Primary Trapeziometacarpal (TMC) Arthroplasty for Bennett Fracture in Setting of Severe Thumb Osteoarthritis: A Case Report
Abstract
1. Introduction
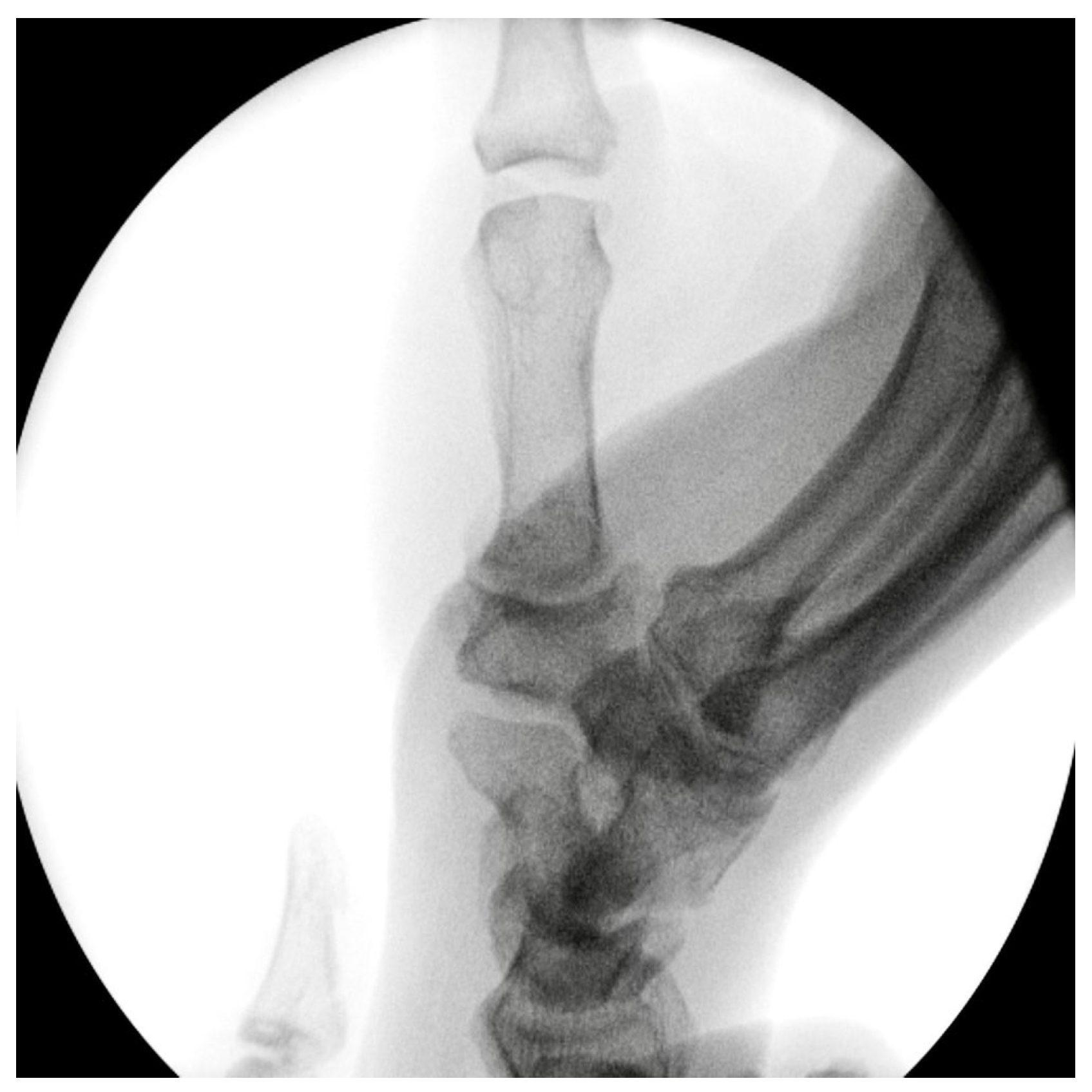
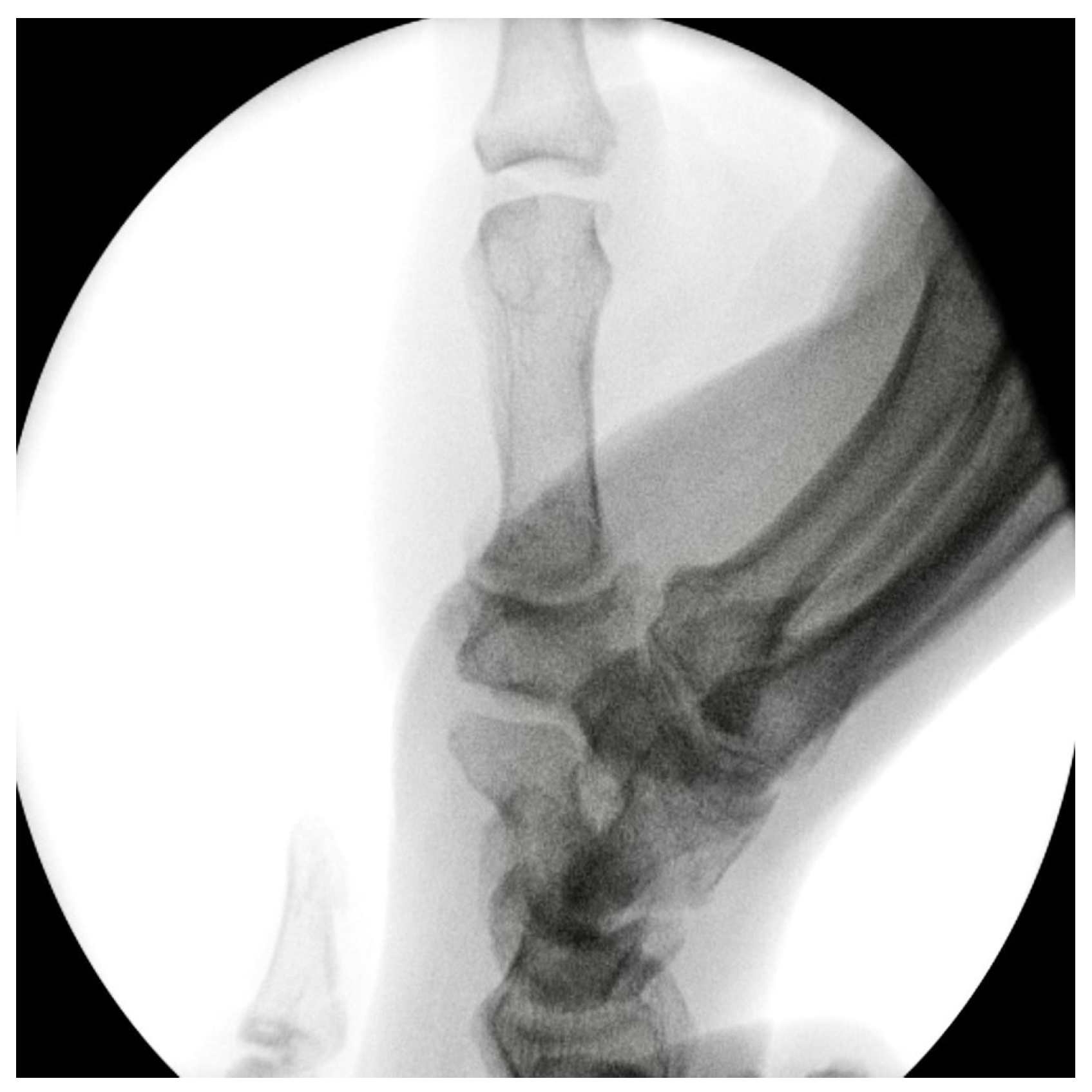
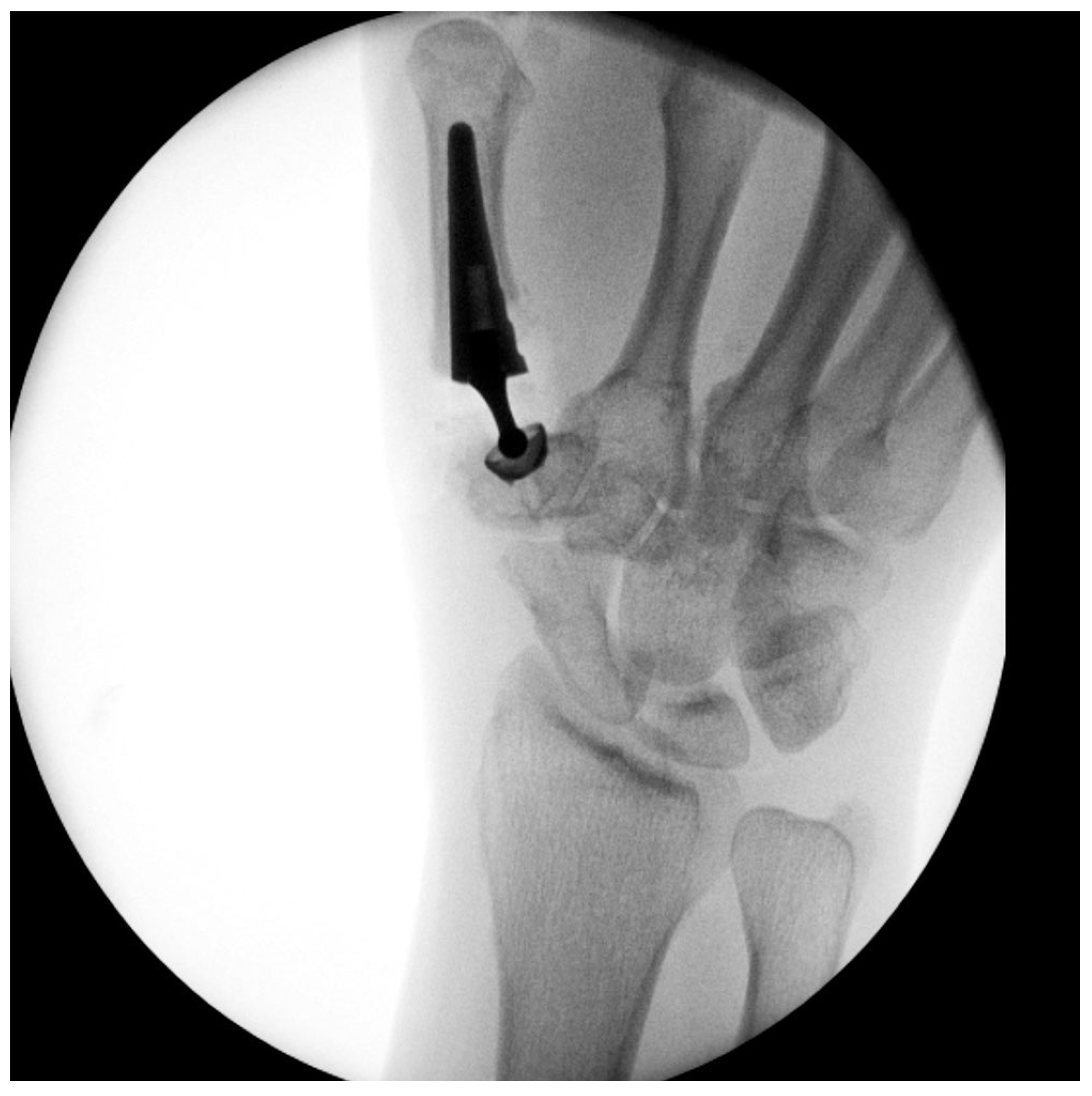
2. Case Report
Author Contributions
Funding
Institutional Review Board Statement
Informed Consent Statement
Data Availability Statement
Conflicts of Interest
References
- Goru, P.; Haque, S.; Verma, G.G.; Mustafa, A.; Ebinesan, A. Bennett’s Fracture Management: A Systematic Review of Literature. Cureus 2022, 14, e31340. [Google Scholar] [CrossRef] [PubMed]
- Kamphuis, S.; Greeven, A.; Kleinveld, S.; Gosens, T.; Van Lieshout, E.; Verhofstad, M. Bennett’s fracture: Comparative study between open and closed surgical techniques. Hand Surg. Rehabil. 2019, 38, 97–101. [Google Scholar] [CrossRef] [PubMed]
- Timmenga, E.J.F.; Blokhuis, T.J.; Maas, M.; Raaijmakers, E.L.F.B. Long-term evaluation of bennett’s fracture A comparison between open and closed reduction. J. Hand Surg. Br. Eur. Vol. 1994, 19, 373–377. [Google Scholar] [CrossRef]
- Liverneaux, P.A.; Ichihara, S.; Hendriks, S.; Facca, S.; Bodin, F. Fractures and dislocation of the base of the thumb metacarpal. J. Hand Surg. (Eur. Vol.) 2015, 40, 42–50. [Google Scholar] [CrossRef] [PubMed]
- Toffoli, A.; Degeorge, B.; Cloquell, Y.; Teissier, P.; Teissier, J. MAÏA Trapeziometacarpal Joint Arthroplasty: Clinical and Radiological Outcomes of 76 Patients with More Than 10 Years of Follow-Up. J. Hand Surg. 2024, 49, 846–856. [Google Scholar] [CrossRef] [PubMed]
- Carter, K.R.; Nallamothu, S.V. Bennett Fracture. In StatPearls; StatPearls Publishing: Treasure Island, FL, USA, 2025. Available online: https://www.ncbi.nlm.nih.gov/books/NBK500035/ (accessed on 7 August 2023).
- Kennedy, C.D.; Manske, M.C.; Huang, J.I. Classifications in Brief: The Eaton-Littler Classification of Thumb Carpometacarpal Joint Arthrosis. Clin. Orthop. Relat. Res. 2016, 474, 2729–2733. [Google Scholar] [CrossRef] [PubMed]
- Carlsson, A.M. Assessment of chronic pain. I. Aspects of the reliability and validity of the visual analogue scale. Pain 1983, 16, 87–101. [Google Scholar] [CrossRef] [PubMed]
- MacDermid, J.C.; Turgeon, T.; Richards, R.S.; Beadle, M.; Roth, J.H. Patient rating of wrist pain and disability: A reliable and valid measurement tool. J. Orthop. Trauma 1998, 12, 577–586. [Google Scholar] [CrossRef] [PubMed]
- Raj, S.; Clay, R.; Ramji, S.; Shaunak, R.; Dadrewalla, A.; Sinha, V.; Shaunak, S. Trapeziectomy versus joint replacement for first carpometacarpal (CMC 1) joint osteoarthritis: A systematic review and meta-analysis. Eur. J. Orthop. Surg. Traumatol. 2022, 32, 1001–1021. [Google Scholar] [CrossRef] [PubMed]
- Chiche, L.; Chammas, P.E.; D’aLlais, P.V.; Lazerges, C.; Coulet, B.; Chammas, M. Long-term survival analysis of 191 MAÏA® prostheses for trapeziometacarpal arthritis. J. Hand Surg. (Eur. Vol.) 2023, 48, 101–107. [Google Scholar] [CrossRef] [PubMed]









Disclaimer/Publisher’s Note: The statements, opinions and data contained in all publications are solely those of the individual author(s) and contributor(s) and not of MDPI and/or the editor(s). MDPI and/or the editor(s) disclaim responsibility for any injury to people or property resulting from any ideas, methods, instructions or products referred to in the content. |
© 2025 by the authors. Licensee MDPI, Basel, Switzerland. This article is an open access article distributed under the terms and conditions of the Creative Commons Attribution (CC BY) license.
Share and Cite
Stambazzi, C.; Menini, M.; Pandolfo, L. Primary Trapeziometacarpal (TMC) Arthroplasty for Bennett Fracture in Setting of Severe Thumb Osteoarthritis: A Case Report. Surgeries 2026, 7, 6. https://doi.org/10.3390/surgeries7010006
Stambazzi C, Menini M, Pandolfo L. Primary Trapeziometacarpal (TMC) Arthroplasty for Bennett Fracture in Setting of Severe Thumb Osteoarthritis: A Case Report. Surgeries. 2026; 7(1):6. https://doi.org/10.3390/surgeries7010006
Chicago/Turabian StyleStambazzi, Chiara, Marvin Menini, and Luca Pandolfo. 2026. "Primary Trapeziometacarpal (TMC) Arthroplasty for Bennett Fracture in Setting of Severe Thumb Osteoarthritis: A Case Report" Surgeries 7, no. 1: 6. https://doi.org/10.3390/surgeries7010006
APA StyleStambazzi, C., Menini, M., & Pandolfo, L. (2026). Primary Trapeziometacarpal (TMC) Arthroplasty for Bennett Fracture in Setting of Severe Thumb Osteoarthritis: A Case Report. Surgeries, 7(1), 6. https://doi.org/10.3390/surgeries7010006
