Iatrogenic Sigma Perforation in a Patient with Localized Rectal and Sigma AL Amyloidosis: A Forensic Case and a Literature Review
Abstract
1. Introduction
2. Case Report
2.1. History
2.2. Autopsy
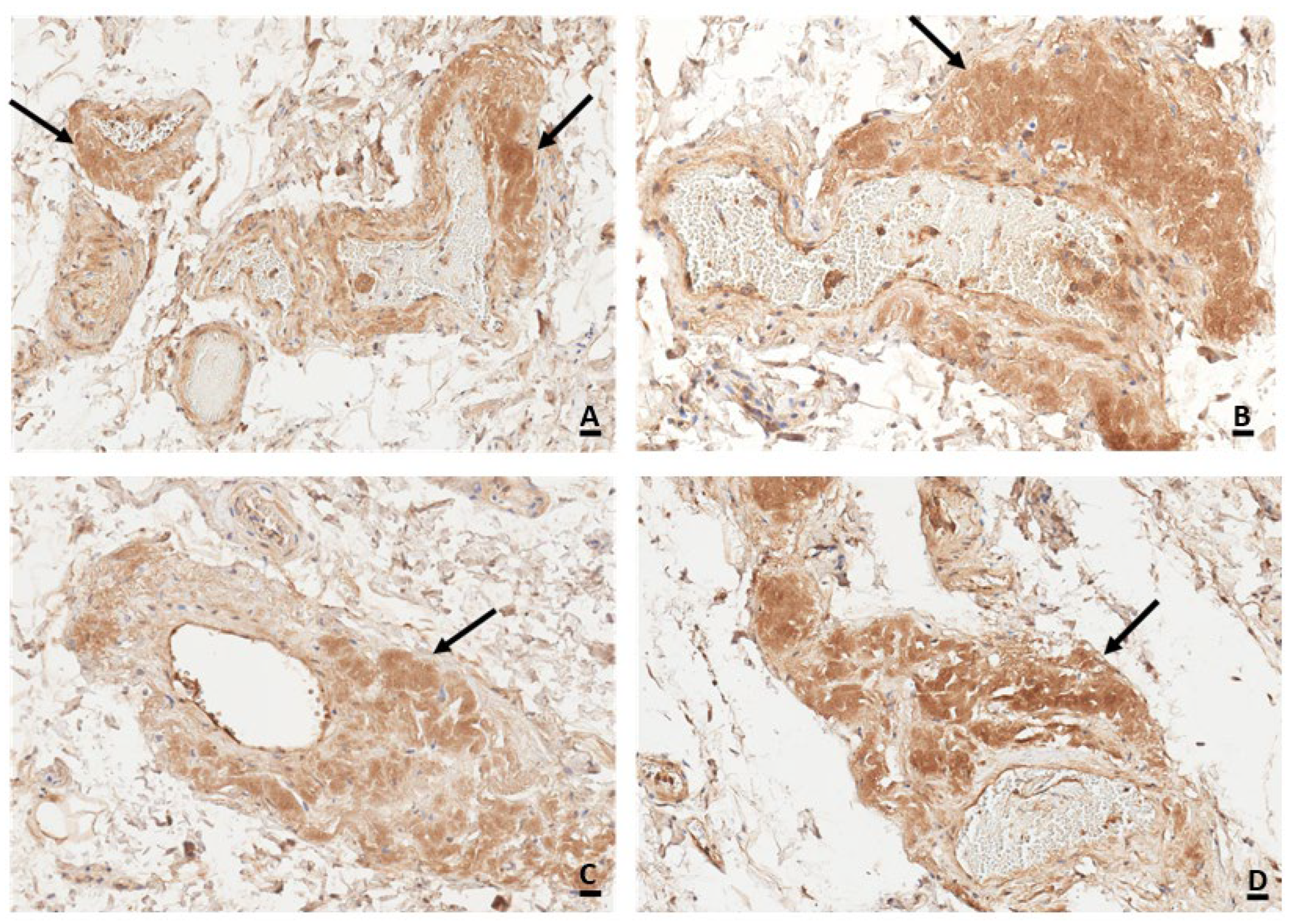
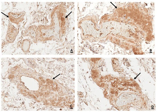
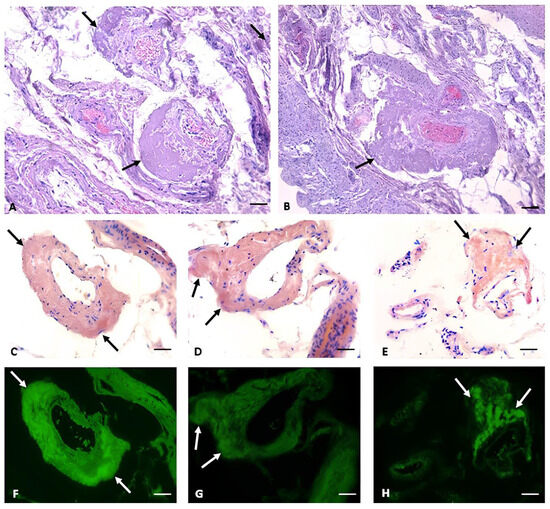
2.3. Histopathology
3. Discussion
4. Conclusions
Supplementary Materials
Author Contributions
Funding
Institutional Review Board Statement
Informed Consent Statement
Data Availability Statement
Conflicts of Interest
References
- Hazenberg, B.P. Amyloidosis. Rheum. Dis. Clin. N. Am. 2013, 39, 323–345. [Google Scholar] [CrossRef] [PubMed]
- De Asua, D.R.; Galvan, J.M.; Filigghedu, M.T.; Trujillo, D.; Costa, R.; Cadinanos, J. Systemic AA amyloidosis: Epidemiology, diagnosis, and management. Clin. Epidemiol. 2014, 6, 369–377. [Google Scholar] [CrossRef] [PubMed]
- Sattianayagam, P.T.; Hawkins, P.N.; Gillmore, J.D. Systemic amyloidosis and the gastrointestinal tract. Nat. Rev. Gastroenterol. Hepatol. 2009, 6, 608–617. [Google Scholar] [CrossRef] [PubMed]
- Bustamante, J.G.; Zaidi, S.R.H. Amyloidosis. In StatPearls; StatPearls Publishing: Treasure Island, FL, USA, 2020. Available online: https://www.ncbi.nlm.nih.gov/books/NBK470285 (accessed on 1 June 2024).
- Rugarli, C. Medicina Interna Sistematica, 7th ed.; Edizioni Minerva Medica: Turin, Italy, 2015. [Google Scholar]
- Pepys, M.B. Amyloidosis. Annu. Rev. Med. 2006, 57, 223–241. [Google Scholar] [CrossRef]
- Hazenberg, B.P.; van Gameren, I.I.; Bijzet, J.; Jager, P.L.; van Rijswijk, M.H. Diagnostic and therapeutic approach of systemic amyloidosis. Neth. J. Med. 2004, 62, 121–128. [Google Scholar]
- Talar-Wojnarowska, R.; Jamroziak, K. Intestinal amyloidosis: Clinical manifestations and diagnostic challenge. Adv. Clin. Exp. Med. 2021, 30, 563–570. [Google Scholar] [CrossRef]
- Rowe, K.; Pankow, J.; Nehme, F.; Salyers, W. Gastrointestinal Amyloidosis: Review of the Literature. Cureus 2017, 9, e1228. [Google Scholar] [CrossRef]
- Argo, A.; Zerbo, S.; Buscemi, R.; Trignano, C.; Bertol, E.; Albano, G.D.; Vaiano, F. A Forensic Diagnostic Algorithm for Drug-Related Deaths: A Case Series. Toxics 2022, 10, 152. [Google Scholar] [CrossRef]
- Davide Ferrara, S. Bio-Medicolegal Disciplines and Scientific Evidence. P5 Medicine and Justice Innovation, Unitariness and Evidence; Springer: Berlin, Germany, 2017; pp. 48–73. [Google Scholar]
- Rex, D.K.; Schoenfeld, S.P.; Cohen, J.; Pike, M.I.; Adler, G.D.; Fennerty, B.M.; Lieb, G.J., 2nd; Park, G.W.; Rizk, K.M.; Sawhney, S.M.; et al. Quality indicators for colonoscopy. Off. J. Am. Coll. Gastroenterol. 2015, 110, 72–90. [Google Scholar] [CrossRef]
- Fisher, D.A.; Maple, J.T.; Ben-Menachem, T.; Cash, B.D.; Decker, G.A.; Early, D.S.; Evans, J.A.; Fanelli, R.D.; Fukami, N.; Hwang, J.H.; et al. Complications of colonoscopy. Gastrointest. Endosc. 2011, 74, 745–752. [Google Scholar] [CrossRef]
- Albano, G.D.; Rifiorito, A.; Malta, G.; Sorrentino, E.S.; Falco, V.; Firenze, A.; Zerbo, S. The Impact on Healthcare Workers of Italian Law n. 24/2017 Gelli–Bianco on Patient Safety and Medical Liability A National Survey. Int. J. Environ. Res. Public Health 2022, 19, 8448. [Google Scholar] [CrossRef] [PubMed]
- Cowan, A.J.; Skinner, M.; Seldin, D.C.; Berk, J.L.; Lichtenstein, D.R.; O’Hara, C.J.; Doros, G.; Sanchorawala, V. Amyloidosis of the gastrointestinal tract: A 13-year, single-center, referral experience. Haematologica 2012, 98, 141–146. [Google Scholar] [CrossRef] [PubMed]
- Wang, Z.; Huang, C.; Ji, F. Primary amyloidosis mimicking Crohn’s disease A case report. Int. J. Clin. Exp. Med. 2015, 8, 16137–16139. [Google Scholar] [PubMed]
- Siau, K.; Elzubeir, A.; Cooper, S.C.; Iqbal, T. Amyloidosis: An unusual cause of upper gastrointestinal bleeding. BMJ Case. Rep. 2016, 2016, bcr2016217653. [Google Scholar] [CrossRef]
- Groisman, G.M.; Cohen, H.I. Small intestinal amyloidosis A rare cause of diverticular disease. Case Rep. Pathol. 2014, 2014, 362835. [Google Scholar] [CrossRef][Green Version]
- Vanhoenacker, F.; Vanwambeke, K.; Jacomen, G. Amyloidosis An unusual cause of mesenteric, omental and lymph node calcifications. JBR-BTR 2014, 97, 283–286. [Google Scholar] [CrossRef][Green Version]
- Coulier, B.; Montfort, L.; Doyen, V.; Gielen, I. MDCT findings in primary amyloidosis of the greater omentum and mesentery A case report. Abdom Imaging 2010, 35, 88–91. [Google Scholar] [CrossRef]
- Horger, M.; Vogel, M.; Brodoefel, H.; Schimmel, H.; Claussen, C. Omental and peritoneal involvement in systemic amyloidosis: CT with pathologic correlation. AJR Am. J. Roentgenol. 2006, 186, 1193–1195. [Google Scholar] [CrossRef]
- Halm, U.; Berr, F.; Tannapfel, A.; Klöppel, R.; Secknus, R.; Mössner, J. Primary amyloidosis of the mesentery and the retro-peritoneum presenting with lymphedema. Am. J. Gastroenterol. 1998, 93, 2299–2300. [Google Scholar] [CrossRef]
- Tahara, S.; Kohyama, M.; Nakamitsu, A.; Sugiyama, Y.; Tazaki, T.; Taogoshi, H.; Komo, T.; Yamaguchi, T.; Ueda, M.; Ishikawa, A.; et al. Surgical strategies for localized colorectal amyloidosis. Surg. Case Rep. 2023, 9, 66. [Google Scholar] [CrossRef]
- Sakano, H.; Sumiyoshi, T.; Tomita, Y.; Uozumi, T.; Tokuchi, K.; Yoshida, M.; Fujii, R.; Minagawa, T.; Okagawa, Y.; Morita, K.; et al. Localized Rectal Amyloidosis with Morphologic Changes from the Submucosal Tumor to the Ulcerative Lesion That Led to Hematochezia during Observation. Intern. Med. 2023, 62, 733–738. [Google Scholar] [CrossRef] [PubMed]
- Alshehri, S.A.; Hussein, M.R.A. Primary Localized Amyloidosis of the Intestine: A Pathologist Viewpoint. Gastroenterol. Res. 2020, 13, 129–137. [Google Scholar] [CrossRef] [PubMed]
- Choi, J.H.; Ko, B.M.; Kim, C.; Kim, H.K.; Han, J.P.; Hong, S.J.; Moon, J.H.; Lee, M.S. A Case of Localized Amyloid Light-Chain Amyloidosis in the Small Intestine. Intest. Res. 2014, 12, 245–250. [Google Scholar] [CrossRef] [PubMed]
- Katoh, N.; Matsuda, M.; Ikeda, S.-I. Clinical, endoscopic, and histopathological features of localized immunoglobulin light chain (AL) amyloidosis in the gastrointestinal tract. Amyloid 2015, 22, 254–256. [Google Scholar] [CrossRef]
- Wu, D.; Lou, J.-Y.; Chen, J.; Fei, L.; Liu, G.-J.; Shi, X.-Y.; Lin, H.-T. A case report of localized gastric amyloidosis. World J. Gastroenterol. 2003, 9, 2632–2634. [Google Scholar] [CrossRef]
- Wetwittayakhlang, P.; Sripongpun, P.; Jandee, S. Primary Gastrointestinal Amyloidosis: An Unusual Cause of Acute Intestinal Pseudo-Obstruction. Case Rep. Gastroenterol. 2019, 13, 462–467. [Google Scholar] [CrossRef]
- Kyle, R.A.; Gertz, M.A.; Lacy, M.Q.; Dzspenzieri, A. Localized AL amyloidosis of the colon: An unrecognized entity. Amyloid 2003, 10, 36–41. [Google Scholar] [CrossRef]
- Tokoro, C.; Inamori, M.; Sekino, Y.; Sakai, E.; Uchiyama, T.; Iida, H.; Hosono, K.; Endo, H.; Sakamoto, Y.; Takahashi, H.; et al. Localized primary AL amyloidosis of the colon without other GI involvement. Gastrointest. Endosc. 2011, 74, 925–927. [Google Scholar] [CrossRef]
- Chen, J.-H.; Lai, S.-J.; Tsai, P.-P.; Chen, Y.-F.; Chen, S.-J.L.J.-H.; Buetow, M.P.; Tracy, J.; Emby, D.J.; Aoun, G.; Kotval, P.; et al. Localized Amyloidosis Mimicking Carcinoma of the Colon. Am. J. Roentgenol. 2002, 179, 536–537. [Google Scholar] [CrossRef]
- Hemmer, P.R.; Topazian, M.D.; Gertz, M.A.; Abraham, S.C. Globular amyloid deposits isolated to the small bowel: A rare association with AL amyloidosis. Am. J. Surg. Pathol. 2007, 31, 141–145. [Google Scholar] [CrossRef]
- Garcia, A.; Qureshi, M.; Dhawa, I.; Rafferty, W.; Budak-Alpdogan, T.; Giordano, S. Isolated AL Amyloidosis of the Colon A Rare Presentation. ACG Case Rep. J. 2024, 11, e01277. [Google Scholar] [CrossRef] [PubMed]
- Tada, S.; Lida, M.; Iwashita, A.; Matsui, T.; Fuchigami, T.; Yamamoto, T.; Yao, T.; Fujishima, M. Endoscopic and biopsy findings of the upper digestive tract in patients with amyloidosis. Gastrointest. Endosc. 1990, 36, 10–14. [Google Scholar] [CrossRef] [PubMed]
- Dahiya, D.S.; Kichloo, A.; Singh, J.; Albosta, M.; Wani, F. Gastrointestinal amyloidosis: A focused review. World J. Gastrointest. Endosc. 2021, 13, 1. [Google Scholar] [CrossRef] [PubMed]
- Lachmann, H.J.; Goodman, H.J.; Gilbertson, J.A.; Gallimore, J.R.; Sabin, C.A.; Gillmore, J.D.; Hawkins, P.N. Natural History and Outcome in Systemic AA Amyloidosis. N. Engl. J. Med. 2007, 356, 2361–2371. [Google Scholar] [CrossRef] [PubMed]
- Iida, T.; Yamano, H.; Nakase, H. Systemic amyloidosis with gastrointestinal involvement: Diagnosis from endoscopic and histological views. J. Gastroenterol. Hepatol. 2018, 33, 583–590. [Google Scholar] [CrossRef]
- Ebert, E.C.; Nagar, M. Gastrointestinal Manifestations of Amyloidosis. Am. J. Gastroenterol. 2008, 103, 776–787. [Google Scholar] [CrossRef]
- DeRoche, T.C.; Xiao, S.-Y.; Liu, X. Histological evaluation in ulcerative colitis. Gastroenterol. Rep. 2014, 2, 178–192. [Google Scholar] [CrossRef]
- Vanatta, P.R.; Silva, F.G.; Taylor, W.E.; Costa, J.C. Renal cell carcinoma and systemic amyloidosis: Demonstration of AA protein and review of the literature. Hum. Pathol. 1983, 14, 195–202. [Google Scholar] [CrossRef]
- Prasad, B.; Tangedal, K.; Chibbar, R.; McIsaac, M. Simultaneous Clinical Presentation of Renal Cell Carcinoma and Immunoglobulin Light Chain Amyloidosis. Cureus 2018, 10, e2585. [Google Scholar] [CrossRef]
- Takano, M.; Suda, N.; Ichihara, A.; Konishi, K.; Sasamura, H.; Hayashi, K.; Hashiguchi, A.; Miyajima, A.; Murai, M.; Itoh, H. Case of nephrotic syndrome due to AL-type primary amyloidosis associated with renal cell carcinoma. Nihon Jinzo Gakkai Shi 2007, 49, 1014–1019. [Google Scholar]



| Reference | Article Type | Autopsy/Biopsy | GI Symptoms | Clinical Findings | Histopathologic Findings | Amyloid Type |
|---|---|---|---|---|---|---|
| Cowan et al. [15] | Retrospective review | Biopsy | GI bleeding, heartburn | Amyloid deposits | AL (11), Undefined (5) | |
| Groisman et al. [18] | Case report | Autopsy | Enterorrhagia | Diverticula [ultrasound] | Amyloid deposits; ischemia-related changes, mainly mucosal | AL |
| Coulier et al. [20] | Case report | Biopsy | None | Infiltration of the fat tissue of greater omentum, mesentery, retroperitoneum [CT] | Amyloid deposits | AL |
| Choi et al. [26] | Case report | Biopsy | Epigastric pain, nausea, constipation | Lesions with central erosion in duodenum [colonoscopy] | Amyloid deposits | AL |
| Nagaaki et al. [27] | Case report | Biopsy | Gastralgia, hematemesis, melena | Nodular lesions (upper GI); ulcers; submucosal hemorrhage (lower GI) [endoscopy] | Amyloid deposits | AL |
| Wu et al. [28] | Case report | Biopsy | Epigastric discomfort | Gastric ulcer on the posterior wall of small curvature [endoscopy] | Amyloid deposits | AA |
| Wetwittayakhlang et al. [29] | Case report | Biopsy | Colic pain, unable to pass feces and flatus, progressive abdominal distension | Small bowel obstruction [endoscopy] | Amyloid deposits | AL |
| Kyle et al. [30] | Case reports | Biopsy | Rectal bleeding (all) | Purpuric lesions in the sigmoid colon (case 1); patchy erythema of the sigmoid colon (case 2); polyps (case 3) [colonoscopy] | Amyloid deposits in lamina propria and submucosa | AL |
| Tokoro et al. [31] | Case report | Biopsy | None | 10 submucosal tumors scattered from the rectum to the sigmoid colon [colonoscopy]; several hyperechoic submucosal lesions, suggestive of lipomas [EUS] | Amyloid deposits | AL |
| Chen et al. [32] | Case report | Biopsy | Periumbilical pain, bloody stool, weight loss | Narrowing of the lumen of the transverse colon, multiple polypoid lesions, ulceration [colonoscopy]; annular lesion with disrupted mucosa [barium enema] | Amyloid deposits in perivascular regions of the mucosa | AL |
| Hemmer et al. [33] | Case report | Biopsy | Progressive microcytic anemia | Polyps, from duodenal bulb to jejunum [EGDS] | Amyloid deposition, rounded and globular in submucosa | AL |
| Garcia et al. [34] | Case report | Biopsy | Chronic constipation, history of benign colonic polyps | Nodular erythema in ascending colon, polyp in transverse colon [endoscopy] | Amyloid deposits in mucosa | AL |
Disclaimer/Publisher’s Note: The statements, opinions and data contained in all publications are solely those of the individual author(s) and contributor(s) and not of MDPI and/or the editor(s). MDPI and/or the editor(s) disclaim responsibility for any injury to people or property resulting from any ideas, methods, instructions or products referred to in the content. |
© 2024 by the authors. Licensee MDPI, Basel, Switzerland. This article is an open access article distributed under the terms and conditions of the Creative Commons Attribution (CC BY) license (https://creativecommons.org/licenses/by/4.0/).
Share and Cite
Albano, G.D.; Zerbo, S.; Di Franco, S.; Orlando, E.; Formisano, E.; Argo, A.; Belmonte, B. Iatrogenic Sigma Perforation in a Patient with Localized Rectal and Sigma AL Amyloidosis: A Forensic Case and a Literature Review. Forensic Sci. 2024, 4, 453-462. https://doi.org/10.3390/forensicsci4030029
Albano GD, Zerbo S, Di Franco S, Orlando E, Formisano E, Argo A, Belmonte B. Iatrogenic Sigma Perforation in a Patient with Localized Rectal and Sigma AL Amyloidosis: A Forensic Case and a Literature Review. Forensic Sciences. 2024; 4(3):453-462. https://doi.org/10.3390/forensicsci4030029
Chicago/Turabian StyleAlbano, Giuseppe Davide, Stefania Zerbo, Simone Di Franco, Elisabetta Orlando, Eleonora Formisano, Antonina Argo, and Beatrice Belmonte. 2024. "Iatrogenic Sigma Perforation in a Patient with Localized Rectal and Sigma AL Amyloidosis: A Forensic Case and a Literature Review" Forensic Sciences 4, no. 3: 453-462. https://doi.org/10.3390/forensicsci4030029
APA StyleAlbano, G. D., Zerbo, S., Di Franco, S., Orlando, E., Formisano, E., Argo, A., & Belmonte, B. (2024). Iatrogenic Sigma Perforation in a Patient with Localized Rectal and Sigma AL Amyloidosis: A Forensic Case and a Literature Review. Forensic Sciences, 4(3), 453-462. https://doi.org/10.3390/forensicsci4030029

