Conventional Transbronchial Needle Aspiration (cTBNA) and EBUS-Guided Transbronchial Needle Aspiration (EBUS-TBNA): A Retrospective Study on the Comparison of the Two Methods for Diagnostic Adequacy in Molecular Analysis
Abstract
:1. Introduction
2. Material and Methods
2.1. Patient Selection
2.2. Performance of Conventional Transbronchial Needle Aspiration
2.3. Performance of Endobronchial Ultrasound-Guided Transbronchial Needle Aspiration
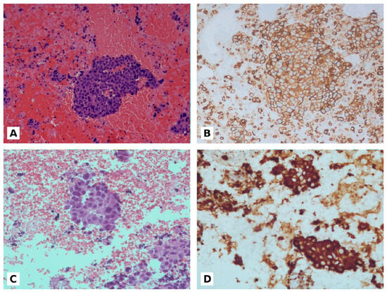
2.4. Pathological Analysis
2.5. PD-L1 Expression Tests
2.6. Statistical Analysis
3. Results
3.1. Patients’ Characteristics
3.2. Cytopathological Results
3.3. Molecular Analysis
3.4. Evaluation of PD-L1 Expression
4. Discussion
5. Conclusions
Author Contributions
Funding
Institutional Review Board Statement
Informed Consent Statement
Data Availability Statement
Conflicts of Interest
References
- Sung, H.; Ferlay, J.; Siegel, R.L.; Laversanne, M.; Soerjomataram, I.; Jemal, A.; Bray, F. Global Cancer Statistics 2020: GLOBOCAN Estimates of Incidence and Mortality Worldwide for 36 Cancers in 185 Countries. CA Cancer J. Clin. 2021, 71, 209–249. [Google Scholar] [CrossRef]
- Thomas, A.; Rajan, A.; Lopez-Chavez, A.; Wang, Y.; Giaccone, G. From targets to targeted therapies and molecular profiling in non-small cell lung carcinoma. Ann. Oncol. 2013, 24, 577–585. [Google Scholar] [CrossRef] [PubMed]
- Bethune, G.; Bethune, D.; Ridgway, N.; Xu, Z. Epidermal growth factor receptor (EGFR) in lung cancer: An overview and update. J. Thorac. Dis. 2010, 2, 48–51. [Google Scholar] [PubMed]
- World Health Organization (WHO). Classification of Tumours of Thoracic Tumours, 5th ed.; WHO: Geneva, Switzerland, 2020. [Google Scholar]
- Yu, H.; Boyl, T.A.; Caicun, Z.; Rimm, D.L.; Hirsch, F.R. PD-L1 Expression in Lung Cancer. J. Thorac. Oncol. 2016, 11, 974–985. [Google Scholar] [CrossRef] [PubMed] [Green Version]
- Haranguş, A.; Berindan-Neagoe, I.; Toma, L.; Şimon, I.; Pop, O.; Şimon, M. EBUS in optimizing non-small cell lung cancer diagnosis and treatment. Med. Pharm. Rep. 2021, 94, 176–184. [Google Scholar] [CrossRef]
- Anila, K.R.; Nayak, N.; Venugopal, M.; Jayasree, K. Role of Rapid On-site Evaluation in CT-guided Fine Needle Aspiration Cytology of Lung Nodules. J. Cytol. 2018, 35, 229–232. [Google Scholar] [CrossRef]
- Shen, H.; Lou, L.; Chen, T. Comparison of transbronchial needle aspiration with and without ultrasound guidance for diagnosing benign lymph node adenopathy. Diagn. Pathol. 2020, 15, 36. [Google Scholar] [CrossRef] [PubMed] [Green Version]
- Rusch, V.W.; Asamura, H.; Watanabe, H.; Giroux, D.J.; Rami-Porta, R.; Goldstraw, P. A Proposal for a New International Lymph Node Map in the Forthcoming Seventh Edition of the TNM Classification for Lung Cancer. J. Thorac. Oncol. 2009, 4, 568–577. [Google Scholar] [CrossRef] [Green Version]
- Küpeli, E. Conventional transbronchial needle aspiration in community practice. J. Thorac. Dis. 2015, 7, S256–S265. [Google Scholar]
- Danakas, A.M.; Jones, C.E.; Magguilli, M.; Lada, M.J.; Plavnicky, J.; Parajuli, S.; Wizorek, J.J.; Peyre, C.G.; Ettel, M.; Sweeney, M.; et al. Optimising rapid on-site evaluation-assisted endobronchial ultrasound-guided transbronchial needle aspiration of mediastinal lymph nodes: The real-time cytopathology intervention process. Cytopathology 2021, 32, 318–325. [Google Scholar] [CrossRef]
- Jain, D.; Allen, T.C.; Aisner, D.L.; Beasley, M.B.; Cagle, P.T.; Capelozzi, V.L.; Hariri, L.P.; Lantuejoul, S.; Miller, R.; Mino-Kenudson, M.; et al. Rapid On-Site Evaluation of Endobronchial Ultrasound-Guided Transbronchial Needle Aspirations for the Diagnosis of Lung Cancer: A Perspective from Members of the Pulmonary Pathology Society. Arch. Pathol. Lab. Med. 2018, 142, 253–262. [Google Scholar] [CrossRef] [PubMed] [Green Version]
- Landi, L.; Chiari, R.; Tiseo, M.; D’Incà, F.; Dazzi, C.; Chella, A.; Delmonte, A.; Bonanno, L.; Giannarelli, D.; Cortinovis, D.L.; et al. Crizotinib in MET-Deregulated or ROS1-Rearranged Pretreated Non-Small Cell Lung Cancer (METROS): A Phase II, Prospective, Multicenter, Two-Arms Trial. Clin. Cancer Res. 2019, 25, 7312–7319. [Google Scholar] [CrossRef] [Green Version]
- Siegel, R.L.; Miller, K.D.; Jemal, A. Cancer statistics. CA Cancer J. Clin. 2015, 65, 5–29. [Google Scholar] [CrossRef] [PubMed]
- Maemondo, M.; Inoue, A.; Kobayashi, K.; Sugawara, S.; Oizumi, S.; Isobe, H.; Gemma, A. Gefitinib or chemotherapy for non-small-cell lung cancer with mutated EGFR. N. Engl. J. Med. 2010, 362, 2380–2388. [Google Scholar] [CrossRef] [PubMed] [Green Version]
- Rolfo, C.; Caglevic, C.; Santarpia, M.; Araujo, A.; Giovannetti, E.; Gallardo, C.D.; Pauwels, P.; Mahave, M. Immunotherapy in NSCLC: A Promising and Revolutionary Weapon. Adv. Exp. Med. Biol. 2017, 995, 97–125. [Google Scholar] [PubMed]
- Xia, Y.; Zhang, B.; Zhang, H.; Li, W.; Wang, K.P.; Shen, H. Evaluation of lymph node metastasis in lung cancer: Who is the chief justice? J. Thorac. Dis. 2015, 7, 231–237. [Google Scholar]
- Um, S.W.; Kim, H.K.; Jung, S.H.; Han, J.; Lee, K.J.; Park, H.Y. Endobronchial ultrasound versus mediastinoscopy for mediastinal nodal staging of non-small-cell lung cancer. J. Thorac. Oncol. 2015, 10, 331–337. [Google Scholar] [CrossRef] [Green Version]
- Yasufuku, K.; Pierre, A.; Darling, G.; de Perrot, M.; Waddell, T.; Johnston, M. A prospective controlled trial of endobronchial ultrasound-guided transbronchial needle aspiration compared with mediastinoscopy for mediastinal lymph node staging of lung cancer. J. Thorac. Cardiovasc. Surg. 2011, 142, 1393–1400. [Google Scholar] [CrossRef] [Green Version]
- Xia, Y.; Ma, Y.; Arias, S.; Lee, H.; Wang, K.P. Utilization of the International Association for the Study of Lung Cancer and Wang’s nodal map for the identification of mediastinum and hilar lymph nodes. Thorac. Cancer 2015, 6, 464–468. [Google Scholar] [CrossRef] [Green Version]
- Jurado, J.; Saqi, A.; Maxfield, R.; Newmark, A.; Lavelle, M.; Bacchetta, M.; Gorenstein, L.; Dovidio, F.; Ginsburg, M.E.; Sonett, J. The Efficacy of EBUS-Guided Transbronchial Needle Aspiration for Molecular Testing in Lung Adenocarcinoma. Ann. Thorac. Surg. 2013, 96, 1196–1202. [Google Scholar] [CrossRef]
- Sharma, S.V.; Settleman, J. ErbBs in lung cancer. Exp. Cell Res. 2009, 315, 557–571. [Google Scholar] [CrossRef] [PubMed]
- Agrawal, A.; Ghori, U.; Chaddha, U.; Murgu, S. Combined EBUS-IFB and EBUS-TBNA vs EBUS-TBNA alone for intrathoracic adenopathy: A Meta-analysis. Ann. Thorac. Surg. 2021. [Google Scholar] [CrossRef]
- Casadio, C.; Guarize, J.; Donghi, S. Molecular Testing for Targeted Therapy in Advanced Non-Small Cell Lung Cancer: Suitability of Endobronchial Ultrasound Transbronchial Needle Aspiration. Am. J. Clin. Pathol. 2015, 144, 629–634. [Google Scholar] [CrossRef] [PubMed]
- Trisolini, R.; Cancellieri, A.; Tinelli, C. Randomized Trial of Endobronchial Ultrasound-Guided Transbronchial Needle Aspiration with and Without Rapid On-site Evaluation for Lung Cancer Genotyping. Chest 2015, 148, 1430–1437. [Google Scholar] [CrossRef] [PubMed]
- Van der Heijden, E.H.; Casal, R.F.; Trisolini, R. Guideline for the acquisition and preparation of conventional and endobronchial ultrasound-guided transbronchial needle aspiration specimens for the diagnosis and molecular testing of patients with known or suspected lung cancer. Respiration 2014, 88, 500–517. [Google Scholar] [CrossRef]
- Biswas, A.; Leon, M.E.; Drew, P. Clinical performance of endobronchial ultrasound-guided transbronchial needle aspiration for assessing programmed death ligand-1 expression in non-small cell lung cancer. Diagn. Cytopathol. 2018, 46, 378–383. [Google Scholar] [CrossRef]
- Caddha, U.; Hogarth, D.K.; Murgu, S. The role of endobronchial ultrasound transbronchial needle aspiration for programmed death ligand-1 testing and next generation sequencing in advanced non-small cell lung cancer. Ann. Transl. Med. 2019, 7, 351. [Google Scholar] [CrossRef]

| cTBNA | EBUS-TBNA | |
|---|---|---|
| Patients | 119 | 199 |
| Male/female | 84/35 | 146/53 |
| Mean age (years) + SD | 67.89 ± 10.36 | 68.86 ± 11.50 |
| Location of targeted lymph nodes | ||
| 2R | 7 (4.92%) | 34 (9.09%) |
| 2L | 1 (0.70%) | 2 (0.53%) |
| 3 | 0 | 1 (0.26%) |
| 4R | 35 (24.64%) | 64 (17.11%) |
| 4L | 3 (2.11%) | 19 (5.08%) |
| 7 | 85 (59.85%) | 91 (24.33%) |
| 8 | 1 (0.70%) | 2 (0.53%) |
| 10R | 3 (2.11%) | 69 (18.44%) |
| 10L | 2 (1.40%) | 23 (6.14%) |
| 11R | 1 (0.70%) | 29 (7.75%) |
| 11L | 1 (0.70%) | 6 (1.60%) |
| Peribronchial | 3 (2.11%) | 34 (9.09%) |
| Total lymph node sites | 142 | 374 |
| cTBNA (N = 119) | EBUS-TBNA (N = 199) | |
|---|---|---|
| Adenocarcinoma | 27 (23%) | 59 (30%) |
| Squamous cell carcinoma | 11 (9%) | 20 (10%) |
| Non-small-cell lung carcinoma, NOS | 7 (6%) | 7 (3%) |
| Small-cell lung carcinoma | 13 (11%) | 20 (10%) |
| Carcinoid tumor | 2 (2%) | 0 |
| Lymphoma | 1 (0.8%) | 2 (1%) |
| Metastasis | 5 (4%) | 13 (6%) |
| Negative | 53 (44%) | 78 (39%) |
| cTBNA (N = 45) | EBUS-TBNA (N = 86) | p-Value | |
|---|---|---|---|
| Diagnostic adequacy | 25 (56%) | 62 (72%) | 0.08 |
| Percentage of neoplastic cells | 45.25 ± 22.84 | 51.19 ± 22.14 | 0.05 |
| cTBNA (N = 45) | EBUS-TBNA (N = 86) | |
|---|---|---|
| EGFR | 22 | 40 |
| Positive | 2 | 6 |
| Wild type | 20 | 34 |
| ALK | 18 | 39 |
| Positive | 4 | 2 |
| Negative | 14 | 37 |
| KRas | 16 | 31 |
| Positive | 6 | 11 |
| Wild type | 10 | 20 |
| PD-L1 | 22 | 45 |
| Positive | 17 | 38 |
| TPS ≥ 50% | 6 | 18 |
| TPS < 50% | 11 | 20 |
| Negative | 3 | 6 |
| Not enough tissue for analysis | 2 | 1 |
Publisher’s Note: MDPI stays neutral with regard to jurisdictional claims in published maps and institutional affiliations. |
© 2021 by the authors. Licensee MDPI, Basel, Switzerland. This article is an open access article distributed under the terms and conditions of the Creative Commons Attribution (CC BY) license (https://creativecommons.org/licenses/by/4.0/).
Share and Cite
Signorini, F.; Panozzi, M.; Proietti, A.; Alì, G.; Fanucchi, O.; Picchi, A.; Ribechini, A.; Poma, A.M.; Bruno, R.; Chella, A.; et al. Conventional Transbronchial Needle Aspiration (cTBNA) and EBUS-Guided Transbronchial Needle Aspiration (EBUS-TBNA): A Retrospective Study on the Comparison of the Two Methods for Diagnostic Adequacy in Molecular Analysis. J. Mol. Pathol. 2021, 2, 296-305. https://doi.org/10.3390/jmp2040025
Signorini F, Panozzi M, Proietti A, Alì G, Fanucchi O, Picchi A, Ribechini A, Poma AM, Bruno R, Chella A, et al. Conventional Transbronchial Needle Aspiration (cTBNA) and EBUS-Guided Transbronchial Needle Aspiration (EBUS-TBNA): A Retrospective Study on the Comparison of the Two Methods for Diagnostic Adequacy in Molecular Analysis. Journal of Molecular Pathology. 2021; 2(4):296-305. https://doi.org/10.3390/jmp2040025
Chicago/Turabian StyleSignorini, Francesca, Martina Panozzi, Agnese Proietti, Greta Alì, Olivia Fanucchi, Alessandro Picchi, Alessandro Ribechini, Anello M. Poma, Rossella Bruno, Antonio Chella, and et al. 2021. "Conventional Transbronchial Needle Aspiration (cTBNA) and EBUS-Guided Transbronchial Needle Aspiration (EBUS-TBNA): A Retrospective Study on the Comparison of the Two Methods for Diagnostic Adequacy in Molecular Analysis" Journal of Molecular Pathology 2, no. 4: 296-305. https://doi.org/10.3390/jmp2040025
APA StyleSignorini, F., Panozzi, M., Proietti, A., Alì, G., Fanucchi, O., Picchi, A., Ribechini, A., Poma, A. M., Bruno, R., Chella, A., & Fontanini, G. (2021). Conventional Transbronchial Needle Aspiration (cTBNA) and EBUS-Guided Transbronchial Needle Aspiration (EBUS-TBNA): A Retrospective Study on the Comparison of the Two Methods for Diagnostic Adequacy in Molecular Analysis. Journal of Molecular Pathology, 2(4), 296-305. https://doi.org/10.3390/jmp2040025

