armúa-Fernández, M. T. (2025). Dioctophyme renale in a 5-Month-Old Puppy from Delta del Tigre, Uruguay. Parasitologia, 5(1), 4. https://doi.org/10.3390/parasitologia5010004

