High-Grade Solid Adenoid Cystic Carcinoma of the Larynx: A Case Report
Abstract
1. Introduction and Clinical Significance
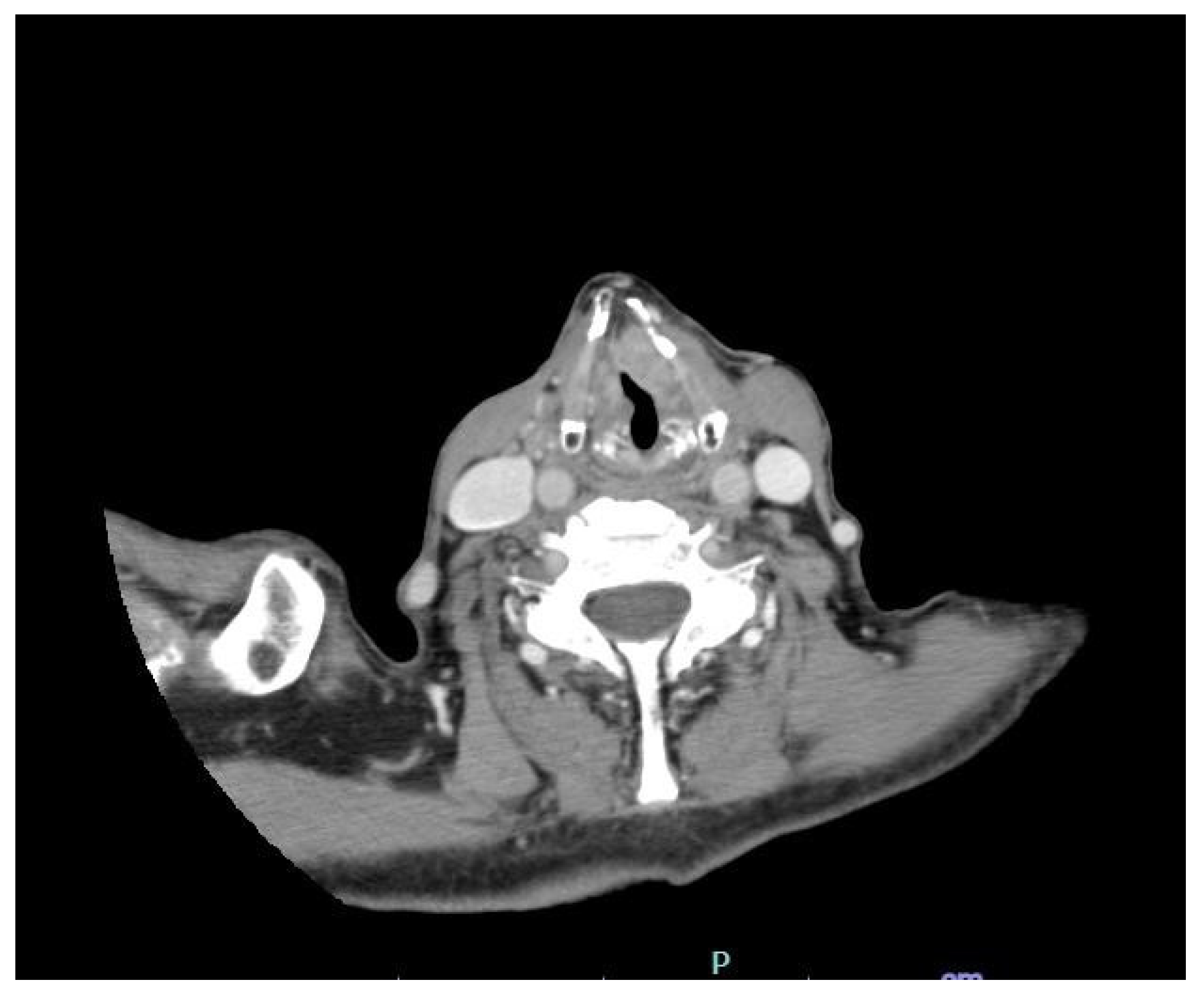
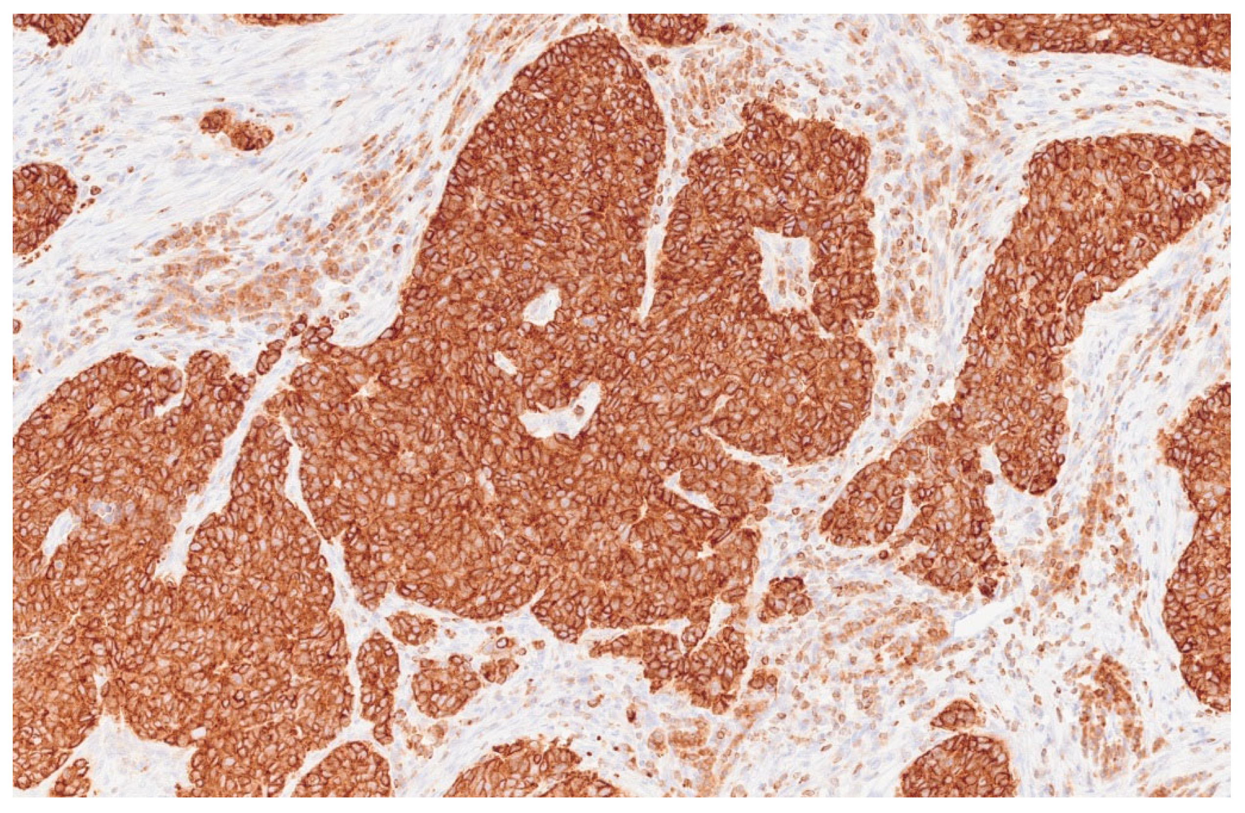
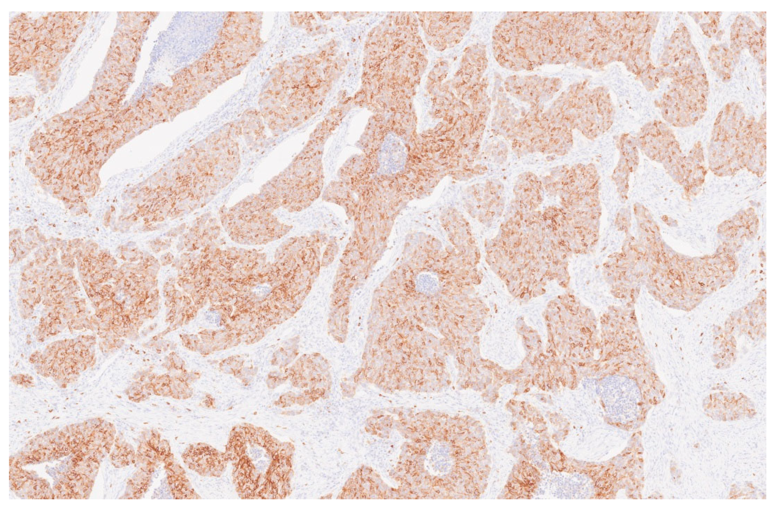
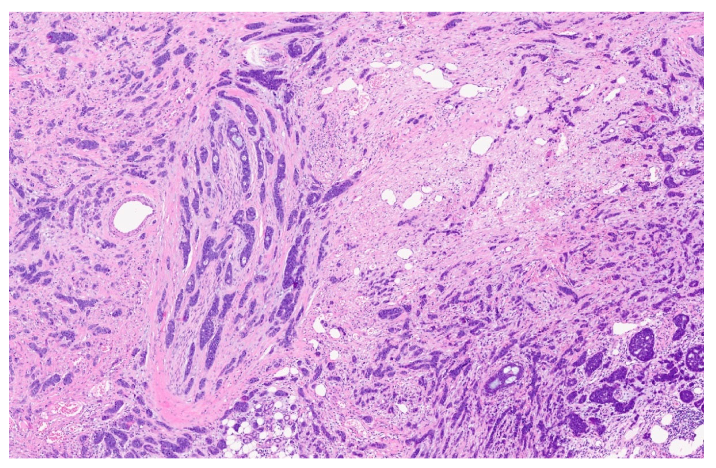
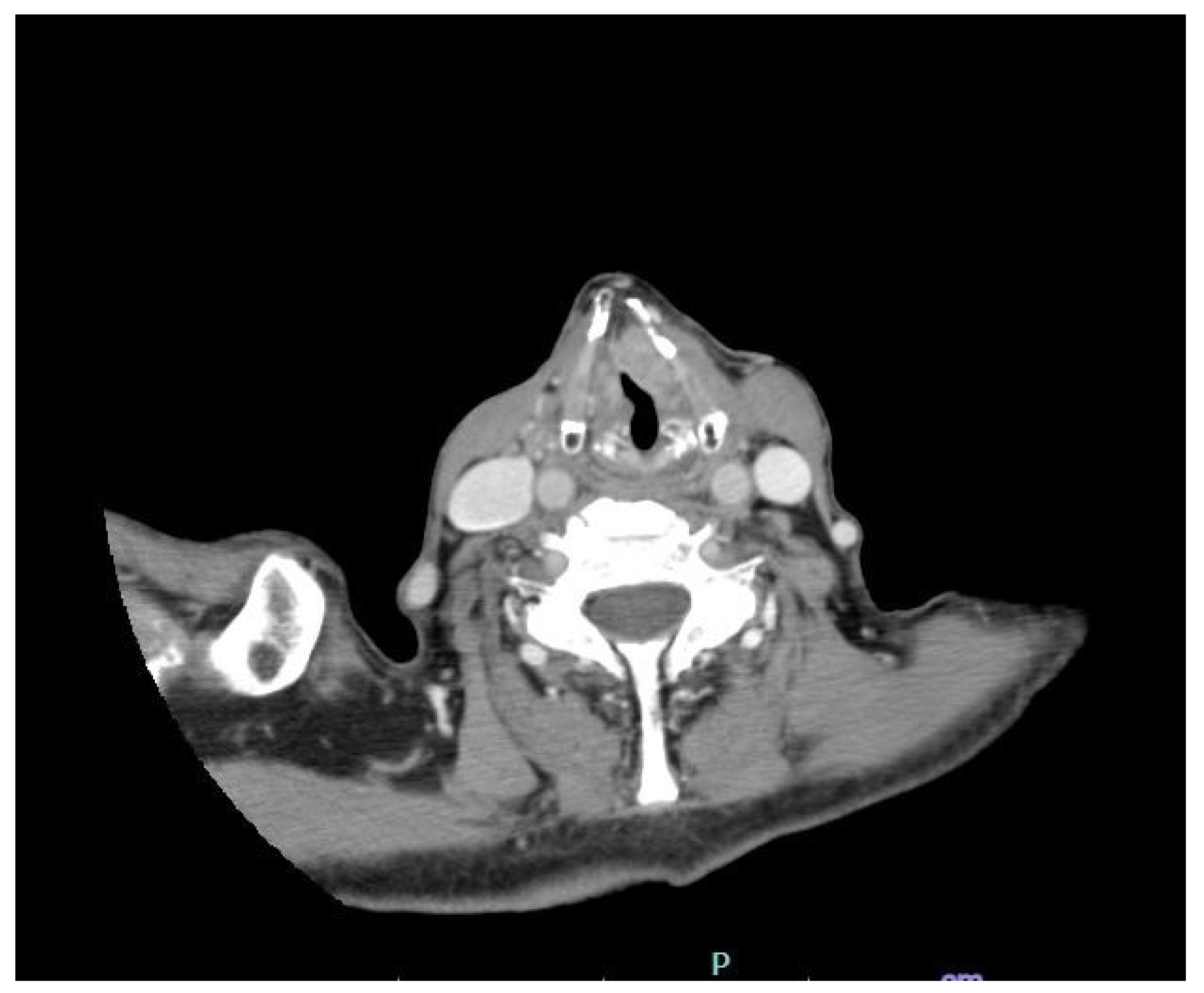
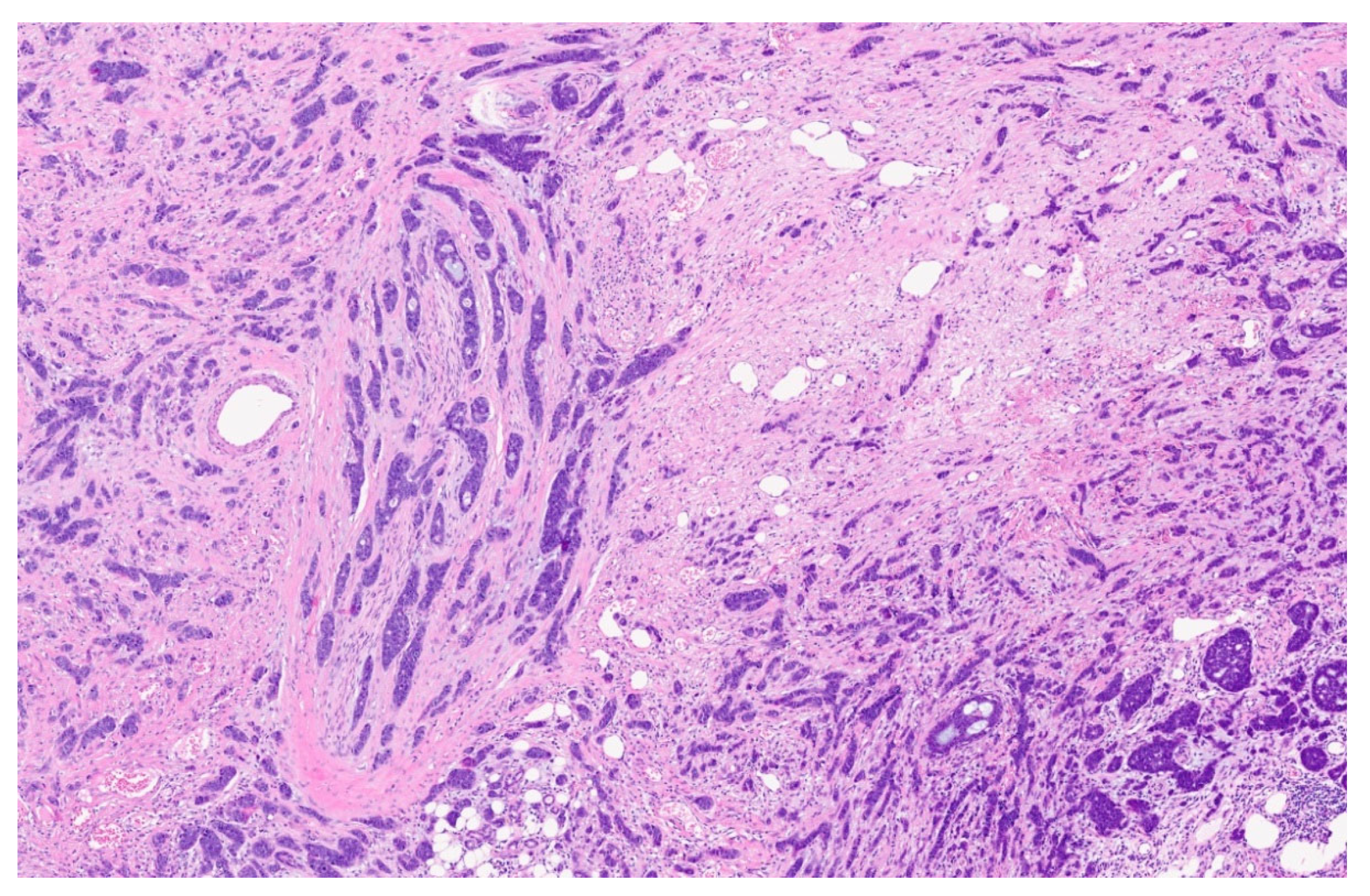
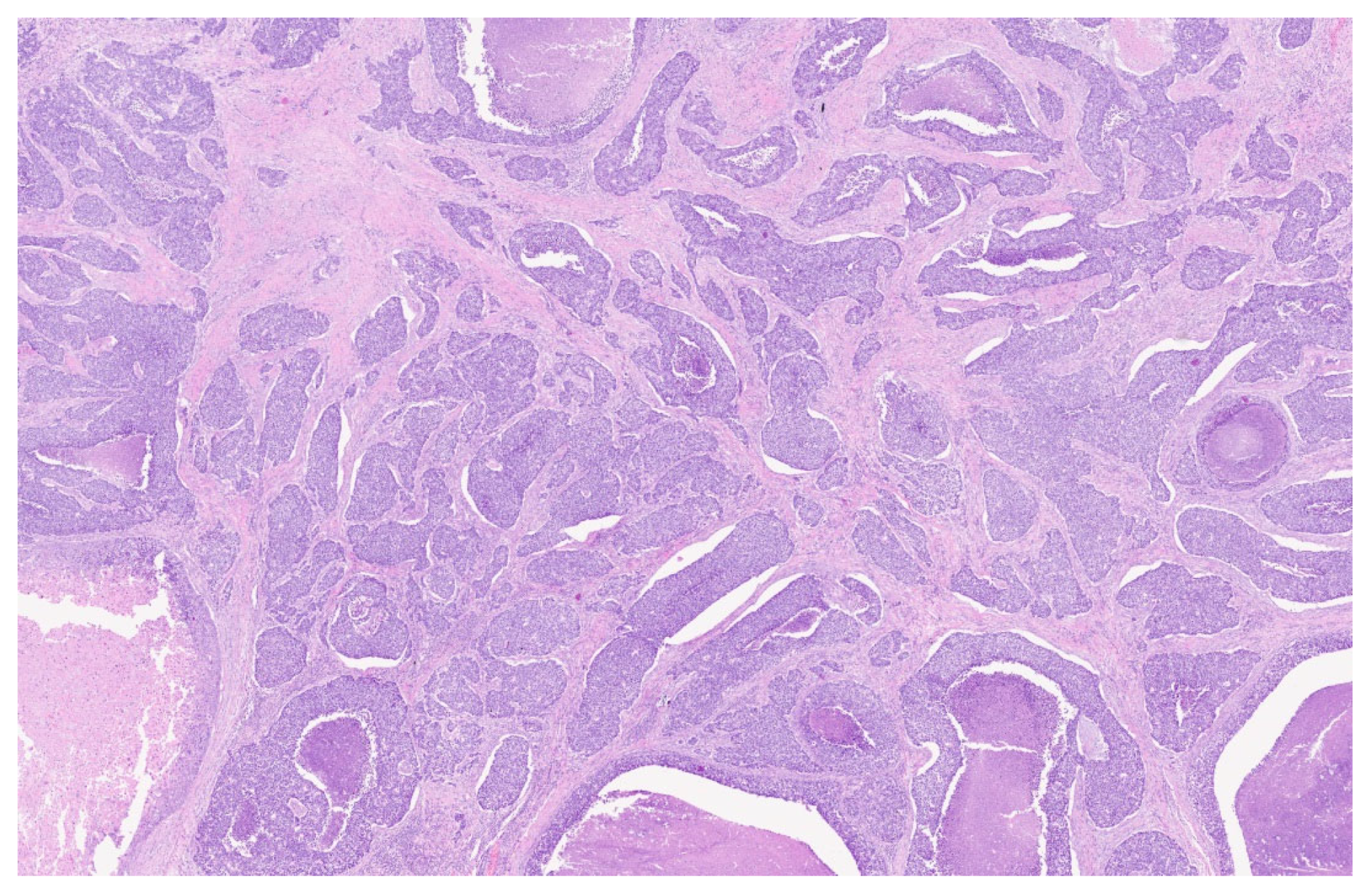
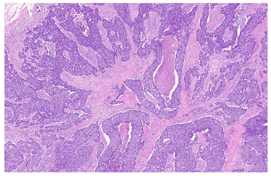
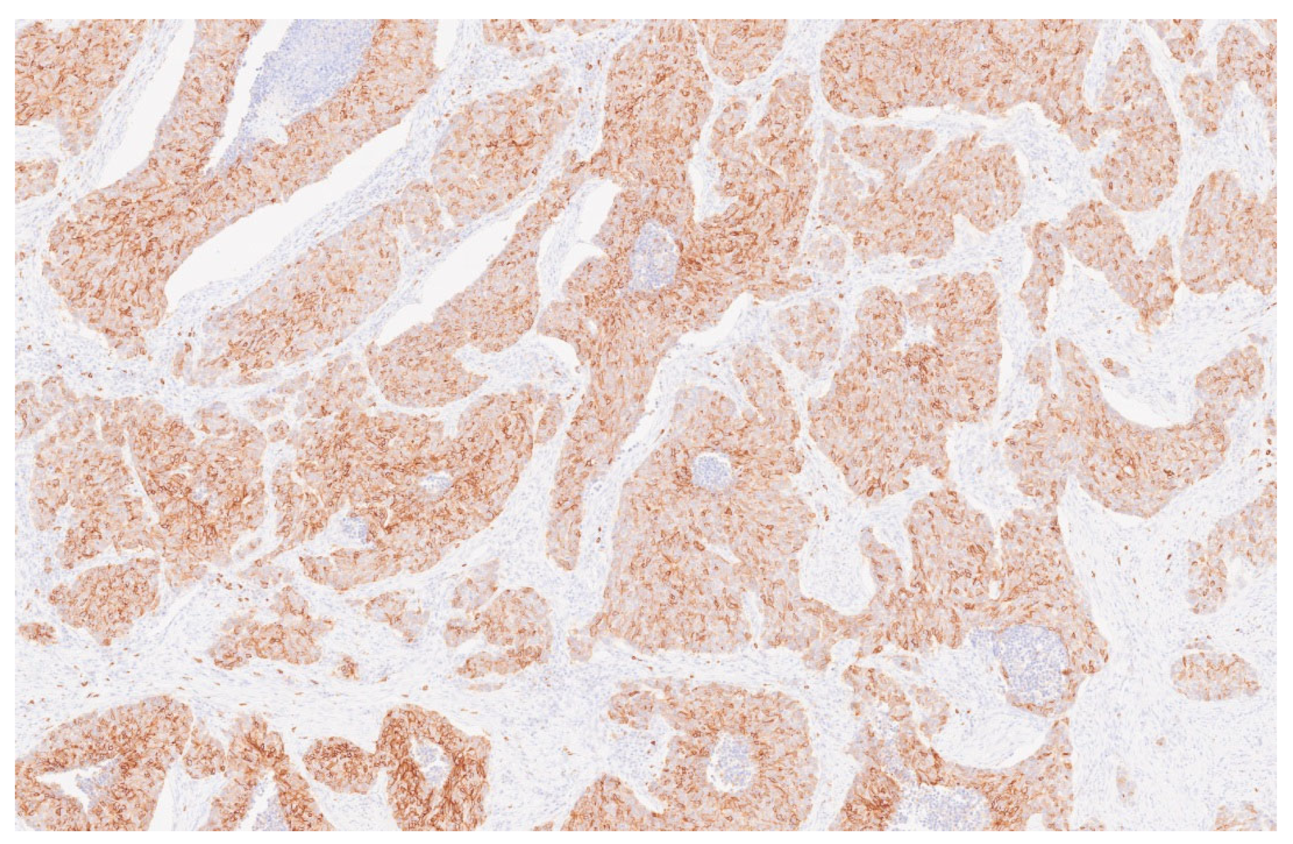
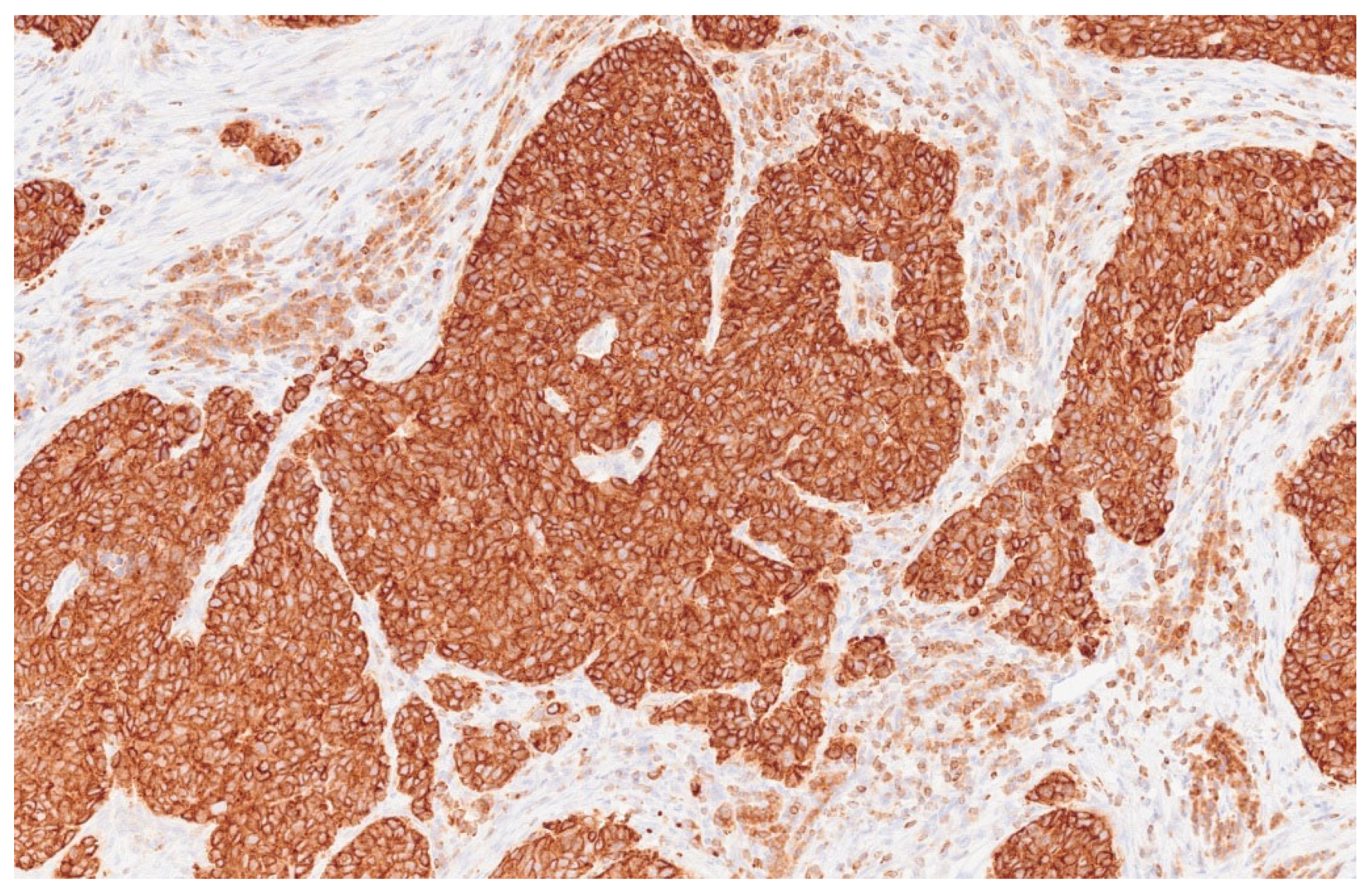
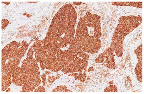
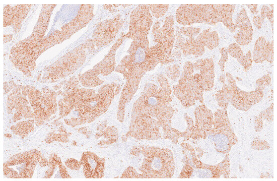
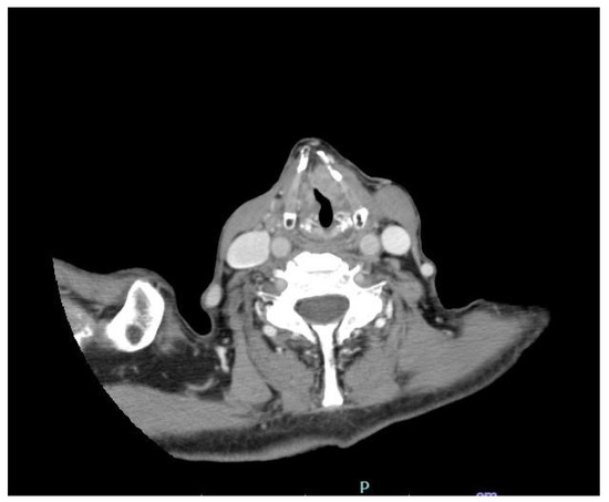
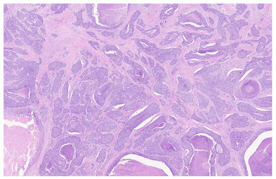
2. Case Presentation
3. Discussion
4. Conclusions
Author Contributions
Funding
Institutional Review Board Statement
Informed Consent Statement
Data Availability Statement
Conflicts of Interest
References
- Ricciardiello, F.; Addeo, R.; Di Lullo, A.M.; Abate, T.; Mazzone, S.; Oliva, F.; Motta, G.; Caraglia, M.; Mesolella, M. Adenoid cystic carcinoma of the larynx in a 70-year-old patient: A case report. Oncol. Lett. 2018, 16, 2783–2788. [Google Scholar] [CrossRef] [PubMed]
- Anupriya, S.; Mahesh, P.; Sharada, P.; Swaminathan, U.; Nagamalini, B.; Hosthor, S.S. Immunohistochemical analysis of laminin expression in adenoid cystic carcinoma. J. Oral. Maxillofac. Pathol. 2014, 18 (Suppl. 1), S26–S31. [Google Scholar] [CrossRef] [PubMed]
- Barrett, A.W.; Speight, P.M. Perineural invasion in adenoid cystic carcinoma of the salivary glands: A valid prognostic indicator? Oral. Oncol. 2009, 45, 936–940. [Google Scholar] [CrossRef]
- Saraydaroglu, O.; Coskun, H.; Kasap, M. Unique presentation of adenoid cystic carcinoma in postcricoid region: A case report and review of the literature. Head. Neck Pathol. 2011, 5, 413–415. [Google Scholar] [CrossRef][Green Version]
- Ganly, I.; Patel, S.G.; Coleman, M.; Ghossein, R.; Carlson, D.; Shah, J.P. Malignant minor salivary gland tumors of the larynx. Arch. Otolaryngol. Head. Neck Surg. 2006, 132, 767–770. [Google Scholar] [CrossRef]
- Serafini, I.; Lucioni, M.; Bittesini, L.; Dei Tos, A.P.; Della Libera, D. Treatment of laryngeal adenoid cystic carcinoma. Acta Otorhinolaryngol. Ital. 1991, 11, 13–24. (In Italian) [Google Scholar]
- Karasmanis, I.; Goudakos, J.K.; Vital, I.; Zarampoukas, T.; Vital, V.; Markou, K. Hybrid carcinoma of the larynx: A case report (adenoid cystic and adenocarcinoma) and review of the literature. Case Rep. Otolaryngol. 2013, 2013, 385405. [Google Scholar] [CrossRef]
- Marchiano, E.; Chin, O.Y.; Fang, C.H.; Park, R.C.; Baredes, S.; Eloy, J.A. Laryngeal adenoid cystic carcinoma: A systematic review. Otolaryngol.–Head. Neck Surg. 2016, 154, 433–439. [Google Scholar] [CrossRef]
- Nielsen, T.K.; Bjørndal, K.; Krogdahl, A.; Primdahl, H.; Kristensen, C.A.; Andersen, E.; Godballe, C. Salivary gland carcinomas of the larynx: A national study in Denmark. Auris Nasus Larynx 2012, 39, 611–614. [Google Scholar] [CrossRef]
- Moukarbel, R.V.; Goldstein, D.P.; O’Sullivan, B.; Gullane, P.J.; Brown, D.H.; Wang, L.; Irish, J.C. Adenoid cystic carcinoma of the larynx: A 40-year experience. Head. Neck 2008, 30, 919–924. [Google Scholar] [CrossRef]
- Lee, L.A.; Fang, T.J.; Li, H.Y.; Lee, K.F. Adenoid cystic carcinoma of the supraglottis mimicking a laryngeal cyst. Otolaryngol. Head. Neck Surg. 2003, 129, 157–158. [Google Scholar] [CrossRef]
- Lionello, M.; Canal, F.; Presotto, F.; Palumbo, R.; Rizzotto, G.; Bertolin, A. Laryngeal adenoid cystic carcinoma: Radical or conservative surgery? Am. J. Otolaryngol. 2021, 42, 102974. [Google Scholar] [CrossRef]
- Soares, E.C.; Filho Carreiro, F.P.; Costa, F.W.; Vieira, A.C.; Alves, A.P. Adenoid cystic carcinoma of the tongue: Case report and literature review. Med. Oral. Pathol. Oral. Cir. Bucal. 2008, 13, E475–E478. [Google Scholar]
- Haddad, R.I.; Posner, M.R.; Busse, P.M.; Norris, C.M., Jr.; Goguen, L.A.; Wirth, L.J.; Blinder, R.; Krane, J.F.; Tishler, R.B. Chemoradiotherapy for adenoid cystic carcinoma: Preliminary results of an organ sparing approach. Am. J. Clin. Oncol. 2006, 29, 153–157. [Google Scholar] [CrossRef] [PubMed]
- Liu, W.; Chen, X. Adenoid cystic carcinoma of the larynx: A report of six cases with review of the literature. Acta Otolaryngol. 2015, 135, 489–493. [Google Scholar] [CrossRef]
- Ferlito, A.; Barnes, L.; Myers, E.N. Neck dissection for laryngeal adenoid cystic carcinoma: Is it indicated? Ann. Otol. Rhinol. Laryngol. 1990, 99, 227–278. [Google Scholar] [CrossRef] [PubMed]
- Misiukiewicz, K.J.; Camille, N.; Tishler, R.; Haddad, R.; Limaye, S.; Posner, M. Organ preservation for adenoid cystic carcinoma of the larynx. Oncologist 2013, 18, 579–583. [Google Scholar] [CrossRef]
- Mur, T.; Jaleel, Z.; Agarwal, P.; Edwards, H.A. Adenoid cystic carcinoma of the larynx: A seer database review. Ear Nose Throat J. 2022, 101, 587–592. [Google Scholar] [CrossRef]
- Li, G.; Chen, J.; Zhang, S.; Lin, J.; Kong, F.; Cai, F.; Yang, S. Adenoid cystic carcinoma of the larynx: A report of two cases. Oncol. Lett. 2015, 10, 2303–2306. [Google Scholar] [CrossRef][Green Version]
- Dubal, P.M.; Svider, P.F.; Folbe, A.J.; Lin, H.S.; Park, R.C.; Baredes, S.; Eloy, J.A. Laryngeal adenoid cystic carcinoma: A population-based perspective. Laryngoscope 2015, 125, 2485–2490. [Google Scholar] [CrossRef]
- Meyers, M.; Granger, B.; Herman, P.; Janot, F.; Garrel, R.; Fakhry, N.; Poissonnet, G.; Baujat, B.; REFCOR members. Head and neck adenoid cystic carcinoma: A prospective multicenter REFCOR study of 95 cases. Eur. Ann. Otorhinolaryngol. Head. Neck Dis. 2016, 133, 13–17. [Google Scholar] [CrossRef] [PubMed]
- Coca-Pelaz, A.; Barnes, L.; Rinaldo, A.; Cardesa, A.; Shah, J.P.; Rodrigo, J.P.; Suárez, C.; Eloy, J.A.; Bishop, J.A.; Devaney, K.O.; et al. Cervical lymph node metastasis in adenoid cystic carcinoma of the larynx: A collective international review. Adv. Ther. 2016, 33, 553–579. [Google Scholar] [CrossRef][Green Version]
- Karatayli-Ozgursoy, S.; Bishop, J.A.; Hillel, A.T.; Akst, L.M.; Best, S.R. Malignant salivary gland tumours of the larynx: A single institution review. Acta Otorhinolaryngol. Ital. 2016, 36, 289–294. [Google Scholar] [CrossRef]
- Kashiwagi, T.; Kanaya, H.; Konno, W.; Goto, K.; Hirabayashi, H.; Haruna, S. Adenoid cystic carcinoma of the larynx presenting with unusual subglottic mass: Case report. Auris Nasus Larynx. 2016, 43, 562–565. [Google Scholar] [CrossRef] [PubMed]
- Shirian, S.; Maghbool, M.; Aledavood, A.; Negahban, S.; Khademi, B.; Daneshbod, Y. Adenoid Cystic Carcinoma of the Larynx Presenting as a Thyroid Mass and Brief Literature Review. Acta Cytol. 2017, 61, 237–241. [Google Scholar] [CrossRef]
- Krishnan, G.; Krishnan, S. Transoral Robotic Surgery Total Laryngectomy: Evaluation of Functional and Survival Outcomes in a Retrospective Case Series at a Single Institution. ORL J. Otorhinolaryngol. Relat. Spec. 2017, 79, 191–201. [Google Scholar] [CrossRef]
- Wang, Q.; Yu, X.S.; Liu, Y.; Chen, H. Adenoid cystic carcinoma in ventricle of larynx: An interesting case. Medicine 2018, 97, e13622. [Google Scholar] [CrossRef]
- Akbaba, S.; Lang, K.; Bulut, O.C.; Held, T.; Rieken, S.; Plinkert, P.; Jensen, A.; Herfarth, K.; Debus, J.; Adeberg, S. The role of organ- and function-preserving radiotherapy in the treatment of adenoid cystic carcinoma of the larynx. Head. Neck. 2019, 41, 2208–2214. [Google Scholar] [CrossRef] [PubMed]
- Xiao, R.; Sethi, R.K.V.; Feng, A.L.; Fontanarosa, J.B.; Deschler, D.G. The role of elective neck dissection in patients with adenoid cystic carcinoma of the head and neck. Laryngoscope. 2019, 129, 2094–2104. [Google Scholar] [CrossRef] [PubMed]
- Naim, A.; Hajjij, A.; Abbad, F.; Rami, A.; Essaadi, M. Rare location of head and neck adenoid cystic carcinoma. Pan Afr. Med. J. 2019, 34, 33. [Google Scholar] [CrossRef] [PubMed] [PubMed Central]
- Hay, A.J.; Migliacci, J.; Karassawa Zanoni, D.; McGill, M.; Patel, S.; Ganly, I. Minor salivary gland tumors of the head and neck-Memorial Sloan Kettering experience: Incidence and outcomes by site and histological type. Cancer. 2019, 125, 3354–3366. [Google Scholar] [CrossRef]
- Cui, Y.; Bi, L.; Sun, L.; Wang, X.; Zhu, Z. Laryngeal adenoid cystic carcinoma: Three cases reports. Medicine 2019, 98, e18177. [Google Scholar] [CrossRef] [PubMed] [PubMed Central]
- Kozhanov, A.L.; Kozhanov, L.G.; Kravtsov, S.A.; Volchenko, N.N.; Vyaltseva, Y.Y. Endolaringeal'naya rezektsiya gortani pri adenokistoznom rake [Endolaryngeal resection of the larynx for adenocystic cancer]. Vestn. Otorinolaringol. 2021, 86, 134–136. [Google Scholar] [CrossRef] [PubMed]
- Iandelli, A.; Missale, F.; Laborai, A.; Filauro, M.; Marchi, F.; Del Bon, F.; Perotti, P.; Parrinello, G.; Piazza, C.; Peretti, G. Surgical management and oncological outcome of non-squamous cell carcinoma of the larynx: A bicentric study. Eur. Arch. Otorhinolaryngol. 2022, 279, 299–310. [Google Scholar] [CrossRef]
- Bertolin, A.; Lionello, M.; Baldovin, M.; Ghirardo, G.; Rizzotto, G. The glottic-subglottic laryngectomy: Surgical technique, oncological, and functional outcomes. J. Surg. Oncol. 2022, 125, 145–150. [Google Scholar] [CrossRef]
- Eslami Aliabadi, H.; Dabiri, S.; Motamed, S. Laryngeal adenoid cystic carcinoma: A rare case report. Int. J. Clin. Exp. Pathol. 2022, 15, 79–82. [Google Scholar]
- Vardaxi, C.; Skalias, A.; Karamitsou, P.; Forozidou, E.; Poutoglidis, A. Four Years of Disease-Free Survival After Conservative Treatment of Subglottic Adenoid Cystic Carcinoma. Cureus 2022, 14, e28377. [Google Scholar] [CrossRef]
- Pacheco-Ojeda, L.; Ríos-Deidán Sr, C.; Cañizares, S.; Pontón-Villalba, P.; Moya-Paredes, E. Cricotracheal Adenoid Cystic Carcinoma: Insights Into the Diagnosis and Management of an Uncommon Anatomic Variant. Cureus 2022, 14, e30686. [Google Scholar] [CrossRef]
- Salvatori, S.; Tanvetyanon, T. Fatal Tracheoesophageal Puncture Leakage Associated with Lenvatinib. Cureus 2023, 15, e43490. [Google Scholar] [CrossRef]
- Joshi, P.; Bhattacharya, K.; Menon, M.B.; Ghosh Laskar, S.; Joshi, A.; Patil, V.; Chaturvedi, P. Malignant Minor Salivary gland neoplasms ofLarynx: Our Experience. Otolaryngol. Pol. 2023, 77, 1–7. [Google Scholar] [CrossRef]
- Fu, Z.; Xu, X.; Bao, Y.; Chen, Z.; Zhong, J.; Zhou, S. Successful surgery with preservation of laryngeal function in a patient with collision primary squamous cell carcinoma and adenoid cystic carcinoma in the hypopharynx and synchronous esophageal carcinoma: A case report. Head. Neck. 2023, 45, E53–E60. [Google Scholar] [CrossRef] [PubMed]
- Montenegro, C.; Mattavelli, D.; Lancini, D.; Paderno, A.; Marazzi, E.; Rampinelli, V.; Tomasoni, M.; Piazza, C. Treatment and outcomes of minor salivary gland cancers of the larynx and trachea: A systematic review. Acta Otorhinolaryngol. Italy 2023, 43, 365–374. [Google Scholar] [CrossRef]
- Athish, K.K.; Padmanabha, T.J.; Padmanabha, S.; Harshitha, K.R. Subglottic Adenoid Cystic Carcinoma Mimicking Bronchial Asthma: A Case Report. Cureus 2024, 16, e60571. [Google Scholar] [CrossRef]
- Moghrabi, S.; Al-Muhtaseb, A.; Alshatti, M.Y.; Al-Ibraheem, A. Fluoro-2-Deoxyglucose (FDG)-Avid Adenoid Cystic Carcinoma of the Larynx: A Rare Case and Diagnostic Insight Obtained Using Positron Emission Tomography/Computed Tomography (PET/CT) Imaging. Cureus 2025, 17, e78816. [Google Scholar] [CrossRef]
- Es-Sahli, F.Z.; Sbai, A.A.; Haloui, A.; Benfadil, D.; Bennani, A.; Lachkar, A.; Tsen, A.A.; Ayoubi, F.E. Adenoid cystic carcinoma of the larynx: Case report and review of literature. Radiol. Case Rep. 2025, 20, 3710–3714. [Google Scholar] [CrossRef]
- Del Negro, A.; Ichihara, E.; Tincani, A.J.; Altemani, A.; Martins, A.S. Laryngeal adenoid cystic carcinoma: Case report. Sao Paulo Med. J. 2007, 125, 295–296. [Google Scholar] [CrossRef]
- Amit, M.; Na’ara, S.; Sharma, K.; Ramer, N.; Ramer, I.; Agbetoba, A.; Glick, J.; Yang, X.; Lei, D.; Bjoerndal, K.; et al. Elective neck dissection in patients with head and neck adenoid cystic carcinoma: An international collaborative study. Ann. Surg. Oncol. 2015, 22, 1353–1359. [Google Scholar] [CrossRef]
- de Morais, E.F.; de Farias Morais, H.G.; de Almeida Freitas, R.; Coletta, R.D. Prognostic Significance of Histopathological Parameters for Salivary Gland Adenoid Cystic Carcinoma. Dent. J. 2023, 11, 262. [Google Scholar] [CrossRef] [PubMed] [PubMed Central]
- Stafford, E.M.; Farrag, T.Y.; Tufano, R.P. Early treatment of the larynx. In Early Diagnosis and Treatment of Cancer Series: Head and Neck Cancers; Elsevier Inc.: Amsterdam, The Netherlands, 2009; pp. 95–114. [Google Scholar]
- Batsakis, J.G.; Luna, M.A.; El-Naggar, A.K. Nonsquamous carcinomas of the larynx. Ann. Otol. Rhinol. Laryngol. 1992, 101, 1024–1026. [Google Scholar] [CrossRef]
- Lin, Y.C.; Chen, K.C.; Lin, C.H.; Kuo, K.T.; Ko, J.Y.; Hong, R.L. Clinicopathological features of salivary and non-salivary adenoid cystic carcinomas. Int. J. Oral. Maxillofac. Surg. 2012, 41, 354–360. [Google Scholar] [CrossRef]
- Alavi, S.; Calcaterra, T.C.; Namazie, A.; Blackwell, K.E. Glandular carcinoma of the larynx: The UCLA experience. Ann. Otol. Rhinol. Laryngol. 1999, 108, 485–489. [Google Scholar] [CrossRef]
- Testa, D.; Guerra, G.; Conzo, G.; Nunziata, M.; D’Errico, G.; Siano, M.; Ilardi, G.; Vitale, M.; Riccitiello, F.; Motta, G. Glottic-subglottic adenoid cystic carcinoma: A case report and review of the literature. BMC Surg. 2013, 13 (Suppl. 2), S48. [Google Scholar] [CrossRef]
- Conley, J.; Dingman, D.L. Adenoid cystic carcinoma in the head and neck (cylindroma). Arch. Otolaryngol. 1974, 100, 81–90. [Google Scholar] [CrossRef]
- Geiger, J.L.; Ismaila, N.; Beadle, B.; Caudell, J.J.; Chau, N.; Deschler, D.; Glastonbury, C.; Kaufman, M.; Lamarre, E.; Lau, H.Y.; et al. Management of salivary gland malignancy: ASCO guideline. J. Clin. Oncol. 2021, 39, 1909–1941. [Google Scholar] [CrossRef] [PubMed]
- Succo, G.; Crosetti, E.; Fulcheri, A.; Caracciolo, A.; Monticone, V. La diagnostica endoscopica nelle neoplasie non epiteliali delle VADS. In Le Neoplasie Maligne Non Epiteliali Delle, V.A.D.S.; Quaderno monografico di aggiornamento, A.O.O.I.; Barbara, M., Ed.; TorGraf: Galatina, Italy, 2014; pp. 123–141. [Google Scholar]
- Zvrko, E.; Golubovic, M. Laryngeal adenoid cystic carcinoma. Acta Otorhinolaryngol. Ital. 2009, 29, 279–282. [Google Scholar]
- Caspani, F.; Cavalieri, S.; Orlandi, E.; Bergamini, C.; Resteghini, C.; Colombo, E.; Ottini, A.; Nuzzolese, I.; Alfieri, S.; Mirabile, A.; et al. Lenvatinib in Relapsed/Metastatic Adenoid Cystic Carcinoma: Real-World Data From 17 Italian Centers. Head. Neck 2025, 47, 2040–2047. [Google Scholar] [CrossRef] [PubMed]
- Tchekmedyian, V.; Sherman, E.J.; Dunn, L.; Tran, C.; Baxi, S.; Katabi, N.; Antonescu, C.R.; Ostrovnaya, I.; Haque, S.S.; Pfister, D.G.; et al. Phase II Study of Lenvatinib in Patients with Progressive, Recurrent or Metastatic Adenoid Cystic Carcinoma. J. Clin. Oncol. 2019, 37, 1529–1537. [Google Scholar] [CrossRef] [PubMed] [PubMed Central]
- Amin, M.B.; Edge, S.B.; Greene, F.L.; Byrd, D.R.; Brookland, R.K.; Washington, M.K.; Compton, C.C. (Eds.) AJCC Cancer Staging Manual, 8th ed.; Springer: New York, NY, USA, 2017. [Google Scholar]
- American Joint Committee on Cancer (AJCC). AJCC Cancer Staging System, 9th ed.; Version 9; American College of Surgeons: Chicago, IL, USA, 2022. [Google Scholar]
- Calabrese, L.; Nocini, R.; Spirito, F.; Gazzini, L.; Dallari, V.; Girolami, I.; Lo Muzio, L. The role of the depth of invasion (DOI) in minor salivary glands tumors according to the 8th TNM classification: Pitfalls and potential misinterpretations. Oral. Oncol. 2022, 126, 105751. [Google Scholar] [CrossRef] [PubMed]







| 1 | First assessment with endoscopic evaluation |
| 2 | Radiological investigation |
| 3 | Microlaryngoscopy with biopsy |
| 4 | Multidisciplinary tumor board's discussion |
| 5 | Treatment |
| 6 | Follow-up |
| Author’s Name | Year of Publication | N. of Cases | |
|---|---|---|---|
| Adenoid cystic carcinoma of the larynx: A report of two cases [19] | Guanqiao Li et al. | 2015 | 2 |
| Laryngeal adenoid cystic carcinoma: A population-based perspective [20] | Pariket M Dubal et al. | 2015 | 69 |
| Head and neck adenoid cystic carcinoma: A prospective multicenter REFCOR study of 95 cases [21] | M. Meyers et al. | 2015 | 5 |
| Laryngeal Adenoid Cystic Carcinoma: A Systematic Review [8]. | Marchiano E. et al. | 2016 | 120 |
| Cervical Lymph Node Metastasis in Adenoid Cystic Carcinoma of the Larynx: A Collective International Review [22] | Andrés Coca-Pelaz et al. | 2016 | 142 |
| Malignant salivary gland tumours of the larynx: a single institution review [23] | S Karatayli-Ozgursoy et al. | 2016 | 3 |
| Adenoid cystic carcinoma of the larynx presenting with unusual subglottic mass: Case report [24] | Takashi Kashiwagi et al. | 2016 | 1 |
| Adenoid Cystic Carcinoma of the Larynx Presenting as a Thyroid Mass and Brief Literature Review [25] | Sadegh Shirian et al. | 2017 | 1 |
| Transoral Robotic Surgery Total Laryngectomy: Evaluation of Functional and Survival Outcomes in a Retrospective Case Series at a Single Institution [26] | Giri Krishnan et. al | 2017 | 1 |
| Adenoid cystic carcinoma of the larynx: a case report | L G Kozhanov et al. | 2018 | 1 |
| Adenoid cystic carcinoma of the larynx in a 70-year-old patient: A case report [1] | Filippo Ricciardiello et al. | 2018 | 1 |
| Adenoid cystic carcinoma in ventricle of larynx: An interesting case. [27] | Wang Q et al. | 2018 | 1 |
| The role of organ-and function-preserving radiotherapy in the treatment of adenoid cystic carcinoma of the larynx [28] | Sati Akbaba et al. | 2019 | 11 |
| The role of elective neck dissection in patients with adenoid cystic carcinoma of the head and neck [29] | Roy Xiao BA et al. | 2019 | 51 |
| Rare location of head and neck adenoid cystic carcinoma. [30] | Naim A et al. | 2019 | 1 |
| Minor salivary gland tumors of the head and neck-Memorial Sloan Kettering experience: Incidence and outcomes by site and histological type. [31] | Hay AJ et al. | 2019 | 4 |
| Laryngeal adenoid cystic carcinoma: Three cases reports. [32] | Cui Y et al. | 2019 | 3 |
| Endolaryngeal resection of the larynx for adenocystic cancer [33] | A L Kozhanov et al. | 2019 | 1 |
| Laryngeal adenoid cystic carcinoma: Radical or conservative surgery? [12] | Marco Lionello et al. | 2021 | 17 |
| Surgical management and oncological outcome of non-squamous cell carcinoma of the larynx: a bicentric study [34] | Andrea Iandelli et al. | 2021 | 2 |
| The glottic-subglottic laryngectomy: Surgical technique, oncological, and functional outcomes [35] | Andy Bertolin et al. | 2022 | 9 |
| Laryngeal adenoid cystic carcinoma: a rare case report. [36] | Eslami Aliabadi H et al. | 2022 | 1 |
| Four Years of Disease-Free Survival After Conservative Treatment of Subglottic Adenoid Cystic Carcinoma. [37] | Vardaxi C et al. | 2022 | 1 |
| Cricotracheal Adenoid Cystic Carcinoma: Insights Into the Diagnosis and Management of an Uncommon Anatomic Variant. [38] | Pacheco-Ojeda L et al. | 2022 | 1 |
| Adenoid Cystic Carcinoma of the Larynx: A SEER Database Review. [18] | Taha Mur et al. | 2022 | 89 |
| Fatal Tracheoesophageal Puncture Leakage Associated With Lenvatinib. [39] | Salvatori S et al. | 2023 | 1 |
| Malignant Minor Salivary gland neoplasms of Larynx: Our Experience. [40] | Joshi P et al. | 2023 | 9 |
| Successful surgery with preservation of laryngeal function in a patient with collision primary squamous cell carcinoma and adenoid cystic carcinoma in the hypopharynx and synchronous esophageal carcinoma: A case report [41] | Fu Z et al. | 2023 | 1 |
| Treatment and outcomes of minor salivary gland cancers of the larynx and trachea: a systematic review. [42] | Montenegro C et al. | 2023 | 126 |
| Subglottic Adenoid Cystic Carcinoma Mimicking Bronchial Asthma: A Case Report [43] | Athish KK et al. | 2024 | 1 |
| Fluoro-2-Deoxyglucose (FDG)-Avid Adenoid Cystic Carcinoma of the Larynx: A Rare Case and Diagnostic Insight Obtained Using Positron Emission Tomography/Computed Tomography (PET/CT) Imaging. [44] | Moghrabi S | 2025 | 1 |
| Adenoid cystic carcinoma of the larynx: Case report and review of literature. [45] | Es-Sahli FZ et al. | 2025 | 1 |
Disclaimer/Publisher’s Note: The statements, opinions and data contained in all publications are solely those of the individual author(s) and contributor(s) and not of MDPI and/or the editor(s). MDPI and/or the editor(s) disclaim responsibility for any injury to people or property resulting from any ideas, methods, instructions or products referred to in the content. |
© 2025 by the authors. Licensee MDPI, Basel, Switzerland. This article is an open access article distributed under the terms and conditions of the Creative Commons Attribution (CC BY) license (https://creativecommons.org/licenses/by/4.0/).
Share and Cite
Russo, M.A.; Patruno, S.; Fiorentino, C.; Corsa, P.; Aragona, T.; Dimitri, L.M.; Cassano, M.; Cassano, L. High-Grade Solid Adenoid Cystic Carcinoma of the Larynx: A Case Report. Reports 2025, 8, 195. https://doi.org/10.3390/reports8040195
Russo MA, Patruno S, Fiorentino C, Corsa P, Aragona T, Dimitri LM, Cassano M, Cassano L. High-Grade Solid Adenoid Cystic Carcinoma of the Larynx: A Case Report. Reports. 2025; 8(4):195. https://doi.org/10.3390/reports8040195
Chicago/Turabian StyleRusso, Matteo Aldo, Stefano Patruno, Christian Fiorentino, Pietro Corsa, Teodoro Aragona, Lucia Maria Dimitri, Michele Cassano, and Lazzaro Cassano. 2025. "High-Grade Solid Adenoid Cystic Carcinoma of the Larynx: A Case Report" Reports 8, no. 4: 195. https://doi.org/10.3390/reports8040195
APA StyleRusso, M. A., Patruno, S., Fiorentino, C., Corsa, P., Aragona, T., Dimitri, L. M., Cassano, M., & Cassano, L. (2025). High-Grade Solid Adenoid Cystic Carcinoma of the Larynx: A Case Report. Reports, 8(4), 195. https://doi.org/10.3390/reports8040195

