Color Pattern Similarities Revealed: Two Pseudocerotids (Polycladida: Cotylea) from the Mexican Pacific with the Description of a New Species †
Abstract
1. Introduction
2. Materials and Methods
2.1. Sampling and Identification
2.2. DNA Extraction, PCR Amplification and Sequencing
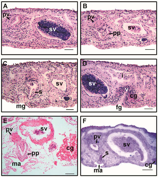
3. Results
Taxonomy
4. Discussion
Author Contributions
Funding
Institutional Review Board Statement
Data Availability Statement
Acknowledgments
Conflicts of Interest
References
- Newman, L.J.; Cannon, L.R.G. A new flatworm (Platyhelminthes: Polycladida) which mimics a Phyllidiid Nudibranch (Mollusca, Nudibranchia). Zool. J. Linn. Soc. 1994, 110, 19–25. [Google Scholar] [CrossRef]
- Newman, L.J.; Cannon, L.R.G. Marine Flatworms: The World of Polyclads; CSIRO Publishing: Melbourne, Australia, 2003; p. 112. [Google Scholar]
- Litvaitis, M.K.; Bolaños, D.M.; Quiroga, S.Y. When names are wrong and colours deceive: Unravelling the Pseudoceros bicolor species complex (Turbellaria: Polycladida). J. Nat. Hist. 2010, 44, 829–845. [Google Scholar] [CrossRef]
- Newman, L.J.; Cannon, L.R.G. Pseudoceros and Pseudobiceros (Plathyhelminthes, Polycladida, Pseudocerotidae) from eastern Australia and Papua New Guinea. Mem. Qld. Mus. 1994, 37, 205–266. [Google Scholar]
- Newman, L.J.; Cannon, L.R.G. The importance of the fixation of colour, pattern and form in tropical Pseudocerotidae (Platyhelminthes, Polycladida). In Biology of Turbellaria and Some Related Flatworms: Proceedings of the Seventh International Symposium on the Biology of the Turbellaria, Finland; Springer: Berlin/Heidelberg, Germany, 1995. [Google Scholar]
- Bolaños, D.M.; Gan, B.Q.; Ong, R.S. First records of pseudocerotid flatworms (Platyhelminthes: Polycladida: Cotylea) from Singapore: A taxonomic report with remarks on colour variation. Raffles Bull. Zool. 2016, 34, 130–169. [Google Scholar]
- Newman, L.J.; Cannon, L.R.G. Nine new species of Pseudobiceros (Platyhelminthes: Polycladida) from the Indo-Pacific. Raffles Bull. Zool. 1997, 45, 341–368. [Google Scholar]
- Newman, L.J.; Cannon, L.R.G. Pseudoceros (Platyhelminthes: Polycladida) from the Indo-Pacific with twelve new species from Australia and Papua New Guinea. Raffles Bull. Zool. 1998, 46, 293–323. [Google Scholar]
- Goggin, C.L.; Newman, L.J. Use of molecular data to discriminate pseudocerotid turbellarians. J. Helminthol. 1996, 70, 123–126. [Google Scholar] [CrossRef] [PubMed]
- Litvaitis, M.; Newman, L. A molecular framework for the phylogeny of the Pseudocerotidae (Platyhelminthes, Polycladida). Hydrobiologia 2001, 444, 177–182. [Google Scholar] [CrossRef]
- Woodworth, W.M. Reports on the dredging operations off the west coast of Central America to the Galapagos, to the west coast of Mexico, and in the Gulf of California, in charge of Alexander Agassiz, carried on by the U.S. Fish Commission steamer “Albatross” during 1894. IX. Report on the Turbellaria. Bull. Mus. Comp. Zool. Harv. Coll. 1894, 25, 49–52. [Google Scholar]
- Hyman, L.H. The polyclad flatworms of the Pacific coast of North America. Bull. Am. Mus. Nat. Hist. 1953, 100, 265–392. [Google Scholar]
- Salgado-Maldoonado, G.; López-Jiménez, S. Observaciones Sobre Turbelaridos del Género Stylochus (Polycladida: Stylochidae) Recolectados en Bancos Ostrícolas de San Blas, Nayarit. Descripción de Una Nueva Especie; Anales del Instituto de Biología; Serie Zoología; UNAM: Mexico City, Mexico, 1980; Volume 51, pp. 11–28. [Google Scholar]
- Marcus, E.D.B.-R.; Harry, H.W. A polyclad turbellarian from oysters in the Gulf of California. Bol. Zool. 1982, 7, 171–180. [Google Scholar] [CrossRef][Green Version]
- Pineda-López, R.; González-Bulnez, L. Turbelarios de México II. Descripción de un Género y Especie Nuevos de Policládidos Ectocomensales de Arqueogasteropodos del Pacífico Mexicano; Universidad y Ciencia: San José, Costa Rica, 1984; Volume 1, pp. 25–33. [Google Scholar]
- Ramos-Sánchez, M.; Bahia, J.; Bastida-Zavala, J.R. New genus, new species and new records of marine acotylean flatworms (Platyhelminthes: Polycladida: Acotylea) from Oaxaca, southern Mexican Pacific. Zootaxa 2019, 4700, 30–58. [Google Scholar] [CrossRef]
- Ramos-Sánchez, M.; Bahia, J.; Bastida-Zavala, J.R. Five new species of cotylean flatworms (Platyhelminthes: Polycladida: Cotylea) from Oaxaca, southern Mexican Pacific. Zootaxa 2020, 4819, 49–83. [Google Scholar] [CrossRef]
- Bolaños, D.M.; Quiroga, S.Y.; Litvaitis, M.K. Five new species of cotylean flatworms (Platyhelminthes: Polycladida) from the wider Caribbean. Zootaxa 2007, 1650, 1–23. [Google Scholar] [CrossRef]
- Faubel, A. The Polycladida, Turbellaria. Proposal and establishment of a new system. Part II. The Cotylea. Mitt. Hamb. Zool. Mus. Inst. 1984, 81, 189. [Google Scholar]
- Sonnenberg, R.; Nolte, A.W.; Tautz, D. An evaluation of LSU rDNA D1-D2 sequences for their use in species identification. Front. Zool. 2007, 4, 6. [Google Scholar] [CrossRef]
- Larsson, K.; Jondelius, U. Phylogeny of Catenulida and support for Platyhelminthes. Org. Divers. Evol. 2008, 8, 378–387. [Google Scholar] [CrossRef]
- Gosliner, T.M.; Behrens, D.W.; Williams, G.C. Coral Reef Animals of the Indo-Pacific; Sea Challengers: Monterey, CA, USA, 1996; p. 288. [Google Scholar]
- Tyler, S.; Schilling, S.; Hooge, M.; Brush, L. Turbellarian Taxonomic Database. Database 2006–2024, Version 2.07. Available online: http://turbellaria.umaine.edu (accessed on 17 January 2025).
- Brusca, R. Common Intertidal Invertebrates of the Gulf of California; University of Arizona Press: Tucson, AZ, USA, 1980; p. 513. [Google Scholar]
- Marquina, D.; Aguado, M.T.; Norena, C. New records of Cotylea (Polycladida, Platyhelminthes) from Lizard Island, Great Barrier Reef, Australia, with remarks on the distribution of the Pseudoceros Lang, 1884 and Pseudobiceros Faubel, 1984 species of the Indo-Pacific Marine Region. Zootaxa 2015, 4019, 354–377. [Google Scholar] [CrossRef] [PubMed]
- Faubel, A. The Polycladida, Turbellaria. Proposal and establishment of a new system. Part I. The Acotylea. Mitt. Hamb. Zool. Mus. Inst. 1983, 81, 17–121. [Google Scholar]
- Litvaitis, M.K.; Bolaños, D.M.; Quiroga, S.Y. Systematic congruence in Polycladida (Platyhelminthes, Rhabditophora): Are DNA and morphology telling the same story? Zool. J. Linn. Soc. 2019, 186, 865–891. [Google Scholar] [CrossRef]
- Prudhoe, S. A Monograph of Polyclad Turbellaria; British Museum (Natural History): London, UK; Oxford University Press: Oxford, UK, 1985; p. 259. [Google Scholar]
- Velasquez, X.; Bolanos, D.M.; Benayahu, Y. New records of cotylean flatworms (Platyhelminthes: Polycladida: Rhabditophora) from coastal habitats of Israel. Zootaxa 2018, 4438, 237–260. [Google Scholar] [CrossRef]
- Newman, L.J.; Cannon, L.R.G. Colour pattern variation in the tropical flatworm Pseudoceros with descriptions of three new species. Raffles Bull. Zool. 1995, 43, 435–446. [Google Scholar]
- Marcus, E. Turbellaria Brasileiros 7; Departamento de Zoologia, Universidade de São Paulo: São Paulo, Brazil, 1949; Volume 14, pp. 7–155. [Google Scholar]
- Marcus, E.D.B.-R.; Marcus, E. Polycladida from Curaçao and faunistically related regions. Stud. Fauna Curaçao Other Caribb. Isl. 1968, 26, 1–133. [Google Scholar]
- Ezcurra, E.; Aburto-Oropeza, O.; De Los Ángeles Carvajal, M.; Cudney-Bueno, R.; Torre, J. Gulf of California, Mexico. In Ecosystem-Based Management for the Oceans; Island Press: Washington, DC, USA, 2009; pp. 227–252. [Google Scholar]






| Species | Museum Code | Locality | 28S rDNA |
|---|---|---|---|
| Pseudobiceros | |||
| Pseudobiceros deliae sp. nov. | ICML-EMU-13992 (holotype) | La Gaviota Island | PV040788 |
| Pseudobiceros deliae sp. nov. | ICML-EMU-13993 (paratype) | Clarion Island | PV040792 |
| Pseudobiceros deliae sp. nov. | ICML-EMU-13994 (paratype) | Punta Esmeralda | PV040790 |
| Pseudobiceros deliae sp. nov. | ICML-EMU-13998 (paratype) | Bahía de Los Ángeles | PV040789 |
| Pseudoceros | |||
| Pseudoceros josei Newman and Cannon, 1998 | ICML-EMU-13995 | La Ventana Beach | PV040791 |
| Pseudoceros josei Newman and Cannon, 1998 | - | Panteón Beach | PV040793 |
Disclaimer/Publisher’s Note: The statements, opinions and data contained in all publications are solely those of the individual author(s) and contributor(s) and not of MDPI and/or the editor(s). MDPI and/or the editor(s) disclaim responsibility for any injury to people or property resulting from any ideas, methods, instructions or products referred to in the content. |
© 2025 by the authors. Licensee MDPI, Basel, Switzerland. This article is an open access article distributed under the terms and conditions of the Creative Commons Attribution (CC BY) license (https://creativecommons.org/licenses/by/4.0/).
Share and Cite
Coria, A.A.G.; Bolaños, D.M.; Galván-Tirado, C.; Sánchez, C.; Quiroga, S. Color Pattern Similarities Revealed: Two Pseudocerotids (Polycladida: Cotylea) from the Mexican Pacific with the Description of a New Species. Taxonomy 2025, 5, 8. https://doi.org/10.3390/taxonomy5010008
Coria AAG, Bolaños DM, Galván-Tirado C, Sánchez C, Quiroga S. Color Pattern Similarities Revealed: Two Pseudocerotids (Polycladida: Cotylea) from the Mexican Pacific with the Description of a New Species. Taxonomy. 2025; 5(1):8. https://doi.org/10.3390/taxonomy5010008
Chicago/Turabian StyleCoria, Adair A. G., D. Marcela Bolaños, Carolina Galván-Tirado, Carlos Sánchez, and Sigmer Quiroga. 2025. "Color Pattern Similarities Revealed: Two Pseudocerotids (Polycladida: Cotylea) from the Mexican Pacific with the Description of a New Species" Taxonomy 5, no. 1: 8. https://doi.org/10.3390/taxonomy5010008
APA StyleCoria, A. A. G., Bolaños, D. M., Galván-Tirado, C., Sánchez, C., & Quiroga, S. (2025). Color Pattern Similarities Revealed: Two Pseudocerotids (Polycladida: Cotylea) from the Mexican Pacific with the Description of a New Species. Taxonomy, 5(1), 8. https://doi.org/10.3390/taxonomy5010008

