Edentulous Mandibles Restored with Fiber-Reinforced Composite Prostheses Supported by 5.0 mm Ultra-Short Implants: Ten-Year Follow-Up
Abstract
1. Introduction
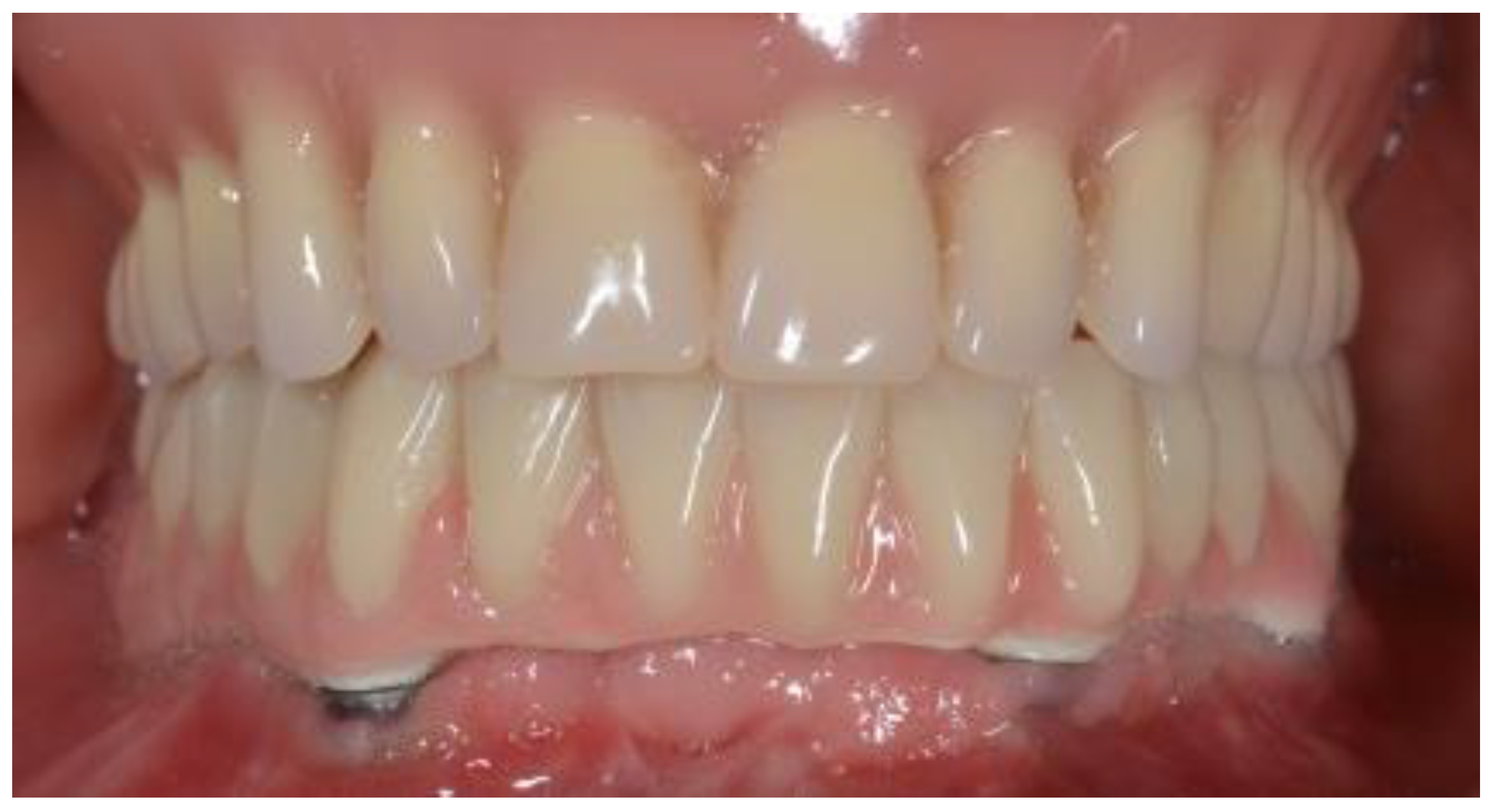
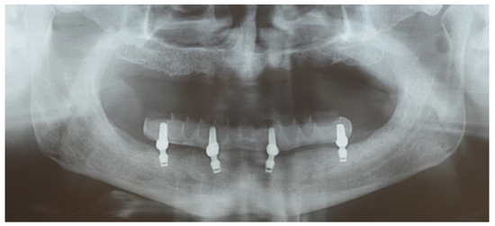
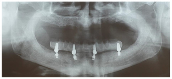
2. Materials and Methods
3. Results
4. Discussion
5. Conclusions
Author Contributions
Funding
Institutional Review Board Statement
Informed Consent Statement
Data Availability Statement
Conflicts of Interest
References
- Adell, R.; Lekholm, U.; Rockler, B.; Brånemark, P.-I. A 15-year study of osseointegrated implants in the treatment of the edentulous jaw. Int. J. Oral Surg. 1981, 10, 387–416. [Google Scholar] [CrossRef]
- Sivaramakrishnan, G.; Sridharan, K. Comparison of patient satisfaction with mini-implant versus standard diameter implant overdentures: A systematic review and meta-analysis of randomized controlled trials. Int. J. Implant Dent. 2017, 3, 29. [Google Scholar] [CrossRef]
- Al-Johany, S.S.; Al Amri, M.D.; Alsaeed, S.; Alalola, B. Dental implant length and diameter: A proposed classification scheme. J. Prosthodont. 2017, 26, 252–260. [Google Scholar] [CrossRef]
- Neugebauer, J.; Vizethum, F.; Berger, C.; Bolz, W.; Bowen, A.; Deporter, D.; Ewers, R.; Fairbairn, P.; Felino, A.; Fortin, T.; et al. Update: Kurze, angulierte und durchmesserreduzierte Implantate-praxisleitfa. Den: 11. Europäische Konsensuskonferenz (EuCC). BDIZ/EDI Konkret 2016, 20, 88–90. [Google Scholar]
- Amine, M.; Guelzim, Y.; Benfaida, S.; Bennani, A.; Andoh, A. Short implants (5–8 mm) vs. long implants in augmented bone and their impact on peri-implant bone in maxilla and/or mandible: Systematic review. J. Stomatol. Oral Maxillofac. Surg. 2019, 120, 133–142. [Google Scholar] [CrossRef]
- Seemann, R.; Wagner, F.; Marincola, M.; Ewers, R. Fixed, fiber-rein-forced resin bridges on 5.0-mm implants in severely atrophic mandibles: Up to 5 years’ follow-up of a prospective cohort study. J. Oral Maxillofac. Surg. 2018, 76, 956. [Google Scholar] [CrossRef] [PubMed]
- Ewers, R.; Marincola, M.; Perpetuini, P.; Seemann, R.; Morgan, V.; Wu, R. Leichtgewicht im Praxistest—Restaurationen bei schwierigen Situationen und atrophen Kiefern. Z. Oral Implant. 2017, 13, 28. [Google Scholar]
- Ewers, R.; Perpetuini, P.; Morgan, V.; Marincola, M.; Wu, R.; Seemann, R. TRINIA TM—Metal-free restorations. Implants 2017, 1, 2–7. [Google Scholar]
- Petroni, G.; Passaretti, A.; Marincola, M.; Pompa, G.; Cicconetti, A. Alternative solution for mandible rehabilitation: Fixed full arch prosthesis on short implant, a randomized cohort study. J. Osseointegr. 2019, 11, 477–484. [Google Scholar]
- Passaretti, A.; Petroni, G.; Miracolo, G.; Savoia, V.; Perpetuini, A.; Cicconetti, A. Metal free, full arch, fixed prosthesis for edentulous mandible rehabilitation on four implants. J. Prosthodont. Res. 2018, 62, 264–267. [Google Scholar] [CrossRef]
- Zaparolli, D.; Peixoto, R.F.; Pupim, D.; Macedo, A.P.; Toniollo, M.B.; de Mattos, M.d.G.C. Photoelastic analysis of mandibular full-arch implant-supported fixed dentures made with different bar materials and manufacturing techniques. Mater. Sci. Eng. C 2017, 81, 144–147. [Google Scholar] [CrossRef]
- Harkness, J.M. An idea man (the life of Otto Herbert Schmitt). IEEE Eng. Med. Biol. Mag. 2004, 23, 20–41. [Google Scholar] [CrossRef] [PubMed]
- Annibali, S.; Cristalli, M.P.; Dell’Aquila, D.; Bignozzi, I.; La Monaca, G.; Pilloni, A. Short dental implants: A systematic review. J. Dent. Res. 2012, 91, 25. [Google Scholar] [CrossRef]
- Atieh, M.; Zadeh, H.; Stanford, C.M.; Cooper, L.F. Survival of short dental implants for treatment of posterior partial edentulism: A systematic review. Int. J. Oral Maxillofac. Implant. 2012, 27, 1323–1331. [Google Scholar]
- Palacios, J.A.V.; Garcia, J.J.; Carames, J.M.M.; Quirynen, M.; da Silva Marques, D.N. Short implants versus bone grafting and standard-length implants placement: A systematic review. Clin. Oral Investig. 2018, 22, 69. [Google Scholar] [CrossRef] [PubMed]
- Lozano-Carrascal, N.; Anglada-Bosqued, A.; Salomó-Coll, O.; Hernández-Alfaro, F.; Wang, H.L.; Gargallo-Albiol, J. Short implants (<8mm) versus longer implants (≥8mm) with lateral sinus floor augmentation in posterior atrophic maxilla: A meta-analysis of RCT’s in humans. Med. Oral Patol. Oral Cir. Bucal 2020, 25, e168–e179. [Google Scholar] [CrossRef] [PubMed] [PubMed Central]
- Afrashtehfar, K.I. The all-on-four concept may be a viable treatment option for edentulous rehabilitation. Evid.-Based Dent. 2016, 17, 56–57. [Google Scholar] [CrossRef]
- Patzelt, S.B.; Bahat, O.; Reynolds, M.A.; Strub, J.R. The All-on-Four Treatment Concept: A Systematic Review. Clin. Implant Dent. Relat. Res. 2014, 16, 836–855. [Google Scholar] [CrossRef]
- Rosa, A.; Pujia, A.M.; Arcuri, C. Complete Full Arch Supported by Short Implant (<8 mm) in Edentulous Jaw: A Systematic Review. Appl. Sci. 2023, 13, 7162. [Google Scholar] [CrossRef]
- Gil, L.F.; Suzuki, M.; Janal, M.N.; Tovar, N.; Marin, C.; Granato, R.; Bonfante, E.A.; Jimbo, R.; Gil, J.N.; Coelho, P.G. Progressive plateau root form dental implant osseointegration: A human retrieval study. J. Biomed. Mater. Res. Part B Appl. Biomater. 2015, 103, 1328–1332. [Google Scholar] [CrossRef]
- Baldassarri, M.; Bonfante, E.; Suzuki, M.; Marin, C.; Granato, R.; Tovar, N.; Coelho, P.G. Mechanical properties of human bone surrounding plateau root form implants retrieved after 0.3–24 years of function. J. Biomed. Mater. Res. Part B Appl. Biomater. 2012, 100, 2015–2021. [Google Scholar] [CrossRef] [PubMed]
- Coelho, P.G.; Bonfante, E.A.; Marin, C.; Granato, R.; Giro, G.; Suzuki, M. A human retrieval study of plasma-sprayed hydroxyapatite-coated plateau root form implants after 2 months to 13 years in function. J. Long-Term Eff. Med. Implant. 2010, 20, 335–342. [Google Scholar] [CrossRef]
- Coelho, P.G.; Marin, C.; Granato, R.; Suzuki, M. Histomorphologic analysis of 30 plateau root form implants retrieved after 8 to 13 years in function. A human retrieval study. J. Biomed. Mater. Res. Part B Appl. Biomater. 2009, 91, 975–979. [Google Scholar] [CrossRef]
- Abdel-Latif, H.H.; A Hobkirk, J.; Kelleway, J.P. Functional mandibular deformation in edentulous subjects treated with dental implants. Int. J. Prosthodont. 2000, 13, 513–519. [Google Scholar]
- Ewers, R.; Marincola, M.; Perpetuini, P.; Morina, A.; Bergamo, E.T.P.; Cheng, Y.-C.; Bonfante, E.A. Severely atrophic mandibles restored with fiber-reinforced composite prostheses supported by 5.0-mm ultra-short implants present high survival rates up to eight years. J. Oral Maxillofac. Surg. 2022, 80, 81–92. [Google Scholar] [CrossRef]
- Delucchi, F.; De Giovanni, E.; Pesce, P.; Bagnasco, F.; Pera, F.; Baldi, D.; Menini, M. Framework Materials for Full-Arch Implant-Supported Rehabilitations: A Systematic Review of Clinical Studies. Materials 2021, 14, 3251. [Google Scholar] [CrossRef] [PubMed] [PubMed Central]
- Pera, F.; Pesce, P.; Solimano, F.; Tealdo, T.; Pera, P.; Menini, M. Carbon fibre versus metal framework in full-arch immediate loading rehabilitations of the maxilla—A cohort clinical study. J. Oral Rehabil. 2017, 44, 392–397. [Google Scholar] [CrossRef] [PubMed]
- Barootchi, S.; Askar, H.; Ravidà, A.; Gargallo-Albiol, J.; Travan, S.; Wang, H.-L. Long-term Clinical Outcomes and Cost-Effectiveness of Full-Arch Implant-Supported Zirconia-Based and Metal-Acrylic Fixed Dental Prostheses: A Retrospective Analysis. Int. J. Oral Maxillofac. Implant. 2020, 35, 395–405. [Google Scholar] [CrossRef] [PubMed]
- Marchio, V.; Cinquini, C.; Alfonsi, F.; Romeggio, S.; Stoppaccioli, M.; Zingari, F.; Priami, M.; Barone, A. Retrospective Analysis of Full-Arch Zirconia Rehabilitations on Dental Implants: Clinical Outcomes and Patient Satisfaction. Appl. Sci. 2025, 15, 416. [Google Scholar] [CrossRef]
- Cevik, P.; Schimmel, M.; Yilmaz, B. New generation CAD-CAM materials for implant-supported definitive frameworks fabricated by using subtractive technologies. BioMed Res. Int. 2022, 2022, 3074182. [Google Scholar] [CrossRef] [PubMed] [PubMed Central]
- Erkmen, E.; Meriç, G.; Kurt, A.; Tunç, Y.; Eser, A. Biomechanical comparison of implant retained fixed partial dentures with fiber reinforced composite versus conventional metal frameworks: A 3D FEA study. J. Mech. Behav. Biomed. Mater. 2011, 4, 107–116. [Google Scholar] [CrossRef] [PubMed]
- Cheng, Y.-C.; Perpetuini, P.; Murcko, L.; Hirayama, M.; Morgan, K.; Marincola, M.; Bonfante, E.A.; Bergamo, E.T.P.; Ewers, R. Fiber-reinforced composite full-arch prosthetic reconstructions supported by three standard, short or extra-short implants: A two-center retrospective study. Clin. Oral Investig. 2023, 27, 4191–4203. [Google Scholar] [CrossRef] [PubMed]
- Cheng, Y.; Bergamo, E.T.P.; Murcko, L.; Hirayama, M.; Perpetuini, P.; Speratti, D.; Bonfante, E.A. Fiber-reinforced composite partial fixed dental prostheses supported by short or extra-short implants: A 10 year retrospective study. Clin. Implant Dent. Relat. Res. 2022, 24, 854–861. [Google Scholar] [CrossRef] [PubMed]
- Hernández-González, D.; Marincola, M.; Díaz-Caballero, A.; Passaretti, A.; Cicconetti, A. Survival Rate, Biomechanical Complications, and Patient Satisfaction of Implant-Supported FRC Full-Arch Prostheses: A Retrospective Study with Follow up of 5 Years. J. Dent. 2024, 25, 268–274. [Google Scholar] [CrossRef] [PubMed] [PubMed Central]
- Cheng, Y.-C.; Bonfante, E.A.; Bergamo, E.T.; Ewers, R. Partial fixed dental prostheses fabricated using fiber-reinforced composite resin supported by short and extra-short implants: A case series. J. Prosthodont. Res. 2024, 68, 624–633. [Google Scholar] [CrossRef] [PubMed]
- Lazar, M.-A.; Rotaru, H.; Bâldea, I.; Boşca, A.B.; Berce, C.P.; Prejmerean, C.; Prodan, D.; Câmpian, R.S. Evaluation of the biocompatibility of new fiber-reinforced composite materials for craniofacial bone reconstruction. J. Craniofacial Surg. 2016, 27, 1694–1699. [Google Scholar] [CrossRef] [PubMed]







| Variable | Time | Mean (Range, SD) | p-Value | Mean Difference (95% CI) | p-Value | Comparison |
|---|---|---|---|---|---|---|
| MBL (mm) | Baseline | 0.18 (0.1–0.3, 0.08) | <0.001 | 0.12 (0.09; 0.15) | <0.001 | BL vs. 5 y |
| 5 years | 0.05 (−0.2–0.25, 0.1) | 0.09 (0.03; 0.15) | 0.02 | 5 y vs. 10 y | ||
| 10 years | −0.03 (−0.4–0.4, 0.21) | 0.21 (0.16; 0.27) | <0.001 | BL vs. 10 y | ||
| PPD (mm) | Baseline | 1.43 (1–3, 0.56) | <0.001 | 0.08 (−0.2; 0.3) | 0.13 | BL vs. 5 y |
| 5 years | 1.51 (1–3, 0.58) | 0.23 (0.1; 0.4) | <0.001 | 5 y vs. 10 y | ||
| 10 years | 1.75 (1–3, 0.61) | 0.32 (0.2; 0.4) | <0.001 | BL vs. 10 y |
| Variable | Time | Mean (Range, SD) | p-Value | Mean Difference (95% CI) | p-Value | Comparison |
|---|---|---|---|---|---|---|
| Level of satisfaction | Baseline | 8.63 (7–10, 0.92) | p = 0.15 | 0.13 (−0.84; 1.10) | 0.79 | BL vs. 5 y |
| 5 years | 8.75 (7–10, 0.89) | 0.5 (−0.36; 1.36) | 0.23 | 5 y vs. 10 y | ||
| 10 years | 9.25 (8–10, 0.71) | 0.63 (−0.25; 1.50) | 0.15 | BL vs. 10 y | ||
| Evaluation of the prosthetic procedure | Baseline | 8.25 (7–10, 0.88) | p = 0.76 | 0 (−0.09; 0.1) | 1 | BL vs. 5 y |
| 5 years | 8.25 (7–10, 0.89) | 0.13 (−0.75; 1.0) | 0.76 | 5 y vs. 10 y | ||
| 10 years | 8.38 (8–10, 0.74) | 0.13 (−0.75; 1.0) | 0.76 | BL vs. 10 y | ||
| Comfort | Baseline | 8.37 (7–10, 0.92) | p = 0.62 | 0 (−0.09; 0.1) | 1 | BL vs. 5 y |
| 5 years | 8.38 (7–10, 0.92) | 0.25 (−0.81; 1.31) | 0.62 | 5 y vs. 10 y | ||
| 10 years | 8.63 (7–10, 1.06) | 0.25 (−0.81; 1.31) | 0.61 | BL vs. 10 y | ||
| Aesthetic | Baseline | 7.63 (6–9, 1.2) | p = 0.83 | 0 (−1.27; 1.27) | 1 | BL vs. 5 y |
| 5 years | 7.62 (6–9, 1.2) | 0.13 (−1.06; 1.32) | 0.83 | 5 y vs. 10 y | ||
| 10 years | 7.75 (6–9, 1.03) | 0.13 (−0.82; 1.07) | 0.83 | BL vs. 10 y | ||
| Bite Force | Baseline | 9 (8–10, 0.53) | p = 0.44 | 0 (−0.57; 0.57) | 1 | BL vs. 5 y |
| 5 years | 9 (8–10, 0.53) | 0.25 (−0.43; 0.93) | 0.44 | 5 y vs. 10 y | ||
| 10 years | 9.25 (8–10, 0.71) | 0.25 (−0.42; 0.93) | 0.44 | BL vs. 10 y | ||
| Hygiene | Baseline | 7 (6–8, 0.76) | p = 0.78 | 0.12 (−0.73; 0.98) | 0.76 | BL vs. 5 y |
| 5 years | 7.12 (6–8, 0.83) | 0 (−0.98; 0.98) | 1 | 5 y vs. 10 y | ||
| 10 years | 7.12 (6–8, 0.99) | 0.13 (−0.83; 1.1) | 0.78 | BL vs. 10 y | ||
| Phonetics | Baseline | 8.37 (8–9, 0.52) | p = 0.25 | 0 (−0.69; 0.69) | 1 | BL vs. 5 y |
| 5 years | 8.38 (7–10, 0.74) | 0.38 (−0.40; 1.15) | 0.32 | 5 y vs. 10 y | ||
| 10 years | 8.75 (8–10, 0.71) | 0.38 (−0.29; 1.03) | 0.25 | BL vs. 10 y | ||
| Implant Stability | Baseline | 9.25 (9–10, 0.46) | p = 0.62 | 0 (−0.49; 0.49) | 1 | BL vs. 5 y |
| 5 years | 9.25 (9–10, 0.46) | 0.13 (−0.4; 0.65) | 0.62 | 5 y vs. 10 y | ||
| 10 years | 9.38 (9–10, 0.52) | 0.13 (−0.4; 0.65) | 0.62 | BL vs. 10 y |
Disclaimer/Publisher’s Note: The statements, opinions and data contained in all publications are solely those of the individual author(s) and contributor(s) and not of MDPI and/or the editor(s). MDPI and/or the editor(s) disclaim responsibility for any injury to people or property resulting from any ideas, methods, instructions or products referred to in the content. |
© 2025 by the authors. Licensee MDPI, Basel, Switzerland. This article is an open access article distributed under the terms and conditions of the Creative Commons Attribution (CC BY) license (https://creativecommons.org/licenses/by/4.0/).
Share and Cite
Petroni, G.; Zaccheo, F.; Rupe, C.; Cicconetti, A. Edentulous Mandibles Restored with Fiber-Reinforced Composite Prostheses Supported by 5.0 mm Ultra-Short Implants: Ten-Year Follow-Up. Prosthesis 2025, 7, 94. https://doi.org/10.3390/prosthesis7040094
Petroni G, Zaccheo F, Rupe C, Cicconetti A. Edentulous Mandibles Restored with Fiber-Reinforced Composite Prostheses Supported by 5.0 mm Ultra-Short Implants: Ten-Year Follow-Up. Prosthesis. 2025; 7(4):94. https://doi.org/10.3390/prosthesis7040094
Chicago/Turabian StylePetroni, Giulia, Fabrizio Zaccheo, Cosimo Rupe, and Andrea Cicconetti. 2025. "Edentulous Mandibles Restored with Fiber-Reinforced Composite Prostheses Supported by 5.0 mm Ultra-Short Implants: Ten-Year Follow-Up" Prosthesis 7, no. 4: 94. https://doi.org/10.3390/prosthesis7040094
APA StylePetroni, G., Zaccheo, F., Rupe, C., & Cicconetti, A. (2025). Edentulous Mandibles Restored with Fiber-Reinforced Composite Prostheses Supported by 5.0 mm Ultra-Short Implants: Ten-Year Follow-Up. Prosthesis, 7(4), 94. https://doi.org/10.3390/prosthesis7040094

