Bilateral Tubo-Ovarian Abscesses Associated with Enterococcal Translocation in Decompensated Cirrhosis: A Case Report
Abstract
1. Introduction and Clinical Significance
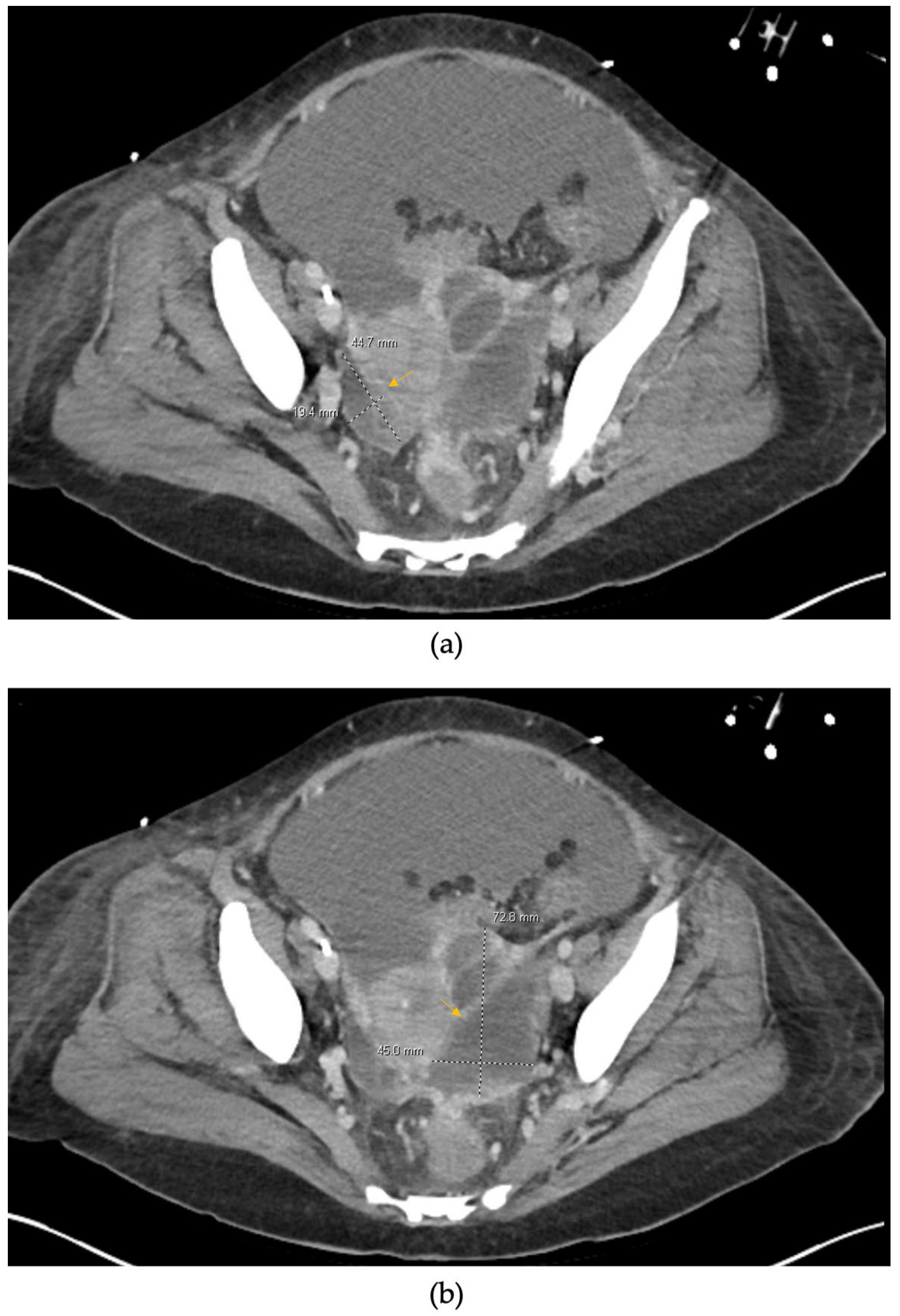
2. Case Presentation
3. Discussion
4. Conclusions
Author Contributions
Funding
Institutional Review Board Statement
Informed Consent Statement
Data Availability Statement
Conflicts of Interest
Abbreviations
| CAID | Cirrhosis-Associated Immune Dysfunction |
| TOA | Tubo-Ovarian Abscess |
| SBP | Spontaneous Bacterial Peritonitis |
| CT | Computed Tomography |
| MRI | Magnetic Resonance Imaging |
| MELD-Na | Model for End-Stage Liver Disease—Sodium Score |
| CA-125 | Cancer Antigen 125 |
| CDC | Centers for Disease Control and Prevention |
| IR | Interventional Radiology |
| NAAT | Nucleic Acid Amplification Test |
| SAAG | Serum-Ascites Albumin Gradient |
| MIC | Minimum Inhibitory Concentration |
References
- Bajaj, J.S.; Heuman, D.M.; Hylemon, P.B.; Sanyal, A.J.; White, M.B.; Monteith, P.; Noble, N.A.; Unser, A.B.; Daita, K.; Fisher, A.R.; et al. Altered profile of human gut microbiome is associated with cirrhosis and its complications. J. Hepatol. 2014, 60, 940–947. [Google Scholar] [CrossRef] [PubMed]
- Ginès, P.; Krag, A.; Abraldes, J.G.; Solà, E.; Fabrellas, N.; Kamath, P.S. Liver cirrhosis. Lancet 2021, 398, 1359–1376. [Google Scholar] [CrossRef] [PubMed]
- Albillos, A.; Lario, M.; Álvarez-Mon, M. Cirrhosis-associated immune dysfunction. Nat. Rev. Gastroenterol. Hepatol. 2022, 19, 112–134. [Google Scholar] [CrossRef] [PubMed]
- Biggins, S.W.; Angeli, P.; Garcia-Tsao, G.; Ginès, P.; Ling, S.C.; Nadim, M.K.; Wong, F.; Kim, W.R. Diagnosis, evaluation, and management of ascites and hepatorenal syndrome. Hepatology 2021, 74, 1014–1048. [Google Scholar] [CrossRef] [PubMed]
- Tapper, E.B.; Parikh, N.D. Diagnosis and management of cirrhosis and its complications: A review. JAMA 2023, 329, 1589–1602. [Google Scholar] [CrossRef] [PubMed]
- Ross, J.; Guaschino, S.; Cusini, M.; Jensen, J. 2017 European guideline for the management of pelvic inflammatory disease. Int. J. STD AIDS 2017, 29, 2–7. [Google Scholar] [CrossRef]
- Workowski, K.A.; Bachmann, L.H.; Chan, P.A.; Johnston, C.M.; Muzny, C.A.; Park, I.; Reno, H.; Zenilman, J.M.; Bolan, G.A. Sexually transmitted infections treatment guidelines, 2021. MMWR Recomm. Rep. 2021, 70, 1–187. [Google Scholar] [CrossRef] [PubMed]
- Bridwell, R.E.; Koyfman, A.; Long, B. High-risk and low-prevalence diseases: Tubo-ovarian abscess. Am. J. Emerg. Med. 2022, 57, 70–75. [Google Scholar] [CrossRef] [PubMed]
- Alenazi, H. Ruptured appendiceal diverticulum leading to tubo-ovarian abscess in a non-sexually active woman: A case study. Am. J. Case Rep. 2024, 25, e945366. [Google Scholar] [CrossRef] [PubMed]
- Nakayama, S.; Wakabayashi, Y.; Yamamoto, A.; Ichinose, T.; Takasaki, K.; Nagasaka, K.; Kitazawa, T. Tubo-ovarian abscess caused by Clostridioides difficile after eight months of surgery: Case report and review of extraintestinal abdominal abscess cases. J. Infect. Chemother. 2025, 31, 102432. [Google Scholar] [CrossRef] [PubMed]
- Zuckerman, E.; Lanir, A.; Sabo, E.; Rosenvald-Zuckerman, T.; Matter, I.; Yeshurun, D.; Shmueli, E. Cancer antigen 125: A sensitive marker of ascites in patients with liver cirrhosis. Am. J. Gastroenterol. 1999, 94, 1613–1618. [Google Scholar] [CrossRef] [PubMed]
- Goje, O.; Markwei, M.; Kollikonda, S.; Chavan, M.; Soper, D.E. Outcomes of minimally invasive management of tubo-ovarian abscess: A systematic review. J. Minim. Invasive Gynecol. 2021, 28, 556–564. [Google Scholar] [CrossRef]
- Gjelland, K.; Ekerhovd, E.; Granberg, S. Transvaginal ultrasound-guided aspiration for treatment of tubo-ovarian abscess: A study of 302 cases. Am. J. Obstet. Gynecol. 2005, 193, 1323–1330. [Google Scholar] [CrossRef] [PubMed]


| Laboratory Parameter | Value | Reference Range |
|---|---|---|
| White blood cell count | 24.8 × 109/L | 4.0–11.0 × 109/L |
| Neutrophils (absolute) | 20.1 × 109/L | 2.0–7.5 × 109/L |
| Hemoglobin | 9.2 g/dL | 12.0–16.0 g/dL |
| Platelet count | 62 × 109/L | 150–400 × 109/L |
| Sodium | 136 mmol/L | 135–145 mmol/L |
| Creatinine | 1.8 mg/dL | 0.6–1.2 mg/dL |
| AST (aspartate aminotransferase) | 156 U/L | 10–40 U/L |
| ALT (alanine aminotransferase) | 68 U/L | 7–56 U/L |
| Total bilirubin | 9.4 mg/dL | 0.2–1.2 mg/dL |
| Albumin | 2.1 g/dL | 3.5–5.0 g/dL |
| Alkaline phosphatase | 142 U/L | 44–147 U/L |
| INR | 2.1 | 0.8–1.2 |
| Lactate | 4.6 mmol/L | 0.5–2.0 mmol/L |
| Ascitic Fluid Parameter | Value | Reference Range/Interpretation |
|---|---|---|
| Appearance | Cloudy | Clear to pale yellow (normal) |
| Absolute neutrophil count | 6700 cells/µL | <250 cells/µL (normal) |
| Total protein | 1.2 g/dL | Low (<1.5 g/dL in cirrhosis) |
| Albumin (ascitic) | 0.5 g/dL | Used for SAAG calculation |
| SAAG | 1.6 g/dL | ≥1.1 → portal hypertension |
| Culture | Enterococcus faecium | Sterile (normal) |
| Antibiotic | Susceptibility | MIC (µg/mL) |
|---|---|---|
| Ampicillin | Resistant | >32 |
| Vancomycin | Susceptible | 1 |
| Linezolid | Susceptible | 2 |
| Daptomycin | Susceptible | 2 |
| Ciprofloxacin | Resistant | >4 |
Disclaimer/Publisher’s Note: The statements, opinions and data contained in all publications are solely those of the individual author(s) and contributor(s) and not of MDPI and/or the editor(s). MDPI and/or the editor(s) disclaim responsibility for any injury to people or property resulting from any ideas, methods, instructions or products referred to in the content. |
© 2026 by the authors. Licensee MDPI, Basel, Switzerland. This article is an open access article distributed under the terms and conditions of the Creative Commons Attribution (CC BY) license.
Share and Cite
Albusta, N.; Alrahma, H. Bilateral Tubo-Ovarian Abscesses Associated with Enterococcal Translocation in Decompensated Cirrhosis: A Case Report. Reports 2026, 9, 116. https://doi.org/10.3390/reports9020116
Albusta N, Alrahma H. Bilateral Tubo-Ovarian Abscesses Associated with Enterococcal Translocation in Decompensated Cirrhosis: A Case Report. Reports. 2026; 9(2):116. https://doi.org/10.3390/reports9020116
Chicago/Turabian StyleAlbusta, Noor, and Hussain Alrahma. 2026. "Bilateral Tubo-Ovarian Abscesses Associated with Enterococcal Translocation in Decompensated Cirrhosis: A Case Report" Reports 9, no. 2: 116. https://doi.org/10.3390/reports9020116
APA StyleAlbusta, N., & Alrahma, H. (2026). Bilateral Tubo-Ovarian Abscesses Associated with Enterococcal Translocation in Decompensated Cirrhosis: A Case Report. Reports, 9(2), 116. https://doi.org/10.3390/reports9020116

