Endoscopically Assisted Exoscopic Surgery for Microvascular Decompression of the Trigeminal Nerve with Intraoperative Use of Indocyanine Green
Abstract
1. Introduction
Objective of the Study
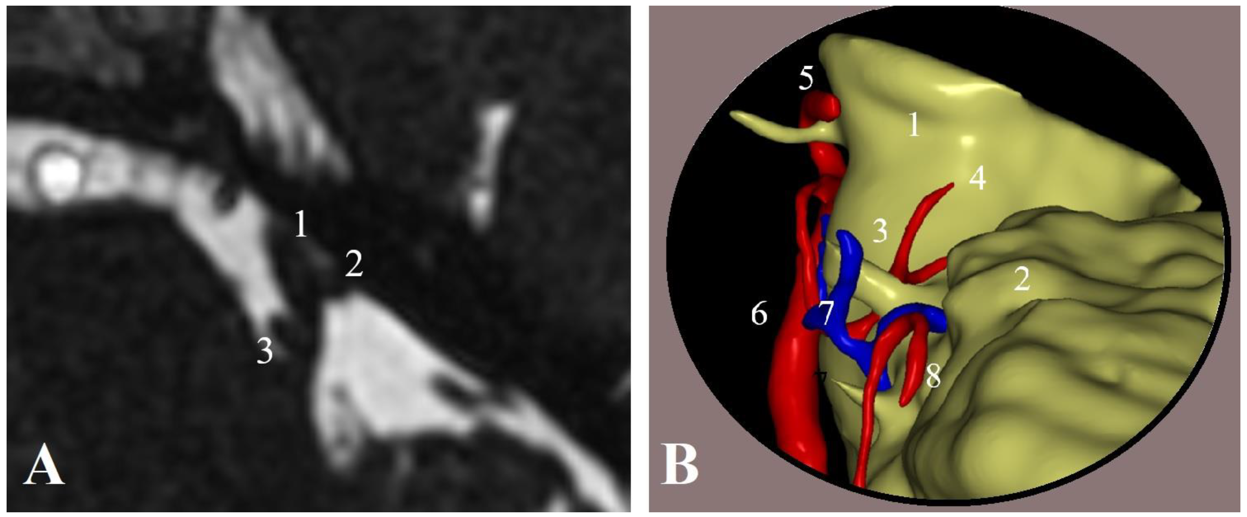
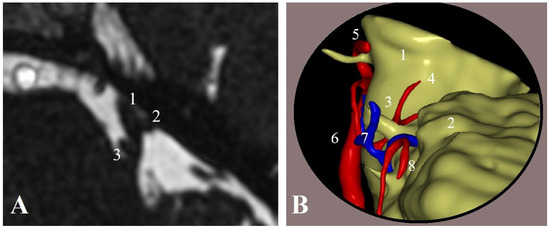
2. Illustrative Case
2.1. Operation Technique
2.2. Patient Consent and Data Protection
3. Discussion
Limitations of the Study
4. Conclusions
Supplementary Materials
Author Contributions
Funding
Institutional Review Board Statement
Conflicts of Interest
Abbreviations
References
- Khawaja, S.N.; Scrivani, S.J. Trigeminal Neuralgia. Dent. Clin. N. Am. 2023, 67, 99–115. [Google Scholar] [CrossRef] [PubMed]
- Patel, S.K.; Markosian, C.; Choudhry, O.J.; Keller, J.T.; Liu, J.K. The Historical Evolution of Microvascular Decompression for Trigeminal Neuralgia: From Dandy’s Discovery to Jannetta’s Legacy. Acta Neurochir. 2020, 162, 2773–2782. [Google Scholar] [CrossRef] [PubMed]
- Yang, L.; Cheng, H. Surgical Technique Management of Microvascular Decompression for Trigeminal Neuralgia. Ideggyogy. Sz. 2022, 75, 369–375. [Google Scholar] [CrossRef]
- Teo, C.; Nakaji, P.; Mobbs, R.J. Endoscope-Assisted Microvascular Decompression for Trigeminal Neuralgia: Technical Case Report. Neurosurgery 2006, 59 (Suppl. S2), ONSE489–ONSE490; discussion ONSE490. [Google Scholar]
- Calloni, T.; Roumy, L.G.; Cinalli, M.A.; Rocca, A.; Held, A.; Trezza, A.; Carrabba, G.G.; Giussani, C.G. Exoscope as a Teaching Tool: A Narrative Review of the Literature. Front. Surg. 2022, 9, 878293. [Google Scholar] [CrossRef] [PubMed]
- Herta, J.; Rössler, K.; Dorfer, C. Technical Assessment of Microvascular Decompression for Trigeminal Neuralgia Using a 3-Dimensional Exoscope: A Case Series. Oper. Neurosurg. 2022, 23, 374–381. [Google Scholar] [CrossRef] [PubMed]
- Toda, H.; Hashikata, H.; Ishibashi, R. Exoscopic Microvascular Decompression for Hemifacial Spasm and Trigeminal Neuralgia. Neurosurg. Focus. Video 2024, 10, V12. [Google Scholar] [CrossRef]
- Yano, S.; Hiraoka, F.; Morita, H.; Kawano, H.; Kuwajima, T.; Yoshida, S.-I.; Hama, Y.; Tashiro, N.; Hamaguchi, S.; Aikawa, H.; et al. Usefulness of Endoscope-Assisted Surgery under Exoscopic View in Skull Base Surgery: A Technical Note. Surg. Neurol. Int. 2022, 13, 30. [Google Scholar] [CrossRef] [PubMed]
- Dubey, A.; Yadav, N.; Ratre, S.; Parihar, V.S.; Yadav, Y.R. Full Endoscopic Vascular Decompression in Trigeminal Neuralgia: Experience of 230 Patients. World Neurosurg. 2018, 113, e612–e617. [Google Scholar] [CrossRef]
- Holste, K.; Chan, A.Y.; Rolston, J.D.; Englot, D.J. Pain Outcomes Following Microvascular Decompression for Drug-Resistant Trigeminal Neuralgia: A Systematic Review and Meta-Analysis. Neurosurgery 2020, 86, 182–190. [Google Scholar] [CrossRef]
- Zakrzewska, J.M.; Linskey, M.E. Trigeminal Neuralgia. BMJ Clin. Evid. 2009, 2009, 1207. [Google Scholar]
- Piazza, M.; Lee, J.Y.K. Endoscopic and Microscopic Microvascular Decompression. Neurosurg. Clin. N. Am. 2016, 27, 305–313. [Google Scholar] [CrossRef]
- Herlan, S.; Marquardt, J.S.; Hirt, B.; Tatagiba, M.; Ebner, F.H. 3D Exoscope System in Neurosurgery-Comparison of a Standard Operating Microscope With a New 3D Exoscope in the Cadaver Lab. Oper. Neurosurg. 2019, 17, 518–524. [Google Scholar] [CrossRef]
- Haeren, R.; Hafez, A.; Lehecka, M. Visualization and Maneuverability Features of a Robotic Arm Three-Dimensional Exoscope and Operating Microscope for Clipping an Unruptured Intracranial Aneurysm: Video Comparison and Technical Evaluation. Oper. Neurosurg. 2022, 22, 28–34. [Google Scholar] [CrossRef] [PubMed]
- Montemurro, N.; Scerrati, A.; Ricciardi, L.; Trevisi, G. The Exoscope in Neurosurgery: An Overview of the Current Literature of Intraoperative Use in Brain and Spine Surgery. J. Clin. Med. 2021, 11, 223. [Google Scholar] [CrossRef]
- Fiani, B.; Jarrah, R.; Griepp, D.W.; Adukuzhiyil, J. The Role of 3D Exoscope Systems in Neurosurgery: An Optical Innovation. Cureus 2021, 13, e15878. [Google Scholar] [CrossRef] [PubMed]
- Hashikata, H.; Maki, Y.; Futamura, G.; Yoshimoto, N.; Goto, M.; Hayashi, H.; Nishida, N.; Iwasaki, K.; Toda, H. Functionality and Usability of the Exoscope in Microvascular Decompression for Hemifacial Spasm and Trigeminal Neuralgia. World Neurosurg. 2023, 179, e539–e548. [Google Scholar] [CrossRef]
- Narayan, V.; Savardekar, A.R.; Patra, D.P.; Mohammed, N.; Thakur, J.D.; Riaz, M.; Nanda, A. Safety Profile of Superior Petrosal Vein (the Vein of Dandy) Sacrifice in Neurosurgical Procedures: A Systematic Review. Neurosurg. Focus 2018, 45, E3. [Google Scholar] [CrossRef] [PubMed]
- Zhong, J.; Li, S.-T.; Xu, S.-Q.; Wan, L.; Wang, X. Management of Petrosal Veins during Microvascular Decompression for Trigeminal Neuralgia. Neurol. Res. 2008, 30, 697–700. [Google Scholar] [CrossRef]
- Klun, B.; Prestor, B. Microvascular Relations of the Trigeminal Nerve: An Anatomical Study. Neurosurgery 1986, 19, 535–539. [Google Scholar] [CrossRef]
- Rusu, M.C.; Ivaşcu, R.V.; Cergan, R.; Păduraru, D.; Podoleanu, L. Typical and Atypical Neurovascular Relations of the Trigeminal Nerve in the Cerebellopontine Angle: An Anatomical Study. Surg. Radiol. Anat. 2009, 31, 507–516. [Google Scholar] [CrossRef] [PubMed]
- Fu, C.; Zhao, C.; Li, D.; Sun, L.; Hu, Z.; Yu, W. Primitive Trigeminal Artery as a Rare Cause of Trigeminal Neuralgia. Vasa 2015, 44, 140–144. [Google Scholar] [CrossRef] [PubMed]
- Shulev, Y.A.; Gordienko, K.S.; Trashin, A.V.; Pechiborshch, D.A. Microvascular decompression in trigeminal neuralgia following vertebrobasilar dolichoectasia. Zh Vopr. Neirokhir. Im. N. N. Burdenko 2020, 84, 50–63. [Google Scholar] [CrossRef] [PubMed]
- Chen, L.; Shang, Y.; Zhang, Y.; Zhao, Y. Endoscopic Microvascular Decompression versus Microscopic Microvascular Decompression for Trigeminal Neuralgia: A Systematic Review and Meta-Analysis. J. Clin. Neurosci. 2023, 117, 73–78. [Google Scholar] [CrossRef] [PubMed]
- Eby, J.B.; Cha, S.T.; Shahinian, H.K. Fully Endoscopic Vascular Decompression of the Facial Nerve for Hemifacial Spasm. Skull Base 2001, 11, 189–197. [Google Scholar] [CrossRef]
- Abdeen, K.; Kato, Y.; Kiya, N.; Yoshida, K.; Kanno, T. Neuroendoscopy in Microvascular Decompression for Trigeminal Neuralgia and Hemifacial Spasm: Technical Note. Neurol. Res. 2000, 22, 522–526. [Google Scholar] [CrossRef]
- Halpern, C.H.; Lang, S.-S.; Lee, J.Y.K. Fully Endoscopic Microvascular Decompression: Our Early Experience. Minim. Invasive Surg. 2013, 2013, 739432. [Google Scholar] [CrossRef] [PubMed]
- Zagzoog, N.; Attar, A.; Takroni, R.; Alotaibi, M.B.; Reddy, K. Endoscopic versus Open Microvascular Decompression for Trigeminal Neuralgia: A Systematic Review and Comparative Meta-Analysis. J. Neurosurg. 2018, 131, 1532–1540. [Google Scholar] [CrossRef] [PubMed]
- Peng, W.; Zhao, R.; Guan, F.; Liang, X.; Jing, B.; Zhu, G.; Mao, B.; Hu, Z. Fully Endoscopic Microvascular Decompression for the Treatment of Hemifacial Spasm, Trigeminal Neuralgia, and Glossopharyngeal Neuralgia: A Retrospective Study. BMC Surg. 2023, 23, 331. [Google Scholar] [CrossRef]
- Guan, H.; Li, S.; Wang, X. Fully Endoscopic Microvascular Decompression for Trigeminal Neuralgia: Technical Note and Early Outcomes. Neurosurg. Rev. 2023, 46, 292. [Google Scholar] [CrossRef]
- Wang, J.; Wang, X.; Luo, T.; Wang, X.; Qu, Y. Supratentorial Acute Subdural Hematoma During Fully Endoscopic Microvascular Decompression Surgery for Hemifacial Spasm. J. Craniofacial Surg. 2023, 34, e187–e190. [Google Scholar] [CrossRef]
- Pak, H.L.; Lambru, G.; Okasha, M.; Maratos, E.; Thomas, N.; Shapey, J.; Barazi, S. Fully Endoscopic Microvascular Decompression for Trigeminal Neuralgia: Technical Note Describing a Single-Center Experience. World Neurosurg. 2022, 166, 159–167. [Google Scholar] [CrossRef]
- Hirata, S.; Kobayashi, M.; Ujihara, M.; Takabatake, K.; Fujimaki, T. Preoperative Findings in Relation to the Usefulness of Endoscopic Assistance for Microvascular Decompression. Acta Neurochir. 2023, 165, 3011–3017. [Google Scholar] [CrossRef]
- Zhi, M.; Lu, X.J.; Wang, Q.; Li, B. Application of Neuroendoscopy in the Surgical Treatment of Complicated Hemifacial Spasm. Neurosciences 2017, 22, 25–30. [Google Scholar] [CrossRef] [PubMed]
- Bohman, L.-E.; Pierce, J.; Stephen, J.H.; Sandhu, S.; Lee, J.Y.K. Fully Endoscopic Microvascular Decompression for Trigeminal Neuralgia: Technique Review and Early Outcomes. Neurosurg. Focus 2014, 37, E18. [Google Scholar] [CrossRef]
- Jarrahy, R.; Eby, J.B.; Cha, S.T.; Shahinian, H.K. Fully Endoscopic Vascular Decompression of the Trigeminal Nerve. Minim. Invasive Neurosurg. 2002, 45, 32–35. [Google Scholar] [CrossRef]
- Feindel, W.; Yamamoto, Y.L.; Hodge, C.P. Intracarotid Fluorescein Angiography: A New Method for Examination of the Epicerebral Circulation in Man. Can. Med. Assoc. J. 1967, 96, 1–7. [Google Scholar] [PubMed]
- Zhao, X.; Belykh, E.; Cavallo, C.; Valli, D.; Gandhi, S.; Preul, M.C.; Vajkoczy, P.; Lawton, M.T.; Nakaji, P. Application of Fluorescein Fluorescence in Vascular Neurosurgery. Front. Surg. 2019, 6, 52. [Google Scholar] [CrossRef] [PubMed]
- Herta, J.; Rössler, K.; Dorfer, C. Use of a 3D Exoscope in Microvascular Decompression of the Trigeminal Nerve Root. Neurosurg. Focus. Video 2024, 10, V14. [Google Scholar] [CrossRef]
- Lizana, J.; Aliaga, N.; Marani, W.; Escribano, A.; Montemurro, N. Spinal Vascular Shunts: Single-Center Series and Review of the Literature of Their Classification. Neurol. Int. 2022, 14, 581–599. [Google Scholar] [CrossRef]
- Encarnacion Ramirez, M.; Ramirez Pena, I.; Barrientos Castillo, R.E.; Sanchez, J.A.S.; Colome-Hidalgo, M.; Nurmukhametov, R.; Céspedes, J.R.C.; Montemurro, N. Development of a 3D Printed Brain Model with Vasculature for Neurosurgical Procedure Visualisation and Training. Biomedicines 2023, 11, 330. [Google Scholar] [CrossRef] [PubMed]
- Montemurro, N.; Condino, S.; Carbone, M.; Cattari, N.; D’amato, R.; Cutolo, F.; Ferrari, V. Brain Tumor and Augmented Reality: New Technologies for the Future. Int. J. Environ. Res. Public Health 2022, 19, 6347. [Google Scholar] [CrossRef] [PubMed]
- Encarnacion Ramirez, M.; Peralta Baez, I.; Nurmukhametov, R.; Goncharov, E.; Efe, I.E.; Sufianov, A.; Pena, I.R. Comparative survey study of the use of a low cost exoscope vs. microscope for anterior cervical discectomy and fusion (ACDF). Front. Med. Technol. 2022, 4, 1055189. [Google Scholar] [CrossRef]
- Uhl, J.F.; Sufianov, A.; Ruiz, C.; Iakimov, Y.; Mogorron, H.J.; Ramirez, M.E.; Prat, G.; Lorea, B.; Baldoncini, M.; Goncharov, E.; et al. The Use of 3D Printed Models for Surgical Simulation of Cranioplasty in Craniosynostosis as Training and Education. Brain Sci. 2023, 13, 894. [Google Scholar] [CrossRef] [PubMed]





Disclaimer/Publisher’s Note: The statements, opinions and data contained in all publications are solely those of the individual author(s) and contributor(s) and not of MDPI and/or the editor(s). MDPI and/or the editor(s) disclaim responsibility for any injury to people or property resulting from any ideas, methods, instructions or products referred to in the content. |
© 2024 by the authors. Licensee MDPI, Basel, Switzerland. This article is an open access article distributed under the terms and conditions of the Creative Commons Attribution (CC BY) license (https://creativecommons.org/licenses/by/4.0/).
Share and Cite
Sufianov, R.A.; Garifullina, N.A.; Magomedova, A.S.; Hevor, M.G.; Encarnacion Ramirez, M.d.J.; Sufianov, A.A.; Montemurro, N. Endoscopically Assisted Exoscopic Surgery for Microvascular Decompression of the Trigeminal Nerve with Intraoperative Use of Indocyanine Green. Surgeries 2024, 5, 172-183. https://doi.org/10.3390/surgeries5020017
Sufianov RA, Garifullina NA, Magomedova AS, Hevor MG, Encarnacion Ramirez MdJ, Sufianov AA, Montemurro N. Endoscopically Assisted Exoscopic Surgery for Microvascular Decompression of the Trigeminal Nerve with Intraoperative Use of Indocyanine Green. Surgeries. 2024; 5(2):172-183. https://doi.org/10.3390/surgeries5020017
Chicago/Turabian StyleSufianov, Rinat A., Nargiza A. Garifullina, Asiyat Sh. Magomedova, Michael G. Hevor, Manuel de Jesus Encarnacion Ramirez, Albert A. Sufianov, and Nicola Montemurro. 2024. "Endoscopically Assisted Exoscopic Surgery for Microvascular Decompression of the Trigeminal Nerve with Intraoperative Use of Indocyanine Green" Surgeries 5, no. 2: 172-183. https://doi.org/10.3390/surgeries5020017
APA StyleSufianov, R. A., Garifullina, N. A., Magomedova, A. S., Hevor, M. G., Encarnacion Ramirez, M. d. J., Sufianov, A. A., & Montemurro, N. (2024). Endoscopically Assisted Exoscopic Surgery for Microvascular Decompression of the Trigeminal Nerve with Intraoperative Use of Indocyanine Green. Surgeries, 5(2), 172-183. https://doi.org/10.3390/surgeries5020017

