Highlights
What are the main findings of the study?
- This study presents a qualitative digital workflow integrating Digital Smile Design (DSD) with CAD/CAM technologies for the design and fabrication of dental preparation guides.
- The proposed approach demonstrates the feasibility of producing preparation guides through both subtractive and additive manufacturing methods, focusing on workflow implementation rather than quantitative validation.
- Descriptive model-based evaluation illustrates reproducible guide fabrication, appropriate guide adaptation, and effective transfer of digitally planned preparation parameters.
- Additionally, the workflow highlights the role of digital preparation guides in facilitating communication between clinicians and dental technicians during restorative planning.
What are the limitations and needs for future research?
- The study also identifies the need for future investigations incorporating objective measurements, statistical analysis, and long-term clinical assessment to validate and expand these findings.
Abstract
Objectives: The aim of this study was to present and describe a digital workflow integrating Digital Smile Design (DSD) with computer-aided design/computer-aided manufacturing (CAD/CAM) and additive manufacturing technologies for the fabrication of dental preparation guides, focusing on workflow feasibility, design reproducibility, and clinical handling. Materials and Methods: A digital workflow was implemented using intraoral scanning and Exocad DentalCAD 3.1 Elefsina software to design dental preparation guides based on digitally planned restorations. Preparation margins, insertion paths, and minimal material thickness were defined virtually. The guides were fabricated using both subtractive (PMMA milling) and additive (stereolithographic-based 3D printing) manufacturing techniques. Post-processing included chemical cleaning, support removal, additional light curing, and manual finishing. The evaluation was qualitative and descriptive, based on visual inspection, workflow performance, and guide adaptation to printed models. Results: The proposed digital workflow was associated with consistent fabrication of preparation guides and predictable transfer of the virtual design to the manufactured guides. Digital planning facilitated clear visualization of preparation margins and insertion axes, supporting controlled and minimally invasive tooth preparation. The workflow demonstrated good reproducibility and efficient communication between clinician and dental technician. No quantitative measurements or statistical analyses were performed. Conclusions: Within the limitations of this qualitative feasibility study, the integration of DSD with CAD/CAM and 3D printing technologies represents a viable digital approach for designing and fabricating dental preparation guides. The workflow shows potential for improving predictability and communication in restorative dentistry.
1. Introduction
Restorative dental procedures aim to re-establish oral function and aesthetics while preserving as much of the healthy tooth structure as possible [1]. Achieving this balance requires careful planning of tooth preparation, margin design, and restorative contours. This is particularly important in anterior regions where functional and aesthetic demands are high. Conventional techniques such as diagnostic wax-ups, mock-ups, and provisional restorations have been used to support treatment planning and communication; however, these approaches rely heavily on manual interpretation and operator experience [2,3,4,5].
Advances in digital dentistry are associated with the integration of virtual planning tools into restorative workflows. Digital Smile Design (DSD) represents a structured digital approach that combines clinical photographs, video recordings, and digital models to visualize the intended restorative outcome. It also is used to relate the dental parameters to facial and soft-tissue features. Previous studies have reported that DSD may support treatment planning, interdisciplinary communication, and patient understanding by providing a visual representation of the proposed outcome. Nevertheless, the translation of digitally planned designs into controlled and reproducible tooth preparation remains a practical challenge [2,3,4,5].
Computer-aided design and computer-aided manufacturing (CAD/CAM) technologies have expanded the possibilities for transferring digital planning into clinical and laboratory procedures. In restorative dentistry, CAD/CAM systems allow the design and fabrication of restorations, provisional prostheses, and auxiliary devices such as preparation guides. The dental preparation guides are intended to assist clinicians, by providing reference structures for margin location, reduction depth, and insertion axis during tooth preparation. When appropriately designed, such guides may support conservative preparation strategies and reduce operator-dependent variability. However, their clinical performance and accuracy depend strongly on the design workflow and manufacturing method [6,7].
Preparation guides can be fabricated using subtractive manufacturing techniques, such as milling from polymethyl methacrylate (PMMA), or additive manufacturing techniques, including stereolithography-based 3D printing. Both approaches have been applied in dental applications, each with specific advantages and limitations related to material properties, manufacturing resolution, and post-processing requirements. While several studies have investigated guided preparation techniques and reported quantitative outcomes such as marginal gaps or reduction depth deviations, these investigations often focus on specific guide designs or experimental setups, rather than on the feasibility of integrating guided preparation within a complete digital planning workflow [7,8,9,10,11].
Despite the growing body of literature on digital workflows and guided techniques, there remains a need for studies that clearly describe and critically assess the implementation of integrated digital workflows, from virtual smile design to the fabrication of preparation guides. In particular, the transparent reporting of workflow feasibility, reproducibility, and limitations is essential to contextualize future quantitative validation studies and clinical trials [4,7,8].
Therefore, the aim of the present study was to describe and evaluate a fully digital workflow integrating Digital Smile Design with CAD/CAM and additive manufacturing technologies for the fabrication of dental preparation guides. The investigation was designed as a qualitative technical feasibility study, focusing on workflow implementation, guide fabrication, and the descriptive assessment of guide adaptation, without performing quantitative accuracy measurements or statistical comparisons.
2. Materials and Methods
2.1. Study Design
This study was designed as a qualitative technical feasibility study aimed at describing and assessing a fully digital workflow for the design and fabrication of dental preparation guides. The evaluation focused on workflow implementation, design reproducibility, and guide adaptation. No control group was included, and no quantitative statistical analysis was performed.
2.2. The Manufacturing of the Preparation Guides and the Printed Models
To fabricate the PMMA preparation guides, digital design software was required. In this study, Exocad DentalCAD 3.1 Elefsina was used for this purpose.
A UNIZ 3D printer (UNIZ Technology LLC, San Diego, CA, USA) was used to print the models, together with the resin recommended by the manufacturer. After receiving the intraoral scans, a Geller model with removable abutments was generated. The model parameters were configured, including the insertion and extraction axes for each removable abutment.
The guides were milled using a VHF K5+ mill (VHF Camfacture AG, Ammerbuch, Germany) from a PMMA-RAT 100 blank (shade A1, with a diameter of 100 mm, generic PMMA CAD/CAM discs sourced through a dental materials supplier).
Following the acquisition of the intraoral scans from the dental office (Figure 1a,b), a digital diagram and an initial case analysis were conducted. Subsequently, the material for milling the preparation guide was selected.
Figure 1.
(a) Evaluation of the initial maxillary situation. (b) Evaluation of the initial mandibular situation.
After carefully adjusting the digital contours of the bases, virtual models were generated, marking the beginning of the design phase for the future preparation guide. Once the model was scanned, the actual design process began. The design process started with defining the preparation margins. After all margins were established, the path of insertion and removal for the restorations was determined. In Figure 2a,b, the green arrows indicate a correct axis, while the red arrows signal an incorrect determination. Next, the parameters were selected to define the minimum thickness of the guide (Figure 3a,b).
Figure 2.
(a) Insertion axis selection for the maxillary arch. (b) Insertion axis selection for the mandibular arch.
Figure 3.
(a) Final digital design of the preparation guide prior to milling. (b) Placement of support connectors.
After verifying the guide, it was transferred into PlanCAM 3 software, where it was positioned within the PMMA blank and connected to the support bars. The selection of the blank was based on the height of the restorations, and the positioning was carried out within the available space. In the case of previously initiated blanks, they were recognized based on their lot and name.
It was essential that the guide did not exceed the contour of the PMMA disc and did not interfere with other restorations positioned simultaneously.
The models were positioned to facilitate no overlap between them, using the manufacturer’s software (UNIZ Desktop software). Following this step, the support structures were generated, and the file was processed for printing. The finalized file was then sent to the UNIZ 3D printer, which operates based on stereolithography (SLA) technology. The printer utilized a biocompatible resin, and the light curing of the resin layers was achieved using a laser beam (Figure 4a,b, Figure 5 and Figure 6).
Figure 4.
(a) UNIZ 3D printer used for model fabrication. (b) Biocompatible resin employed during printing.
Figure 5.
Preview and preparation of the models.
Figure 6.
Models printed on the building platform.
The subsequent steps involved post-processing, a critical phase in the 3D printing workflow. First, the printed models and removable abutments were immersed in a chemical alcohol bath, a procedure designed to remove any uncured resin residues, which may remain on the surfaces following the printing process. This ensures that the components are thoroughly cleaned and free from any excess material that could compromise the accuracy or performance.
Following the cleaning stage, the support structures, which were previously generated to stabilize the models during printing, were carefully removed. Eliminating these structures is necessary to achieve a smooth finished appearance and to prepare the models for clinical or laboratory use.
The final step involved additional light curing in a dedicated curing chamber, which completed the polymerization process and enabled the models to attain their optimal mechanical properties. This enhanced curing step was essential for ensuring long-term stability and durability. Collectively, these post-processing procedures were necessary for the finalization and refinement of the 3D-printed models (Figure 7a,b).
Figure 7.
(a) Milling of the preparation guide from a PMMA blank. (b) Processing of the support pins.
Following the removal of the guide from the PMMA blank and the detachment of the support pins, the guide was finished using rotary instruments to refine its contours, enhance aesthetics, and achieve smooth surfaces. Polishing was an essential step in this process and was performed manually using a fine polishing brush to facilitate optimal surface quality (Figure 7a,b).
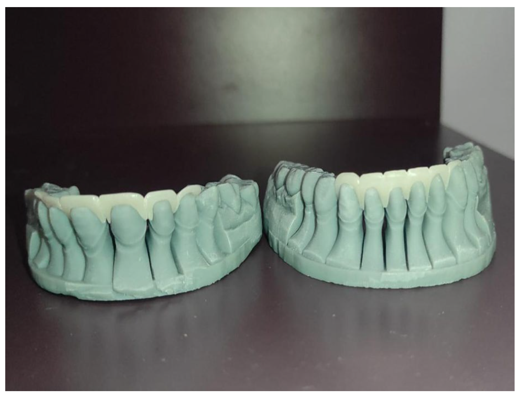
The fabricated guides were positioned on the printed models for qualitative assessment (Figure 8). Visual inspection was performed to evaluate the guide seating, adaptation, margin correspondence, and overall handling. Three-dimensional reconstructions of the models and guides were generated for descriptive cross-sectional analysis of preparation geometry and spatial relationships. Measurements were recorded descriptively to document the observed ranges but were not subjected to inferential statistical analysis.
Figure 8.
Final aspect of the digitally fabricated dental preparation guides on the printed models.
2.3. Imaging Analysis
For the imaging analysis of the samples, a Zeiss Metrotom 1 micro-CT system (Carl Zeiss Industrielle Messtechnik GmbH, Oberkochen, Germany) was used. The samples were analyzed using the following parameter set: maximum voltage of 150 kV, power of 50 W, exposure time of 500 ms, and a resolution of 3008 × 2512 pixels (Figure 9).
Figure 9.
Zeiss Metrotom 1 microCT system.
After positioning the samples on the scanning holder, the printed models were scanned together with the preparation guides placed on the teeth. During the analysis, approximately 3000 cross-sectional slices of the models were acquired, followed by the generation of three-dimensional reconstructions (Figure 10a,b).
Figure 10.
X-ray preview of the (a) maxillary and (b) mandibular guides.
After generating the three-dimensional reconstructions, Micro-CT imaging was used solely for the qualitative visualization of the guide–tooth spatial relationships and detection of gross manufacturing defects; no quantitative deviation or accuracy analysis was performed (Figure 11a,b).
Figure 11.
Three-dimensional reconstruction of the (a) maxillary and (b) mandibular preparation guides.
3. Results
The application of the digital workflow integrating Digital Smile Design (DSD), CAD/CAM design, and additive and subtractive manufacturing techniques enabled the fabrication of dental preparation guides that corresponded to the virtual restorative planning.
The generated guides demonstrated consistent adaptation to the printed models when positioned on the simulated abutments. Visual inspection confirmed that the preparation margins and insertion axes defined during the digital design phase were transferred to the fabricated guides without observable discrepancies, and there was no interference with guide seating or stability.
Three-dimensional reconstructions of the printed models and guides were used for descriptive analysis of the preparation geometry. Cross-sectional evaluation allowed visualization of the spatial relationship between the guide and the prepared tooth surfaces. The measured distances between the guide and the prepared surfaces varied across different teeth and regions, with values reported descriptively to illustrate the internal consistency of the guide geometry rather than to establish the quantitative accuracy (Figure 12a,b).
Figure 12.
The measurements of the preparations performed on the tooth surfaces of the (a) maxillary and (b) mandibular models.
The three-dimensional reconstructions were analyzed to visually inspect the preparation geometry and to identify gross manufacturing irregularities. For the dimensional analysis of the dental preparations, three measurements were performed in three vestibular positioned areas on the tooth surfaces. Specifically, measurements were taken at the mesial, central, and distal regions of the vestibular surface of each tooth in the presented dental preparations (Table 1 and Table 2).
Table 1.
Maxillary dental preparation measurements (mm).
Table 2.
Mandibular dental preparation measurements (mm).
No statistical analysis was performed, and the reported measurements were not used for inferential comparison. The data served solely to document the range of values observed within the fabricated guides.
The models, together with the preparation guides, were sectioned at the level of each tooth, and the distance between the guide and the resulting dental preparation was measured. The linear distances between the inner surface of the fabricated dental preparation guides and the corresponding tooth surfaces were measured on cross-sectional views of the three-dimensional models, are reported descriptively in millimeters, and do not represent accuracy or validation metrics, without inferential statistical analysis (Figure 13 and Figure 14, Table 3 and Table 4).
Figure 13.
Maxillary teeth and guide section. The green areas represent the digital preparation guide, while the grey structures represent the maxillary teeth.
Figure 14.
Mandibular teeth and guide sections with measurements. The green areas represent the digital preparation guide, while the grey structures represent the mandibular teeth.
Table 3.
The measurements of the distances between the teeth and the maxillary dental preparation guide (mm).
Table 4.
The measurements of the distances between the teeth and the mandibular dental preparation guide (mm).
During the inspection of the printed models, localized printing-related defects were identified within the resin structures. The dimensions of these defects ranged between approximately 0.1 mm and 1.8 mm (Figure 15). These observations did not prevent guide fabrication or placement but were recorded as part of the descriptive evaluation of the manufacturing process.
Figure 15.
The defects present in the resin structures of the printed material. Green surfaces represent the evaluated preparation guide, and blue surfaces represent the reference digital model.
From a workflow perspective, the digital process allowed uninterrupted transition from virtual planning to guide fabrication. No major manufacturing failures occurred. Minor manual interventions were limited to routine post-processing steps, including support removal and surface polishing.
Overall, the results demonstrate that the proposed digital workflow enabled reproducible guide fabrication and consistent transfer of digital design parameters to the physical guides, as observed during visual inspection, within the qualitative scope of this study.
4. Discussion
The present study aimed to describe and assess the feasibility of a fully digital workflow integrating Digital Smile Design (DSD), CAD/CAM technologies, and additive manufacturing for the fabrication of dental preparation guides. The findings of this work are limited to qualitative observations related to the workflow implementation, guide fabrication, and design transfer and should be interpreted within this scope.
Within the conditions of this study, the digital workflow was associated with the consistent fabrication of preparation guides and the predictable transfer of virtual design parameters—such as preparation margins and insertion axes—to the physical guides. Visual inspection and descriptive evaluation confirmed that the guides could be positioned stably on the printed models and that the digitally planned geometry was preserved throughout the fabrication and post-processing [11,12,13,14,15].
Importantly, this study did not aim to quantify the preparation accuracy, marginal gaps, or enamel reduction, nor to compare guided and conventional techniques. Therefore, the results should not be interpreted as evidence of clinical superiority or quantitative accuracy, but rather as confirmation of workflow feasibility and reproducibility [6,7].
Previous studies have reported that digitally guided workflows can achieve favorable marginal adaptation, controlled reduction depths, and reduced operator-dependent variability when compared with conventional approaches. Quantitative investigations have reported marginal gap values for CAD/CAM restorations that fall within clinically acceptable ranges, as well as supported control of preparation depth when reduction guides are used [1,4,6].
Additionally, recent studies employing digital intraoral scanning and volumetric analysis have shown that digital workflows can be used to assess morphological changes and tissue preservation using quantitative volumetric and deviation-based analyses. Such methodologies, including volumetric contour assessment and three-dimensional deviation analysis, represent objective tools that may be applied in the future validation of digitally fabricated preparation guides [16,17].
While these findings support the theoretical advantages of digital workflows, it is important to emphasize that the present study did not directly measure these parameters. Consequently, the literature data are referenced here exclusively to contextualize the described workflow and should not be interpreted as validation of the outcomes of the present investigation.
4.1. Contextualization with the Existing Literature
One of the main advantages of the digital workflow (namely, on margin delineation and vector feedback with Exocad DentalCAD 3.1 Elefsina) is that it allows controlled margin delineation and insertion axis planning during the digital design phase. Some of the features of this result are clarified by comparison to the known literature [8,17,18].
In the present work, guides were used to obtain close control over the margin limits and insertion paths that would reduce deviations from the desired shape. This is a one-parameter control, which is crucial for controlled geometry seating restorations and achieving a good marginal fit. The real-time vector feedback system (green and red) enabled recognition of areas where there was likely a planning unit misalignment or undercut, which would have resulted in over-irradiation or under-treatment of the margin(s). The observed consistency of the margin design reflects controlled digital planning at the guide level. However, no conclusions regarding restoration marginal gaps or clinical fit can be drawn from the present observations.
In order to confirm such qualitative observations, it is instructive to compare with the published numerical results. For example, Dudley et al. [19] reported mean marginal gap values below the commonly accepted clinical thresholds for CAD/CAM-fabricated crowns, highlighting the potential of digitally manufactured restorations when evaluated quantitatively.
In another study, Rödiger et al. observed average marginal gap distances of 46.9 ± 23.1 µm cp titanium copings and 48.4 ± 29.7 µm Co-Cr copings made with CAD/CAM technology in an “as-machined” condition [20]. Studies of ceramic systems have also demonstrated that marginal discrepancies generally remain well below the clinical threshold of 120 µm, with many systems consistently scoring in the 40–70 µm range. This would correspond closely with the clinically acceptable ranges reported in the literature and underpin the assumption that digital workflows can reliably produce the restoration of clinically acceptable ranges of marginal fit.
The average marginal gaps reported in a study considering different preparation designs were nearly 25.1 µm for the bevel finishing line and approximately 36.0 µm for the shoulder finishing line when applying a certain CAD/CAM protocol [21].
A current study on inlays by Taha and Elshirbini (2023) [22] indicated marginal gap/range values for three different CAD/CAM materials before thermocycling, and the results depended on the material used. After aging, the marginal gaps increased, and the material type used and in/stability may affect the marginal fit [22].
Recent investigations have demonstrated that digital intraoral scanning combined with three-dimensional volumetric analysis can provide an objective quantification of morphological changes in restorative and implant workflows. For example, Menchini-Fabris et al. employed serial digital scans to assess the volumetric contour changes around immediate implants, illustrating the potential of such methodologies for evaluating the tissue behavior and morphological reproducibility [23]. While these approaches highlight robust quantitative validation strategies within digital dentistry, they were not applied in the present study. Nevertheless, volumetric analysis based on digital scans represents a relevant methodological framework for future investigations aimed at objectively validating guided preparation workflows and their impact on tissue preservation.
Previous studies have reported marginal gap values within clinically acceptable thresholds for CAD/CAM-fabricated restorations, usually within a few tens of micrometers. These literature values provide contextual benchmarks for future quantitative studies but are not comparable to the qualitative observations of the present investigation.
However, many of the published studies have measured complete restorations (e.g., crown or coping) and not the guides. The progression from guide to final restoration adds additional sources of error such as the influence of cement spacers and manufacturing tolerances.
It is important to emphasize that the present study did not assess the marginal gaps of restorations, and no conclusions regarding restoration fit can be drawn from the guide-related observations reported here.
4.2. Workflow Integration and Communication
One of the notable observations of this study was the role of digital preparation guides as a communication tool between clinicians and dental technicians. By embedding preparation margins, insertion axes, and material thickness requirements within a single digital file, the workflow facilitated clearer transfer of information and reduced reliance on subjective interpretation.
From a clinical perspective, digital visualization of the planned outcome may enhance patient understanding and treatment acceptance. However, such benefits were observed qualitatively and were not evaluated using patient-reported outcome measures in this study.
The findings of the present study show that the digital process from intraoral scanning to guide fabrication and post-processing was observed to reduce reliance on subjective interpretation during the planning and fabrication stages. By organizing the procedures and simplifying steps in a sequence, this digital protocol minimized the number of manual adjustments and supported more standardized execution of the workflow across operators. The workflow was observed to reduce reliance on subjective interpretation during planning and fabrication, which may support more standardized execution across operators. As many classic error-prone tasks are not needed or are automated (wax-up, manual adjustment, impression casting), we obviously gain in time and homogeneity. These qualitative findings are in line with the quantitative benefits other studies have observed in time-savings and reproducibility [23,24,25].
Several studies have compared digital vs. traditional workflows in prosthodontic and prosthetic restorations. For instance, Bessadet et al., through a scoping review and meta-analysis established that digital workflows reduce the laboratory time to some extent but do not always influence the duration of impressions or scanning methods in general [26]. Similarly, from a different comparative study of digital impressions for fixed prostheses, which revealed that technology was tested in only nine studies, the digital impression procedures were reported to save time as compared with conventional impressions in seven out of nine (p < 0.05) [27].
The clinical crossover study by Joda and Brägger offered conclusive evidence that digital workflows can save substantial chair time when compared with conventional techniques [28].
In vitro results by Strömeyer et al. compared digital in-office or in-lab and conventional workflow for single units [29]. Printing of the impression took approximately 10 min and 39 s using the traditional protocol, and the digital in-office workflow from scanning to designing, milling, and finishing was completed between 43 and 59 min depending on the specific machine. The real “pure work time” was thought to be 15–23 min. The authors also noted that the inter-office times associated with digital and conventional workflows were similar, but the extra design and milling times required by in-house systems added to the overall time spent in the office.
For implant guide making, in Donker et al. [15], dental students and experienced clinicians used a digital workflow rather than conventional guide fabrication procedures [30].
Several studies have reported reductions in laboratory or chairside time when digital workflows were compared with conventional methods, although the magnitude of these differences varies depending on the study design and workflow configuration [26,27,28,29].
Although time savings is an obvious benefit, the second most important advantage of digital workflows is their repeatability between operators. As the software protocols have predefined rules, there is much less room for subjective interpretation, related to margin delineation, insertion axis planning, and guide design. In terms of fingerprint reproducibility, although it is increasingly demonstrated that a digital system yields an inter-operator variability lower than the traditional technique [31], some in vivo investigations also showed poor three-dimensional captures.
Corsalini et al. performed a randomized clinical trial on all-digital, hybrid, and conventional analogue processes [32]. The outcomes also confirmed the higher values of the digital method compared with those presented by PVS, both in terms of the marginal discrepancy and impression time with respect to the material. The guide manufacturing work by Donker et al. also indirectly confirmed the reproducibility: if both novices and experienced clinicians performed faster with digital techniques, this may indicate that the technique reduces the variability in operator-dependent phases [30].
The trend in reduced operator dependence observed qualitatively is supported by the literature, which often reports reduced variability between different operators when using standardized digital procedures.
However, there are some further considerations. The time advantage of digital systems can be equilibrated by the design, milling, or machine downtime where the operator has to wait, which is why, in general, the total “in-office” duration is not always much shorter, as Strömeyer et al. [29] pointed out. Furthermore, user experience may also have an impact: experienced users with digital systems perform significantly better than inexperienced ones, which indicates that reproducibility might also be affected by the training. Finally, some steps of the process, such as guide finishing and post-processing, are still performed by human intervention; therefore, a completely “operator-independent” workflow has not been achieved yet.
4.3. Preservation of Tooth Structure
The CAD/CAM-created guides supported the planning of conservative preparation geometries during the digital design phase. Feedback, depth, and insertion axes of software also keep unnecessary bone removal to a minimum by creating a uniform restorative space necessary for prosthetic stability [33,34,35,36].
Supporting evidence is provided by an in vitro study reporting that 3D-printed “auto-stop” guides have had the smallest mean deviation from the planned depth (~0.05 mm) compared to silicone guides (0.12–0.16 mm). Notably, all guided procedures yielded lower scores than freehand preparations, suggesting the potential of guided systems to reduce the deviation from planned reduction depths in experimental settings [37].
Analyses of studies comparing freehand and 3D guides and related components yielded freehand deviations of approximately 0.23 mm, with a range for 3D- (auto-stop, uniform) specific guide-based deviation between 0.06 and 0.09 mm. This is a 60–75% reduction in depth error when guided methods are applied [38].
The association between enamel preservation and bond strength was demonstrated in a controlled study that used varying amounts of preserved enamel (0% to 100% of the preparation surface). The preparations maintained 40% enamel at a minimum shear bond strength of approximately l7-20 MPa, whereas the reduction to or below 20% resulted in bond strengths below clinical requirements. At each end, the preparations with full coverage retained values close to 20 MPa and those with no enamel about 10 MPa [39].
The 3D-printed or constraint-based reduction guides result in preparations that are consistently closer to the digital plan and less varied than manual techniques, as confirmed by recent experimental studies and narrative analyses [40].
It should be said that direct volume-based comparisons of tissue removal in guided vs. manual preparations are still largely missing from the literature. The majority of existing studies on this relation use linear differences in millimeters or the percentage of enamel preserved, as opposed to a method recording the actual amount of tooth structure removed. Nevertheless, the persistent observation of a 60–75% decrease in depth deviation using guided techniques clearly supports the hypothesis that guided preparation techniques may reduce unnecessary tooth reduction when evaluated using quantitative methods [37,38].
Guided preparation techniques have been reported to reduce the deviation from planned reduction depths in experimental studies, which may support enamel preservation when evaluated quantitatively [39]. By keeping the depth errors at a low level, guided techniques minimize the chance of localized over-preparation (especially in cervical locations), as the dentin is vital, and the long-term health of teeth is more easily protected.
4.4. Clinical Integration and Communication
In the present study, the combined preparation guides included all prosthetic guidelines (margins, insertion axes, and restoration thicknesses) as a unified digital file. This integrated system increased the quality of communication from clinician to technician, aimed at reducing the required number of equilibrations, and diminished the potential for misunderstanding. On the patient’s end, visual representations of the desired results increase comprehension of the treatment plan. Transparency creates trust, relieving anxiety and, in many instances, resulting in higher acceptance rates. These qualitative observations are also in agreement with the empirical findings reported in previous digital dentistry works [41,42,43]. For instance, the contents of one systematic comparison of analog and digital workflows revealed that the range for average patient satisfaction was highest for patients treated with digital CADCAM compared to conventionally processed restorations [44].
When comparing impression methods, a meta-analysis on patient-reported outcomes proved digital impressions to enhance overall satisfaction significantly and decrease vomiting/nausea and discomfort in contrast to conventional methods [45].
For example, Bahammam et al. (2021) had 50 orthodontic patients and concluded that most of the subjects in their study preferred digital impressions over conventional ones, particularly in terms of the time during the procedure, as well as the taste/smell and the global sensitivity related to the method used (p < 0.05) [46].
Since all of the design parameters are saved in the digital file (e.g., STL or native CAD formats), technicians are able to fabricate restorations with more controlled geometry and less dependence on estimation or subjective interpretation of prescriptions. This helps to eliminate remakes and decreases the number of repeated adjustments. The digital format also enables real-time teamwork: the dentist, his or her assistant, and the lab technician can all look at the same visual files, make notes on top of them, and modify margin lines or material thickness, along with a production time to avoid conflicts before the restoration is finally made. Added to this are the errors inherent in transfers; the impression distortion, shipping delays, or physical changes in remounting, which frequently require dialogue and correction. In multidisciplinary situations (e.g., periodontics, orthodontics, prosthodontics), a common digital model can be used as an aid in depicting margins and contours and in relating occlusion from one discipline to the other without the need for physical models.
However, it must be noted that a significant portion of the literature published on patient satisfaction focuses on digital versus conventional impressions, rather than fully guided training workflows or integrated DSD and guidance systems. The step from digital impressions to fully guided protocols is not straightforward, and the direct translation of the conclusions should be treated carefully. The novelty of digital tools may also play a role in patient satisfaction, and anticipatory expectations might affect the initial impressions. Thus, longer-term evaluation is warranted. These findings relate primarily to impression and communication workflows and cannot be directly extrapolated to the guided preparation protocol described in the present study. Lastly, issues of cost and infrastructure (e.g., software licenses, file compatibility, and technician experience) may present a barrier to broader adoption particularly in low-resource settings.
4.5. Educational and Planning Implications
Digital guides have a didactic contribution in this study too, by showing, in a physical and visual way, the margin design, reduction paths, or insertion axes. This bidirectional nature of their function reveals the potential usefulness in educational environments, since trainees can directly compare ideal and real preparations, allowing for the internalization of best practices. Virtual models and digital planning also aid in this process by offering a manipulable reference template that can be modified without altering the clinical setting, which is an advantage particularly for complex diagnoses.
As guides restrict and normalize training, patterns of errors become more apparent. Trainees can see where they make a mistake and adjust immediately—essentially aiding in improving their learning curve. In this regard, guides serve as ‘scaffolds’—support that can be progressively removed to facilitate learning, in our case, trainees.
Although the literature on guidelines for educational preparation is still scarce [47,48], there are indications from related areas such as digital measurement, simulation, and guided protocols. For example, in preclinical surgical training, a study examined self-assessment software that scanned students’ preparations digitally and compared them with gold standard tooth models with tolerance ranges of 100–500 µm by the same system; the outcomes were quite similar to that conducted by teachers: in class I preparation, at a judge standard of 300 µm, the average difference was only 1.64 points on a 100-point scale; whereas for a class II preparation model at a tolerance range of 400 µm, each value equated to −0.41 in variation from the original judges. These findings suggest that digital assessment tools can provide reliable and objective feedback, similar to the way a teacher conducts assessments [49].
In the broader context of digital dental measurements, a systematic review and meta-analysis reported high intra-examiner reproducibility and adequate absolute measurement of digital models compared with conventional ones. These results support the capability of digital tools as a reliable aid for measurement activities and educational practices [50].
Although focused on surgical guides, three implant planning software systems were evaluated based on their ability to reproduce deviations in the drilling depth, angulation, and 3D space. The findings showed that standardized digital guide systems can reduce the error dissemination between different software systems [51].
These results suggest that digital guidance systems used in implantology and restorative dentistry may help minimize operator-dependent variability, thereby standardizing treatment outcomes. When integrated with training, it is also advantageous in education by providing trainees with structured reproducible tools.
Training with digital guides can enable students to vividly visualize the perfect reduction plane and quickly identify where it diverges. Over time, this might lower the error rates and increase the confidence in transitioning to freehand interventions. Digital scans enable the comparison of student work with the prescribed model and provide instant objective measurements to support progress beyond subjective instructor feedback/grading. For more complex cases or borderline decisions, before resorting to invasive measures, “dry” simulations with virtual models and guides can be performed, allowing teams to explore different alternatives. By sharing these digital files easily between specialties—prosthodontics, periodontics, orthodontics—they are also facilitating a more integrated and predictable planning.
However, there is negative evidence regarding the use of reduction guides in dental education. The majority of existing studies relate to implant or measurement situations and not on the preparation of teeth. Teachers also need to balance the risk that students will over-rely on guides and so impede the development of vital tactile judgment. Additionally, not all dental schools or teaching clinics are equipped with the hardware (such as scanners, design software and 3D printers) that would allow routine inclusion of these devices in training. In the future, exercise studies must result in measurable endpoints such as the deviation from the ideal preparation (in micrometers or millimeters), the error rate, and the ability to determine how quickly a skill is acquired and the long-term retention of that competency.
Reliance on guided systems should be balanced with the development of manual clinical skills, as the overdependence on guides may limit tactile learning. Further research is required to assess the long-term educational impact of guided preparation tools.
4.6. Study Limitations
Several limitations of this study should also be mentioned. The study included a small number of clinical cases, and the results may not be generalizable to the broader population. No clinical follow-up was performed; so, information on the durability and performance of these devices from a long-term perspective is not available. Furthermore, the research did not address other materials such as resin composites or hybrid ceramics; it focused only on PMMA as the material of interest.
Although micro-CT imaging was incorporated, it was used exclusively for qualitative visualization and did not include quantitative deviation analysis or validation of tooth reduction.
Finally, the evaluation was primarily qualitative and did not include quantitative accuracy or deviation metrics. Further research is needed, including objective measures such as the distortion between digital and fabricated models, the volume of preserved tooth tissue, the time effectiveness, and the patient-reported outcomes. Such information would enable meaningful comparative statistical analyses with traditional methods and provide more substantial support for the clinical efficacy of digitally guided processes.
These limitations restrict the generalizability of the findings and highlight the need for future studies incorporating quantitative validation, blinded assessment, and longitudinal evaluation.
4.7. Future Perspectives
The combination of DSD- and CAD/CAM- generated preparation guides represent a potential direction toward more predictable and less invasive dentistry. There are several lines of improvement in the future.
The success in creating more resistant materials, like hybrid resins, high-performance composites, or ceramic reinforced polymers may help address the brittle characteristics of PMMA and facilitate the secure use of guides in posterior sections affected by occlusal forces. Concomitant advancements in intraoral scanning, including the capture of subgingival margins, will also increase the clinically acceptable ranges of digital designs. Novel technologies (e.g., OCT) or AI-supported margin assessment appear to be promising ways of realizing higher accuracy margins in the future.
For digital planning, AI might become a more prominent player for detecting undercuts and determining insertion axes as well as indicating the optimal margin placement automatically. These capabilities would help make the process less operator-dependent, easier to replicate, and easier to design.
Subsequent clinical studies should have objective endpoints such as the volumetric reduction in enamel, the marginal gap distance, and the survival rate of restorations made after the use of digital guides. Such data would eliminate the need for indirect statistical comparisons with traditional practices and provide empirical evidence to support wider implementation. In addition, long-term studies are required to assess the impacts that digital guides may have on the restoration longevity, biology, and patient satisfaction over more substantial follow-up times than the short term.
From an educational point of view, aides could be used as learning tools, because dental education is moving toward digital dentistry. Their normalization might lead to a decrease in the variability in teaching and perhaps even support more consistent clinical behavior between novice practitioners. It is expected that material, software, and clinical qualitatively assessment developments are likely to support the broader adoption of digital preparation guides from promising adjuncts to standard tools in restorative dentistry.
5. Conclusions
Within the limitations of this qualitative technical feasibility study, the use of digitally designed and fabricated dental preparation guides demonstrates that the integration of Digital Smile Design (DSD) with CAD/CAM and additive manufacturing technologies is a viable and reproducible workflow for contemporary restorative dentistry.
The proposed digital approach was associated with a consistent transfer of the virtual restorative plan to the preparation guide, supporting controlled tooth reduction and the clear definition of preparation margins and insertion axes. The workflow also facilitated effective communication between clinicians and dental technicians, contributing to planning transparency and treatment visualization.
However, the findings of this study should be interpreted with caution. The absence of quantitative measurements, statistical analysis, control groups, and long-term clinical follow-up limits the ability to draw conclusions regarding the accuracy, clinical superiority, or long-term performance. Future investigations should incorporate objective validation methods, such as marginal gap analysis, volumetric assessment of enamel reduction, independent evaluation, and longitudinal clinical outcomes.
Despite these limitations, the presented workflow highlights the potential of digital preparation guides as a supportive tool in minimally invasive restorative procedures and as an educational and planning aid within digital dental workflows.
Author Contributions
Conceptualization, T.H., M.R. and D.M.P.; methodology, M.R. and D.M.P.; software, F.T. and M.L.N.; validation, A.C.N. and F.T.; formal analysis, C.Z., investigation, T.H., D.M.P. and F.T.; resources, T.H.; data curation, A.C.N. and F.T.; writing—original draft preparation, C.Z., T.H., D.M.P. and M.L.N.; writing—review and editing, M.R., T.H. and C.S.; visualization, A.C.N. and F.T.; supervision, M.L.N., M.R. and C.S.; project administration, T.H.; funding acquisition, C.Z. All authors have read and agreed to the published version of the manuscript.
Funding
This research received funding from “Victor Babeș” University of Medicine and Pharmacy, Timisoara, Romania, for the publication fee.
Institutional Review Board Statement
Not applicable. The study was conducted exclusively on 3D-printed dental models; no human participants, human tissue, or animals were involved.
Informed Consent Statement
Not applicable.
Data Availability Statement
The original contributions presented in the study are included in the article; further inquiries can be directed to the corresponding authors.
Conflicts of Interest
The authors declare no conflicts of interest.
Abbreviations
The following abbreviations are used in this manuscript:
| CAD | Computer Aided Design |
| CAM | Computer Aided Manufacturing |
| DSD | Digital Smile Design |
| PMMA | Poly(methyl methacrylate) |
| SLA | Stereolithography |
References
- Blatz, M.B.; Chiche, G.; Bahat, O.; Roblee, R.; Coachman, C.; Heymann, H.O. Evolution of aesthetic dentistry. J. Dent. Res. 2019, 98, 1294–1304. [Google Scholar] [CrossRef]
- Jafri, Z.; Ahmad, N.; Sawai, M.; Sultan, N.; Bhardwaj, A. Digital Smile Design-An innovative tool in aesthetic dentistry. J. Oral Biol. Craniofac. Res. 2020, 10, 194–198. [Google Scholar] [CrossRef]
- Thomas, P.A.; Krishnamoorthi, D.; Mohan, J.; Raju, R.; Rajajayam, S.; Venkatesan, S. Digital smile design. J. Pharm. Bioallied Sci. 2022, 14, S43–S49. [Google Scholar] [CrossRef] [PubMed]
- Coachman, C.; Calamita, M.A.; Sesma, N. Dynamic documentation of the smile and the 2D/3D digital smile design process. Int. J. Periodont. Restor. Dent. 2017, 37, 183–193. [Google Scholar] [CrossRef] [PubMed]
- Omar, D.; Duarte, C. The application of parameters for comprehensive smile esthetics by digital smile design programs: A review of literature. Saudi Dent. J. 2018, 30, 7–12. [Google Scholar] [CrossRef] [PubMed]
- Abdulla, M.A.; Ali, H.; Jamel, R.S. CAD-CAM technology: A literature review. Al-Rafidain Dent. J. 2020, 20, 95–113. [Google Scholar] [CrossRef]
- Hollins, C. Basic Guide to Dental Procedures; John Wiley & Sons: Hoboken, NJ, USA, 2024. [Google Scholar]
- Podhorsky, A.; Rehmann, P.; Wöstmann, B. Tooth preparation for full-coverage restorations—A literature review. Clin. Oral Investig. 2015, 19, 959–968. [Google Scholar] [CrossRef]
- Crețu, C.I.; Tibeică, A.; Curcă, R.; Agop-Forna, D.; Orghidan, C.; Ulman, C.; Iacob, A.; Forna, N. Digital implications in the success of prosthetic restorations. Rom. J. Oral Rehabil. 2024, 16, 76. [Google Scholar] [CrossRef]
- Negruțiu, C.S. Digital dentistry—Digital impression and CAD/CAM system applications. J. Interdiscip. Med. 2017, 2, 54–57. [Google Scholar]
- Sinescu, C.; Negrutiu, M.; Faur, N.; Negru, R.; Romînu, M.; Cozarov, D. Dental scanning in CAD/CAM technologies: Laser beams. In Lasers in Dentistry XIV 2008; SPIE: Bellingham, WA, USA, 2008; Volume 6843, pp. 87–95. [Google Scholar]
- Dodziuk, H. Applications of 3D printing in healthcare. Kardiochir. Torakochir. Pol. 2016, 13, 283–293. [Google Scholar] [CrossRef]
- Bhargav, A.; Sanjairaj, V.; Rosa, V.; Feng, L.W.; Fuh Yh, J. Applications of additive manufacturing in dentistry: A review. J. Biomed. Mater. Res. B Appl. Biomater. 2018, 106, 2058–2064. [Google Scholar] [CrossRef] [PubMed]
- Liaw, C.Y.; Guvendiren, M. Current and emerging applications of 3D printing in medicine. Biofabrication 2017, 9, 024102. [Google Scholar] [CrossRef]
- Tack, P.; Victor, J.; Gemmel, P.; Annemans, L. 3D-printing techniques in a medical setting: A systematic literature review. Biomed. Eng. Online 2016, 15, 115. [Google Scholar] [CrossRef] [PubMed]
- Alhnan, M.A.; Okwuosa, T.C.; Sadia, M.; Wan, K.W.; Ahmed, W.; Arafat, B. Emergence of 3D Printed Dosage Forms: Opportunities and Challenges. Pharm. Res. 2016, 33, 1817–1832. [Google Scholar] [CrossRef] [PubMed]
- Abd El Galil, E.G.; Mohamed, S.L.; Rizk, F.N.; Sabet, M.E. Evaluation of two computer-aided design software on the adaptation of digitally constructed maxillary complete denture. J. Indian Prosthodont. Soc. 2021, 21, 383–390. [Google Scholar] [CrossRef] [PubMed] [PubMed Central]
- Ayşe Rençber, K.; Aybuke, K. Impact of different CAD software programs on marginal and internal fit of provisional crowns: An in vitro study. Heliyon 2024, 10, e24205. [Google Scholar] [CrossRef]
- Dudley, J.; Farook, T.H. Marginal gap measurement of ceramic single crowns before cementation: A systematic review. J. Prosthet. Dent. 2025, 133, 1145–1156. [Google Scholar] [CrossRef]
- Rödiger, M.; Schneider, L.; Rinke, S. Influence of material selection on the marginal accuracy of CAD/CAM-fabricated metal- and all-ceramic single crown copings. BioMed Res. Int. 2018, 2018, 2143906. [Google Scholar] [CrossRef]
- Ates, S.M.; Yesil Duymus, Z. Influence of tooth preparation design on fitting accuracy of CAD-CAM based restorations. J. Esthet. Restor. Dent. 2016, 28, 238–246. [Google Scholar] [CrossRef]
- Taha, A.I.; Hafez, M.E. An in vitro study measuring marginal gaps of inlay restorations fabricated from different CAD-CAM materials after thermocycling. BMC Oral Health 2023, 23, 974. [Google Scholar] [CrossRef]
- Menchini-Fabris, G.B.; Toti, P.; Covani, U.; Trasarti, S.; Cosola, S.; Crespi, R. Volume assessment of the external contour around immediate implant with or without immediate tooth-like crown provisionalization: A digital intraoral scans study. J. Stomatol. Oral. Maxillofac. Surg. 2023, 124, 101418. [Google Scholar] [CrossRef] [PubMed]
- Mino, T.; Kurosaki, Y.; Tokumoto, K.; Higuchi, T.; Nakanoda, S.; Numoto, K.; Tosa, I.; Kimura-Ono, A.; Maekawa, K.; Kim, T.H.; et al. Rating criteria to evaluate student performance in digital wax-up training using multi-purpose software. J. Adv. Prosthodont. 2022, 14, 203–211. [Google Scholar] [CrossRef] [PubMed]
- Siegel, S.C.; Kramer, S.B.; Deranek, K.M. Lean methods applied to CAD/CAM pedagogy in the dental simulation laboratory. J. Dent. Educ. 2019, 83, 1081–1091. [Google Scholar] [CrossRef] [PubMed]
- Bessadet, M.; Drancourt, N.; El Osta, N. Time efficiency and cost analysis between digital and conventional workflows for the fabrication of fixed dental prostheses: A systematic review. J. Prosthet. Dent. 2025, 133, 71–84. [Google Scholar] [CrossRef]
- Bessadet, M.; Auduc, C.; Drancourt, N.; Nicolas, E.; El Osta, N. Comparative analyses of time efficiency and cost in fabricating fixed implant-supported prostheses in digital, hybrid, and conventional workflows: A systematic review and meta-analysis. J. Prosthet. Dent. 2025, 133, 689–712. [Google Scholar] [CrossRef]
- Joda, T.; Brägger, U. Time-efficiency analysis comparing digital and conventional workflows for implant crowns: A prospective clinical crossover trial. Int. J. Oral Maxillofac. Implant. 2015, 30, 1047–1053. [Google Scholar] [CrossRef]
- Stromeyer, S.; Wiedemeier, D.; Mehl, A.; Ender, A. Time efficiency of digitally and conventionally produced single-unit restorations. Dent. J. 2021, 9, 62. [Google Scholar] [CrossRef]
- Donker, V.J.J.; Heijs, K.H.; Pol, C.W.P.; Meijer, H.J.A. Digital versus conventional surgical guide fabrication: A randomized crossover study on operator preference, difficulty, effectiveness, and operating time. Clin. Exp. Dent. Res. 2024, 10, e831. [Google Scholar] [CrossRef]
- Kamimura, E.; Tanaka, S.; Takaba, M.; Tachi, K.; Baba, K. In vivo evaluation of inter-operator reproducibility of digital dental and conventional impression techniques. PLoS ONE 2017, 12, e0179188. [Google Scholar] [CrossRef]
- Corsalini, M.; Barile, G.; Ranieri, F.; Morea, E.; Corsalini, T.; Capodiferro, S.; Palumbo, R.R. Comparison between conventional and digital workflow in implant prosthetic rehabilitation: A randomized controlled trial. J. Funct. Biomater. 2024, 15, 149. [Google Scholar] [CrossRef]
- Marques, S.; Ribeiro, P.; Gama, C.; Herrero-Climent, M. Digital guided veneer preparation: A dental technique. J. Prosthet. Dent. 2024, 131, 554–559. [Google Scholar] [CrossRef] [PubMed]
- Taha, Y.; Raslan, F.; Ali, A.; Roig, M. Guided tooth preparation device fabricated with a complete digital workflow: A dental technique. J. Prosthet. Dent. 2021, 125, 221.e1–221.e4. [Google Scholar] [CrossRef] [PubMed]
- Villalobos-Tinoco, J.; Jurado, C.A.; Robles, M.; D’Atri, E.; Afrashtehfar, K.I. Tooth-reduction 3D-printed guides for facilitating the provision of ultrathin laminate veneers A cross-shaped novel design. Int. J. Esthet. Dent. 2023, 18, 390–404. [Google Scholar] [PubMed]
- Höhne, C.; Rammler, T.; Schmitter, M. 3D Printed Teeth with Included Veneer Preparation Guide. J. Prosthodont. 2020, 30, 51–56. [Google Scholar] [CrossRef]
- Gao, J.; He, J.; Fan, L.; Lu, J.; Xie, C.; Yu, H. Accuracy of reduction depths of tooth preparation for porcelain laminate veneers assisted by different tooth preparation guides: An in vitro study. J. Prosthodont. 2022, 31, 593–600. [Google Scholar] [CrossRef]
- Gao, J.; Luo, T.; Zhao, Y.; Xie, C.; Yu, H. Accuracy of the preparation depth in mixed targeted restorative space type veneers assisted by different guides: An in vitro study. J. Prosthodont. Res. 2023, 67, 556–561. [Google Scholar] [CrossRef]
- Zhu, J.; Gao, J.; Jia, L.; Tan, X.; Xie, C.; Yu, H. Shear bond strength of ceramic laminate veneers to finishing surfaces with different percentages of preserved enamel under a digital guided method. BMC Oral Health 2022, 22, 3. [Google Scholar] [CrossRef]
- Paolone, G.; Mandurino, M.; Baldani, S.; Paolone, M.; Goracci, C.; Scolavino, S.; Gherlone, E.; Cantatore, G.; Gastaldi, G. Quantitative volumetric enamel loss after orthodontic debracketing/debonding and clean-up procedures: A systematic review. Appl. Sci. 2023, 13, 5369. [Google Scholar] [CrossRef]
- Guan, X.; Liu, C.; Sheng, T.F.; Beh, Y.H.; Tew, I.M. Innovative Stackable Multijet-Printed Templates for Precise Veneer Preparation: A Dental Technique. Appl. Sci. 2025, 15, 4975. [Google Scholar] [CrossRef]
- del Hougne, M.; Behr, G.; Schmitter, M.; Höhne, C. 3D printed teeth with adhesive bridge preparation guide. Sci. Rep. 2024, 14, 22017. [Google Scholar] [CrossRef]
- Robles, M.; Jurado, C.A.; Azpiazu-Flores, F.X.; Villalobos-Tinoco, J.; Afrashtehfar, K.I.; Fischer, N.G. An Innovative 3D Printed Tooth Reduction Guide for Precise Dental Ceramic Veneers. J. Funct. Biomater. 2023, 14, 216. [Google Scholar] [CrossRef] [PubMed] [PubMed Central]
- Mahato, M.; Hota, S.; Jain, A.; Dutta, D.; Bhushan, P.; Raut, A. Comparison of conventional and digital workflows in the fabrication of fixed prostheses: A systematic review. Cureus 2024, 16, e61764. [Google Scholar] [CrossRef]
- Pachiou, A.; Zervou, E.; Sykaras, N.; Tortopidis, D.; Ioannidis, A.; Jung, R.E.; Strauss, F.J.; Kourtis, S. Patient-reported outcomes of digital versus conventional impressions for implant-supported fixed dental prostheses: A systematic review and meta-analysis. J. Pers. Med. 2025, 15, 427. [Google Scholar] [CrossRef] [PubMed]
- Bahammam, H.A. Conventional vs. digital impression: Comfort level, preferences, and acceptance of treatment time among orthodontic patients. Open Dent. J. 2022, 16, e2208181. [Google Scholar] [CrossRef]
- Scolozzi, P.; Michelini, F.; Crottaz, C.; Perez, A. Computer-Aided Design and Computer-Aided Modeling (CAD/CAM) for Guiding Dental Implant Surgery: Personal Reflection Based on 10 Years of Real-Life Experience. J. Pers. Med. 2023, 13, 129. [Google Scholar] [CrossRef]
- Dimitrova, M.; Vlahova, A.; Kazakova, R. Assessment of CAD/CAM Fabrication Technologies for Post and Core Restorations—A Narrative Review. Medicina 2024, 60, 748. [Google Scholar] [CrossRef]
- Dai, Q.; Davis, R.; Hong, H.; Gu, Y. Effectiveness of Self-Assessment Software to Evaluate Preclinical Operative Procedures. arXiv 2024, arXiv:2404.05865. Available online: https://arxiv.org/abs/2404.05865 (accessed on 24 September 2025).
- Ferreira, J.B.; Christovam, I.O.; Alencar, D.S.; da Motta, A.F.J.; Mattos, C.T.; Cury-Saramago, A. Accuracy and reproducibility of dental measurements on tomographic digital models: A systematic review and meta-analysis. Dentomaxillofac. Radiol. 2017, 46, 20160455. [Google Scholar] [CrossRef]
- Visuttiwattanakorn, S.; Phatthanagowit, B. An in vitro study of the reproducibility of the drilling access of digitalized surgical guides generated via three different implant planning software programs. Appl. Sci. 2022, 12, 7005. [Google Scholar] [CrossRef]
Disclaimer/Publisher’s Note: The statements, opinions and data contained in all publications are solely those of the individual author(s) and contributor(s) and not of MDPI and/or the editor(s). MDPI and/or the editor(s) disclaim responsibility for any injury to people or property resulting from any ideas, methods, instructions or products referred to in the content. |
© 2026 by the authors. Licensee MDPI, Basel, Switzerland. This article is an open access article distributed under the terms and conditions of the Creative Commons Attribution (CC BY) license.














