A Framework for Early Detection of Glaucoma in Retinal Fundus Images Using Deep Learning †
Abstract
1. Introduction
2. Related Work
3. Materials and Methods
3.1. Experimental Setup
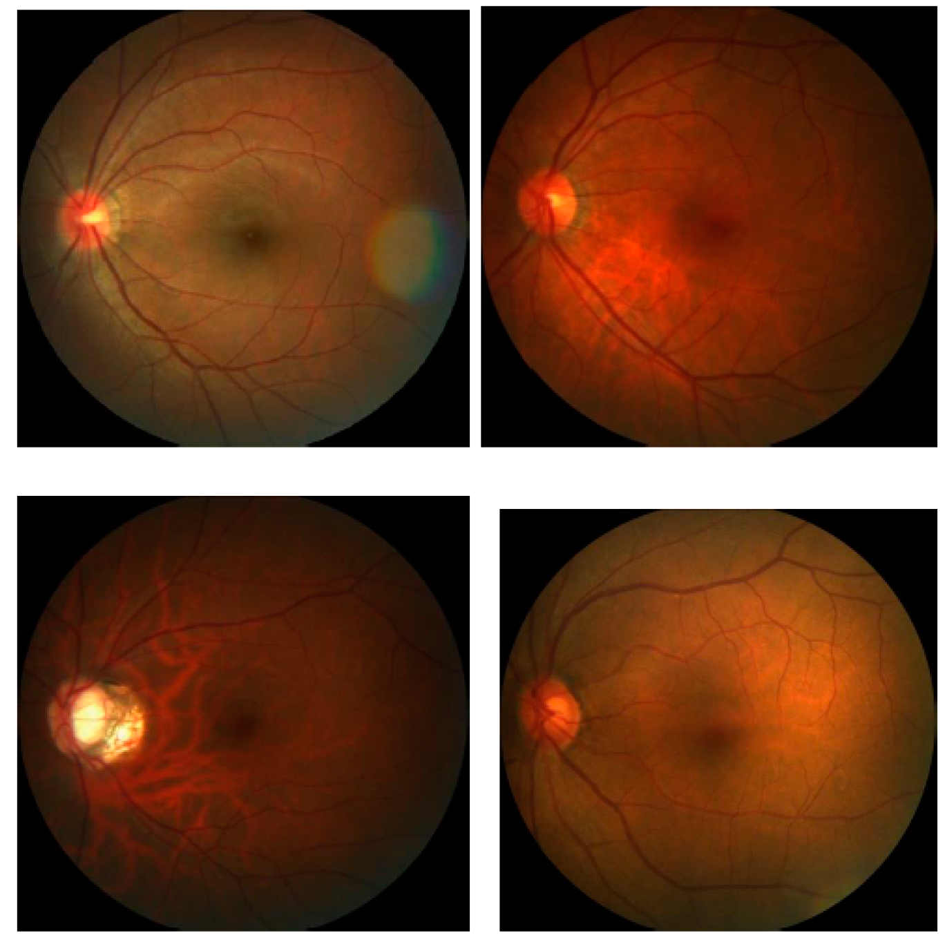
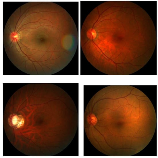
3.2. Database
3.3. Propose Methodology
3.3.1. AlexNet
3.3.2. VGG16
3.3.3. ResNet50
3.3.4. InceptionV3
4. Results and Discussion
5. Conclusions and Future Works
Author Contributions
Funding
Institutional Review Board Statement
Informed Consent Statement
Data Availability Statement
Acknowledgments
Conflicts of Interest
References
- A-Websolutions.com. Glaucoma Treatment in Ghatkopar, Mumbai. Available online: https://clearsight.co.in/glaucoma.php (accessed on 17 September 2023).
- Zedan, M.J.M.; Zulkifley, M.A.; Ibrahim, A.A.; Moubark, A.M.; Kamari, N.A.M.; Abdani, S.R. Automated Glaucoma Screening and Diagnosis Based on Retinal Fundus Images Using Deep Learning Approaches: A Comprehensive Review. Diagnostics 2023, 13, 2180. [Google Scholar] [CrossRef] [PubMed]
- Quigley, H.A.; Broman, A.T. The Number of People with Glaucoma Worldwide in 2010 and 2020. Br. J. Ophthalmol. 2006, 90, 262. [Google Scholar] [CrossRef] [PubMed]
- Sharma, P.; Sample, P.A.; Zangwill, L.M.; Schuman, J.S. Diagnostic tools for glaucoma detection and management. Surv. Ophthalmol. 2008, 53, S17–S32. [Google Scholar] [CrossRef] [PubMed]
- Veena, H.N.; Muruganandham, A.; Kumaran, T.S. A review on the optic disc and optic cup segmentation and classification approaches over retinal fundus images for detection of glaucoma. SN Appl. Sci. 2020, 2, 1476. [Google Scholar] [CrossRef]
- Jonas, J.B.; Bergua, A.; Schmitz–Valckenberg, P.; Papastathopoulos, K.I.; Budde, W.M. Ranking of optic disc variables for detection of glaucomatous optic nerve damage. Investig. Ophthalmol. Vis. Sci. 2020, 41, 1764–1773. [Google Scholar]
- Jonas, J.B.; Aung, T.; Bourne, R.R.; Bron, A.M.; Ritch, R.; Panda-Jonas, S. Glaucoma. Lancet 2017, 390, 2183–2193. [Google Scholar] [CrossRef] [PubMed]
- Hancox, M.D. Optic disc size, an important consideration in the glaucoma evaluation. Clin. Eye Vis. Care 1999, 11, 59–62. [Google Scholar] [CrossRef]
- Lee, K.; Niemeijer, M.; Garvin, M.K.; Kwon, Y.H.; Sonka, M.; Abramoff, M.D. Segmentation of the optic disc in 3-D OCT scans of the optic nerve head. IEEE Trans. Med. Imag. 2010, 29, 159–168. [Google Scholar]
- Joshi, J.D.; Sivaswamy, J.; Krishnadas, J.L. Optic Disk and Cup Segmentation from Monocular Colour Retinal Images for Glaucoma Assessment. IEEE Trans. Med. Imag. 2011, 30, 1192–1205. [Google Scholar] [CrossRef] [PubMed]
- Almazroa, A.; Burman, R.; Raahemifar, K.; Lakshminarayanan, V. Optic Disc and Optic Cup Segmentation Methodologies for Glaucoma Image Detection: A Survey. J. Ophthalmol. 2015, 2015, 180972. [Google Scholar] [CrossRef] [PubMed]
- Asaoka, R.; Hirasawa, K.; Iwase, A.; Fujino, Y.; Murata, H.; Shoji, N.; Araie, M. Validating the usefulness of the “random forests” classifier to diagnose early glaucoma with optical coherence tomography. Am. J. Ophthalmol. 2017, 174, 95–103. [Google Scholar] [CrossRef] [PubMed]
- Fu, H.; Xu, Y.; Lin, S.; Wong, D.W.; Mani, B.; Mahesh, M.; Aung, T.; Liu, J. Multi-context Deep Network for Angle-Closure Glaucoma Screening in Anterior Segment OCT. In Medical Image Computing and Computer Assisted Intervention–MICCAI 2018; Springer: Cham, Switzerland, 2018; Volume 11071. [Google Scholar] [CrossRef]
- Zhu, Q.; Chen, X.; Meng, Q.; Song, J.; Luo, G.; Wang, M.; Shi, F.; Chen, Z.; Xiang, D.; Pan, L.; et al. GDCSeg-Net: General Optic Disc and Cup Segmentation Network for Multi-Device Fundus Images. Biomed. Opt. Express 2021, 12, 6529–6544. [Google Scholar] [CrossRef] [PubMed]
- Jin, B.; Liu, P.; Wang, P.; Shi, L.; Zhao, J. Optic Disc Segmentation Using Attention-Based U-Net and the Improved Cross-Entropy Convolutional Neural Network. Entropy 2020, 22, 844. [Google Scholar] [CrossRef] [PubMed]
- Virbukaitė, S.; Bernatavičienė, J. Deep Learning Methods for Glaucoma Identification Using Digital Fundus Images. Balt. J. Mod. Comput. 2020, 8, 520–530. [Google Scholar] [CrossRef]
- Zhuang, F.; Qi, Z.; Duan, K.; Xi, D.; Zhu, Y.; Zhu, H.; Xiong, H.; He, Q. A comprehensive survey on transfer learning. Proc. IEEE 2021, 109, 43–76. [Google Scholar] [CrossRef]
- Weiss, K.; Khoshgoftaar, T.M.; Wang, D. A Survey of Transfer Learning; Springer International Publishing: New York, NY, USA, 2016. [Google Scholar]
- Krizhevsky, B.A.; Sutskever, I.; Hinton, G.E. ImageNet classification with deep convolutional neural networks. Commun. ACM 2012, 60, 84–90. [Google Scholar] [CrossRef]
- Salih, S.Q.; Abdulla, H.K.; Ahmed, Z.S.; Surameery, N.M.S.; Rashid, R.D. Modified AlexNet Convolution Neural Network for Covid-19 Detection Using Chest X-ray Images. Kurd. J. Appl. Res. 2020, 5, 119–130. [Google Scholar] [CrossRef]
- LeCun, Y.; Bengio, Y.; Hinton, G. Deep learning. Nature 2015, 521, 436–444. [Google Scholar] [CrossRef] [PubMed]
- He, K.; Zhang, X.; Ren, S.; Sun, J. Deep residual learning for image recognition. In Proceedings of the 2016 IEEE Conference on Computer Vision and Pattern Recognition (CVPR), Las Vegas, NV, USA, 27–30 June 2016. [Google Scholar]
- Szegedy, C.; Liu, W.; Jia, Y.; Sermanet, P.; Reed, S.; Anguelov, D.; Erhan, D.; Vanhoucke, V.; Rabinovich, A. Going deeper with convolutions. In Proceedings of the 2015 IEEE Conference on Computer Vision and Pattern Recognition (CVPR), Boston, MA, USA, 7–12 June 2015. [Google Scholar]
- Szegedy, C.; Vanhoucke, V.; Shlens, J. Rethinking the inception architecture for computer vision. In Proceedings of the 2016 IEEE Conference on Computer Vision and Pattern Recognition (CVPR), Las Vegas, NV, USA, 27–30 June 2016. [Google Scholar]







| Dataset | Architecture | Accuracy (%) | Sensitivity (%) | Specificity (%) | F1 Score |
|---|---|---|---|---|---|
| ORIGA | AlexNet | 94.3 | 93.4 | 94.5 | 94.1 |
| VGG16 | 95.2 | 94.4 | 95.2 | 95.4 | |
| ResNet 50 | 96.8 | 94.1 | 96.3 | 95.4 | |
| Inception V3 | 97.5 | 96.2 | 97.4 | 97.4 | |
| Hybrid ResNet 50 and Inception V3 | 99.7 | 98.9 | 99.2 | 99.6 | |
| STARE | AlexNet | 92.2 | 89.4 | 92.4 | 91.4 |
| VGG16 | 93.5 | 90.3 | 93.6 | 92.4 | |
| ResNet 50 | 95.4 | 95.2 | 94.2 | 95.3 | |
| Inception V3 | 98.2 | 96.2 | 97.2 | 97.6 | |
| Hybrid ResNet 50 and Inception V3 | 99.3 | 97.5 | 99.1 | 98.5 | |
| REFUGE | AlexNet | 91.2 | 88.4 | 90.4 | 91.4 |
| VGG16 | 93.2 | 91.3 | 93.2 | 92.4 | |
| ResNet 50 | 95.2 | 93.6 | 96.1 | 95.4 | |
| Inception V3 | 96.8 | 94.6 | 97.3 | 96.7 | |
| Hybrid ResNet 50 and Inception V3 | 99.4 | 98.1 | 99.1 | 99.2 |
Disclaimer/Publisher’s Note: The statements, opinions and data contained in all publications are solely those of the individual author(s) and contributor(s) and not of MDPI and/or the editor(s). MDPI and/or the editor(s) disclaim responsibility for any injury to people or property resulting from any ideas, methods, instructions or products referred to in the content. |
© 2024 by the authors. Licensee MDPI, Basel, Switzerland. This article is an open access article distributed under the terms and conditions of the Creative Commons Attribution (CC BY) license (https://creativecommons.org/licenses/by/4.0/).
Share and Cite
Govindan, M.; Dhakshnamurthy, V.K.; Sreerangan, K.; Nagarajan, M.D.; Rajamanickam, S.K. A Framework for Early Detection of Glaucoma in Retinal Fundus Images Using Deep Learning. Eng. Proc. 2024, 62, 3. https://doi.org/10.3390/engproc2024062003
Govindan M, Dhakshnamurthy VK, Sreerangan K, Nagarajan MD, Rajamanickam SK. A Framework for Early Detection of Glaucoma in Retinal Fundus Images Using Deep Learning. Engineering Proceedings. 2024; 62(1):3. https://doi.org/10.3390/engproc2024062003
Chicago/Turabian StyleGovindan, Murali, Vinod Kumar Dhakshnamurthy, Kannan Sreerangan, Manikanda Devarajan Nagarajan, and Suresh Kumar Rajamanickam. 2024. "A Framework for Early Detection of Glaucoma in Retinal Fundus Images Using Deep Learning" Engineering Proceedings 62, no. 1: 3. https://doi.org/10.3390/engproc2024062003
APA StyleGovindan, M., Dhakshnamurthy, V. K., Sreerangan, K., Nagarajan, M. D., & Rajamanickam, S. K. (2024). A Framework for Early Detection of Glaucoma in Retinal Fundus Images Using Deep Learning. Engineering Proceedings, 62(1), 3. https://doi.org/10.3390/engproc2024062003

