Next Article in Journal
Technical Note: Rapid Species Barcoding Using Bento Lab Mobile Laboratory
Previous Article in Journal
Exploring Cerebrospinal Fluid: Validation of a New Method for Quantification of 39 Drugs of Abuse by LC-MS/MS
 
 
Correction published on 30 April 2025, see Forensic Sci. 2025, 5(2), 19.
Font Type:
Arial Georgia Verdana
Font Size:
Aa Aa Aa
Line Spacing:
Column Width:
Background:
Case Report

Death by Frostbite: From Theory to Reality: A Case Report

1
Department of Interdisciplinary Medicine, Section of Legal Medicine, Aldo Moro University of Bari, Piazza Giulio Cesare, 11, 70124 Bari, Italy
2
Department of Precision and Regenerative Medicine and Ionian Area (DiMePRe-J), Section of Pathology, Aldo Moro University of Bari, 70124 Bari, Italy
*
Author to whom correspondence should be addressed.
Forensic Sci. 2024, 4(4), 555-565; https://doi.org/10.3390/forensicsci4040037
Submission received: 31 July 2024 / Revised: 21 September 2024 / Accepted: 3 October 2024 / Published: 11 October 2024 / Corrected: 30 April 2025

Abstract

Background: When the body temperature falls below 35 °C, a condition known as hypothermia occurs. This renders it impossible to regulate the body temperature and produce heat. In these cases, death is due to a cessation of vital functions and is triggered by a body temperature below 25 °C. A multidisciplinary approach is typically required when hypothermia is suspected to combine circumstantial evidence, external examination, autopsy, microscopic and biochemical findings, and other data useful to assess the diagnosis of fatal hypothermia. Post-mortem diagnosis of death by hypothermia frequently presents a medico-legal dilemma. Methods and Results: The authors present a case of hypothermia in which site inspection, autopsy, and histological examination simultaneously revealed the forensic and anatomopathological characteristic findings of hypothermia with some peculiar evidence: paradoxical undressing, thanatochronological phenomena, frost erythema, polyvisceral congestion and Wischnewski spots, and subnuclear vacuolization of renal tubular epithelial cells.

1. Introduction

Hypothermia is a systemic condition in which the core body temperature is below 35 °C and the body loses its thermoregulatory capabilities and is not able to generate heat [1].
A body temperature below 25 °C is responsible for death caused by an arrest of the vital functions.
In addition to low temperature, other factors play a relevant role in causing this syndrome: environmental conditions (ventilation, atmospheric pressure, altitude, duration of exposure); age of the subject (children and elderly are more susceptible to extreme clime conditions); comorbidities (e.g., anemia, alcoholism, heart disease) [2].
The initial phase is reactive and is characterized by shivering: the human body is able to maintain thermal balance by increasing the production of heat, but beyond this limit the progressive cooling of the body is unstoppable and thermal decompensation occurs. The subsequent phase is that of exhaustion, dominated by decay of nervous functions and progressive failure of body defense, up to cardiorespiratory arrest.
Subjects dead from hypothermia are often missing people and come to the attention of the medical examiner in order to examine any possible hypothesis of crime, evaluating the presence of injuries produced by others, and to define the cause and time of death. Medico-legal findings in case of hypothermia are generally non-specific (polyvisceral vascular congestion; peripheral lesions from freezing). Often, only circumstantial information leads to the diagnosis [3]. Furthermore, the application of various techniques, even considering new forensic approaches [4,5], could be reliable tools in the resolution of a criminal case.
The authors present a case of hypothermia in which rare diagnostic forensic and anatomopathological findings were found [6]. This represents a case study: the multiple finds identified, coexisting in the same subject, represent a rare event described in the literature, especially at our latitudes (south of Italy). So, the aim is to focus the attention on this peculiar evidence.

2. Case Report

In December 2021, an elderly 85-year-old man was reported missing. He had left home for a short walk and did not come back after a few hours. His relatives reported that the man was suffering from Alzheimer’s disease, hypertensive heart disease, and epileptic syndrome.
The search of family members and the police was in vain; after 7 days, the lifeless body of the elderly missing man was found in a near-abandoned country field.
Forensic examinations were required in order to clarify time, cause, and modalities of death.

2.1. Site Inspection

The body was found completely dressed in the upper part of the body, but his trousers were lowered on his legs up to the thighs. Shoes were not worn and placed nearby the body (1 mt) (Figure 1).
The evaluation of the thanatochronological parameters allowed to detect pale reddish hypostasis under acupressure (Figure 2) in the posterior areas of the trunk and lower limbs, generalized rigor mortis, and a rectal temperature lower than the environment (body temp 8.7 °C and environmental temp 11.5 °C). The average temperature that day and the previous two days was 12 degrees, minimum 8, maximum 16, with an average humidity of 90.

2.2. Cadaveric Inspection

External examination showed numerous abrasions on both forearms and thighs (Figure 3), some of which were roughly parallel, as well as purplish areas of discoloration on both elbows, knees, and gray-brownish discoloration on both hands (Figure 4) and feet (Figure 5) with no macroscopic evidence of hematomas.

2.3. Autopsy Findings

No macroscopic alterations of heart, lungs, and brain were detected. At the opening of the stomach, the presence of widespread reddish hemorrhagic spots, mostly localized in the antral region, was evidenced (Figure 6). The liver had a poorly recognizable architecture.

2.4. Toxicological Findings

Toxicological analysis was performed to detect the presence of alcohol and/or drug abuse substances; none of the substances investigated (alcohol, methadone, cannabinoids, barbiturates, benzodiazepines, opiates, amphetamines, cocaine and metabolites, tricyclic antidepressants) were found in the analyzed biological samples (blood and urine).

2.5. Histopathological Findings

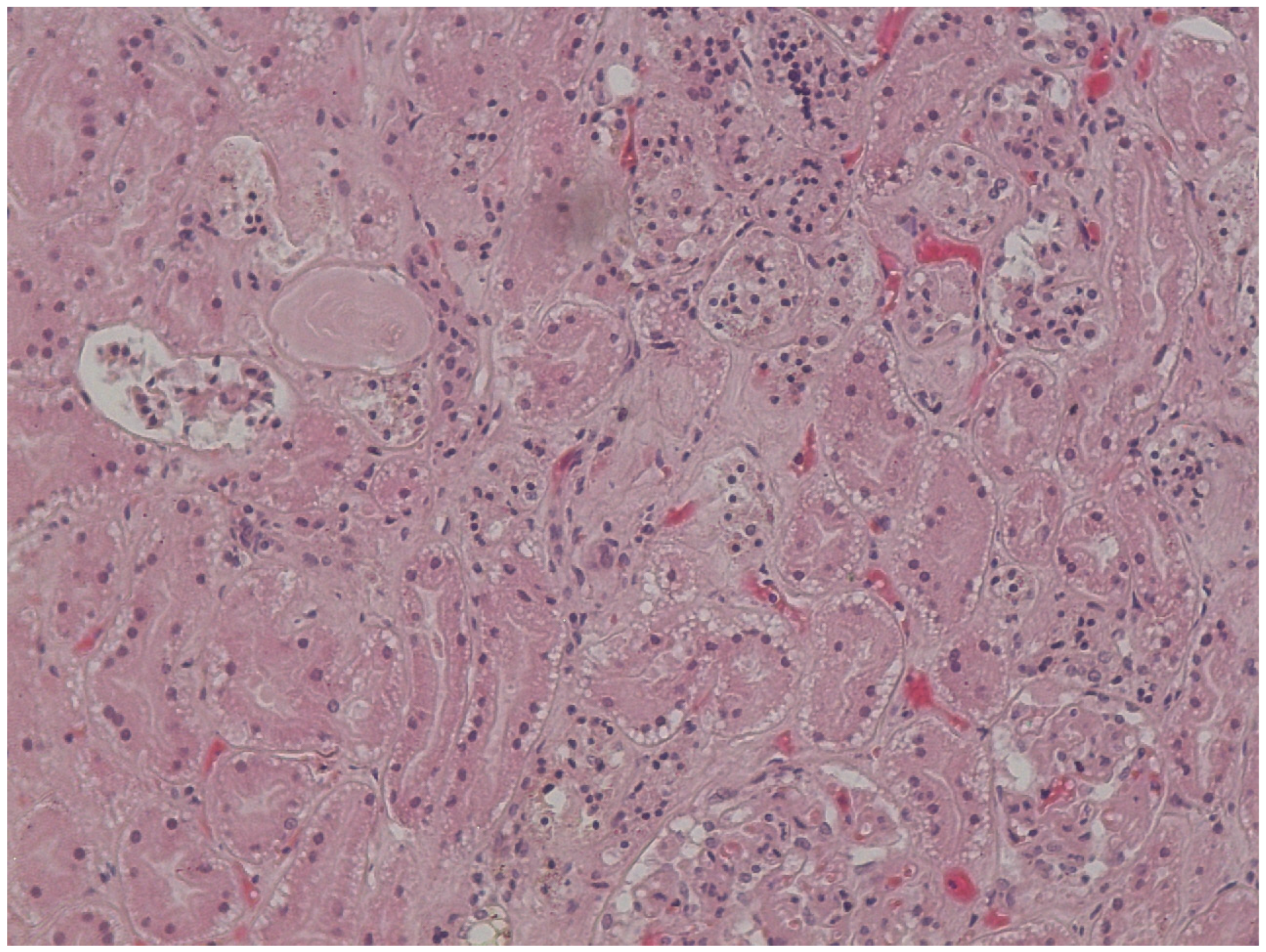
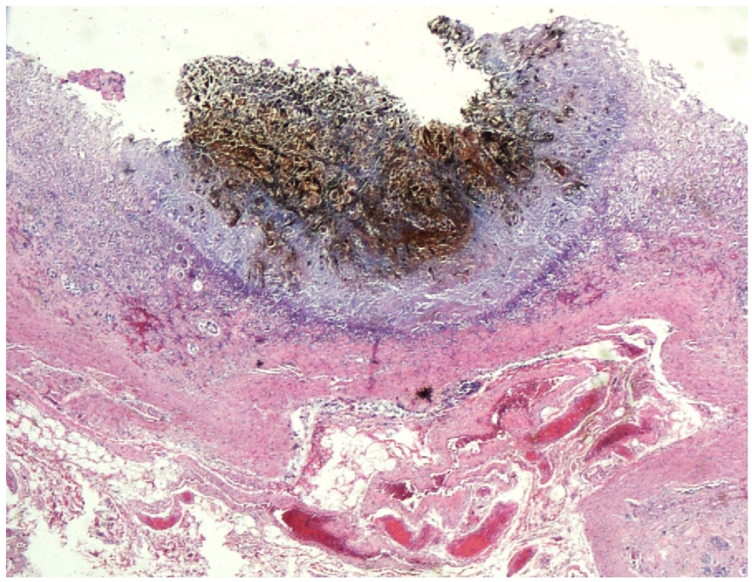
Microscopic observation of tissue sections stained with hematoxylin and eosin showed marked pulmonary congestion (Figure 7), micro- and macrovesicular hepatic steatosis (Figure 8), as well as vacuolization of the basal cells of renal tubules (Figure 9). Gastric wall showed edema and vascular congestion involving mucosa and submucosal layers and focal erosions of the mucosal surface consisting of necrotic foci delimitated by a dense lympho-histiocytic infiltrate (Figure 10). At the level of the skin discoloration (Figure 11), small hemorrhagic extravasations in the dermis were detected.
The cause of death deriving from our medico-legal examination was hypothermia in subjects with hypertensive heart disease, Alzheimer’s disease, and epileptic syndrome.

3. Discussion

Post-mortem diagnosis of death by hypothermia is often a medico-legal dilemma; in most cases, in fact, a multidisciplinary approach is necessary to combine circumstantial findings, external examination, and cadaveric section evidence (mostly non-specific), as well as microscopic and biochemical findings, in order to assess the diagnosis of fatal hypothermia [7]. Furthermore, although hypothermia can happen even in mild temperature conditions, some risk factors should be considered such as old age, time of exposure, male subjects, and low population density [8].
There are no pathognomonic signs of fatal hypothermia at autopsy. In any case, some nonspecific features should be investigated, including time of exposure, medication intake, thermic lesions, and phenomena such as ‘paradoxical undressing’ and ‘hide-and-die syndrome’.

3.1. Paradoxical Undressing

Paradoxical undressing has been described in cases of lethal hypothermia [9,10].
In most cases, the subjects were found with clothing partially worn, and with the lower part of the body undressed, confirming that usually undressing begins from the lower regions [11].
This phenomenon affects up to 50% of hypothermia victims, and its pathogenesis has not yet been fully defined, but can be explained by two different theories: according to the first, this phenomenon would be due to a paralysis of the vasomotor centers that would alter the perception of body temperature; another possible explanation is that cold would be responsible for a vasorum nerve paralysis, which would cause a vasodilation, so that a certain amount of blood from the center of the body is diverted to the periphery [10].
This causes the hypothermic victim to suddenly feel hot (‘hot flash’) and begin to undress, in contrast to the body temperature that actually continues to drop.
In the course of judicial inspection and external examination it was found that the clothing worn by the victim was widely damp. It was also noted that, although the shirts and jacket were found to be properly worn, the victim had his pants down on his hips and his shoes removed and placed in proximity to the body. So, this finding could be correlated with the so-called phenomenon of ‘paradoxical undressing (denudation paradox)’.

3.2. Tanatochronological Phenomena

Post-mortal phenomena in case of fatal hypothermia present intense early and total rigidity, diffuse reddish hypostasis, and extreme low body temperature [12].
In our case, during the first cadaveric inspection, the body temperature was lower than the ambient temperature, the hypostases were reddish and localized in the posterior areas of the body, rigidity was diffuse to the main articular districts.

3.3. Frost Erythema

The phenomenon ‘frost erythema’ is a reddish-brown discoloration of exposed skin areas, particularly involving the extensor surfaces of large joints [7] as result of dermal hyperemia and edema without red blood cell extravasation and supports a diagnosis of fatal hypothermia. The peripheral areas may also be affected by frozen lesions due to ischemia of the tissues resulting from spasm of the arterial vessels, to which is added the direct action on the vital processes of the cells which are slowed down or inhibited. Frozen lesions show variability from the first degree or erythema that is the transient vasoconstrictive reaction followed by passive hyperemia from vasal paralysis (pale red skin and edema), to the second degree (skin with blisters, serum-hemorrhagic vesicles), and third degree or necrosis (dry or wet gangrene) [2].
In this case, two categories of lesions were found on the victim during the external inspection: excoriated lesions and frost erythema. The excoriated lesions (linear, scratching type) were mainly located to the lower limbs. Due to the irregular morphology, the areas involved, and the presence of some physical elements found during the site inspection (abundant presence of brambles and brushwood), this type of lesions was correlated to the brambles encountered during the victim’s protracted walk and wondering.
The thermic lesions from cold (frosts) consisted in multiple and diffused areas of cutaneous reddish discoloration, localized on the face (right auricle, left malar region), upper limbs (dorsal surface of the forearm and hand bilaterally), and lower limbs (anterior surface of the knee and leg bilaterally, dorsal surface of the foot bilaterally, plantar surface of the left foot). These lesions were related to the low temperature conditions at which the victim was exposed, due to the occurrence of reactive vasomotor phenomena of transient vasoconstriction and passive hyperemia from vasal paralysis. Histological analysis showed small hemorrhagic extravasations, attributing these lesions to a second degree.
Moreover, the macroscopic and histological analysis highlighted the characteristics most frequently attributable to cold-related death. In particular, polyvisceral congestion, fatty degeneration of liver and renal tubule epithelium [12], hemorrhages of the gastric mucosa, and subnuclear vacuolization of renal tubular epithelial cells (Armanni–Ebstein phenomenon) were found [13].

3.4. Polyvisceral Congestion and Wischnewski Spots

In death from hypothermia the blood is fluid, the viscera are congested, and sometimes superficial erosions or small ulcerations of the gastric mucosa, known as Wischnewski spots and due to vascular thrombosis, are observed [14].
‘Wischnewski spots’ are diffuse brownish hemorrhagic spots that are variable in size and quantity. The incidence of Wischnewski spots of the gastric mucosa in fatal hypothermia vary between 40% and 91% [15].
They are usually 1–2 mm wide, visible on gastric mucosa and, less frequently, on lower gastrointestinal tracts, and they are inconstant but pathognomonic findings of fatal hypothermia [16].
The pathogenetic mechanism underlying the Wischnewski phenomenon should be related to the erythrocyte’s autolysis and the subsequent hemoglobin release in the gastric mucosa. So, Wischnewski spots do not represent erosions or ulcerations, although in some studies even erosions are reported and the histological analysis allow to highlight the major aspects of the autolytic phenomenon. No inflammatory infiltrates or fibrin exudates are shown. Histological and immunohistochemical analyses are the major techniques to support the cause of death [17]. In the present case, although it was not possible to undergo immunohistochemical analysis, the histological findings confirm the presence of an erosion at the level of the macroscopic Wischnewski spots. This finding also suggests that other studies with large samples are needed to settle the issue of the real origin of these spots also because even the relevant literature is not one-sided on this theme: some studies concluded for erosion, others for the absence of it [17,18].

3.5. Subnuclear Vacuolization of Renal Tubular Epithelial Cells

The Armanni–Ebstein phenomenon consists in a lipidic vacuolization in the renal epithelium attributed to different pathological condition. Although the primary hypothesis was the attribution of these findings to diabetes [19], they may also be explained by hypoxia and altered fatty acid oxidative metabolism. This hypothesis was proposed by Preuss [20] because of the evidence of lipid vacuoles in 87% of the hypothermia cases. It appears to be a useful marker to confirm post-mortem diagnosis of fatal hypothermia, as well as the Wischnewski spots, but not to exclude it [21,22]. In our case, the diagnosis of hypothermia instead of diabetes was confirmed by the general practitioner of the deceased: he only suffered from hypertension, Alzheimer’s disease, and epilepsy.
In the case reported here, both macroscopic and histological analysis was in accordance with the previously reported literature.

4. Conclusions

This case describes most of the features and circumstances surrounding hypothermia-related deaths.
Diagnosis of cold-related death is based on unspecific data and can only be made thanks to exhaustive, complete, and integrated medicolegal investigations, including site inspection, external examination of the corpse, macroscopic observation, and specific analysis such as histology, immunohistochemistry, and toxicology, which are mandatory. Such a multidisciplinary approach would allow to reach more accurate diagnoses of hypothermia.

Author Contributions

Conceptualization, F.I.; methodology, M.L.; formal analysis, A.C.; investigation, M.C. and E.M.; resources, G.D.G.; writing—original draft preparation, S.D. and A.M.; writing—review and editing, F.M.; supervision, F.I. All authors have read and agreed to the published version of the manuscript.

Funding

This research received no external funding.

Institutional Review Board Statement

Not applicable.

Informed Consent Statement

Informed consent for participation is not required as part of a public verdict and per local legislation on deceased subjects [Italian Legislative Decree 10 August 2018, n. 101, Provisions for the implementation of national legislation to the provisions of Regulation (EU) 2016/679 of the European Parliament and of the Council of 27 April 2016, on the protection of individuals with regard to the processing of personal data and on the free movement of such data and repealing Directive 95/46/EC].

Data Availability Statement

No new data were created.

Conflicts of Interest

The authors declare no conflicts of interest.

References

  1. Bright, F.M.; Winskog, C.; Tsokos, M.; Walker, M.; Byard, R.W. Issues in the diagnosis of hypothermia: A comparison of two geographically separate populations. J Forensic Leg Med. 2014, 22, 30–32. [Google Scholar] [CrossRef] [PubMed]
  2. Hirvonen, J. Some aspects on death in the cold and concomitant frostbites. Int. J. Circumpolar Health 2000, 59, 131–136. [Google Scholar]
  3. Lifschultz, B.D.; Donoghue, E.R. Forensic pathology of heat-and cold-related injuries. Clin. Lab. Med. 1998, 18, 77–90. [Google Scholar] [CrossRef]
  4. Rousseau, G.; Chao de la Barca, J.M.; Rougé-Maillart, C.; Teresiński, G.; Chabrun, F.; Dieu, X.; Drevin, G.; Mirebeau-Prunier, D.; Simard, G.; Reynier, P.; et al. Preliminary Metabolomic Profiling of the Vitreous Humor from Hypothermia Fatalities. J. Proteome Res. 2021, 20, 2390–2396. [Google Scholar] [CrossRef] [PubMed]
  5. Elmsjö, A.; Ward, L.J.; Horioka, K.; Watanabe, S.; Kugelberg, F.C.; Druid, H.; Green, H. Biomarker patterns and mechanistic insights into hypothermia from a postmortem metabolomics investigation. Sci. Rep. 2024, 14, 18972. [Google Scholar] [CrossRef]
  6. Turk, E.E. Hypothermia. Forensic Sci Med Pathol. 2010, 6, 106–115. [Google Scholar] [CrossRef] [PubMed]
  7. Palmiere, C.; Teresiński, G.; Hejna, P. Postmortem diagnosis of hypothermia. Int. J. Leg. Med. 2014, 128, 607–614. [Google Scholar] [CrossRef]
  8. Herity, B.; Daly, L.; Bourke, G.J.; Horgan, J.M. Hypothermia and mortality and morbidity. An epidemiological analysis. J. Epidemiol. Community Health 1991, 45, 19–23. [Google Scholar] [CrossRef]
  9. Sivaloganathan, S. Paradoxical undressing and hypothermia. Med. Sci. Law. 1986, 26, 225–229. [Google Scholar] [CrossRef]
  10. Rothschild, M.A.; Schneider, V. “Terminal burrowing behaviour”—A phenomenon of lethal hypothermia. Int. J. Leg. Med. 1995, 105, 250–256. [Google Scholar] [CrossRef]
  11. Rothschild, M.A. Lethal hypothermia. Forensic Pathol. Rev. 2004, 1, 263–272. [Google Scholar]
  12. Mizukami, H.; Shimizu, K.; Shiono, H.; Uezono, T.; Sasaki, M. Forensic diagnosis of death from cold. Leg. Med. 1999, 1, 204–209. [Google Scholar] [CrossRef] [PubMed]
  13. Byard, R.W.; Zhou, C. Erosive gastritis, Armanni-Ebstein phenomenon and diabetic ketoacidosis. Forensic Sci. Med. Pathol. 2010, 6, 304–306. [Google Scholar] [CrossRef] [PubMed]
  14. Çetýn, S.; Ýnanir, N.T.; Eren, F. Wischnewsky Spots in Fatal Hypothermia: Case Report. Maedica 2015, 10, 280–282. [Google Scholar]
  15. Hirvonen, J. Necropsy findings in fatal hypothermia cases. Forensic Sci. 1976, 8, 155–164. [Google Scholar] [CrossRef]
  16. Wischnewsky, S. Ein neues Kennzeichen des Todes durch Erfrieren. Bote Gerichtl. Med. 1895, 3, 12. [Google Scholar]
  17. Tsokos, M.; Rothschild, M.A.; Madea, B.; Rie, M.; Sperhake, J.P. Histological and immunological study of Wischnewsky spots in fatal hypothermia. Am. J. Forensic Med. Pathol. 2006, 27, 70–74. [Google Scholar] [CrossRef]
  18. Madea, B.; Oehmichen, M. Ungewöhnliche Befunde in einem Fall von Unterkühlung. Int. J. Leg. Med. 1989, 102, 59–67. [Google Scholar]
  19. Ritchie, S.; Waugh, D. The pathology of Armanni–Ebstein diabetic nephropathy. Am. J. Pathol. 1957, 33, 1035–1057. [Google Scholar]
  20. Preuss, J.; Dettmeyer, R.; Lignitz, E.; Madea, B. Fatty degeneration in renal tubule epithelium in accidental hypothermia victims. Forensic Sci. Int. 2004, 141, 131–135. [Google Scholar] [CrossRef]
  21. Zhou, C.; Byard, R.W. Armanni–Ebstein phenomenon and hypothermia. Forensic Sci. Int. 2011, 206, e82–e84. [Google Scholar] [CrossRef] [PubMed]
  22. Zhou, C.; Yool, A.J.; Nolan, J. Armanni–Ebstein lesions: A need for clarification. J. Forensic Sci. 2013, 58, S94–S98. [Google Scholar] [CrossRef] [PubMed]
Figure 1. Crime scene.
Figure 1. Crime scene.
Forensicsci 04 00037 g001
Figure 2. Hypostasis.
Figure 2. Hypostasis.
Forensicsci 04 00037 g002
Figure 3. Abrasions.
Figure 3. Abrasions.
Forensicsci 04 00037 g003
Figure 4. Discoloration of hands.
Figure 4. Discoloration of hands.
Forensicsci 04 00037 g004
Figure 5. Discoloration of feet.
Figure 5. Discoloration of feet.
Forensicsci 04 00037 g005
Figure 6. Stomach with widespread reddish hemorrhagic spots.
Figure 6. Stomach with widespread reddish hemorrhagic spots.
Forensicsci 04 00037 g006
Figure 7. Pulmonary congestion.
Figure 7. Pulmonary congestion.
Forensicsci 04 00037 g007
Figure 8. Micro- and macrovesicular hepatic steatosis.
Figure 8. Micro- and macrovesicular hepatic steatosis.
Forensicsci 04 00037 g008
Figure 9. Vacuolization of the basal cells of renal tubules.
Figure 9. Vacuolization of the basal cells of renal tubules.
Forensicsci 04 00037 g009
Figure 10. Gastric wall with focal erosions of the mucosal surface.
Figure 10. Gastric wall with focal erosions of the mucosal surface.
Forensicsci 04 00037 g010
Figure 11. Skin with small hemorrhagic extravasations in the dermis.
Figure 11. Skin with small hemorrhagic extravasations in the dermis.
Forensicsci 04 00037 g011
Disclaimer/Publisher’s Note: The statements, opinions and data contained in all publications are solely those of the individual author(s) and contributor(s) and not of MDPI and/or the editor(s). MDPI and/or the editor(s) disclaim responsibility for any injury to people or property resulting from any ideas, methods, instructions or products referred to in the content.

Share and Cite

MDPI and ACS Style

Duma, S.; Mele, F.; Calvano, M.; Leonardelli, M.; Macorano, E.; De Gabriele, G.; Cristalli, A.; Marzullo, A.; Introna, F. Death by Frostbite: From Theory to Reality: A Case Report. Forensic Sci. 2024, 4, 555-565. https://doi.org/10.3390/forensicsci4040037

AMA Style

Duma S, Mele F, Calvano M, Leonardelli M, Macorano E, De Gabriele G, Cristalli A, Marzullo A, Introna F. Death by Frostbite: From Theory to Reality: A Case Report. Forensic Sciences. 2024; 4(4):555-565. https://doi.org/10.3390/forensicsci4040037

Chicago/Turabian Style

Duma, Stefano, Federica Mele, Mariagrazia Calvano, Mirko Leonardelli, Enrica Macorano, Giovanni De Gabriele, Alessandro Cristalli, Andrea Marzullo, and Francesco Introna. 2024. "Death by Frostbite: From Theory to Reality: A Case Report" Forensic Sciences 4, no. 4: 555-565. https://doi.org/10.3390/forensicsci4040037

APA Style

Duma, S., Mele, F., Calvano, M., Leonardelli, M., Macorano, E., De Gabriele, G., Cristalli, A., Marzullo, A., & Introna, F. (2024). Death by Frostbite: From Theory to Reality: A Case Report. Forensic Sciences, 4(4), 555-565. https://doi.org/10.3390/forensicsci4040037

Article Metrics

Back to TopTop