Closure of a Pleural Defect Using a Collagen Pad During Robotic Thymectomy: A Preliminary Experience
Abstract
1. Introduction
2. Materials and Methods
2.1. Surgical Technique
2.2. Tips and Pitfalls
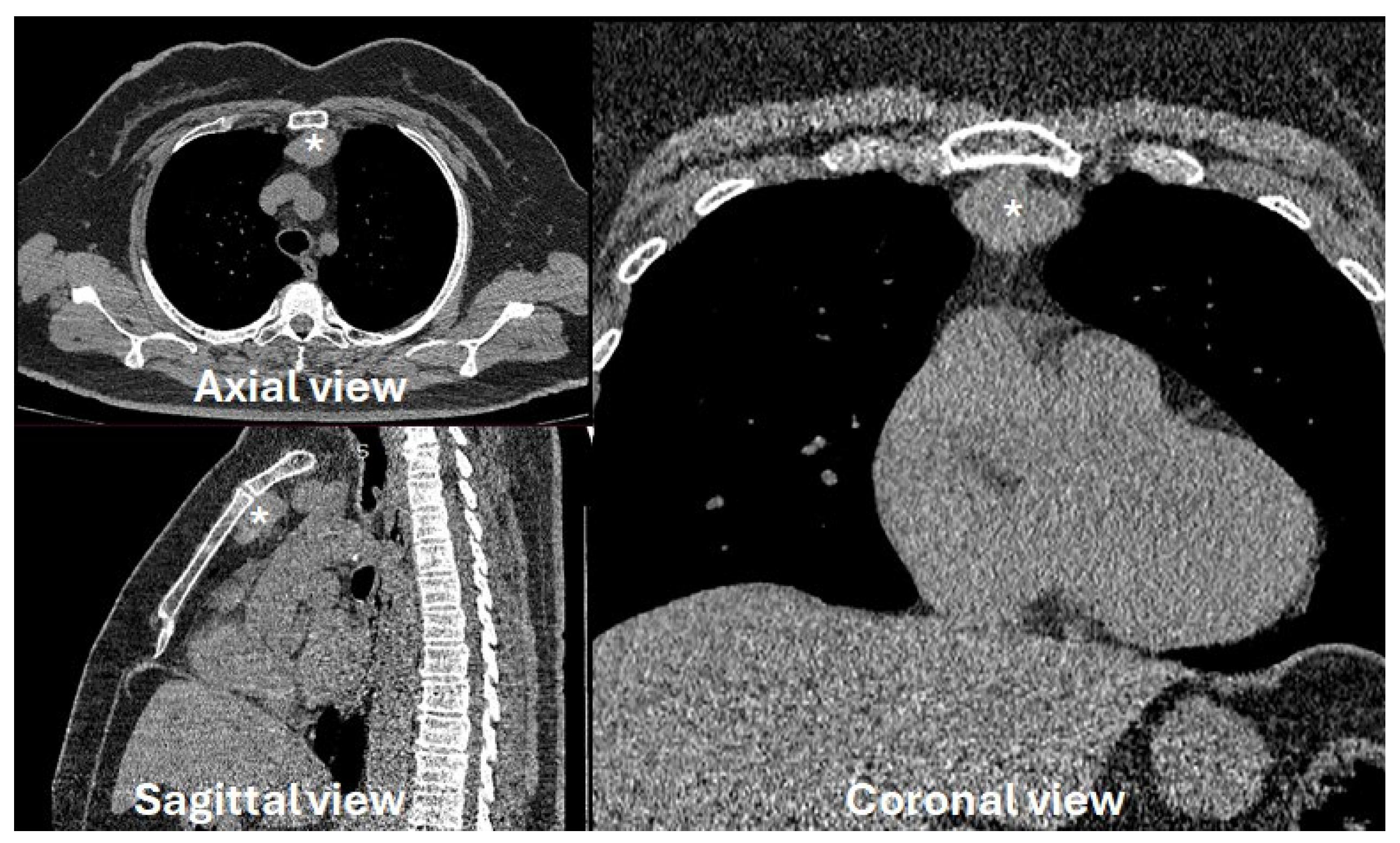
3. Results
4. Discussion
5. Conclusions
Supplementary Materials
Author Contributions
Funding
Institutional Review Board Statement
Informed Consent Statement
Data Availability Statement
Conflicts of Interest
References
- Salfity, H.V.; Timsina, L.; Ceppa, D.P.; Birdas, T.J. Minimally invasive surgery in the management of resectable thymoma: A retrospective analysis from the National Cancer Database. J. Thorac. Dis. 2021, 13, 6353–6362. [Google Scholar] [CrossRef] [PubMed]
- Falkson, C.B.; Bezjak, A.; Darling, G.; Gregg, R.; Malthaner, R.; Maziak, D.E.; Yu, E.; Smith, C.A.; McNair, S.; Ung, Y.C.; et al. The management of thymoma: A systematic review and practice guideline. J. Thorac. Oncol. 2009, 4, 911–919. [Google Scholar] [CrossRef] [PubMed]
- Burt, B.M.; Yao, X.; Shrager, J.; Antonicelli, A.; Padda, S.; Reiss, J.; Wakelee, H.; Su, S.; Huang, J.; Scott, W. Determinants of Complete Resection of Thymoma by Minimally Invasive and Open Thymectomy: Analysis of an International Registry. J. Thorac. Oncol. 2017, 12, 129–136. [Google Scholar] [CrossRef] [PubMed]
- Fiorelli, A.; Natale, G.; Freda, C.; Santini, M. Is thymomectomy equivalent to complete thymectomy in non-myasthenic patients with early-stage thymoma? Interact. Cardiovasc. Thorac. Surg. 2019, 28, 399–403. [Google Scholar] [CrossRef] [PubMed]
- Tassi, V.; Ceccarelli, S.; Zannori, C.; Gili, A.; Daddi, N.; Bellezza, G.; Ascani, S.; Liberati, A.M.; Puma, F. Could thymomectomy be a reasonable option for non-myasthenic thymoma patients? J. Thorac. Dis. 2017, 9, 3817–3824. [Google Scholar] [CrossRef] [PubMed]
- Chae, M.S.; Kwak, J.; Roh, K.; Kim, M.; Park, S.; Choi, H.J.; Park, J.; Shim, J.W.; Lee, H.M.; Kim, Y.S.; et al. Pneumoperitoneum-induced pneumothorax during laparoscopic living donor hepatectomy: A case report. BMC Surg. 2020, 20, 206. [Google Scholar] [CrossRef] [PubMed]
- Park, H.J.; Kim, D.K.; Yang, M.K.; Seo, J.E.; Kwon, J.H. Carbon dioxide pneumothorax occurring during laparoscopy-assisted gastrectomy due to a congenital diaphragmatic defect: A case report. Korean J. Anesthesiol. 2016, 69, 88–92. [Google Scholar] [CrossRef] [PubMed]
- Wahba, R.W.; Tessler, M.J.; Kleiman, S.J. Acute ventilatory complications during laparoscopic upper abdominal surgery. Can. J. Anaesth. 1996, 43, 77–83. [Google Scholar] [CrossRef] [PubMed]
- Lombardo, C.; Lopez-Ben, S.; Boggi, U.; Gutowski, P.; Hrbac, T.; Krska, L.; Marquez-Rivas, J.; Russello, D.; York, E.; Zacharias, M. Hemopatch® is effective and safe to use: Real-world data from a prospective European registry study. Updates Surg. 2022, 74, 1521–1531. [Google Scholar] [CrossRef] [PubMed]
- Comacchio, G.M.; Schiavon, M.; Zirafa, C.C.; De Palma, A.; Scaramuzzi, R.; Meacci, E.; Bongiolatti, S.; Monaci, N.; Lyberis, P.; Novellis, P.; et al. Robotic thymectomy in thymic tumours: A multicentre, nation-wide study. Eur. J. Cardiothorac. Surg. 2024, 65, ezae178. [Google Scholar] [CrossRef] [PubMed]
- Abd-Elsayed, A.A.; Ghaly, T.; Farag, E.; Esa, W.A.S. Bilateral pneumothoraces following a right subclavian catheter insertion after thymectomy for a patient with a myasthenic crisis. Ochsner J. 2013, 13, 256–258. [Google Scholar] [PubMed]


| Variables | Patient 1 | Patient 2 | Patient 3 |
|---|---|---|---|
| Age (years old) | 41 | 49 | 67 |
| Sex | Female | Female | Male |
| Co-morbidity | None | None | Hypertension |
| Tumor size (mm) | 40 | 35 | 30 |
| SUV | 2.9 | 3.5 | 2.1 |
| Histology | B1 thymoma | B2 thymoma | B1 thymoma |
| Masaoka Stage | I | II | I |
| Operative time (minutes) | 138 | 140 | 135 |
| Chest drainage output (mL) | 200 | 150 | 100 |
| Duration of chest drainage (day) | 1 | 1 | 1 |
| Length of hospital stay (day) | 2 | 2 | 2 |
Disclaimer/Publisher’s Note: The statements, opinions and data contained in all publications are solely those of the individual author(s) and contributor(s) and not of MDPI and/or the editor(s). MDPI and/or the editor(s) disclaim responsibility for any injury to people or property resulting from any ideas, methods, instructions or products referred to in the content. |
© 2026 by the authors. Licensee MDPI, Basel, Switzerland. This article is an open access article distributed under the terms and conditions of the Creative Commons Attribution (CC BY) license.
Share and Cite
Fiorelli, A.; Leonardi, B.; Di Filippo, V.; Capasso, F.; Ciaravola, M.; Liguori, G.; Coppolino, F. Closure of a Pleural Defect Using a Collagen Pad During Robotic Thymectomy: A Preliminary Experience. Surgeries 2026, 7, 33. https://doi.org/10.3390/surgeries7010033
Fiorelli A, Leonardi B, Di Filippo V, Capasso F, Ciaravola M, Liguori G, Coppolino F. Closure of a Pleural Defect Using a Collagen Pad During Robotic Thymectomy: A Preliminary Experience. Surgeries. 2026; 7(1):33. https://doi.org/10.3390/surgeries7010033
Chicago/Turabian StyleFiorelli, Alfonso, Beatrice Leonardi, Vincenzo Di Filippo, Francesca Capasso, Massimo Ciaravola, Giovanni Liguori, and Francesco Coppolino. 2026. "Closure of a Pleural Defect Using a Collagen Pad During Robotic Thymectomy: A Preliminary Experience" Surgeries 7, no. 1: 33. https://doi.org/10.3390/surgeries7010033
APA StyleFiorelli, A., Leonardi, B., Di Filippo, V., Capasso, F., Ciaravola, M., Liguori, G., & Coppolino, F. (2026). Closure of a Pleural Defect Using a Collagen Pad During Robotic Thymectomy: A Preliminary Experience. Surgeries, 7(1), 33. https://doi.org/10.3390/surgeries7010033

