Genetic Polymorphisms of IL6-174G/C, TNF-308G/A, and TNF-238G/A and Risk of Pleural Tuberculosis in Venezuelan Patients
Abstract
1. Introduction
2. Materials and Methods
2.1. Study Groups
2.2. Diagnosis of Tuberculous Pleural Effusions and Therapeutic Conduct
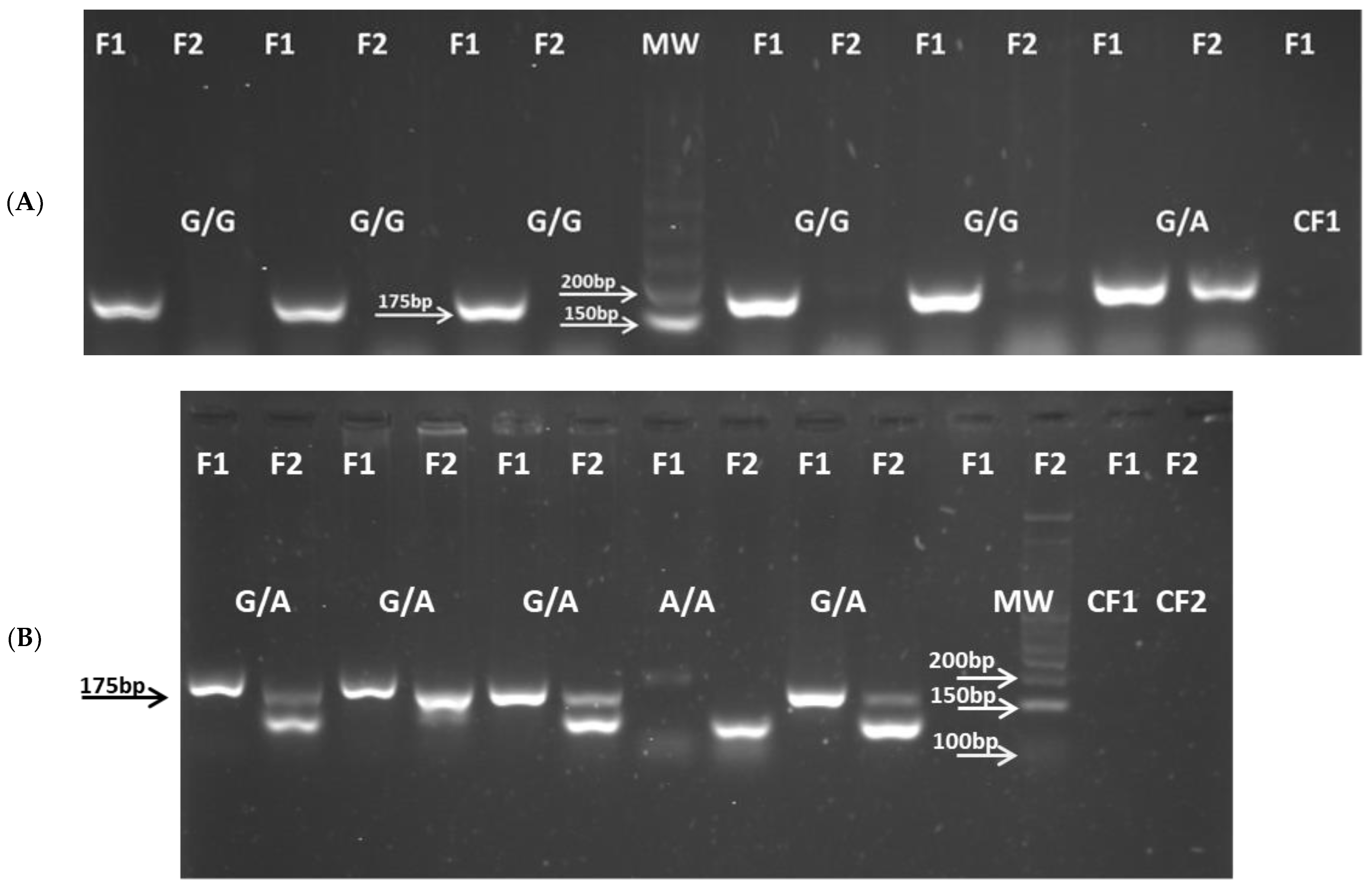
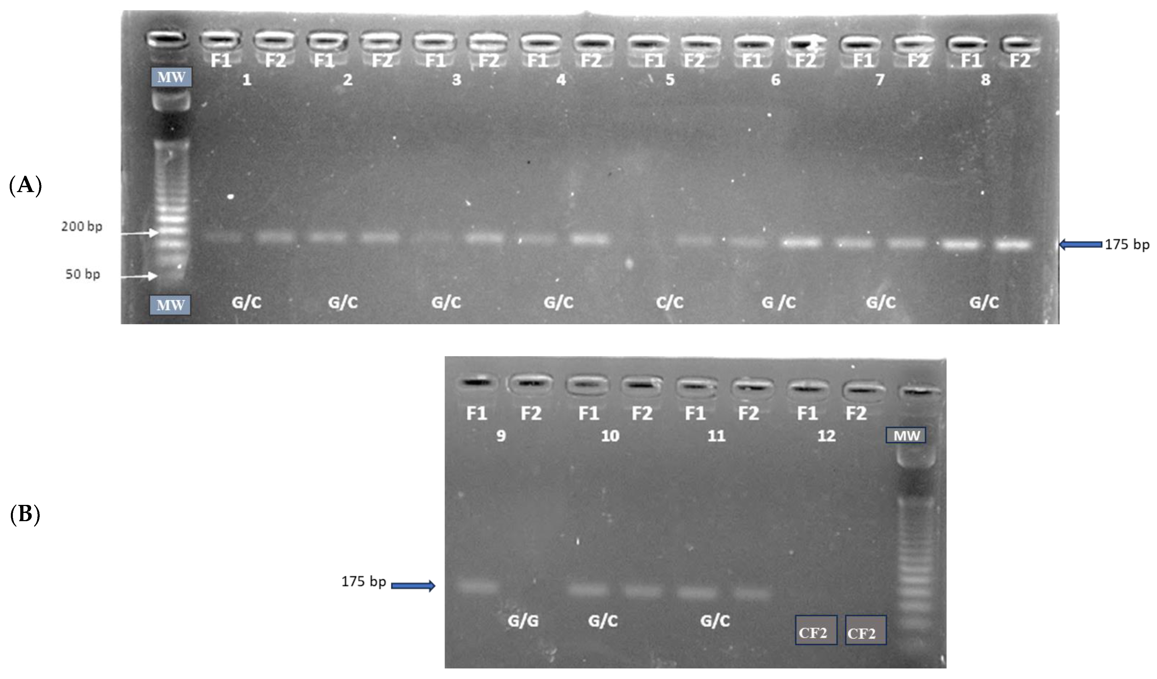
2.3. Sample Collection and DNA Extraction, and IL-6 and TNF Genotyping
2.4. Statistical Analysis
3. Results
3.1. Study Population Characteristics
3.2. IL6 and TNF Polymorphisms and Allele Frequencies
3.3. IL6 and TNF Polymorphism Genotypes and Association with Pleural Tuberculosis
4. Discussion
5. Conclusions
Author Contributions
Funding
Institutional Review Board Statement
Informed Consent Statement
Data Availability Statement
Acknowledgments
Conflicts of Interest
References
- World Health Organization (WHO). Global Tuberculosis Report 2024; World Health Organization (WHO): Geneva, Switzerland, 2024.
- Castro, V.; Celiz, J. Tuberculosis: Una Vieja Enfermedad Conocida Que No Deja de Sorprendernos. 2017. Available online: https://www.academia.edu/35362011/Tuberculosis_Una_Vieja_enfermedad_conocida_que_no_deja_de_sorprendernos (accessed on 5 May 2024).
- World Health Organization (WHO). 2024. Available online: https://www.who.int/news/item/29-10-2024-tuberculosis-resurges-as-top-infectious-disease-killer (accessed on 5 May 2024).
- MacNeil, A.; Glaziou, P.; Sismanidis, C.; Date, A.; Maloney, S.; Floyd, K. Global epidemiology of tuberculosis and progress toward meeting global targets—worldwide, 2018. MMWR Morb. Mortal. Wkly. Rep. 2020, 69, 281–285. [Google Scholar] [CrossRef]
- Porcel, J.M. Tuberculous Pleural Effusion. Lung 2009, 187, 263–270. [Google Scholar] [CrossRef]
- Leung, C.C.; Feller-Kopman, D.; Niederman, M.S.; Spiro, S.G. Year in review 2010: Tuberculosis, pleural diseases, respiratory infections. Respirology 2011, 16, 564–573. [Google Scholar] [CrossRef]
- Barssa, L.; Connors, W.J.A.; Fisher, D. Chapter 7: Extra-pulmonary tuberculosis. Can. J. Resp. Crit. Care Sleep Med. 2022, 6, 87–108. [Google Scholar] [CrossRef]
- Naik, M.; Prakash-Nayak, O.; Murmu, M.; Ranjan-Partra, S.; Baa, M. Role of CBNAAT in Suspected Cases of Tubercular Pleural Effusion. J. Dent. Med. Sci. 2019, 18, 46–77. [Google Scholar]
- Ferreiro, L.; San Jose, E.; Valdes, L. Tuberculous pleural effusion. Arch. Bronconeumol. 2014, 50, 435–443. [Google Scholar] [CrossRef]
- Yang, L.; Hu, Y.J.; Li, F.G.; Chang, X.J.; Zhang, T.H.; Wang, Z.T. Analysis of cytokine levers in pleural effusions of tuberculous pleurisy and tuberculous empyema. Mediat. Inflamm. 2016, 2016, 3068103. [Google Scholar] [CrossRef]
- Antas, P.; Borchert, J.; Ponte, C.; Lima, J.; Georg, I.; Bastos, M.; Trajman, A. Interleukin-6 and-27 as potential novel biomarkers for human pleural tuberculosis regardless of the immunological status. Microbes Infect. 2024, 26, 105238. [Google Scholar] [CrossRef] [PubMed]
- Hamilton, F.; Schurz, H.; Yates, T.A.; Gilchrist, J.J.; Möller, M.; Naranbhai, V.; Ghazal, P.; Timpson, N.J.; Tom Parks, T.; Pollara, G. Altered IL-6 signalling and risk of tuberculosis: A multi-ancestry mendelian randomisation study. Lancet Microbe 2025, 6, 100922. [Google Scholar] [CrossRef]
- Mohan, V.P.; Scanga, C.A.; Yu, K.; Scott, H.M.; Tanaka, K.E.; Tsangm, E.; Chih, T.M.; Flynn, J.L.; John, C.J. Effects of tumor necrosis factor alpha on host immune response in chronic persistent tuberculosis: Possible role for limiting pathology. Infect. Immun. 2001, 69, 1847–1855. [Google Scholar] [CrossRef] [PubMed]
- Romero-Adrian, T.B.; Leal-Montiel, J.; Fernández, G.; Valecillo, A. Role of cytokines and others factors involved in the Mycobacterium tuberculosis infection. World J. Immunol. 2015, 5, 16–50. Available online: https://www.wjgnet.com/2219-2824/full/v5/i1/16.htm (accessed on 5 May 2024). [CrossRef]
- Selvaraj, P.; Alagarasu, K.; Harishankar, M.; Vidyarani, M.; Nisha-Rajeswari, D.; Narayanan, P.R. Cytokine gene polymorphisms and cytokine levels in pulmonary tuberculosis. Cytokine 2008, 43, 26–33. [Google Scholar] [CrossRef] [PubMed]
- Henao, M.I.; Montes, C.; París, S.C.; García, L.F. Cytokine gene polymorphisms in Colombian patients with different clinical presentations of tuberculosis. Tuberculosis 2006, 86, 11–19. [Google Scholar] [CrossRef] [PubMed]
- Ates, Ö.; Musellim, B.; Ongen, G.; Topal-Sarıkaya, A. IL-10 and TNF Polymorphisms in tuberculosis. J. Clin. Immunol. 2008, 28, 232–236. [Google Scholar] [CrossRef] [PubMed]
- Varahram, M.; Farnia, P.; Javad-Nasir, M.; Afraei-Karahrudi, M.; Kazempour-Dizag, M.; Akbar-Velayati, A. Association of Mycobacterium Tuberculosis Lineages with IFN-γ and TNF Gene Polymorphisms among Pulmonary Tuberculosis Patient. Mediterr. J. Hematol. Infect. Dis. 2014, 6, e2014015. [Google Scholar] [CrossRef]
- Khalilullah, S.A.; Harapan, H.; Hasan, N.A.; Winardi, W.; Ichsan, I.; Mulyadi, M. Host genome polymorphisms and tuberculosis infection: What we have to say? Egypt. J. Chest Dis. Tuberc. 2013, 63, 173–185. [Google Scholar] [CrossRef]
- Fernández de Larrea, C.; Giampietro, F.; Luna, J.; Singh, M.; de Waard, J.H.; Araujo, Z. Diagnosis accuracy of immunological methods in patients with tuberculous pleural effusion from Venezuela. Inves. Clin. 2011, 52, 23–34. [Google Scholar]
- MPPS (Ministerio del Poder Popular para la Salud de Venezuela). 2016. Available online: http://www.minsalud.com (accessed on 5 May 2024).
- Ambruzova, Z.; Mrazek, F.; Raida, L.; Jindra, P.; Vidan-Jeras, B.; Faber, E.; Pretnar, J.; Indrak, K.; Petrek, M. Association of IL6 and CCL2 gene polymorphisms with the outcome of allogeneic haematopoietic stem cell transplantation. Bone Marrow Transplant. 2009, 44, 227–235. [Google Scholar] [CrossRef]
- Verjans, G.M.; Brinkman, B.M.N.; Van Doornik, C.E.M.; Kijlstra, A.; Verweij, C.L. Polymorphism of tumour necrosis factor-alpha (TNF-a) at position -308 in relation to ankylosing spondylitis. Clin. Exp. Immunol. 1994, 97, 45–47. [Google Scholar] [CrossRef]
- Magalhaes, R.F.; Ana Cristina Biral, A.C.; Pancoto, J.A.T.; Donadi, E.A.; Texeira Mendes-Júnior, C. Human leukocyte antigen (HLA) and single nucleotide polymorphisms (SNPs) tumor necrosis factor (TNF)-alpha -238 and -308 as genetic markers of susceptibility to psoriasis and severity of the disease in a long-term follow-up Brazilian study. Int. J. Dermatol. 2010, 49, 1133–1140. [Google Scholar] [CrossRef]
- Sole, X.; Guino, E.; Valls, J.; Iniesta, R.; Moreno, V. SNPStats: A web tool for the analysis of association studies. Bioinformatics 2006, 22, 1928–1929. [Google Scholar] [CrossRef] [PubMed]
- Fu, H.; Sun, W.; Xu, Y.; Zhang, H. Advances in cytokine gene polymorphisms in tuberculosis. Clin. Microbiol. 2025, 10, e0094424. [Google Scholar] [CrossRef] [PubMed]
- Scriba, T.J.; Coussens, A.K.; Fletcher, H.A. Human Immunology of Tuberculosis. Microbiol. Spectr. 2017, 5, 10-1128. [Google Scholar] [CrossRef] [PubMed]
- Rivas Santiago, B.; Vieyra Reyes, P.; Araujo, Z. Respuesta de inmunidad celular en la tuberculosis pulmonar. Revisión. Investig. Clín. 2005, 46, 391–412. [Google Scholar]
- Araujo, Z.; Acosta, M.; Escobar, H.; Baños, R.; Fernández de Larrea, C.; Rivas Santiago, B. Respuesta inmunitaria en tuberculosis y el papel de los antígenos de secreción de Mycobacterium tuberculosis en la protección, patología y diagnóstico: Revisión. Investig. Clin. 2008, 49, 411–441. [Google Scholar]
- Huang, W.; Zhou, R.; Li, J.; Wang, J.; Xiao, H. Association of the TNF-308, TNF-238 gene polymorphisms with risk of bone-joint and spinal tuberculosis: A meta-analysis. Biosci. Rep. 2019, 39, BSR20182217. [Google Scholar] [CrossRef]
- Liu, Q.; Chen, X.; Dai, X. The association of cytokine gene polymorphisms with tuberculosis susceptibility in several regional populations. Cytokine 2022, 156, 155915. [Google Scholar] [CrossRef]
- Makhatadze, N.J.; Franco, M.T.; Layrisse, Z. HLA class I and class II allele and haplotype distribution in the Venezuelan population. Hum. Immunol. 1997, 55, 53–58. [Google Scholar] [CrossRef]
- Graça-Amoras, E.S.; Gouvea-de Morais, T.; do Nascimento-Ferreira, R.; Monteiro-Gomes, S.T.; Martins-de Sousa, F.D.; Rosário-Vallinoto, A.C.; Freitas-Queiroz, M.A. Association of Cytokine Gene Polymorphisms and Their Impact on Active and Latent Tuberculosis in Brazil’s Amazon Region. Biomolecules 2023, 13, 1541. [Google Scholar] [CrossRef]
- Silva-Luiz, R.D.S.; Alves-Campelo, T.; Soares-Silva, C.; de Lima-Nogueira, L.; de Oliveira- Sancho, S.; Alves-da Silva, A.K.; Cunha-Frota, C.; Carvalho-Costa, F.A. Single nucleotide polymorphisms in IFN-gamma, TNF-alpha, IL-6, IL-10, and TGF-beta in pulmonary and extrapulmonary tuberculosis in the State of Ceará, northeastern Brazil. Mem. Inst. Oswaldo Cruz. 2025, 120, e240147. [Google Scholar] [CrossRef]
- Correa, P.; Gómez, L.; Anaya, J. Polimorfismo del TNF- alfa en autoinmunidad y tuberculosis. Biomedica 2004, 24, 43–51. Available online: https://www.researchgate.net/publication/47867884_Polimorfismo_del_TNF-alfa_en_autoinmunidad_y_tuberculosis (accessed on 5 May 2024). [CrossRef] [PubMed]
- Correa, P.; Gómez, L.; Cadena, J.; Anaya, J. Autoimmunity and tuberculosis. Opposite association with TNF polymorphism. J. Rheumatol. 2005, 32, 219–224. Available online: https://www.jrheum.org/content/32/2/219.long (accessed on 5 May 2024). [PubMed]
- Casas, L.A.; Gómez Gutiérrez, A. Asociación de polimorfismos genéticos de FNT-α e IL-10, citocinas reguladoras de la respuesta inmune, en enfermedades infecciosas, alérgicas y autoinmunes. Infection 2008, 12, 38–53. [Google Scholar]
- Ramirez, M.C.D. Bases genéticas de la susceptibilidad a enfermedades infecciosas humanas. Rev. Inst. Nac. Hyg. Rafael Rangel. INHRR 2007, 38, 43–54. Available online: http://ve.scielo.org › scielo › pid=S0798-04772007000 (accessed on 5 May 2024).
- Araujo, Z.; Camargo, M.; Moreno-Pérez, D.A.; Wide, A.; Pacheco, D.; Díaz-Arévalo, D.; Celis- Giraldo, C.T.; Salas, S.; de Waard, J.H.; Patarroyo, M.A. Differential NRAMP1gene’s D543N genotype frequency: Increased risk of contracting tuberculosis among Venezuelan populations. Hum. Immunol. 2023, 84, 484–491. [Google Scholar] [CrossRef]
- Giampietro, F.; de Waard, J.H.; Rivas-Santiago, B.; Enciso-Moreno, J.A.; Salgado, A.; Araujo, Z. In vitro levels of cytokines in response to purified protein derivative (PPD) antigen in a population with high prevalence of pulmonary tuberculosis. Hum. Immunol. 2010, 71, 1099–1104. [Google Scholar] [CrossRef]
- Araujo, Z.; Palacios, A.; Enciso-Moreno, L.; Lopez-Ramos, J.E.; Wide, A.; de Waard, J.H.; Rivas-Santiago, B.; Serrano, C.J.; Bastian-Hernandez, Y.; Castañeda-Delgado, J.E.; et al. Evaluation of the transcriptional immune biomarkers in peripheral blood from Warao indigenous associate with the infection by Mycobacterium tuberculosis. Rev. Soc. Bras. Med. Trop. 2019, 52, e20180516. [Google Scholar] [CrossRef] [PubMed]




| Polymorphism | Primer 5′-3′ | Amplicon Size (bp) | References |
|---|---|---|---|
| IL6-174G/C (rs1800795) | F1:5′-AAT GTG ACG TCC TTT AGC ATC-3′ F2:5′-AAT GTG ACG TCC TTT AGC ATG-3′ R:5′-TCG TGC ATG ACT TCA GCT TTA-3′ | 175 | (Ambruzova et al., 2009) [22] |
| TNF-308G/A (rs1800629) | F1:5′-ATAGGTTTTGAGGGGCATGG-3′ F2:5′-ATAGGTTTTGAGGGGCATGA-3′ R:5′-TCTCGGTTTCTTCTCCATCG-3′ | 184 | (Verjans GM et al., 1994) [23] |
| TNF-238G/A (rs361525) | F1:5′-CCCCATCCTCCCTGCTCC-3′ F2:5′-TCCCCATCCTCCCTGCTCT-3′ R:5′-AGGCAATAGGTTTTGAGGGCCAT-3′ | 175 | (Magalhaes R et al., 2010) [24] |
| Marker | Patients (n = 69) | Controls (n = 200) | p-Value |
|---|---|---|---|
| Age | 41.6 ± 20.0 | 47.6 ± 12.2 | NS |
| Male (%) | 62.3 (a) | 37.5 (c) | (a) vs. (b) 0.001 |
| Female (%) | 37.7 (b) | 62.5 (d) | (c) vs. (d) 0.0007 |
| ADA+ ˃ 40 u/L (%) | 66.6 (e) | 0 (f) | (e) vs. (f) 0.0001 |
| PPD+ (%) | ND | 35.0 | - |
| Chest X-rays (CXRs) (%) | 100.0 | ND | - |
| Allele Frequency | Patients (%) | Controls (%) | Odds Ratio OR (95% IC) | X2 Test (p Value) |
|---|---|---|---|---|
| IL-6(-174G/C) | ||||
| (rs1800795) | ||||
| G | 69(50.0) (a) | 318(80.0) (b) | 0.250(0.133–0.468) | (a) vs. (b) 0.0001 |
| C | 69(50.0) (c) | 82(20.0) (d) | 4.000(2.135–7.493) | (c) vs. (d) 0.0001 |
| TNF(-308G/A) | ||||
| (rs1800629) | ||||
| G | 73(53.0) (a) | 334(88.4) (b) | 0.153(0.074–0.315) | (a) vs. (b) 0.0001 |
| A | 65(47.1) (c) | 44(11.6) (d) | 6.503(3.166–13.359) | (c) vs. (d) 0.0001 |
| TNF(-238G/A) | ||||
| (rs361525) | ||||
| G | 70(58.3) (a) | 124(90.0) (b) | 0.153(0.071–0.329) | (a) vs. (b) 0.0001 |
| A | 50(41.7) (c) | 14(10.1) (d) | 6.517(3.034–14.002) | (c) vs. (d) 0.0001 |
| Patients | Controls | ||||||
|---|---|---|---|---|---|---|---|
| Polymorphism/ Genotype | n | % | n | % | OR | 95%CI | p-value |
| IL6(-174 G/C) (rs1800795) | |||||||
| G/G (W) | 2 | 2.90 | 119 | 59.5 | Reference | ||
| G/C (He) | 65 | 94.02 | 80 | 40.0 | 48.343 | 11.507–203.095 | 0.0001 |
| C/C (Ho) | 2 | 2.90 | 1 | 0.5 | 119.000 | 7.399–1913.710 | 0.0007 |
| TNF(-308G/A) (rs1800629) | |||||||
| G/G (W) | 4 | 5.80 | 149 | 78.84 | Reference | ||
| G/A (He) | 65 | 94.20 | 36 | 19.05 | 67.256 | 22.993–196.729 | 0.0001 |
| A/A (Ho) | 0 | 0 | 4 | 2.11 | 3.691 | 0.171–79.407 | 0.4042 |
| TNF(238-G/A) (rs361525) | |||||||
| G/G (W) | 10 | 16.67 | 56 | 81.16 | Reference | ||
| G/A (He) | 50 | 83.33 | 12 | 13.40 | 23.333 | 9.282–58.655 | 0.0001 |
| A/A (Ho) | 0 | 0 | 1 | 1.44 | 1.793 | 0.068–47.086 | 0.7260 |
| Patients | Controls | ||||||
|---|---|---|---|---|---|---|---|
| GENOTYPE | |||||||
| IL-6(-174 G/C) (rs1800795) | n | Male % | n | % | OR | 95%CI | p-value |
| G/G (W) | 2 | 4.65 | 38 | 66.67 | Reference | ||
| G/C (He) | 40 | 93.02 | 18 | 31.58 | 42.222 | 9.171–194.381 | 0.0001 |
| C/C (Ho) | 1 | 2.33 | 1 | 1.75 | 19.000 | 0.842–428.263 | 0.0640 |
| IL-6(-174 G/C) (rs1800795) | n | Female % | n | % | OR | 95%CI | p-value |
| G/G (W) | 0 | 0.00 | 60 | 82.19 | Reference | ||
| G/C (He) | 25 | 96.15 | 13 | 17.81 | 228.555 | 13.083–3992.541 | 0.0002 |
| C/C (Ho) | 1 | 3.85 | 0 | 0.00 | 363.000 | 5.221–25,234.780 | 0.0065 |
| TNF(-238 G/A) (rs361525) | n | Male % | n | % | OR | 95%CI | p-value |
| G/G (W) | 5 | 12.20 | 11 | 64.71 | Reference | ||
| G/A (He) | 36 | 87.80 | 5 | 29.41 | 15.840 | 3.861–64.983 | 0.0001 |
| A/A (Ho) | 0 | 0.00 | 1 | 5.88 | 0.697 | 0.024–20.027 | 0.8331 |
| TNF(-238 G/A) (rs361525) | n | Female % | n | % | OR | 95%CI | p-value |
| G/G (W) | 5 | 26.32 | 45 | 86.54 | Reference | ||
| G/A (He) | 14 | 73.68 | 7 | 13.46 | 18.000 | 4.930–65.714 | 0.0001 |
| A/A (Ho) | 0 | 0.00 | 0 | 0.00 | 8.272 | 0.148–460.164 | 0.3027 |
| TNF(-308 G/A) (rs1800629) | n | Male % | n | % | OR | 95%CI | p-value |
| G/G (W) | 4 | 9.30 | 58 | 79.45 | Reference | ||
| G/A (He) | 39 | 90.70 | 13 | 17.81 | 43.5000 | 13.208–143.261 | 0.0001 |
| A/A (Ho) | 0 | 0.00 | 2 | 2.74 | 2.6000 | 0.107–62.7854 | 0.5564 |
| TNF(-308 G/A) (rs1800629) | n | Female % | n | % | OR | 95%CI | p-value |
| G/G (W) | 0 | 0.00 | 91 | 78.45 | Reference | ||
| G/A (He) | 26 | 100.00 | 23 | 19.83 | 206.3617 | 12.125–3512.190 | 0.0002 |
| A/A (Ho) | 0 | 0.00 | 2 | 1.72 | 36.6000 | 0.596–2245.047 | 0.0865 |
Disclaimer/Publisher’s Note: The statements, opinions and data contained in all publications are solely those of the individual author(s) and contributor(s) and not of MDPI and/or the editor(s). MDPI and/or the editor(s) disclaim responsibility for any injury to people or property resulting from any ideas, methods, instructions or products referred to in the content. |
© 2025 by the authors. Licensee MDPI, Basel, Switzerland. This article is an open access article distributed under the terms and conditions of the Creative Commons Attribution (CC BY) license.
Share and Cite
Araujo, Z.; de Waard, J.H.; Fernández-Mestre, M.; Silva, D.; Serrano, C.J.; De Jesús-González, L.A.; Lopez-Ramos, J.E.; Rivas-Santiago, B. Genetic Polymorphisms of IL6-174G/C, TNF-308G/A, and TNF-238G/A and Risk of Pleural Tuberculosis in Venezuelan Patients. Immuno 2026, 6, 4. https://doi.org/10.3390/immuno6010004
Araujo Z, de Waard JH, Fernández-Mestre M, Silva D, Serrano CJ, De Jesús-González LA, Lopez-Ramos JE, Rivas-Santiago B. Genetic Polymorphisms of IL6-174G/C, TNF-308G/A, and TNF-238G/A and Risk of Pleural Tuberculosis in Venezuelan Patients. Immuno. 2026; 6(1):4. https://doi.org/10.3390/immuno6010004
Chicago/Turabian StyleAraujo, Zaida, Jacobus Henri de Waard, Mercedes Fernández-Mestre, Douglas Silva, Carmen Judith Serrano, Luis Adrián De Jesús-González, Juan Ernesto Lopez-Ramos, and Bruno Rivas-Santiago. 2026. "Genetic Polymorphisms of IL6-174G/C, TNF-308G/A, and TNF-238G/A and Risk of Pleural Tuberculosis in Venezuelan Patients" Immuno 6, no. 1: 4. https://doi.org/10.3390/immuno6010004
APA StyleAraujo, Z., de Waard, J. H., Fernández-Mestre, M., Silva, D., Serrano, C. J., De Jesús-González, L. A., Lopez-Ramos, J. E., & Rivas-Santiago, B. (2026). Genetic Polymorphisms of IL6-174G/C, TNF-308G/A, and TNF-238G/A and Risk of Pleural Tuberculosis in Venezuelan Patients. Immuno, 6(1), 4. https://doi.org/10.3390/immuno6010004

