Amyloid Deposits in Intramural Coronary Arteries of Feline Hearts: A Retrospective Histopathological Study
Abstract
1. Introduction
2. Materials and Methods
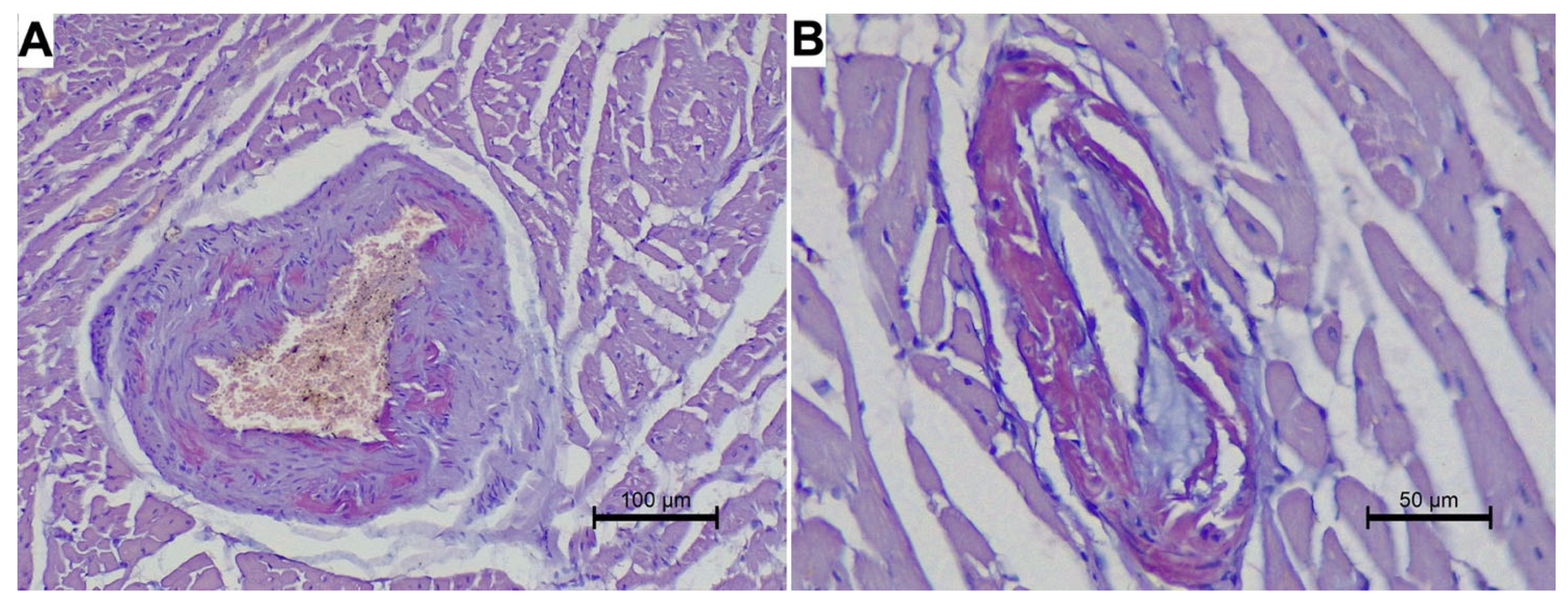
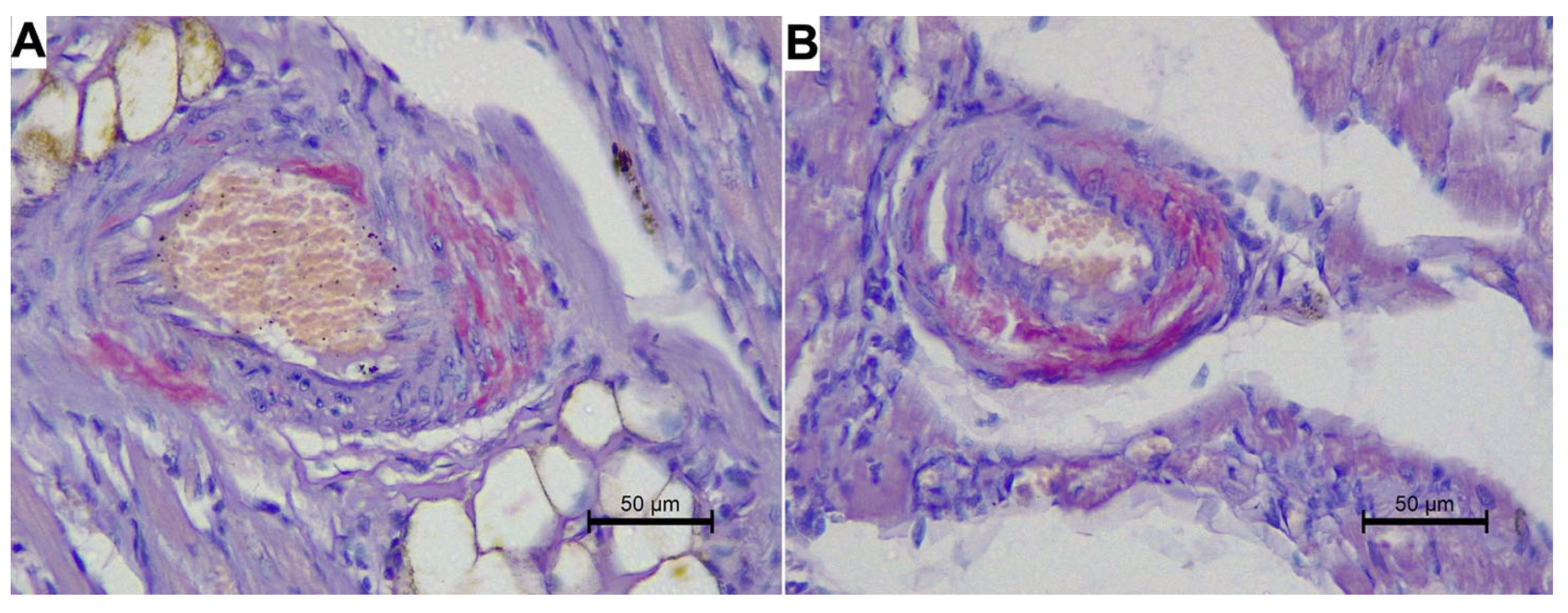
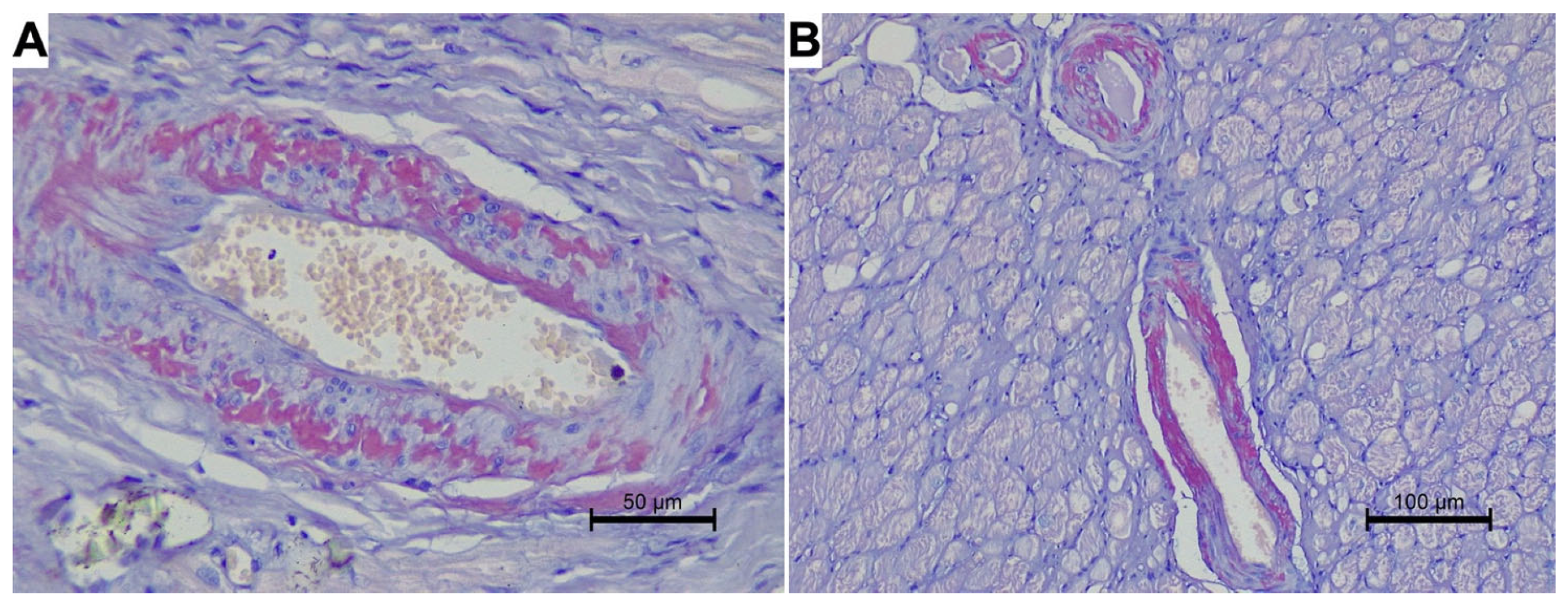
3. Results
4. Discussion
Author Contributions
Funding
Institutional Review Board Statement
Informed Consent Statement
Data Availability Statement
Acknowledgments
Conflicts of Interest
References
- Woldemeskel, M. A Concise Review of Amyloidosis in Animals. Vet. Med. Int. 2012, 2012, 427296. [Google Scholar] [CrossRef]
- Penticoff, H.B.; Hipkiss, H.K.; Hetak, A.A.; Agnew, D.W.; Fortin, J.S. Survey of Amyloidosis Cases among Different Free-Living Wild and Zoo Animals. Amyloid 2021, 28, 145–152. [Google Scholar] [CrossRef] [PubMed]
- Benson, M.D.; Buxbaum, J.N.; Eisenberg, D.S.; Merlini, G.; Saraiva, M.J.M.; Sekijima, Y.; Sipe, J.D.; Westermark, P. Amyloid Nomenclature 2020: Update and Recommendations by the International Society of Amyloidosis (ISA) Nomenclature Committee. Amyloid 2020, 27, 217–222. [Google Scholar] [CrossRef] [PubMed]
- Wechalekar, A.D.; Gillmore, J.D.; Hawkins, P.N. Systemic Amyloidosis. Lancet 2016, 387, 2641–2654. [Google Scholar] [CrossRef] [PubMed]
- Joaquín, C.J.; David, E.P.; Martínez-Subiela, S. Acute Phase Proteins in Dogs and Cats: Current Knowledge and Future Perspectives. Vet. Clin. Pathol. 2005, 34, 85–99. [Google Scholar] [CrossRef]
- Sack, G.H. Serum Amyloid A—A Review. Mol. Med. 2018, 24, 46. [Google Scholar] [CrossRef]
- Schiavo, L.; Odatzoglou, P.; Hare, C.; Williams, T.L.; Dobson, J.M. Serum Amyloid A and Other Clinicopathological Variables in Cats with Intermediate- and Large-Cell Lymphoma. J. Feline Med. Surg. 2022, 24, e603–e610. [Google Scholar] [CrossRef]
- Yuki, M.; Aoyama, R.; Nakagawa, M.; Hirano, T.; Naitoh, E.; Kainuma, D. A Clinical Investigation on Serum Amyloid A Concentration in Client-Owned Healthy and Diseased Cats in a Primary Care Animal Hospital. Vet. Sci. 2020, 7, 45. [Google Scholar] [CrossRef]
- Tamamoto, T.; Ohno, K.; Takahashi, M.; Nakashima, K.; Fujino, Y.; Tsujimoto, H. Serum Amyloid A as a Prognostic Marker in Cats with Various Diseases. J. Vet. Diagn. Investig. 2013, 25, 428–432. [Google Scholar] [CrossRef]
- Troìa, R.; Gruarin, M.; Foglia, A.; Agnoli, C.; Dondi, F.; Giunti, M. Serum Amyloid A in the Diagnosis of Feline Sepsis. J. Vet. Diagn. Investig. 2017, 29, 856–859. [Google Scholar] [CrossRef]
- Ferri, F.; Ferro, S.; Porporato, F.; Callegari, C.; Guglielmetti, C.; Mazza, M.; Ferrero, M.; Crinò, C.; Gallo, E.; Drigo, M.; et al. AA-Amyloidosis in Cats (Felis Catus) Housed in Shelters. PLoS ONE 2023, 18, e0281822. [Google Scholar] [CrossRef] [PubMed]
- Mawby, D.I.; Whittemore, J.C.; Donnell, R.L. Fatal Pulmonary Hemorrhage Associated with Vascular Amyloid Deposition in a Cat. J. Feline Med. Surg. Open Rep. 2018, 4, 2055116918817993. [Google Scholar] [CrossRef] [PubMed]
- Genova, F.; Nonnis, S.; Maffioli, E.; Tedeschi, G.; Strillacci, M.G.; Carisetti, M.; Sironi, G.; Cupaioli, F.A.; Di Nanni, N.; Mezzelani, A.; et al. Multi-Omic Analyses in Abyssinian Cats with Primary Renal Amyloid Deposits. Sci. Rep. 2021, 11, 8339. [Google Scholar] [CrossRef] [PubMed]
- van der Linde-Sipman, J.S.; Niewold, T.A.; Tooten, P.C.J.; de Neijs-Backer, M.; Gruys, E. Generalized AA-Amyloidosis in Siamese and Oriental Cats. Vet. Immunol. Immunopathol. 1997, 56, 1–10. [Google Scholar] [CrossRef]
- Clark, L.; Seawright, A.A. Generalised Amyloidosis in Seven Cats. Pathol. Vet. 1969, 6, 117–134. [Google Scholar] [CrossRef]
- Sigurdson, C.J.; Miller, M.W. Other Animal Prion Diseases. Br. Med. Bull. 2003, 66, 199–212. [Google Scholar] [CrossRef]
- Segev, G.; Cowgill, L.D.; Jessen, S.; Berkowitz, A.; Mohr, C.F.; Aroch, I. Renal Amyloidosis in Dogs: A Retrospective Study of 91 Cases with Comparison of the Disease between Shar-Pei and Non-Shar-Pei Dogs. J. Vet. Intern. Med. 2012, 26, 259–268. [Google Scholar] [CrossRef]
- Martinez-Naharro, A.; Hawkins, P.N.; Fontana, M. Cardiac Amyloidosis. Clin. Med. 2018, 18, s30–s35. [Google Scholar] [CrossRef]
- Tahir, U.A.; Doros, G.; Kim, J.S.; Connors, L.H.; Seldin, D.C.; Sam, F. Predictors of Mortality in Light Chain Cardiac Amyloidosis with Heart Failure. Sci. Rep. 2019, 9, 8552. [Google Scholar] [CrossRef]
- Garcia-Pavia, P.; Rapezzi, C.; Adler, Y.; Arad, M.; Basso, C.; Brucato, A.; Burazor, I.; Caforio, A.L.P.; Damy, T.; Eriksson, U.; et al. Diagnosis and Treatment of Cardiac Amyloidosis: A Position Statement of the ESC Working Group on Myocardial and Pericardial Diseases. Eur. Heart J. 2021, 42, 1554–1568. [Google Scholar] [CrossRef]
- Zampiccoli, E.; Barthelmes, J.; Kreysing, L.; Nägele, M.P.; Nebunu, D.; Haider, T.; von Eckardstein, A.; Gerber, B.; Schwotzer, R.; Ruschitzka, F.; et al. Eyes on Amyloidosis: Microvascular Retinal Dysfunction in Cardiac Amyloidosis. ESC Heart Fail. 2022, 9, 1186–1194. [Google Scholar] [CrossRef] [PubMed]
- Vergaro, G.; Aimo, A.; Rapezzi, C.; Castiglione, V.; Fabiani, I.; Pucci, A.; Buda, G.; Passino, C.; Lupón, J.; Bayes-Genis, A.; et al. Atrial Amyloidosis: Mechanisms and Clinical Manifestations. Eur. J. Heart Fail. 2022, 24, 2019–2028. [Google Scholar] [CrossRef] [PubMed]
- Dubrey, S.W.; Hawkins, P.N.; Falk, R.H. Amyloid Diseases of the Heart: Assessment, Diagnosis, and Referral. Heart 2011, 97, 75–84. [Google Scholar] [CrossRef] [PubMed]
- Ruberg, F.L.; Grogan, M.; Hanna, M.; Kelly, J.W.; Maurer, M.S. Transthyretin Amyloid Cardiomyopathy. J. Am. Coll. Cardiol. 2019, 73, 2872–2891. [Google Scholar] [CrossRef]
- Falk, R.H.; Alexander, K.M.; Liao, R.; Dorbala, S. AL (Light-Chain) Cardiac Amyloidosis. J. Am. Coll. Cardiol. 2016, 68, 1323–1341. [Google Scholar] [CrossRef]
- Merlini, G.; Bellotti, V. Molecular Mechanisms of Amyloidosis. N. Engl. J. Med. 2003, 349, 583–596. [Google Scholar] [CrossRef]
- Shams, P.; Ahmed, I. Cardiac Amyloidosis; StatPearls Publishing: Treasure Island, FL, USA, 2025. [Google Scholar]
- Kittleson, M.D.; Côté, E. The Feline Cardiomyopathies: 1. General Concepts. J. Feline Med. Surg. 2021, 23, 1009–1027. [Google Scholar] [CrossRef]
- Kittleson, M.D.; Côté, E. The Feline Cardiomyopathies: 2. Hypertrophic Cardiomyopathy. J. Feline Med. Surg. 2021, 23, 1028–1051. [Google Scholar] [CrossRef]
- Kittleson, M.D.; Côté, E. The Feline Cardiomyopathies: 3. Cardiomyopathies Other than HCM. J. Feline Med. Surg. 2021, 23, 1053–1067. [Google Scholar] [CrossRef]
- Luis Fuentes, V.; Abbott, J.; Chetboul, V.; Côté, E.; Fox, P.R.; Häggström, J.; Kittleson, M.D.; Schober, K.; Stern, J.A. ACVIM Consensus Statement Guidelines for the Classification, Diagnosis, and Management of Cardiomyopathies in Cats. J. Vet. Intern. Med. 2020, 34, 1062–1077. [Google Scholar] [CrossRef]
- van Hoek, I.; Hodgkiss-Geere, H.; Bode, E.F.; Hamilton-Elliott, J.; Mõtsküla, P.; Palermo, V.; Pereira, Y.M.; Culshaw, G.J.; Ivanova, A.; Dukes-McEwan, J. Associations among Echocardiography, Cardiac Biomarkers, Insulin Metabolism, Morphology, and Inflammation in Cats with Asymptomatic Hypertrophic Cardiomyopathy. J. Vet. Intern. Med. 2020, 34, 591–599. [Google Scholar] [CrossRef]
- Liu, M.; Köster, L.S.; Fosgate, G.T.; Chadwick, C.C.; Sanz-González, Í.; Eckersall, P.D.; Wotton, P.R.; French, A.T. Cardiovascular-renal Axis Disorder and Acute-phase Proteins in Cats with Congestive Heart Failure Caused by Primary Cardiomyopathy. J. Vet. Intern. Med. 2020, 34, 1078–1090. [Google Scholar] [CrossRef] [PubMed]
- Janus, I.; Noszczyk-Nowak, A.; Bubak, J.; Tursi, M.; Vercelli, C.; Nowak, M. Comparative Cardiac Macroscopic and Microscopic Study in Cats with Hyperthyroidism vs. Cats with Hypertrophic Cardiomyopathy. Vet. Q. 2023, 43, 1–11. [Google Scholar] [CrossRef] [PubMed]
- Janus-Ziółkowska, I.; Bubak, J. The Impact of Short-Term Formalin Fixation on Weight and Ventricular Dimensions in the Hearts of Cats and Small-to-Medium-Sized Dogs. Vet. Sci. 2025, 12, 74. [Google Scholar] [CrossRef] [PubMed]
- Carney, H.C.; Ward, C.R.; Bailey, S.J.; Bruyette, D.; Dennis, S.; Ferguson, D.; Hinc, A.; Rucinsky, A.R. 2016 AAFP Guidelines for the Management of Feline Hyperthyroidism. J. Feline Med. Surg. 2016, 18, 400–416. [Google Scholar] [CrossRef]
- DiBartola, S.P.; Tarr, M.J.; Benson, M.D. Tissue Distribution of Amyloid Deposits in Abyssinian Cats with Familial Amyloidosis. J. Comp. Pathol. 1986, 96, 387–398. [Google Scholar] [CrossRef]
- Niewold, T.A.; van der Linde-Sipman, J.S.; Murphy, C.; Tooten, P.C.J.; Gruys, E. Familial Amyloidosis in Cats: Siamese and Abyssinian AA Proteins Differ in Primary Sequence and Pattern of Deposition. Amyloid 1999, 6, 205–209. [Google Scholar] [CrossRef]
- Struck, A.K.; Klotz, D.; Hülskötter, K.; Wohlsein, P.; Schmitz, J.; Bräsen, J.H.; Distl, O. Complex Segregation Analysis of Familial Amyloidosis in Oriental Shorthair Cats. Vet. J. 2020, 265, 105552. [Google Scholar] [CrossRef]
- Boyce, J.T.; DiBartola, S.P.; Chew, D.J.; Gasper, P.W. Familial Renal Amyloidosis in Abyssinian Cats. Vet. Pathol. 1984, 21, 33–38. [Google Scholar] [CrossRef]
- Beatty, J.A.; Barrs, V.R.; Martin, P.A.; Nicoll, R.G.; France, M.P.; Foster, S.F.; Lamb, W.A.; Malik, R. Spontaneous Hepatic Rupture in Six Cats with Systemic Amyloidosis. J. Small Anim. Pract. 2002, 43, 355–363. [Google Scholar] [CrossRef]
- Neo-suzuki, S.; Mineshige, T.; Kamiie, J.; Kayanuma, H.; Mochizuki, Y.; Hisasue, M.; Tsuchiya, R.; Shirota, K. Hepatic AA Amyloidosis in a Cat: Cytologic and Histologic Identification of AA Amyloid in Macrophages. Vet. Clin. Pathol. 2017, 46, 331–336. [Google Scholar] [CrossRef] [PubMed]
- Moccia, V.; Vogt, A.-C.; Ricagno, S.; Callegari, C.; Vogel, M.; Zini, E.; Ferro, S. Histological Evaluation of the Distribution of Systemic AA-Amyloidosis in Nine Domestic Shorthair Cats. PLoS ONE 2023, 18, e0293892. [Google Scholar] [CrossRef] [PubMed]
- Schulte, T.; Chaves-Sanjuan, A.; Mazzini, G.; Speranzini, V.; Lavatelli, F.; Ferri, F.; Palizzotto, C.; Mazza, M.; Milani, P.; Nuvolone, M.; et al. Cryo-EM Structure of Ex Vivo Fibrils Associated with Extreme AA Amyloidosis Prevalence in a Cat Shelter. Nat. Commun. 2022, 13, 7041. [Google Scholar] [CrossRef] [PubMed]
- Tei, M.; Uchida, K.; Chambers, J.K.; Watanabe, K.; Tamamoto, T.; Ohno, K.; Nakayama, H. Variation of Amino Acid Sequences of Serum Amyloid a (SAA) and Immunohistochemical Analysis of Amyloid a (AA) in Japanese Domestic Cats. J. Vet. Med. Sci. 2018, 80, 164–172. [Google Scholar] [CrossRef]
- Paltrinieri, S.; Sironi, G.; Giori, L.; Faverzani, S.; Longeri, M. Changes in Serum and Urine SAA Concentrations and Qualitative and Quantitative Proteinuria in Abyssinian Cats with Familial Amyloidosis: A Five-Year Longitudinal Study (2009–2014). J. Vet. Intern. Med. 2015, 29, 505–512. [Google Scholar] [CrossRef]
- Phipps-Yonas, H.; Pinard, G.; Ali-Khan, Z. Humoral Proinflammatory Cytokine and SAA Generation Profiles and Spatio-Temporal Relationship Between SAA and Lysosomal Cathepsin B and D in Murine Splenic Monocytoid Cells During AA Amyloidosis. Scand. J. Immunol. 2004, 59, 168–176. [Google Scholar] [CrossRef]
- Kobayashi, N.; Kaneda, M.; Ikeda, M.; Kondo, H.; Iwaide, S.; Itoh, Y.; Hisada, M.; Kato, Y.; Sedghi Masoud, N.; Nomura, K.; et al. Polymorphisms in SAA Alter Intrarenal Amyloid Distribution of AA Amyloidosis in Cats. Sci. Rep. 2025, 15, 21553. [Google Scholar] [CrossRef]
- Zhang, B.; Une, Y.; Fu, X.; Yan, J.; Ge, F.; Yao, J.; Sawashita, J.; Mori, M.; Tomozawa, H.; Kametani, F.; et al. Fecal Transmission of AA Amyloidosis in the Cheetah Contributes to High Incidence of Disease. Proc. Natl. Acad. Sci. USA 2008, 105, 7263–7268. [Google Scholar] [CrossRef]
- Janus-Ziółkowska, I.; Bubak, J.; Noszczyk-Nowak, A. Left Ventricular Dimensions in Feline Hearts Obtained Postmortem (Version 1.0) [Dataset]; Wroclaw University of Environmental and Life Sciences: Wrocław, Polska, 2025. [Google Scholar] [CrossRef]
- Sukhacheva, T.V.; Eremeeva, M.V.; Ibragimova, A.G.; Vaskovskii, V.A.; Serov, R.A.; Revishvili, A.S. Isolated Atrial Amyloidosis in Patients with Various Types of Atrial Fibrillation. Bull. Exp. Biol. Med. 2016, 160, 844–849. [Google Scholar] [CrossRef]
- Richter, S.; Jahnke, C.; Klingel, K.; Paetsch, I. Isolated Atrial Amyloidosis. Eur. Heart J. 2020, 41, 2695. [Google Scholar] [CrossRef]
- Yang, K.; Li, C.; Li, J.; Zhao, S. Isolated Left Atrial Amyloidosis: Masquerading as a Left Atrial Mass. Eur. Heart J. Cardiovasc. Imaging 2023, 24, e30. [Google Scholar] [CrossRef] [PubMed]
- Falk, R.H.; Dubrey, S.W. Amyloid Heart Disease. Prog. Cardiovasc. Dis. 2010, 52, 347–361. [Google Scholar] [CrossRef] [PubMed]
- Fontana, M.; Ioannou, A.; Cuddy, S.; Dorbala, S.; Masri, A.; Moon, J.C.; Singh, V.; Clerc, O.; Hanna, M.; Ruberg, F.; et al. The Last Decade in Cardiac Amyloidosis. JACC Cardiovasc. Imaging 2025, 18, 478–499. [Google Scholar] [CrossRef] [PubMed]
- Hoyer, C.; Angermann, C.E.; Knop, S.; Ertl, G.; Störk, S. Kardiale Amyloidose. Med. Klin. 2008, 103, 153–160. [Google Scholar] [CrossRef]
- Chacko, L.; Kotecha, T.; Ioannou, A.; Patel, N.; Martinez-Naharro, A.; Razvi, Y.; Patel, R.; Massa, P.; Venneri, L.; Brown, J.; et al. Myocardial Perfusion in Cardiac Amyloidosis. Eur. J. Heart Fail. 2024, 26, 598–609. [Google Scholar] [CrossRef]
- Kristen, A.V. Amyloid Cardiomyopathy. Herz 2020, 45, 267–271. [Google Scholar] [CrossRef]
- Lou, K.; Liu, S.; Zhang, F.; Sun, W.; Su, X.; Bi, W.; Yin, Q.; Qiu, Y.; Zhang, Z.; Jing, M.; et al. The Effect of Hyperthyroidism on Cognitive Function, Neuroinflammation, and Necroptosis in APP/PS1 Mice. J. Transl. Med. 2023, 21, 657. [Google Scholar] [CrossRef]
- Sekijima, Y. Transthyretin (ATTR) Amyloidosis: Clinical Spectrum, Molecular Pathogenesis and Disease-Modifying Treatments. J. Neurol. Neurosurg. Psychiatry 2015, 86, 1036–1043. [Google Scholar] [CrossRef]
- Takahashi, K.; Chambers, J.K.; Takaichi, Y.; Uchida, K. Different Aβ43 Deposition Patterns in the Brains of Aged Dogs, Sea Lions, and Cats. J. Vet. Med. Sci. 2022, 84, 22–0386. [Google Scholar] [CrossRef]
- Uchida, K.; Nakayama, H.; Goto, N. Pathological Studies on Cerebral Amyloid Angiopathy, Senile Plaques and Amyloid Deposition in Visceral Organs in Aged Dogs. J. Vet. Med. Sci. 1991, 53, 1037–1042. [Google Scholar] [CrossRef]
- Jönsson, L. Senile Cardiac Amyloidosis in The Dog. Acta Vet. Scand. 1974, 15, 206–218. [Google Scholar] [CrossRef]
- Dorbala, S.; Vangala, D.; Bruyere, J.; Quarta, C.; Kruger, J.; Padera, R.; Foster, C.; Hanley, M.; Di Carli, M.F.; Falk, R. Coronary Microvascular Dysfunction Is Related to Abnormalities in Myocardial Structure and Function in Cardiac Amyloidosis. JACC Heart Fail. 2014, 2, 358–367. [Google Scholar] [CrossRef]
- Migrino, R.Q.; Truran, S.; Gutterman, D.D.; Franco, D.A.; Bright, M.; Schlundt, B.; Timmons, M.; Motta, A.; Phillips, S.A.; Hari, P. Human Microvascular Dysfunction and Apoptotic Injury Induced by AL Amyloidosis Light Chain Proteins. Am. J. Physiol.-Heart Circ. Physiol. 2011, 301, H2305–H2312. [Google Scholar] [CrossRef] [PubMed]
- Iwaide, S.; Wachoski-Dark, G.L.; Murakami, T.; Sedghi Masoud, N.; Itoh, Y.; Hisada, M.; Kimura, K.; Shibahara, T.; Haritani, M.; Caswell, J.L. Identification of Fibrinogen Aα-Chain as an Amyloid Precursor Protein in a Case of Canine Coronary Artery Amyloidosis. J. Vet. Diagn. Invest. 2025, 37, 689–693. [Google Scholar] [CrossRef] [PubMed]
- Gaffney, P.M.; Imai, D.M.; Clifford, D.L.; Ghassemian, M.; Sasik, R.; Chang, A.N.; O’Brien, T.D.; Coppinger, J.; Trejo, M.; Masliah, E.; et al. Proteomic Analysis of Highly Prevalent Amyloid A Amyloidosis Endemic to Endangered Island Foxes. PLoS ONE 2014, 9, e113765. [Google Scholar] [CrossRef] [PubMed]
- Nakayama, Y.; Kamiie, J.; Watanabe, G.; Suzuki, K.; Murakami, T. Spontaneous, Experimentally Induced, and Transmissible AA Amyloidosis in Japanese Quail (Coturnix Japonica). Vet. Pathol. 2017, 54, 912–921. [Google Scholar] [CrossRef]
- Chen, H.; Zhu, D.; Wang, M.; Jia, R.; Chen, S.; Liu, M.; Zhao, X.; Yang, Q.; Wu, Y.; Zhang, S.; et al. Amyloid A Amyloidosis Secondary to Avian Tuberculosis in Naturally Infected Domestic Pekin Ducks (Anas Platyrhynchos Domestica). Comp. Immunol. Microbiol. Infect. Dis. 2019, 63, 136–141. [Google Scholar] [CrossRef]
- Yamada, M.; Kotani, Y.; Nakamura, K.; Kobayashi, Y.; Horiuchi, N.; Doi, T.; Suzuki, S.; Sato, N.; Kanno, T.; Matsui, T. Immunohistochemical Distribution of Amyloid Deposits in 25 Cows Diagnosed with Systemic AA Amyloidosis. J. Vet. Med. Sci. 2006, 68, 725–729. [Google Scholar] [CrossRef]
- Moccia, V.; Tucciarone, C.M.; Garutti, S.; Milazzo, M.; Ferri, F.; Palizzotto, C.; Mazza, M.; Basset, M.; Zini, E.; Ricagno, S.; et al. AA Amyloidosis in Vertebrates: Epidemiology, Pathology and Molecular Aspects. Amyloid 2025, 32, 3–13. [Google Scholar] [CrossRef]



| Group | Ventricular Specimens n = 69 | Atrial Specimens n = 119 |
|---|---|---|
| HCM | 19 | 19 |
| RCM | 8 | 8 |
| DCM | 4 | 4 |
| AC | 5 | 5 |
| FHT | 13 | 13 |
| MC | 14 | 14 |
| FIP | - | 2 |
| FLUTD | - | 4 |
| NEO | - | 12 |
| CKD | - | 3 |
| LRTD | - | 5 |
| CONG | - | 7 |
| KI | - | 9 |
| PI | 8 | |
| Control | 6 | 6 |
| Case Number | 6 | 7 | 29 | 30 | 114 |
|---|---|---|---|---|---|
| Diagnosis | KI | FHT | FHT | FHT | RCM |
| Age [years] | 10 | 12 | 15 | 12 | 9 |
| Sex | M | F | F | M | M |
| Breed | ESH | ESH | ESH | ESH | ESH |
| HW [g] | 24 | 21 | 22 | 23.5 | 23 |
| LVW thickness [mm] | 9.0 | 5.5 | 5.4 | 8.5 | 4.7 |
| IVS thickness [mm] | 8.1 | 5.8 | 7.0 | 8.4 | 6.3 |
| Case Number | 6 | 7 | 29 | 30 | 114 |
|---|---|---|---|---|---|
| LA | moderate small arterial wall hypertrophy | mild interstitial fibrosis; mild cardiomyocyte degeneration | moderate cardiomyocyte degeneration; scattered inflammatory (lympho-plasmocytic) infiltration within the myocardium | moderate cardiomyocyte degeneration | severe cardiomyocyte degeneration; mild interstitial fibrosis |
| RA | moderate small arterial wall hypertrophy | moderate interstitial fibrosis; small mild coronary arterial wall hypertrophy | moderate cardiomyocyte degeneration; scattered inflammatory (lympho-plasmocytic) infiltration within the myocardium | moderate cardiomyocyte degeneration | severe cardiomyocyte degeneration |
| LVW | mild focal cardiomyocyte degeneration; mild to moderate perivascular fibrosis; moderate small arterial wall hypertrophy | mild cardiomyocyte degeneration; multiple small areas of myocardial fibrosis; mild to moderate perivascular fibrosis | moderate cardiomyocyte degeneration; scattered inflammatory (lympho-plasmocytic) infiltration within the myocardium | moderate cardiomyocyte degeneration and hypertrophy; severe hypertrophy of small arterial walls; mild interstitial fibrosis | severe cardiomyocyte degeneration; severe interstitial fibrosis |
| IVS | mild focal cardiomyocyte degeneration; mild to moderate perivascular fibrosis | mild cardiomyocyte degeneration; multiple small areas of myocardial fibrosis; mild to moderate perivascular fibrosis | moderate cardiomyocyte degeneration; scattered inflammatory (lympho-plasmocytic) infiltration within the myocardium | moderate cardiomyocyte degeneration and hypertrophy; severe hypertrophy of small arterial walls; subendocardial focal myocardial necrosis | severe cardiomyocyte degeneration; moderate interstitial fibrosis |
| RVW | mild focal cardiomyocyte degeneration; mild to moderate perivascular fibrosis | mild cardiomyocyte degeneration | moderate cardiomyocyte degeneration; scattered inflammatory (lympho-plasmocytic) infiltration within the myocardium | moderate cardiomyocyte degeneration and hypertrophy | severe cardiomyocyte degeneration; moderate interstitial fibrosis |
| Distribution of amyloid | intramural coronary arteries (media) of the LA, LAA, RA, and RAA | intramural coronary arteries (media) of the RA | intramural coronary arteries (media) of the LVW and IVS | intramural coronary arteries (media) of the LA, LAA, RA, RAA, LVW, and IVS | intramural coronary arteries (media) of the RA, LVW, and IVS |
Disclaimer/Publisher’s Note: The statements, opinions and data contained in all publications are solely those of the individual author(s) and contributor(s) and not of MDPI and/or the editor(s). MDPI and/or the editor(s) disclaim responsibility for any injury to people or property resulting from any ideas, methods, instructions or products referred to in the content. |
© 2026 by the authors. Licensee MDPI, Basel, Switzerland. This article is an open access article distributed under the terms and conditions of the Creative Commons Attribution (CC BY) license.
Share and Cite
Janus-Ziółkowska, I.; Bubak, J.; Sawińska, E.; Nowak, M.; Noszczyk-Nowak, A. Amyloid Deposits in Intramural Coronary Arteries of Feline Hearts: A Retrospective Histopathological Study. J. Mol. Pathol. 2026, 7, 10. https://doi.org/10.3390/jmp7010010
Janus-Ziółkowska I, Bubak J, Sawińska E, Nowak M, Noszczyk-Nowak A. Amyloid Deposits in Intramural Coronary Arteries of Feline Hearts: A Retrospective Histopathological Study. Journal of Molecular Pathology. 2026; 7(1):10. https://doi.org/10.3390/jmp7010010
Chicago/Turabian StyleJanus-Ziółkowska, Izabela, Joanna Bubak, Ewa Sawińska, Marcin Nowak, and Agnieszka Noszczyk-Nowak. 2026. "Amyloid Deposits in Intramural Coronary Arteries of Feline Hearts: A Retrospective Histopathological Study" Journal of Molecular Pathology 7, no. 1: 10. https://doi.org/10.3390/jmp7010010
APA StyleJanus-Ziółkowska, I., Bubak, J., Sawińska, E., Nowak, M., & Noszczyk-Nowak, A. (2026). Amyloid Deposits in Intramural Coronary Arteries of Feline Hearts: A Retrospective Histopathological Study. Journal of Molecular Pathology, 7(1), 10. https://doi.org/10.3390/jmp7010010

