The Effect of the COVID-19 Pandemic on Trends of Complicated Sinusitis in Western Australia
Abstract
1. Introduction
2. Materials and Methods
3. Results
3.1. Admission Data
3.2. Statistical Analysis
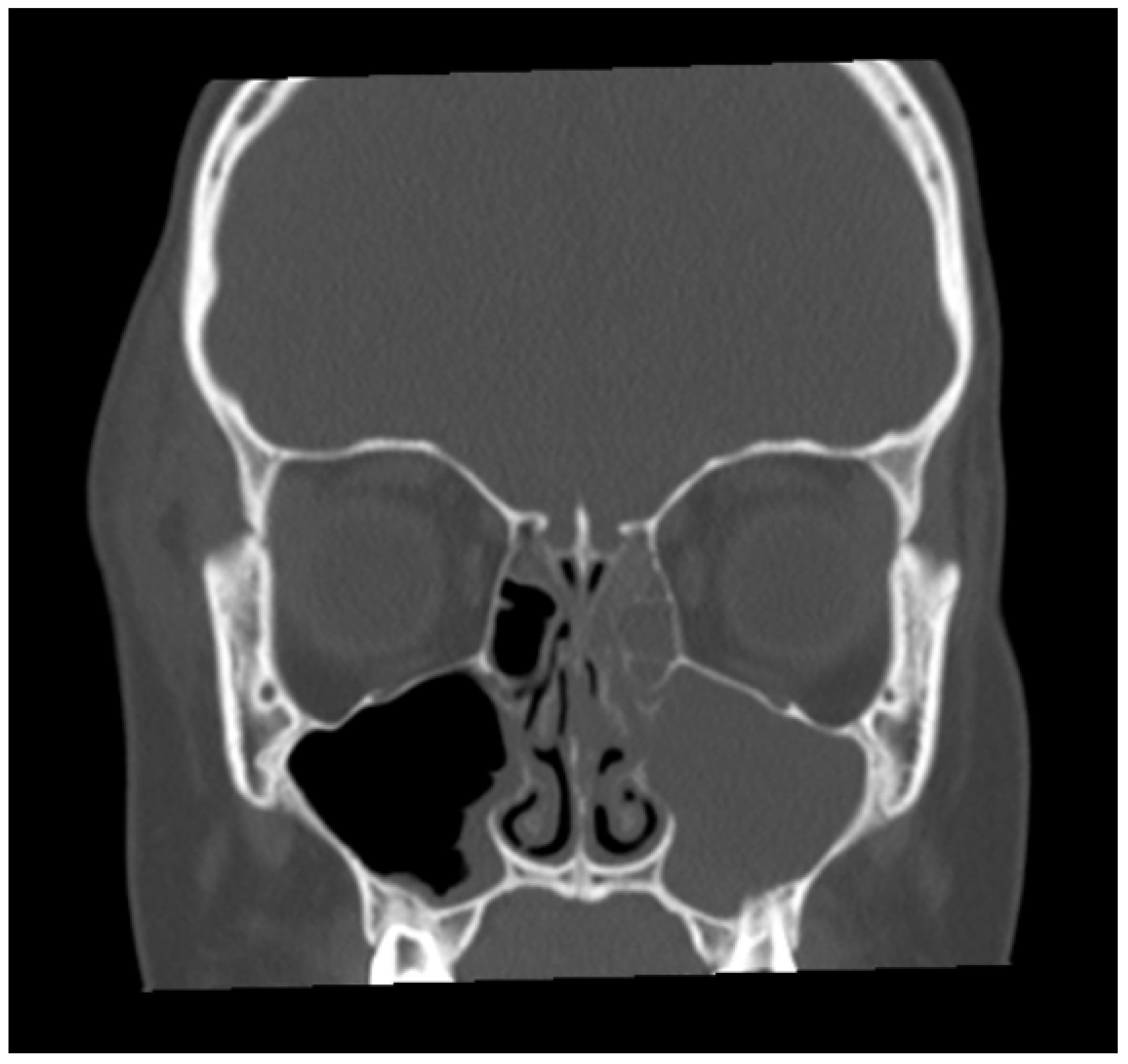
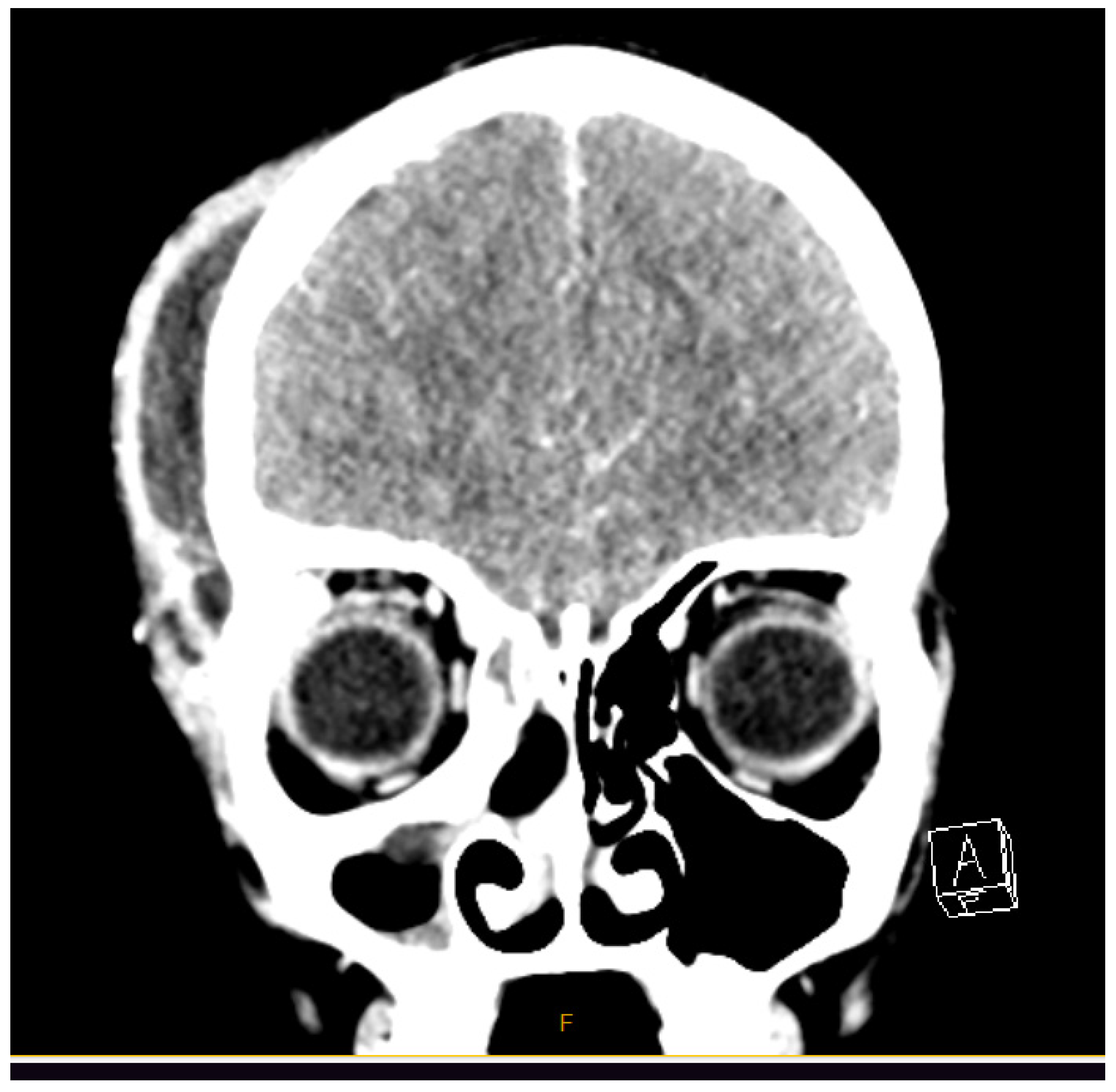
3.3. Superficial Temporal Space Infections
4. Discussion
4.1. Discussion of the Findings
4.2. Limitations
4.3. Superficial Temporal Space Infections
5. Conclusions
Author Contributions
Funding
Institutional Review Board Statement
Informed Consent Statement
Data Availability Statement
Conflicts of Interest
Abbreviations
| COVID-19 | Novel Coronavirus Disease 2019 |
| PCR | Polymerase Chain Reaction |
| RAT | Rapid antigen test |
| CRP | C-Reactive Protein |
| LOS | Length of Stay |
| COVID+ve | COVID-19-positive test |
| COVID−ve | COVID-19-negative test |
References
- Belay, E.D.; Godfred-Cato, S. SARS-CoV-2 spread and hospitalisations in paediatric patients during the omicron surge. Lancet Child Adolesc. Health 2022, 6, 280–281. [Google Scholar] [CrossRef]
- Cloete, J.; Kruger, A.; Masha, M.; du Plessis, N.M.; Mawela, D.; Tshukudu, M.; Manyane, T.; Komane, L.; Venter, M.; Jassat, W.; et al. Paediatric hospitalisations due to COVID-19 during the first SARS-CoV-2 omicron (B.1.1.529) variant wave in South Africa: A multicentre observational study. Lancet Child Adolesc. Health 2022, 6, 294–302. [Google Scholar] [CrossRef] [PubMed]
- Setiabudi, D.; Sribudiani, Y.; Hermawan, K.; Andriyoko, B.; Nataprawira, H.M. The Omicron variant of concern: The genomics, diagnostics, and clinical characteristics in children. Front. Pediatr. 2022, 10, 898463. [Google Scholar] [CrossRef] [PubMed]
- Tun, E.M.; Koid Jia Shin, C.; Usoro, E.; Thomas-Smith, S.E.; Trehan, I.; Migita, R.T.; Keilman, A.E. Croup during the Coronavirus Disease 2019 Omicron Variant Surge. J. Pediatr. 2022, 247, 147–149. [Google Scholar] [CrossRef]
- Straburzynski, M.; Nowaczewska, M.; Budrewicz, S.; Waliszewska-Prosol, M. COVID-19-related headache and sinonasal inflammation: A longitudinal study analysing the role of acute rhinosinusitis and ICHD-3 classification difficulties in SARS-CoV-2 infection. Cephalalgia 2022, 42, 218–228. [Google Scholar] [CrossRef] [PubMed]
- Rosamilia, G.; Lee, K.H.; Roy, S.; Hart, C.; Huang, Z. Impact of COVID-19 on nationwide pediatric complicated sinusitis trends throughout 2018–2022. Am. J. Otolaryngol. 2024, 45, 104187. [Google Scholar] [CrossRef]
- Kalavacherla, S.; Hall, M.; Jiang, W.; Carvalho, D. Temporal Trends in Pediatric Acute Sinusitis Surrounding the COVID-19 Pandemic. Otolaryngol.-Head Neck Surg. 2024, 170, 913–918. [Google Scholar] [CrossRef]
- Fusani, L.; Venturini, E.; Indolfi, G.; Scagnet, M.; Trabalzini, F.; Chiappini, E.; Galli, L. Complicated Sinusitis in Children: Should We Increase Awareness After the Pandemic? Pediatr. Infect. Dis. J. 2024, 43, e291–e292. [Google Scholar] [CrossRef]
- Blanco, C.H.; Stein, J.B.; Barinsky, G.L.; Fang, C.H.; Grube, J.G.; Turbin, R.E.; Eloy, J.A. Management of complicated pediatric rhinosinusitis in the COVID-19 era. Am. J. Otolaryngol. 2020, 41, 102746. [Google Scholar] [CrossRef]
- Reed, W.; Okafor, S.; Cheng, J. Pediatric COVID-19 associated acute rhinosinusitis and periorbital abscess: A case report. Otolaryngol. Case Rep. 2022, 24, 100461. [Google Scholar] [CrossRef]
- Heywood, E.G.; Ul-Haq, I.; Pankhania, M. COVID-19-related orbital abscesses: A case report. Ann. R. Coll. Surg. Engl. 2022, 104, e193–e195. [Google Scholar] [CrossRef] [PubMed]
- COVID Daily Incidence Rate: West Australian Department of Health. Available online: https://www.health.gov.au/health-alerts/covid-19/case-numbers-and-statistics (accessed on 14 December 2024).
- Chandler, J.R.; Langenbrunner, D.J.; Stevens, E.R. The pathogenesis of orbital complications in acute sinusitis. Laryngoscope 1970, 80, 1414–1428. [Google Scholar] [CrossRef] [PubMed]
- Al-Rasheedi, A.N.; Alotaibi, A.D.; Alshalan, A.; Alshalan, K.M.; Alruwaili, K.M.R.; Alruwaili, A.H.R.; Alruwaili, A.T.; Alanzi, A.A.; Alshalan, M.K.; ALtimani, A.F. Epidemiological Characteristics, Pathogenesis and Clinical Implications of Sinusitis in the Era of COVID-19: A Narrative Review. J. Asthma Allergy 2023, 16, 201–211. [Google Scholar] [CrossRef]
- Massimi, L.; Cinalli, G.; Frassanito, P.; Arcangeli, V.; Auer, C.; Baro, V.; Bartoli, A.; Bianchi, F.; Dietvorst, S.; Di Rocco, F.; et al. Intracranial complications of sinogenic and otogenic infections in children: An ESPN survey on their occurrence in the pre-COVID and post-COVID era. Childs Nerv. Syst. 2024, 40, 1221–1237. [Google Scholar] [CrossRef]
- Almhanedi, H.; Aldajani, A.; Steinberg, E.; Tewfik, M. Most Common Pathogens Causing Rhinosinusitis in Patients Who Underwent Endoscopic Sinus Surgery Before, During, and After the COVID-19 Pandemic. J. Otolaryngol. Head Neck Surg. 2024, 53, 19160216241291808. [Google Scholar] [CrossRef] [PubMed]
- Principi, N.; Autore, G.; Ramundo, G.; Esposito, S. Epidemiology of Respiratory Infections during the COVID-19 Pandemic. Viruses 2023, 15, 1160. [Google Scholar] [CrossRef]
- Ryan, F.J.; Hope, C.M.; Masavuli, M.G.; Lynn, M.A.; Mekonnen, Z.A.; Lip Yeow, A.E.; Garcia-Valtanen, P.; Al-Delfi, Z.; Gummow, J.; Ferguson, C.; et al. Long-term perturbation of the peripheral immune system months after SARS-CoV-2 infection. BMC Med. 2022, 20, 26. [Google Scholar]
- Guardian, T. Explainer: Why Are COVID Infection Rates in Australia So High Compared with Other Countries? 2022. Available online: https://www.theguardian.com/world/2022/may/07/explainer-why-are-covid-infection-rates-in-australia-so-high-compared-to-other-countries (accessed on 14 December 2024).
- Tsao, J.; Kussman, A.L.; Costales, C.; Pinsky, B.A.; Abrams, G.D.; Hwang, C.E. Accuracy of Rapid Antigen vs Reverse Transcriptase–Polymerase Chain Reaction Testing for SARS-CoV-2 Infection in College Athletes During Prevalence of the Omicron Variant. JAMA Netw. Open 2022, 5, e2217234. [Google Scholar] [CrossRef] [PubMed]
- Archana Koirala, J.M. Nicholas Wood and Kristine Macartney. In Paediatric SARS-CoV-2 Serosurvey 2022, Australia; Surveillance NCfIRa: Sydney, Australia, 2022. [Google Scholar]
- Ho, D.; Low, R.; Tong, L.; Gupta, V.; Veeraraghavan, A.; Agrawal, R. COVID-19 and the Ocular Surface: A Review of Transmission and Manifestations. Ocul. Immunol. Inflamm. 2020, 28, 726–734. [Google Scholar] [CrossRef]
- Dermarkarian, C.R.; Chilakapati, M.; Hussein, M.; Chevez-Barrios, P.; Allen, R.C. Bilateral orbital inflammation in a 6-month old with SARS-CoV-2 infection. Orbit 2022, 41, 633–636. [Google Scholar] [CrossRef]
- Martínez Díaz, M.; Copete Piqueras, S.; Blanco Marchite, C.; Vahdani, K. Acute dacryoadenitis in a patient with SARS-CoV-2 infection. Orbit 2022, 41, 374–377. [Google Scholar] [CrossRef]
- Kase, S.; Ishida, S. COVID-19–Related Chronic Bilateral Dacryoadenitis: A Clinicopathological Study. JAMA Ophthalmol. 2022, 140, 312–318. [Google Scholar] [CrossRef] [PubMed]





| Pre-COVID | Post-COVID | COVID+ve | COVID−ve | No COVID Test | Overall | |
|---|---|---|---|---|---|---|
| Gender | 40 m, 20 f | 39 m, 30 f | 8 m, 8 f | 21 m, 17 f | 10 m, 5 f | 79 m, 50 f |
| Average Age (years) | 9.21 | 7.68 | 9 | 6.71 | 8.73 | 8.4 |
| Average LOS (days) | 6 | 6.07 | 5.81 | 6.23 | 5.93 | 6.04 |
| Average CRP | 87.9 | 112.9 | 124.2 | 117.7 | 88.6 | 101.3 |
| Number of patients operatively managed | 30 | 35 | 8 | 20 | 7 | 65 |
| Total | 60 | 69 | 16 | 38 | 15 | 129 |
Disclaimer/Publisher’s Note: The statements, opinions and data contained in all publications are solely those of the individual author(s) and contributor(s) and not of MDPI and/or the editor(s). MDPI and/or the editor(s) disclaim responsibility for any injury to people or property resulting from any ideas, methods, instructions or products referred to in the content. |
© 2025 by the authors. Licensee MDPI, Basel, Switzerland. This article is an open access article distributed under the terms and conditions of the Creative Commons Attribution (CC BY) license (https://creativecommons.org/licenses/by/4.0/).
Share and Cite
Crohan, W.; Sale, P.; Vijayasekaran, S. The Effect of the COVID-19 Pandemic on Trends of Complicated Sinusitis in Western Australia. Sinusitis 2025, 9, 7. https://doi.org/10.3390/sinusitis9010007
Crohan W, Sale P, Vijayasekaran S. The Effect of the COVID-19 Pandemic on Trends of Complicated Sinusitis in Western Australia. Sinusitis. 2025; 9(1):7. https://doi.org/10.3390/sinusitis9010007
Chicago/Turabian StyleCrohan, William, Phillip Sale, and Shyan Vijayasekaran. 2025. "The Effect of the COVID-19 Pandemic on Trends of Complicated Sinusitis in Western Australia" Sinusitis 9, no. 1: 7. https://doi.org/10.3390/sinusitis9010007
APA StyleCrohan, W., Sale, P., & Vijayasekaran, S. (2025). The Effect of the COVID-19 Pandemic on Trends of Complicated Sinusitis in Western Australia. Sinusitis, 9(1), 7. https://doi.org/10.3390/sinusitis9010007

