Combined Alkaline and Enzymatic Hydrolysis of Eggshell Membranes for Obtaining Ingredients for Food and Cosmetic Applications †
Abstract
:1. Introduction
2. Materials and methods
2.1. Reagents
2.2. Alkaline Hydrolysis Combined with Enzymatic Hydrolysis
2.3. The Degree of Hydrolysis
2.4. Reverse-Phase Liquid Chromatography with Mass Spectrometry Analysis of the Hydrolyzed Eggshell Membranes
2.5. Free Amino Acids Analysis
2.6. Determination of the MM Distribution of Protein Hydrolysate from Eggshell Membranes
3. Results
3.1. The Degree of Hydrolysis
3.2. Reverse-Phase Liquid Chromatography with Mass Spectrometry Analysis of the Hydrolyzed Eggshell Membranes
3.3. Free Amino Acids Analysis
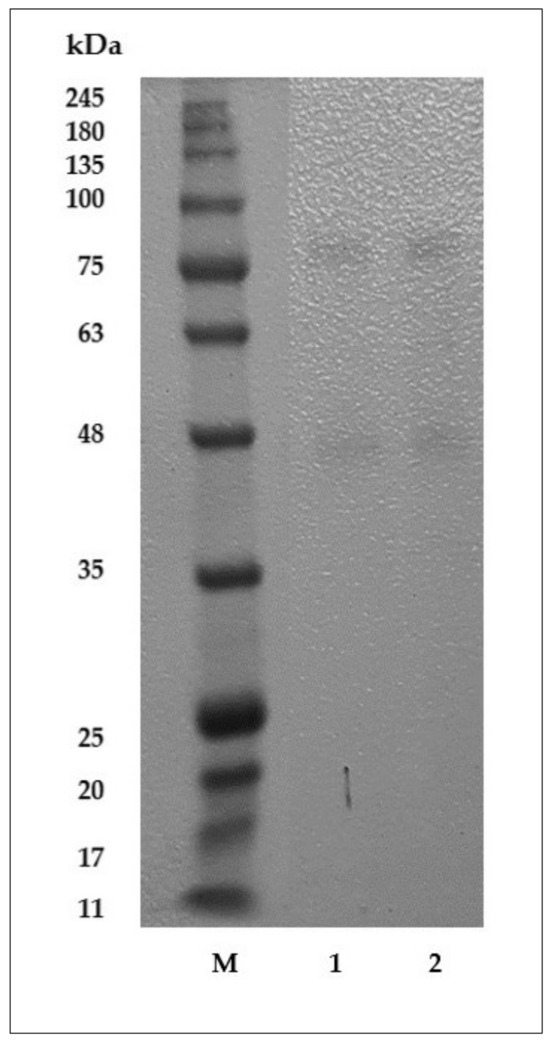
3.4. The Electrophoretic Characterization of Protein Hydrolysate from Eggshell Membranes
4. Discussion and Conclusions
Author Contributions
Funding
Institutional Review Board Statement
Informed Consent Statement
Data Availability Statement
Acknowledgments
Conflicts of Interest
References
- Carpentieri, S.; Soltanipour, F.; Ferrari, G.; Pataro, G.; Donsì, F. Emerging green techniques for the extraction of antioxidants from agri-food by-products as promising ingredients for the food industry. Antioxidants 2021, 10, 1417. [Google Scholar] [CrossRef] [PubMed]
- Kulshreshtha, G.; Ahmed, T.A.; Wu, L.; Diep, T.; Hincke, M.T. A novel eco-friendly green approach to produce partialized eggshell membrane (PEM) for skin health applications. Biomater. Sci. 2020, 8, 5346–5361. [Google Scholar] [CrossRef] [PubMed]
- Xiao, N.; Huang, X.; He, W.; Yao, Y.; Wu, N.; Xu, M.; Tu, Y. A review on recent advances of egg byproducts: Preparation, functional properties, biological activities and food applications. Food. Res. Int. 2021, 147, 110563. [Google Scholar] [CrossRef]
- Jiang, W.; Xu, J. A novel stepwise pretreatment on corn stalk by alkali deacetylation and liquid hot water for enhancing enzymatic hydrolysis and energy utilization efficiency. Bioresour. Technol. 2016, 209, 115–124. [Google Scholar] [CrossRef]
- Dilaram, I.; Victor, V.; Sergey, Z.; Boris, Z. Amino acid and peptide profiles of hydrolyzed eggshell membrane. Poult. Chick. Prod. 2022. [Google Scholar] [CrossRef]
- Zhao, Q.C.; Zhao, J.Y.; Ahn, D.U.; Jin, Y.G.; Huang, X. Separation and identification of highly efficient antioxidant peptides from eggshell membrane. Antioxidants 2019, 8, 495. [Google Scholar] [CrossRef] [PubMed]
- Wang, H.; Wang, J.; Lv, Z.; Liu, Y.; Lu, F. Preparing peptides from broken rice protein by ultrafiltration-coupled enzymatic hydrolysis. Eur. Food Res. Technol. 2013, 236, 419–424. [Google Scholar] [CrossRef]
- Perello, M.; Barbier, B.; Brack, A. Hydrolysis of oligoribonucleotides by α-helical basic peptides. Int. J. Pept. Protein Res. 1991, 38, 154–160. [Google Scholar] [CrossRef] [PubMed]
- Kattimani, V.; Panga, G.S.K.; Girija, E.K. Eggshell membrane separation methods-waste to wealth-a scoping review. J. Poult. Res. 2022, 19, 11–18. [Google Scholar] [CrossRef]
- Marcet, I.; Salvadores, M.; Rendueles, M.; Díaz, M. The effect of ultrasound on the alkali extraction of proteins from eggshell membranes. J. Sci. Food Agric. 2018, 98, 1765–1772. [Google Scholar] [CrossRef] [PubMed]
- Jain, S.; Anal, A.K. Optimization of extraction of functional protein hydrolysates from chicken eggshell membrane (ESM) by ultrasonic-assisted extraction (UAE) and enzymatic hydrolysis. LWT-Food Sci. Technol. 2016, 69, 295–302. [Google Scholar] [CrossRef]
- Kaewka, K.; Therakulkait, C.R.; Cadwallader, K. Extract of preparation conditions on composition and sensory aroma characteristics of acid hydrolyzed rice bran protein concentrate. J. Cereal Sci. 2009, 50, 56–60. [Google Scholar] [CrossRef]
- Parasuraman, S.; Anish, R.; Balamurugan, S.; Muralidharan, S.; Kumar, K.J.; Vijayan, V. An overview of liquid chromatography-mass spectroscopy instrumentation. Pharm. Methods 2014, 5, 47–55. [Google Scholar]
- Roth, M.; Uebelhart, D. Liquid chromatography with fluorescence detection in the analysis of biological fluids. Anal. Lett. 2000, 33, 2353–2372. [Google Scholar] [CrossRef]
- Gilby, A.C. Chromatography: Liquid. Detectors: Ultraviolet and Visible Detection; A2-Wilson, Ian D. Encyclopedia of Separation Science; Academic Press: Oxford, UK, 2007; pp. 1–15. [Google Scholar]
- Kartsova, L.A.; Bessonova, E.A.; Somova, V.D. Hydrophilic interaction chromatography. J. Anal. Chem. 2019, 74, 415–424. [Google Scholar] [CrossRef]
- Laemmli, U.K. Cleavage of structural proteins during assembly of head of bacteriophage-T4. Nature 1970, 227, 680–685. [Google Scholar] [CrossRef] [PubMed]








Disclaimer/Publisher’s Note: The statements, opinions and data contained in all publications are solely those of the individual author(s) and contributor(s) and not of MDPI and/or the editor(s). MDPI and/or the editor(s) disclaim responsibility for any injury to people or property resulting from any ideas, methods, instructions or products referred to in the content. |
© 2023 by the authors. Licensee MDPI, Basel, Switzerland. This article is an open access article distributed under the terms and conditions of the Creative Commons Attribution (CC BY) license (https://creativecommons.org/licenses/by/4.0/).
Share and Cite
Pasarin, D.; Enascuta, C.E.; Enache-Preoteasa, C.; Matei, C.B.; Ghizdareanu, A.-I. Combined Alkaline and Enzymatic Hydrolysis of Eggshell Membranes for Obtaining Ingredients for Food and Cosmetic Applications. Chem. Proc. 2023, 13, 20. https://doi.org/10.3390/chemproc2023013020
Pasarin D, Enascuta CE, Enache-Preoteasa C, Matei CB, Ghizdareanu A-I. Combined Alkaline and Enzymatic Hydrolysis of Eggshell Membranes for Obtaining Ingredients for Food and Cosmetic Applications. Chemistry Proceedings. 2023; 13(1):20. https://doi.org/10.3390/chemproc2023013020
Chicago/Turabian StylePasarin, Diana, Cristina Emanuela Enascuta, Cristian Enache-Preoteasa, Catalin Bogdan Matei, and Andra-Ionela Ghizdareanu. 2023. "Combined Alkaline and Enzymatic Hydrolysis of Eggshell Membranes for Obtaining Ingredients for Food and Cosmetic Applications" Chemistry Proceedings 13, no. 1: 20. https://doi.org/10.3390/chemproc2023013020
APA StylePasarin, D., Enascuta, C. E., Enache-Preoteasa, C., Matei, C. B., & Ghizdareanu, A.-I. (2023). Combined Alkaline and Enzymatic Hydrolysis of Eggshell Membranes for Obtaining Ingredients for Food and Cosmetic Applications. Chemistry Proceedings, 13(1), 20. https://doi.org/10.3390/chemproc2023013020

