Predicting Erectile Dysfunction after Highly Conformal, Hypofractionated Radiotherapy to the Prostate
Abstract
Simple Summary
Abstract
1. Introduction
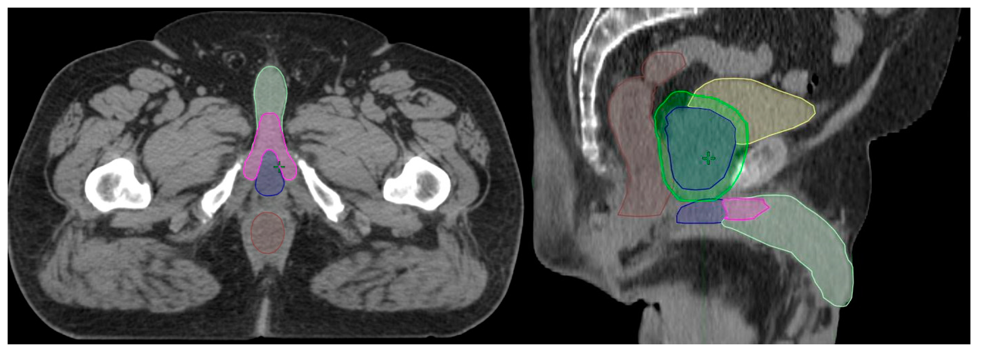
2. Materials and Methods
3. Results
3.1. Clinical Description of the Cohort
3.2. Dosimetric Description of Cohort
3.3. Evaluation of Erectile Function Outcomes
3.4. Machine Learning-Based Analysis of Erectile Function Outcomes
4. Discussion
5. Conclusions
Author Contributions
Funding
Institutional Review Board Statement
Informed Consent Statement
Data Availability Statement
Conflicts of Interest
References
- Hamdy, F.C.; Donovan, J.L.; Lane, J.A.; Metcalfe, C.; Davis, M.; Turner, E.L.; Martin, R.M.; Young, G.J.; Walsh, E.I.; Bryant, R.J.; et al. Fifteen-Year Outcomes after Monitoring, Surgery, or Radiotherapy for Prostate Cancer. N. Engl. J. Med. 2023, 375, 1425–1437. [Google Scholar] [CrossRef] [PubMed]
- Martinez-Gonzalez, N.A.; Plate, A.; Senn, O.; Markun, S.; Rosemann, T.; Neuner-Jehle, S. Shared Decision-Making for Prostate Cancer Screening and Treatment: A Systematic Review of Randomised Controlled Trials. Swiss Med. Wkly. 2018, 128, w14584. [Google Scholar] [CrossRef]
- Ávila, M.; Becerra, V.; Guedea, F.; Suárez, J.F.; Fernandez, P.; Macías, V.; Mariño, A.; Hervas, A.; Herruzo, I.; Ortiz, M.J.; et al. Estimating Preferences for Treatments in Patients with Localized Prostate Cancer. Int. J. Radiat. Oncol. Biol. Phys. 2015, 91, 277–287. [Google Scholar] [CrossRef]
- Jayadevappa, R.; Chhatre, S.; Gallo, J.J.; Wittink, M.; Morales, K.H.; Lee, D.I.; Guzzo, T.J.; Vapiwala, N.; Wong, Y.N.; Newman, D.K.; et al. Patient-Centered Preference Assessment to Improve Satisfaction with Care among Patients with Localized Prostate Cancer: A Randomized Controlled Trial. J. Clin. Oncol. 2019, 37, 964–973. [Google Scholar] [CrossRef] [PubMed]
- Hoffman, K.E.; Penson, D.F.; Zhao, Z.; Huang, L.; Conwill, R.; Laviana, A.A.; Joyce, D.D.; Luckenbaugh, A.N.; Goodman, M.; Hamilton, A.S.; et al. Patient-Reported Outcomes Through 5 Years for Active Surveillance, Surgery, Brachytherapy, or External Beam Radiation With or Without Androgen Deprivation Therapy for Localized Prostate Cancer. JAMA 2020, 323, 149. [Google Scholar] [CrossRef]
- Hoffman, R.M.; Lo, M.; Clark, J.A.; Albertsen, P.C.; Barry, M.J.; Goodman, M.; Penson, D.F.; Stanford, J.L.; Stroup, A.M.; Hamilton, A.S. Treatment Decision Regret Among Long-Term Survivors of Localized Prostate Cancer: Results From the Prostate Cancer Outcomes Study. J. Clin. Oncol. 2017, 35, 2306–2314. [Google Scholar] [CrossRef]
- Penson, D.F. The Effect of Erectile Dysfunction on Quality of Life Following Treatment for Localized Prostate Cancer. Rev. Urol. 2001, 3, 113–119. [Google Scholar] [PubMed]
- Hyun, J.S. Prostate Cancer and Sexual Function. World J. Mens. Health 2012, 30, 99. [Google Scholar] [CrossRef]
- Wernicke, A.G.; Valicenti, R.; DiEva, K.; Houser, C.; Pequignot, E. Radiation Dose Delivered to the Proximal Penis as a Predictor of the Risk of Erectile Dysfunction after Three-Dimensional Conformal Radiotherapy for Localized Prostate Cancer. Int. J. Radiat. Oncol. Biol. Phys. 2004, 60, 1357–1363. [Google Scholar] [CrossRef]
- Mangar, S.A.; Sydes, M.R.; Tucker, H.L.; Coffey, J.; Sohaib, S.A.; Gianolini, S.; Webb, S.; Khoo, V.S.; Dearnaley, D.P. Evaluating the Relationship between Erectile Dysfunction and Dose Received by the Penile Bulb: Using Data from a Randomised Controlled Trial of Conformal Radiotherapy in Prostate Cancer (MRC RT01, ISRCTN47772397). Radiother. Oncol. 2006, 80, 355–362. [Google Scholar] [CrossRef] [PubMed]
- Roach, M.; Nam, J.; Gagliardi, G.; El Naqa, I.; Deasy, J.O.; Marks, L.B. Radiation Dose-Volume Effects and the Penile Bulb. Int. J. Radiat. Oncol. Biol. Phys. 2010, 76, S130–S134. [Google Scholar] [CrossRef]
- Catton, C.N.; Lukka, H.; Gu, C.-S.; Martin, J.M.; Supiot, S.; Chung, P.W.M.; Bauman, G.S.; Bahary, J.-P.; Ahmed, S.; Cheung, P.; et al. Randomized Trial of a Hypofractionated Radiation Regimen for the Treatment of Localized Prostate Cancer. J. Clin. Oncol. 2017, 35, 1884–1890. [Google Scholar] [CrossRef]
- Incrocci, L.; Wortel, R.C.; Alemayehu, W.G.; Aluwini, S.; Schimmel, E.; Krol, S.; van der Toorn, P.P.; de Jager, H.; Heemsbergen, W.; Heijmen, B.; et al. Hypofractionated versus Conventionally Fractionated Radiotherapy for Patients with Localised Prostate Cancer (HYPRO): Final Efficacy Results from a Randomised, Multicentre, Open-Label, Phase 3 Trial. Lancet Oncol. 2016, 17, 1061–1069. [Google Scholar] [CrossRef] [PubMed]
- Wilson, J.M.; Dearnaley, D.P.; Syndikus, I.; Khoo, V.; Birtle, A.; Bloomfield, D.; Choudhury, A.; Graham, J.; Ferguson, C.; Malik, Z.; et al. The Efficacy and Safety of Conventional and Hypofractionated High-Dose Radiation Therapy for Prostate Cancer in an Elderly Population: A Subgroup Analysis of the CHHiP Trial. Int. J. Radiat. Oncol. Biol. Phys. 2018, 100, 1179–1189. [Google Scholar] [CrossRef] [PubMed]
- Wortel, R.C.; Pos, F.J.; Heemsbergen, W.D.; Incrocci, L. Sexual Function After Hypofractionated Versus Conventionally Fractionated Radiotherapy for Prostate Cancer: Results From the Randomized Phase III HYPRO Trial. J. Sex. Med. 2016, 13, 1695–1703. [Google Scholar] [CrossRef] [PubMed]
- Murray, J.; Gulliford, S.; Griffin, C.; Wilkins, A.; Syndikus, I.; Staffurth, J.; Panades, M.; Scrase, C.; Parker, C.; Khoo, V.; et al. Evaluation of Erectile Potency and Radiation Dose to the Penile Bulb Using Image Guided Radiotherapy in the CHHiP Trial. Clin. Transl. Radiat. Oncol. 2020, 21, 77–84. [Google Scholar] [CrossRef]
- Sun, L.; Smith, W.; Kirkby, C. Variation in Interinstitutional Plan Quality When Adopting a Hypofractionated Protocol for Prostate Cancer External Beam Radiation Therapy. Int. J. Radiat. Oncol. Biol. Phys. 2020, 107, 243–252. [Google Scholar] [CrossRef]
- Wallner, K.E.; Merrick, G.S.; Benson, M.L.; Butler, W.M.; Maki, J.; Tollenaar, B.G. Penile Bulb Imaging. Int. J. Radiat. Oncol. Biol. Phys. 2002, 53, 928–933. [Google Scholar] [CrossRef]
- Kızılay, F.; Kalemci, S.; Şimşir, A.; Altay, B. Predisposing Factors for Erectile Dysfunction and Response to Treatment in Younger Males: Are They Different from Those of Older Men? An Observational-Comparative Study. Andrologia 2020, 52, e13495. [Google Scholar] [CrossRef]
- Shamloul, R.; Ghanem, H. Erectile Dysfunction. Lancet 2013, 381, 153–165. [Google Scholar] [CrossRef]
- Johannes, C.B.; Araujo, A.B.; Feldman, H.A.; Derby, C.A.; Kleinman, K.P.; McKinlay, J.B. Incidence of Erectile Dysfunction in Men 40 to 69 Years Old: Longitudinal Results from the Massachusetts Male Aging Study. J. Urol. 2000, 163, 460–463. [Google Scholar] [CrossRef] [PubMed]
- Parekh, A.; Chen, M.H.; Hoffman, K.E.; Choueiri, T.K.; Hu, J.C.; Bennett, C.L.; Kattan, M.W.; Sartor, O.; Stein, K.; Graham, P.L.; et al. Reduced Penile Size and Treatment Regret in Men with Recurrent Prostate Cancer after Surgery, Radiotherapy plus Androgen Deprivation, or Radiotherapy Alone. Urology 2013, 81, 130–134. [Google Scholar] [CrossRef] [PubMed]
- Park, K.K.; Lee, S.H.; Chung, B.H. The Effects of Long-Term Androgen Deprivation Therapy on Penile Length in Patients with Prostate Cancer: A Single-Center, Prospective, Open-Label, Observational Study. J. Sex. Med. 2011, 8, 3214–3219. [Google Scholar] [CrossRef] [PubMed]
- Kokorovic, A.; So, A.I.; Serag, H.; French, C.; Hamilton, R.J.; Izard, J.P.; Nayak, J.G.; Pouliot, F.; Saad, F.; Shayegan, B.; et al. UPDATE-Canadian Urological Association Guideline on Androgen Deprivation Therapy: Adverse Events and Management Strategies. Can. Urol. Assoc. J. 2022, 16, E416–E431. [Google Scholar] [CrossRef] [PubMed]
- Tsujimura, A. The Relationship between Testosterone Deficiency and Men’s Health. World J. Mens. Health 2013, 31, 126. [Google Scholar] [CrossRef]
- Guin, S.; Jun, T.; Patel, V.G.; Ayers, K.L.; Deitz, M.; Cai, Y.; Zhou, X.; Tsao, C.-K.; Oh, W.K.; Chen, R.; et al. Extraction of Treatment Information From Electronic Health Records and Evaluation of Testosterone Recovery in Patients With Prostate Cancer. JCO Clin. Cancer Inform. 2022, 6, e2200010. [Google Scholar] [CrossRef] [PubMed]
- Rivin del Campo, E.; Thomas, K.; Weinberg, V.; Roach, M. Erectile Dysfunction after Radiotherapy for Prostate Cancer: A Model Assessing the Conflicting Literature on Dose-Volume Effects. Int. J. Impot. Res. 2013, 25, 161–165. [Google Scholar] [CrossRef] [PubMed]




| Number (%) or Median (IQR) | |
|---|---|
| Age [years] | 72 (67–76) |
| Anxiety | 8 (4%) |
| Beta Blocker | 62 (29%) |
| Chronic Obstructive Pulmonary Disease | 28 (13%) |
| Coronary Artery Disease | 57 (27%) |
| Depression | 12 (6%) |
| Diabetes | 63 (30%) |
| Dyslipidemia | 98 (46%) |
| Hypertension | 130 (61%) |
| Hypogonadism | 0 (0%) |
| Obesity | 19 (9%) |
| Peripheral Vascular Disease | 6 (3%) |
| Stroke | 9 (4%) |
| Transient Ischemic Attack | 12 (6%) |
| Smoking history | |
| never smoker | 115 (56%) |
| quit > 2 years ago | 53 (26%) |
| current smoker | 37 (18%) |
| Drinking History (any lifetime use) | |
| 0–7 drinks/week | 173 (84%) |
| 7–14 drinks/week | 16 (8%) |
| >15 drinks/week | 16 (8%) |
| Median (IQR) | |
|---|---|
| CTV volume [cc] | 51.7 (38.9–65.9) |
| PTV volume [cc] | 158.9 (129.8–192.1) |
| PTV V95 [%] | 99.8 (99.5–99.9) |
| Conformity Index | 1.1 (1.1–1.2) |
| Gradient Index [95%–50%] | 3.1 (3.0–3.2) |
| Penile bulb volume [cc] | 4.7 (3.6–6.2) |
| Penile bulb mean dose [cGy] | 2490 (1529–3656) |
| Penile bulb V1000 cGy [%] | 73.5 (49–96.6) |
| Penile bulb V2000 cGy [%] | 49.1 (24.4–70.9) |
| Penile bulb V3000 cGy [%] | 34.9 (13.6–59.7) |
| Penile bulb V4000 cGy [%] | 22.6 (6.1–46.4) |
| Penile bulb V5000 cGy [%] | 11.8 (0.3–35.5) |
| Penile bulb V6000 cGy [%] | 1.6 (0–13.7) |
| Penile crus volume [cc] | 6.5 (5.1–8.5) |
| Penile crus mean dose [cGy] | 2095 (1306–3036) |
| Penile crus V1000 cGy [%] | 79.3 (49.9–98) |
| Penile crus V2000 cGy [%] | 42.6 (18.6–73.1) |
| Penile crus V3000 cGy [%] | 22 (4.5–47.9) |
| Penile crus V4000 cGy [%] | 9.6 (0.1–27.1) |
| Penile crus V5000 cGy [%] | 2.1 (0–11.3) |
| Penile crus V6000 cGy [%] | 0 (0–1) |
| Penile shaft volume [cc] | 93.3 (80.6–106.2) |
| Penile shaft mean dose [cGy] | 444 (313–650) |
| Penile shaft V1000 cGy [%] | 11.9 (6.9–19.8) |
| Penile shaft V2000 cGy [%] | 4.4 (1.8–8.6) |
| Penile shaft V3000 cGy [%] | 2 (0.4–4.1) |
| Penile shaft V4000 cGy [%] | 0.8 (0.1–2.1) |
| Penile shaft V5000 cGy [%] | 0.2 (0–0.9) |
| Penile shaft V6000 cGy [%] | 0 (0–0.1) |
Disclaimer/Publisher’s Note: The statements, opinions and data contained in all publications are solely those of the individual author(s) and contributor(s) and not of MDPI and/or the editor(s). MDPI and/or the editor(s) disclaim responsibility for any injury to people or property resulting from any ideas, methods, instructions or products referred to in the content. |
© 2023 by the authors. Licensee MDPI, Basel, Switzerland. This article is an open access article distributed under the terms and conditions of the Creative Commons Attribution (CC BY) license (https://creativecommons.org/licenses/by/4.0/).
Share and Cite
Martell, K.; Bayley, C.; Quirk, S.; Braun, J.; Sun, L.; Smith, W.; Quon, H.; Thind, K. Predicting Erectile Dysfunction after Highly Conformal, Hypofractionated Radiotherapy to the Prostate. Radiation 2023, 3, 87-97. https://doi.org/10.3390/radiation3020008
Martell K, Bayley C, Quirk S, Braun J, Sun L, Smith W, Quon H, Thind K. Predicting Erectile Dysfunction after Highly Conformal, Hypofractionated Radiotherapy to the Prostate. Radiation. 2023; 3(2):87-97. https://doi.org/10.3390/radiation3020008
Chicago/Turabian StyleMartell, Kevin, Conrad Bayley, Sarah Quirk, Jeremy Braun, Lingyue Sun, Wendy Smith, Harvey Quon, and Kundan Thind. 2023. "Predicting Erectile Dysfunction after Highly Conformal, Hypofractionated Radiotherapy to the Prostate" Radiation 3, no. 2: 87-97. https://doi.org/10.3390/radiation3020008
APA StyleMartell, K., Bayley, C., Quirk, S., Braun, J., Sun, L., Smith, W., Quon, H., & Thind, K. (2023). Predicting Erectile Dysfunction after Highly Conformal, Hypofractionated Radiotherapy to the Prostate. Radiation, 3(2), 87-97. https://doi.org/10.3390/radiation3020008
