High-Grade Urothelial Carcinoma with Clear-Cell (Glycogen-Rich) Features and Divergent Trophoblastic Differentiation: A Histopathological Case Report
Abstract
1. Introduction and Clinical Significance
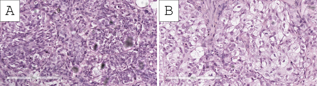
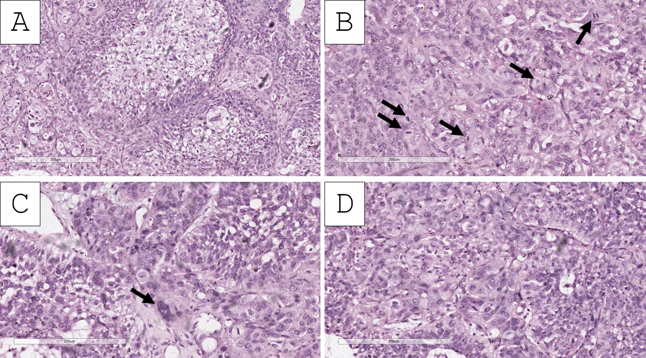
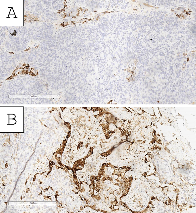
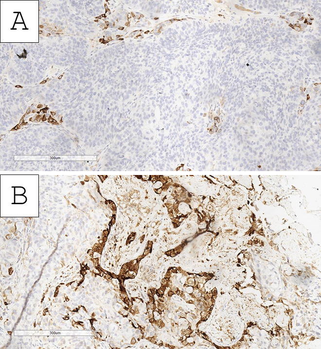
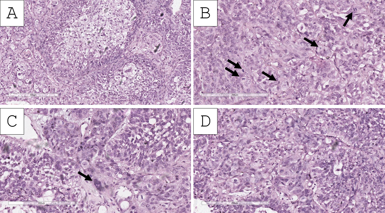
2. Case Presentation
3. Discussion
4. Conclusions
Author Contributions
Funding
Institutional Review Board Statement
Informed Consent Statement
Data Availability Statement
Conflicts of Interest
References
- Bray, F.; Laversanne, M.; Sung, H.; Ferlay, J.; Siegel, R.L.; Soerjomataram, I.; Jemal, A. Global Cancer Statistics 2022: GLOBOCAN Estimates of Incidence and Mortality Worldwide for 36 Cancers in 185 Countries. CA Cancer J. Clin. 2024, 74, 229–263. [Google Scholar] [CrossRef]
- Satyal, U.; Srivastava, A.; Abbosh, P.H. Urine Biopsy—Liquid Gold for Molecular Detection and Surveillance of Bladder Cancer. Front. Oncol. 2019, 9, 1266. [Google Scholar] [CrossRef] [PubMed]
- Matulewicz, R.S.; DeLancey, J.O.; Meeks, J.J. Cystoscopy. JAMA 2017, 317, 1187. [Google Scholar] [CrossRef][Green Version]
- Nielsen, M.E.; Smith, A.B.; Meyer, A.M.; Kuo, T.M.; Tyree, S.; Kim, W.Y.; Milowsky, M.I.; Pruthi, R.S.; Millikan, R.C. Trends in Stage-Specific Incidence Rates for Urothelial Carcinoma of the Bladder in the United States: 1988 to 2006. Cancer 2014, 120, 86–95. [Google Scholar] [CrossRef]
- Van Der Poel, H.G.; Antonini, N.; Van Tinteren, H.; Horenblas, S. Upper Urinary Tract Cancer: Location Is Correlated with Prognosis. Eur. Urol. 2005, 48, 438–444. [Google Scholar] [CrossRef]
- Soualhi, A.; Rammant, E.; George, G.; Russell, B.; Enting, D.; Nair, R.; Van Hemelrijck, M.; Bosco, C. The Incidence and Prevalence of Upper Tract Urothelial Carcinoma: A Systematic Review. BMC Urol. 2021, 21, 110. [Google Scholar] [CrossRef]
- Abou Heidar, N.; Mahmood, A.W.; Khan, M.; Harrington, G.; Ahmad, A.; Abdelhaq, D.; Colan, N.; Whitt, J.D.; Sullivan, D.; Howlader, M.; et al. Does Ta Low-Grade Urothelial Carcinoma of the Bladder With Focal High-Grade Features Carry Worse Prognosis? The Roswell Park Comprehensive Cancer Center Experience. Urology 2024, 193, 136–142. [Google Scholar] [CrossRef]
- Deuker, M.; Martin, T.; Stolzenbach, F.; Rosiello, G.; Collà Ruvolo, C.; Nocera, L.; Tian, Z.; Becker, A.; Kluth, L.; Roos, F.C.; et al. Bladder Cancer: A Comparison Between Non-Urothelial Variant Histology and Urothelial Carcinoma Across All Stages and Treatment Modalities. Clin. Genitourin. Cancer 2021, 19, 60–68.e1. [Google Scholar] [CrossRef] [PubMed]
- Boustead, G.B.; Fowler, S.; Swamy, R.; Kocklebergh, R.; Hounsome, L. Stage, Grade and Pathological Characteristics of Bladder Cancer in the UK: British Association of Urological Surgeons (BAUS) Urological Tumour Registry. BJU Int. 2014, 113, 924–930. [Google Scholar] [CrossRef] [PubMed]
- Popov, H.; Kirilova, A.; Naydenova, K.; Softova, E.; Stoyanov, G.S. Urothelial Carcinoma With Divergent Glandular Differentiation. Cureus 2024, 16, e72603. [Google Scholar] [CrossRef]
- Knez, V.M.; Barrow, W.; Lucia, M.S.; Wilson, S.; La Rosa, F.G. Clear Cell Urothelial Carcinoma of the Urinary Bladder: A Case Report and Review of the Literature. J. Med. Case Rep. 2014, 8, 275. [Google Scholar] [CrossRef] [PubMed]
- Kotliar, S.; Wood, C.; Schaeffer, A.; Oyasy, R. Transitional Cell Carcinoma Exhibiting Clear Cell Features. A Differential Diagnosis for Clear Cell Adenocarcinoma of the Urinary Tract. Arch. Pathol. Lab. Med. 1995, 119, 79–81. [Google Scholar] [PubMed]
- Mai, K.T.; Bateman, J.; Djordjevic, B.; Flood, T.A.; Belanger, E.C. Clear Cell Urothelial Carcinoma. Int. J. Surg. Pathol. 2017, 25, 18–25. [Google Scholar] [CrossRef]
- Paner, G.P.; Annaiah, C.; Gulmann, C.; Rao, P.; Ro, J.Y.; Hansel, D.E.; Shen, S.S.; Lopez-Beltran, A.; Aron, M.; Luthringer, D.J.; et al. Immunohistochemical Evaluation of Novel and Traditional Markers Associated with Urothelial Differentiation in a Spectrum of Variants of Urothelial Carcinoma of the Urinary Bladder. Hum. Pathol. 2014, 45, 1473–1482. [Google Scholar] [CrossRef]
- Gilcrease, M.Z.; Delgado, R.; Vuitch, F.; Albores-Saavedra, J. Clear Cell Adenocarcinoma and Nephrogenic Adenoma of the Urethra and Urinary Bladder: A Histopathologic and Immunohistochemical Comparison. Hum. Pathol. 1998, 29, 1451–1456. [Google Scholar] [CrossRef] [PubMed]
- Grosser, D.; Matoso, A.; Epstein, J.I. Clear Cell Adenocarcinoma in Men: A Series of 15 Cases. Am. J. Surg. Pathol. 2021, 45, 270–276. [Google Scholar] [CrossRef]
- Herawi, M.; Drew, P.A.; Pan, C.C.; Epstein, J.I. Clear Cell Adenocarcinoma of the Bladder and Urethra: Cases Diffusely Mimicking Nephrogenic Adenoma. Hum. Pathol. 2010, 41, 594–601. [Google Scholar] [CrossRef]
- Lopez-Beltran, A.; Blanca, A.; Montironi, R.; Cheng, L.; Regueiro, J.C. Pleomorphic Giant Cell Carcinoma of the Urinary Bladder. Hum. Pathol. 2009, 40, 1461–1466. [Google Scholar] [CrossRef]
- Samaratunga, H.; Delahunt, B. Recently Described and Unusual Variants of Urothelial Carcinoma of the Urinary Bladder. Pathology 2012, 44, 407–418. [Google Scholar] [CrossRef]
- Samaratunga, H.; Delahunt, B.; Egevad, L.; Adamson, M.; Hussey, D.; Malone, G.; Hoyle, K.; Nathan, T.; Kerle, D.; Ferguson, P.; et al. Pleomorphic Giant Cell Carcinoma of the Urinary Bladder: An Extreme Form of Tumour de-Differentiation. Histopathology 2016, 68, 533–540. [Google Scholar] [CrossRef]
- Przybycin, C.G.; McKenney, J.K.; Nguyen, J.K.; Shah, R.B.; Umar, S.A.; Harik, L.; Shih, I.M.; Cox, R.M. Urothelial Carcinomas With Trophoblastic Differentiation, Including Choriocarcinoma: Clinicopathologic Series of 16 Cases. Am. J. Surg. Pathol. 2020, 44, 1322–1330. [Google Scholar] [CrossRef]
- Regalado, J.J. Mixed Micropapillary and Trophoblastic Carcinoma of Bladder: Report of a First Case with New Immunohistochemical Evidence of Urothelial Origin. Hum. Pathol. 2004, 35, 382–384. [Google Scholar] [CrossRef] [PubMed]
- Grammatico, D.; Grignon, D.J.; Eberwein, P.; Shepherd, R.R.; Hearn, S.A.; Walton, J.C. Transitional Cell Carcinoma of the Renal Pelvis with Chriocarcinomatous Differentiation. Immunohistochemical and Immunoelectron Microscopic Assessment of Human Chorionic Gonadotropin Production by Transitional Cell Carcinoma of the Urinary Bladder. Cancer 1993, 71, 1835–1841. [Google Scholar] [CrossRef]
- Dexeus, F.; Logothetis, C.; Hossan, E.; Samuels, M.L. Carcinoembryonic Antigen and Beta-Human Chorionic Gonadotropin as Serum Markers for Advanced Urothelial Malignancies. J. Urol. 1986, 136, 403–407. [Google Scholar] [CrossRef]
- Douglas, J.; Sharp, A.; Chau, C.; Head, J.; Drake, T.; Wheater, M.; Geldart, T.; Mead, G.; Crabb, S.J. Serum Total HCGβ Level Is an Independent Prognostic Factor in Transitional Cell Carcinoma of the Urothelial Tract. Br. J. Cancer 2014, 110, 1759–1766. [Google Scholar] [CrossRef]
- Iles, R.K. Ectopic HCGbeta Expression by Epithelial Cancer: Malignant Behaviour, Metastasis and Inhibition of Tumor Cell Apoptosis. Mol. Cell. Endocrinol. 2007, 260–262, 264–270. [Google Scholar] [CrossRef] [PubMed]
- Stoyanov, G.S.; Kirilova, A.; Naydenova, K.; Popov, H. Unusual Type of Acinar Adenocarcinoma of the Prostate With Low PSA: A Histopathological Report of Two Cases of Pleomorphic Giant Cell Adenocarcinoma. Case Rep. Oncol. Med. 2025, 2025, 7658657. [Google Scholar] [CrossRef] [PubMed]




Disclaimer/Publisher’s Note: The statements, opinions and data contained in all publications are solely those of the individual author(s) and contributor(s) and not of MDPI and/or the editor(s). MDPI and/or the editor(s) disclaim responsibility for any injury to people or property resulting from any ideas, methods, instructions or products referred to in the content. |
© 2025 by the authors. Licensee MDPI, Basel, Switzerland. This article is an open access article distributed under the terms and conditions of the Creative Commons Attribution (CC BY) license.
Share and Cite
Stoyanov, G.; Marchev, D.; Pavlov, P.; Ghenev, P.; Popov, H. High-Grade Urothelial Carcinoma with Clear-Cell (Glycogen-Rich) Features and Divergent Trophoblastic Differentiation: A Histopathological Case Report. Reports 2026, 9, 3. https://doi.org/10.3390/reports9010003
Stoyanov G, Marchev D, Pavlov P, Ghenev P, Popov H. High-Grade Urothelial Carcinoma with Clear-Cell (Glycogen-Rich) Features and Divergent Trophoblastic Differentiation: A Histopathological Case Report. Reports. 2026; 9(1):3. https://doi.org/10.3390/reports9010003
Chicago/Turabian StyleStoyanov, George, Dobri Marchev, Pavel Pavlov, Peter Ghenev, and Hristo Popov. 2026. "High-Grade Urothelial Carcinoma with Clear-Cell (Glycogen-Rich) Features and Divergent Trophoblastic Differentiation: A Histopathological Case Report" Reports 9, no. 1: 3. https://doi.org/10.3390/reports9010003
APA StyleStoyanov, G., Marchev, D., Pavlov, P., Ghenev, P., & Popov, H. (2026). High-Grade Urothelial Carcinoma with Clear-Cell (Glycogen-Rich) Features and Divergent Trophoblastic Differentiation: A Histopathological Case Report. Reports, 9(1), 3. https://doi.org/10.3390/reports9010003

