Effective Mixed-Type Tissue Crusher and Simultaneous Isolation of RNA, DNA, and Protein from Solid Tissues Using a TRIzol-Based Method
Abstract
1. Introduction
2. Materials and Methods
2.1. Cell Culture
2.2. Tissue Sampling
2.3. Tissue Disruption
2.4. Sample Processing
2.5. RNA Extraction
2.6. RNA Quantification and Integrity
2.7. Reverse Transcription
2.8. Primer Design
2.9. Quantitative Real-Time PCR
2.10. DNA Extraction and Quantification
2.11. Genotyping
2.12. Protein Extraction
2.13. Protein Analysis
2.14. Western Blot
2.15. Integrative Review
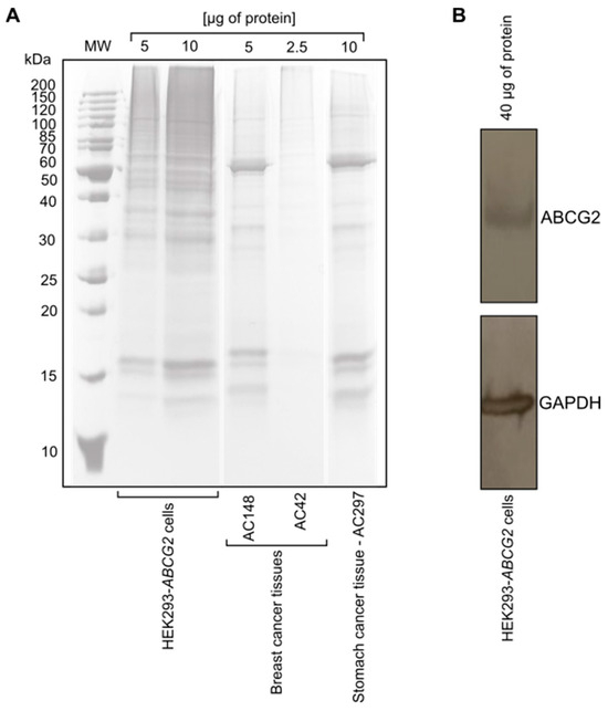
3. Results
4. Discussion
5. Conclusions
Supplementary Materials
Author Contributions
Funding
Institutional Review Board Statement
Informed Consent Statement
Data Availability Statement
Conflicts of Interest
References
- Sung, H.; Ferlay, J.; Siegel, R.L.; Laversanne, M.; Soerjomataram, I.; Jemal, A.; Bray, F. Global Cancer Statistics 2020: GLOBOCAN Estimates of Incidence and Mortality Worldwide for 36 Cancers in 185 Countries. CA A Cancer J. Clin. 2021, 71, 209–249. [Google Scholar] [CrossRef]
- Hanna, T.P.; King, W.D.; Thibodeau, S.; Jalink, M.; Paulin, G.A.; Harvey-Jones, E.; O’Sullivan, D.E.; Booth, C.M.; Sullivan, R.; Aggarwal, A. Mortality Due to Cancer Treatment Delay: Systematic Review and Meta-Analysis. BMJ 2020, 371, m4087. [Google Scholar] [CrossRef] [PubMed]
- Kamel, H.F.M.; Al-Amodi, H.S.A.B. Exploitation of Gene Expression and Cancer Biomarkers in Paving the Path to Era of Personalized Medicine. Genom. Proteom. Bioinform. 2017, 15, 220–235. [Google Scholar] [CrossRef]
- Henry, N.L.; Hayes, D.F. Cancer Biomarkers. Mol. Oncol. 2012, 6, 140–146. [Google Scholar] [CrossRef]
- Kalia, M. Biomarkers for Personalized Oncology: Recent Advances and Future Challenges. Metab. Clin. Exp. 2015, 64, S16–S21. [Google Scholar] [CrossRef] [PubMed]
- Robey, R.W.; Pluchino, K.M.; Hall, M.D.; Fojo, A.T.; Bates, S.E.; Gottesman, M.M. Revisiting the Role of ABC Transporters in Multidrug-Resistant Cancer. Nat. Rev. Cancer 2018, 18, 452–464. [Google Scholar] [CrossRef] [PubMed]
- Sajid, A.; Rahman, H.; Ambudkar, S.V. Advances in the Structure, Mechanism and Targeting of Chemoresistance-Linked ABC Transporters. Nat. Rev. Cancer 2023, 23, 762–779. [Google Scholar] [CrossRef] [PubMed]
- Alam, A.; Locher, K.P. Structure and Mechanism of Human ABC Transporters. Annu. Rev. Biophys. 2023, 52, 275–300. [Google Scholar] [CrossRef] [PubMed]
- Dean, M.; Allikmets, R. Complete Characterization of the Human ABC Gene Family. J. Bioenerg. Biomembr. 2001, 33, 475–479. [Google Scholar] [CrossRef] [PubMed]
- Zattoni, I.F.; Delabio, L.C.; de Paula Dutra, J.; Kita, D.H.; Scheiffer, G.; Hembecker, M.; da Silva Pereira, G.; Moure, V.R.; Valdameri, G. Targeting Breast Cancer Resistance Protein (BCRP/ABCG2): Functional Inhibitors and Expression Modulators. Eur. J. Med. Chem. 2022, 237, 114346. [Google Scholar] [CrossRef]
- Delou, J.M.A.; Souza, A.S.O.; Souza, L.C.M.; Borges, H.L. Highlights in Resistance Mechanism Pathways for Combination Therapy. Cells 2019, 8, 1013. [Google Scholar] [CrossRef]
- Wilson, T.; Johnston, P.; Longley, D. Anti-Apoptotic Mechanisms of Drug Resistance in Cancer. Curr. Cancer Drug Targets 2009, 9, 307–319. [Google Scholar] [CrossRef] [PubMed]
- Neophytou, C.M.; Trougakos, I.P.; Erin, N.; Papageorgis, P. Apoptosis Deregulation and the Development of Cancer Multi-Drug Resistance. Cancers 2021, 13, 4363. [Google Scholar] [CrossRef]
- Milner, A.; Palmer, D.; Hodgkin, E.; Eliopoulos, A.; Knox, P.; Poole, C.; Kerr, D.; Young, L. Induction of Apoptosis by Chemotherapeutic Drugs: The Role of FADD in Activation of Caspase-8 and Synergy with Death Receptor Ligands in Ovarian Carcinoma Cells. Cell Death Differ. 2002, 9, 287–300. [Google Scholar] [CrossRef] [PubMed]
- Mollaei, M.; Hassan, Z.M.; Khorshidi, F.; Langroudi, L. Chemotherapeutic Drugs: Cell Death- and Resistance-Related Signaling Pathways. Are They Really as Smart as the Tumor Cells? Transl. Oncol. 2021, 14, 101056. [Google Scholar] [CrossRef] [PubMed]
- An, X.; Sarmiento, C.; Tan, T.; Zhu, H. Regulation of Multidrug Resistance by microRNAs in Anti-Cancer Therapy. Acta Pharm. Sin. B 2017, 7, 38–51. [Google Scholar] [CrossRef] [PubMed]
- Gong, K.; Guo, G.; Gerber, D.E.; Gao, B.; Peyton, M.; Huang, C.; Minna, J.D.; Hatanpaa, K.J.; Kernstine, K.; Cai, L.; et al. TNF-Driven Adaptive Response Mediates Resistance to EGFR Inhibition in Lung Cancer. J. Clin. Investig. 2018, 128, 2500–2518. [Google Scholar] [CrossRef]
- Hwang, H.S.; Park, Y.-Y.; Shin, S.-J.; Go, H.; Park, J.-M.; Yoon, S.Y.; Lee, J.-L.; Cho, Y.M. Involvement of the TNF-α Pathway in TKI Resistance and Suggestion of TNFR1 as a Predictive Biomarker for TKI Responsiveness in Clear Cell Renal Cell Carcinoma. J. Korean Med. Sci. 2020, 35, e31. [Google Scholar] [CrossRef]
- Guo, J.; Yu, H. Tumor Necrosis Factor-α (TNF-α) and Its Receptor Gene Polymorphisms Association with the Susceptibility to Papillary Thyroid Cancer in Chinese Han Population. Int. J. Clin. Exp. Med. 2018, 11, 4967–4975. [Google Scholar]
- Narrandes, S.; Xu, W. Gene Expression Detection Assay for Cancer Clinical Use. J. Cancer 2018, 9, 2249–2265. [Google Scholar] [CrossRef]
- Verma, M. Personalized Medicine and Cancer. J. Pers. Med. 2012, 2, 1–14. [Google Scholar] [CrossRef] [PubMed]
- Nouvel, A.; Laget, J.; Duranton, F.; Leroy, J.; Desmetz, C.; Servais, M.-D.; de Préville, N.; Galtier, F.; Nocca, D.; Builles, N.; et al. Optimization of RNA Extraction Methods from Human Metabolic Tissue Samples of the COMET Biobank. Sci. Rep. 2021, 11, 20975. [Google Scholar] [CrossRef] [PubMed]
- Malone, E.R.; Oliva, M.; Sabatini, P.J.B.; Stockley, T.L.; Siu, L.L. Molecular Profiling for Precision Cancer Therapies. Genome Med. 2020, 12, 8. [Google Scholar] [CrossRef] [PubMed]
- Szczygieł, M.; Markiewicz, M.; Szafraniec, M.; Zuziak, R.; Urbańska, K.; Fiedor, L. Optimization of Western Blotting Analysis for the Isolation and Detection of Membrane Xenobiotic Transporter ABCG2. Acta Biochim. Pol. 2017, 64, 437–443. [Google Scholar] [CrossRef]
- Gillet, J.-P.; Gottesman, M.M. Advances in the Molecular Detection of ABC Transporters Involved in Multidrug Resistance in Cancer. Curr. Pharm. Biotechnol. 2011, 12, 686–692. [Google Scholar] [CrossRef]
- Sarhadi, V.K.; Armengol, G. Molecular Biomarkers in Cancer. Biomolecules 2022, 12, 1021. [Google Scholar] [CrossRef]
- Tavares, L.; Alves, P.M.; Ferreira, R.B.; Santos, C.N. Comparison of Different Methods for DNA-Free RNA Isolation from SK-N-MC Neuroblastoma. BMC Res. Notes 2011, 4, 3. [Google Scholar] [CrossRef]
- Chomzynski, P. Single-Step Method of RNA Isolation by Acid Guanidinium Thiocyanate–Phenol–Chloroform Extraction. Anal. Biochem. 1987, 162, 156–159. [Google Scholar] [CrossRef]
- Chomczynski, P. A Reagent for the Single-Step Simultaneous Isolation of RNA, DNA and Proteins from Cell and Tissue Samples. BioTechniques 1993, 15, 532–534, 536–537. [Google Scholar]
- Banerjee, S.; Smallwood, A.; Chambers, A.E.; Nicolaides, K. Quantitative Recovery of Immunoreactive Proteins from Clinical Samples Following RNA and DNA Isolation. BioTechniques 2003, 35, 450–456. [Google Scholar] [CrossRef] [PubMed]
- Likhite, N.; Warawdekar, U.M. A Unique Method for Isolation and Solubilization of Proteins after Extraction of RNA from Tumor Tissue Using Trizol. J. Biomol. Tech. JBT 2011, 22, 37–44. [Google Scholar] [PubMed]
- Pop, C.; Ameling, S.; Empen, K.; Rüdebusch, J.; Dhople, V.M.; Felix, S.B.; Loghin, F.; Völker, U.; Hammer, E. Proteome Analysis of Heart Biopsies Using a TRIzol-Based Protein Extraction. Clin. Chim. Acta 2015, 438, 246–247. [Google Scholar] [CrossRef]
- Braakman, R.B.H.; Bezstarosti, K.; Sieuwerts, A.M.; de Weerd, V.; van Galen, A.M.; Stingl, C.; Luider, T.M.; Timmermans, M.A.M.; Smid, M.; Martens, J.W.M.; et al. Integrative Analysis of Genomics and Proteomics Data on Clinical Breast Cancer Tissue Specimens Extracted with Acid Guanidinium Thiocyanate-Phenol-Chloroform. J. Proteome Res. 2015, 14, 1627–1636. [Google Scholar] [CrossRef] [PubMed]
- Hummon, A.B.; Lim, S.R.; Difilippantonio, M.J.; Ried, T. Isolation and Solubilization of Proteins after TRIzol Extraction of RNA and DNA from Patient Material Following Prolonged Storage. BioTechniques 2007, 42, 467–472. [Google Scholar] [CrossRef] [PubMed]
- Rolfs, F.; Piersma, S.R.; Dias, M.P.; Jonkers, J.; Jimenez, C.R. Feasibility of Phosphoproteomics on Leftover Samples After RNA Extraction With Guanidinium Thiocyanate. Mol. Cell Proteom. 2021, 20, 100078. [Google Scholar] [CrossRef]
- Simões, A.E.; Pereira, D.M.; Amaral, J.D.; Nunes, A.F.; Gomes, S.E.; Rodrigues, P.M.; Lo, A.C.; D’Hooge, R.; Steer, C.J.; Thibodeau, S.N.; et al. Efficient Recovery of Proteins from Multiple Source Samples after Trizol® or trizol®LS RNA Extraction and Long-Term Storage. BMC Genom. 2013, 14, 181. [Google Scholar] [CrossRef] [PubMed]
- Reddy, P.J.; Rao, A.A.; Malhotra, D.; Sharma, S.; Kumar, R.; Jain, R.; Pendharkar, N.; Rapole, S.; Srivastava, S. A Simple Protein Extraction Method for Proteomic Analysis of Diverse Biological Specimens. Curr. Proteom. 2013, 10, 298–311. [Google Scholar] [CrossRef]
- Sudha, R.; Kawachi, N.; Du, P.; Nieves, E.; Belbin, T.J.; Negassa, A.; Angeletti, R.H.; Prystowsky, M.B. Global Proteomic Analysis Distinguishes Biologic Differences in Head and Neck Squamous Carcinoma. Lab. Investig. 2007, 87, 755–766. [Google Scholar] [CrossRef] [PubMed]
- Lee, C.-H. A Simple Outline of Methods for Protein Isolation and Purification. Endocrinol. Metab. 2017, 32, 18. [Google Scholar] [CrossRef] [PubMed]
- Beck, M.; Schmidt, A.; Malmstroem, J.; Claassen, M.; Ori, A.; Szymborska, A.; Herzog, F.; Rinner, O.; Ellenberg, J.; Aebersold, R. The Quantitative Proteome of a Human Cell Line. Mol. Syst. Biol. 2011, 7, 549. [Google Scholar] [CrossRef]
- Chandramouli, K.; Qian, P.-Y. Proteomics: Challenges, Techniques and Possibilities to Overcome Biological Sample Complexity. Hum. Genom. Proteom. 2009, 2009, 239204. [Google Scholar] [CrossRef]
- Wen, Y.; Vechetti, I.J.; Valentino, T.R.; McCarthy, J.J. High-Yield Skeletal Muscle Protein Recovery from TRIzol after RNA and DNA Extraction. BioTechniques 2020, 69, 264–269. [Google Scholar] [CrossRef] [PubMed]
- Green, M.R.; Sambrook, J. A Single-Step Method for the Simultaneous Preparation of DNA, RNA, and Protein from Cells and Tissues. Cold Spring Harb. Protoc. 2018, 2018, pdb-prot4056. [Google Scholar] [CrossRef] [PubMed]
- Kopec, A.M.; Rivera, P.D.; Lacagnina, M.J.; Hanamsagar, R.; Bilbo, S.D. Optimized Solubilization of TRIzol-Precipitated Protein Permits Western Blotting Analysis to Maximize Data Available from Brain Tissue. J. Neurosci. Methods 2017, 280, 64–76. [Google Scholar] [CrossRef] [PubMed]
- Kravchenko, A.V.; Chetverina, E.V.; Chetverin, A.B. Preservation of Nucleic Acid Integrity in Guanidine Thiocyanate Lysates of Whole Blood. Russ. J. Bioorg. Chem. 2006, 32, 547–551. [Google Scholar] [CrossRef]
- Vauti, F.; Siess, W. Simple Method of RNA Isolation from Human Leucocytic Cell Lines. Nucleic Acids Res. 1993, 21, 4852–4853. [Google Scholar] [CrossRef] [PubMed][Green Version]
- Samadani, A.A.; Nikbakhsh, N.; Fattahi, S.; Pourbagher, R.; Mohsen, S.; Mir, A.; Kani, N.M.; Abedian, Z.; Akhavan-Niaki, H. RNA Extraction from Animal and Human’s Cancerous Tissues: Does Tissue Matter? Int. J. Mol. Cell Med. 2015, 4, 54–59. [Google Scholar] [PubMed]
- Pagani, S.; Maglio, M.; Sicuro, L.; Fini, M.; Giavaresi, G.; Brogini, S. RNA Extraction from Cartilage: Issues, Methods, Tips. Int. J. Mol. Sci. 2023, 24, 2120. [Google Scholar] [CrossRef]
- Peirson, S.N.; Butler, J.N. RNA Extraction From Mammalian Tissues. Methods Mol. Biol. 2007, 362, 315–327. [Google Scholar] [PubMed]
- Burden, D.W. Guide to the Disruption of Biological Samples—2012. Random Primers 2012, 12, 1–25. [Google Scholar]
- Atwood, J.A. Systems for Mechanical Sample Lysis and Homogenization for Molecular Biology Applications. In Sample Preparation Techniques for Soil, Plant, and Animal Samples; Micic, M., Ed.; Springer: New York, NY, USA, 2016; pp. 69–84. ISBN 978-1-4939-3185-9. [Google Scholar]
- Ilyin, S.E.; Plata-Salamán, C.R. An Efficient, Reliable and Inexpensive Device for the Rapid Homogenization of Multiple Tissue Samples by Centrifugation. J. Neurosci. Methods 2000, 95, 123–125. [Google Scholar] [CrossRef]
- Goldberg, S. Mechanical/Physical Methods of Cell Disruption and Tissue Homogenization. Methods Mol. Biol. 2008, 424, 3–22. [Google Scholar]
- Robey, R.W.; Honjo, Y.; Morisaki, K.; Nadjem, T.A.; Runge, S.; Risbood, M.; Poruchynsky, M.S.; Bates, S.E. Mutations at Amino-Acid 482 in the ABCG2 Gene Affect Substrate and Antagonist Specificity. Br. J. Cancer 2003, 89, 1971–1978. [Google Scholar] [CrossRef] [PubMed]
- Lagendijk, M.; Vos, E.L.; Ramlakhan, K.P.; Verhoef, C.; Koning, A.H.J.; van Lankeren, W.; Koppert, L.B. Breast and Tumour Volume Measurements in Breast Cancer Patients Using 3-D Automated Breast Volume Scanner Images. World J. Surg. 2018, 42, 2087–2093. [Google Scholar] [CrossRef]
- de Paula Dutra, J.; Scheiffer, G.; Kronenberger, T.; Gomes, L.J.C.; Zanzarini, I.; Santos, K.K.D.; Tonduru, A.K.; Poso, A.; de Moraes Rego, F.G.; Picheth, G.; et al. Structural and Molecular Characterization of Lopinavir and Ivermectin as Breast Cancer Resistance Protein (BCRP/ABCG2) Inhibitors. EXCLI J. 2023, 22, 1155–1172. [Google Scholar] [CrossRef]
- Lemma, S.; Avnet, S.; Salerno, M.; Chano, T.; Baldini, N. Identification and Validation of Housekeeping Genes for Gene Expression Analysis of Cancer Stem Cells. PLoS ONE 2016, 11, e0149481. [Google Scholar] [CrossRef] [PubMed]
- Saidova, A.A.; Potashnikova, D.M.; Tvorogova, A.V.; Maly, I.V.; Hofmann, W.A.; Vorobjev, I.A. Specific and Reliable Detection of Myosin 1C Isoform A by RTqPCR in Prostate Cancer Cells. PeerJ 2018, 6, e5970. [Google Scholar] [CrossRef] [PubMed]
- Lahiri, D.K.; Numberger, J.I. A Rapid Non-Enzymatic Method for the Preparation of HMW DNA from Blood for RFLP Studies. Nucleic Acids Res. 1991, 19, 5444. [Google Scholar] [CrossRef]
- Qiagen. Sample to Insight Application Note Effects of Low A 260/A 230 Ratios in RNA Preparations on Downstream Applications; Qiagen: Hilden, Germany, 2018. [Google Scholar]
- Hanahan, D. Hallmarks of Cancer: New Dimensions. Cancer Discov. 2022, 12, 31–46. [Google Scholar] [CrossRef] [PubMed]
- Hodson, R. Precision Medicine. Nature 2016, 537, S49. [Google Scholar] [CrossRef] [PubMed]
- Bustin, S.A.; Nolan, T. Pitfalls of Quantitative Real-Time Reverse-Transcription Polymerase Chain Reaction. J. Biomol. Tech. JBT 2004, 15, 155–166. [Google Scholar]
- Lehoux, E.A.; Fournier, P.A. Liquid N2 Bath for the Powdering of Tissue with a Mortar and Pestle. Anal. Biochem. 1999, 269, 213–214. [Google Scholar] [CrossRef] [PubMed]
- Chomczynski, P.; Sacchi, N. The Single-Step Method of RNA Isolation by Acid Guanidinium Thiocyanate-Phenol-Chloroform Extraction: Twenty-Something Years On. Nat. Protoc. 2006, 1, 581–585. [Google Scholar] [CrossRef] [PubMed]
- Bo, Y.Y.; Liang, L.D.; Hua, Y.J.; Zhao, Z.; Yao, M.S.; Shan, L.B.; Liang, C.Z. High-Purity DNA Extraction from Animal Tissue Using Picking in the TRIzol-Based Method. BioTechniques 2021, 70, 186–190. [Google Scholar] [CrossRef] [PubMed]
- Ali, N.; de Cássia Pontello Rampazzo, R.; Costa, A.D.T.; Krieger, M.A. Current Nucleic Acid Extraction Methods and Their Implications to Point-of-Care Diagnostics. BioMed Res. Int. 2017, 2017, 1–13. [Google Scholar] [CrossRef]
- Farrell, R., Jr. RNA Methodologies, 6th ed.; Elsevier: Amsterdam, The Netherlands, 2022. [Google Scholar]
- Lee, J.T.Y.; Cheung, K.M.C.; Leung, V.Y.L. Extraction of RNA from Tough Tissues with High Proteoglycan Content by Cryosection, Second Phase Separation and High Salt Precipitation. J. Biol. Methods 2015, 2, e20. [Google Scholar] [CrossRef]
- Lee, J.T.Y.; Tsang, W.H.; Chow, K.L. Simple Modifications to Standard TRIzol® Protocol Allow High-Yield RNA Extraction from Cells on Resorbable Materials. J. Biomater. Nanobiotechnol. 2011, 02, 41–48. [Google Scholar] [CrossRef]
- Theile, D.; Wizgall, P. Acquired ABC-Transporter Overexpression in Cancer Cells: Transcriptional Induction or Darwinian Selection? Naunyn-Schmiedeberg’s Arch. Pharmacol. 2021, 394, 1621–1632. [Google Scholar] [CrossRef]
- Xiao, H.; Zheng, Y.; Ma, L.; Tian, L.; Sun, Q. Clinically-Relevant ABC Transporter for Anti-Cancer Drug Resistance. Front. Pharmacol. 2021, 12, 648407. [Google Scholar] [CrossRef] [PubMed]
- Park, S.; Shimizu, C.; Shimoyama, T.; Takeda, M.; Ando, M.; Kohno, T.; Katsumata, N.; Kang, Y.-K.; Nishio, K.; Fujiwara, Y. Gene Expression Profiling of ATP-Binding Cassette (ABC) Transporters as a Predictor of the Pathologic Response to Neoadjuvant Chemotherapy in Breast Cancer Patients. Breast Cancer Res. Treat. 2006, 99, 9–17. [Google Scholar] [CrossRef]
- Ween, M.P.; Armstrong, M.A.; Oehler, M.K.; Ricciardelli, C. The Role of ABC Transporters in Ovarian Cancer Progression and Chemoresistance. Crit. Rev. Oncol./Hematol. 2015, 96, 220–256. [Google Scholar] [CrossRef] [PubMed]
- Marques, A.V.L.; Ruginsk, B.E.; Prado, L.D.O.; De Lima, D.E.; Daniel, I.W.; Moure, V.R.; Valdameri, G. The Association of ABC Proteins with Multidrug Resistance in Cancer. Biochim. Biophys. Acta (BBA)—Mol. Cell Res. 2025, 1872, 119878. [Google Scholar] [CrossRef]
- Sultan, M.; Amstislavskiy, V.; Risch, T.; Schuette, M.; Dökel, S.; Ralser, M.; Balzereit, D.; Lehrach, H.; Yaspo, M.-L. Influence of RNA Extraction Methods and Library Selection Schemes on RNA-Seq Data. BMC Genom. 2014, 15, 675. [Google Scholar] [CrossRef]
- Scholes, A.N.; Lewis, J.A. Comparison of RNA Isolation Methods on RNA-Seq: Implications for Differential Expression and Meta-Analyses. BMC Genom. 2020, 21, 249. [Google Scholar] [CrossRef]
- Lee, K.; Tripathi, A. Parallel DNA Extraction From Whole Blood for Rapid Sample Generation in Genetic Epidemiological Studies. Front. Genet. 2020, 11, 374. [Google Scholar] [CrossRef]
- Tsuji, Y. Transmembrane Protein Western Blotting: Impact of Sample Preparation on Detection of SLC11A2 (DMT1) and SLC40A1 (Ferroportin). PLoS ONE 2020, 15, e0235563. [Google Scholar] [CrossRef] [PubMed]
- Almén, M.S.; Nordström, K.J.; Fredriksson, R.; Schiöth, H.B. Mapping the Human Membrane Proteome: A Majority of the Human Membrane Proteins Can Be Classified According to Function and Evolutionary Origin. BMC Biol. 2009, 7, 50. [Google Scholar] [CrossRef] [PubMed]
- Overington, J.P.; Al-Lazikani, B.; Hopkins, A.L. How Many Drug Targets Are There? Nat. Rev. Drug Discov. 2006, 5, 993–996. [Google Scholar] [CrossRef] [PubMed]
- U.S. Department of Health and Human Services Food and Drug Administration; Center for Drug Evaluation and Research (CDER). In Vitro Drug Interaction Studies-Cytochrome P450 Enzyme-and Transporter-Mediated Drug Interactions Guidance for Industry; U.S. Department of Health and Human Services Food and Drug Administration: Washington, DC, USA, 2020.






| Gene | ID NCBI | Forward and Reverse Primer (5′–3′) | Length (pb) | Reference | 
|---|---|---|---|---|
| ABCA1 | NM_005502.4 | F-GGGCATTTCTAGTTATGGCATCT R-GCAAGGTACCATCTGAGGTCT | 104 | This work | 
| ABCB1 | NM_000927.4 | F-CCAGAAACAACGCATTGCCATA R-TTGGACAACCTTTTCACTTTCTGTA | 109 | This work | 
| ABCC1 | NM_004996.4 | F-CTGGACTGATGACCCCATCG R-ACGGCGATCCCTTGTGAAAT | 96 | This work | 
| ABCC2 | NM_000392.5 | F-ATGCACTCAATATCACACAAACCC R-CAGTTATTCGCTCAACAGCCA | 90 | This work | 
| ABCC10 | NM_033450.2 | F-ACAGATGCCAAGATCCTGTGT R-CTGTCTTGTTGGCAAAGCGT | 106 | This work | 
| ABCE1 | NM_001040876.1 | F-TGGTGATGCTGGGGGAAAAT R-AGAACTGGTACTTCTCCTCCTTC | 97 | This work | 
| ABCF2 | NM_007189.3 | F-GGGCGTTACCATCAGCATTT R-TCTCCTTGATCTCTGGGTAGCA | 91 | This work | 
| ABCG2 | NM_001257386.2 | F-ATGGTCTGTTGGTCAATCTCAC R-TTATGCTGCAAAGCCGTAAATCC | 97 | [56] | 
| YWHAZ * | NM_001135702.1 | F-GGGGGTGGTTGCGATACG R-GACTGGATGTTCTGACTTGAGAC | 103 | This work | 
| RPS13 * | NM_001017.3 | F-CGTCCCCACTTGGTTGAAGT R-TGAATCTCTCAGGATTACACCGA | 109 | [56] | 
| HPRT1 * | NM_000194.3 | F-CAGGGATTTGAATCATGTTTGTGT R-ACTCCAGATGTTTCCAAACTCAAC | 98 | [56] | 
| Sample | RNA | DNA | Protein | |||||||
|---|---|---|---|---|---|---|---|---|---|---|
| n | [µg/µL] | A260/280 | A260/230 | n | [ng/µL] | A260/280 | n | [µg/µL] | ||
| Cell Line | HEK293-ABCG2 | 4 | 0.92 ± 0.50 | 1.94 ± 0.06 | 1.31 ± 0.40 | 1 | 250 | 1.91 | 6 | 0.52 ± 0.24 | 
| Tissue | Breast cancer | 22 | 1.08 ± 1.55 | 1.79 ± 0.41 | 0.84 ± 0.40 | 22 | 273 ± 261 | 1.55 ± 0.35 | 22 | 0.41 ± 0.31 | 
| Healthy breast | 16 | 0.46 ± 0.39 | 1.90 ± 0.49 | 0.78 ± 0.39 | 16 | 214 ± 136 | 1.50 ± 0.45 | 16 | 0.52 ± 0.38 | |
| Stomach cancer | 2 | 1.56 ± 0.48 | 1.87 ± 0.20 | 0.97 ± 0.55 | 2 | 251 ± 55 | 1.80 ± 0.02 | 2 | 0.30 ± 0.42 | |
| Rectal cancer | 5 | 1.18 ± 1.05 | 2.00 ± 0.10 | 1.33 ± 0.34 | 5 | 244 ± 176 | 1.29 ± 0.44 | 5 | 0.41 ± 0.30 | |
| Colon cancer | 4 | 1.54 ± 0.88 | 1.82 ± 0.14 | 0.76 ± 0.29 | 4 | 207 ± 151 | 1.71 ± 0.31 | 4 | 0.67 ± 0.31 | |
| Healthy colon | 2 | 4.34 ± 5.46 | 1.95 ± 0.00 | 1.61 ± 0.08 | 2 | 160 ± 71 | 1.59 ± 0.29 | 2 | 0.44 ± 0.54 | |
| Disclaimer/Publisher’s Note: The statements, opinions and data contained in all publications are solely those of the individual author(s) and contributor(s) and not of MDPI and/or the editor(s). MDPI and/or the editor(s) disclaim responsibility for any injury to people or property resulting from any ideas, methods, instructions or products referred to in the content. | 
© 2025 by the authors. Licensee MDPI, Basel, Switzerland. This article is an open access article distributed under the terms and conditions of the Creative Commons Attribution (CC BY) license (https://creativecommons.org/licenses/by/4.0/).
Share and Cite
Santos, K.K.d.; Daniel, I.W.; Delabio, L.C.; Costa, M.A.d.; Dutra, J.d.P.; Ruginsk, B.E.; Nardin, J.M.; Campos, L.P.; Rego, F.G.d.M.; Picheth, G.; et al. Effective Mixed-Type Tissue Crusher and Simultaneous Isolation of RNA, DNA, and Protein from Solid Tissues Using a TRIzol-Based Method. J 2025, 8, 3. https://doi.org/10.3390/j8010003
Santos KKd, Daniel IW, Delabio LC, Costa MAd, Dutra JdP, Ruginsk BE, Nardin JM, Campos LP, Rego FGdM, Picheth G, et al. Effective Mixed-Type Tissue Crusher and Simultaneous Isolation of RNA, DNA, and Protein from Solid Tissues Using a TRIzol-Based Method. J. 2025; 8(1):3. https://doi.org/10.3390/j8010003
Chicago/Turabian StyleSantos, Kelly Karoline dos, Isabelle Watanabe Daniel, Letícia Carani Delabio, Manoella Abrão da Costa, Júlia de Paula Dutra, Bruna Estelita Ruginsk, Jeanine Marie Nardin, Louryana Padilha Campos, Fabiane Gomes de Moraes Rego, Geraldo Picheth, and et al. 2025. "Effective Mixed-Type Tissue Crusher and Simultaneous Isolation of RNA, DNA, and Protein from Solid Tissues Using a TRIzol-Based Method" J 8, no. 1: 3. https://doi.org/10.3390/j8010003
APA StyleSantos, K. K. d., Daniel, I. W., Delabio, L. C., Costa, M. A. d., Dutra, J. d. P., Ruginsk, B. E., Nardin, J. M., Campos, L. P., Rego, F. G. d. M., Picheth, G., Valdameri, G., & Moure, V. R. (2025). Effective Mixed-Type Tissue Crusher and Simultaneous Isolation of RNA, DNA, and Protein from Solid Tissues Using a TRIzol-Based Method. J, 8(1), 3. https://doi.org/10.3390/j8010003
 
        



 
       