Diagnostic Challenge in Renal Transplantation: Splenosis vs. Post-Transplant Lymphoproliferative Disorder—A Case Report
Abstract
:1. Introduction
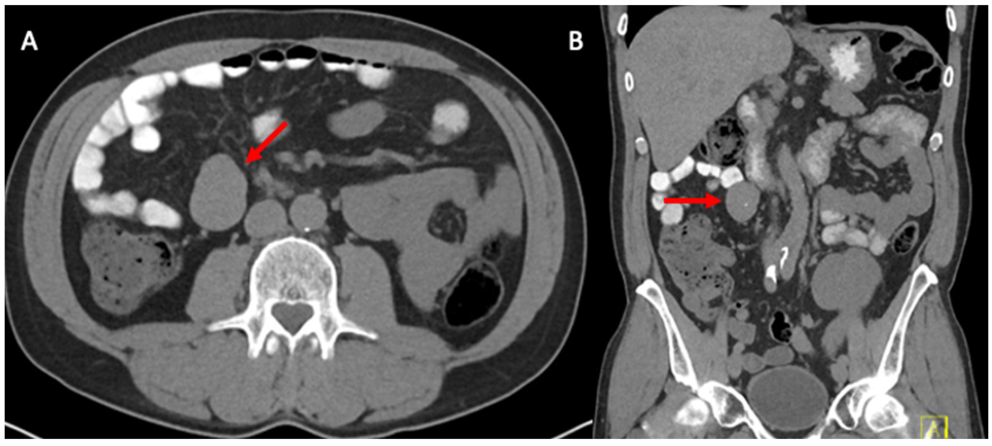
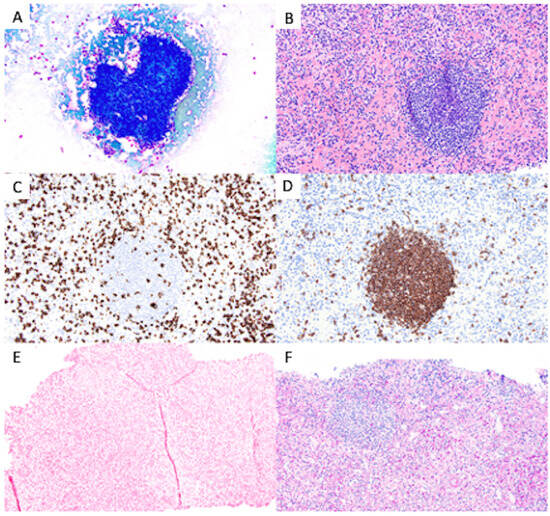
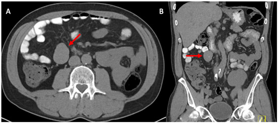
2. Case Report
3. Discussion
4. Conclusions
Author Contributions
Funding
Institutional Review Board Statement
Informed Consent Statement
Data Availability Statement
Conflicts of Interest
References
- Ghobrial, I.M.; Habermann, T.M.; Maurer, M.J.; Geyer, S.M.; Ristow, K.M.; Larson, T.S.; Walker, R.C.; Ansell, S.M.; Macon, W.R.; Gores, G.G.; et al. Prognostic analysis for survival in adult solid organ transplant recipients with post-transplantation lymphoproliferative disorders. J. Clin. Oncol. 2005, 23, 7574–7582. [Google Scholar] [CrossRef] [PubMed]
- Opelz, G.; Dohler, B. Lymphomas after solid organ transplantation: A collaborative transplant study report. Am. J. Transplant. 2004, 4, 222–230. [Google Scholar] [CrossRef] [PubMed]
- Oton, A.B.; Wang, H.; Leleu, X.; Melhem, M.F.; George, D.; Lacasce, A.; Foon, K.; Ghobrial, I.M. Clinical and pathological prognostic markers for survival in adult patients with post-transplant lymphoproliferative disorders in solid transplant. Leuk. Lymphoma 2008, 49, 1738–1744. [Google Scholar] [CrossRef] [PubMed]
- Johnson, L.R.; Nalesnik, M.A.; Swerdlow, S.H. Impact of Epstein-Barr virus in monomorphic B-cell posttransplant lymphoproliferative disorders: A histogenetic study. Am. J. Surg. Pathol. 2006, 30, 1604–1612. [Google Scholar] [CrossRef] [PubMed]
- Novoa-Takara, L.; Perkins, S.L.; Qi, D.; Shidham, V.B.; Vesole, D.H.; Hariharan, S.; Luo, Y.; Ewton, A.; Chang, C.C. Histogenetic phenotypes of B cells in posttransplant lymphoproliferative disorders by immunohistochemical analysis correlate with transplant type: Solid organ vs hematopoietic stem cell transplantation. Am. J. Clin. Pathol. 2005, 123, 104–112. [Google Scholar] [CrossRef] [PubMed]
- Paya, C.V.; Fung, J.J.; Nalesnik, M.A.; Kieff, E.; Green, M.; Gores, G.; Habermann, T.M.; Wiesner, P.H.; Swinnen, J.L.; Woodle, E.S.; et al. Epstein-Barr virus-induced posttransplant lymphoproliferative disorders. ASTS/ASTP EBV-PTLD Task Force and The Mayo Clinic Organized International Consensus Development Meeting. Transplantation 1999, 68, 1517–1525. [Google Scholar] [CrossRef]
- Nourse, J.P.; Jones, K.; Gandhi, M.K. Epstein-Barr Virus-related post-transplant lymphoproliferative disorders: Pathogenetic insights for targeted therapy. Am. J. Transpl. 2011, 11, 888–895. [Google Scholar] [CrossRef]
- Al-Mansour, Z.; Nelson, B.P.; Evens, A.M. Post-transplant lymphoproliferative disease (PTLD): Risk factors, diagnosis, and current treatment strategies. Curr. Hematol. Malig. Rep. 2013, 8, 173–183. [Google Scholar] [CrossRef]
- Dharnidharka, V.R.; Sullivan, E.K.; Stablein, D.M.; Tejani, A.H.; Harmon, W.E. Risk factors for posttransplant lymphoproliferative disorder (PTLD) in pediatric kidney transplantation: A report of the North American Pediatric Renal Transplant Cooperative Study (NAPRTCS). Transplantation 2001, 71, 1065–1068. [Google Scholar] [CrossRef]
- Nee, R.; Hurst, F.P.; Dharnidharka, V.R.; Jindal, R.M.; Agodoa, L.Y.; Abbott, K.C. Racial variation in the development of posttransplant lymphoproliferative disorders after renal transplantation. Transplantation 2011, 92, 190–195. [Google Scholar] [CrossRef]
- Choquet, S.; Trappe, R.; Leblond, V.; Jager, U.; Davi, F.; Oertel, S. CHOP-21 for the treatment of post-transplant lymphoproliferative disorders (PTLD) following solid organ transplantation. Haematologica 2007, 92, 273–274. [Google Scholar] [CrossRef] [PubMed]
- Ghobrial, I.M.; Habermann, T.M.; Ristow, K.M.; Ansell, S.M.; Macon, W.; Geyer, S.M.; McGregor, C.G. Prognostic factors in patients with post-transplant lymphoproliferative disorders (PTLD) in the rituximab era. Leuk. Lymphoma 2005, 46, 191–196. [Google Scholar] [CrossRef]
- Vernuccio, F.; Dimarco, M.; Porrello, G.; Cannella, R.; Cusma, S.; Midiri, M.; Brancatelli, G. Abdominal splenosis and its differential diagnoses: What the radiologist needs to know. Curr. Probl. Diagn. Radiol. 2021, 50, 229–235. [Google Scholar] [CrossRef] [PubMed]
- Abeles, D.B.; Bego, D.G. Occult gastrointestinal bleeding and abdominal pain due to entero-enteric intussusception caused by splenosis. Surg. Endosc. Other Interv. Tech. 2003, 17, 1494. [Google Scholar]
- Lemos, A.A.; Crespi, S.; Costa, S.; Marini, A. Splenosis of the abdomen and pelvis complicated by torsion of a splenic implant clinically mimicking an acute bowel ischemia. BJR| Case Rep. 2018, 4, 20180024. [Google Scholar] [CrossRef]
- Nelson, B.P.; Nalesnik, M.A.; Bahler, D.W.; Locker, J.; Fung, J.J.; Swerdlow, S.H. Epstein-Barr virus-negative post-transplant lymphoproliferative disorders: A distinct entity? Am. J. Surg. Pathol. 2000, 24, 375–385. [Google Scholar] [CrossRef]
- Taylor, G.S.; Long, H.M.; Brooks, J.M.; Rickinson, A.B.; Hislop, A.D. The immunology of Epstein-Barr virus-induced disease. Annu. Rev. Immunol. 2015, 33, 787–821. [Google Scholar] [CrossRef] [PubMed]
- Abbas, F.; El Kossi, M.; Shaheen, I.S.; Sharma, A.; Halawa, A. Post-transplantation lymphoproliferative disorders: Current concepts and future therapeutic approaches. World J. Transplant. 2020, 10, 29–46. [Google Scholar] [CrossRef]
- Parker, A.; Bowles, K.; Bradley, J.A.; Emery, V.; Featherstone, C.; Gupte, G.; Marcus, R.; Parameshwar, J.; Ramsay, A.; Newstead, C.; et al. Diagnosis of post-transplant lymphoproliferative disorder in solid organ transplant recipients—BCSH and BTS Guidelines. Br. J. Haematol. 2010, 149, 675–692. [Google Scholar] [CrossRef]
- Lake, S.T.; Johnson, P.T.; Kawamoto, S.; Hruban, R.H.; Fishman, E.K. CT of splenosis: Patterns and pitfalls. Am. J. Roentgenol. 2012, 199, W686–W693. [Google Scholar] [CrossRef]
- Ekmekci, S.; Diz-Kucukkaya, R.; Turkmen, C.; Adalet, I. Selective Spleen Scintigraphy in the Evaluation of Accessory Spleen/Splenosis in Splenectomized/Nonsplenectomized Patients and the Contribution of SPECT Imaging. Mol. Imaging Radionucl. Ther. 2015, 24, 1–7. [Google Scholar] [CrossRef] [PubMed]
- Schillaci, O.; Filippi, L.; Danieli, R.; Simonetti, G. Single-photon emission computed tomography/computed tomography in abdominal diseases. Semin. Nucl. Med. 2007, 37, 48–61. [Google Scholar] [CrossRef] [PubMed]
- Ehrlich, C.P.; Papanicolaou, N.; Treves, S.; Hurwitz, R.A.; Richards, P. Splenic scintigraphy using Tc-99m-labeled heat-denatured red blood cells in pediatric patients: Concise communication. J. Nucl. Med. Off. Publ. Soc. Nucl. Med. 1982, 23, 209–213. [Google Scholar]
- Toyoda, M.; Moudgil, A.; Warady, B.A.; Puliyanda, D.P.; Jordan, S.C. Clinical significance of peripheral blood Epstein-Barr viral load monitoring using polymerase chain reaction in renal transplant recipients. Pediatr. Transplant. 2008, 12, 778–784. [Google Scholar] [CrossRef] [PubMed]
- Cho, Y.U.; Chi, H.S.; Jang, S.; Park, S.H.; Park, C.J. Pattern analysis of Epstein-Barr virus viremia and its significance in the evaluation of organ transplant patients suspected of having posttransplant lymphoproliferative disorders. Am. J. Clin. Pathol. 2014, 141, 268–274. [Google Scholar] [CrossRef] [PubMed]
- Colombini, E.; Guzzo, I.; Morolli, F.; Longo, G.; Russo, C.; Lombardi, A.; Merli, P.; Barzon, L.; Murer, L.; Piga, S.; et al. Viral load of EBV DNAemia is a predictor of EBV-related post-transplant lymphoproliferative disorders in pediatric renal transplant recipients. Pediatr. Nephrol. 2017, 32, 1433–1442. [Google Scholar] [CrossRef]
- Allen, U.D.; Preiksaitis, J.K.; AST Infectious Diseases Community of Practice. Post-transplant lymphoproliferative disorders, Epstein-Barr virus infection, and disease in solid organ transplantation: Guidelines from the American Society of Transplantation Infectious Diseases Community of Practice. Clin. Transpl. 2019, 33, e13652. [Google Scholar] [CrossRef]
- Borch, W.R.; Aguilera, N.S.; Brissette, M.D.; O’Malley, D.P.; Auerbach, A. Practical Applications in Immunohistochemistry: An Immunophenotypic Approach to the Spleen. Arch. Pathol. Lab. Med. 2019, 143, 1093–1105. [Google Scholar] [CrossRef]
- Scali, E.P.; Chandler, T.M.; Heffernan, E.J.; Coyle, J.; Harris, A.C.; Chang, S.D. Primary retroperitoneal masses: What is the differential diagnosis? Abdom. Imaging 2015, 40, 1887–1903. [Google Scholar] [CrossRef]
- Menth, M.; Herrmann, K.; Haug, A.; Raziorrouh, B.; Zachoval, R.; Jung, C.M.; Otto, C. Intra-hepatic splenosis as an unexpected cause of a focal liver lesion in a patient with hepatitis C and liver cirrhosis: A case report. Cases J. 2009, 2, 8335. [Google Scholar] [CrossRef]


Disclaimer/Publisher’s Note: The statements, opinions and data contained in all publications are solely those of the individual author(s) and contributor(s) and not of MDPI and/or the editor(s). MDPI and/or the editor(s) disclaim responsibility for any injury to people or property resulting from any ideas, methods, instructions or products referred to in the content. |
© 2023 by the authors. Licensee MDPI, Basel, Switzerland. This article is an open access article distributed under the terms and conditions of the Creative Commons Attribution (CC BY) license (https://creativecommons.org/licenses/by/4.0/).
Share and Cite
Sanders, J.M.; Galvez, D.; Lin, X.; Leventhal, J. Diagnostic Challenge in Renal Transplantation: Splenosis vs. Post-Transplant Lymphoproliferative Disorder—A Case Report. Transplantology 2023, 4, 178-184. https://doi.org/10.3390/transplantology4030017
Sanders JM, Galvez D, Lin X, Leventhal J. Diagnostic Challenge in Renal Transplantation: Splenosis vs. Post-Transplant Lymphoproliferative Disorder—A Case Report. Transplantology. 2023; 4(3):178-184. https://doi.org/10.3390/transplantology4030017
Chicago/Turabian StyleSanders, Jes M., Daniel Galvez, Xiaoqi Lin, and Joseph Leventhal. 2023. "Diagnostic Challenge in Renal Transplantation: Splenosis vs. Post-Transplant Lymphoproliferative Disorder—A Case Report" Transplantology 4, no. 3: 178-184. https://doi.org/10.3390/transplantology4030017
APA StyleSanders, J. M., Galvez, D., Lin, X., & Leventhal, J. (2023). Diagnostic Challenge in Renal Transplantation: Splenosis vs. Post-Transplant Lymphoproliferative Disorder—A Case Report. Transplantology, 4(3), 178-184. https://doi.org/10.3390/transplantology4030017
