Squamous Cell Carcinoma of the Gallbladder Masquerading as Complicated Cholecystitis: A Case Report and Review
Abstract
1. Introduction
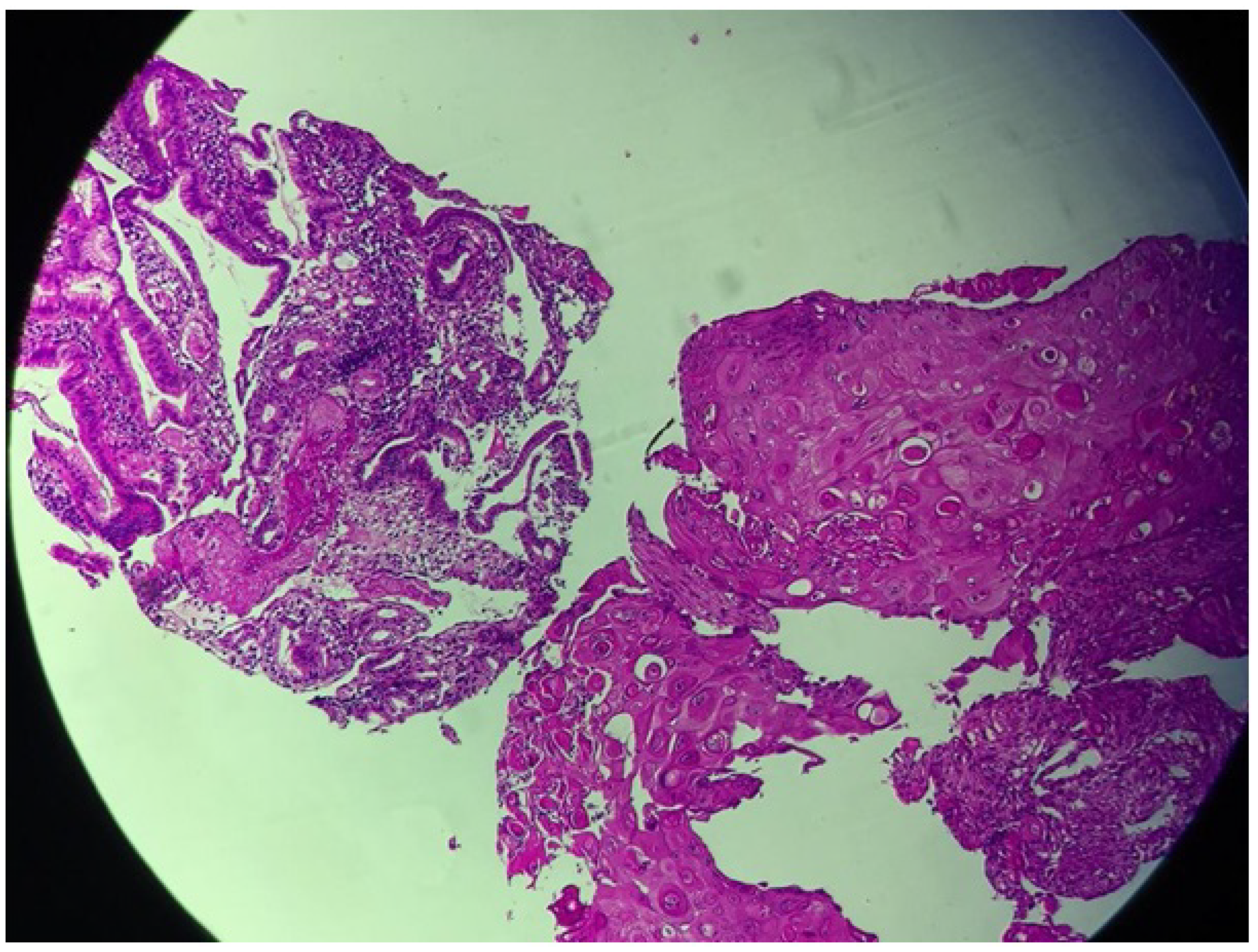
2. Case Study
3. Discussion
4. Conclusions
Author Contributions
Funding
Institutional Review Board Statement
Informed Consent Statement
Data Availability Statement
Acknowledgments
Conflicts of Interest
References
- Song, H.W.; Chen, C.; Shen, H.X.; Ma, L.; Zhao, Y.L.; Zhang, G.J.; Geng, Z.M.; Wang, L. Squamous/adenosquamous carcinoma of the gallbladder: Analysis of 34 cases and comparison of clinicopathologic features and surgical outcomes with adenocarcinoma. J. Surg. Oncol. 2015, 112, 677–680. [Google Scholar] [CrossRef] [PubMed]
- Aloia, T.A.; Járufe, N.; Javle, M.; Maithel, S.K.; Roa, J.C.; Adsay, V.; Coimbra, F.J.; Jarnagin, W.R. Gallbladder cancer: Expert consensus statement. Hpb 2015, 17, 681–690. [Google Scholar] [CrossRef] [PubMed]
- Ayabe, R.I.; Wach, M.M.; Ruff, S.M.; Diggs, L.P.; Martin, S.P.; Wiemken, T.; Hinyard, L.; Davis, J.L.; Luu, C.; Hernandez, J.M. Gallbladder squamous cell carcinoma: An analysis of 1084 cases from the National Cancer Database. J. Surg. Oncol. 2020, 122, 716–722. [Google Scholar] [CrossRef] [PubMed]
- Chan, K.M.; Yu, M.C.; Lee, W.C.; Jan, Y.Y.; Chen, M.F. Adenosquamous/squamous cell carcinoma of the gallbladder. J. Surg. Oncol. 2007, 95, 129–134. [Google Scholar] [CrossRef] [PubMed]
- Abhilash, P.; Saikiran, R.; Benjamin, T.; Irfan, W.; Hardwicke, F.; Rubayat, R.; Edwin, O. Pure Squamous Cell Carcinoma of the Gallbladder Masquerading as a Hepatic Mass. Cureus 2018, 10, e2011. [Google Scholar]
- Mghirbi, F.; Ayadi, M.; Karray, W.; Yahyaoui, Y.; Meddeb, K.; Mokrani, A.; Raies, H.; Chraeit, N.; Mezlini, A. Squamous cell carcinoma of the gallbladder. Transl. Gastroenterol. Hepatol. 2016, 1, 78. [Google Scholar] [CrossRef] [PubMed]
- Sewkani, A.; Kapoor, S.; Sharma, S.; Naik, S.; Juneja, M.; Jain, A.; Varshney, S. Squamous cell carcinoma of the distal common bile duct. Jop 2005, 6, 162–165. [Google Scholar] [PubMed]
- Ryu, S.; Chang, Y.; Yun, K.E.; Jung, H.S.; Shin, J.H.; Shin, H. Gallstones and the risk of gallbladder cancer mortality: A cohort study. Off. J. Am. Coll. Gastroenterol. ACG 2016, 111, 1476–1487. [Google Scholar] [CrossRef] [PubMed]
- Calomino, N.; Scheiterle, M.L.P.F.; Fusario, D.; La Francesca, N.; Martellucci, I.; Marrelli, D. Porcelain gallbladder and its relationship to cancer. Eur. Surg. 2021, 53, 311–316. [Google Scholar] [CrossRef]
- Willson, C.M.; Barsoum, N.; Khan, M.T.A.; Rushton, J. Primary Squamous Cell Carcinoma of Gallbladder with Hepatic Invasion. Cureus 2023, 15, e35795. [Google Scholar] [CrossRef] [PubMed]
- del Pozo, A.C.; De Battista, S.; Velasco, D.; Pianzola, H.; Rodríguez, J. Carcinoma epidermoide de vesícula: Análisis de nuestra casuística. Acta Gastroenterológica Latinoam. 2005, 35, 162–164. [Google Scholar]
- Adachi, T.; Haraguchi, M.; Irie, J.; Yoshimoto, T.; Uehara, R.; Ito, S.; Tokai, H.; Noda, K.; Tada, N.; Hirabaru, M.; et al. Gallbladder small cell carcinoma: A case report and literature review. Surg. Case Rep. 2016, 2, 71. [Google Scholar] [CrossRef] [PubMed]
- Rekik, W.; Fadhel, C.B.; Boufaroua, A.; Mestiri, H.; Khalfallah, M.; Bouraoui, S.; Mzabi-Rgaya, S. Case report: Primary pure squamous cell carcinoma of the gallbladder. J. Visc. Surg. 2011, 148, e149–e151. [Google Scholar] [CrossRef] [PubMed]
- Khaira, H.; Awad, R.; Thompson, A. Squamous cell carcinoma of the gallbladder presenting with a biliary-colic fistula. Eur. J. Surg. Oncol. J. Eur. Soc. Surg. Oncol. Br. Assoc. Surg. Oncol. 1995, 21, 581–582. [Google Scholar] [CrossRef] [PubMed]
- Hedfi, M.; Jomni, T.; Abdelhedi, C.; Sassi, K.; Chouchene, A. Carcinome épidermoïde de la vésicule biliaire: À propos d’un cas. Pan Afr. Med. J. 2015, 22, 382. [Google Scholar] [CrossRef] [PubMed]
- Kanthan, R.; Senger, J.L.; Ahmed, S.; Kanthan, S.C. Gallbladder cancer in the 21st century. J. Oncol. 2015, 2015, 967472. [Google Scholar] [CrossRef] [PubMed]


| Category | Details |
|---|---|
| Age | 51 years |
| Gender | Female |
| Medical History | No previous medical history |
| Diagnosis | Squamous cell carcinoma (SCC) of the gallbladder |
| Presentation | Complicated cholecystitis episode |
| Risk Factors | No specific risk factors identified |
| Diagnostic Method | Likely detected during imaging |
| Treatment Approach | Palliative chemotherapy without radiotherapy |
Disclaimer/Publisher’s Note: The statements, opinions and data contained in all publications are solely those of the individual author(s) and contributor(s) and not of MDPI and/or the editor(s). MDPI and/or the editor(s) disclaim responsibility for any injury to people or property resulting from any ideas, methods, instructions or products referred to in the content. |
© 2024 by the authors. Licensee MDPI, Basel, Switzerland. This article is an open access article distributed under the terms and conditions of the Creative Commons Attribution (CC BY) license (https://creativecommons.org/licenses/by/4.0/).
Share and Cite
Bahrou, N.; Cherif, E.K.; Abdennebi, S.; Khedid, Y.Z.A.A.; El Absi, M.; Echarrab, E.M.; Elounani, M.; El Hassan, E.A.E.F. Squamous Cell Carcinoma of the Gallbladder Masquerading as Complicated Cholecystitis: A Case Report and Review. Gastrointest. Disord. 2024, 6, 796-800. https://doi.org/10.3390/gidisord6030055
Bahrou N, Cherif EK, Abdennebi S, Khedid YZAA, El Absi M, Echarrab EM, Elounani M, El Hassan EAEF. Squamous Cell Carcinoma of the Gallbladder Masquerading as Complicated Cholecystitis: A Case Report and Review. Gastrointestinal Disorders. 2024; 6(3):796-800. https://doi.org/10.3390/gidisord6030055
Chicago/Turabian StyleBahrou, Najib, El Khalil Cherif, Salaheddine Abdennebi, Yahya Zain Al Abidine Khedid, Mohamed El Absi, El Mahjoub Echarrab, Mohamed Elounani, and El Alami El Faricha El Hassan. 2024. "Squamous Cell Carcinoma of the Gallbladder Masquerading as Complicated Cholecystitis: A Case Report and Review" Gastrointestinal Disorders 6, no. 3: 796-800. https://doi.org/10.3390/gidisord6030055
APA StyleBahrou, N., Cherif, E. K., Abdennebi, S., Khedid, Y. Z. A. A., El Absi, M., Echarrab, E. M., Elounani, M., & El Hassan, E. A. E. F. (2024). Squamous Cell Carcinoma of the Gallbladder Masquerading as Complicated Cholecystitis: A Case Report and Review. Gastrointestinal Disorders, 6(3), 796-800. https://doi.org/10.3390/gidisord6030055

