Congenital Duodenal Diaphragm in a Toddler: A Case Report
Abstract
1. Introduction and Clinical Significance
- Endoscopic Management: Balloon dilation of the web has been successful in some children—e.g., an 8-year-old girl underwent serial dilations using CRE balloons (10 mm then 12 mm), which resolved vomiting and restored weight gain [3].
- In adult or older pediatric cases, endoscopic submucosal dissection (ESD)-like techniques have been used—e.g., resecting the diaphragm using fine instruments while avoiding injuring the ampulla of Vater [2].
- Endoscopic Electrocauterization (IT-knife): A 35-month-old child (with Down syndrome) had the web excised using an insulated-tip knife, avoiding more invasive surgery and recovering well [5].
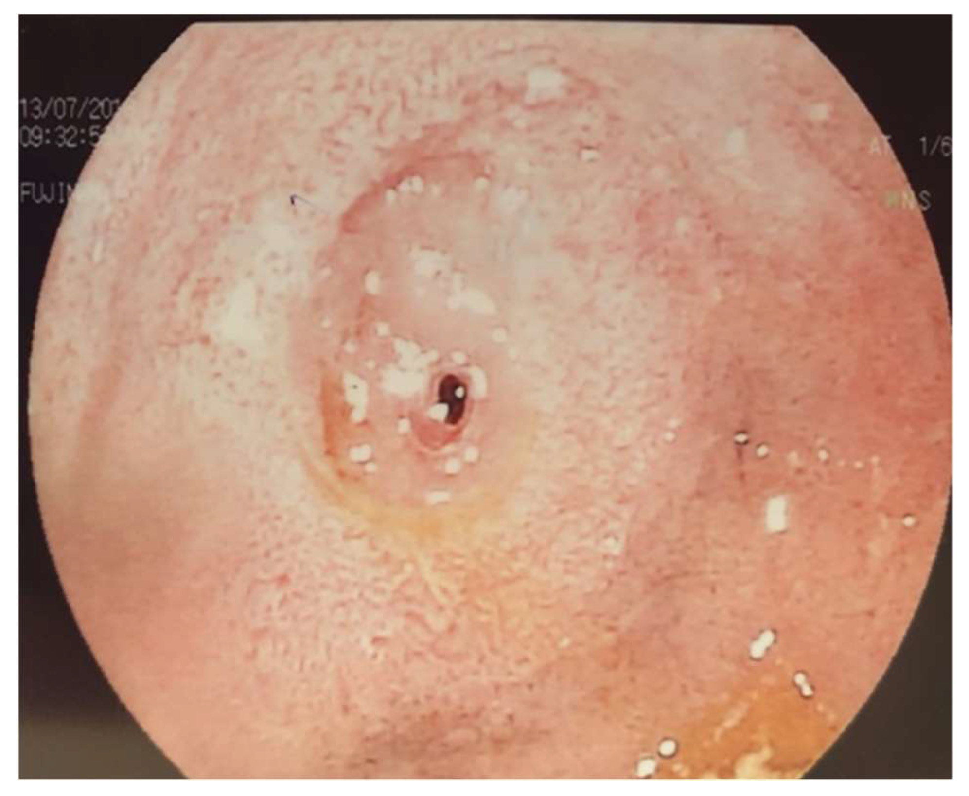
2. Case Presentation



3. Discussion
| System/Category | Condition | Key Features |
|---|---|---|
| Gastrointestinal | Cyclic vomiting syndrome (CVS) | Sudden, stereotyped episodes of intense vomiting lasting hours to days; symptom-free periods in between; often family history of migraine |
| Gastroesophageal reflux disease (GERD) | Recurrent post-feeding vomiting or regurgitation; more common in infants; may cause failure to thrive | |
| Pyloric stenosis (early intermittent → later persistent) | Non-bilious projectile vomiting in infants (2–8 weeks); starts intermittently but progresses; palpable mass | |
| Intestinal malrotation with intermittent volvulus | Bilious vomiting; abdominal pain/distension; intermittent due to intermittent torsion | |
| Partial bowel obstruction (adhesions, strictures) | Intermittent vomiting with abdominal pain/distension; history of surgery may be present | |
| Constipation | Intermittent vomiting due to fecal loading/obstruction; abdominal bloating, palpable mass | |
| Neurological | Migraine (abdominal or classic) | Vomiting with episodic abdominal pain or headache, photophobia, pallor; family history of migraine |
| Increased intracranial pressure (e.g., brain tumor) | Intermittent morning vomiting, headache, worse with position change; may have papilledema or neurologic signs | |
| Metabolic/Endocrine | Inborn errors of metabolism (e.g., urea cycle defects) | Vomiting triggered by fasting or protein intake; metabolic acidosis, encephalopathy in severe cases |
| Adrenal insufficiency (Addison’s disease) | Intermittent vomiting with fatigue, hypotension, weight loss, hyperpigmentation, electrolyte disturbances | |
| Renal | UTI or hydronephrosis (intermittent) | Vomiting may accompany fever, flank pain, or be intermittent due to obstruction |
| Psychiatric/Behavioral | Rumination syndrome | Voluntary regurgitation and rechewing; typically post-meal in older children; absence of nausea |
| Psychogenic vomiting/Functional nausea | Vomiting without organic cause; often related to stress or anxiety; more common in adolescents | |
| Other/Miscellaneous | Motion sickness | Recurrent vomiting triggered by travel; improves with rest or antiemetics |
| Food allergy/intolerance (e.g., cow’s milk protein) | Recurrent vomiting associated with certain foods; may include diarrhea, eczema, or failure to thrive | |
| Medication-induced (e.g., antibiotics, iron, anticonvulsants) | Vomiting appears during or after medication use; resolves with discontinuation |
4. Conclusions
Author Contributions
Funding
Institutional Review Board Statement
Informed Consent Statement
Data Availability Statement
Conflicts of Interest
Abbreviations
| CDD | Congenital duodenal diaphragm |
| GI | Gastrointestinal |
| FTT | Failure to thrive |
| ESD | Endoscopic submucosal dissection |
| IT | Insulated-tip |
| MRI | Magnetic resonance imaging |
| GERD | Gastroesophageal reflux disease |
References
- Mousavi, S.A.; Karami, H. Congenital duodenal obstruction with delayed presentation: Seven years of experience. Arch. Med. Sci. 2016, 12, 1023–1027. [Google Scholar] [CrossRef] [PubMed]
- Fukuda, S.I.; Ichida, K. An adult case of congenital duodenal diaphragm successfully treated by endoscopic resection using a grasping-type scissor forceps. DEN Open 2022, 2, e93. [Google Scholar] [CrossRef] [PubMed]
- Poddar, U.; Jain, V.; Yachha, S.K. Congenital duodenal web: Successful management with endoscopic dilatation. Endosc. Int. Open. 2016, 4, E238–E241. [Google Scholar] [CrossRef] [PubMed]
- Melek, M.; Edirne, Y.E. Two cases of duodenal obstruction due to a congenital web. World J. Gastroenterol. 2008, 14, 1305–1307. [Google Scholar] [CrossRef] [PubMed]
- Lee, S.S.; Hwang, T.S.; Jang, N.G. Case of congenital duodenal web causing duodenal stenosis in a Down syndrome child: Endoscopic resection with an insulated-tip knife. Gut Liver 2011, 5, 105–109. [Google Scholar] [CrossRef] [PubMed]
- Jangid, M.K.; Ahmad, R. Delayed presentation of a congenital duodenal web managed successfully with incision of web. BMJ Case Rep. 2020, 13, e237307. [Google Scholar] [CrossRef] [PubMed]
- Nawaz, A.; Matta, H. Congenital duodenal diaphragm in eight children. Ann. Saudi Med. 2004, 24, 193–197. [Google Scholar] [CrossRef] [PubMed]
- Sun, S.; Zheng, S. Clinical application of endoscopic diaphragmotomy and dilation in a congenital duodenal diaphragm. Front. Pediatr. 2024, 12, 1298748. [Google Scholar] [CrossRef] [PubMed]
- Sarkar, S.; Apte, A. Vomiting and food refusal causing failure to thrive in a 2-year-old: An unusual and late manifestation of congenital duodenal web. BMJ Case Rep. 2011, 4, bcr0120113779. [Google Scholar] [CrossRef] [PubMed]
- Rich, N.; Sharma, P.G. Pediatric fluoroscopic follies: A journey through the GI tract with twists. Contemp. Diagn. Radiol. 2022, 45, 1–8. [Google Scholar] [CrossRef]
- Arslan, S.; Azizoğlu, M. The beneficial effects of the transanastomotic feeding tube in the management of congenital duodenal obstruction: A meta-analysis. Cirugía Cir. 2023, 91, 326–333. [Google Scholar] [CrossRef]
- Bethell, G.S.; Neville, J.J.; Johnson, M.J.; Turnbull, J.; Hall, N.J. Congenital duodenal obstruction repair with and without transanastomotic tube feeding: A systematic review and meta-analysis. Arch. Dis. Child. Fetal Neonatal Ed. 2024, 109, 182–188. [Google Scholar] [CrossRef] [PubMed]
- Moga, A.; Bălănescu, R.; Bălănescu, L.; Cîmpeanu, P.; Andriescu, M.; Vasile, M.E.; Caragata, R. Factors associated with postoperative complications after congenital duodenal obstruction surgery: A retrospective study. Medicina 2024, 60, 1722. [Google Scholar] [CrossRef] [PubMed]
- Wang, X.; Liu, H.; Ye, G.; Lv, Z.; Hu, Z. Successful management of membranous duodenal stenosis by endoscopic balloon dilation and membrane resection with an insulated-tip knife. Endoscopy 2022, 54, E256–E258. [Google Scholar] [CrossRef] [PubMed]
Disclaimer/Publisher’s Note: The statements, opinions and data contained in all publications are solely those of the individual author(s) and contributor(s) and not of MDPI and/or the editor(s). MDPI and/or the editor(s) disclaim responsibility for any injury to people or property resulting from any ideas, methods, instructions or products referred to in the content. |
© 2025 by the authors. Licensee MDPI, Basel, Switzerland. This article is an open access article distributed under the terms and conditions of the Creative Commons Attribution (CC BY) license (https://creativecommons.org/licenses/by/4.0/).
Share and Cite
Rogalidou, M.; Georgokosta, C.; Karas, P.M.; Dimakou, K.; Papadopoulou, A. Congenital Duodenal Diaphragm in a Toddler: A Case Report. Reports 2025, 8, 251. https://doi.org/10.3390/reports8040251
Rogalidou M, Georgokosta C, Karas PM, Dimakou K, Papadopoulou A. Congenital Duodenal Diaphragm in a Toddler: A Case Report. Reports. 2025; 8(4):251. https://doi.org/10.3390/reports8040251
Chicago/Turabian StyleRogalidou, Maria, Chrysa Georgokosta, Palagia M. Karas, Konstantina Dimakou, and Alexandra Papadopoulou. 2025. "Congenital Duodenal Diaphragm in a Toddler: A Case Report" Reports 8, no. 4: 251. https://doi.org/10.3390/reports8040251
APA StyleRogalidou, M., Georgokosta, C., Karas, P. M., Dimakou, K., & Papadopoulou, A. (2025). Congenital Duodenal Diaphragm in a Toddler: A Case Report. Reports, 8(4), 251. https://doi.org/10.3390/reports8040251

