Next Article in Journal
Off-Label Use of Ceftolozane/Tazobactam for the Successful Treatment of Healthcare-Associated Meningitis Caused by Extensively Drug-Resistant Pseudomonas aeruginosa in a Polytraumatized Patient—A Case Report
Previous Article in Journal
Clinical Outcomes after Immunotherapies in Cancer Setting during COVID-19 Era: A Systematic Review and Meta-Regression
 
 
Font Type:
Arial Georgia Verdana
Font Size:
Aa Aa Aa
Line Spacing:
Column Width:
Background:
Case Report

Hyperzographia in Neglect Exposing a Spatial Dissociation between Painting and Writing—A Case Study

by
Magdalena Camenzind
1,
Aleksandra K. Eberhard-Moscicka
1,2,*,
Dario Cazzoli
3,4,5 and
René M. Müri
1,2,4
1
Perception and Eye Movement Laboratory, Department of Neurology and BioMedical Research, Inselspital, Bern University Hospital and University of Bern, 3010 Bern, Switzerland
2
Department of Neurology, Inselspital, Bern University Hospital, 3010 Bern, Switzerland
3
Neurocenter, Luzerner Kantonsspital, 6000 Lucerne, Switzerland
4
Gerontechnology and Rehabilitation Group, ARTORG Center for Biomedical Engineering Research, University of Bern, 3010 Bern, Switzerland
5
Department of Psychology, University of Bern, 3010 Bern, Switzerland
*
Author to whom correspondence should be addressed.
Reports 2022, 5(3), 32; https://doi.org/10.3390/reports5030032
Submission received: 10 June 2022 / Revised: 12 July 2022 / Accepted: 19 July 2022 / Published: 8 August 2022

Abstract

The paper depicts and describes the observation of a remarkable post-stroke production of paintings made by a 54-year-old, right-handed man who suffered an acute right hemispheric stroke. The patient’s post-stroke productivity and the spatial distribution of text and drawings were assessed by means of structural analysis of the paintings, as well as neuropsychological and creativity testing. Compared to the age-matched healthy control group, the patient did not only produce more valid answers in the verbal creativity task, but he also drew more images in the figural creativity task. Most strikingly, the painted images were located on the right side in 70% of the paintings, while the text was aligned to the left side in 42% of the paintings. This dissociation between writing and painting behavior was further mirrored in the patient’s neuropsychological performance in a reading test and in a design fluency task. This observation of an increased post-stroke production of paintings may coin a new term, i.e., “hyperzographia”, in analogy to hypergraphia. Additionally, the puzzling dissociation of the writing and painting behavior highlights an important new clinical aspect concerning a differential influence of hemispatial neglect on writing and painting.

1. Introduction

Brain damage may influence artistic performance: For instance, following stroke, Lovis Corinth (1858–1925) developed a vivid expressionism and Paul-Elie Gernez’s (1888–1948) paintings evolved from impressionism to simplistic geometric style [1,2].
Hemispatial neglect, a common neurological syndrome following right hemispheric stroke, is manifested by an inability to attend to the contralesional space [3]. Artists suffering from hemineglect primarily concentrate on the right side of their paintings, whereas the left side is either completely lacking or strongly minimalized [4,5].
While right hemispheric lesions may result in a general increase in writing production (i.e., hypergraphia [6]), the spatial distribution of writing may also be affected (i.e., rightward-lateralized writing production [7]). Yet, the extent to which neglect influences painting and writing within the same patient is unknown. Here, we present the exceptional case of a patient exhibiting a clear dissociation of the influence of hemispatial neglect on painting and writing: While his painting behavior was clearly affected by neglect (i.e., paintings were mainly on the right side), his writing behavior was not.

2. Case Presentation Section

2.1. Case Description

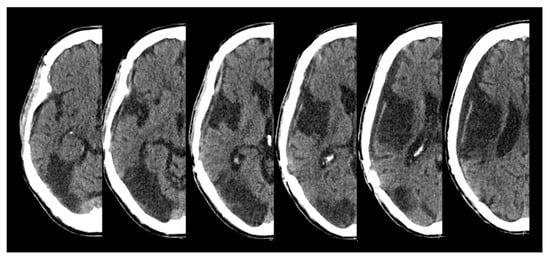
M. is a 54-year-old, right-handed man who suffered from an acute stroke in the posterior territory of the right middle cerebral artery and of the right posterior cerebral artery. The initial NIHSS score was 17. The patient presented with an arteriosclerotic occlusion of the right internal carotid artery, which was treated by an endovascular intervention and stenting. A few hours after the intervention, a lesion swelling and an expansion occurred, necessitating an emergency decompressive hemicraniectomy. The subacute CT scan presented in the figure (Figure 1) shows an ischemic demarcation and a small subarachnoid bleeding over the right temporal lobe.
Clinically, the patient showed a severe left-sided sensorimotor, facio-brachio-crural hemisyndrome and left visual hemineglect. Six weeks after stroke, the patient started intensive inpatient neurorehabilitation. The interdisciplinary therapies included daily physiotherapy, occupational therapy, and neuropsychological therapy. Hand function of the left hand improved and the severe left hemiparesis regressed during the stay at the neurorehabilitation unit. Hemineglect showed a slight amelioration, yet it persisted with a clinically relevant severity during the entire stay.

2.2. Descripion of Painting and Writing Behavior

During his stay at the neurorehabilitation clinic, the patient developed a strong wish to paint, resulting in a production of 41 paintings within 19 days. Already prior to stroke, he had expressed interest in painting, but this interest markedly increased after the occurrence of stroke. His favorite subjects were trees that he saw through the window of his room, but his paintings also depicted flowers and bushes. Thirty-three of the paintings included the dates, which were either simply added to or integrated in the drawn images. However, M. never signed his paintings.
Given the productivity in M.’s painting behavior, which may be suggestive of increased creativity following stroke, a verbal and a figural creativity assessment was conducted.
The study was approved by the Ethics Committee of the Canton of Bern and was conducted in compliance with the latest version of the Declaration of Helsinki.

2.3. Assessment

The following aspects were considered for the scoring of M.’s paintings: (1) presence of text in the painting; (2) spatial placement of text; (3) presence of neglect signs in the painting; (4) alignment of the painted image within the painting. As such, an image was classified as right-sided if a larger area of the sheet of paper was occupied on the right side by painting. Likewise, the text was classified as right-sided if the letters started on the right side of the image, and as left-sided if the letters started on the left side (Figure 2, upper panel). Neuropsychological testing included a reading test (Saarbrücker Lesetext, [8]), a Design Fluency Task (DFT, [9]), the Stroop Test [10] and a Go/Nogo Test subtest of the TAP computerized test battery [11].
For the creativity assessment, the performance of M. in the verbal Alternative Uses Task (AUT, [12]) and in the figural Divergent Pareidolias Task (DPT, [13]) was compared with the performance of a group consisting of 23 age-matched (M = 62.2, SD = 5.2, range: 52–70 years) healthy participants (13 women, 10 men) by means of a modified t-test [14,15]. This test allows the statistical comparison between the scores of a single case and those of a control sample.

2.4. Results

Compared to the control group, M. produced more valid answers in the verbal AUT (43 versus 23.04 answers, SD = 7, p = 0.004) and drew more images in the figural DPT (42 versus 26.82 answers, SD = 7.7, p = 0.037). In 56% of M.’s paintings, hemineglect was clearly visible. While 82% of his paintings contained text (left-side aligned in 42%), only 30% of the images were located on the left side. Fisher’s exact test indicated that the distribution of text and image on the right and left side of the paintings was not random (p = 0.021). This dissociation between writing and painting behavior was further mirrored in the patient’s performance in the reading test (i.e., omission of only three words on the very left side) and in a Design Fluency Task (i.e., figures drawn on the very right only, Figure 2, lower panel). Importantly, the Go/Nogo subtest of the TAP indicated no to minimal impairment (i.e., z-value between −0.5 and +0.4 for median reaction time, of −1.3 for number of commission errors, and between −1 and −0.6 for number of omission errors). In the Stroop Test, M.’s inhibition time and number of committed errors reached a z-value of −1.3. Furthermore, M. showed no impairment with respect to the time difference between parts A and C of the Stroop test (z-value between −0.5 and +0.4). Altogether, these results indicate low to minimal impairment in inhibitory control.

3. Discussion

The extraordinary aspect of M.’s medical history is his production of paintings following the right hemispheric stroke. Already prior to stroke, M. expressed interest in painting, yet only after stroke he started producing several paintings per day. We propose to name this phenomenon “hyperzography” (derived from the Greek ζωγραφία, the art of painting) in analogy to hypergraphia, a rare but well-known symptom generally occurring after right hemispheric stroke or following temporal lobe epilepsy [6,16,17,18]. The influence of stroke on artistic painting behavior was previously discussed [1,2]. However, the majority of these patients suffered from left hemispheric strokes (for a review, see, e.g. [19]).
An explanation for such post-stroke productivity might arise from the assumption that the executive control network (ECN), which involves regions in the prefrontal cortex and in the parietal cortex, was damaged by M.’s stroke. This in turn may have led to a disinhibited behavior and hence increased painting productivity [20]. However, given M.’s no-to-minimal impairment in inhibitory control, as measured by the Go/Nogo subtest of TAP and the Stroop Test, it appears unlikely that his productivity was solely driven by disinhibition. Furthermore, creative potential was assessed by means of the verbal Alternative Uses Task [21] and figural Divergent Pareidolias Task [13], in both of which M. significantly outperformed the age-matched, healthy control group.
Can we infer creativity from productivity? It could be argued that M. was predominantly perseverating on trees as the subject of his paintings, thus his flexibility and originality were not particularly high. Nonetheless, this assumption is challenged by the high variability of shapes and colors that are present in his paintings. Indeed, nobody would doubt Cézanne’s creativity, who painted the Sainte-Victoire Mountain over 60 times. This mountain, located near his home in Aix-en-Provence, was simply his favorite subject; one could argue that this was also the case for the trees seen from M.’s window.
Despite neglect being present in 56% of M.’s paintings, the text was located on the “neglected” left side in almost 50% of his paintings, while the majority of the images were located on the right side. This suggests a new dissociation between the domains of painting and writing, which was further reflected in the reading as well as in the Design Fluency tests.

4. Conclusions

This paper reports the unique observation of a remarkable post-stroke production of paintings in a patient who suffered from a right hemispheric stroke, a phenomenon that has not been described to date and which we propose to name “hyperzographia”, in analogy to hypergraphia. Notably, while the patient’s painting behavior was clearly affected by neglect (i.e., paintings were mainly on the right side), his writing behavior was not (i.e., written text was produced both on the left and the right side). Aside the novel and puzzling nature of this phenomenon, this observation also draws attention to an important new clinical aspect concerning a dissociation of the influence of hemispatial neglect on painting and writing behavior.

Author Contributions

Conceptualization, A.K.E.-M., D.C. and R.M.M.; methodology, M.C., A.K.E.-M., D.C. and R.M.M.; formal analysis, M.C.; investigation, M.C. and R.M.M.; writing—original draft preparation, M.C., A.K.E.-M., D.C. and R.M.M.; writing—review and editing, A.K.E.-M., D.C. and R.M.M.; visualization, M.C., A.K.E.-M. and R.M.M.; supervision, R.M.M.; funding acquisition, R.M.M. All authors have read and agreed to the published version of the manuscript.

Funding

This research was funded by the Swiss National Science Foundation (SNSF), SNF grant number SNF-175615 to R.M.

Institutional Review Board Statement

For the control group, ethical approval was provided by the Ethics Committees of the Canton Berne, Switzerland. The data of the control participants have been acquired under the BASEC-number PB 2018-00219. The patient signed informed consent for the use of his health-related data. Based on the Swiss Humanforschungsgesetz (HFG) (SR 810.30), case studies on individual persons that result in non-generalizable findings and/or studies using anonymized datasets do not require further authorization. The study was carried out in accordance with the latest version of the Declaration of Helsinki.

Informed Consent Statement

Informed consent was obtained from all subjects involved in the study. Moreover, written informed consent has been obtained from the patient to publish this paper.

Data Availability Statement

The conditions of our ethics approval do not permit public archiving of the data supporting the conclusion of this study. Readers seeking access to the data and study materials should contact the corresponding author Aleksandra Eberhard-Moscicka.

Acknowledgments

We would like to thank the Swiss National Science Foundation (SNSF) for supporting this project. Furthermore, we are grateful to the patient who agreed on the use of the anonymized data.

Conflicts of Interest

The authors declare no conflict of interest. The funders had no role in the design of the study, in the collection, analyses, or interpretation of data, in the writing of the manuscript, or in the decision to publish the results.

References

  1. Annoni, J.M. Changes in Artistic Style after Minor Posterior Stroke. J. Neurol. Neurosurg. Psychiatry 2005, 76, 797–803. [Google Scholar] [CrossRef] [PubMed]
  2. Bogousslavsky, J. Artistic Creativity, Style and Brain Disorders. Eur. Neurol. 2005, 54, 103–111. [Google Scholar] [CrossRef] [PubMed]
  3. Heilman, K.M.; Valenstein, E.; Watson, R.T. The What and How of Neglect. Neuropsychol. Rehabil. 1994, 4, 133–139. [Google Scholar] [CrossRef]
  4. Bäzner, H.; Hennerici, M. Stroke in Painters. Int. Rev. Neurobiol. 2006, 74, 165–191. [Google Scholar] [CrossRef] [PubMed]
  5. Bogousslavsky, J.; Hennerici, M.G.; Bäzner, H.; Bassetti, C. Neurological Disorders in Famous Artists-Part 3; Karger Medical and Scientific Publishers: Basel, Switzerland, 2010; ISBN 978-3-8055-9330-4. [Google Scholar]
  6. Yamadori, A.; Mori, E.; Tabuchi, M.; Kudo, Y.; Mitani, Y. Hypergraphia: A Right Hemisphere Syndrome. J. Neurol. Neurosurg. Psychiatry 1986, 49, 1160–1164. [Google Scholar] [CrossRef] [PubMed]
  7. Ardila, A.; Rosselli, M. Spatial Agraphia. Brain Cogn. 1993, 22, 137–147. [Google Scholar] [CrossRef] [PubMed]
  8. Kerkhoff, G.; Wimbauer, K.; Reinhart, S. Saarbrücker Lesetexte. 2012. Available online: https://www.uni-saarland.de/lehrstuhl/kerkhoff/materialien-fuer-diagnostiktherapie.html (accessed on 10 June 2022).
  9. Jones-Gotman, M.; Milner, B. Design Fluency: The Invention of Nonsense Drawings after Focal Cortical Lesions. Neuropsychologia 1977, 15, 653–674. [Google Scholar] [CrossRef]
  10. Spreen, O.; Strauss, E. A Compendium of Neuropsychological Tests; Oxford University Press: New York, NY, USA, 1998; pp. 213–218. [Google Scholar]
  11. Zimmermann, P.; Fimm, B. Test of Attentional Performance. PSYTEST Psychologische Testsysteme. 2014. Available online: https://www.psytest.net/en/test-batteries/tap/standardisation (accessed on 10 June 2022).
  12. Guilford, J.; Christensen, P.; Merrifield, P.; Wilson, R. Alternate Uses: Manual of Instructions and Interpretations; Mind Garden: Palo Alto, CA, USA, 1978. [Google Scholar]
  13. Diana, L.; Frei, M.; Chesham, A.; de Jong, D.; Chiffi, K.; Nyffeler, T.; Bassetti, C.L.; Goebel, N.; Eberhard-Moscicka, A.K.; Müri, R.M. A Divergent Approach to Pareidolias—Exploring Creativity in a Novel Way. Psychol. Aesthet. Creat. Arts 2020, 15, 313–323. [Google Scholar] [CrossRef]
  14. Crawford, J.R.; Garthwaite, P.H.; Ryan, K. Comparing a Single Case to a Control Sample: Testing for Neuropsychological Deficits and Dissociations in the Presence of Covariates. Cortex 2011, 47, 1166–1178. [Google Scholar] [CrossRef] [PubMed]
  15. Crawford, J.R.; Howell, D.C. Comparing an Individual’s Test Score Against Norms Derived from Small Samples. Clin. Neuropsychol. 1998, 12, 482–486. [Google Scholar] [CrossRef]
  16. Carota, A.; Annoni, J.-M.; Combremont, P.; Clarke, S.; Bogousslavsky, J. Hypergraphia, Verbal Aspontaneity and Post-Stroke Depression Secondary to Right Cyngulate and Corpus Callosum Infarction. J. Neurol. 2003, 250, 508. [Google Scholar] [CrossRef]
  17. Okamura, T.; Fukai, M.; Yamadori, A.; Hidari, M.; Asaba, H.; Sakai, T. A Clinical Study of Hypergraphia in Epilepsy. J. Neurol. Neurosurg. Psychiatry 1993, 56, 556–559. [Google Scholar] [CrossRef] [PubMed]
  18. Van Vugt, P.; Paquier, P.; Kees, L.; Cras, P. Increased Writing Activity in Neurological Conditions: A Review and Clinical Study. J. Neurol. Neurosurg. Psychiatry 1996, 61, 510–514. [Google Scholar] [CrossRef] [PubMed][Green Version]
  19. De Souza, L.C.; Guimarães, H.C.; Teixeira, A.L.; Caramelli, P.; Levy, R.; Dubois, B.; Volle, E. Frontal lobe neurology and the creative mind. Front. Psychol. 2014, 5, 761. [Google Scholar] [CrossRef] [PubMed]
  20. Vartanian, O.; Beatty, E.L.; Smith, I.; Blackler, K.; Lam, Q.; Forbes, S. One-Way Traffic: The Inferior Frontal Gyrus Controls Brain Activation in the Middle Temporal Gyrus and Inferior Parietal Lobule during Divergent Thinking. Neuropsychologia 2018, 118, 68–78. [Google Scholar] [CrossRef] [PubMed]
  21. Runco, M.A.; Acar, S. Divergent Thinking as an Indicator of Creative Potential. Creat. Res. J. 2012, 24, 66–75. [Google Scholar] [CrossRef]
Figure 1. M.’s CT images in the subacute stage (radiological convention).
Figure 1. M.’s CT images in the subacute stage (radiological convention).
Reports 05 00032 g001
Figure 2. (Upper panel) Dissociation between painting and writing. On the left: an example of M.’s painting in which the image is located on the right side, while the text is located on the left side (i.e., letters starting on the left side). On the right: another example in which the image is located on the right side, while the text is located on the left side. Painting dimensions: 210 mm × 297 mm. (Lower Panel) Dissociation in neuropsychological tests. On the left: M.’s performance in the reading test. On the right: M.’s performance in the design fluency task. The blue square schematically depicts the portion of space attended by M. These findings of the neuropsychological assessment confirm the pattern observed in M.’s paintings, which exhibited a high percentage of text on the left side, indicative of a decrease in the severity of neglect for text, as contrasted to images that were predominantly located to the right side of his paintings. Paper dimensions: 210 mm × 297 mm.
Figure 2. (Upper panel) Dissociation between painting and writing. On the left: an example of M.’s painting in which the image is located on the right side, while the text is located on the left side (i.e., letters starting on the left side). On the right: another example in which the image is located on the right side, while the text is located on the left side. Painting dimensions: 210 mm × 297 mm. (Lower Panel) Dissociation in neuropsychological tests. On the left: M.’s performance in the reading test. On the right: M.’s performance in the design fluency task. The blue square schematically depicts the portion of space attended by M. These findings of the neuropsychological assessment confirm the pattern observed in M.’s paintings, which exhibited a high percentage of text on the left side, indicative of a decrease in the severity of neglect for text, as contrasted to images that were predominantly located to the right side of his paintings. Paper dimensions: 210 mm × 297 mm.
Reports 05 00032 g002
Publisher’s Note: MDPI stays neutral with regard to jurisdictional claims in published maps and institutional affiliations.

Share and Cite

MDPI and ACS Style

Camenzind, M.; Eberhard-Moscicka, A.K.; Cazzoli, D.; Müri, R.M. Hyperzographia in Neglect Exposing a Spatial Dissociation between Painting and Writing—A Case Study. Reports 2022, 5, 32. https://doi.org/10.3390/reports5030032

AMA Style

Camenzind M, Eberhard-Moscicka AK, Cazzoli D, Müri RM. Hyperzographia in Neglect Exposing a Spatial Dissociation between Painting and Writing—A Case Study. Reports. 2022; 5(3):32. https://doi.org/10.3390/reports5030032

Chicago/Turabian Style

Camenzind, Magdalena, Aleksandra K. Eberhard-Moscicka, Dario Cazzoli, and René M. Müri. 2022. "Hyperzographia in Neglect Exposing a Spatial Dissociation between Painting and Writing—A Case Study" Reports 5, no. 3: 32. https://doi.org/10.3390/reports5030032

APA Style

Camenzind, M., Eberhard-Moscicka, A. K., Cazzoli, D., & Müri, R. M. (2022). Hyperzographia in Neglect Exposing a Spatial Dissociation between Painting and Writing—A Case Study. Reports, 5(3), 32. https://doi.org/10.3390/reports5030032

Article Metrics

Back to TopTop