Extraovarian Brenner Tumor in the Vagina: A Case Report and Review of Literature
Abstract
1. Introduction and Clinical Significance
2. Case Presentation
2.1. Treatment
2.2. Histopathological and Immunohistochemical Findings
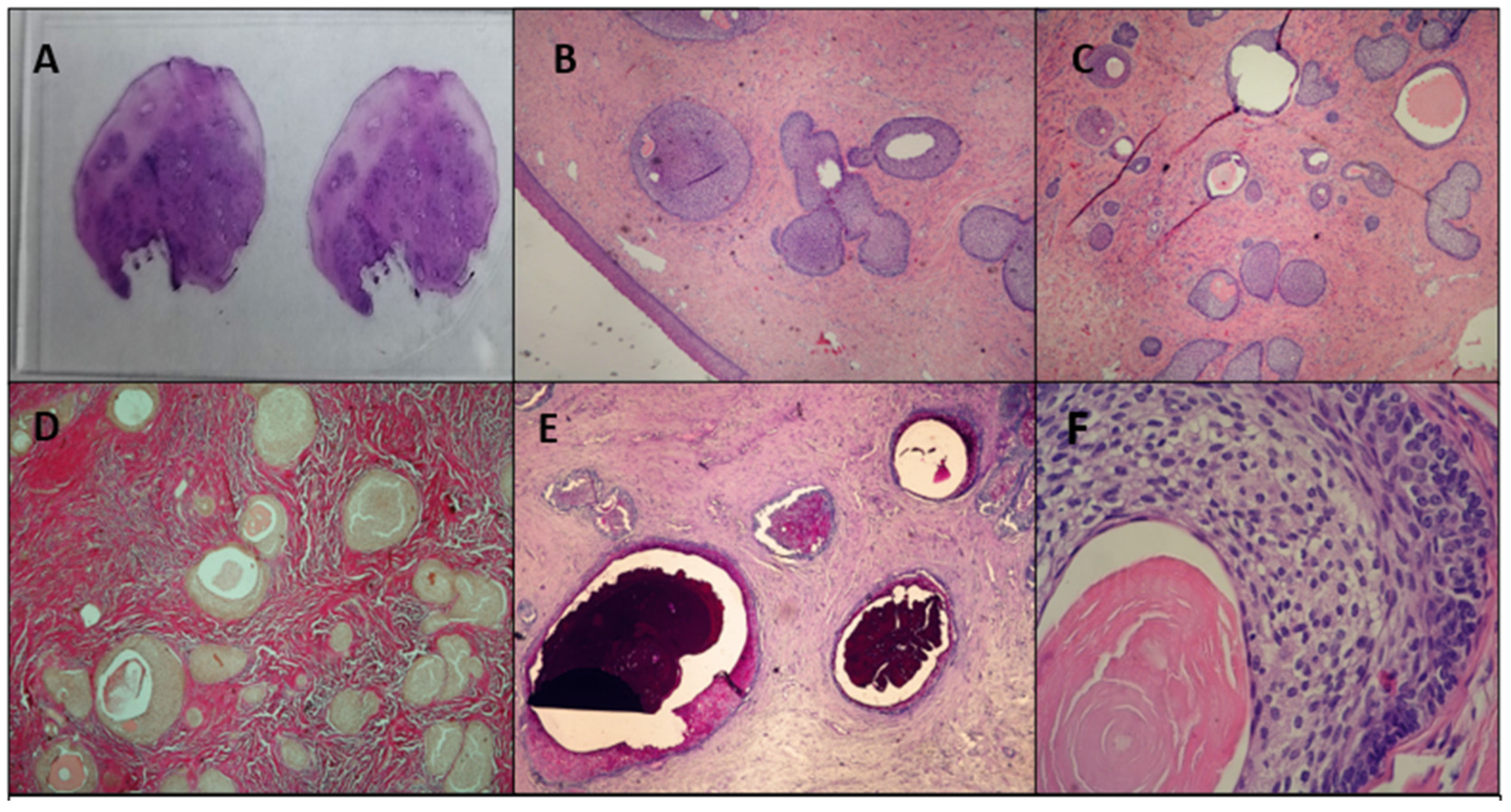
2.2.1. Macroscopic Description
2.2.2. Microscopic Description
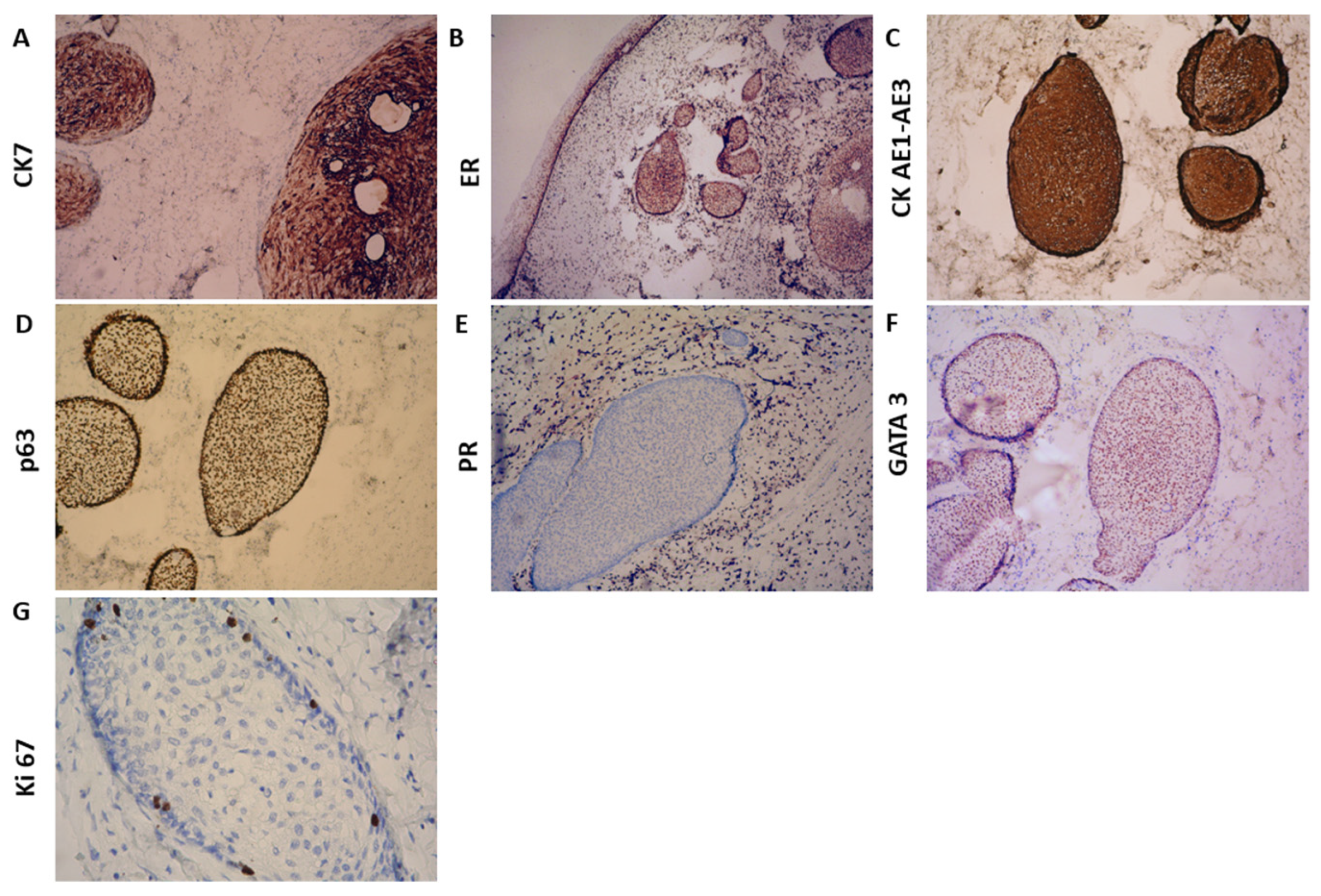
2.2.3. Immunohistochemistry
2.2.4. Follow-Up
3. Discussion
4. Conclusions
Author Contributions
Funding
Institutional Review Board Statement
Informed Consent Statement
Data Availability Statement
Conflicts of Interest
References
- Brenner, F. Ds oophoroma folliculare. Frankf. Z. Pathol. 1907, 1, 150–171. [Google Scholar]
- Hu, R.-Y.; Deng, Y.-J.; Zhu, H.-H.; Zhou, J.; Hu, M.; Liang, X.-Q.; Xiao, Q.-J.; Zhou, L.; Peng, X.-Y.; Zhang, X.-W.; et al. Extraovarian Brenner tumor in the uterus: A case report and review of literature. Diagn. Pathol. 2020, 15, 22. [Google Scholar] [CrossRef] [PubMed] [PubMed Central]
- Robinson, T.G. Extra-ovarian brenner tumour. J. Obstet. Gynaecol. Br. Emp. 1950, 57, 890–891. [Google Scholar] [CrossRef] [PubMed]
- Arhelger, R.B.; Bocian, J.J. Brenner tumor of the uterus. Cancer 1976, 38, 1741–1743. [Google Scholar] [CrossRef] [PubMed]
- Wagner, I.; Bettendorf, U. Extraovarian brenner tumor. Case report and review. Arch. Gynecol. Obstet. 1980, 229, 191–196. [Google Scholar] [CrossRef]
- Chen, K.T. Brenner tumor of the vagina. Diagn. Gynecol. Obstet. 1981, 3, 255–258. [Google Scholar] [PubMed]
- Pschera, H.; Wikström, B. Extraovarian Brenner Tumor Coexisting with Serous Cystadenoma. Case report. Gynecol. Obstet. Investig. 1991, 31, 185–187. [Google Scholar] [CrossRef] [PubMed]
- Hampton, H.L.; Huffman, H.T.; Meeks, G.R. Extraovarian Brenner tumor. Obstet Gynecol. 1992, 79 Pt 2, 844–846. [Google Scholar] [PubMed]
- Rashid, A.M.; Fox, H. Brenner tumour of the vagina. J. Clin. Pathol. 1995, 48, 678–679. [Google Scholar] [CrossRef] [PubMed]
- Ben-Izhak, O.; Munichor, M.; Malkin, L.; Kerner, H. Brenner Tumor of the Vagina. Int. J. Gynecol. Pathol. 1998, 17, 79–82. [Google Scholar] [CrossRef] [PubMed]
- Angeles-Angeles, A.; Gutiérrez-Villalobos, L.I.; Lome-Maldonado, C.; Jiménez-Moreno, A. Polypoid Brenner Tumor of the Uterus. Int. J. Gynecol. Pathol. 2002, 21, 86–87. [Google Scholar] [CrossRef] [PubMed]
- Shaco-Levy, R.; Benharroch, D. Vaginal Brenner Tumor. Int. J. Gynecol. Pathol. 2013, 32, 238–241. [Google Scholar] [CrossRef] [PubMed]
- Hwang, C.S.; Lee, C.H.; Lee, S.J.; Kim, Y.G.; Kim, A.; Park, D.Y.; Kang, H.J.; Shin, D.H. A peculiar case report of extraovarian Brenner tumor arising in the omentum. World J. Surg. Oncol. 2017, 15, 72. [Google Scholar] [CrossRef] [PubMed]
- Park, S.; Cho, M.S. Vaginal Brenner tumor with literature review: Does this tumour originate from Walthard nests? Malays. J. Pathol. 2017, 39, 89–93. [Google Scholar] [PubMed]
- Zhang, Q.; Tian, C.; Wang, K.; Xin, Q.; Shen, Y.; Zhang, C.-S.; Ma, Z. A case of a vaginal Brenner tumor without a gland mimicking a borderline tumor: Unusual morphology and diagnostic pitfalls. J. Int. Med. Res. 2020, 48, 1–7. [Google Scholar] [CrossRef] [PubMed]
- Chekanov, M.N.; Kuz’min, I.V.; Bulycheva, I.V.; Nobles, E.; Izupova, N.; Rutkovskiĭ, E.A.; Iakushenko, V.K. Ekstraovarial’naia zlo-kachestvennaia opukhol’ Brennera [Extraovarian malignant Brenner tumor]. Arkhiv Patol. 2004, 66, 45–49. (In Russian) [Google Scholar] [PubMed]



| № | Age | Location | Tumor Size | Finding | Treatment | IHC (+) | IHC (−) | Follow-Up |
|---|---|---|---|---|---|---|---|---|
| Robinson et al. [3] | 64 | Left broad ligament | n.a. | Incidental | Total hysterectomy | n.a. | n.a. | n.a. |
| Arhelger et al. [4] | 55 | Uterine corpus | 1.3 cm | Incidental | Vaginal hysterectomy | n.a. | n.a. | n.a. |
| Wagner et al. [5] | 53 | Left broad ligament | n.a. | Incidental | Total hysterectomy | n.a. | n.a. | n.a. |
| Chen et al. [6] | 67 | Vagina, mid third | n.a. | Incidental | n.a. | n.a. | n.a. | n.a. |
| Pschera et al. [7] | 30 | Right broad ligament | n.a. | Incidental | n.a. | n.a. | n.a. | n.a. |
| Hampton et al. [8] | 64 | Right broad ligament | n.a. | Procidentia | n.a. | n.a. | n.a. | n.a. |
| Rashid et al. [9] | 77 | Vagina, not specified | 2 × 1.8 cm | Irritation and soreness | Excision | n.a. | n.a. | 18 months-no recurrence |
| Ben-Izhak et al. [10] | 68 | Vagina, upper third | 0.5 cm | Incidental | Hysterectomy | n.a. | n.a. | n.a. |
| Ben-Izhak et al. [10] | 72 | Vagina, mid third | 1.2 cm | Vaginal bleeding | n.a. | n.a. | n.a. | n.a. |
| Angeles-Angeles et al. [11] | 63 | Uterus cavity | n.a. | Postmenopausal uterus bleeding | n.a. | n.a. | n.a. | n.a. |
| Shaco-Levy et al. [12] | 84 | Vagina, lower third | 1.8 cm | Vulvar irritation and soreness | n.a. | n.a. | n.a. | n.a. |
| Hwang et al. [13] | 43 | Omentum | 9 cm | Incidental | Excision | CK-PAN; | CD34; CD10, CK20; calretinin, c-KIT; DOG-1; PAX-8 | 17 months-no recurrence |
| P63; WT-1; | ||||||||
| CK7; GATA-3; | ||||||||
| UPK3 | ||||||||
| Park et al. [14] | 76 | Vagina, not specified | 2.5 cm | Incidental | n.a. | GATA-3; | PAX8 | n.a. |
| p63; ER | ||||||||
| Rui-Yue Hu et al. [2] | 53 | Uterine corpus | 5.8 × 5.7 × 4.6 cm | Incidental | Excision | CK5/6; GATA-3 34βE12; P63; | PAX8; p53; | 2 months-no recurrence |
| ER; PR; | p16 | |||||||
| cyclinD1 | ||||||||
| Zhang et al. [15] | 64 | Vagina, lower third | 1.5 × 1.5 × 0.5 cm | History of 9 years vaginal mass, no complain | Excision | GATA-3; | CK-20; PSA; p16; PAX-8 | 3 months-no recurrence |
| P63; ER; PR; Vimentin | ||||||||
| Present case | 71 | Vagina, upper third | 2.5 × 2 cm | Incidental | Excision | Ki-67; CK 7; p63; CK AE1/AE3; ER; GATA3 | PR; CK20; p53, WT-1; PSAP | 2 months-no recurrence |
Disclaimer/Publisher’s Note: The statements, opinions and data contained in all publications are solely those of the individual author(s) and contributor(s) and not of MDPI and/or the editor(s). MDPI and/or the editor(s) disclaim responsibility for any injury to people or property resulting from any ideas, methods, instructions or products referred to in the content. |
© 2025 by the authors. Licensee MDPI, Basel, Switzerland. This article is an open access article distributed under the terms and conditions of the Creative Commons Attribution (CC BY) license (https://creativecommons.org/licenses/by/4.0/).
Share and Cite
Yordanov, A.; Karaivanov, M.; Kostov, S.; Savova, V.; Dimitrova, V. Extraovarian Brenner Tumor in the Vagina: A Case Report and Review of Literature. Reports 2025, 8, 103. https://doi.org/10.3390/reports8030103
Yordanov A, Karaivanov M, Kostov S, Savova V, Dimitrova V. Extraovarian Brenner Tumor in the Vagina: A Case Report and Review of Literature. Reports. 2025; 8(3):103. https://doi.org/10.3390/reports8030103
Chicago/Turabian StyleYordanov, Angel, Milen Karaivanov, Stoyan Kostov, Vanya Savova, and Vasilena Dimitrova. 2025. "Extraovarian Brenner Tumor in the Vagina: A Case Report and Review of Literature" Reports 8, no. 3: 103. https://doi.org/10.3390/reports8030103
APA StyleYordanov, A., Karaivanov, M., Kostov, S., Savova, V., & Dimitrova, V. (2025). Extraovarian Brenner Tumor in the Vagina: A Case Report and Review of Literature. Reports, 8(3), 103. https://doi.org/10.3390/reports8030103

