Forces Transmitted to Abutment Teeth in Distal Extension Removable Partial Denture—Impact of Indirect Retention
Abstract
1. Introduction
2. Materials and Methods
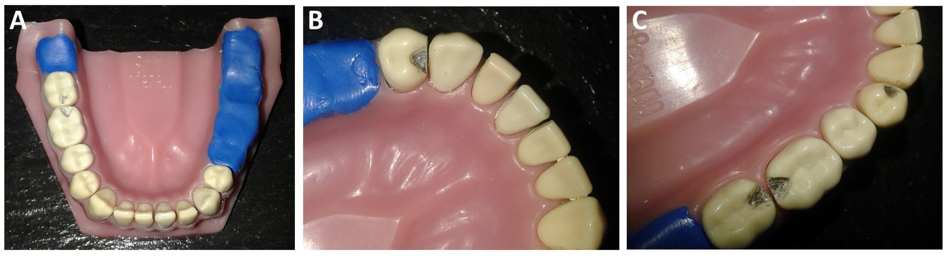
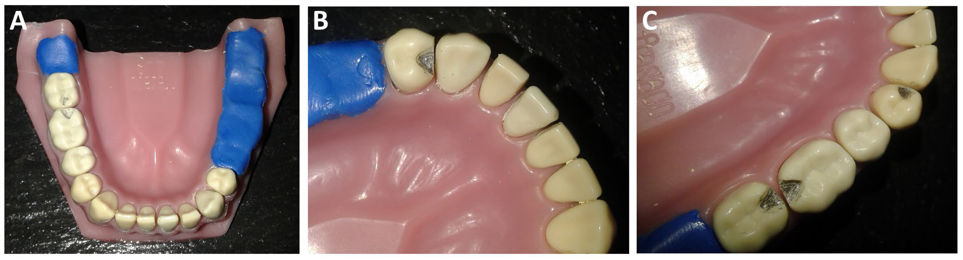
2.1. Mandibular Model
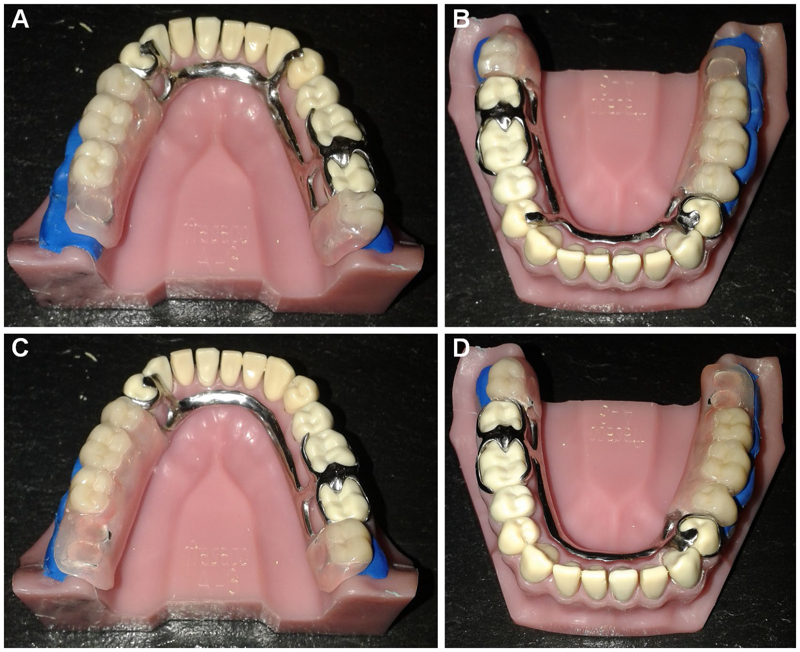
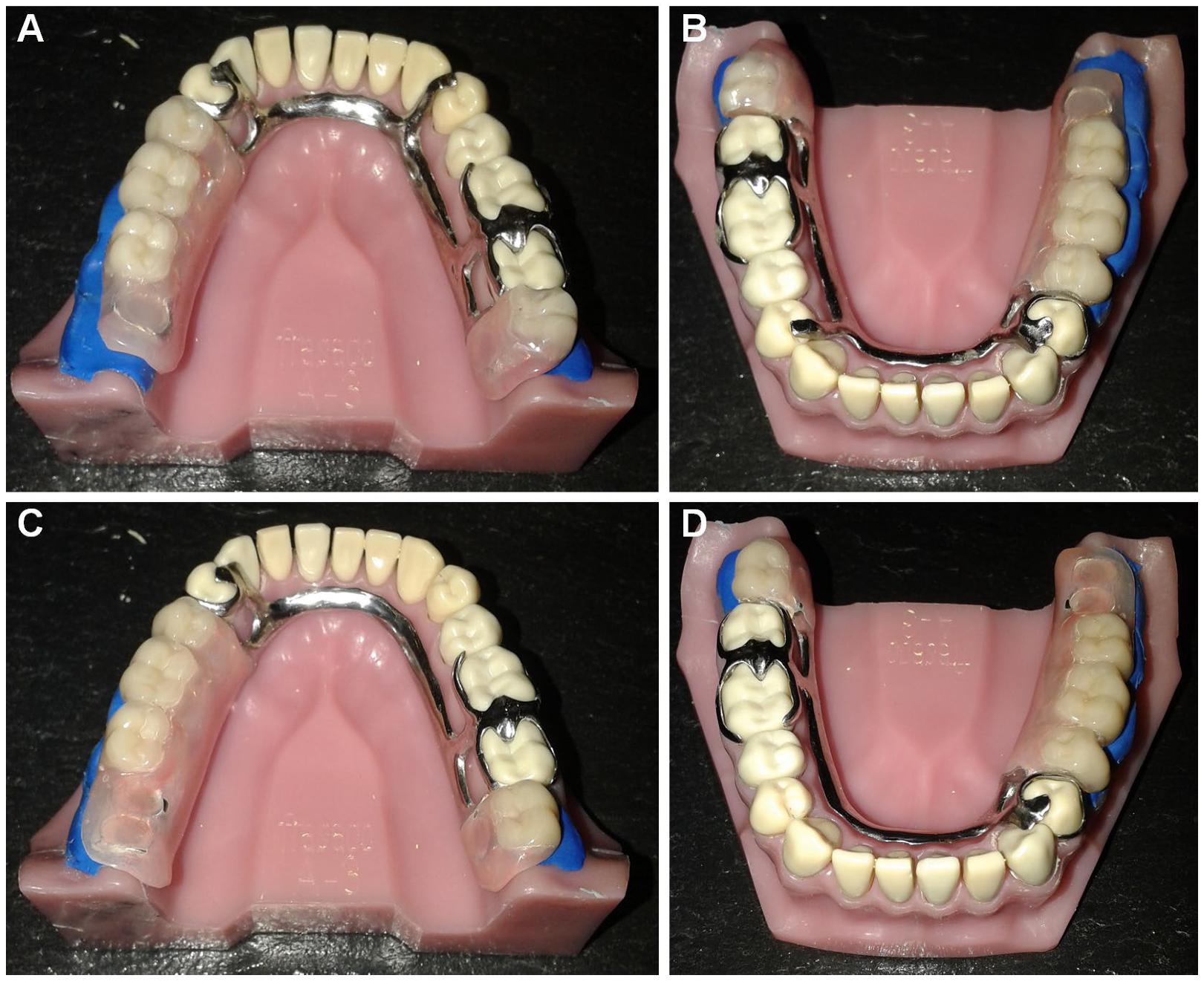
2.2. Mandibular RPDs
2.3. ESPI Model System
3. Results
4. Discussion
5. Conclusions
Author Contributions
Funding
Institutional Review Board Statement
Informed Consent Statement
Data Availability Statement
Acknowledgments
Conflicts of Interest
Abbreviations
| RPD | Removable partial denture |
| ESPI | Electronic speckle pattern interferometry |
| IR | Indirect retainer |
| PZT | Piezoelectric device |
References
- Fuller, E.; Steele, J.; Watt, R.; Nuttall, N. Oral Health and Function—A Report from the Adult Dental Health Survey 2009; The Health and Social Care Information Centre: London, UK, 2011. [Google Scholar]
- Douglass, C.W.; Watson, A.J. Future needs for fixed and removable partial dentures in the United States. J. Prosthet. Dent. 2002, 87, 9–14. [Google Scholar] [CrossRef]
- Hunter, E.; Brito, L.D.M.; Piyasena, P.; Petrauskiene, E.; Congdon, N.; Tsakos, G.; Virgili, G.; Mathur, M.; Woodside, J.V.; Leles, C.; et al. Impact of edentulism on community-dwelling adults in low-income, middle-income and high-income countries: A systematic review. BMJ Open 2024, 14, e085479. [Google Scholar] [CrossRef]
- Dolan, T.A.; Gilbert, G.H.; Duncan, R.P.; Foerster, U. Risk indicators of edentulism, partial tooth loss and prosthetic status among black and white middle-aged and older adults. Community Dent. Oral Epidemiol. 2001, 29, 329–340. [Google Scholar] [CrossRef]
- Wöstmann, B.; Budtz-Jørgensen, E.; Jepson, N.; Mushimoto, E.; Palmqvist, S.; Sofou, A.; Öwal, B. Indications for removable partial dentures: A literature review. Int. J. Prosthodont. 2005, 18, 139–145. [Google Scholar] [CrossRef]
- Waliszewski, M.P. Turning points in removable partial denture philosophy. J. Prosthodont. 2010, 19, 571–579. [Google Scholar] [CrossRef]
- Friel, T.; Waia, S. Removable Partial Dentures for Older Adults. Prim. Dent. J. 2020, 9, 34–39. [Google Scholar] [CrossRef]
- Ozhayat, E.B.; Gotfredsen, K. Effect of treatment with fixed and removable dental prostheses: An oral health-related quality of life study. J. Oral Rehabil. 2012, 39, 28–36. [Google Scholar] [CrossRef]
- De Kok, I.J.; Cooper, L.F.; Guckes, A.D.; McGraw, K.; Wright, R.F.; Barrero, C.J.; Bak, S.; Stoner, L.O. Factors Influencing Removable Partial Denture Patient-Reported Outcomes of Quality of Life and Satisfaction: A Systematic Review. J. Prosthodont. 2017, 26, 5–18. [Google Scholar] [CrossRef]
- Hakestam, U.; Karlsson, T.; Soderfeldt, B.; Ryden, O.; Glantz, P.O. Does the quality of advanced prosthetic dentistry determine patient satisfaction? Acta Odontol. Scand. 1997, 55, 365–371. [Google Scholar] [CrossRef]
- Frank, R.P.; Brudvik, J.S.; Leroux, B.; Milgrom, P.; Hawkins, N. Relationship between the standards of removable partial denture construction, clinical acceptability, and patient satisfaction. J. Prosthet. Dent. 2000, 83, 521–527. [Google Scholar] [CrossRef]
- Principles, concepts, and practices in prosthodontics—1994. Academy of Prosthodontics. J. Prosthet. Dent. 1995, 73, 73–94. [CrossRef]
- Carr, A.B.; Brown, D.T. McCracken’s Removable Partial Prosthodontics, 12th ed.; Elsevier Mosby: St. Louis, MO, USA, 2011; pp. 96–102. [Google Scholar]
- Marxkors, R. The Partial Denture with Metal Framework; BEGO, Bremer Goldschlägarei Wilhelm Herbst: Bremen, Germany, 1984. [Google Scholar]
- Owall, B.; Budtz-Jörgensen, E.; Davenport, J.; Mushimoto, E.; Palmqvist, S.; Renner, R.; Sofou, A.; Wöstmann, B. Removable partial denture design: A need to focus on hygienic principles? Int. J. Prosthodont. 2002, 15, 371–378. [Google Scholar]
- Yoshimoto, T.; Hasegawa, Y.; Maria, M.T.S.; Marito, P.; Salazar, S.; Hori, K.; Ono, T. Effect of mandibular bilateral distal extension denture design on masticatory performance. J. Prosthodont. Res. 2023, 67, 539–547. [Google Scholar] [CrossRef]
- Cummer, W. Partial denture service. In The American Textbook of Prosthetic Dentistry; Anthony, L.P., Ed.; Lea & Feibiger: Philadelphia, PA, USA, 1942; pp. 782–783. [Google Scholar]
- Avant, W.E. Indirect retention in partial denture design. 1996. J. Prosthet. Dent. 2003, 90, 1–5. [Google Scholar] [CrossRef]
- Davenport, J.C.; Basker, R.M.; Heath, J.R.; Ralph, J.P.; Glantz, P.O.; Hammond, P. Indirect retention. Br. Dent. J. 2001, 190, 128–132. [Google Scholar] [CrossRef]
- Bergman, B.; Hugoson, A.; Olsson, C.O. Caries, periodontal and prosthetic findings in patients with removable partial dentures: A ten-year longitudinal study. J. Prosthet. Dent. 1982, 48, 506–514. [Google Scholar] [CrossRef]
- Hedegard, B.; Lundberg, M.; Wictorin, L. Denture mobility during chewing; a study method. Swed. Dent. J. 1966, 59, 403–415. [Google Scholar]
- Berg, E. Periodontal problems associated with use of distal extension removable partial dentures-a matter of construction? J. Oral Rehabil. 1985, 12, 369–379. [Google Scholar] [CrossRef]
- Marxkors, R. Mastering the removable partial denture—Part one: Basic reflections about construction. J. Dent. Technol. 1997, 14, 34–39. [Google Scholar]
- Campos, L.M.P.; Parra, D.F.; Vasconcelos, M.R.; Vaz, M.; Monteiro, J. DH and ESPI laser interferometry applied to the restoration shrinkage assessment. Radiat. Phys. Chem. 2014, 94, 190–193. [Google Scholar] [CrossRef]
- Campos, J.C.; Correia, A.; Vaz, M.A.; Branco, F.J. Holographic stress analysis in a distal extension removable partial denture. Eur. J. Prosthodont. Restor. Dent. 2009, 17, 111–115. [Google Scholar]
- Swelem, A.A.; Abdelnabi, M.H. Attachment-retained removable prostheses: Patient satisfaction and quality of life assessment. J. Prosthet. Dent. 2021, 125, 636–644. [Google Scholar] [CrossRef]
- Bandiaky, O.N.; Lokossou, D.L.; Soueidan, A.; Le Bars, P.; Gueye, M.; Mbodj, E.B.; Le Guéhennec, L. Implant-supported removable partial dentures compared to conventional dentures: A systematic review and meta-analysis of quality of life, patient satisfaction, and biomechanical complications. Clin. Exp. Dent. Res. 2022, 8, 294–312. [Google Scholar] [CrossRef]
- Scully, C.; Hobkirk, J.; DDios, P. Dental endosseous implants in the medically compromised patient. J. Oral Rehabil. 2007, 34, 590–599. [Google Scholar] [CrossRef]
- Owen, P.C. Appropriatech: Prosthodontics for the many, not just for the few. Int. J. Prosthodont. 2004, 17, 261–262. [Google Scholar]
- Carlsson, G.E. Some issues related to evidence-based implantology. J. Indian Prosthodont. Soc. 2016, 16, 116–123. [Google Scholar] [CrossRef]
- Jacobson, T.E. Periodontal considerations in removable partial denture design. Compendium 1987, 8, 530–534. [Google Scholar]
- Runov, J.; Kroone, H.; Stoltze, K.; Maeda, T.; El Ghamrawy, E.; Brill, N. Host response to two different designs of minor connector. J. Oral Rehabil. 1980, 7, 147–153. [Google Scholar] [CrossRef]
- Zlataric, D.K.; Celebic, A.; Valentic-Peruzovic, M. The effect of removable partial dentures on periodontal health of abutment and non-abutment teeth. J. Periodontol. 2002, 73, 137–144. [Google Scholar] [CrossRef]
- da Fonte Porto Carreiro, A.; de Carvalho Dias, K.; Correia Lopes, A.L.; Bastos Machado Resende, C.M.; Luz de Aquino Martins, A.R. Periodontal Conditions of Abutments and Non-Abutments in Removable Partial Dentures over 7 Years of Use. J. Prosthodont. 2017, 26, 644–649. [Google Scholar] [CrossRef]
- Jepson, N.J.; Moynihan, P.J.; Kelly, P.J.; Watson, G.W.; Thomason, J.M. Caries incidence following restoration of shortened lower dental arches in a randomized controlled trial. Br. Dent. J. 2001, 191, 140–144. [Google Scholar] [CrossRef]
- Huang, L.R.; Zhang, C.Z.; Gong, M.L.; Cheng, X.Q.; Wu, H.K. Development of a nomogram for root caries risk assessment in a Chinese elderly population. J. Dent. 2025, 156, 105624. [Google Scholar] [CrossRef]
- Frank, R.P.; Nicholls, J.I. An investigation of the effectiveness of indirect retainers. J. Prosthet. Dent. 1977, 38, 494–506. [Google Scholar] [CrossRef]
- do Amaral, B.A.; Barreto, A.O.; Gomes Seabra, E.; Roncalli, A.G.; da Fonte Porto Carreiro, A.; de Almeida, E.O. A clinical follow-up study of the periodontal conditions of RPD abutment and non-abutment teeth. J. Oral Rehabil. 2010, 37, 545–552. [Google Scholar] [CrossRef]
- Campos, T.N.; Adachi, L.K.; Chorres, J.E.; Campos, A.C.; Muramatsu, M.; Gioso, M.A. Holographic interferometry method for assessment of static load stress distribution in dog mandible. Braz. Dent. J. 2006, 17, 279–284. [Google Scholar] [CrossRef]
- Tanasic, I.; Milic-Lemic, A.; Tihacek-Sojic, L.; Stancic, I.; Mitrovic, N. Analysis of the compressive strain below the removable and fixed prosthesis in the posterior mandible using a digital image correlation method. Biomech. Model. Mechanobiol. 2012, 11, 751–758. [Google Scholar] [CrossRef]
- Maxfield, J.B.; Nicholls, J.I.; Smith, D.E. The measurement of forces transmitted to abutment teeth of removable partial dentures. J. Prosthet. Dent. 1979, 41, 134–142. [Google Scholar] [CrossRef]
- Kawata, T.; Kawaguchi, T.; Yoda, N.; Ogawa, T.; Kuriyagawa, T.; Sasaki, K. Effects of a removable partial denture and its rest location on the forces exerted on an abutment tooth in vivo. Int. J. Prosthodont. 2008, 21, 50–52. [Google Scholar]
- Trivedi, S. Finite element analysis: A boon to dentistry. J. Oral Biol. Craniofac. Res. 2014, 4, 200–203. [Google Scholar] [CrossRef]
- Lahoud, P.; Faghihian, H.; Richert, R.; Jacobs, R.; EzEldeen, M. Finite element models: A road to in-silico modeling in the age of personalized dentistry. J. Dent. 2024, 150, 105348. [Google Scholar] [CrossRef]






Disclaimer/Publisher’s Note: The statements, opinions and data contained in all publications are solely those of the individual author(s) and contributor(s) and not of MDPI and/or the editor(s). MDPI and/or the editor(s) disclaim responsibility for any injury to people or property resulting from any ideas, methods, instructions or products referred to in the content. |
© 2025 by the authors. Licensee MDPI, Basel, Switzerland. This article is an open access article distributed under the terms and conditions of the Creative Commons Attribution (CC BY) license (https://creativecommons.org/licenses/by/4.0/).
Share and Cite
Oliveira, S.J.; Sampaio-Fernandes, M.; Reis-Campos, J.C.; Sampaio-Fernandes, M.; Vaz, M.A.P.; Figueiral, M.H. Forces Transmitted to Abutment Teeth in Distal Extension Removable Partial Denture—Impact of Indirect Retention. Prosthesis 2025, 7, 157. https://doi.org/10.3390/prosthesis7060157
Oliveira SJ, Sampaio-Fernandes M, Reis-Campos JC, Sampaio-Fernandes M, Vaz MAP, Figueiral MH. Forces Transmitted to Abutment Teeth in Distal Extension Removable Partial Denture—Impact of Indirect Retention. Prosthesis. 2025; 7(6):157. https://doi.org/10.3390/prosthesis7060157
Chicago/Turabian StyleOliveira, Susana João, Margarida Sampaio-Fernandes, José Carlos Reis-Campos, Manuel Sampaio-Fernandes, Mário Augusto Pires Vaz, and Maria Helena Figueiral. 2025. "Forces Transmitted to Abutment Teeth in Distal Extension Removable Partial Denture—Impact of Indirect Retention" Prosthesis 7, no. 6: 157. https://doi.org/10.3390/prosthesis7060157
APA StyleOliveira, S. J., Sampaio-Fernandes, M., Reis-Campos, J. C., Sampaio-Fernandes, M., Vaz, M. A. P., & Figueiral, M. H. (2025). Forces Transmitted to Abutment Teeth in Distal Extension Removable Partial Denture—Impact of Indirect Retention. Prosthesis, 7(6), 157. https://doi.org/10.3390/prosthesis7060157

