Abstract
Background/Objective: Actinomyces is a genus of anaerobic gram-positive bacteria. It forms part of human body microbiota commonly in the oral cavity and genital tract. During pregnancy, the organism may cause the rare chorioamnionitis, where the maternal genital tract or other sites such as the oral cavity will be the likely source of the pathogen. This condition may increase the risk of foetal morbidity and mortality, and preterm birth. Methods: The placenta of a 33-year-female, primigravida, who presented with preterm labour and eventual delivery of baby at 20 weeks gestation was sent for histopathological examination. Her antenatal and clinical history were reviewed, to identify possible aetiology for her preterm birth. Results: She is noted to have presented with sudden per-vaginal creamy coloured discharge with no associated odour and no irritation. The discharge became blood staining associated with labour pain, this followed by premature spontaneous rupture of membrane and pre-mature labour. Laboratory tests revealed leucocytosis, neutrophilia, monocytosis, high CRP and elevated derived fibrinogen. The patient was delivered of a live male baby weighing 0.35 kg, who died shortly after birth. Placenta microscopic examination revealed patchy severe acute chorioamnionitis and prominent clusters of Gram-positive filamentous bacteria with histopathologic features of Actinomyces spp. The mother before discharged was treated with oral antibiotic. Conclusions: The intrauterine Actinomyces spp. infection is associated with preterm birth and neonatal mortality, early diagnosis during ante-natal could perhaps prevent preterm birth and reduce the associated neonatal mortality.
1. Introduction
Intrauterine infection is a well-known cause of preterm delivery. The significant challenge lies not only in the associated complications of premature labour, but also in the long-term effects sustained by the infant, and the impacts of these complications on the infant’s survival and future development [1,2]. We hereby present a case of Actinomyces chorioamnionitis in a case of preterm labour and birth. This histologic identification of an aetiology-specific cause of preterm birth (PTB) in the placenta contributes to elucidating the role of both common and unusual infective organisms in the prenatal, maternal and postnatal assessment components in an aetiologically based taxonomy of the preterm birth syndrome, as proposed by Villar, J et al. [3].
2. Case Report
A 33-year-old woman (primigravida) who was registered for antenatal care presented at 20 weeks plus 4 days gestation with a history of per-vaginal creamy coloured discharge with no associated odour and no irritation. She presented to the maternity team the next day with a complaint of blood staining discharge, and she was admitted as bleeding and contraction pain increased, followed by a premature spontaneous rupture of the membrane. Her previous history was consistent with an uneventful antenatal care. She had never used an intrauterine contraceptive device (IUCD). On admission, the patient was afebrile, heart rate 89/min, blood pressure 136/80 mmHg, temperature 36.7 °C. The laboratory investigation showed the following: WCC 19 × 109/L (4.0–11), neutrophils 15.77 × 109 (1.7–7.5), monocytes 1.52 × 109 (0.2–0.8), CRP 86 mg/L (<5), derived fibrinogen > 7 g/L (2.0–5.3), dilute viper venom time (DVV) ratio 1.26 (0.8–1.22), and APTT 38.5 s (22.8–32.6).
A few days earlier, she had a routine scheduled antenatal ultrasound. This revealed intra-uterine pregnancy, breech presentation, and that the foetal measurements were compatible with the date. No foetal abnormalities were detected, and features were compatible with normal amniotic fluid appearance. The placenta was seen to be anteriorly attached high in the uterus and appeared to be a normal placenta.
During this admission, she was in established labour within three hours of membrane rupture, and the liquor was clear with no unusual colour or odour. She was delivered of a live male baby weighing 0.35 kg, who died shortly after birth. The patient had IV augmentin—amoxycillin with clavulanic acid (1.2 g), metronidazole (500 mg), and IM oxytocin while in labour. The estimated blood loss was 100 mls.
The placenta was complete and normal in appearance but was sent for histopathological examination in line with the established protocol for such deliveries. She was discharged from hospital on the 4th day of her admission and miscarriage. The patient was prescribed antibiotics empirically upon discharge, which included amoxycillin with clavulanic acid 625 mg three times daily for 5 days for presumed sepsis, given the leucocytosis, neutrophilia, raised CRP, and coagulopathy.
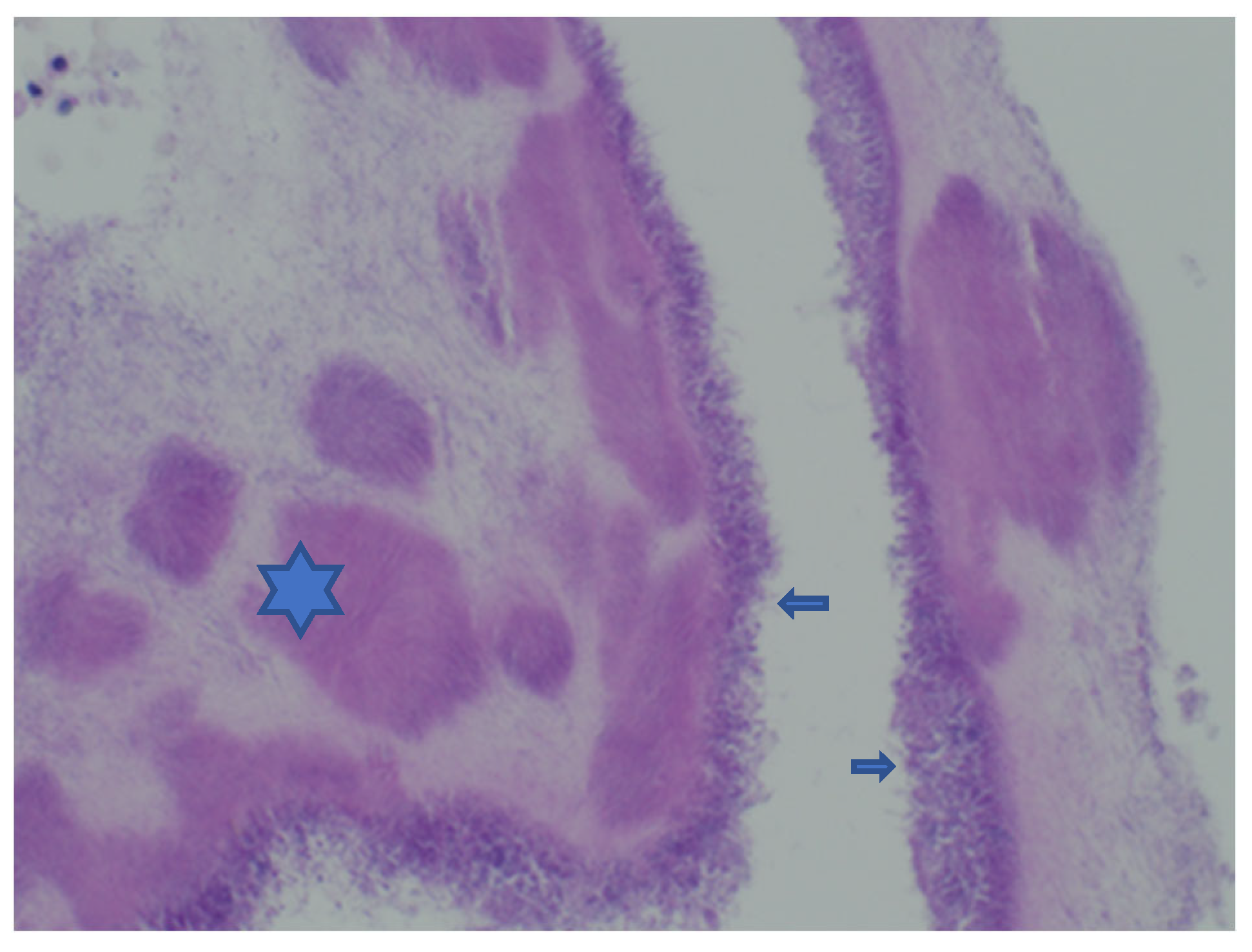
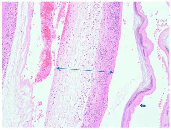
The sample received in the histopathology department was a disc of placenta and membranes with an eccentrically inserted umbilical cord. The placenta trimmed of the membranes weighed 145 mg. The membrane appeared complete and was mostly translucent but with patchy areas of opacity. Microscopy revealed patchy severe acute chorioamnionitis and prominent clusters of Gram-positive filamentous bacteria, which were noted on the surface of the membranes in routine haematoxylin and eosin (H&E) (Figure 1) as well as with Periodic Acid Schiff (PAS) staining (Figure 2). Aggregates of the Splendore–Hoeppli reaction, which are sulphur granules formed from masses of gram-positive bacteria with branching filaments, are also identifiable in Figure 2. The infective organism was revealed to be gram-positive (Figure 3). In this specific case, the microscopic examination indicated the presence of acute inflammation due to an uncommon organism—Actinomyces spp. infection. Sections of the umbilical cord revealed acute inflammation (funisitis), but no organisms were seen in the umbilical cord (Figure 4). During the follow-up visit, the mother did not demonstrate any symptom or sign of infection, her recovery was uneventful, and she remained well during the subsequent reviews.
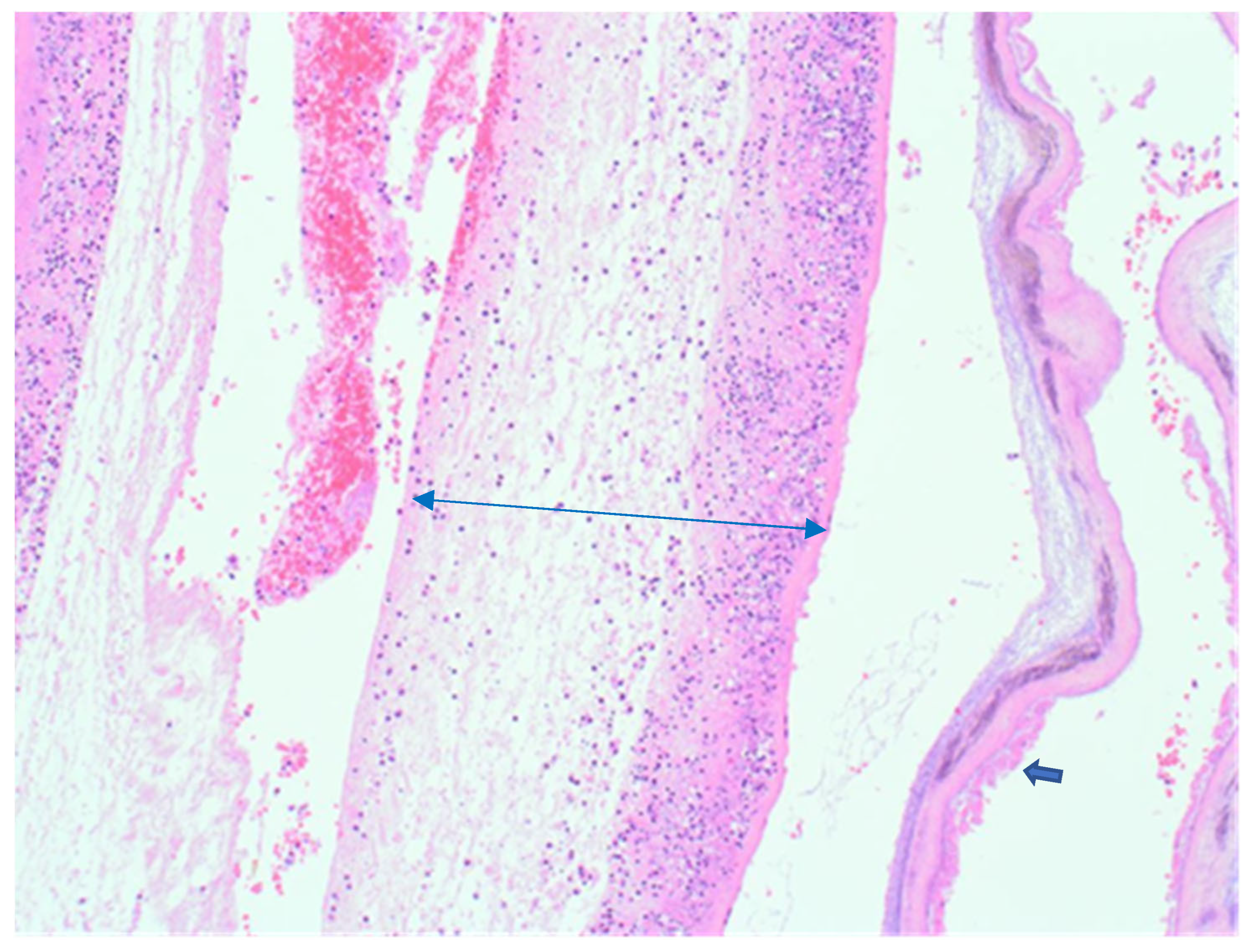
Figure 1.
Haematoxylin & Eosin (100×). Membranes showing transmural acute inflammation (chorioamnionitis)—double headed blue arrow, with clusters of Actinomyces colonies on the surface of a strip of membrane right (thick blue arrow).
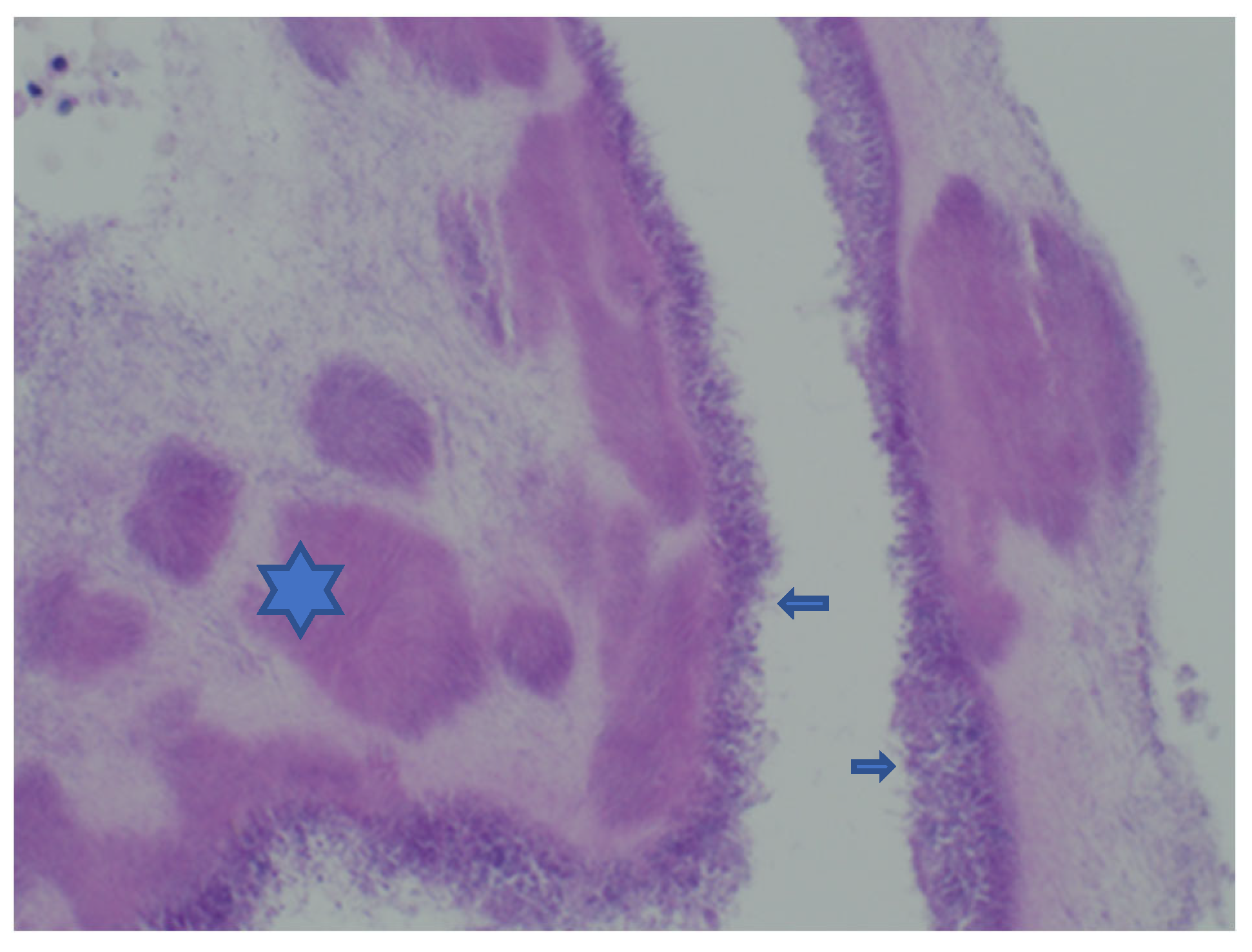
Figure 2.
Periodic Acid Schiff (200×). Membrane containing colonies of Actinomyces organism (thick blue arrow) and multiple aggregates of Splendore–Hoeppli granules (Blue star).
Figure 3.
Gram stain (400×) showing dense aggregates of Gram-positive organisms representing Actinomyces spp. (red arrows) in the placental membranes.
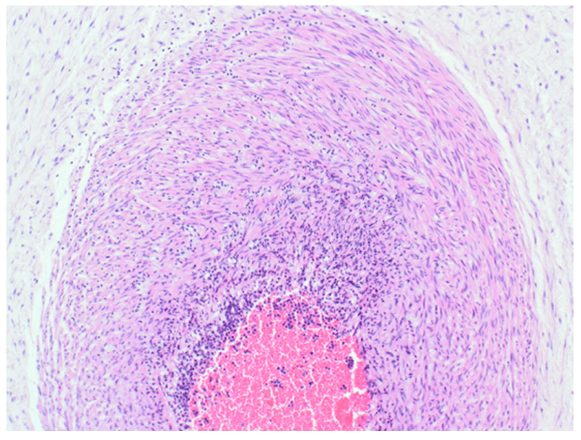
Figure 4.
Haematoxylin & Eosin (200×). Part of the cross section of the umbilical cord, showing transmural acute inflammatory cell infiltration of the vessel wall consistent with funisitis.
3. Discussion
Actinomyces is a genus of gram-positive facultative anaerobic filamentous true bacteria which microscopically resemble the hyphae of eukaryotic fungi. The organism commonly inhabits the oropharynx, gastrointestinal, upper respiratory, genitourinary tracts, and very rarely, the skin [4,5]. They have been implicated as a causative organism of chronic infections of the soft tissues and skin abscesses. Also, they are known to cause mastitis, pericarditis, and osteomyelitis, and rarely chorioamnionitis [2,6,7,8]. Most of the genitourinary tract infections in women are associated with the use of intrauterine contraceptive devices [6]; however, periodontal Actinomyces spp. infections are also considered as a risk factor for preterm delivery [1]. Actinomyces spp. infections were first described by Harz in 1878 in animals (Actinomyces bovis), while the human form of the disease was first reported by J. Israel around the same time [5]. The name of the bacteria is derived from the Greek words aktinos (ray) and mykes (fungus), referring to the specific radial arrangement of the bacterial filaments (resembling hyphae) and the possession of reproductive asexual spores, typical for filamentous fungi [9]. Generally, Actinomyces infections are relatively rare, with an estimated prevalence of 1/300,000. Systemic disease can occur through contact of Actinomyces spp. with the bloodstream or through aspiration of organisms into pulmonary tissue [10]. Where Actinomycal chorioamnionitis has been reported, in utero transmission to the foetus is a possibility [1]. In a reported case of Actinomyces neuii as a cause of chorioamnionitis, neonatal sepsis and preterm labour has been described in relation with the use of vaginal devices such as IUCD or vaginal cerclage [7]. In 2014, Kim et al. published data related to 20,390 cervical smears conducted over a two-year period, and Actinomyces-like organisms were found in 0.26% of cases, with 80.8% of them being IUCD users [11].
Globally, one preterm birth is reported out of ten pregnancies [12]. Also, worldwide, prematurity is the leading cause of neonatal morbidity and mortality [13]. Traditionally, preterm births have been defined as births at a gestational age of less than 37 weeks. Villar et al. note that such a single entity, limited definition of a complex and still poorly understood heterogenous syndrome has not allowed for consistent documentation of patient-specific risk factors and aetiologic factors with significant impact and/or contributions to adverse pregnancy, postnatal, and early childhood health outcomes which may also have significant impact in adult life [3].
It is important to note that chorioamnionitis caused by Actinomyces spp. may result in maternal sepsis and coagulopathy, where the pregnant mother’s blood test will show high inflammatory markers in addition to a deranged coagulation profile [2]. This was seen in our case and could not be justified by any other cause but Actinomycal infection. Microbial endotoxins can evoke the production of prostaglandins and extracellular matrix-degrading enzymes. Prostaglandins are known to ripen the cervix and induce contraction of the uterus, and associated enzymes enhance the degradation of the extracellular matrix of the foetal membranes, which could consequently trigger preterm labour [2,13]. Actinomyces chorioamnionitis can be associated with adverse outcomes for both the mother and the foetus. It has been reported to cause complications for pregnant mothers such as brain abscesses [4] or renal infections [14]. In the literature, it is reported that penicillin is known to be an effective therapy for Actinomyces spp. infections [1,6,7]. The empirical use of antibiotics for the mother, without clear evidence of infection except for maternal leucocytosis, is controversial [2].
4. Conclusions
During pregnancy, the body is susceptible to infections, even from normal bacterial species present in the body. This case emphasizes that intrauterine Actinomyces spp. infection is possibly associated with preterm birth. Early diagnosis could perhaps prevent preterm birth. Although the source of Actinomyces spp. could not be identified in our case, the exclusion of intrauterine device use or the placement of cervical cerclage raises the possibility of other primary sources of origin, including the oral cavity. Good dental hygiene education should be considered for all pregnant women. Adoption of an aetiologically centred diagnostic algorithm of preterm birth syndromes which encompasses all identifiable contributors to preterm birth rates will enhance the creation of an empirical dataset that is both clinically and epidemiologically relevant for patient-centred care and the improvement of community maternity health services.
Author Contributions
Conceptualization, P.E.I. and R.A.K.J.; methodology, P.E.I.; validation, P.E.I. and P.O.; formal analysis, P.E.I.; investigation, P.E.I. and P.O.; writing—original draft preparation, P.E.I.; writing—review and editing, A.S.A.A.-Z. and R.A.K.J. All authors have read and agreed to the published version of the manuscript.
Funding
This research received no external funding.
Institutional Review Board Statement
Not applicable.
Informed Consent Statement
Not applicable.
Data Availability Statement
No specific data aside from the written clinical information included in this case report were produced.
Conflicts of Interest
The authors declare no conflict of interest.
References
- Rueda, M.S.; Hefter, Y.; Stone, B.; Hahn, A.; Jantausch, B. A Premature Infant With Neonatal Actinomyces odontolyticus Sepsis. J. Pediatr. Infect. Dis. Soc. 2021, 10, 533–535. [Google Scholar] [CrossRef] [PubMed]
- Ong, H.-C.; Ling, A.C.-K.; Ng, D.S.-W.; Ng, R.-X.; Wong, P.-L.; Omar, S.F.S. Case report: Actinomyces naeslundii complicating preterm labour in a trisomy-21 pregnancy. ID Cases 2021, 23, e01051. [Google Scholar] [CrossRef] [PubMed]
- Villar, J.; Cavoretto, P.I.; Barros, F.C.; Romero, R.; Papageorghiou, A.T.; Kennedy, S.H. Etiologically Based Functional Taxonomy of the Preterm Birth Syndrome. Clin. Perinatol. 2024, 51, 475–495. [Google Scholar] [CrossRef] [PubMed]
- Zhang, Y.; Ye, Z.; Miao, Q.; Xu, H.; Pang, W. Actinomyces meyeri-induced brain abscess in pregnancy: A case report. BMC Neurol. 2023, 23, 401. [Google Scholar] [CrossRef] [PubMed]
- Gajdács, M.; Urbán, E. The Pathogenic Role of Actinomyces spp. and Related Organisms in Genitourinary Infections: Discoveries in the New, Modern Diagnostic Era. Antibiotics 2020, 9, 524. [Google Scholar] [CrossRef] [PubMed]
- Alsohime, F.; Assiri, R.A.; Al-Shahrani, F.; Bakeet, H.; Elhazmi, M.; Somily, A.M. Premature labor and neonatal sepsis caused by Actinomyces neuii. J. Infect. Public Health 2019, 12, 282–284. [Google Scholar] [CrossRef] [PubMed]
- Alghamdi, A.; Tabb, D.; Hagan, L. Preterm Labor Caused by Hemolysis, Elevated Liver Enzymes, Low Platelet Count (HELLP) Syndrome and Postpartum Infection Complicated with Actinomyces Species: A Case Report. Am. J. Case Rep. 2018, 19, 1350–1353. [Google Scholar] [CrossRef] [PubMed]
- Neuz-Zaragoza, W.; Sanfeliu, I. Acute necritizing chorioaminionitis caused by Actinomyces Neuii. Enfermedades Infecc. Y Microbiol. Clínica 2022, 40, 455–464. [Google Scholar]
- Wong, V.K.; Turmezei, T.D.; Weston, V.C. Actinomycosis. BMJ 2011, 343, d6099. [Google Scholar] [CrossRef] [PubMed]
- Gajdács, M.; Urbán, E.; Terhes, G. Microbiological and Clinical Aspects of Cervicofacial Actinomyces Infections: An Overview. Dent. J. 2019, 7, 85. [Google Scholar] [CrossRef] [PubMed]
- Kim, Y.J.; Youm, J.; Kim, J.H.; Jee, B.C. Actinomyces-like organisms in cervical smears: The association with intrauterine device and pelvic inflammatory diseases. Obstet. Gynecol. Sci. 2014, 57, 393–396. [Google Scholar] [CrossRef] [PubMed]
- Ohuma, E.O.; Moller, A.-B.; Bradley, E.; Chakwera, S.; Hussain-Alkhateeb, L.; Lewin, A.; Okwaraji, Y.B.; Mahanani, W.R.; Johansson, E.W.; Lavin, T.; et al. National, regional, and global estimates of preterm birth in 2020, with trends from 2010: A systematic analysis. Lancet 2023, 402, 1261–1271, Erratum in Lancet 2024, 403, 618. [Google Scholar] [CrossRef] [PubMed]
- Yu, H.-R.; Tsai, C.-C.; Chan, J.Y.H.; Lee, W.-C.; Wu, K.L.H.; Tain, Y.-L.; Hsu, T.-Y.; Cheng, H.-H.; Huang, H.-C.; Huang, C.-H.; et al. A Higher Abundance of Actinomyces spp. in the Gut Is Associated with Spontaneous Preterm Birth. Microorganisms 2023, 11, 1171. [Google Scholar] [CrossRef] [PubMed]
- Kahle, P.J.; Mellinger, G.T. Renal actinomycosis in pregnancy; report of a case. Urol. Cutan. Rev. 1949, 53, 720–723. [Google Scholar] [PubMed]
Disclaimer/Publisher’s Note: The statements, opinions and data contained in all publications are solely those of the individual author(s) and contributor(s) and not of MDPI and/or the editor(s). MDPI and/or the editor(s) disclaim responsibility for any injury to people or property resulting from any ideas, methods, instructions or products referred to in the content. |
© 2025 by the authors. Licensee MDPI, Basel, Switzerland. This article is an open access article distributed under the terms and conditions of the Creative Commons Attribution (CC BY) license (https://creativecommons.org/licenses/by/4.0/).



