Insulin-Related Skin Lipohypertrophy in Type Two Diabetes: A Clinical Study of a Case Series, with Ultrasonographic and Histopathologic Implications
Abstract
1. Introduction
2. Methods
2.1. LH Identification Procedure
2.2. Ultrasonography
- -
- Hyper type A: iso-hyperechogenic with predominantly fibrotic component.
- -
- Isotype B: isoechoic associated with small edematous islands delimited by fibrous stripes.
- -
- Iso-hypo type C: iso-hypoechoic without fibers.
2.3. Skin Biopsy
2.4. Histopathology
Statistical Analysis
3. Results
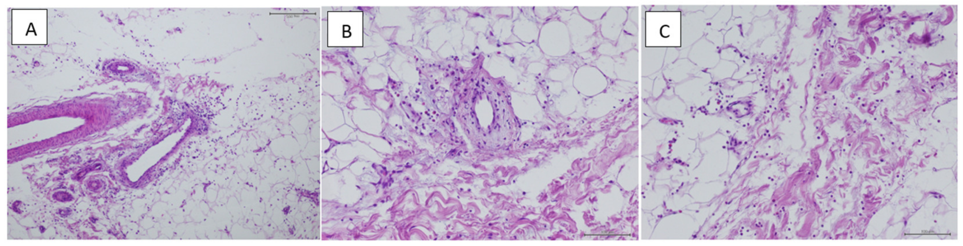
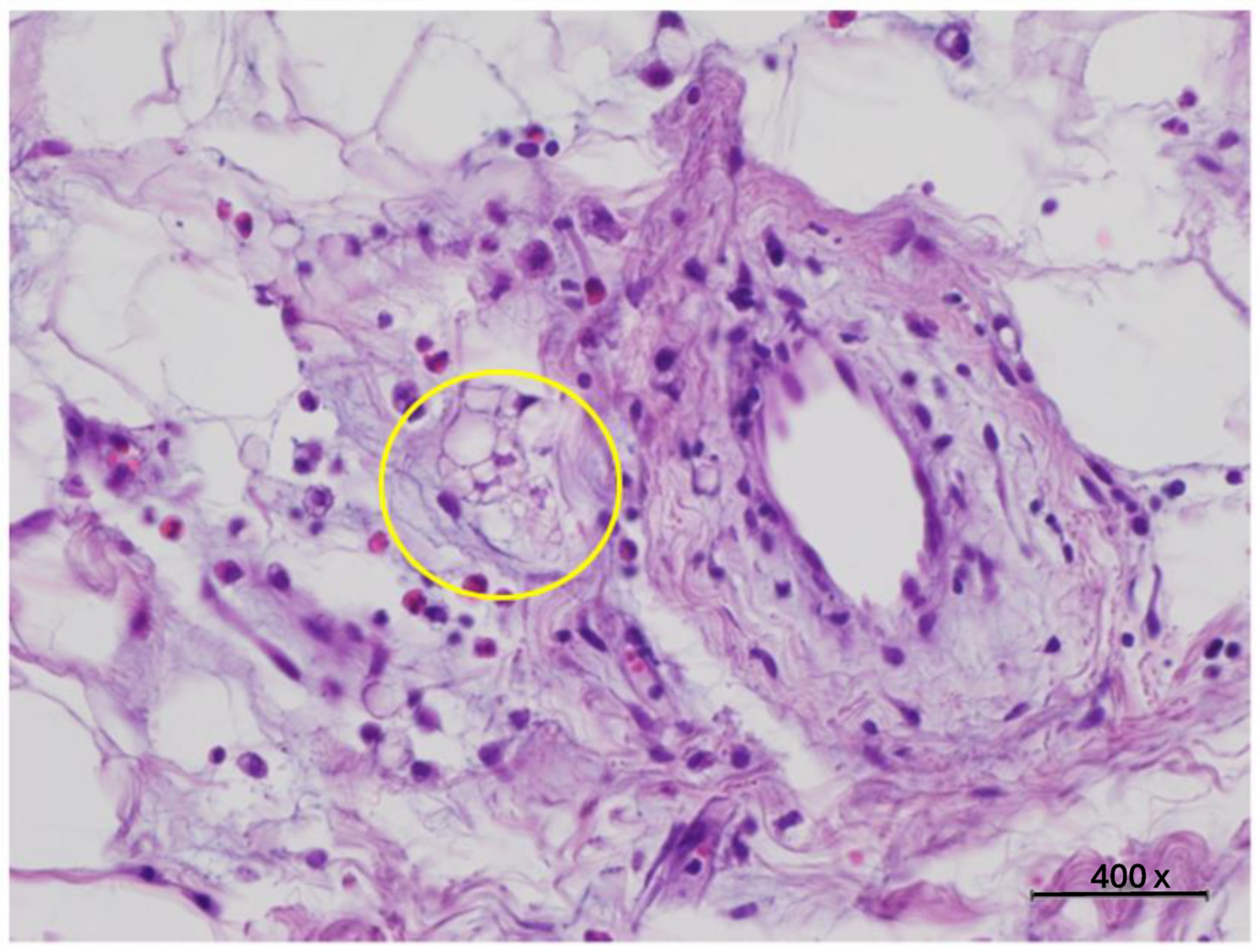
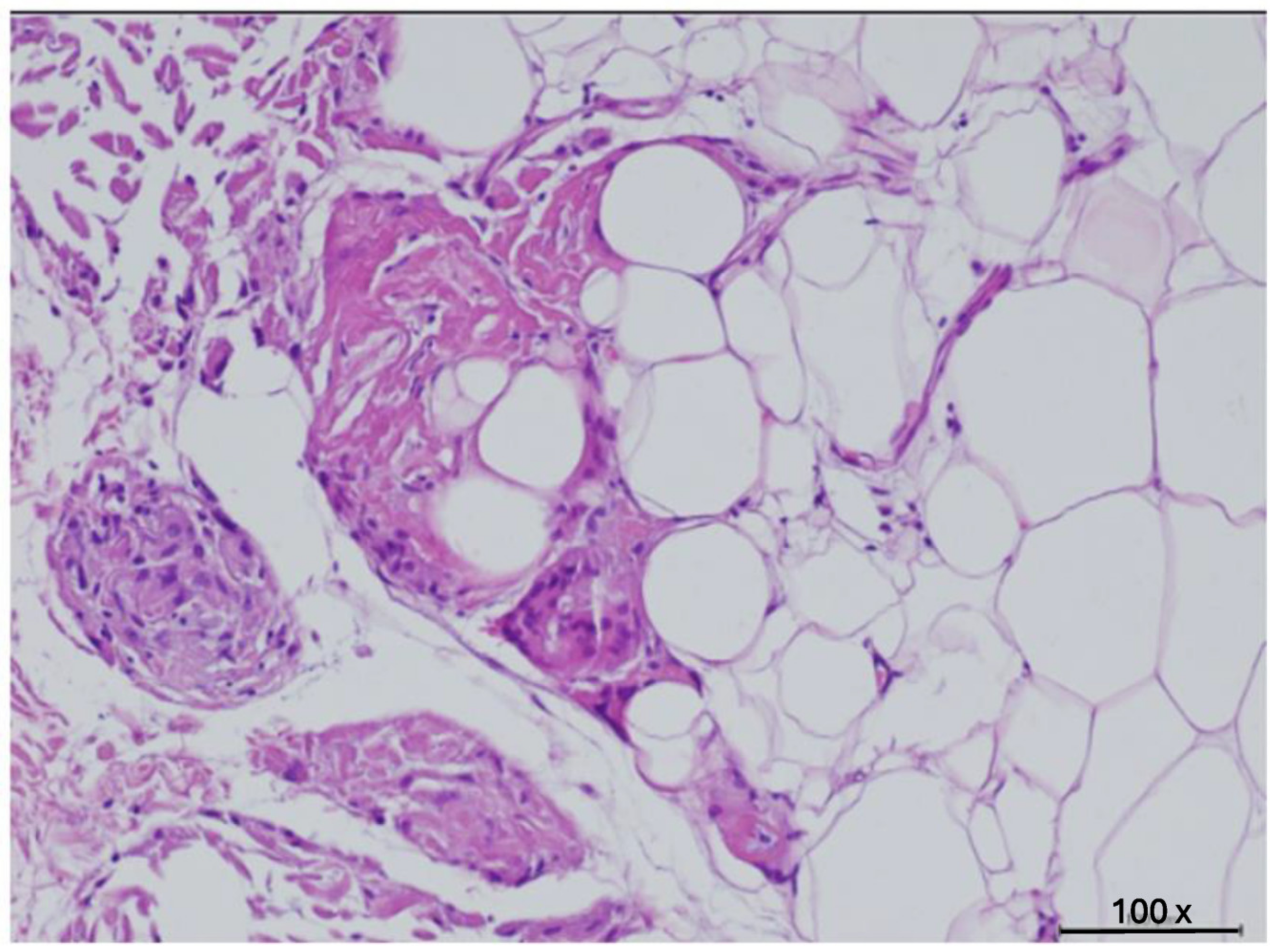
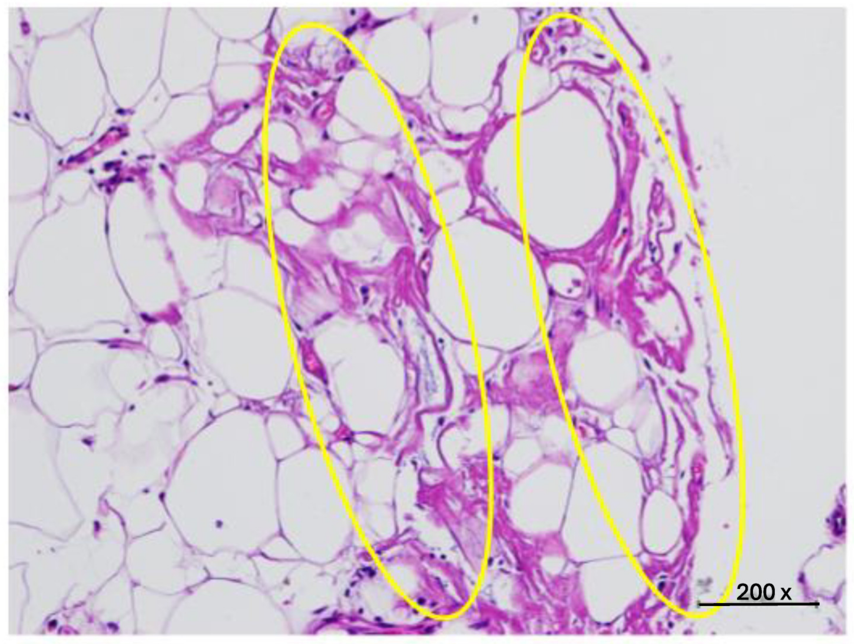
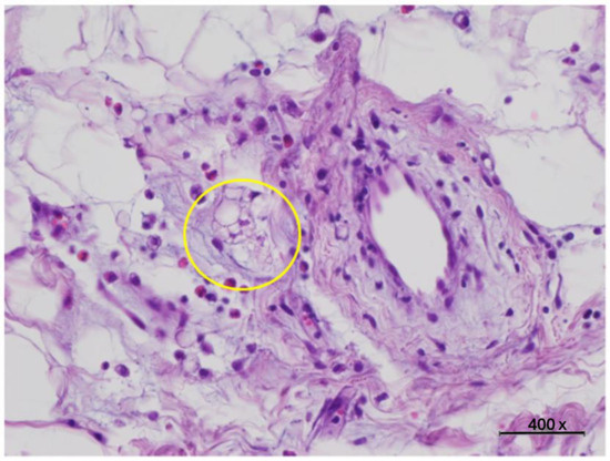
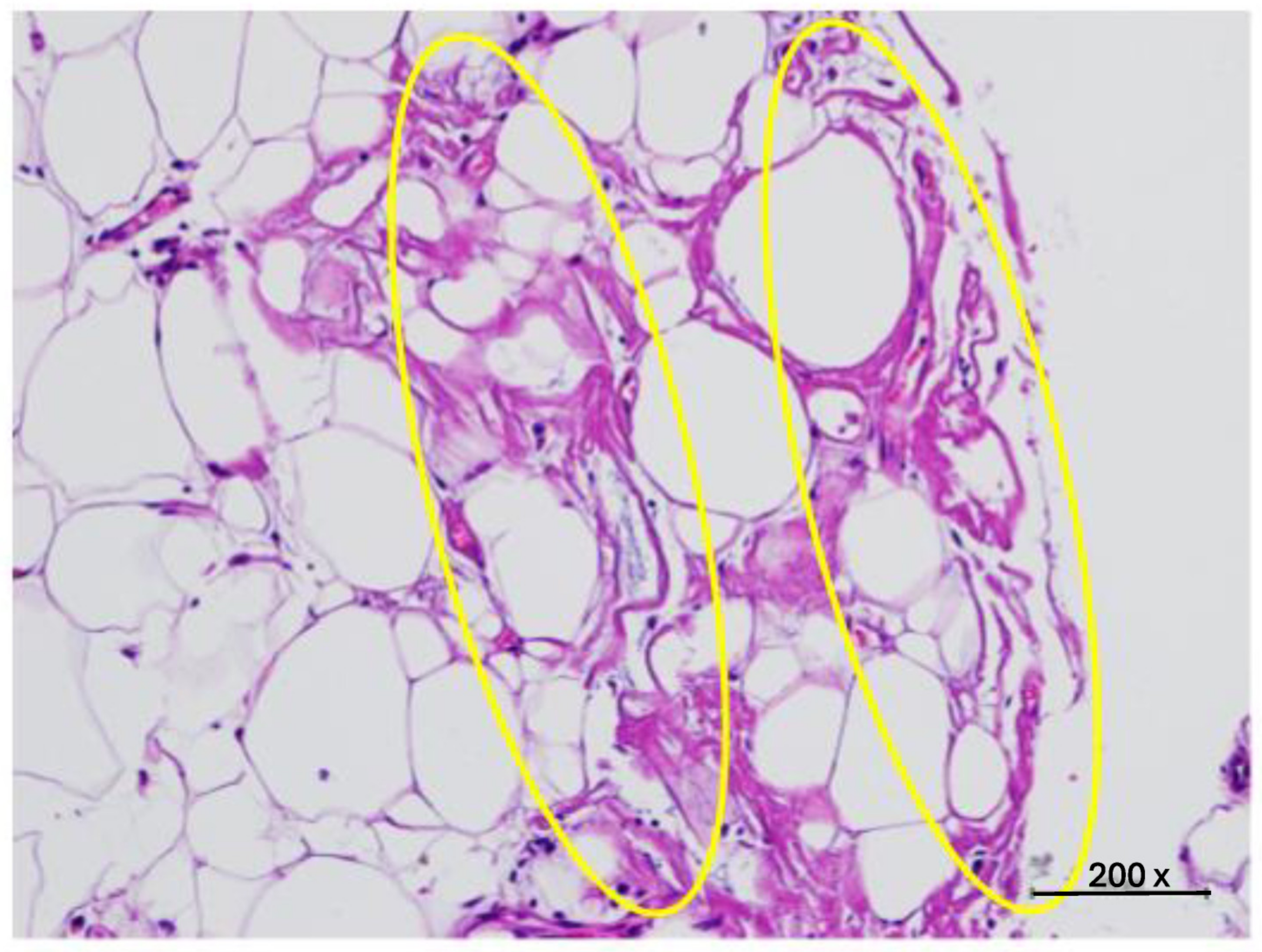
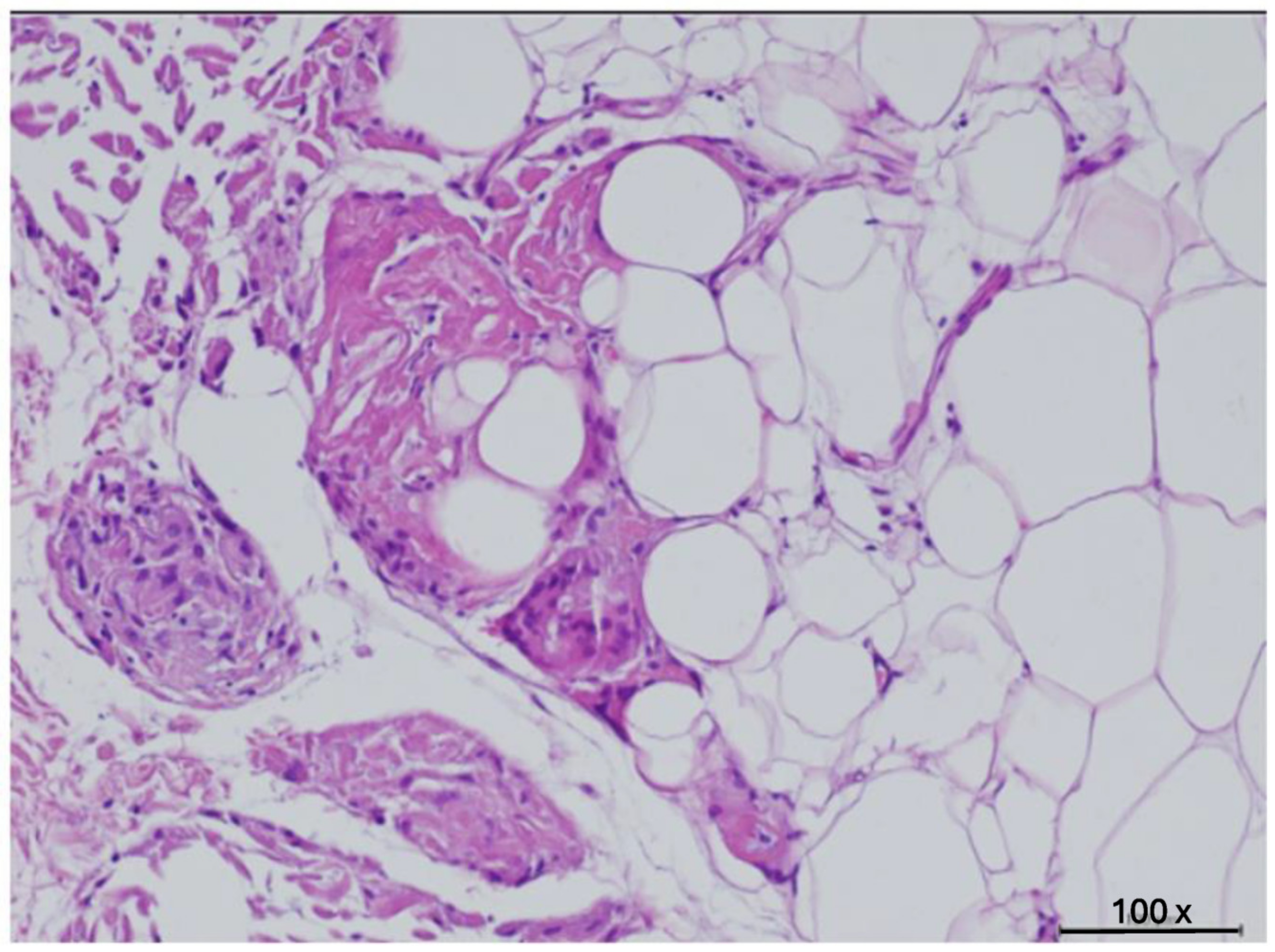
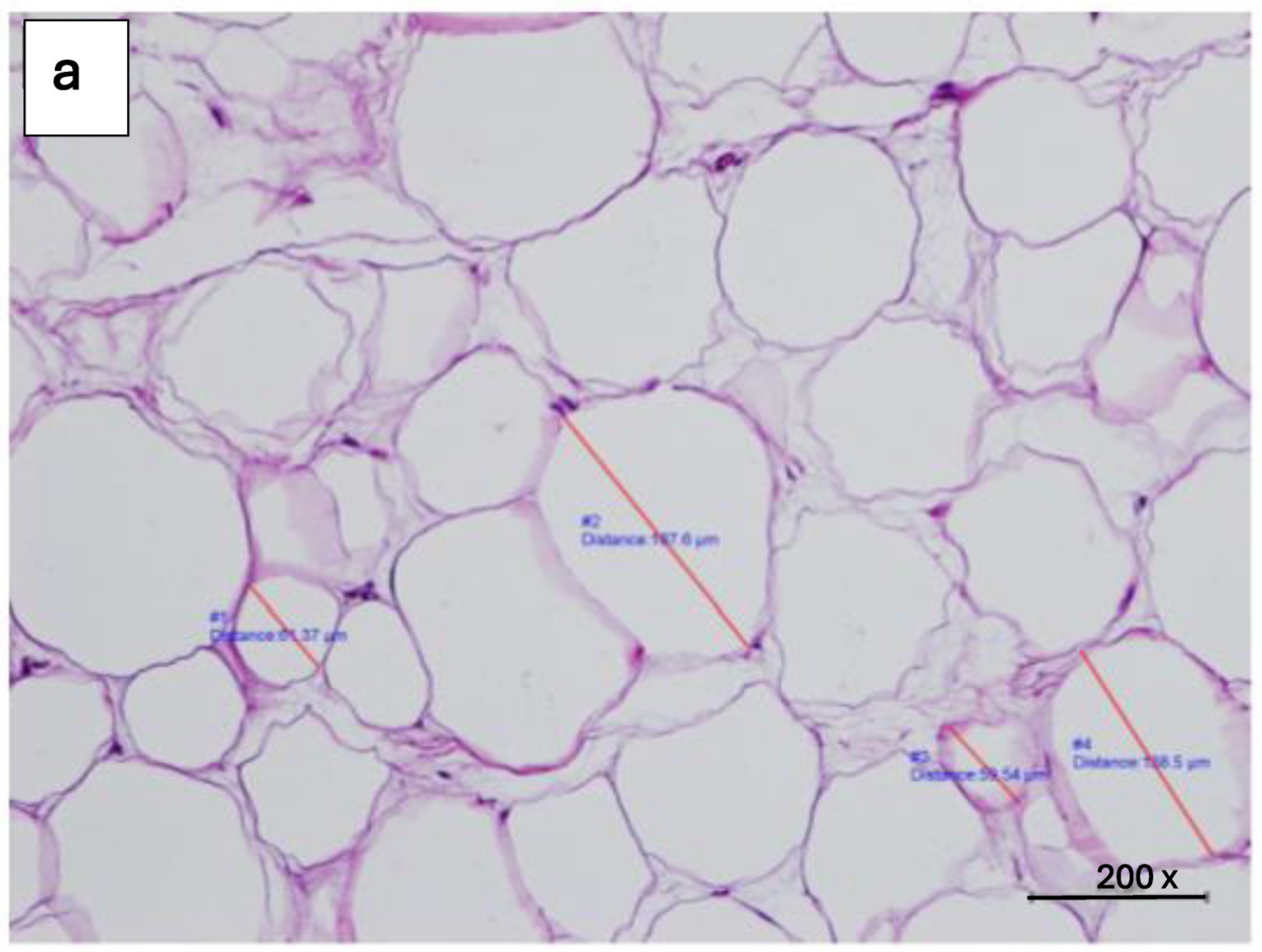
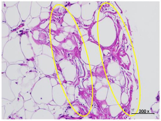
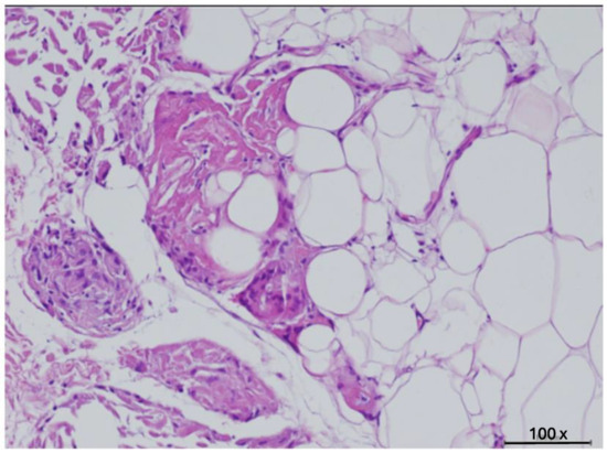
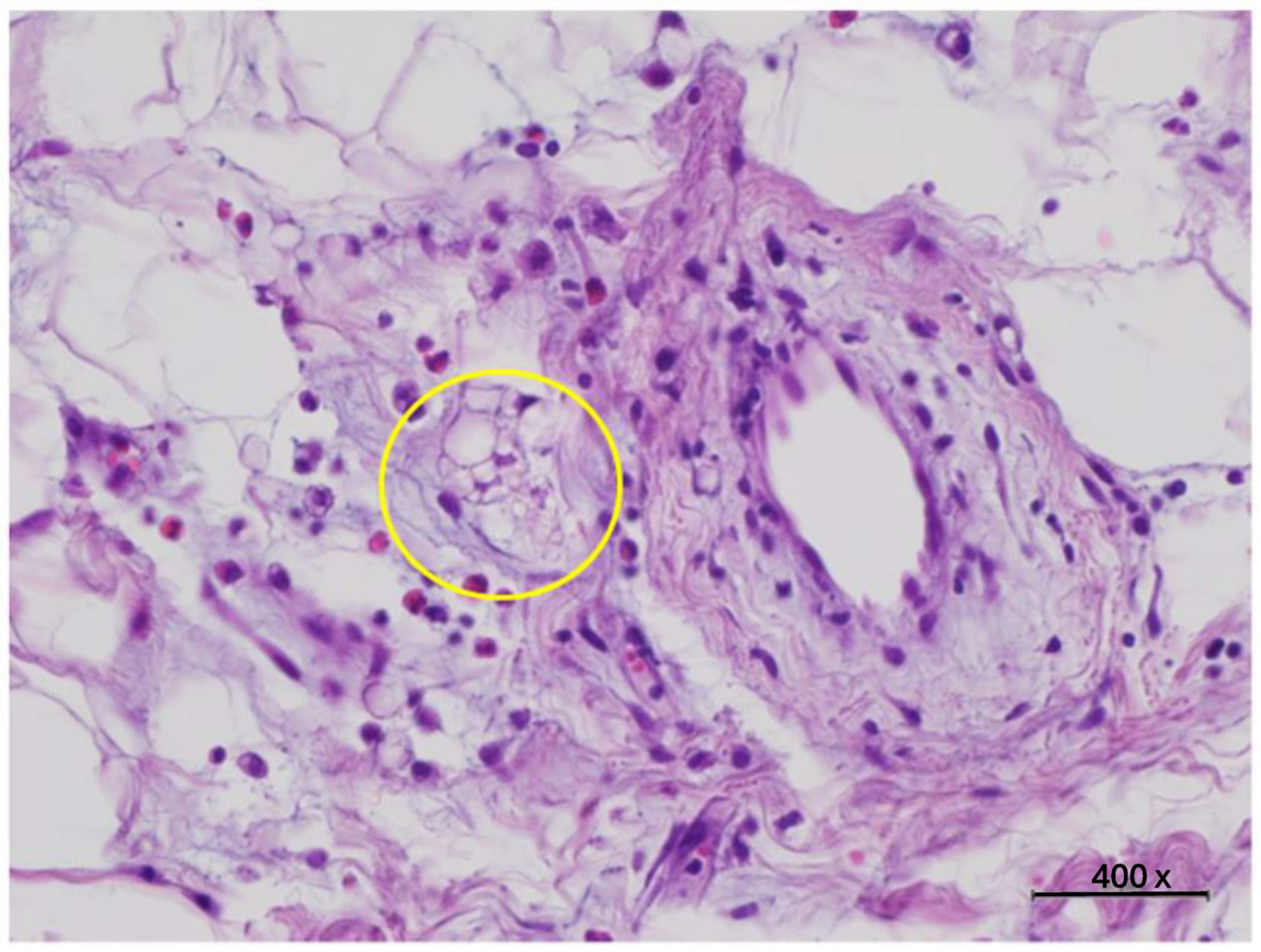
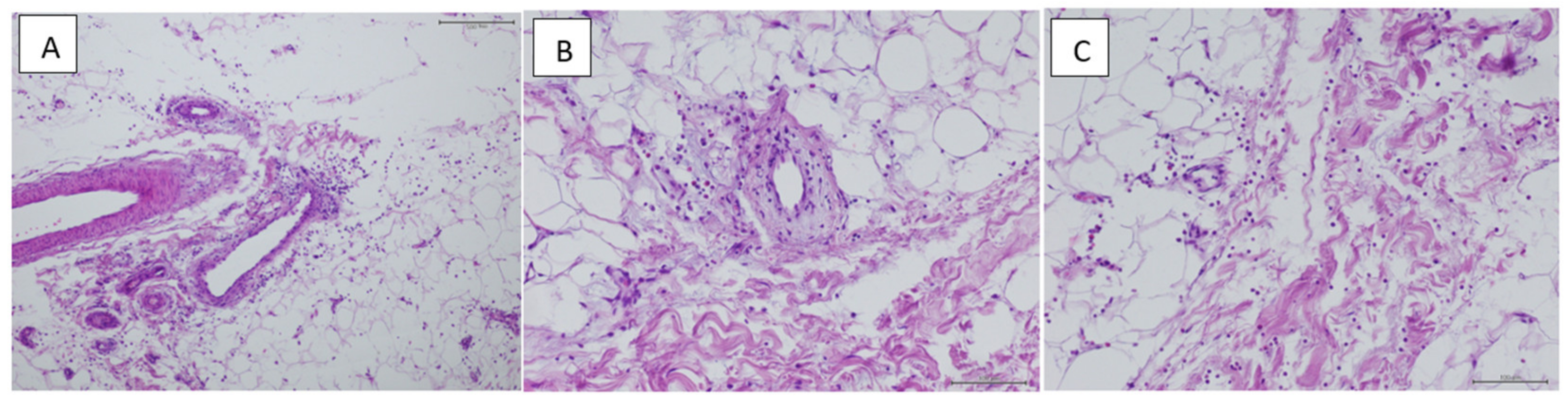
Histology
4. Discussion
5. Limitations
6. Conclusions
Author Contributions
Funding
Institutional Review Board Statement
Informed Consent Statement
Data Availability Statement
Acknowledgments
Conflicts of Interest
References
- Gentile, S.; Strollo, F.; Guarino, G. Why are so huge differences reported in the occurrence rate of skin lipohypertrophy? Does it depend on method defects or on lack of interest? Diabetes Metab. Syndr. 2019, 13, 682–686. [Google Scholar] [CrossRef] [PubMed]
- Deng, N.; Zhang, X.; Zhao, F.; Wang, Y.; He, H. Prevalence of lipohypertrophy in insulin-treated diabetes patients. A systematic review and meta-analysis. J. Diabetes Investig. 2017, 9, 536–543. [Google Scholar] [CrossRef] [PubMed]
- Frid, A.H.; Kreugel, G.; Grassi, G.; Halimi, S.; Hicks, D.; Hirsch, L.J.; Smith, M.J.; Wellhoener, R.; Bode, B.W.; Hirsch, I.B.; et al. New insulin delivery recommendations. Mayo Clin. Proc. 2016, 91, 1231–1255. [Google Scholar] [CrossRef] [PubMed]
- Gentile, S.; Grassi, G.; Armentano, V.; Botta, A.; Cucco, L.; De Riu, S.; De Rosa, N.; Garrapa, G.; Gentile, L.; Giancaterini, A.; et al. AMD-OSDI consensus on injection techniques for people with diabetes mellitus. Med. Clin. Rev. 2016, 2, 3. [Google Scholar]
- American Diabetes Association Professional Practice Committee. 9. Pharmacologic approaches to glycemic treatment: Standards of Medical Care in Diabetes 2022. Diabetes Care 2022, 45 (Suppl. S1), S125–S143. [Google Scholar] [CrossRef]
- Gentile, S.; Satta, E.; Guarino, G.; Strollo, F.; on behalf of the AMD-OSDI Study Group on Injection Technique. Lipodystrophies from Insulin Injection: An Update of the Italian Consensus Statement of AMD-OSDI Study Group on Injection Technique. Diabetology 2023, 4, 119–127. [Google Scholar] [CrossRef]
- Famulla, S.; Hövelmann, U.; Fischer, A.; Coester, H.V.; Hermanski, L.; Kaltheuner, M.; Kaltheuner, L.; Heinemann, L.; Heise, T.; Hirsch, L. Insulin Injection into Lipohypertrophic Tissue: Blunted and More Variable Insulin Absorption and Action and Impaired Postprandial Glucose Control. Diabetes Care 2016, 39, 1486–1492. [Google Scholar] [CrossRef] [PubMed]
- Gentile, S.; Agrusta, M.; Guarino, G.; Carbone, L.; Cavallaro, V.; Carucci, I.; Strollo, F. Metabolic consequence of incorrect insulin administration techniques in aging subjects with diabetes. Acta Diabetol. 2011, 48, 121–125. [Google Scholar] [CrossRef]
- Gentile, S.; Guarino, G.; Della Corte, T.; Marino, G.; Fusco, A.; Corigliano, G.; Colarusso, S.; Piscopo, M.; Improta, M.R.; Corigliano, M.; et al. Insulin-Induced Skin Lipohypertrophy in Type 2 Diabetes: A Multicenter Regional Survey in Southern Italy. Diabetes Ther. 2020, 11, 2001–2017. [Google Scholar] [CrossRef] [PubMed] [PubMed Central]
- Gentile, S.; Guarino, G.; Della Corte, T.; Marino, G.; Satta, E.; Pasquarella, M.; Romano, C.; Alfrone, C.; Giordano, L.; Loiacono, F.; et al. The Economic Burden of Insulin Injection-Induced Lipohypertophy. Role of Education: The ISTERP-3 Study. Adv. Ther. 2022, 39, 2192–2207, Erratum in Adv. Ther. 2022, 39, 3058. PMID: 35306633; PMCID: PMC9056437. https://doi.org/10.1007/s12325-022-02147-9. [Google Scholar] [CrossRef] [PubMed] [PubMed Central]
- Fujikura, J.; Fujimoto, M.; Yasue, S.; Noguchi, M.; Masuzaki, H.; Hosoda, K.; Tachibana, T.; Sugihara, H.; Nakao, K. Insulin-induced lipohypertrophy: Report of a case with histopathology. Endocrinol. J. 2005, 52, 623–628. [Google Scholar] [CrossRef] [PubMed]
- Murao, S.; Murao, K.; Nagata, T.; Shimizu, M.; Miyai, Y. Repeated insulin injection without site rotation affects skin thickness—Ultrasonographic and histological evaluation. J. Diabetes Investig. 2022, 13, 997–1003. [Google Scholar] [CrossRef] [PubMed] [PubMed Central]
- Gentile, S.; Strollo, F.; Guarino, G.; Giancaterini, A.; Ames, P.R.J.; Speese, K.; Guida, P.; Strauss, K.; on behalf of the AMD-OSDI Italian Injection Technique Study Group. Factors hindering correct identification of unapparent lipohypertrophy. J. Diabetes Metab. Disord. Control. 2016, 3, 42–47. [Google Scholar] [CrossRef]
- Gentile, S.; Guarino, G.; Giancaterini, A.; Guida, P.; Strollo, F.; AMD-OSDI Italian Injection Technique Study Group. A suitable palpation technique allows to identify skin lipohypertrophic lesions in insulintreated with diabetes. SpringerPlus 2016, 5, 563. [Google Scholar] [CrossRef]
- Ji, L.; Sun, Z.; Li, Q.; Qin, G.; Wei, Z.; Liu, J.; Chandran, A.B.; Hirsch, L.J. Lipohypertrophy in China: Prevalence, risk factors, insulin consumption, and clinical impact. Diabetes Technol. Ther. 2017, 19, 61–67. [Google Scholar] [CrossRef]
- Bertuzzi, F.; Meneghini, E.; Bruschi, E.; Luzi, L.; Nichelatti, M.; Epis, O. Ultrasound characterization of insulin induced lipohypertrophy in type 1 diabetes mellitus. J. Endocrinol. Investig. 2017, 40, 1107–1113. [Google Scholar] [CrossRef]
- Verboven, K.; Wouters, K.; Gaens, K.; Hansen, D.; Bijnen, M.; Wetzels, S.; Stehouwer, C.D.; Goossens, G.H.; Schalkwijk, C.G.; Blaak, E.E.; et al. Abdominal subcutaneous and visceral adipocyte size, lipolysis and inflammation relate to insulin resistance in male obese humans. Sci. Rep. 2018, 8, 4677. [Google Scholar] [CrossRef] [PubMed] [PubMed Central]
- Mukai, K.; Tanno, H.; Suhama, J.; Yanagita, T.; Kanno, E. Differences in clinicopathological characteristics between lipohypertrophy and localized insulin-derived amyloidosis: A scoping review. Chronic Dis. Transl. Med. 2023, 10, 22–30. [Google Scholar] [CrossRef]
- Tummidi, S.; Balakrishna, P.; Gupta, Y. Insulin-induced amyloidoma—A cytological catch. Diagn. Cytopathol. 2021, 49, 424–428. [Google Scholar] [CrossRef]
- Katzman, B.D.; Traum, P.; Medline, P.B. New histologic finding of amyloid insulin bodies at an insulin injection site in a patient with diabetes. Am. J. Dermatopathol. 2018, 40, 527–530. [Google Scholar] [CrossRef]
- Endo, J.O.; Röcken, C.; Lamb, S.; Harris, R.M.; Bowen, A.R. Nodular amyloidosis in a diabetic patient with frequent hypoglycemia: Sequelae of repeatedly injecting insulin without site rotation. J. Am. Acad. Dermatol. 2010, 63, e113–e114. [Google Scholar] [CrossRef] [PubMed]
- Shikama, Y.; Kitazawa, J.I.; Yagihashi, N.; Uehara, O.; Murata, Y.; Yajima, N.; Wada, R.; Yagihashi, S. Localized amyloidosis at the site of repeated insulin injection in a diabetic patient. Intern. Med. 2010, 49, 397–401. [Google Scholar] [CrossRef] [PubMed]
- Dische, F.E.; Wernstedt, C.; Westermark, G.T.; Westermark, P.; Pepys, M.B.; Rennie, J.A.; Gilbey, S.G.; Watkins, P.J. Insulin as an amyloid-fibril protein at sites of repeated insulin injections in a diabetic patient. Diabetologia 1988, 31, 158–161. [Google Scholar] [CrossRef]
- Bernárdez, C.; Schärer, L.; Molina-Ruiz, A.M.; Requena, L. Nodular amyloidosis at the sites of insulin injections. J. Cutan. Pathol. 2015, 42, 496–502. [Google Scholar] [CrossRef] [PubMed]
- Sie, M.P.; van der Wiel, H.E.; Smedts, F.M.; de Boer, A.C. Human recombinant insulin and amyloidosis: An unexpected association. Neth. J. Med. 2010, 68, 138–140. [Google Scholar] [PubMed]
- Blanco, M.; Hernández, M.T.; Strauss, K.W.; Amaya, M. Prevalence and risk factors of lipohypertrophy in insulin-injecting patients with diabetes. Diabetes Metab. 2013, 39, 445–453. [Google Scholar] [CrossRef]
- Thewjitcharoen, Y.; Prasartkaew, H.; Tongsumrit, P.; Wongjom, S.; Boonchoo, C.; Butadej, S.; Nakasatien, S.; Karndumri, K.; Veerasomboonsin, V.; Krittiyawong, S.; et al. Prevalence, risk factors, and clinical characteristics of lipodystrophy in insulin-treated patients with diabetes: An old problem in a New Era of modern insulin. Diabetes Metab. Syndr. Obes. 2020, 13, 4609–4620. [Google Scholar] [CrossRef]
- Nagase, T.; Katsura, Y.; Iwaki, Y.; Nemoto, K.; Sekine, H.; Miwa, K.; Oh-i, T.; Kou, K.; Iwaya, K.; Noritake, M.; et al. The insulin ball. Lancet 2009, 373, 184. [Google Scholar] [CrossRef]
- Störkel, S.; Schneider, H.M.; Müntefering, H.; Kashiwagi, S. Iatrogenic, insulin-dependent, local amyloidosis. Lab. Investig. 1983, 48, 108–111. [Google Scholar]
- Aghighi, M.; Linos, K. Insulin-induced amyloidosis in a diabetic patient. J. Cutan. Pathol. 2022, 49, 845–849. [Google Scholar] [CrossRef]
- Iwaya, K.; Zako, T.; Fukunaga, J.; Sörgjerd, K.M.; Ogata, K.; Kogure, K.; Kosano, H.; Noritake, M.; Maeda, M.; Ando, Y.; et al. Toxicity of insulin-derived amyloidosis: A case report. BMC Endocr. Disord. 2019, 19, 61. [Google Scholar] [CrossRef] [PubMed]
- Tanio, N.; Nozaki, T.; Matsusako, M.; Starkey, J.; Suzuki, K. Imaging characteristics of subcutaneous amyloid deposits in diabetic patients: The “insulin ball”. Skelet. Radiol. 2018, 47, 85–92. [Google Scholar] [CrossRef] [PubMed]
- Kudo-Watanuki, S.; Kurihara, E.; Yamamoto, K.; Mukai, K.; Chen, K.R. Coexistence of insulin-derived amyloidosis and an overlying acanthosis nigricans-like lesion at the site of insulin injection. Clin. Exp. Dermatol. 2013, 38, 25–29. [Google Scholar] [CrossRef] [PubMed]
- Yumlu, S.; Barany, R.; Eriksson, M.; Röcken, C. Localized insulinderived amyloidosis in patients with diabetes mellitus: A case report. Hum. Pathol. 2009, 40, 1655–1660. [Google Scholar] [CrossRef] [PubMed]
- Lonsdale-Eccles, A.A.; Gonda, P.; Gilbertson, J.A.; Haworth, A.E. Localized cutaneous amyloid at an insulin injection site. Clin. Exp. Dermatol. 2009, 34, e1027–e1028. [Google Scholar] [CrossRef]
- Grunes, D.; Rapkiewicz, A.; Simsir, A. Amyloidoma secondary to insulin injection: Cytologic diagnosis and pitfalls. CytoJournal 2015, 12, 15. [Google Scholar] [PubMed] [PubMed Central]
- Arora, S.; Agrawal, N.K.; Shanthaiah, D.M.; Verma, A.; Singh, S.; Patne, S.C.; Kalra, S.; Singh, P.; Goyal, S. Early detection of cutaneous complications of insulin therapy in type 1 and type 2 diabetes mellitus. Prim. Care Diabetes 2021, 15, 859–864. [Google Scholar] [CrossRef]
- Kranc, C.L.; Wagner, R.; Joy, N.M.; Feldman, F.; Reid, D.C. Cutaneous insulin-derived amyloidosis presenting as hyperkeratotic nodules. Cutis 2021, 107, E6–E9. [Google Scholar] [CrossRef]
- Johansson, U.B.; Amsberg, S.; Hannerz, L.; Wredling, R.; Adamson, U.; Arnqvist, H.J.; Lins, P.E. Impaired absorption of insulin aspart from lipohypertrophic injection sites. Diabetes Care 2005, 28, 2025–2027. [Google Scholar] [CrossRef]
- Mokta, J.; Mokta, K.; Panda, P. Insulin lipodystrophy and lipohypertrophy. Indian. J. Endocrinol. Metab. 2013, 17, 773–774. [Google Scholar] [CrossRef]
- Manno, M.; Craparo, E.F.; Podestà, A.; Bulone, D.; Carrotta, R.; Martorana, V.; Tiana, G.; San Biagio, P.L. Kinetics of different processes in human insulin amyloid formation. J. Mol. Biol. 2007, 366, 258–274. [Google Scholar] [CrossRef] [PubMed]
- Chinisaz, M.; Ebrahim-Habibi, A.; Yaghmaei, P.; Parivar, K.; Dehpour, A.R. Generating local amyloidosis in mice by the subcutaneous injection of human insulin amyloid fibrils. Exp. Ther. Med. 2014, 8, 405–408. [Google Scholar] [CrossRef]
- Iannuzzi, C.; Borriello, M.; Portaccio, M.; Irace, G.; Sirangelo, I. Insights into insulin fibril assembly at physiological and acidic pH and related amyloid intrinsic fluorescence. Int. J. Mol. Sci. 2017, 18, 2551. [Google Scholar] [CrossRef] [PubMed]
- Ohno, Y.; Seki, T.; Kojima, Y.; Miki, R.; Egawa, Y.; Hosoya, O.; Kasono, K.; Seki, T. Investigation of factors that cause insulin precipitation and/or amyloid formation in insulin formulations. J. Pharm. Health Care Sci. 2019, 5, 22. [Google Scholar] [CrossRef] [PubMed]
- Gentile, S.; Guarino, G.; Strollo, F. Unexpected evolution of a monster case of insulin-induced skin lipohypertrophy. Diabetes Res. Clin. Pract. 2023, 206, 110994. [Google Scholar] [CrossRef] [PubMed]










| Clinical Characteristics | LH+ (N. 816) | LH− (N. 1033) | p |
|---|---|---|---|
| Male gender (%) | 363 (44.5) | 341 (33.8%) | <0.01 |
| Age (years) | 67 ± 8.2 | 60.2 ± 8.4 | <0.05 |
| BMI (kg/m2) | 30.6 ± 4.6 | 29.9 ± 5.5 | n.s. |
| HbA1c (%) | 8.9 ± 1.3 | 7.4 ± 1.1 | <0.001 |
| Diabetes duration (years) | 12.4 + 2.2 | 10.3 ± 2.4 | <0.05 |
| Insulin treatment duration (years) | 9.2 ± 2.2 | 6.6 ± 2.7 | <0.01 |
| Daily insulin dose requirement (I.U.) | 50.6 ± 8.3 | 41.5 ± 7.0 | <0.01 |
| Daily injections (n.) | 3.9 ± 0.7 | 2.3 ± 0.7 | <0.01 |
| Subjects with previous hypoglycemic events [(n. (%)] | 779 (95.5) | 684 (66.2) | <0.01 |
| Unexplained hypoglycemic events [(n. (%)] | 658 (80.7) | 213 (20.6) | <0.01 |
| Glycemic variability (mg/dL) | 299 + 78 | 188 +61 | <0.01 |
| Cardio-/cerebro-vascular complications [n. (%)] | 306 (37.5) | 150 (14.59 | <0.01 |
| Lower limb complications [n. (%)] | 184 (22.5) | 83 (8.0) | <0.01 |
| Retinopathy [n. (%)] | 271 (33.2) | 221 (21.4) | <0.01 |
| Chronic kidney disease/dialysis [n. (%)] | 371 (48.5) | 203 (19.7) | <0.01 |
| Sensory-motor neuropathy [n. (%)] | 228 (27.9) | 109 (10.6) | <0.01 |
| Autonomic neuropathy [n. (%)] | 102 (12.5) | 64 (6.2) | <0.01 |
| Needle reuse [n. (%)] | 779 (95.4) | 129 (12.5) | <0.001 |
| Failure to rotate injection sites [n. (%)] | 700 (97.5) | 105 (30.4) | <0.001 |
| Ice-cold insulin injections [n. (%)] | 591 (72.5) | 314(30.4) | <0.001 |
| Failure to keep the needle in for 20′ [n. (%)] | 476 (58,3) | 314 (30.4) | <0.001 |
| Post-injection drop leaking [n. (%)] | 310 (45.2) | 210 (19.5) | <0.001 |
| Painful injection [n. (%)] | 6 (0.7) | 733 (36.1) | <0.001 |
| Injection into nodules [n. (%)] | 816 (100) | 0 (0) | -- |
| Factors Associated to LH | CI (95%) | RR |
|---|---|---|
| HbA1c (%) | 1.27–4.56 | 2.11 |
| Injections/day (n) | 1.88–5.26 | 2.57 |
| Daily insulin dose requirement (IU/day) M+ SD | 1.83–6.29 | 2.88 |
| Previous unexplained hypoglycemic events | 2.24–8.85 | 3.35 |
| Large glycemic variability | 1.85–4.93 | 2.’9 |
| Injection Habit | ||
| Needle reuse over four times | 2.37–6.47 | 2.56 |
| Failure to rotate injection sites | 3.26–8.96 | 3.17 |
| Ice-cold insulin injection | 1.67–4.28 | 1.99 |
| Post-injection drop leaking | 1.97–3.87 | 1.97 |
| Painful injection | 1.91–4.29 | 2.23 |
| Complications | ||
| Cardio/cerebrovascular events | 2.56–6.23 | 3.07 |
| Lower limb complication | 1.26–3.35 | 1.67 |
| Retinopathy | 2.88–7.86 | 2.26 |
| Chronic kidney disease/dialysis | 1.89–4.14 | 2.28 |
| Sensory-motor neuropathy | 2.28–6.56 | 3.39 |
| Autonomic neuropathy | 2.89–7.67 | 2.58 |
| Protruding LH | Flat LH | ||
|---|---|---|---|
| Group A ≥4 cm n. 90 | Group B <4 cm n. 376 | Group C n. 350 | |
| Age (y) M ± SD | 65 ± 9 | 63 ± 7 | 64 ± 5 |
| Sex (M/F ratio) | 1.3 | 1.2 | 1.1 |
| BMI (kg/m2) M ± SD | 31.5 ± 4.7 | 30.4 ± 4.1 | 28.2 ± 3.3 |
| Insulin treatment duration (y) M ± SD | 9.8 ± 2.4 | 7.8 ± 3.4 ** | 6.4 ± 1.2 * °° |
| Injections/day (n.) M ± SD | 4.2 ± 0.7 | 3.6 ± 0.5 ** | 2.9 ± 1.1 * °° |
| Daily insulin dose requirement (IU/day) M ± SD | 55.7 ± 6.5 | 51.4 ± 4.4 | 48.8 ± 3.3 ** |
| HbA1c (%) M ± SD | 9.1 ± 0.6 | 8.6 ± 0.4 ** | 8.1 ± 0.5 * °° |
| Subjects with hypoglycemia (%) | 85 | 60 ** | 48 * °° |
| Glycemic variability (mg/dL) M ± SD | 313 ± 71 | 267 ± 44 ** | 204 ± 35 * °° |
| Microvascular complications (%) | 56.5 | 41.2 ** | 34.6*°° |
| Macrovascular complications (%) | 39.8 | 29.6 ** | 21.4 * °° |
Site of LH subject n., (%)—overall
| 119 76 (63.9%) 15 (12.6%) 18 (15.1%) 10 (8.4%) | 477 144 (30.1%) 156 (32.8%) 97 (20.3%) 80 (16.8%) | 493 220 (44.6%) 148 (30.1%) 107 (21.7%) 18 (3.6%) |
Ultrasonographic characteristics of LH
| 15.3% 29.2% 65.0% | 14.8% 20.2% 55.5% | 47.3% 22.4% 30.3% |
| Size | Major Diameter | % |
|---|---|---|
| Small | (<50 µm) | 10% |
| Medium | (50–69 µm) | 15% |
| Large | (70–89 µm) | 45% |
| Very large | (>90 µm) | 30% |
Disclaimer/Publisher’s Note: The statements, opinions and data contained in all publications are solely those of the individual author(s) and contributor(s) and not of MDPI and/or the editor(s). MDPI and/or the editor(s) disclaim responsibility for any injury to people or property resulting from any ideas, methods, instructions or products referred to in the content. |
© 2024 by the authors. Licensee MDPI, Basel, Switzerland. This article is an open access article distributed under the terms and conditions of the Creative Commons Attribution (CC BY) license (https://creativecommons.org/licenses/by/4.0/).
Share and Cite
Gentile, S.; Strollo, F.; Guarino, G.; Ronchi, A.; Satta, E.; Della-Corte, T.; Fulgione, E.; Babino, G.; Mattera, E.; Martedì, E.; et al. Insulin-Related Skin Lipohypertrophy in Type Two Diabetes: A Clinical Study of a Case Series, with Ultrasonographic and Histopathologic Implications. Diabetology 2024, 5, 725-742. https://doi.org/10.3390/diabetology5070053
Gentile S, Strollo F, Guarino G, Ronchi A, Satta E, Della-Corte T, Fulgione E, Babino G, Mattera E, Martedì E, et al. Insulin-Related Skin Lipohypertrophy in Type Two Diabetes: A Clinical Study of a Case Series, with Ultrasonographic and Histopathologic Implications. Diabetology. 2024; 5(7):725-742. https://doi.org/10.3390/diabetology5070053
Chicago/Turabian StyleGentile, Sandro, Felice Strollo, Giuseppina Guarino, Andrea Ronchi, Ersilia Satta, Teresa Della-Corte, Elisabetta Fulgione, Graziella Babino, Edi Mattera, Emilia Martedì, and et al. 2024. "Insulin-Related Skin Lipohypertrophy in Type Two Diabetes: A Clinical Study of a Case Series, with Ultrasonographic and Histopathologic Implications" Diabetology 5, no. 7: 725-742. https://doi.org/10.3390/diabetology5070053
APA StyleGentile, S., Strollo, F., Guarino, G., Ronchi, A., Satta, E., Della-Corte, T., Fulgione, E., Babino, G., Mattera, E., Martedì, E., Di Martino, R., Fiorentino, R., Porcini, R., Romano, C., Chiarello, M., Caccavale, G., Franco, R., & Argenziano, G., on behalf of the AMD-OSDI National Study Group on Insulin Injection. (2024). Insulin-Related Skin Lipohypertrophy in Type Two Diabetes: A Clinical Study of a Case Series, with Ultrasonographic and Histopathologic Implications. Diabetology, 5(7), 725-742. https://doi.org/10.3390/diabetology5070053

