Granulomatous Reactions Following the Injection of Multiple Aesthetic Microimplants: A Complication Associated with Excessive Filler Exposure in a Predisposed Patient
Abstract
1. Introduction and Clinical Significance
2. Case Presentation
3. Discussion
4. Conclusions
Author Contributions
Funding
Institutional Review Board Statement
Informed Consent Statement
Data Availability Statement
Conflicts of Interest
Correction Statement
References
- Ballin, A.C.; Brandt, F.S.; Cazzaniga, A. Dermal fillers: An update. Am. J. Clin. Dermatol. 2015, 16, 271–283. [Google Scholar] [CrossRef]
- Wongprasert, P.; Dreiss, C.A.; Murray, G. Evaluating hyaluronic acid dermal fillers: A critique of current characterization methods. Dermatol. Ther. 2022, 35, e15453. [Google Scholar] [CrossRef] [PubMed]
- Breithaupt, A.; Fitzgerald, R. Collagen Stimulators: Poly-L-Lactic Acid and Calcium Hydroxyl Apatite. Facial Plast. Surg. Clin. N. Am. 2015, 23, 459–469. [Google Scholar] [CrossRef]
- Fitzgerald, R.; Bass, L.M.; Goldberg, D.J.; Graivier, M.H.; Lorenc, Z.P. Physiochemical Characteristics of Poly-L-Lactic Acid (PLLA). Aesthet. Surg. J. 2018, 38 (Suppl. 1), S13–S17. [Google Scholar] [CrossRef]
- Urdiales-Gálvez, F.; Delgado, N.E.; Figueiredo, V.; Lajo-Plaza, J.V.; Mira, M.; Moreno, A.; Ortíz-Martí, F.; Del Rio-Reyes, R.; Romero-Álvarez, N.; Del Cueto, S.R.; et al. Treatment of Soft Tissue Filler Complications: Expert Consensus Recommendations. Aesthetic Plast. Surg. 2018, 42, 498–510. [Google Scholar] [CrossRef]
- Trinh, L.N.; Gupta, A. Non-Hyaluronic Acid Fillers for Midface Augmentation: A Systematic Review. Facial Plast. Surg. 2021, 37, 536–542. [Google Scholar] [CrossRef]
- Lim, T. Facial Overfilled Syndrome. Dermatol. Clin. 2024, 42, 121–128. [Google Scholar] [CrossRef] [PubMed]
- Wang, Y.; Massry, G.; Holds, J.B. Complications of Periocular Dermal Fillers. Facial Plast. Surg. Clin. N. Am. 2021, 29, 349–357. [Google Scholar] [CrossRef] [PubMed]
- Kyriazidis, I.; Spyropoulou, G.A.; Zambacos, G.; Tagka, A.; Rakhorst, H.A.; Gasteratos, K.; Berner, J.E.; Mandrekas, A. Adverse Events Associated with Hyaluronic Acid Filler Injection for Non-surgical Facial Aesthetics: A Systematic Review of High Level of Evidence Studies. Aesthetic Plast. Surg. 2024, 48, 719–741. [Google Scholar] [CrossRef]
- Narins, R.S.; Beer, K. Liquid injectable silicone: A review of its history, immunologic response, and use in esthetics. Dermatol. Surg. 2006, 32, 309–319. [Google Scholar]
- Hirsch, R.J.; Cohen, J.L.; Carruthers, J.D. Successful management of persistent granulomatous reactions to dermal fillers. Dermatol. Surg. 2006, 32, 928–934. [Google Scholar]
- Lin, S.L.; Christen, M.O. Polycaprolactone-based dermal filler complications: A retrospective study of 1111 treatments. J. Cosmet. Dermatol. 2020, 19, 1907–1914. [Google Scholar] [CrossRef]
- Daoud, M.S.; Gibson, L.E.; DeRemee, R.A.; Specks, U.; el-Azhary, R.A.; Su, W.D. Cutaneous Wegener’s granulomatosis: Clinical, histopathologic, and immunopathologic features of thirty patients. J. Am. Acad. Dermatol. 1994, 31, 605–612. [Google Scholar] [CrossRef]
- Finkielman, J.D. ANCA are detectable in nearly all patients with active severe Wegener’s granulomatosis. Am. J. Med. 2007, 120, 643.e9–643.e14. [Google Scholar] [CrossRef] [PubMed]
- Harper, S.L.; Letko, E.R.; Samson, C.M.; Zafirakis, P.A.; Sangwan, V.I.; Nguyen, Q.U.; Uy, H.A.; Baltatzis, S.T.; Foster, C.S. Wegener’s granulomatosis: The relationship between ocular and systemic disease. J. Rheumatol. 2001, 28, 1025. [Google Scholar]
- Hammar, S.P. Granulomatous vasculitis. Semin. Respir. Infect. 1995, 10, 107–120. [Google Scholar]
- Greco, A.; Marinelli, C.; Fusconi, M.; Macri, G.F.; Gallo, A.; De Virgilio, A.; Zambetti, G.; de Vincentiis, M. Clinic manifestations in granulomatosis with polyangiitis. Int. J. Immunopathol. Pharmacol. 2016, 29, 151–159. [Google Scholar] [CrossRef] [PubMed] [PubMed Central]
- Pagnoux, C.; Guillevin, L. Treatment of granulomatosis with polyangiitis (Wegener’s). Expert Rev. Clin. Immunol. 2015, 11, 339–348. [Google Scholar] [CrossRef] [PubMed]
- Mu, E.W.; Stokar, E.; Franks, L.; Meehan, S.A. Histopathologic reaction patterns to differentially cross-linked hyaluronic acid fillers: A retrospective case series. J. Cutan. Pathol. 2021, 48, 758–762. [Google Scholar] [CrossRef]
- Wiest, L.G.; Stolz, W.; Schroeder, J.A. Electron microscopic documentation of late changes in permanent fillers and clinical management of granulomas in affected patients. Dermatol. Surg. 2009, 35 (Suppl. 2), 1681–1688. [Google Scholar] [CrossRef]
- Mojallal, A.; Schelke, L.; Velthuis, P.J.; Boucher, F.; Henry, G. Ultrasound assisted hyaluronic acid vascular adverse event management based on the vascular anatomy. Ann. Chir. Plast. Esthet. 2024, 69, 674–680. [Google Scholar] [CrossRef]
- Machado, R.A.; Oliveira, L.Q.; Martelli-Júnior, H.; Pires, F.R.; Carvas, J.B.; Rogerio, V.E.; Rabelo, V.D.; Coletta, R.D. Adverse reactions to the injection of face and neck aesthetic filling materials: A systematic review. Med. Oral. Patol. Oral. Cir. Bucal 2023, 28, e278–e284. [Google Scholar] [CrossRef]
- Molina-Ruiz, A.M.; Requena, L. Foreign Body Granulomas. Dermatol. Clin. 2015, 33, 497–523. [Google Scholar] [CrossRef]
- Woodward, J.; Khan, T.; Martin, J. Facial Filler Complications. Facial Plast. Surg. Clin. N. Am. 2015, 23, 447–458. [Google Scholar] [CrossRef]
- Feller-Heppt, G.; Haneke, E.; Heppt, M.V. Diagnosis and management of filler adverse effects: An algorithm. Facial Plast. Surg. 2014, 30, 647–655. [Google Scholar] [CrossRef][Green Version]
- Ledon, J.A.; Savas, J.A.; Yang, S.; Franca, K.; Camacho, I.; Nouri, K. Inflammatory nodules following soft tissue filler use: A review of causative agents, pathology and treatment options. Am. J. Clin. Dermatol. 2013, 14, 401–411. [Google Scholar] [CrossRef]
- Plantier, F. Leçons sur les réactions aux produits de comblement à visée esthétique [Lessons on reactions to aesthetic fillers]. Ann. Pathol. 2024, 44, 491–497. [Google Scholar] [CrossRef]
- Jonathan, A.K.; Wim, V.; Erik, W.P.N.; Rick, H. Permanent fillers: Detection of CD123+ plasmacytoid dendritic cells. Am. J. Dermatopathol. 2015, 37, 107–114. [Google Scholar] [CrossRef]
- Heppt, M.; Hartmann, D.; Reinholz, M.; Feller-Heppt, G.; Ruzicka, T.; Gauglitz, G.G. Fillers and associated side effects. HNO 2015, 63, 472–480. [Google Scholar] [CrossRef]
- Trinh, L.N.; Grond, S.E.; Gupta, A. Dermal Fillers for Tear Trough Rejuvenation: A Systematic Review. Facial Plast. Surg. 2022, 38, 228–239. [Google Scholar] [CrossRef]
- Descamps, V.; Landry, J.; Francès, C.; Marinho, E.; Ratziu, V.; Chosidow, O. Facial cosmetic filler injections as possible target for systemic sarcoidosis in patients treated with interferon for chronic hepatitis C: Two cases. Dermatology 2008, 217, 81–84. [Google Scholar] [CrossRef] [PubMed]
- Gladstone, H.B.; Cohen, J.L. Adverse effects when injecting facial fillers. Semin. Cutan. Med. Surg. 2007, 26, 34–39. [Google Scholar] [CrossRef] [PubMed]
- Matarasso, S.L.; Herwick, R. Hypersensitivity reaction to nonanimal stabilized hyaluronic acid. J. Am. Acad. Dermatol. 2006, 55, 128–131. [Google Scholar] [CrossRef]
- Reisberger, E.M.; Landthaler, M.; Wiest, L.; Schröder, J.; Stolz, W. Foreign body granulomas caused by polymethylmethacrylate microspheres: Successful treatment with allopurinol. Arch. Dermatol. 2003, 139, 17–20. [Google Scholar] [CrossRef]
- Alijotas-Reig, J.; Esteve-Valverde, E.; Gil-Aliberas, N.; Garcia-Gimenez, V. Autoimmune/inflammatory syndrome induced by adjuvants–ASIA-related to biomaterials: Analysis of 45 cases and comprehensive review of the literature. Immunol. Res. 2018, 66, 120–140. [Google Scholar] [CrossRef]
- Hooks, J.S.T.; Yang, B.; Maestas, D.R., Jr.; Andorko, J.I.; Ruta, A.; Mejias, J.C.; Kelly, S.H.; Hee, C.K.; Elisseeff, J.H. Innate and Adaptive Immune Responses to Clinical Hyaluronic Acid Fillers. J. Cosmet. Dermatol. 2025, 24, e70292. [Google Scholar] [CrossRef] [PubMed]
- Lemperle, G.; Morhenn, V.; Charrier, U. Human Histology and Persistence of Various Injectable Filler Substances for Soft Tissue Augmentation. Aesthetic Plast. Surg. 2020, 44, 1348–1360. [Google Scholar] [CrossRef]
- Kim, D.H.; Jeong, C.H.; Han, J.H.; Lim, S.J.; Kwon, H.C.; Kim, Y.J.; Keum, D.H.; Lee, K.H.; Han, S.G. Comparative toxicity study of hyaluronic acid fillers crosslinked with 1,4-butanediol diglycidyl ether or poly(ethylene glycol) diglycidyl ether. Int. J. Biol. Macromol. 2025, 296, 139620. [Google Scholar] [CrossRef]
- Narins, R.S. Minimizing adverse events associated with poly-L-lactic acid injection. Dermatol. Surg. 2008, 34 (Suppl. 1), S100–S104. [Google Scholar] [CrossRef]
- De Boulle, K.; Heydenrych, I. Patient factors influencing dermal filler complications: Prevention, assessment, and treatment. Clin. Cosmet. Investig. Dermatol. 2015, 8, 205–214. [Google Scholar] [CrossRef]
- Abdulahad, W.H.; Lepse, N.; Stegeman, C.A.; Huitema, M.G.; Doornbos-van der Meer, B.; Tadema, H.; Rutgers, A.; Limburg, P.C.; Kallenberg, C.G.; Heeringa, P. Increased frequency of circulating IL-21 producing Th-cells in patients with granulomatosis with polyangiitis (GPA). Arthritis Res. Ther. 2013, 15, R70. [Google Scholar] [CrossRef]
- Kwon, H.; Ko, G.; Choi, J.; Ha, Y.; Kim, S.; Kim, J.H.; Oh, S.H.; Song, S.H. Aesthetic Removal of Foreign Body Granulomas of Forehead Via Pretrichial Approach. J. Craniofac Surg. 2022, 33, 1591–1595. [Google Scholar] [CrossRef]
- Felix Bravo, B.; Bezerra de Menezes Penedo, L.; de Melo Carvalho, R.; Amante Miot, H.; Calomeni Elias, M. Improvement of Facial Skin Laxity by a Combined Technique with Hyaluronic Acid and Calcium Hydroxylapatite Fillers: A Clinical and Ultrasonography Analysis. J. Drugs Dermatol. 2022, 21, 102–106. [Google Scholar] [CrossRef] [PubMed]
- Cassuto, D.; Sundaram, H. A problem-oriented approach to nodular complications from hyaluronic acid and calcium hydroxylapatite fillers: Classification and recommendations for treatment. Plast. Reconstr. Surg. 2013, 132 (Suppl. 2), 48S–58S. [Google Scholar] [CrossRef]
- Friedmann, D.P.; Mehta, E.; Verma, K.K.; Mishra, V. Delayed inflammatory nodule from predominantly low-molecular-weight hyaluronic acid filler secondary to COVID-19 infection. J. Cosmet. Laser Ther. 2025, 27, 102–103. [Google Scholar] [CrossRef]
- de Sousa, A.M.S.; Duarte, A.C.; Decnop, M.; Guimarães, D.F.; Coelho Neto, C.A.F.; Sarpi, M.O.; Duarte, L.G.P.; Souza, S.A.; Segato, L.F.; Zavariz, J.D.; et al. Imaging Features and Complications of Facial Cosmetic Procedures. Radiographics 2023, 43, e230060. [Google Scholar] [CrossRef] [PubMed]
- Schelke, L.W.; Van Den Elzen, H.J.; Erkamp, P.P.; Neumann, H.A. Use of ultrasound to provide overall information on facial fillers and surrounding tissue. Dermatol. Surg. 2010, 36 (Suppl. 3), 1843–1851. [Google Scholar] [CrossRef]
- Scotto di Santolo, M.; Massimo, C.; Tortora, G.; Romeo, V.; Amitrano, M.; Brunetti, A.; Imbriaco, M. Clinical value of high-resolution (5–17 MHz) echo-color Doppler (ECD) for identifying filling materials and assessment of damage or complications in aesthetic medicine/surgery. Radiol. Med. 2019, 124, 568–574. [Google Scholar] [CrossRef]
- Lemperle, G.; Gauthier-Hazan, N. Foreign body granulomas after all injectable dermal fillers: Part 2. Treatment options. Plast. Reconstr. Surg. 2009, 123, 1864–1873. [Google Scholar] [CrossRef]
- Pompeu, M.; Lima, V.; Magalhaes, H.L.; Regattieri, N.; Costa, I.M.C. Foreign body granuloma treatment with 22-MHz ultrasound-guided corticoid infiltration. J. Cosmet. Dermatol. 2019, 18, 908–909. [Google Scholar] [CrossRef] [PubMed]
- Lee, J.M.; Kim, Y.J. Foreign body granulomas after the use of dermal fillers: Pathophysiology, clinical appearance, histologic features, and treatment. Arch. Plast. Surg. 2015, 42, 232–239. [Google Scholar] [CrossRef] [PubMed]
- Lim, T.S.; Liew, S.; Tee, X.J.; Chong, I.; Lo, F.J.; Ho, M.J.; Ong, K.; Cavallini, M. Polynucleotides HPT for Asian Skin Regeneration and Rejuvenation. Clin. Cosmet. Investig. Dermatol. 2024, 17, 417–431. [Google Scholar] [CrossRef]
- Kanchwala, S.K.; Holloway, L.; Bucky, L.P. Reliable soft tissue augmentation: A clinical comparison of injectable soft-tissue fillers for facial-volume augmentation. Ann. Plast. Surg. 2005, 55, 30–35. [Google Scholar] [CrossRef]
- von Arx, T.; Tamura, K.; Yukiya, O.; Lozanoff, S. The Face—A Vascular Perspective. A literature review. Swiss Dent. J. 2018, 128, 382–392. [Google Scholar] [CrossRef]
- Michon, A. Hyaluronic acid soft tissue filler delayed inflammatory reaction following COVID-19 vaccination—A case report. J. Cosmet. Dermatol. 2021, 20, 2684–2690. [Google Scholar] [CrossRef] [PubMed]
- Hong, G.W.; Hu, H.; Chang, K.; Park, Y.; Lee, K.W.A.; Chan, L.K.W.; Yi, K.H. Review of the Adverse Effects Associated with Dermal Filler Treatments: Part I Nodules, Granuloma, and Migration. Diagnostics 2024, 14, 1640. [Google Scholar] [CrossRef] [PubMed]

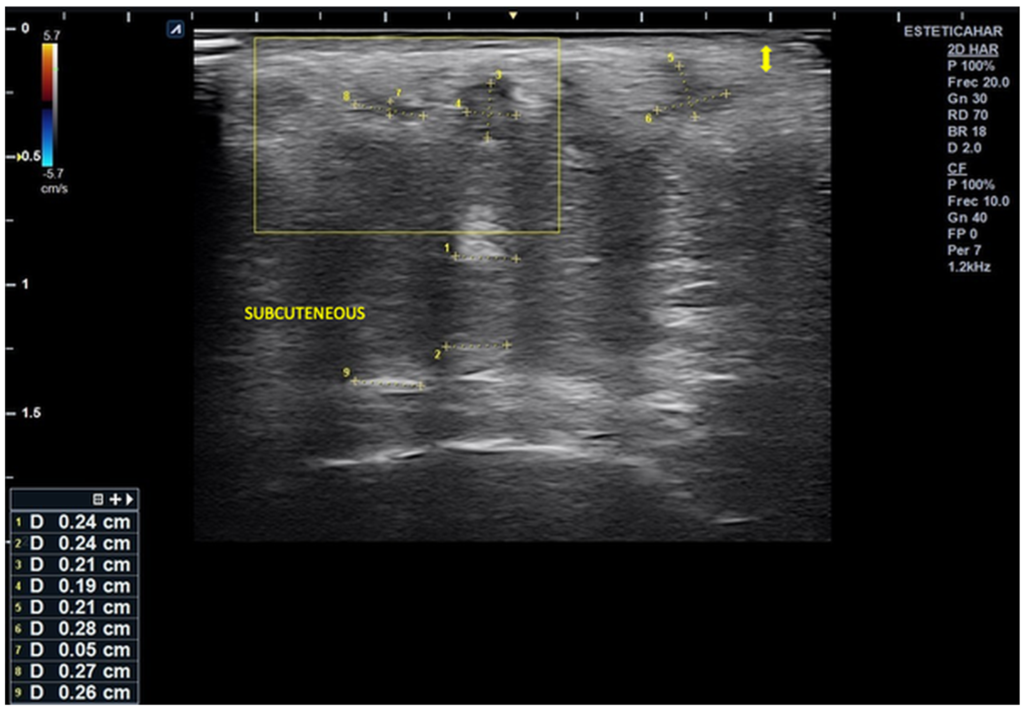
). The scan reveals alternating hyper- and hypoechoic columnar areas extending from the posterior dermis to the bone plane, which hinder clear differentiation of tissue layers based on echogenicity. The largest area, measuring 0.24 cm in width, is most likely associated with deposits of hybrid material (hyperdiluted collagen stimulator). Additionally, three smaller, rounded hypoechoic deposits are observed in the more superficial subcutaneous region. The largest of these measures 0.27 × 0.26 cm and is likely associated with poor integration of the injected material, without evidence of increased microvascularization.
). The scan reveals alternating hyper- and hypoechoic columnar areas extending from the posterior dermis to the bone plane, which hinder clear differentiation of tissue layers based on echogenicity. The largest area, measuring 0.24 cm in width, is most likely associated with deposits of hybrid material (hyperdiluted collagen stimulator). Additionally, three smaller, rounded hypoechoic deposits are observed in the more superficial subcutaneous region. The largest of these measures 0.27 × 0.26 cm and is likely associated with poor integration of the injected material, without evidence of increased microvascularization.



Disclaimer/Publisher’s Note: The statements, opinions and data contained in all publications are solely those of the individual author(s) and contributor(s) and not of MDPI and/or the editor(s). MDPI and/or the editor(s) disclaim responsibility for any injury to people or property resulting from any ideas, methods, instructions or products referred to in the content. |
© 2025 by the authors. Licensee MDPI, Basel, Switzerland. This article is an open access article distributed under the terms and conditions of the Creative Commons Attribution (CC BY) license (https://creativecommons.org/licenses/by/4.0/).
Share and Cite
Tafur, M.G.; Rodríguez-Cerdeira, C. Granulomatous Reactions Following the Injection of Multiple Aesthetic Microimplants: A Complication Associated with Excessive Filler Exposure in a Predisposed Patient. Reports 2025, 8, 194. https://doi.org/10.3390/reports8040194
Tafur MG, Rodríguez-Cerdeira C. Granulomatous Reactions Following the Injection of Multiple Aesthetic Microimplants: A Complication Associated with Excessive Filler Exposure in a Predisposed Patient. Reports. 2025; 8(4):194. https://doi.org/10.3390/reports8040194
Chicago/Turabian StyleTafur, Marjorie Garcerant, and Carmen Rodríguez-Cerdeira. 2025. "Granulomatous Reactions Following the Injection of Multiple Aesthetic Microimplants: A Complication Associated with Excessive Filler Exposure in a Predisposed Patient" Reports 8, no. 4: 194. https://doi.org/10.3390/reports8040194
APA StyleTafur, M. G., & Rodríguez-Cerdeira, C. (2025). Granulomatous Reactions Following the Injection of Multiple Aesthetic Microimplants: A Complication Associated with Excessive Filler Exposure in a Predisposed Patient. Reports, 8(4), 194. https://doi.org/10.3390/reports8040194

