Next Article in Journal
Should Early Hyperglycemia Be Considered a Risk Factor for Post-Transplant Diabetes Mellitus? Findings from a Retrospective Cohort Study in Kidney Transplant Recipients Without Diabetes Mellitus Prior to Transplant
Previous Article in Journal
Assessing Short- and Medium-Term Outcomes of Lung Transplantation in Elderly Recipients: A Comparative Age-Based Analysis
 
 
Font Type:
Arial Georgia Verdana
Font Size:
Aa Aa Aa
Line Spacing:
Column Width:
Background:
Case Report

Successful Experience of Managing Resistant Antibody-Mediated Cardiac Allograft Rejection with Extracorporeal Photopheresis

Almazov National Medical Research Centre, 197341 St. Petersburg, Russia
*
Author to whom correspondence should be addressed.
Transplantology 2025, 6(4), 29; https://doi.org/10.3390/transplantology6040029
Submission received: 24 August 2025 / Revised: 26 September 2025 / Accepted: 30 September 2025 / Published: 5 October 2025
(This article belongs to the Section Transplant Immunology and Immunosuppressive Drugs)

Abstract

Background/Clinical Significance: Development of acute antibody-mediated rejection (AMR) of allograft is one of the leading causes of mortality in heart-transplant recipients; however, the standard therapy does not always resolve severe forms of rejection. Extracorporeal photopheresis (ECP) is a method of immunomodulatory therapy that involves separating a patient’s white blood cells and treating them with a photosensitizer and ultraviolet A irradiation. Case Presentation: An 18-year-old female patient was urgently hospitalized with complaints of shortness of breath. She had undergone heart-transplant surgery 9 months before due to congenital heart disease restrictive cardiomyopathy, complicated with end-stage chronic heart failure. During the admission she admitted that for 3 weeks she discontinued tacrolimus and mycophenolate mofetil. AMR3 and CAV were verified. Conclusions: The use of standard approaches in the treatment of acute AMR is not always able to suppress an expressed immune reaction against the cardiac allograft, which leads to disruption of its function and rejection in the early or long-term follow-up. The inclusion of ECP in the treatment regimen allowed us to stabilize the patient’s condition and achieve regression in the severity of the AMR. It is believed that an important role in this was played by the activity of the immune system, which we assessed by changing the profile of cytokines, chemokines, and other growth factors. Thus, ECP demonstrated its effectiveness in the treatment of AMR of the cardiac allograft, with a change in the severity of the cytokine storm, as well as with an increase in the contribution of cytokines associated with the Th17 response.

1. Introduction

Development of acute antibody-mediated rejection (AMR) of allograft is one of the leading causes of mortality in heart-transplant recipients. Active AMR may be treated with the use of steroids in high doses, anti-human thymocyte immunoglobulin, intravenous immunoglobulin (IVIG), rituximab, and eculizumab [1,2]. The most widespread of the therapeutic approaches to treating AMR is plasma exchange, which is included in the standard treatment of it [2,3].
However, the standard therapy does not always resolve severe forms of rejection. Extracorporeal photopheresis (ECP) is an additional method of immunomodulatory therapy that involves separating a patient’s leukocytes (white blood cells, WBC) and treating them with a photosensitizer and ultraviolet A (UVA) irradiation [4].
The effect of ECP is directed at antigens presented by antigen-presenting cells (APC) and T lymphocytes, and promotes differentiation of monocytes into new immature dendritic cells (DC) ex vivo, as well as apoptosis of natural killer cells and activated T lymphocytes [5]. ECP results in stimulation of regulatory T cells, an increase in anti-inflammatory cytokines, and suppression of alloantigen-reactive T cells after cross-presentation of DC antigens from apoptotic T cells. In addition, there is a decrease in B lymphocyte activation [6,7].
The ECP procedure is well tolerated and rarely entails complications, the most common of which is hypotension during the procedure [8,9,10]. ECP has been used in the treatment of acute cellular rejection and AMR [9,11,12,13,14,15,16]. In addition, there have been studies on the benefits of performing ECP in cases of cardiac allograft vasculopathy (CAV) development [4,17]. Thus, the use of ECP in patients after heart transplantation (HTx) can be considered for fine-tuning the functioning of the immune system under conditions of permanent antigen load caused by the presence of an allogeneic organ and the applied immunosuppressive therapy (IST). In the presented case report, we demonstrate the results of therapy for AMR of a cardiac allograft using standard therapy and ECP, as well as a dynamic change in the level of cytokines, reflecting the polarization of the immune response.

2. Materials and Methods

An 18-year-old female patient with congenital heart disease restrictive cardiomyopathy (mutations of the TPM1, CACNA1, JUP genes), complicated with end-stage chronic heart failure and paroxysmal atrial fibrillation (AFib), underwent HTx 9 months ago. After HTx, her condition was managed with triple-drug IST (tacrolimus, mycophenolate mofetil, steroids) plus basiliximab as an induction. After she was discharged, the following therapy was prescribed to her: tacrolimus 3 mg b.i.d. (C0—9–12 ng/mL), mycophenolate mofetil 500 mg b.i.d., and methylprednisolone 12 mg. In addition, 4 weeks after HTx, AMR2 without donor-specific antibodies (DSA) was diagnosed, which did not require up-titration of IST. Later, 3 and 7 months after HTx, there were no signs of rejection (AMR0, R0). She was urgently hospitalized, with complaints of shortness of breath with minimal physical exertion and orthopnea, and admitted that for 3 weeks she discontinued tacrolimus and mycophenolate mofetil. Three days prior to admission, she had subfebrile fever, nausea, vomiting, and diarrhea.

3. Results

On admission, the patient’s condition was moderate, consciousness was clear. No arrhythmia was detected. Blood pressure (BP) was 90/55 mmHg, heart rate (HR)—110 bpm, SpO2—99%. According to the laboratory results of the acid–base balance of the blood—lactatemia 5.4 mmol/L, as well as a decrease in venous saturation to 34%. Hemoglobin: 94 g/L, WBC: 14.2 × 109/L, neutrophil level: 10.8 × 109/L, C-reactive protein: 44 mg/L, ALT: 89 U/L, AST: 17 U/L, GFR: 117 mL/min/1.73 m2, lactate dehydrogenase: 6497 U/L (normal: 195–450). NT-proBNP—8781 pg/mL, troponin I—0.1250 ng/mL (normal: 0.0–0.02), INR—2.35. No microbial growth was detected in blood and urine cultures. SARS-CoV-2 RNA and CMV DNA were not detected.
According to transthoracic echocardiography (TTE) examination on admission, the left ventricular ejection fraction (LVEF) was 58%; the end-diastolic volume of the LV was 82 mL; TAPSE decreased to 10 mm; the thickness of the interventricular septum was 15 mm; the thickness of the posterior wall of the LV—12 mm; the size of the left atrium—40 mm; the right ventricle—38 mm; and the right atrium—36 mm. The valve apparatus was unremarkable. Development of diastolic dysfunction was also diagnosed. Based on clinical evaluation and the initial laboratory and TTE results, the recipient had heart failure with preserved LVEF.
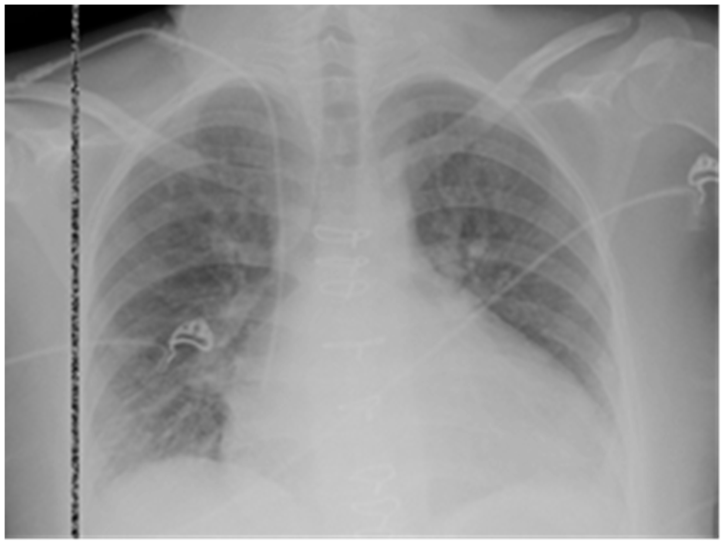
According to the results of the thoracic X-ray (Figure 1) and chest computed tomography (CT), there were signs of interstitial changes in both lungs; however, no infiltrates—such as hydrostatic edema, seen predominantly in the basal sections—were found. There were no data for pulmonary thromboembolism of the pulmonary artery and its branches, as well as infiltrative changes. The lung fields were without infiltrative changes. Hypoventilation of the basal sections. Interstitial enhancement of the pulmonary pattern.
An abdominal ultrasound examination revealed an enlargement of the right lobe of the liver, dilation of the inferior vena cava to 24 mm—poorly responding to breathing—although no evidence of acute surgical pathology was obtained.
The patient underwent emergency endomyocardial biopsy (EMB) and coronary angiography (CAG) due to suspected cardiac allograft rejection. CAG results (Figure 2) revealed development of CAV: the anterior interventricular artery was diffusely altered throughout its entire length with stenosis of up to 70% in the middle and distal segments. The circumflex artery was diffusely altered with stenosis of up to 30% in the middle third. The marginal artery was without significant stenosis, the periphery was satisfactory. The right coronary artery was diffusely altered throughout its entire length, with stenosis in the middle and distal segments of up to 50%.
In order to maintain hemodynamics, inotropic support with dobutamine 5 mcg/kg/min and furosemide 10–20 mg/hour was initiated. Due to the clinical signs of acute allograft rejection, before receiving the results of the EMB, a decision was made to conduct steroid-pulse therapy—I.V. methylprednisolone 1000 mg №3, with a subsequent transition to the tablet forms of steroids, tacrolimus (plasma concentration upon admission 0.2 ng/mL), and mycophenolate mofetil therapy (1000 mg b.i.d.) were resumed. A titer of antibodies to HLA class II antigens >10,000 MFI was detected, including the presence of DSA. EMB results verified the suspected diagnosis of AMR3, R0 (Figure 3). Plasma exchange sessions were started with subsequent administration of normal human immunoglobulin G 2 g/kg.
In 3 days, liver cytolysis developed (ALT 736.1 U/L, AST 473.9 U/L), and there was no improvement in heart transplant function. Then, the patient underwent veno-arterial extracorporeal membrane oxygenation (ECMO) implantation. Plasma exchange sessions and the introduction of normal human immunoglobulin G were continued. During treatment with the ECMO system (parameters—flow: 2.8 L/min, FiO2: 0.5, fresh gas flow: 2 L/min; inotropic support—dobutamine: 6 mcg/kg/min, norepinephrine: 0.1–0.14 mcg/kg/min, isosorbide dinitrate: 6-4 mg/h, nitric oxide inhalation: 40–45 ppm), hemodynamic stabilization was achieved, BP: 115–126/75–81 mmHg, CVP: 10 mmHg, PAP: 24/6 mmHg, and SvO2: 78%.
On the first day of ECMO implantation, a single paroxysm of tachystolic aFib occurred, which was cured by I.V. administration of amiodarone. Subsequently, the patient’s condition stabilized, outlined as follows: (1) there were no more dyspeptic symptoms; (2) the rate of diuresis normalized; (3) the need for inotropic support decreased; and (4) regression of cytolysis syndrome was noted. In 3 days, the ECMO was disconnected: the BP level was 115/53 mm Hg, CI: 5.35 L/min/m2, LV stroke volume: 79 mL. According to the TTE results: LVEF: 65%, EDV: 99 mL, TAPSE: 12 mm. In the following days, the doses of inotropic support were reduced, which stopped after 5 days. On the 12th day from the start of therapy, the patient underwent a second EMB with the following morphological signs of severe AMR3 (Figure 3). A decrease in signs of inflammation was noted over time (Figure 4).
A decision was made to conduct two additional plasma exchange sessions, administer rituximab, and then initiate a course of ECP. It was performed using the “open system” or “off-line” method, consisting of two stages. First, mononuclear cells (MNC) were collected using a standard blood cell separator Spectra Optia (Terumo BCT, Lakewood, CO, USA). Peripheral veins of the forearm were used as vascular access. At the second stage, MNC/8-MOP irradiation was performed on a separate device (UV irradiator) with subsequent manual reinfusion. The Macogenic G2 ECP apparatus (Macopharma, Tourcoing, France) was used. MNC were collected using the continuous mononuclear cell collection (CMNC) protocol. In order to obtain a sufficient number of cells, 1–1.5 volumes of the patient’s circulating blood were processed. Additionally, 1 mL of the resulting cell suspension was collected to record the morphological composition, hemoglobin level, and hematocrit. After this, under sterile conditions, the collected cells were transferred from the apheresis bag to a special irradiation bag, to which 0.9% sodium chloride solution was added to a total volume of 300 mL, and 3 mL of 0.002% 8-MOP solution to a final concentration of 0.2 mg/mL.
The photoactivation procedure was performed using a Macogenic-2 UV irradiator (MacoPharma, Mouvaux, France), according to the established program (2 J/cm2). After the irradiation process was completed and the package was labeled accordingly, the treated cells were reinfused into the patient’s venous system. A 3% citrate solution of ACD-A was used as an anticoagulant in a blood/ACD-A ratio of 12:1. In order to prevent citrate intoxication, a 10% calcium gluconate solution was continuously administered intravenously during the apheresis procedure. In order to monitor the patient’s condition, hemodynamic parameters were assessed, and thermometry was taken before the session, after 30, 60, 120 min, and after the procedure.
A total of eight ECP sessions were performed, two sessions for 2 days with a 7-day break. No complications were recorded. Significant positive dynamics were achieved in the form of a decrease in the anti-HLA class II titer to 2000 MFI; DSA were absent. Based on the TTE results, LVEF: 56%, EDV: 85 mL, and TAPSE: 12 mm. Control CAG recorded improved blood flow in all coronary arteries, no hemodynamically significant stenoses were detected (Figure 2). After treatment was completed, the other EMB was performed with positive histological results: stromal edema persists but there was no CAV; there were no macrophages in the vascular lumen but there were still signs of AMR2 (Figure 3). The level of NT-proBNP decreased to 2268 pg/mL, and troponin to 0.007 ng/mL.
The patient was discharged to the outpatient follow-up with the following recommendations: methylprednisolone: 12 mg q.d., mycophenolate mofetil: 1000 mg b.i.d., tacrolimus: 3 mg b.i.d. (target serum levels: 12–14 ng/mL), metoprolol succinate: 12.5 mg b.i.d., torasemide: 2.5 mg, spironolactone: 25 mg, atorvastatin: 5 mg and apixaban: 2.5 mg b.i.d. For the prevention of infectious complications, the following was prescribed: sulfamethoxazole + trimethoprim: 480 mg, folate: 5 mg, and valganciclovir: 450 mg.
To assess the change in the cytokine balance, reflecting the activity and polarization of the immune response as a result of the treatment and ECP, the blood plasma samples were collected at three time points before EMB. The first time point reflects AMR 3 before initiation of advanced IST. The second time point reflects a cytokine storm following IST plus five courses of ECP. Finally, the third time point represents changes after ECP treatment.
Plasma levels of 47 cytokines, chemokines, and growth factors were quantified using a multiplex assay based on fluorescently labeled magnetic microspheres (MILLIPLEX® MAP Human Cytokine/Chemokine/Growth Factor Panel A (HCYTA-60K-PX48, MilliporeSigma, Burlington, MA, USA)) and analyzed on a Luminex MAGPIX® instrument (Luminex, Austin, TX, USA), as was previously described by our team [18,19].
Analysis of the cytokine cocktail revealed that traditional IST had no significant effect on the balance of Th1-, Th2-, and Th17-associated cytokines, with a moderate increase in the proportion of Th2 cytokines (Table 1), (Figure 5A,B). The proportion of T-regulatory (Treg) cells’ cytokines (IL-9 and IL-10) did not change.
In contrast, the inclusion of ECP in the standard IST regimen, including rituximab, led to an increase in Th17-related cytokines and a decrease in the proportions of Th1 and, notably, Th2 cytokines (Figure 5C). Intriguingly, the proportion of Treg cytokines decreased.
In the next 5 months, the patient was admitted to the hospital as planned, twice for EMB control and ECP sessions; no histological signs of rejection were obtained. Throughout all follow-ups, LVEF remained no less than 55%. In addition, in the long-term, there were no clinical signs of heart failure, NT-proBNP significantly decreased, and TAPSE elevated to 14 mm.

4. Discussion

While the observed changes in cytokine levels after ECP are intriguing, it is important to acknowledge that these findings are based on a single-patient observation; therefore, results should be interpreted with caution as the overall effect on the transplanted heart remains to be fully elucidated. Nevertheless, some studies have shown that Th17 cells can promote a strong proinflammatory response leading to severe allograft rejection and CAV, particularly when Th1-mediated responses are lacking [2]—as is observed in our case.
Studies in a rat model of chronic ischemic heart failure have shown that it promotes T-cell infiltration of the myocardium with increased Th1, Th2, Th17, and Treg CD4+ subsets, and results in dysregulated Th1/Th2 and Th17/Treg balance and increased Th2 cytokine expression [1]. Our results, showing that the increase in proportion of Th2-related cytokines is a marker of unfavorable allograft rejection treatment outcomes, may reflect similar mechanisms. In contrast, photopheresis treatment led to an increased Th17/Treg cytokine ratio and a decreased proportion of Th2-related cytokines, indicating a complex immunomodulatory response that counteracts some of the immune imbalances associated with heart failure.
Traditional treatment led to a decrease in most of the chemokines studied, particularly the most prominent ones: MIG, sCD40L, and IP-10 (interferon-γ-inducible protein/CXCL10) (Figure 6A,B). However, ECP demonstrated diverse effects; levels of MIG continued to decrease, while sCD40L and other substances remained relatively unchanged. Interestingly, MCP-1 levels increased approximately 3.4-fold during the treatment period, from 142 pg/mL to 486 pg/mL. (Figure 6C). The same trend in elevation after ECP treatment was also observed in MDC.
Chemokines attract immune cells to sites of inflammation and orchestrate the immune response, primarily through the recruitment of immune cells to inflammatory sites. Chemokines are also implicated in cardiac fibrosis, with diverse and sometimes opposing roles. It has been previously demonstrated that circulating CXCL10, MIP-1α, and the CD40 ligand are strong indicators for distinguishing between healthy individuals and patients with heart failure [20]. Meanwhile, an increase in MIG (CXCL9) in heart failure was observed only in a rat model [20]. While IP-10 (CXCL10) is thought to directly influence fibroblasts and endothelial cells, potentially modulating fibrosis [21], global loss-of-function studies suggest it may have anti-fibrotic properties, possibly via leukocyte recruitment or fibroblast deactivation [22]. Conversely, MCP-1 (CCL2) consistently promotes fibrosis [23,24], and is overexpressed in heart failure patients [25].
The impact of CX3CL1/Fractalkine on fibrosis remains controversial and poorly understood [21]; however, in experimental models of heart failure induced by myocardial infarction or left ventricular pressure overload, CX3CL1 promotes cardiac dysfunction [26]. Therefore, the observed decrease in Fractalkine concentration in this patient suggests a beneficial effect of the treatment. Thus, the obtained results suggest that the observed changes in chemokine levels following traditional therapy and ECP may be indicative of alterations in fibrosis and heart transplant cardiac function.
Among the growth factors analyzed, PDGF-AA, macrophage colony-stimulating factor (M-CSF), and FGF-2 exhibited the most notable changes in concentration and relative abundance across the two treatments (Figure 7A). Specifically, traditional therapy led to an increase in PDGF-AA and M-CSF levels, followed by a decrease after ECP (Figure 7B). In contrast, FGF-2 levels decreased after traditional therapy but subsequently increased after ECP (Figure 7C). Similarly, PDGF-AB/BB levels followed the same trend as PDGF-AA, with concentrations of 13,678, 21,914, and 16,216 pg/mL at the three time points, respectively.
VEGF expression is clinically observed to be induced during alloimmune processes in cardiac allografts, suggesting its involvement in allograft rejection. Specifically, VEGF expression in endothelial cells and inflammatory cells is linked to fibrin deposits, acute rejection, and the infiltration of macrophages and T cells [27,28,29]. Serum VEGF levels are elevated during acute rejection episodes and decrease in response to IST in pediatric heart-transplant recipients [30]. PDGF appears to be a key regulator of CAV, promoting pathological arterial repair in cardiac allografts. Upregulation of PDGF ligand and receptor expression has been consistently observed in human cardiac allografts [31,32]. M-CSF is a key factor for the survival of monocytes and macrophages, which are important mediators of allograft rejection. Although M-CSF has been identified as a specific marker for acute rejection in transplant kidneys [33], its utility as a marker for cardiac allograft rejection has not been established [34].
Given the limited efficacy of initial traditional therapy, the observed changes in growth factor levels highlight their sensitivity to treatment and outcomes in heart transplant rejection, including the effects of subsequent ECP; however, these altered growth factor levels may contribute to long-term complications such as CAV.
Moreover, for years, EMB remained as a “gold” standard for rejection verification after HTx, although the safety of this procedure was questioned. Based on the study results of K. Bermpeis et al., EMB for heart transplant rejection surveillance is a safe procedure with low risk for complications [35]. In this particular case, it was clear that while clinical evaluation and laboratory results improved, allograft rejection could not be ruled out without EMB results. Efficacy of rejection treatment should be evaluated by a combination of laboratory and instrumental investigations.
We wanted to share the patient-oriented approach that led to successful treatment of resistant severe cardiac allograft rejection. T. Teszak et al. stated that management with ECP as an adjunct to standard IST had a successful reversal of allograft rejection and normalized allograft function. They demonstrated that ECP could be applied effectively and safely [16]. The efficacy of ECP as a method to manage transplant rejection was undoubtable. However, our case report was interesting, showcasing the importance of evaluation of different facets of allograft rejection: from clinical evaluation to laboratory, including cytokines, and histological examination. Underestimation of heart failure with preserved LVEF in heart recipients can be crucial, and due to the underlying multilevel mechanisms of transplant rejection, the key to successful treatment was to use all management options (IST plus ECP) alongside dynamic assessment of a complex of results: markers for myocardial damage, cytokines, TTE, and EMB.

5. Conclusions

The use of standard approaches in the treatment of acute AMR is not always able to suppress an expressed immune reaction against the cardiac allograft, which leads to disruption of its function and rejection in the early or long-term follow-up. The inclusion of ECP in the treatment regimen allowed us to stabilize the patient’s condition and achieve regression of the severity of AMR. It is believed that an important role in this was played by the activity of the immune system, which we assessed by changing the profile of cytokines, chemokines, and other growth factors. Thus, ECP demonstrated its effectiveness in the treatment of AMR of the cardiac allograft, with a change in the severity of the cytokine storm, as well as an increase in the contribution of cytokines associated with the Th17 response.

Author Contributions

Conceptualization, L.K. and P.F.; methodology, L.K.; software, A.G.; validation, O.K., D.S. and A.G.; formal analysis, O.K., D.S. and E.Z.; investigation, P.F., Y.S. and E.Z.; resources, P.F., Y.S., G.B. and M.S.; writing—original draft preparation, L.K., A.G. and O.K.; writing—review and editing, M.S.; visualization, L.K., O.K. and A.G.; supervision, M.B. and P.F.; project administration, A.G., M.B., G.B. and P.F.; funding acquisition, P.F. All authors have read and agreed to the published version of the manuscript.

Funding

This study was supported by a grant from the Russian Science Foundation (Grant/Award №24-15-20016) and a grant from the St. Petersburg Science Foundation (Grant/Award №24-15-20016).

Institutional Review Board Statement

This study was conducted in accordance with the Declaration of Helsinki, and approved by the Institutional Ethics Committee of V.A. Almazov National Medical Research Centre (protocol code: №4101-22, date of approval 24 January 2022).

Informed Consent Statement

Written informed consent has been obtained from the patient to publish this paper.

Data Availability Statement

Research data are unavailable due to privacy and ongoing research supported by the abovementioned grants.

Acknowledgments

Aleksander Marichev is affiliated with the Department of Anesthesiology and Resuscitation with ICU № 7 and the ECMO Center as well as the Department of Anesthesiology and Resuscitation of the Institute of Medical Education of the Almazov National Medical Research Centre. He was responsible for managing the described patient in the ICU and provided support in collecting research data.

Conflicts of Interest

The authors declare no conflicts of interest. The funders had no role in the design of the study; in the collection, analyses, or interpretation of data; in the writing of the manuscript; or in the decision to publish the results.

Abbreviations

The following abbreviations are used in this manuscript:
AFibAtrial fibrillation
AIVAAnterior interventricular artery
AMRAntibody-mediated rejection
APCAntigen-presenting cells
BPBlood pressure
CACircumflex artery
CAGCoronary angiography
CAVCardiac allograft vasculopathy
CMNCContinuous mononuclear cell collection
CTComputed tomography
DCDendritic cells
DSADonor-specific antibodies
ECMOExtracorporeal membrane oxygenation
ECPExtracorporeal photopheresis
EMBEndomyocardial biopsy
GFRGlomerular filtration rate
HTxHeart transplantation
ISTImmunosuppressive therapy
IVIGIntravenous immunoglobulin
LCALeft coronary artery
LVEFLeft ventricular ejection fraction
MNCMononuclear cells
RCARight coronary artery
TCADTransplant coronary artery disease
TTETransthoracic echocardiography
UVAUltraviolet A
WBCWhite blood cells

References

  1. Hammond, M.E.H.; Kfoury, A.G. Antibody-mediated rejection in the cardiac allograft: Diagnosis, treatment and future considerations. Curr. Opin. Cardiol. 2017, 32, 326–335. [Google Scholar] [CrossRef] [PubMed]
  2. Colvin, M.M.; Cook, J.L.; Chang, P.; Francis, G.; Hsu, D.T.; Kiernan, M.S.; Kobashigawa, J.A.; Lindenfeld, J.A.; Masri, S.C.; Miller, D.; et al. Antibody-mediated rejection in cardiac transplantation: Emerging knowledge in diagnosis and management: A scientific statement from the American Heart Association: Endorsed by the international society for heart and lung transplantation. Circulation 2015, 131, 1608–1639. [Google Scholar] [CrossRef]
  3. Montgomery, R.A.; Loupy, A.; Segev, D.L. Antibody-mediated rejection: New approaches in prevention and management. Am. J. Transplant. 2018, 18, 3–17. [Google Scholar] [CrossRef]
  4. Slomovich, S.; Bell, J.; Clerkin, K.J.; Habal, M.V.; Griffin, J.M.; Raikhelkar, J.K.; Fried, J.A.; Vossoughi, S.R.; Finnigan, K.; Latif, F.; et al. Extracorporeal photopheresis and its role in heart transplant rejection: Prophylaxis and treatment. Clin. Transplant. 2021, 35, e14333. [Google Scholar] [CrossRef]
  5. Han, P.; Hanlon, D.; Arshad, N.; Lee, J.S.; Tatsuno, K.; Robinson, E.; Filler, R.; Sobolev, O.; Cote, C.; Rivera-Molina, F.; et al. Platelet P-selectin initiates cross-presentation and dendritic cell differentiation in blood monocytes. Sci. Adv. 2020, 6, eaaz1580. [Google Scholar] [CrossRef]
  6. Dieterlen, M.T.; Klaeske, K.; Bernhardt, A.A.; Borger, M.A.; Klein, S.; Garbade, J.; Lehmann, S.; Ayuk, F.A.; Reichenspurner, H.; Barten, M.J. Immune Monitoring Assay for Extracorporeal Photopheresis Treatment Optimization After Heart Transplantation. Front. Immunol. 2021, 12, 676175. [Google Scholar] [CrossRef] [PubMed]
  7. Bojanic, I.; Worel, N.; Pacini, C.P.; Stary, G.; Piekarska, A.; Flinn, A.M.; Schell, K.J.; Gennery, A.R.; Knobler, R.; Lacerda, J.F.; et al. Extracorporeal photopheresis as an immunomodulatory treatment modality for chronic GvHD and the importance of emerging biomarkers. Front. Immunol. 2023, 14, 1086006. [Google Scholar] [CrossRef]
  8. Thevenet, U.; Daguenet, E.; Beszera, S.M.; Cornillon, J.; Tavernier, E.; Schein, F.; Honeyman, F.; Guyotat, D. Infectious risks in patients treated with extracorporeal photopheresis for graft-versus-host disease: A retrospective cohort study. J. Clin. Apher. 2022, 37, 106–116. [Google Scholar] [CrossRef]
  9. Gökler, J.; Aliabadi-Zuckermann, A.; Zuckermann, A.; Osorio, E.; Knobler, R.; Moayedifar, R.; Angleitner, P.; Leitner, G.; Laufer, G.; Worel, N. Extracorporeal Photopheresis With Low-Dose Immunosuppression in High-Risk Heart Transplant Patients—A Pilot Study. Transpl. Int. 2022, 35, 10320. [Google Scholar] [CrossRef] [PubMed]
  10. DeSimone, R.A.; Schwartz, J.; Schneiderman, J. Extracorporeal photopheresis in pediatric patients: Practical and technical considerations. J. Clin. Apher. 2017, 32, 543–552. [Google Scholar] [CrossRef]
  11. Barten, M.J.; Sax, B.; Schopka, S.; Amarelli, C.; Epailly, E.; Natali, B.; Teszák, T.; Gökler, J.; Borchert, K.; Theil, J.; et al. European multicenter study on the real-world use and clinical impact of extracorporeal photopheresis after heart transplantation. J. Heart Lung Transplant. 2023, 42, 1131–1139. [Google Scholar] [CrossRef]
  12. Padmanabhan, A.; Connelly-Smith, L.; Aqui, N.; Balogun, R.A.; Klingel, R.; Meyer, E.; Pham, H.P.; Schneiderman, J.; Witt, V.; Wu, Y.; et al. Guidelines on the Use of Therapeutic Apheresis in Clinical Practice—Evidence-Based Approach from the Writing Committee of the American Society for Apheresis: The Eighth Special Issue. J. Clin. Apher. 2019, 34, 171–354. [Google Scholar] [CrossRef]
  13. Augusto, J.F.; Benden, C.; Diekmann, F.; Zuckermann, A. The value of extracorporeal photopheresis as an immunosuppression-modifying approach in solid organ transplantation: A potential solution to an unmet medical need. Front. Immunol. 2024, 15, 1371554. [Google Scholar] [CrossRef]
  14. Benazzo, A.; Worel, N.; Schwarz, S.; Just, U.; Nechay, A.; Lambers, C.; Böhmig, G.; Fischer, G.; Koren, D.; Muraközy, G.; et al. Outcome of Extracorporeal Photopheresis as an Add-On Therapy for Antibody-Mediated Rejection in Lung Transplant Recipients. Transfus. Med. Hemotherapy 2020, 47, 205–213. [Google Scholar] [CrossRef]
  15. Tamain, M.; Sayegh, J.; Lionet, A.; Grimbert, P.; Philipponnet, C.; Hazzan, M.; Augusto, J.F.; Büchler, M.; Merlin, E.; Kosmadakis, G.; et al. Extracorporeal photopheresis for the treatment of graft rejection in 33 adult kidney transplant recipients. Transfus. Apher. Sci. 2019, 58, 515–524. [Google Scholar] [CrossRef] [PubMed]
  16. Teszak, T.; Assabiny, A.; Kiraly, A.; Tarjanyi, Z.; Parazs, N.; Szakal-Toth, Z.; Hartyanszky, I.; Szabolcs, Z.; Racz, K.; Reti, M.; et al. Extracorporeal photopheresis in the treatment of cardiac allograft rejection: A single-centre experience. Transpl. Immunol. 2023, 79, 101853. [Google Scholar] [CrossRef]
  17. DeFilippis, E.M.; Clerkin, K.J.; Latif, F.; Raikelkar, J.K.; Topkara, V.K.; Einstein, A.; Sayer, G.T.; Uriel, N.; Weisberg, S.P.; Habal, M.V.; et al. Improvement in Coronary Allograft Vasculopathy Following Treatment with a Regimen Including Extracorporeal Photophoresis in a Heart Transplant Recipient. J. Heart Lung Transplant. 2022, 41, S459. [Google Scholar] [CrossRef]
  18. Kalinina, O.; Golovkin, A.; Zaikova, E.; Aquino, A.; Bezrukikh, V.; Melnik, O.; Vasilieva, E.; Karonova, T.; Kudryavtsev, I.; Shlyakhto, E. Cytokine Storm Signature in Patients with Moderate and Severe COVID-19. Int. J. Mol. Sci. 2022, 23, 8879. [Google Scholar] [CrossRef]
  19. Aquino, A.; Abutalimova, N.; Ma, Y.; Ismail-zade, I.; Grebennik, V.; Rubinstein, A.; Kudryavtsev, I.; Zaikova, E.; Sambur, D.; Marichev, A.; et al. Differences in Plasma Extracellular Vesicles of Different Origin in On-Pump Versus Off-Pump Cardiac Surgery. Curr. Issues Mol. Biol. 2024, 46, 13058–13077. [Google Scholar] [CrossRef] [PubMed]
  20. Altara, R.; Manca, M.; Hessel, M.H.; Gu, Y.; van Vark, L.C.; Akkerhuis, K.M.; Staessen, J.A.; Struijker-Boudier, H.A.J.; Booz, G.W.; Blankesteijn, W.M. CXCL10 Is a Circulating Inflammatory Marker in Patients with Advanced Heart Failure: A Pilot Study. J. Cardiovasc. Transl. Res. 2016, 9, 302–314. [Google Scholar] [CrossRef]
  21. Li, R.; Frangogiannis, N.G. Chemokines in cardiac fibrosis. Curr. Opin. Physiol. 2021, 19, 80–91. [Google Scholar] [CrossRef]
  22. Bujak, M.; Dobaczewski, M.; Gonzalez-Quesada, C.; Xia, Y.; Leucker, T.; Zymek, P.; Veeranna, V.; Tager, A.M.; Luster, A.D.; Frangogiannis, N.G. Induction of the CXC Chemokine Interferon-γ-Inducible Protein 10 Regulates the Reparative Response Following Myocardial Infarction. Circ. Res. 2009, 105, 973–983. [Google Scholar] [CrossRef]
  23. Frangogiannis, N.G.; Dewald, O.; Xia, Y.; Ren, G.; Haudek, S.; Leucker, T.; Kraemer, D.; Taffet, G.; Rollins, B.J.; Entman, M.L. Critical role of monocyte chemoattractant protein-1/CC chemokine ligand 2 in the pathogenesis of ischemic cardiomyopathy. Circulation 2007, 115, 584–592. [Google Scholar] [CrossRef] [PubMed]
  24. Koyanagi, M.; Egashira, K.; Kitamoto, S.; Ni, W.; Shimokawa, H.; Takeya, M.; Yoshimura, T.; Takeshita, A. Role of monocyte chemoattractant protein-1 in cardiovascular remodeling induced by chronic blockade of nitric oxide synthesis. Circulation 2000, 102, 2243–2248. [Google Scholar] [CrossRef] [PubMed]
  25. Frangogiannis, N.G.; Shimoni, S.; Chang, S.M.; Ren, G.; Shan, K.; Aggeli, C.; Reardon, M.J.; Letsou, G.V.; Espada, R.; Ramchandani, M.; et al. Evidence for an active inflammatory process in the hibernating human myocardium. Am. J. Pathol. 2002, 160, 1425–1433. [Google Scholar] [CrossRef] [PubMed]
  26. Xuan, W.; Liao, Y.; Chen, B.; Huang, Q.; Xu, D.; Liu, Y.; Bin, J.; Kitakaze, M. Detrimental effect of fractalkine on myocardial ischaemia and heart failure. Cardiovasc. Res. 2011, 92, 385–393. [Google Scholar] [CrossRef]
  27. Nykänen, A.I.; Tikkanen, J.M.; Krebs, R.; Keränen, M.A.I.; Sihvola, R.K.; Sandelin, H.; Tuuminen, R.; Raisky, O.; Koskinen, P.K.; Lemström, K.B. Angiogenic growth factors in cardiac allograft rejection. Transplantation 2006, 82 (Suppl. S1), S22–S24. [Google Scholar] [CrossRef]
  28. Torry, R.J.; Labarrere, C.A.; Torry, D.S.; Holt, V.J.; Page Faulk, W. Vascular endothelial growth factor expression in transplanted human hearts. Transplantation 1995, 60, 1451–1457. [Google Scholar] [CrossRef]
  29. Reinders, M.E.J.; Fang, J.C.; Wong, W.; Ganz, P.; Briscoe, D.M. Expression patterns of vascular endothelial growth factor in human cardiac allografts: Association with rejection. Transplantation 2003, 76, 224–230. [Google Scholar] [CrossRef]
  30. Abramson, L.P.; Pahl, E.; Huang, L.; Stellmach, V.; Rodgers, S.; Mavroudis, C.; Backer, C.L.; Arensman, R.M.; Crawford, S.E. Serum vascular endothelial growth factor as a surveillance marker for cellular rejection in pediatric cardiac transplantation. Transplantation 2002, 73, 153–156. [Google Scholar] [CrossRef] [PubMed]
  31. Salom, R.N.; Maguire, J.A.; Hancock, W.W. Endothelial activation and cytokine expression in human acute cardiac allograft rejection. Pathology 1998, 30, 24–29. [Google Scholar] [CrossRef]
  32. Shaddy, R.E.; Hammond, E.H.; Yowell, R.L. Immunohistochemical analysis of platelet-derived growth factor and basic fibroblast growth factor in cardiac biopsy and autopsy specimens of heart transplant patients. Am. J. Cardiol. 1996, 77, 1210–1215. [Google Scholar] [CrossRef] [PubMed]
  33. Le Meur, Y.; Leprivey-Lorgeot, V.; Mons, S.; José, M.; Dantal, J.; Lemauff, B.; Aldigier, J.C.; Leroux-Robert, C.; Praloran, V. Serum levels of macrophage-colony stimulating factor (M-CSF): A marker of kidney allograft rejection. Nephrol. Dial. Transplant. 2004, 19, 1862–1865. [Google Scholar] [CrossRef] [PubMed]
  34. Cornu, E.; Lacroix, P.; Virot, P.; Aldigier, J.C.; Praloran, P.; Christides, C.; Laskar, M. M-CSF serous rate evolution during post-transplantation days in a heterotopic heart graft model mice. J. Cardiovasc. Surg. 1997, 38, 567–570. [Google Scholar]
  35. Bermpeis, K.; Esposito, G.; Gallinoro, E.; Paolisso, P.; Bertolone, D.T.; Fabbricatore, D.; Mileva, N.; Munhoz, D.; Buckley, J.; Wyffels, E.; et al. Safety of Right and Left Ventricular Endomyocardial Biopsy in Heart Transplantation and Cardiomyopathy Patients. JACC Heart Fail. 2022, 10, 963–973. [Google Scholar] [CrossRef]
Figure 1. Thoracic X-ray results upon admission of a patient with signs of severe congestion.
Figure 1. Thoracic X-ray results upon admission of a patient with signs of severe congestion.
Transplantology 06 00029 g001
Figure 2. Coronary angiography (CAG) data. (AC)—initial results prior to initiation of immunosuppressive treatment. (A) Selective coronary angiography of the left coronary artery (LCA) in the right caudal projection: the left coronary artery trunk and circumflex artery (CA) are visualized, diffusely changed with stenosis of up to 30%, with marginal arteries extending from it; the anterior interventricular artery (AIVA) with stenosis of up to 70% in the middle and distal thirds, with diagonal arteries extending from it. (B) Selective coronary angiography of the LCA in the standard caudal projection, where the AIVA and CA with branches extending from them are also visualized. (C) Selective coronary angiography of the right coronary artery (RCA) with stenosis in the middle and distal third up to 50% in the left caudal projection with its branches, pronounced depletion of the distal bed. (DF)—CAG results in 2 weeks after AMR3 was verified and immunosuppressive treatment was initiated. (D) Selective coronary angiography of the LCA in the right caudal projection: LCA trunk, OA, LAA, without hemodynamically significant stenosis against the background of rejection treatment. (E) Selective coronary angiography of the LCA in the standard caudal projection. LAA, OA without hemodynamically significant stenosis, increased blood supply to the distal bed, branches of LAA and OA. (F) Selective coronary angiography of the right coronary artery (RCA), without hemodynamically significant stenosis, with improved blood supply to the distal bed. Dynamic increase in arterial lumen diameter (in (D) vs. (A)). Visualization of small-diameter arteries has been added (in (E) vs. (B)). Increase in RCA lumen diameter and visualization of arterial diameter ((F) vs. (C)).
Figure 2. Coronary angiography (CAG) data. (AC)—initial results prior to initiation of immunosuppressive treatment. (A) Selective coronary angiography of the left coronary artery (LCA) in the right caudal projection: the left coronary artery trunk and circumflex artery (CA) are visualized, diffusely changed with stenosis of up to 30%, with marginal arteries extending from it; the anterior interventricular artery (AIVA) with stenosis of up to 70% in the middle and distal thirds, with diagonal arteries extending from it. (B) Selective coronary angiography of the LCA in the standard caudal projection, where the AIVA and CA with branches extending from them are also visualized. (C) Selective coronary angiography of the right coronary artery (RCA) with stenosis in the middle and distal third up to 50% in the left caudal projection with its branches, pronounced depletion of the distal bed. (DF)—CAG results in 2 weeks after AMR3 was verified and immunosuppressive treatment was initiated. (D) Selective coronary angiography of the LCA in the right caudal projection: LCA trunk, OA, LAA, without hemodynamically significant stenosis against the background of rejection treatment. (E) Selective coronary angiography of the LCA in the standard caudal projection. LAA, OA without hemodynamically significant stenosis, increased blood supply to the distal bed, branches of LAA and OA. (F) Selective coronary angiography of the right coronary artery (RCA), without hemodynamically significant stenosis, with improved blood supply to the distal bed. Dynamic increase in arterial lumen diameter (in (D) vs. (A)). Visualization of small-diameter arteries has been added (in (E) vs. (B)). Increase in RCA lumen diameter and visualization of arterial diameter ((F) vs. (C)).
Transplantology 06 00029 g002
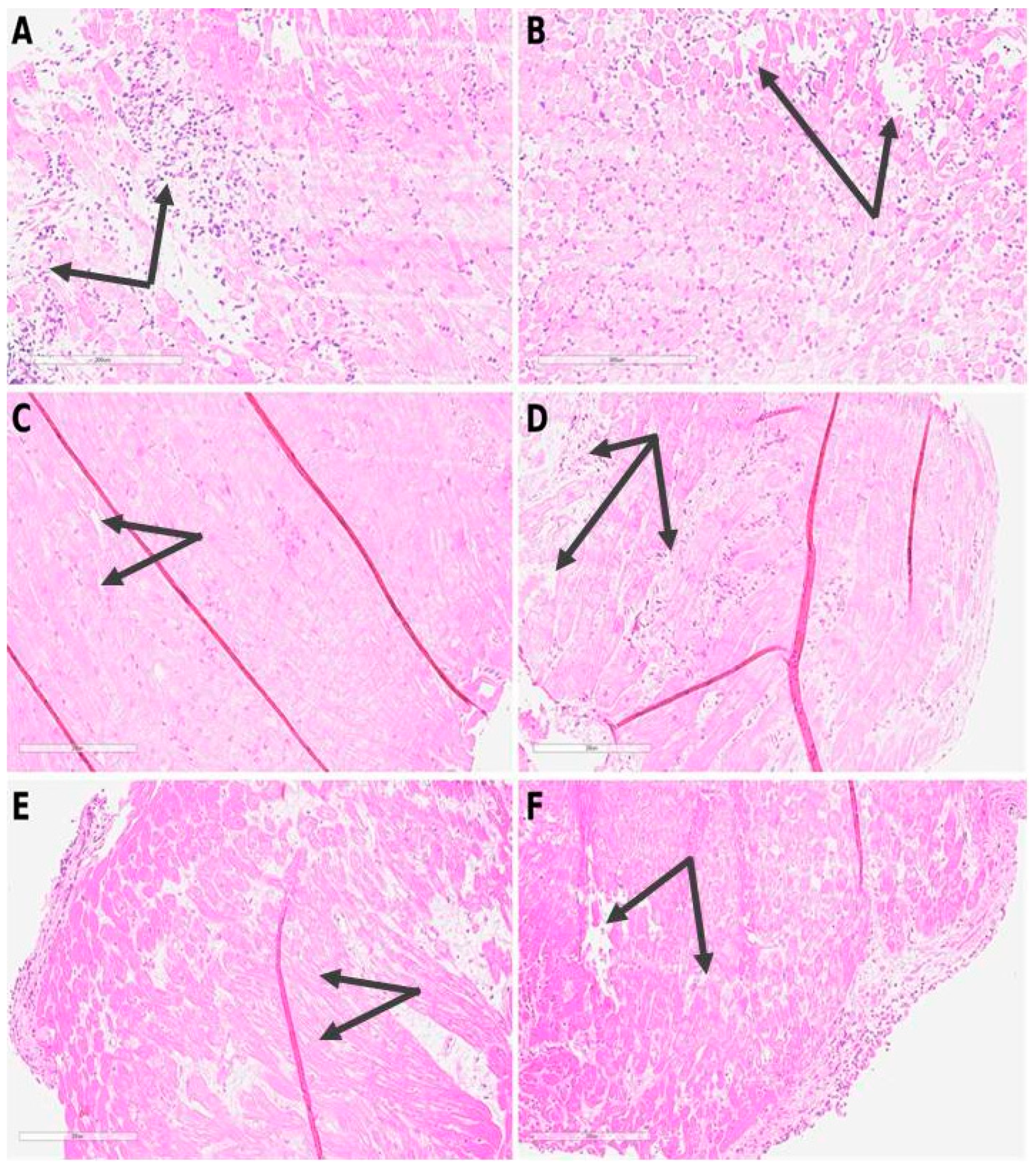
Figure 3. Histological examination results. (A,B)—prior IST initiation—AMR3: diffuse inflammatory polymorphic infiltration with the presence of leukocytes, fragmentation of capillary walls, endothelial pyknosis, karyorrhexis, and stromal edema. (C,D)—after administration of antithymocyte globulin, pulse therapy with steroids, plasma exchange sessions: persistence of signs of severe AMR3, polymorphic cell infiltration, fibrin effusion in the interstitium, edema, fragmentation of vascular walls, vasculitis. (E,F)—after administration of rituximab and ECP—AMR2: persistence of stromal edema but no signs of vasculitis.
Figure 3. Histological examination results. (A,B)—prior IST initiation—AMR3: diffuse inflammatory polymorphic infiltration with the presence of leukocytes, fragmentation of capillary walls, endothelial pyknosis, karyorrhexis, and stromal edema. (C,D)—after administration of antithymocyte globulin, pulse therapy with steroids, plasma exchange sessions: persistence of signs of severe AMR3, polymorphic cell infiltration, fibrin effusion in the interstitium, edema, fragmentation of vascular walls, vasculitis. (E,F)—after administration of rituximab and ECP—AMR2: persistence of stromal edema but no signs of vasculitis.
Transplantology 06 00029 g003
Figure 4. Scheme of the treatment performed on the patient. * are part of HLA nomenclature.
Figure 4. Scheme of the treatment performed on the patient. * are part of HLA nomenclature.
Transplantology 06 00029 g004
Figure 5. Treatment-induced shifts in cytokine balance: relative contributions of Th1, Th2, and Th17 immune responses. (A) First time point. (B) Second time point. (C) Third time point.
Figure 5. Treatment-induced shifts in cytokine balance: relative contributions of Th1, Th2, and Th17 immune responses. (A) First time point. (B) Second time point. (C) Third time point.
Transplantology 06 00029 g005
Figure 6. Impact of treatment on chemokine profiles: (A) First time point. (B) Second time point. (C) Third time point. Note: chemokine concentrations are presented in pg/mL.
Figure 6. Impact of treatment on chemokine profiles: (A) First time point. (B) Second time point. (C) Third time point. Note: chemokine concentrations are presented in pg/mL.
Transplantology 06 00029 g006
Figure 7. Treatment-induced changes in growth factor levels: (A) First time point. (B) Second time point. (C) Third time point. Note: chemokine concentrations are presented in pg/mL.
Figure 7. Treatment-induced changes in growth factor levels: (A) First time point. (B) Second time point. (C) Third time point. Note: chemokine concentrations are presented in pg/mL.
Transplantology 06 00029 g007
Table 1. Plasma levels of cytokines in patient during acute transplant rejection treatment.
Table 1. Plasma levels of cytokines in patient during acute transplant rejection treatment.
Cytokines, pg/mL1st Time Point2nd Time Point3rd Time Point
sCD40L1401.69331.83397.17
EGF132.1179.8063.16
Eotaxin35.3376.0477.55
FGF-2471.47182.91275.67
FLT-3L15.029.7014.42
Fractalkine213.21182.32150.08
G-CSF14.0153.5028.73
GM-CSF7.274.547.26
GROa25.2420.409.11
IFNa2385.95125.84135.53
IFNg180.2838.8262.47
IL-1a188.4116.0235.91
IL-1b283.2951.5779.57
IL-1RA130.4721.3134.97
IL-241.439.1210.66
IL-30.540.940.94
IL-414.037.084.55
IL-52.011.543.58
IL-629.923.715.48
IL-729.407.669.08
IL-8217.9425.9027.06
IL-987.8536.6438.61
IL-1069.3617.3514.86
IL-12(p40)223.0847.6385.56
IL-12(p70)21.1113.0122.77
IL-13204.71105.2568.20
IL-1576.0230.1221.88
Il-17A90.7115.4825.91
Il-17E/Il-25574.23238.92400.36
IL-17F206.4834.2590.18
IL-1838.7454.7432.77
IL-22147.6027.8045.12
IL-278644.304383.043844.63
IP-10946.07249.48403.52
MCP-1142.45223.11486.46
MCP-3130.7347.8539.92
M-CSF183.73278.12413.49
MDC166.01103.63333.23
MIG11,222.263385.942481.72
MIP-1a124.9951.4452.33
MIP-1b43.0030.2019.15
PDGF-AA624.461230.45766.20
PDGF-AB/BB13,678.7621,914.5916,216.49
TGFa82.6516.7939.40
TNFa26.4625.7123.42
TNFb6.482.611.86
VEGF-A30.73111.8855.19
Disclaimer/Publisher’s Note: The statements, opinions and data contained in all publications are solely those of the individual author(s) and contributor(s) and not of MDPI and/or the editor(s). MDPI and/or the editor(s) disclaim responsibility for any injury to people or property resulting from any ideas, methods, instructions or products referred to in the content.

Share and Cite

MDPI and ACS Style

Korneva, L.; Sazonova, Y.; Bortsova, M.; Simonenko, M.; Baratashvili, G.; Kalinina, O.; Zaikova, E.; Sambur, D.; Golovkin, A.; Fedotov, P. Successful Experience of Managing Resistant Antibody-Mediated Cardiac Allograft Rejection with Extracorporeal Photopheresis. Transplantology 2025, 6, 29. https://doi.org/10.3390/transplantology6040029

AMA Style

Korneva L, Sazonova Y, Bortsova M, Simonenko M, Baratashvili G, Kalinina O, Zaikova E, Sambur D, Golovkin A, Fedotov P. Successful Experience of Managing Resistant Antibody-Mediated Cardiac Allograft Rejection with Extracorporeal Photopheresis. Transplantology. 2025; 6(4):29. https://doi.org/10.3390/transplantology6040029

Chicago/Turabian Style

Korneva, Lubov, Yulia Sazonova, Maria Bortsova, Maria Simonenko, Georgii Baratashvili, Olga Kalinina, Ekaterina Zaikova, Darina Sambur, Alexey Golovkin, and Petr Fedotov. 2025. "Successful Experience of Managing Resistant Antibody-Mediated Cardiac Allograft Rejection with Extracorporeal Photopheresis" Transplantology 6, no. 4: 29. https://doi.org/10.3390/transplantology6040029

APA Style

Korneva, L., Sazonova, Y., Bortsova, M., Simonenko, M., Baratashvili, G., Kalinina, O., Zaikova, E., Sambur, D., Golovkin, A., & Fedotov, P. (2025). Successful Experience of Managing Resistant Antibody-Mediated Cardiac Allograft Rejection with Extracorporeal Photopheresis. Transplantology, 6(4), 29. https://doi.org/10.3390/transplantology6040029

Article Metrics

Back to TopTop