Off-Label Use of Ceftolozane/Tazobactam for the Successful Treatment of Healthcare-Associated Meningitis Caused by Extensively Drug-Resistant Pseudomonas aeruginosa in a Polytraumatized Patient—A Case Report
Abstract
:1. Introduction
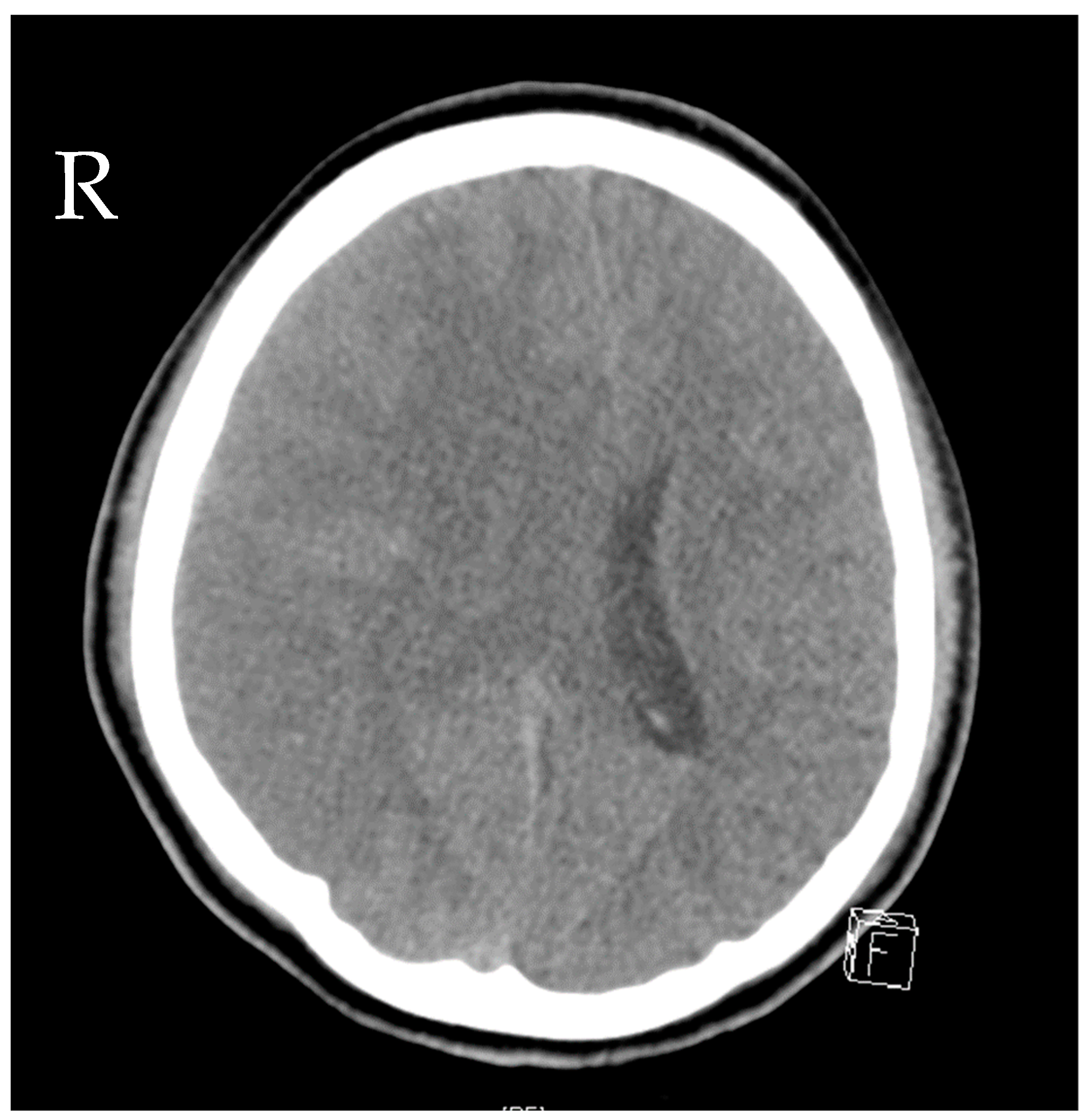
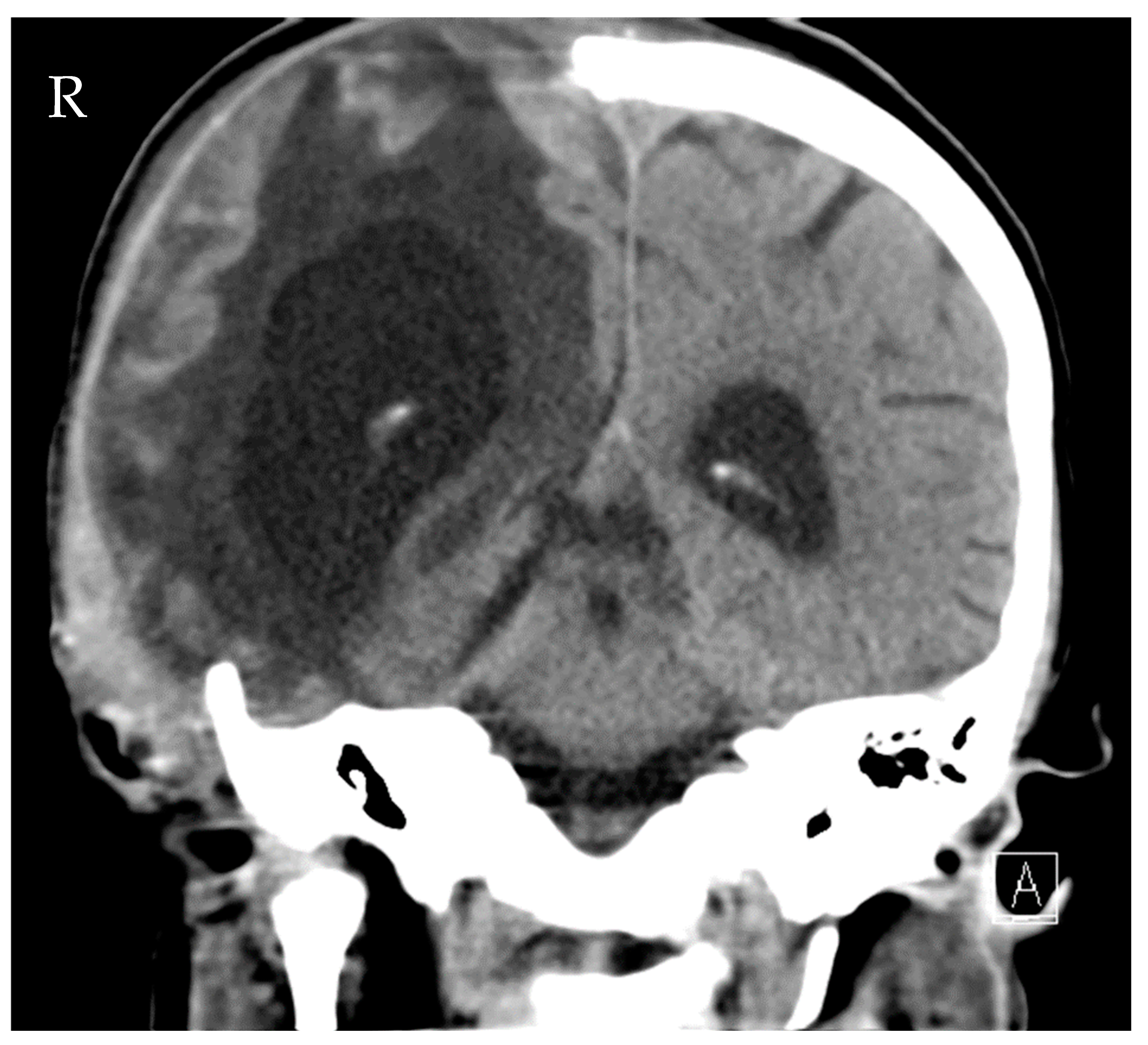
2. Case Presentation
3. Discussion
Author Contributions
Funding
Institutional Review Board Statement
Informed Consent Statement
Data Availability Statement
Conflicts of Interest
Abbreviations
| PA | pseudomonas aeruginosa |
| MDR | in multidrug-resistant |
| CNS | central nervous system |
| XDR | extensively drug-resistant |
| ICP | intracranial pressure |
| C/T | ceftolozane/tazobactam |
| MIC | minimal inhibitory concentration |
| ICU | intensive care unit |
| EVD | extra ventricular drainage |
| LD | lumbar drainage |
| CSF | cerebrospinal fluid |
| BBB | blood–brain barrier |
| IV | intravenous |
| IVT | intraventricular |
| AUC | area under the curve |
References
- Bassetti, M.; Vena, A.; Croxatto, A.; Righi, E.; Guery, B. How to manage Pseudomonas aeruginosa infections. Drugs Context 2018, 7, 212527. [Google Scholar] [CrossRef] [PubMed]
- Velkov, T.; Dai, C.; Ciccotosto, G.D.; Cappai, R.; Hoyer, D.; Li, J. Polymyxins for CNS infections: Pharmacology and neurotoxicity. Pharmacol. Ther. 2018, 181, 85–90. [Google Scholar] [CrossRef] [PubMed]
- Pogue, J.M.; Kaye, K.S.; Veve, M.P.; Patel, T.S.; Gerlach, A.T.; Davis, S.L.; Puzniak, L.A.; File, T.M.; Olson, S.; Dhar, S.; et al. Ceftolozane/Tazobactam vs Polymyxin or Aminoglycoside-based Regimens for the Treatment of Drug-resistant Pseudomonas Aeruginosa. Clin. Infect. Dis. 2019, 71, 304–310. [Google Scholar] [CrossRef] [PubMed]
- Nau, R.; Sorgel, F.; Eiffert, H. Penetration of drugs through the blood-cerebrospinal fluid/blood-brain barrier for treatment of central nervous system infections. Clin. Microbiol. Rev. 2010, 23, 858–883. [Google Scholar] [CrossRef] [PubMed]
- Wagenlehner, F.M.; Umeh, O.; Steenbergen, J.; Yuan, G.; Darouiche, R.O. Ceftolozane-tazobactam compared with levofloxacin in the treatment of complicated urinary-tract infections, including pyelonephritis: A randomised, double-blind, phase 3 trial (ASPECT-cUTI). Lancet 2015, 385, 1949–1956. [Google Scholar] [CrossRef]
- Solomkin, J.; Hershberger, E.; Miller, B.; Popejoy, M.; Friedland, I.; Steenbergen, J.; Yoon, M.; Collins, S.; Yuan, G.; Barie, P.S.; et al. Ceftolozane/Tazobactam Plus Metronidazole for Complicated Intra-abdominal Infections in an Era of Multidrug Resistance: Results From a Randomized, Double-Blind, Phase 3 Trial (ASPECT-cIAI). Clin. Infect. Dis. 2015, 60, 1462–1471. [Google Scholar] [CrossRef]
- Kollef, M.H.; Novacek, M.; Kivistik, U.; Rea-Neto, A.; Shime, N.; Martin-Loeches, I.; Timsit, J.F.; Wunderink, R.G.; Bruno, C.J.; Huntington, J.A.; et al. Ceftolozane-tazobactam versus meropenem for treatment of nosocomial pneumonia (ASPECT-NP): A randomised, controlled, double-blind, phase 3, non-inferiority trial. Lancet Infect. Dis. 2019, 19, 1299–1311. [Google Scholar] [CrossRef]
- Maraolo, A.E.; Mazzitelli, M.; Trecarichi, E.M.; Buonomo, A.R.; Torti, C.; Gentile, I. Ceftolozane/tazobactam for difficult-to-treat Pseudomonas aeruginosa infections: A systematic review of its efficacy and safety for off-label indications. Int. J. Antimicrob. Agents 2020, 55, 105891. [Google Scholar] [CrossRef]
- Pai, S.; Bedford, L.; Ruramayi, R.; Aliyu, S.H.; Sule, J.; Maslin, D.; Enoch, D.A. Pseudomonas aeruginosa meningitis/ventriculitis in a UK tertiary referral hospital. QJM Int. J. Med. 2016, 109, 85–89. [Google Scholar] [CrossRef]
- Tunkel, A.R.; Hasbun, R.; Bhimraj, A.; Byers, K.; Kaplan, S.L.; Scheld, W.M.; van de Beek, D.; Bleck, T.P.; Garton, H.J.L.; Zunt, J.R. 2017 Infectious Diseases Society of America’s Clinical Practice Guidelines for Healthcare-Associated Ventriculitis and Meningitis. Clin. Infect. Dis. 2017, 64, e34–e65. [Google Scholar] [CrossRef]
- Montravers, P.; Dufour, G.; Guglielminotti, J.; Desmard, M.; Muller, C.; Houissa, H.; Allou, N.; Marmuse, J.P.; Augustin, P. Dynamic changes of microbial flora and therapeutic consequences in persistent peritonitis. Crit. Care 2015, 19, 70. [Google Scholar] [CrossRef] [PubMed]
- Rocco, M.; Montini, L.; Alessandri, E.; Venditti, M.; Laderchi, A.; De Pascale, G.; Raponi, G.; Vitale, M.; Pietropaoli, P.; Antonelli, M. Risk factors for acute kidney injury in critically ill patients receiving high intravenous doses of colistin methanesulfonate and/or other nephrotoxic antibiotics: A retrospective cohort study. Crit. Care 2013, 17, R174. [Google Scholar] [CrossRef] [PubMed]
- Monogue, M.L.; Nicolau, D.P. Antibacterial activity of ceftolozane/tazobactam alone and in combination with other antimicrobial agents against MDR Pseudomonas aeruginosa. J. Antimicrob. Chemother. 2018, 73, 942–952. [Google Scholar] [CrossRef]
- Haidar, G.; Philips, N.J.; Shields, R.K.; Snyder, D.; Cheng, S.; Potoski, B.A.; Doi, Y.; Hao, B.; Press, E.G.; Cooper, V.S.; et al. Ceftolozane-Tazobactam for the Treatment of Multidrug-Resistant Pseudomonas aeruginosa Infections: Clinical Effectiveness and Evolution of Resistance. Clin. Infect. Dis. 2017, 65, 110–120. [Google Scholar] [CrossRef]
- McCreary, E.K.; Byers, K.E.; Fernandes, C.; Kline, E.G.; Nicolau, D.P.; Shields, R.K. Plasma and Cerebrospinal Fluid Therapeutic Drug Monitoring of Ceftolozane and Tazobactam during Treatment of Multidrug-Resistant Pseudomonas aeruginosa Meningitis. Open Forum Infect. Dis. 2020, 7, ofaa549. [Google Scholar] [CrossRef] [PubMed]
- Meschiari, M.; Franconi, I.; Bacca, E.; Bianco, V.; Orlando, G.; Cuomo, G.; Bedini, A.; Mussini, C. Ceftazidime/avibactam and ceftolozane/tazobactam for the treatment of extensively drug-resistant Pseudomonas aeruginosa post-neurosurgical infections: Three cases and a review of the literature. Infection 2021, 49, 549–553. [Google Scholar] [CrossRef] [PubMed]
- Winans, S.A.; Guerrero-Wooley, R.L.; Park, S.H.; Hino, G., Jr.; Forland, S.C. Continuous infusion of ceftolozane-tazobactam resulted in high cerebrospinal fluid concentrations of ceftolozane in a patient with multidrug-resistant Pseudomonas aeruginosa meningitis. Infection 2021, 49, 355–359. [Google Scholar] [CrossRef]
- Frattari, A.; Savini, V.; Polilli, E.; Cibelli, D.; Talamazzi, S.; Bosco, D.; Consorte, A.; Fazii, P.; Parruti, G. Ceftolozane-tazobactam and Fosfomycin for rescue treatment of otogenous meningitis caused by XDR Pseudomonas aeruginosa: Case report and review of the literature. IDCases 2018, 14, e00451. [Google Scholar] [CrossRef]
- Dinh, A.; Wyplosz, B.; Kerneis, S.; Lebeaux, D.; Bouchand, F.; Duran, C.; Beraud, G.; Lazaro, P.; Davido, B.; Henard, S.; et al. Use of ceftolozane/tazobactam as salvage therapy for infections due to extensively drug-resistant Pseudomonas aeruginosa. Int. J. Antimicrob. Agents 2017, 49, 782–783. [Google Scholar] [CrossRef]
- Vardakas, K.Z.; Voulgaris, G.L.; Maliaros, A.; Samonis, G.; Falagas, M.E. Prolonged versus short-term intravenous infusion of antipseudomonal beta-lactams for patients with sepsis: A systematic review and meta-analysis of randomised trials. Lancet Infect. Dis. 2018, 18, 108–120. [Google Scholar] [CrossRef]
- Pilmis, B.; Petitjean, G.; Lesprit, P.; Lafaurie, M.; El Helali, N.; Le Monnier, A.; on behalf the ATB PK/PD study group. Continuous infusion of ceftolozane/tazobactam is associated with a higher probability of target attainment in patients infected with Pseudomonas aeruginosa. Eur. J. Clin. Microbiol. Infect. Dis. 2019, 38, 1457–1461. [Google Scholar] [CrossRef] [PubMed]
- Sime, F.B.; Lassig-Smith, M.; Starr, T.; Stuart, J.; Pandey, S.; Parker, S.L.; Wallis, S.C.; Lipman, J.; Roberts, J.A. Cerebrospinal fluid penetration of ceftolozane/tazobactam in critically ill patients with an indwelling external ventricular drain. Antimicrob. Agents Chemother. 2020, 65, e01698-20. [Google Scholar] [CrossRef] [PubMed]
- Quagliarello, V.J.; Long, W.J.; Scheld, W.M. Morphologic alterations of the blood-brain barrier with experimental meningitis in the rat. Temporal sequence and role of encapsulation. J. Clin. Investig. 1986, 77, 1084–1095. [Google Scholar] [CrossRef] [PubMed]




| Drug | Microorganism/Localization | Duration of Therapy (Days) | Drug Susceptibility Testing | Susceptibility Results S = Sensible R = Resistant I = Intermediate |
|---|---|---|---|---|
| Meropenem | Pseudomonas aeruginosa /Urine | 9 | Piperacillin Piperacillin/Tazobactam Ceftazidime Cefepime Imipenem Meropenem Ciprofloxacin Gentamicin Amikacin Tigecycline Colistin Aztreonam | S S S S S S S S S R S I |
| Fluconazole | Candida albicans/Intra-abdominal; Urine | 14 | ||
| Cefepime | Serratia marcescens/Broncho-alveolar-lavage (BALF) | 9 | Amoxicillin/Clavulanate Piperacillin Piperacillin/Tazobactam Cefotaxime Ceftriaxone Ceftazidime Cefepime Imipenem Meropenem Ciprofloxacin Moxifloxacin Gentamicin Tobramycin Amikacin Tigecycline Trimethoprim/Sulfamethoxazole Fosfomycin Colistin Aztreonam | R S S S S S S S S S S S S S S S S R S |
| Cefepime | Pseudomonas aeruginosa/Intra-abdominal | 9 | Piperacillin Ceftazidime Cefepime Imipenem Meropenem Ciprofloxacin Gentamicin Tobramycin Amikacin Tigecycline Colistin Aztreonam Piperacillin/Tazobactam | R R S R R S R S I R S R R |
| Gentamicin | Pseudomonas aeruginosa/Intra-abdominal; Urine | 6 | Piperacillin Piperacillin/Tazobactam Ceftazidime Ceftolozane/Tazobactam Cefepime Imipenem Meropenem Ciprofloxacin Gentamicin Tobramycin Amikacin Tigecycline Colistin Aztreonam | R R R S R R R R S S S R S R |
| Ceftozolane/Tazobactam | Pseudomonas aeruginosa/Intra-abdominal; Urine | 9 | Piperacillin Piperacillin/Tazobactam Ceftazidime Ceftolozane/Tazobactam Cefepime Imipenem Meropenem Ciprofloxacin Gentamicin Tobramycin Amikacin Tigecycline Colistin Aztreonam | R R R S R R R R S S S R S R |
| Linezolid | Vancomycin resistant Enterococcus faecicum/Intra-abdominal | 9 | Ampicillin Amoxicillin/Clavulanate Imipenem Tigecycline Trimethoprim/Sulfamethoxazole Clarithromycin Vancomycin Teicoplanin Linezolid Daptomycin | R R R S R R R S S S |
| Ceftozolane/Tazobactam | Pseudomonas aeruginosa/Liquor | 16 | Piperacillin Piperacillin/Tazobactam Ceftazidime Cefepime Imipenem Meropenem Ciprofloxacin Gentamicin Tobramycin Amikacin Tigecycline Colistin Aztreonam | R R R R R R S S S S R S R |
Publisher’s Note: MDPI stays neutral with regard to jurisdictional claims in published maps and institutional affiliations. |
© 2022 by the authors. Licensee MDPI, Basel, Switzerland. This article is an open access article distributed under the terms and conditions of the Creative Commons Attribution (CC BY) license (https://creativecommons.org/licenses/by/4.0/).
Share and Cite
Dubler, S.; Brenner, T.; Zimmermann, S.; Mokry, T.; Röhr, A.; Richter, D.C.; Heininger, A.; Weigand, M.A. Off-Label Use of Ceftolozane/Tazobactam for the Successful Treatment of Healthcare-Associated Meningitis Caused by Extensively Drug-Resistant Pseudomonas aeruginosa in a Polytraumatized Patient—A Case Report. Reports 2022, 5, 33. https://doi.org/10.3390/reports5030033
Dubler S, Brenner T, Zimmermann S, Mokry T, Röhr A, Richter DC, Heininger A, Weigand MA. Off-Label Use of Ceftolozane/Tazobactam for the Successful Treatment of Healthcare-Associated Meningitis Caused by Extensively Drug-Resistant Pseudomonas aeruginosa in a Polytraumatized Patient—A Case Report. Reports. 2022; 5(3):33. https://doi.org/10.3390/reports5030033
Chicago/Turabian StyleDubler, Simon, Thorsten Brenner, Stefan Zimmermann, Theresa Mokry, Anka Röhr, Daniel C. Richter, Alexandra Heininger, and Markus A. Weigand. 2022. "Off-Label Use of Ceftolozane/Tazobactam for the Successful Treatment of Healthcare-Associated Meningitis Caused by Extensively Drug-Resistant Pseudomonas aeruginosa in a Polytraumatized Patient—A Case Report" Reports 5, no. 3: 33. https://doi.org/10.3390/reports5030033
APA StyleDubler, S., Brenner, T., Zimmermann, S., Mokry, T., Röhr, A., Richter, D. C., Heininger, A., & Weigand, M. A. (2022). Off-Label Use of Ceftolozane/Tazobactam for the Successful Treatment of Healthcare-Associated Meningitis Caused by Extensively Drug-Resistant Pseudomonas aeruginosa in a Polytraumatized Patient—A Case Report. Reports, 5(3), 33. https://doi.org/10.3390/reports5030033

