Next Article in Journal / Special Issue
Single-Lateral-Incision Technique for Talar Neck Fractures—A Viable Option
Previous Article in Journal
Bone Health, Intersectionality and Climate Change
Previous Article in Special Issue
Tibial Plateau Fractures among Alpine Skiers: A Retrospective Case Series
 
 
Font Type:
Arial Georgia Verdana
Font Size:
Aa Aa Aa
Line Spacing:
Column Width:
Background:
Case Report

Diagnosis and Management Controversies Illustrated by an Uncommon Case of Postpartum Pubic Symphysis Diastasis

1
The Curtis National Hand Center, Department of Orthopaedic Surgery, Baltimore, MD 21218, USA
2
San Antonio Uniformed Services Health Consortium, JBSA Fort Sam Houston, San Antonio, TX 78234, USA
3
Womack Army Medical Center, Department of Orthopaedic Surgery, Fort Liberty, NC 28310, USA
4
Tahoe Orthopedics & Sports Medicine, University of Nevada Reno, Reno, NV 96150, USA
*
Author to whom correspondence should be addressed.
Osteology 2023, 3(3), 116-121; https://doi.org/10.3390/osteology3030012
Submission received: 27 July 2023 / Revised: 3 September 2023 / Accepted: 15 September 2023 / Published: 20 September 2023
(This article belongs to the Special Issue Current Trends in Sports Medicine Based on Orthopedics and Osteology)

Abstract

:
Pubic symphysis diastasis is a complication of pregnancy that can lead to prolonged recovery, persistent pain, and functional disability if managed inappropriately. There is a lack of universally accepted clinical guidelines with regards to the timeframe and defect criteria for surgical management, which contributes to delayed care resulting in increased surgical complexity and subsequent impairments in functionality and quality of life. The current standard of care utilizes non-operative measures exclusively for separations measuring less than 2.5 cm correlating to symphyseal ligament sparing. Surgical interventions are typically reserved for severe cases or those resistant to initial non-operative treatment. Non-surgical methods have been attempted for 4–6 weeks, even in severe cases, with patients still requiring eventual surgery. We herein report an uncommon case of pubic symphysis diastasis measuring 5.5 cm and the successful implementation of non-surgical management to demonstrate the need for updated standardized treatment guidelines. The defect in this case was treated with early application of a pelvic binder resulting in anatomic alignment and full resolution of pain within 3 months, and full return to activity within 6 months. In conclusion, the establishment of management guidelines for pubic symphysis is recommended, including the use of non-surgical management early in the patient recovery process and in cases with diastasis greater than 2.5 cm. This treatment strategy may decrease morbidity, recovery time, and complications in affected patients.

1. Introduction

Due to inconsistent reporting, diastasis of the pubis symphysis was once deemed an uncommon postpartum complication with a varying incidence of 1:300–1:30,000 [1]. However, more recent studies have shown this to be a more common postpartum complication with an incidence of 1:500 [2]. During pregnancy, relaxin and progestin are released to prepare the pelvis for delivery, resulting in relaxation of fibrocartilage structures such as the pubic symphysis. The pubic symphysis is normally 4–5 mm and typically undergoes a 2–3 mm increase during pregnancy [1]. The actual cause of atraumatic peripartum diastasis pubic symphysis is unknown; however, it is typically associated with underlying connective tissue disorders, cephalopelvic disproportion, and macrosomia [3]. Other proposed risk factors include nulliparity and increased maternal age [4]. This condition, if mismanaged, can lead to significant functional disability and chronic pain.
The diagnosis is typically made clinically. A classic sign is pain in the pubic region radiating to the low back and thighs, which is exacerbated by leg movement. One pathognomonic sign of symphyseal injury is pain in the pubic symphysis with compression of the greater trochanters toward midline, and the inability to flex hips with the knees fully extended. Other signs include sacroiliac joint pain or a palpable cleft in the pubic symphysis [3]. The diagnosis can be confirmed when diagnostic imaging (i.e., ultrasound, plain radiographs, computed tomography, or magnetic resonance imaging) demonstrates a pubic symphysis separation of greater than 1.0–1.3 cm [1].
Current management is typically non-operative. It has been reported that functional recovery is excellent with non-operative management; however, this can result in prolonged recovery [3,5]. In current practice, non-operative management is typically indicated when the pubic symphysis is less than 2.5 cm. The pubic symphyseal ligaments are unlikely to be compromised, and resolution typically occurs spontaneously [3]. When the pubic symphysis is greater than 2.5 cm (which indicates disruption of symphyseal ligaments), non-operative management is also recommended with the utilization of NSAIDs, bed rest, pelvic binders, and physical therapy [3,6,7]. If, after the postpartum period of 4–6 weeks, non-operative management fails, surgical intervention is then considered [3,8,9].
Surgical management is generally sought for a separation greater than 4–6 cm, as this has an increased association with sacroiliac joint disruption [1,2,3,5,9]. There have been reports of diastasis pubis symphysis of 11 cm and 9.5 cm being non-operatively managed without surgical intervention. However, these cases demonstrated that considerable pain with ambulation persisted through the 6-month follow-up, as well as considerable persistent symphysis separation, which increases the risk for early arthritic changes in the pelvis and hip joints [3,8].

2. Case Presentation

The patient is a 27-year-old female G2P1 with no history of connective tissue disorder, pelvic trauma, or antepartum complications following spontaneous vaginal delivery of a 5 lb, 5 oz viable male infant. On postpartum day one, she complained of abdominal pain and cramping with progressively worsening right thigh pain. She attempted ambulation, but collapsed secondary to pain and a feeling of pelvic instability.

2.1. Investigations

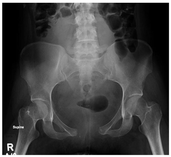
Radiographs were obtained, revealing a 5.0 cm separation of the pubic symphysis and anterior widening of the sacroiliac joint (Figure 1). A pelvic binder was placed to provisionally stabilize the pelvis, and the patient was immediately transferred to a higher level of care for evaluation and management.
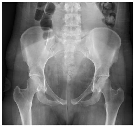
With the binder in place, repeat imaging demonstrated the pubic symphysis diastasis was reduced to 1.2 cm (Figure 2). An orthopaedic consult was placed, and the assessment was made that the symphyseal ligaments and right-sided anterior sacroiliac ligaments were torn.

2.2. Treatment

Following orthopaedic evaluation, the decision was made to continue the use of the pelvic binder. Imaging while wearing the binder showed anatomic reduction in symphysis pubis with good anatomic alignment.

2.3. Outcome and Follow-Up

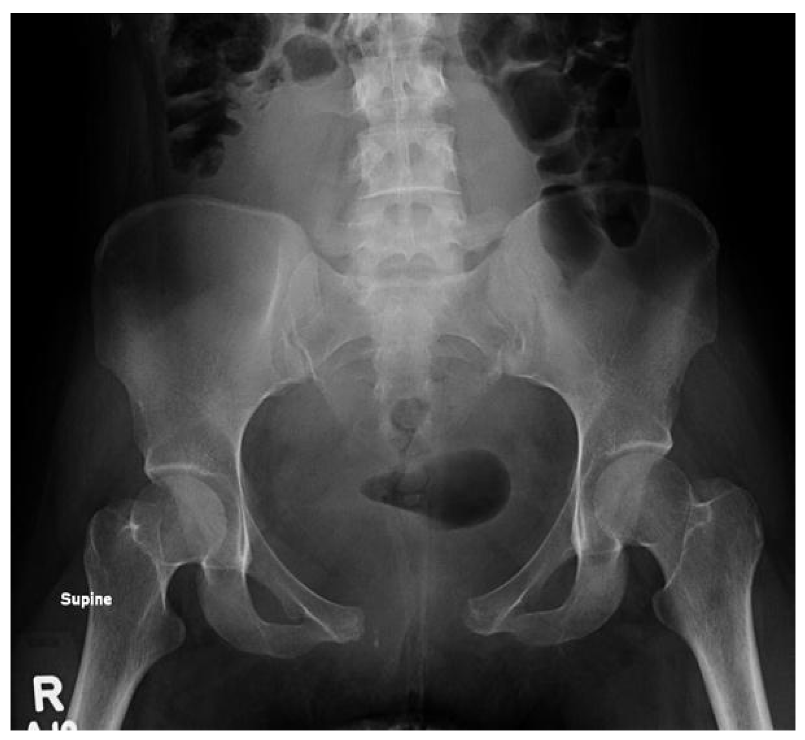
On hospital day five, the patient was hemodynamically stable with sufficient pain control, and she was discharged home with instructions to wear her binder as much as possible, aside from hygiene activities, and to limit her activities to avoid running, jumping, prolonged walking, and high-impact activities. At 3 weeks post-injury, pelvic radiographs demonstrated largely maintained alignment of the pubic symphysis with some mild increase in diastasis to 1.9 cm, and her pain was well managed via acetaminophen taken only at night (Figure 3). She was instructed to wean her binder use gradually beginning at 6 weeks post-injury. At 3 months post-injury, her pain had resolved, and her pelvic imaging continued to show maintained alignment at 1.9 cm(Figure 3). She was advanced to activity as tolerated. At her six-month follow-up, she was ambulating without restriction, including running, jumping, and playing competitive sports, with radiographic diastasis again measuring 1.9 cm (Figure 3).

3. Discussion

Our case illustrates that early binder application for traumatic diastasis of the pubic symphysis due to childbirth can result in an excellent outcome in cases where initial diastasis is greater than 4–6 cm [6,10]. In our patient, the avoidance of surgical intervention and implementation of early binder application resulted in early pain resolution and pain-free ambulation at three months postoperatively. This is in contrast to the traditional teaching that when the pubic symphysis exceeds 4–6 cm, non-operative management typically fails and surgical reduction must be made using ORIF or external fixation [2,8,9].
Postpartum pubic symphysis diastasis, characterized by a separation of the pubic symphysis following childbirth, shares certain resemblances with patterns outlined in the Young and Burgess classification, which is predominantly linked to high-energy blunt trauma [11]. In the continuum of pelvic injuries, peripartum diastasis exhibits the closest affinity to the APC type due to its anterior ring disruption at the pubic symphysis. Despite morphological similarities, a clear demarcation exists between the underlying mechanisms of these injuries, marked by the compressive and high-energy nature of the Young and Burgess classification, in contrast to the expansive and low-energy nature of postpartum diastasis.
Postpartum diastasis of the pubic symphysis is an uncommon condition typically treated non-operatively with surgery for a larger degree of diastasis [3]. Hoehmann et al. described a case with initial pelvic binder failure requiring subsequent surgical intervention [10]. The patient’s diastasis was 3.0 cm with interval widening to 8.0 cm on postpartum day three and sacroiliac joint widening. During this time, the patient was permitted to ambulate with non-weight-bearing to the right lower extremity. Four years later, the patient expressed persistent pelvic girdle pain, back pain, and dyspareunia, but was not amenable to plate removal due to extensive scarring over the hardware.
As evidenced by this case, the pelvic binder was unable to maintain reduction and proper alignment. Various factors could have contributed to the failed trial and could be investigated to determine key impacts on the outcome. More strict therapy parameters or a return to activity protocol requiring strict rest may produce different results. The sacroiliac involvement might also add to the complication of the case, requiring different management due to the implied injury pattern. Furthermore, hardware can lead to chronic pain and complicated reversal, which is altogether avoided via the implementation of non-operative treatments.
Previous cases have reported favorable outcomes, including alleviation of pain during movement and reduction in suprapubic tenderness upon examination, through the implementation of pelvic binders and physical therapy. Recovery durations in these cases have varied from 6 weeks to 6 months [12]. Additionally, a notable case highlighted by Mulchandani et al. underscored the potential for sustained diastasis reduction even a year after the completion of conservative treatment interventions [13]. This review provides valuable insights into the management of postpartum pubic symphysis dysfunction and its long-term outcomes.
Among the multifaceted considerations that impact the decision-making process between surgical and non-surgical approaches in patient management, social factors should play a substantial role. Compliance with therapy and accessibility to treatment emerge as crucial challenges. In the case presented, the patient’s unique circumstances allowed for relatively unhindered access to therapy, facilitated by the cost-free nature of medical visits within the military healthcare system. However, the aspect of compliance, particularly with prescribed rest, posed challenges for a new single mother devoid of external caregiving support. This challenge is further accentuated by historical instances of prolonged therapy, lasting up to six months.
Although the literature lacks precise definitions on this matter, an argument can be constructed for the role of early activity requisites as a potential indicator for fixation. This perspective gains traction in situations where maternal mobility is essential for caring for a newborn, necessitating a delicate balance between recovery and childcare responsibilities.
We recommend a trial of pelvic binder application, with immediate post-binder imaging to evaluate the binder’s effectiveness. If anatomic reduction can be achieved, then surgical intervention is unnecessary. Maintenance of anatomic reduction with a binder can allow continued reduction after the binder is discontinued and a return to high activity levels, suggesting the reduction allows for healing of the ligamentous structures previously disrupted or stretched. If there is a failure of reduction with the use of a pelvic binder, or if there is continued pain and diastasis after trialing the use of a pelvic binder, then surgical intervention may be considered [2,7,14].
While it is possible to successfully treat this condition non-operatively, more research is needed to understand if this approach is effective in a larger, more generalized patient population. Future studies could include case series of patients treated conservatively to expand the data pool. A randomized controlled trial would be the gold standard, although this may be difficult to conduct with a pathology that is relatively rare and when the options include surgery vs. non-surgical intervention.

4. Conclusions

Pubic symphysis diastasis, especially cases exceeding 4–6 cm, have been historically managed via surgical means. As demonstrated in this case, non-operative treatments through use of a pelvic binder reduce exposure to unnecessary surgical risks while producing successful results. This approach, in conjunction with periodic imaging to ensure a sustained anatomical alignment, provides an alternative means of treatment with potential application even in other traumatic scenarios resulting in similar injuries or as an option for high-risk surgical patients.
Future investigative efforts could be geared towards determining adequate diastasis size on imaging post-reduction with a pelvic binder, as well as choosing appropriate interval checks. Specific trial timing with a pelvic binder before switching to surgical means is crucial; follow-up timing of 3 weeks, 3 months, and 6 months were adequate in this situation, but may not allow for prompt changes in management if the patient’s course is more complicated or does not respond to the binder application. Furthermore, future efforts can be made to standardize protocol for return to activity or specific physical therapy regimens to expedite recovery.

Author Contributions

Patient work up and consent: J.D.J. Patient management: J.D.J. and P.M.R. Review of literature: J.D.J., R.G.B., R.J.B. and P.M.R. Drafting: J.D.J., R.G.B., R.J.B. and P.M.R. All authors have read and agreed to the published version of the manuscript.

Funding

This research received no external funding.

Institutional Review Board Statement

Ethical review and approval were waived for this study because all interventions were within the standards of care.

Informed Consent Statement

Informed consent was obtained from the patient to publish this paper.

Data Availability Statement

Not applicable.

Conflicts of Interest

The authors declare no conflict of interest.

References

  1. Parker, J.M.; Bhattacharjee, M. Peripartum Diastasis of the Symphysis Pubis. N. Engl. J. Med. 2009, 361, 1886. [Google Scholar] [CrossRef]
  2. Kharrazi, F.D.; Rodgers, W.B.; Kennedy, J.G.; Lhowe, D.W. Parturition-Induced Pelvic Dislocation: A Report of Four Cases. J. Orthop. Trauma 1997, 11, 277–281. [Google Scholar] [CrossRef]
  3. Jain, N.; Sternberg, L.B. Symphyseal Separation. Obstet. Gynecol. 2005, 105, 1229–1232. [Google Scholar] [CrossRef] [PubMed]
  4. Sung, J.H.; Kang, M.; Lim, S.J.; Choi, S.J.; Oh, S.Y.; Roh, C.R. A case–control study of clinical characteristics and risk factors of symptomatic postpartum pubic symphysis diastasis. Sci. Rep. 2021, 11, 3289. [Google Scholar] [CrossRef]
  5. Yoo, J.J.; Ha, Y.-C.; Lee, Y.-K.; Hong, J.S.; Kang, B.-J.; Koo, K.-H. Incidents and Risk Factors of Symptomatic Peripartum Diastasis of Pubic Symphysis. J. Korean Med. Sci. 2014, 29, 281–286. [Google Scholar] [CrossRef] [PubMed]
  6. Aggarwal, S.; Bali, K.; Krishnan, V.; Kumar, V.; Meena, D.; Sen, R.K. Management Outcomes in Pubic Diastasis: Our Experience with 19 Patients. J. Orthop. Surg. Res. 2011, 6, 21. [Google Scholar] [CrossRef] [PubMed]
  7. Euler, E.; Betz, A.; Schweiberer, L. Diagnosis, Classification, and Indication for Surgical Treatment of Pelvic Ring Fractures. Orthopade 1992, 21, 354–362. [Google Scholar] [PubMed]
  8. Nitsche, J.F.; Howell, T. Peripartum Pubic Symphysis Separation: A Case Report and Review of the Literature. Obstet. Gynecol. Surv. 2011, 66, 153–158. [Google Scholar] [CrossRef] [PubMed]
  9. Rommens, P.M. Internal Fixation in Postpartum Symphysis Pubis Rupture: Report of Three Cases. J. Orthop. Trauma 1997, 11, 273–276. [Google Scholar] [CrossRef] [PubMed]
  10. Hoehmann, C.L.; Doss, W.; DeTore, S. Pelvic Ring Disruption During Childbirth. J. Bone Jt. Surg. 2022, 12, e21. [Google Scholar] [CrossRef] [PubMed]
  11. Alton, T.B.; Gee, A.O. Classifications in Brief: Young and Burgess Classification of Pelvic Ring Injuries. Clin. Orthop. Relat. Res. 2014, 472, 2338–2342. [Google Scholar] [CrossRef] [PubMed]
  12. Herren, C.; Sobottke, R.; Dadgar, A.; Ringe, M.; Graf, M.; Keller, K.; Eysel, P.; Mallmann, P.; Siewe, J. Peripartum pubic symphysis separation–Current strategies in diagnosis and therapy and presentation of two cases. Injury 2015, 46, 1074–1080. [Google Scholar] [CrossRef] [PubMed]
  13. Mulchandani, N.; Jauregui, J.; Abraham, R.; Seger, E.; Illical, E. Post-partum management of severe pubic diastasis. Clin. Exp. Obstet. Gynecol. 2017, 44, 464–466. [Google Scholar] [CrossRef] [PubMed]
  14. Pennig, D.; Gladbach, B.; Majchrowski, W. Disruption of The Pelvic Ring During Spontaneous Childbirth: A Case Report. J. Bone Jt. Surg. 1997, 79, 438–440. [Google Scholar] [CrossRef]
Figure 1. Initial AP pelvis radiograph on presentation demonstrating a 5.0 cm separation of the pubic symphysis and anterior widening of the sacroiliac joint.
Figure 1. Initial AP pelvis radiograph on presentation demonstrating a 5.0 cm separation of the pubic symphysis and anterior widening of the sacroiliac joint.
Osteology 03 00012 g001
Figure 2. AP pelvis radiograph following binder application demonstrating the pubic symphysis diastasis reduced to 1.2 cm.
Figure 2. AP pelvis radiograph following binder application demonstrating the pubic symphysis diastasis reduced to 1.2 cm.
Osteology 03 00012 g002
Figure 3. Follow-up AP pelvis radiographs (a) 3-week post-injury AP pelvis radiograph; (b) 3-month post-injury AP pelvis radiograph; (c) 6-month post-injury AP pelvis radiograph.
Figure 3. Follow-up AP pelvis radiographs (a) 3-week post-injury AP pelvis radiograph; (b) 3-month post-injury AP pelvis radiograph; (c) 6-month post-injury AP pelvis radiograph.
Osteology 03 00012 g003
Disclaimer/Publisher’s Note: The statements, opinions and data contained in all publications are solely those of the individual author(s) and contributor(s) and not of MDPI and/or the editor(s). MDPI and/or the editor(s) disclaim responsibility for any injury to people or property resulting from any ideas, methods, instructions or products referred to in the content.

Share and Cite

MDPI and ACS Style

Bickley, R.J.; Blasini, R.G.; Johnson, J.D.; Ryan, P.M. Diagnosis and Management Controversies Illustrated by an Uncommon Case of Postpartum Pubic Symphysis Diastasis. Osteology 2023, 3, 116-121. https://doi.org/10.3390/osteology3030012

AMA Style

Bickley RJ, Blasini RG, Johnson JD, Ryan PM. Diagnosis and Management Controversies Illustrated by an Uncommon Case of Postpartum Pubic Symphysis Diastasis. Osteology. 2023; 3(3):116-121. https://doi.org/10.3390/osteology3030012

Chicago/Turabian Style

Bickley, Ryan J., Ronald G. Blasini, John D. Johnson, and Paul M. Ryan. 2023. "Diagnosis and Management Controversies Illustrated by an Uncommon Case of Postpartum Pubic Symphysis Diastasis" Osteology 3, no. 3: 116-121. https://doi.org/10.3390/osteology3030012

APA Style

Bickley, R. J., Blasini, R. G., Johnson, J. D., & Ryan, P. M. (2023). Diagnosis and Management Controversies Illustrated by an Uncommon Case of Postpartum Pubic Symphysis Diastasis. Osteology, 3(3), 116-121. https://doi.org/10.3390/osteology3030012

Article Metrics

Back to TopTop