Cardiomyopathy in Non-Ambulatory Patients with Duchenne Muscular Dystrophy: Two Case Reports with Varying Outcomes, Considering Novel Treatments
Abstract
1. Introduction and Clinical Significance
2.Case Presentation
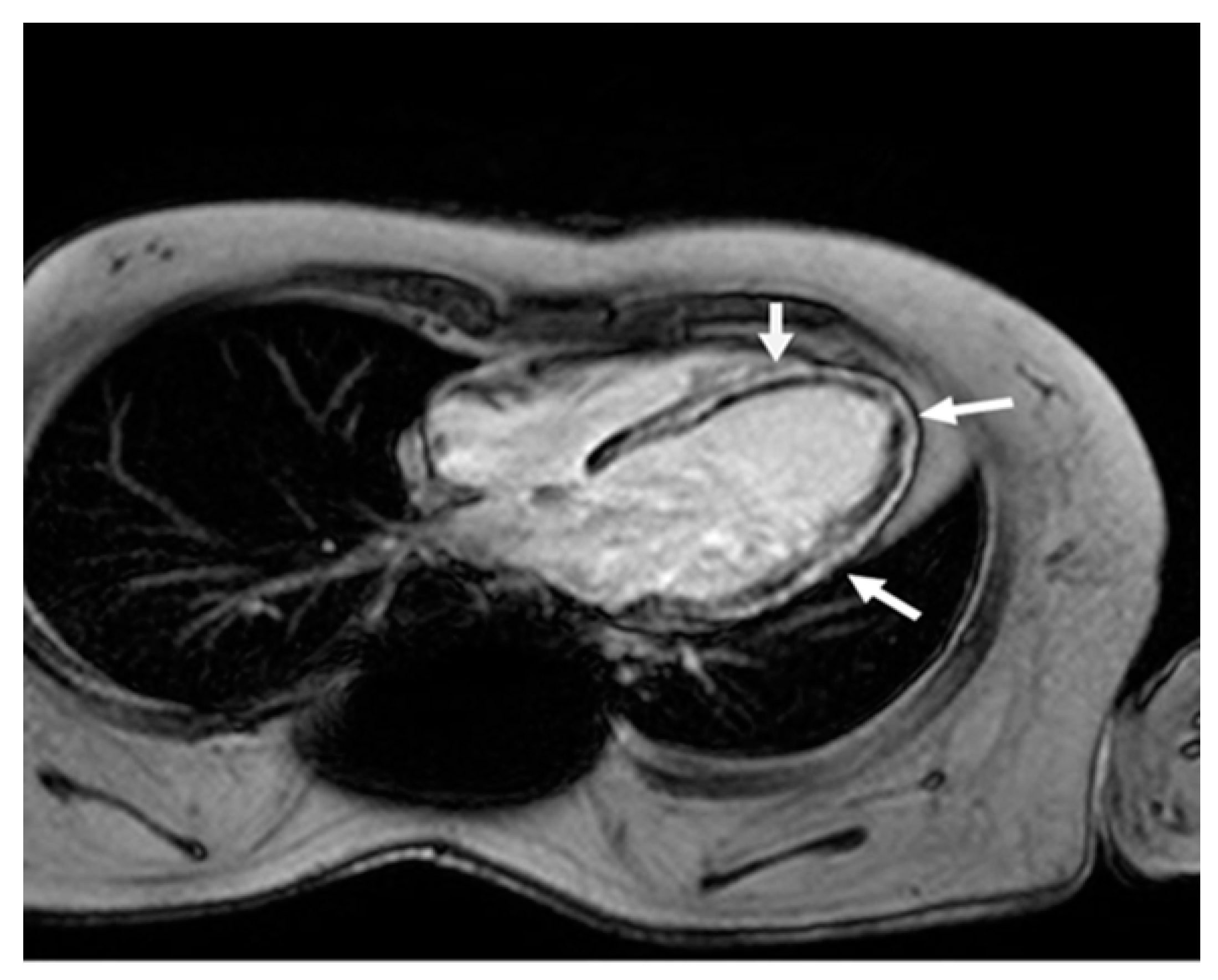
2. Case Report N° 1
2.2 Case Report N° 2
3. Discussion
Study Limitations
4. Conclusions
Author Contributions
Funding
Institutional Review Board Statement
Informed Consent Statement
Data Availability Statement
Conflicts of Interest
References
- Timpani, C.A.; Hayes, A.; Rybalka, E. Revisiting the dystrophin-ATP connection: How half-century of research still implicates mitochondrial dysfunction in Duchenne Muscular Dystrophy aetiology. Med. Hypotheses 2015, 85, 1021–1033. [Google Scholar] [CrossRef]
- Cohn, R.D.; Campbell, K.P. Molecular basis of muscular dystrophies. Muscle Nerve 2000, 23, 1456–1471. [Google Scholar] [CrossRef]
- Kieny, P.; Chollet, S.; Delalande, P.; Le Fort, M.; Magot, A.; Pereon, Y.; Verbe, B.P. Evolution of life expectancy of patients with Duchenne muscular dystrophy at AFM Yolaine de Kepper centre between 1981 and 2011. Ann. Phys. Rehabil. Med. 2013, 56, 443–454. [Google Scholar] [CrossRef]
- Fayssoil, A.; Nardi, O.; Orlikowski, D.; Annane, D. Cardiomyopathy in Duchenne muscular dystrophy: Pathogenesis and therapeutics. Heart Fail. Rev. 2010, 15, 103–107. [Google Scholar] [CrossRef]
- Mavrogeni, S.; Markousis-Mavrogenis, G.; Papavasiliou, A.; Kolovou, G. Cardiac involvement in Duchenne and Becker muscular dystrophy. World J. Cardiol. 2015, 26, 410–414. [Google Scholar] [CrossRef] [PubMed]
- Norre, T.; Grimm, D.; Simonsen, U. Sacubitril/valsartan, sodium-glucose cotransporter 2 inhibitors and vericiguat for congestive heart failure therapy. Basic. Clin. Pharmacol. Toxicol. 2022, 130, 425–438. [Google Scholar] [CrossRef] [PubMed]
- Silva, M.C.; Magalhães, T.A.; Meira, Z.M.; Rassi, C.H.; Andrade, A.C.; Gutierrez, P.S.; Azevedo, C.F.; Gurgel-Giannetti, J.; Vainzof, M.; Zatz, M.; et al. Myocardial Fibrosis Progression in Duchenne and Becker Muscular Dystrophy: A Randomized Clinical Trial. JAMA Cardiol. 2017, 2, 190–199. [Google Scholar] [CrossRef] [PubMed]
- Ogata, H.; Ishikawa, Y.; Ishikawa, Y.; Minami, R. Beneficial effects of beta-blockers and angiotensin-converting enzyme inhibitors in Duchenne muscular dystrophy. J. Cardiol. 2009, 53, 72–78. [Google Scholar] [CrossRef] [PubMed]
- Schultz, T.I.; Raucci, F.J., Jr.; Salloum, F.N. Cardiovascular Disease in Duchenne Muscular Dystrophy: Overview and Insight Into Novel Therapeutic Targets. JACC Basic. Transl. Sci. 2022, 7, 608–625. [Google Scholar] [CrossRef]
- Nigro, G.; Politano, L.; Nigro, V.; Petretta, V.R.; Comi, L.I. Mutation of dystrophin gene and cardiomyopathy. Neuromuscul. Disord. 1994, 4, 371–379. [Google Scholar] [CrossRef]
- Landfeldt, E.; Alemán, A.; Abner, S.; Zhang, R.; Werner, C.; Tomazos, I.; Lochmüller, H.; Quinlivan, R.M.; Wahbi, K. Predictors of cardiac disease in Duchenne muscular dystrophy: A systematic review and evidence grading. Orphanet J. Rare Dis. 2024, 19, 359. [Google Scholar] [CrossRef] [PubMed]
- Fayssoil, A.; Ritzenthaler, T.; Luis, D.; Hullin, T.; Clair, B.; Annane, D.; Orlikowski, D. Be careful about abdominal discomfort in adult patients with muscular dystrophy. Rev. Neurol. 2014, 170, 548–550. [Google Scholar] [CrossRef] [PubMed]
- Birnkrant, D.J.; Bushby, K.; Bann, C.M.; Alman, B.A.; Apkon, S.D.; Blackwell, A.; Case, L.E.; Cripe, L.; Hadjiyannakis, S.; Olson, A.K.; et al. Diagnosis and management of Duchenne muscular dystrophy, part 2: Respiratory, cardiac, bone health, and orthopaedic management. Lancet Neurol. 2018, 17, 347–361. [Google Scholar] [CrossRef]
- Soslow, J.H.; Xu, M.; Slaughter, J.C.; Stanley, M.; Crum, K.; Markham, L.W.; Parra, D.-A. Evaluation of Echocardiographic Measures of Left Ventricular Function in Patients with Duchenne Muscular Dystrophy: Assessment of Reproducibility and Comparison to Cardiac Magnetic Resonance Imaging. J. Am. Soc. Echocardiogr. 2016, 29, 983–991. [Google Scholar] [CrossRef]
- Meier, C.; Eisenblätter, M.; Gielen, S. Myocardial Late Gadolinium Enhancement (LGE) in Cardiac Magnetic Resonance Imaging (CMR)-An Important Risk Marker for Cardiac Disease. J. Cardiovasc. Dev. Dis. 2024, 11, 40. [Google Scholar] [CrossRef]
- Heidenreich, P.A.; Bozkurt, B.; Aguilar, D.; Allen, L.A.; Byun, J.J.; Colvin, M.M.; Deswal, A.; Drazner, M.H.; Dunlay, S.M.; Evers, L.R.; et al. 2022 AHA/ACC/HFSA Guideline for the Management of Heart Failure: A Report of the American College of Cardiology/American Heart Association Joint Committee on Clinical Practice Guidelines. Circulation 2022, 145, e895–e1032. [Google Scholar] [CrossRef] [PubMed]
- Spurney, C.F.; Sali, A.; Guerron, A.D.; Iantorno, M.; Yu, Q.; Gordish-Dressman, H.; Rayavarapu, S.; van der Meulen, J.; Hoffman, E.P.; Nagaraju, K. Losartan decreases cardiac muscle fibrosis and improves cardiac function in dystrophin-deficient mdx mice. J. Cardiovasc. Pharmacol. Ther. 2011, 16, 87–95. [Google Scholar] [CrossRef] [PubMed]
- Duboc, D.; Meune, C.; Pierre, B.; Wahbi, K.; Eymard, B.; Toutain, A.; Berard, C.; Vaksmann, G.; Weber, S.; Bécane, H.M. Perindopril preventive treatment on mortality in Duchenne muscular dystrophy: 10 years’ follow up. Am. Heart J. 2007, 154, 596–602. [Google Scholar] [CrossRef] [PubMed]
- Raman, S.V.; Hor, K.N.; Mazur, W.; Halnon, N.J.; Kissel, J.T.; He, X.; Tran, T.; Smart, S.; McCarthy, B.; Taylor, M.D.; et al. Eplerenone for early cardiomyopathy in Duchenne muscular dystrophy: A randomised, double-blind, placebo-controlled trial. Lancet Neurol. 2015, 14, 153–161. [Google Scholar] [CrossRef]
- Wang, M.; Birnkrant, D.J.; Super, D.M.; Jacobs, I.B.; Bahler, R.C. Progressive left ventricular dysfunction and long-term outcomes in patients with Duchenne muscular dystrophy receiving cardiopulmonary therapies. Open Heart 2018, 5, e000783. [Google Scholar] [CrossRef] [PubMed]
- Zannad, F.; Ferreira, J.P.; Pocock, S.J.; Anker, S.D.; Butler, J.; Filippatos, G.; Brueckmann, M.; Ofstad, A.P.; Pfarr, E.; Jamal, W.; et al. SGLT2 inhibitors in patients with heart failure with reduced ejection fraction: A meta-analysis of the EMPEROR-Reduced and DAPA- HF trials. Lancet 2020, 396, 819–829. [Google Scholar] [CrossRef] [PubMed]
- Lamendola, P.; Lanza, G.A.; Melita, V.; Villano, A.; Palermo, C.; Leone, D.; Lombardo, A.; Pennestrì, F.; Crea, F.; Mercuri, E.M.; et al. Duchenne muscular dystrophy: Preliminary experience with sacubitril-valsartan in patients with asymptomatic left ventricular dysfunction. Eur. Rev. Med. Pharmacol. Sci. 2020, 24, 9112–9115. [Google Scholar] [CrossRef] [PubMed]
- Cheeran, D.; Khan, S.; Khera, R.; Bhatt, A.; Garg, S.; Grodin, J.L.; Morlend, R.; Araj, F.G.; Amin, A.A.; Thibodeau, J.T.; et al. Predictors of Death in Adults With Duchenne Muscular Dystrophy-Associated Cardiomyopathy. J. Am. Heart Assoc. 2017, 6, e006340. [Google Scholar] [CrossRef] [PubMed]
- Hiermeier, U.M.; Baker, C.; Bourke, J.P. Exploring the acceptability of implantable defibrillators in patients with cardiac dystrophinopathy and carers. Open Heart 2020, 7, e001230. [Google Scholar] [CrossRef] [PubMed]
- Nozaki, F.; Kusunoki, T.; Kumada, T.; Shibata, M.; Fujii, T. Risk Factors for Cerebral Infarction in Duchenne Muscular Dystrophy: Review with our 2 Cases. J. Stroke Cerebrovasc. Dis. 2019, 28, 2453–2458. [Google Scholar] [CrossRef] [PubMed]
- Barp, A.; Bello, L.; Politano, L.; Melacini, P.; Calore, C.; Polo, A.; Vianello, S.; Sorarù, G.; Semplicini, C.; Pantic, B. Genetic Modifiers of Duchenne Muscular Dystrophy and Dilated Cardiomyopathy. PLoS ONE 2015, 29, e0141240. [Google Scholar] [CrossRef]
- Fayssoil, A.; Ogna, A.; Chaffaut, C.; Lamothe, L.; Ambrosi, X.; Nardi, O.; Prigent, H.; Clair, B.; Lofaso, F.; Chevret, S.; et al. Natural history of cardiac function in Duchenne and Becker muscular dystrophies on home mechanical ventilation. Medicine 2018, 97, e11381. [Google Scholar] [CrossRef]



| Case 1 | |
| Age at diagnosis of DMD (biopsy) | 2 years |
| Genotype | Deletion 45–49 |
| Age at loss of deambulation (LOD) | 9 years |
| Corticosteroids usage | No |
| FVC (% predicted) | 40 |
| NIV initiation | 19 years |
| NIV status | Nocturnal |
| BMI (kg/m2) | 16.6 |
| Scoliosis | Untreated |
| Age at diagnosis of cardiopathy (EF < 55%) | 18 years |
| Age of admission to our center (2022) | 24 years |
| ECG | Sinusal rhythm and tall R waves in the right precordial leads |
| LVEF (%) | 35–38 |
| CMR | Extensive fibrosis |
| NT-proBNP (pg/mL) | 267 |
| Drugs in use before admission to our centre | Beta-blockers, ivabradine, anti-aldosteronics. |
| Drugs after admission to our centre | Dapaglifozin, furosemide |
| ICD implantation | Unsuccessful (prophylactic placement) |
| Age at CHF | 25 years |
| ECG | Frequent premature ventricular beats of two morphologies |
| LVEF (%) | 20 |
| Symptoms/signs of CHF | Abdominal floating and gas, vomiting, anxiety, painful oliguria. Oxygen desaturation treated by NIV |
| Additional drugs for CHF | Increased furosemide |
| NT-proBNP pg/mL | 5924 |
| NT-proBNP at the last observation (pg/mL) | 5570 |
| LVEF at the last observation (%) | Less than 20 |
| Neurological complications | Multiple strokes |
| Outcome | Death |
| Case 2 | |
| Age at diagnosis (biopsy) | 4 years |
| Genotype | Deletion 44–55 |
| Age at loss of deambulation (LOD) | 8 years |
| Corticosteroids usage | Yes, before LOD |
| FVC (% predicted) | 20% |
| NIV initiation | 20 years |
| Current NIV status | 22/24 h |
| BMI (kg/m2) | 23.2 |
| Scoliosis | Spinal fusion surgery |
| Age at diagnosis of cardiopathy (EF < 55%) | 20 years |
| Age at admission to our center (2007) | 20 years |
| ECG | Sinusal rhythm, nonsustained ventricular tachycardia |
| LVEF (%) | 50% |
| CRM | Severe fibrosis |
| NT-proBNP (pg/mL) | 48 |
| Drugs in use before admission to our center | None |
| Drugs after admission to our centre | ACE-i, beta-blocker, anti-aldosteronics, dapaglifozin |
| ICD implantation | Successful (prophylactic placement) |
| Age at CHF | 36 years |
| ECG | Paroxymal atrial fibrillation |
| LVEF (%) | 20% |
| Symptoms/signs of CHF | Abdominal pain, bloating, anxiety, oliguria |
| Additional drugs for CHF | Dopamine, furosemide |
| NT-proBNP (pg/mL) | 5877 |
| Drugs at discharge | ACE-I (sacubitril/valsartan) beta-blocker, anti-aldosteronics, dapaglifozin, furosemide, vericiguat |
| NT-proBNP at the last observation (pg/mL) | 465 |
| LVEF at the last observation (%) | 33% |
| Neurological complications | None |
| Outcome | Alive (more than 8 months from acute (CHF) |
Disclaimer/Publisher’s Note: The statements, opinions and data contained in all publications are solely those of the individual author(s) and contributor(s) and not of MDPI and/or the editor(s). MDPI and/or the editor(s) disclaim responsibility for any injury to people or property resulting from any ideas, methods, instructions or products referred to in the content. |
© 2024 by the authors. Licensee MDPI, Basel, Switzerland. This article is an open access article distributed under the terms and conditions of the Creative Commons Attribution (CC BY) license (https://creativecommons.org/licenses/by/4.0/).
Share and Cite
Marcì, M.; Vaccaro, P.; Polizzi, V.; Crescimanno, G. Cardiomyopathy in Non-Ambulatory Patients with Duchenne Muscular Dystrophy: Two Case Reports with Varying Outcomes, Considering Novel Treatments. Reports 2025, 8, 2. https://doi.org/10.3390/reports8010002
Marcì M, Vaccaro P, Polizzi V, Crescimanno G. Cardiomyopathy in Non-Ambulatory Patients with Duchenne Muscular Dystrophy: Two Case Reports with Varying Outcomes, Considering Novel Treatments. Reports. 2025; 8(1):2. https://doi.org/10.3390/reports8010002
Chicago/Turabian StyleMarcì, Marcello, Paola Vaccaro, Vincenzo Polizzi, and Grazia Crescimanno. 2025. "Cardiomyopathy in Non-Ambulatory Patients with Duchenne Muscular Dystrophy: Two Case Reports with Varying Outcomes, Considering Novel Treatments" Reports 8, no. 1: 2. https://doi.org/10.3390/reports8010002
APA StyleMarcì, M., Vaccaro, P., Polizzi, V., & Crescimanno, G. (2025). Cardiomyopathy in Non-Ambulatory Patients with Duchenne Muscular Dystrophy: Two Case Reports with Varying Outcomes, Considering Novel Treatments. Reports, 8(1), 2. https://doi.org/10.3390/reports8010002
